人类组织相容性抗原-G mRNA表达与不明原因习惯性流产关系的初步研究
作者:张小滢 范丽安 许玲娣 李伟毅 杨珏琴 刘伯宁
单位:张小滢,范丽安,许玲娣,李伟毅,杨珏琴 上海市免疫学研究所 200025;刘伯宁 上海市第六人民医院妇产科
关键词:组织相容性抗原;流产;习惯性;滋养层
中华妇产科杂志991006 【摘要】 目的 探讨人类组织相容性抗原-G(HLA-G) mRNA的表达与不明原因习惯性流产(RSA)的关系。方法 用原位杂交的方法检测正常妊娠早期、晚期孕妇胎盘和RSA患者经免疫治疗并成功分娩的胎盘母胎界面处的HLA-G mRNA的表达。结果 正常妊娠早期、晚期孕妇胎盘母胎界面均有HLA-G mRNA的阳性表达,阳性表达位于绒毛内(或)外细胞滋养细胞,以及合体滋养细胞的胞浆内。RSA患者免疫治疗后的胎盘均不表达HLA-G mRNA,免疫治疗没有调节HLA-G mRNA表达的作用。结论 HLA-G 可能与RSA的发病原因没有直接的关系;与胎儿存活也无直接关系。
, http://www.100md.com
Preliminary Study on the Relationship between Human Histocompatibility Leukocyte Antigen-G mRNA and Recurrent Spontaneous Abortion
ZHANG Xiaoying, FAN Lian, XU Lingdi et al.
Shanghai Insititute of Immunology,Shanghai 200025
【Abstract】 Objective To examine the expression of Human Histocompatibility Leukocyte Antigen-G (HLA-G) mRNA in placenta from cases of recurrent spontaneous abortion (RSA) and try to study the relationship between HLA-G mRNA and RSA. Methods In situ hibridization was performed on maternal-fetal interface sections of placenta in first trimester, third trimester of normal pregnancy and RSA women who were treated with immunotherapy and had term delivery. Results The positive signal of HLA-G expression were showed in all placentas of nomal pregnant women within villus and cytoplasma of syncytiotrophoblast and cytotrophoblast. However, there is no any HLA-G mRNA signals in placentas of RSA women after immunotherapy. Conclusions HLA-G mRNA is not the main cause of RSA and there is no direct relations to fetal survival.
, 百拇医药
【Key words】 Histocompatibility antigens Abortion, habitual Trophoblast
人类组织相容性抗原-G(HLA-G)具有限制性分布和非多态性的特点,被认为在母胎免疫耐受中发挥一定的作用[1,2]。HLA-G表达一旦出现变异,将有可能导致妊娠性疾病。其中不明原因习惯性流产(recurrent spontanous abortion,RSA)是妊娠常见并发症之一。80年代中期,开始使用丈夫淋巴细胞对患RSA妻子进行主动免疫治疗并取得了很好的结果,支持RSA的发生与免疫密切相关[3]。本研究采用原位杂交的方法,观察RSA患者经免疫治疗后的胎盘母胎界面HLA-G mRNA的表达情况,探讨免疫遗传基因HLA-G与RSA的关系。
材料与方法
一、病例选择
, http://www.100md.com
选择10例正常妊娠早期(8~12周)的人工流产胎盘组织、10例正常妊娠足月顺产胎盘组织和4例不明原因习惯性流产患者经免疫治疗成功后顺产的胎盘组织(标本分别来源于上海市第六人民医院,上海医科大学妇产科医院,第二军医大学长海医院及上海市邮电医院)。
二、标本制备
剪取近母体面胎盘新鲜组织1cm×1cm×1cm绒毛蜕膜组织块,立即投入经二乙基焦碳酸盐(DEPC)处理的磷酸缓冲液(PBS,pH 7.2)中漂洗,固定于新配制的4%聚合甲醛,4℃过夜。按常规方法石蜡包埋,连续切片,组织厚度4 μm,载玻片用硅烷处理。
三、研究方法
1.探针标记:用地高辛标记试剂盒,按3′端加尾法标记HLA-G特异性寡聚核苷酸探针。此片段位于HLA-G基因的3′非翻译区(3 940~3 963),长度为23个碱基,核苷酸序列是5′ TG GGC TGG TCT CTG CAC AAA GAG 3′[4],由上海生物工程公司合成。具体操作方法按药盒说明进行。
, 百拇医药
2.原位杂交:杂交前所有步骤中所使用的容器、称量器、搅拌器等物品均需在180℃烤箱内干烤3小时; 用于试剂配置及漂洗的双蒸水须用DEPC处理并高压灭菌; 实验操作时需带手套,口罩,帽子,严防外源性RNA酶引起胎盘组织中的RNA的丧失。室温下切片入二甲苯脱蜡,梯度乙醇脱水,DEPC水浸浴。稀盐酸(0.1 mol/L HCl)处理5分钟,0.1 mol/L PBS洗3次后,蛋白酶K(40 μg/ml)37℃处理10分钟,4%聚合甲醛/PBS固定,再依次用0.1 mol/L甘氨酸/PBS、0.25%乙酸酐/0.1 mol/L三乙醇胺、2×标准柠檬酸钠(SSC)漂洗。然后滴加杂交液于切片上,杂交液含 50%去离子甲酰胺,10%葡聚糖硫酸酯,1×Dehardt′s(葡聚糖Ficoll 400,吡咯烷酮,小牛血清),10 mmol/L三羟基氨基甲烷氯化氢(pH 8.0),0.3 mmol/L NaCl,1 mmol/L乙二胺四乙酸二钠(pH 8.0),0.25 mg/ml变性鱼精DNA,地高辛标记的寡聚核苷酸探针200 ng/ml。每切片含20 μl左右,上盖石蜡膜,42℃,湿盒中过夜。第2天依次在4×SSC/0.05%十二烷基磺酸钠(SDS)、1×SSC/0.05% SDS、1×SSC、0.5×SSC溶液中37℃漂洗。然后用0.05 mol/L PBS冲洗3次,并将抗体封闭液(1%小牛血清,0.4%Triton, 0.05 mol/L PBS)滴加到切片上,15分钟后滴加碱性磷酸酶联接的抗地高辛抗体溶液,4℃孵育过夜。第3天将玻片转入各漂洗液漂洗,依次为0.05 mol/L PBS,TSM1 (0.1 mol/L三羟基氨基甲烷氯化氢,pH 8.0;0.1 mol/L NaCl,10 mmol/L MgCl2),TSM2(0.1 mol/L三羟基氨基甲烷氯化氢,pH 9.5;0.1 mol/L NaCl,5 mmol/L MgCl2),漂洗在室温中进行。最后,将显色液NBT/BCIP(450 μg/ml溴基四咄氮蓝、175 μg/ml 5-溴-4-氯-3-吲哚磷酸盐与TSM2的混合液)滴加到切片上,暗环境中显色,镜下观察。当显色适度时以0.05mol/L PBS冲洗终止反应。乙醇脱水,二甲苯透明树脂封片。
, http://www.100md.com
3.结果判断:(1)阴性对照:用RNAse A预处理标本,浓度为20ug/ml,37℃ 30分钟。(2)阳性判断:细胞浆出现蓝紫色沉淀,(+)、(++)、(+++)表示为阳性反应信号(即表达),少于(+)或无着色为阴性反应(即无表达)。
结果
一、正常妊娠早期胎盘HLA-G mRNA的表达
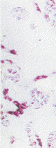
10例妊娠早期胎盘组织均有HLA-G mRNA阳性反应,大部分为(++)~(+++)的强阳性反应。阳性反应位于绒毛内细胞滋养细胞、绒毛外细胞滋养细胞以及合体滋养细胞的细胞浆内,呈蓝紫色沉淀,轮廓清晰,周围背景浅淡;绒毛内间质细胞、血管内皮细胞以及蜕膜基质细胞无HLA-G mRNA阳性反应(图1)。


, http://www.100md.com
图1 显示妊娠早期胎盘HLA-G mRNA阳性(++),呈蓝紫色沉淀状,分布于绒毛内细胞滋养细胞及合何滋养细胞;
绒毛内间质细胞无HLA-G mRNA信号。化学显色法×1600
二、正常妊娠晚期胎盘HLA-G mRNA的表达
10例正常妊娠晚期胎盘组织均有HLA-G mRNA阳性反应,大部分为(+)~(++)的阳性反应。阳性反应位于绒毛外细胞滋养细胞和部分合体滋养细胞的细胞浆内(图2)。


图2 显示妊娠晚期胎盘HLA-G mRNA阳性(+),呈蓝紫色沉淀状,分布于部分合体滋养细胞和绒毛外细胞滋养细胞内,与妊娠早期相比,信号稍弱。化学显色法×800
, 百拇医药
三、RSA患者免疫治疗成功后顺产胎盘组织HLA-G mRNA的表达情况
4例胎盘组织均为HLA-G mRNA阴性反应,即没有任何HLA-G表达(图3)。


图3 显示RSA治疗后的胎盘上HLA-G mRNA阴性。化学显色法×1600
讨论
一、 HLA-G与母胎免疫的关系
HLA,是个体遗传学上的“身份证”,在群体中具有高度多态性。组织排斥反应就是受者免疫系统识别非己HLA(也称移植抗原)后,HLA-I类抗原限制的CD8+T淋巴细胞在II类抗原限制的CD4+T淋巴细胞协助下进行的。妊娠期胎儿对母体来讲是同种异体抗原,其带有的父源HLA可以刺激母体免疫系统产生细胞参与的免疫排斥反应,但实际上这类反应并没有发生。为什么母体免疫系统能接纳含有外来抗原的胎儿而不引起排斥反应?这是生殖免疫学家研究的热点,虽有各种假说,但依据不足,直到近年发现HLA-G抗原后,人们提出了一些新的看法。1991年WHO命名委员会正式命名HLA-G位点抗原。HLA-G基因位于HLA-I类基因区域,HLA-G抗原有40KD重链和β 2m轻链组成。HLA-G抗原与经典HLA-I类抗原有两个主要差别,(1)分布上的差别:HLA-I类抗原广泛分布在各种有核细胞表面,而HLA-G抗原则仅仅表达在妊娠期与母体组织相邻的胎儿滋养细胞上。(2)经典的HLA-I类抗原具有高度多态性,如A位点有83个等位基因,B位点有143个等位基因,C位点有42个等位基因(1997年WHO公布的命名表),而HLA-G却不具有多态性。因此,HLA-G被称为非经典HLA-I类抗原。用生物化学及分子生物学技术对人胎盘组织进行研究发现,所有的滋养层细胞均不表达经典的HLA-I类、HLA-II类移植抗原,而选择性表达HLA-G抗原。这些滋养层细胞浸润母体血窦和侵入母体蜕膜,被接触的母体组织含有丰富的、子宫特异的CD56阳性天然杀伤细胞,CD8+T淋巴细胞和少量巨噬细胞,非多态性HLA-G抗原的这些特性被认为具有特殊的免疫保护功能[5]。可以设想,任何原因引起滋养层细胞上经典HLA抗原的表达或HLA-G的表达降低甚至不表达,都会产生妊娠过程的不正常状态。
, 百拇医药
二、 HLA-G与RSA的关系
RSA被公认为免疫性妊娠疾病,其发病机理尚不清楚。因此,我们用原位杂交的方法观察正常妊娠早期、正常妊娠晚期和RSA患者经免疫治疗成功后的胎盘上HLA-G mRNA表达部位及强度,并比较分析三者之间的差异,进行HLA-G mRNA表达与RSA关系的研究。以期帮助揭开RSA的发病机理。结果表明,正常妊娠早期胎盘上,绒毛内细胞滋养细胞、绒毛外细胞滋养细胞以及合体滋养细胞表达强阳性HLA-G mRNA信号。妊娠晚期,绒毛内细胞滋养细胞基本退化,只有绒毛外细胞滋养细胞和部分合体滋养细胞有HLA-GmRNA的表达,且信号较妊娠早期稍弱。这些滋养细胞直接与母体血窦、母体蜕膜组织相邻;绒毛内间质细胞、血管内皮细胞以及蜕膜基质细胞,则不含HLA-G mRNA的信号,提示这种限制性表达的HLA-G在母胎免疫耐受中可能有一定的作用,与文献报道相符[4]。与正常妊娠晚期相比,RSA患者免疫治疗后,胎盘上不表达任何HLA-G mRNA。可以推断,患者治疗前胎盘上同样没有任何HLA-G mRNA的表达,免疫治疗也并不调节HLA-G mRNA的表达,提示HLA-G可能与RSA的病因没有直接的关系。最近,Cober等[6]提出,HLA-G蛋白并不是胎儿存活的必需条件,Hara等[7]发现,重度妊高征患者胎盘滋养层细胞同样不表达HLA-G。那么,HLA-G在正常妊娠中起什么作用,RSA的发病机理是什么,这都有待于进一步研究探讨。
, 百拇医药
参考文献
1 Kovats S,Main EK,Librach C ,et al. A class I antigen ,HLA-G,expressed in human trophoblasts science. Pro Natl Acad Sci USA, 1990,248:20-23.
2 Edgardo DC,Team D,Marek KB. HLA-G revisited. Immunol Today, 1996,17:40-41.
3 范丽安,杨珏琴,姚芳娟,等.习惯性流产妇女抗淋巴细胞抗体在免疫治疗前后的动态变化.中国免疫学杂志,1994,10(增刊):181-183.
4 Gill C,Ashley K,Nick H,et al. In situ hybridization and northern blot demonstration of HLA-G mRNA in human trophoblast populations by locus-specific oligonucleotide. Human Immunol,1994,41:79-82.
, 百拇医药
5 Peter MJ,Janet MR,Gunnur D, et al. Immunobiological studies of HLA-G expression by human trophoblast. Exp Clin Immunogent,1993,10:118-126.
6 Cober C,Aldrich B,Rosinaky A ,et al. HLA-G1 protein expression is not essential for fetal survival. Placenta,1998,19:127.
7 Hara N,Fujii T,Yamashita T, et al. Altered expression of human leukocyte antigen G(HLA-G) on extravillous trophoblasts in preeclampsia:immunohistological demonstration with anti-HLA-G specific antibody “87G” and anti-cytokecatin antibody “CAM 5.2”. Am J Reprod Immunol, 1996,36:349-353.
(收稿:1998-08-04 修回:1999-05-05), http://www.100md.com
单位:张小滢,范丽安,许玲娣,李伟毅,杨珏琴 上海市免疫学研究所 200025;刘伯宁 上海市第六人民医院妇产科
关键词:组织相容性抗原;流产;习惯性;滋养层
中华妇产科杂志991006 【摘要】 目的 探讨人类组织相容性抗原-G(HLA-G) mRNA的表达与不明原因习惯性流产(RSA)的关系。方法 用原位杂交的方法检测正常妊娠早期、晚期孕妇胎盘和RSA患者经免疫治疗并成功分娩的胎盘母胎界面处的HLA-G mRNA的表达。结果 正常妊娠早期、晚期孕妇胎盘母胎界面均有HLA-G mRNA的阳性表达,阳性表达位于绒毛内(或)外细胞滋养细胞,以及合体滋养细胞的胞浆内。RSA患者免疫治疗后的胎盘均不表达HLA-G mRNA,免疫治疗没有调节HLA-G mRNA表达的作用。结论 HLA-G 可能与RSA的发病原因没有直接的关系;与胎儿存活也无直接关系。
, http://www.100md.com
Preliminary Study on the Relationship between Human Histocompatibility Leukocyte Antigen-G mRNA and Recurrent Spontaneous Abortion
ZHANG Xiaoying, FAN Lian, XU Lingdi et al.
Shanghai Insititute of Immunology,Shanghai 200025
【Abstract】 Objective To examine the expression of Human Histocompatibility Leukocyte Antigen-G (HLA-G) mRNA in placenta from cases of recurrent spontaneous abortion (RSA) and try to study the relationship between HLA-G mRNA and RSA. Methods In situ hibridization was performed on maternal-fetal interface sections of placenta in first trimester, third trimester of normal pregnancy and RSA women who were treated with immunotherapy and had term delivery. Results The positive signal of HLA-G expression were showed in all placentas of nomal pregnant women within villus and cytoplasma of syncytiotrophoblast and cytotrophoblast. However, there is no any HLA-G mRNA signals in placentas of RSA women after immunotherapy. Conclusions HLA-G mRNA is not the main cause of RSA and there is no direct relations to fetal survival.
, 百拇医药
【Key words】 Histocompatibility antigens Abortion, habitual Trophoblast
人类组织相容性抗原-G(HLA-G)具有限制性分布和非多态性的特点,被认为在母胎免疫耐受中发挥一定的作用[1,2]。HLA-G表达一旦出现变异,将有可能导致妊娠性疾病。其中不明原因习惯性流产(recurrent spontanous abortion,RSA)是妊娠常见并发症之一。80年代中期,开始使用丈夫淋巴细胞对患RSA妻子进行主动免疫治疗并取得了很好的结果,支持RSA的发生与免疫密切相关[3]。本研究采用原位杂交的方法,观察RSA患者经免疫治疗后的胎盘母胎界面HLA-G mRNA的表达情况,探讨免疫遗传基因HLA-G与RSA的关系。
材料与方法
一、病例选择
, http://www.100md.com
选择10例正常妊娠早期(8~12周)的人工流产胎盘组织、10例正常妊娠足月顺产胎盘组织和4例不明原因习惯性流产患者经免疫治疗成功后顺产的胎盘组织(标本分别来源于上海市第六人民医院,上海医科大学妇产科医院,第二军医大学长海医院及上海市邮电医院)。
二、标本制备
剪取近母体面胎盘新鲜组织1cm×1cm×1cm绒毛蜕膜组织块,立即投入经二乙基焦碳酸盐(DEPC)处理的磷酸缓冲液(PBS,pH 7.2)中漂洗,固定于新配制的4%聚合甲醛,4℃过夜。按常规方法石蜡包埋,连续切片,组织厚度4 μm,载玻片用硅烷处理。
三、研究方法
1.探针标记:用地高辛标记试剂盒,按3′端加尾法标记HLA-G特异性寡聚核苷酸探针。此片段位于HLA-G基因的3′非翻译区(3 940~3 963),长度为23个碱基,核苷酸序列是5′ TG GGC TGG TCT CTG CAC AAA GAG 3′[4],由上海生物工程公司合成。具体操作方法按药盒说明进行。
, 百拇医药
2.原位杂交:杂交前所有步骤中所使用的容器、称量器、搅拌器等物品均需在180℃烤箱内干烤3小时; 用于试剂配置及漂洗的双蒸水须用DEPC处理并高压灭菌; 实验操作时需带手套,口罩,帽子,严防外源性RNA酶引起胎盘组织中的RNA的丧失。室温下切片入二甲苯脱蜡,梯度乙醇脱水,DEPC水浸浴。稀盐酸(0.1 mol/L HCl)处理5分钟,0.1 mol/L PBS洗3次后,蛋白酶K(40 μg/ml)37℃处理10分钟,4%聚合甲醛/PBS固定,再依次用0.1 mol/L甘氨酸/PBS、0.25%乙酸酐/0.1 mol/L三乙醇胺、2×标准柠檬酸钠(SSC)漂洗。然后滴加杂交液于切片上,杂交液含 50%去离子甲酰胺,10%葡聚糖硫酸酯,1×Dehardt′s(葡聚糖Ficoll 400,吡咯烷酮,小牛血清),10 mmol/L三羟基氨基甲烷氯化氢(pH 8.0),0.3 mmol/L NaCl,1 mmol/L乙二胺四乙酸二钠(pH 8.0),0.25 mg/ml变性鱼精DNA,地高辛标记的寡聚核苷酸探针200 ng/ml。每切片含20 μl左右,上盖石蜡膜,42℃,湿盒中过夜。第2天依次在4×SSC/0.05%十二烷基磺酸钠(SDS)、1×SSC/0.05% SDS、1×SSC、0.5×SSC溶液中37℃漂洗。然后用0.05 mol/L PBS冲洗3次,并将抗体封闭液(1%小牛血清,0.4%Triton, 0.05 mol/L PBS)滴加到切片上,15分钟后滴加碱性磷酸酶联接的抗地高辛抗体溶液,4℃孵育过夜。第3天将玻片转入各漂洗液漂洗,依次为0.05 mol/L PBS,TSM1 (0.1 mol/L三羟基氨基甲烷氯化氢,pH 8.0;0.1 mol/L NaCl,10 mmol/L MgCl2),TSM2(0.1 mol/L三羟基氨基甲烷氯化氢,pH 9.5;0.1 mol/L NaCl,5 mmol/L MgCl2),漂洗在室温中进行。最后,将显色液NBT/BCIP(450 μg/ml溴基四咄氮蓝、175 μg/ml 5-溴-4-氯-3-吲哚磷酸盐与TSM2的混合液)滴加到切片上,暗环境中显色,镜下观察。当显色适度时以0.05mol/L PBS冲洗终止反应。乙醇脱水,二甲苯透明树脂封片。
, http://www.100md.com
3.结果判断:(1)阴性对照:用RNAse A预处理标本,浓度为20ug/ml,37℃ 30分钟。(2)阳性判断:细胞浆出现蓝紫色沉淀,(+)、(++)、(+++)表示为阳性反应信号(即表达),少于(+)或无着色为阴性反应(即无表达)。
结果
一、正常妊娠早期胎盘HLA-G mRNA的表达
10例妊娠早期胎盘组织均有HLA-G mRNA阳性反应,大部分为(++)~(+++)的强阳性反应。阳性反应位于绒毛内细胞滋养细胞、绒毛外细胞滋养细胞以及合体滋养细胞的细胞浆内,呈蓝紫色沉淀,轮廓清晰,周围背景浅淡;绒毛内间质细胞、血管内皮细胞以及蜕膜基质细胞无HLA-G mRNA阳性反应(图1)。
, http://www.100md.com
图1 显示妊娠早期胎盘HLA-G mRNA阳性(++),呈蓝紫色沉淀状,分布于绒毛内细胞滋养细胞及合何滋养细胞;
绒毛内间质细胞无HLA-G mRNA信号。化学显色法×1600
二、正常妊娠晚期胎盘HLA-G mRNA的表达
10例正常妊娠晚期胎盘组织均有HLA-G mRNA阳性反应,大部分为(+)~(++)的阳性反应。阳性反应位于绒毛外细胞滋养细胞和部分合体滋养细胞的细胞浆内(图2)。
图2 显示妊娠晚期胎盘HLA-G mRNA阳性(+),呈蓝紫色沉淀状,分布于部分合体滋养细胞和绒毛外细胞滋养细胞内,与妊娠早期相比,信号稍弱。化学显色法×800
, 百拇医药
三、RSA患者免疫治疗成功后顺产胎盘组织HLA-G mRNA的表达情况
4例胎盘组织均为HLA-G mRNA阴性反应,即没有任何HLA-G表达(图3)。
图3 显示RSA治疗后的胎盘上HLA-G mRNA阴性。化学显色法×1600
讨论
一、 HLA-G与母胎免疫的关系
HLA,是个体遗传学上的“身份证”,在群体中具有高度多态性。组织排斥反应就是受者免疫系统识别非己HLA(也称移植抗原)后,HLA-I类抗原限制的CD8+T淋巴细胞在II类抗原限制的CD4+T淋巴细胞协助下进行的。妊娠期胎儿对母体来讲是同种异体抗原,其带有的父源HLA可以刺激母体免疫系统产生细胞参与的免疫排斥反应,但实际上这类反应并没有发生。为什么母体免疫系统能接纳含有外来抗原的胎儿而不引起排斥反应?这是生殖免疫学家研究的热点,虽有各种假说,但依据不足,直到近年发现HLA-G抗原后,人们提出了一些新的看法。1991年WHO命名委员会正式命名HLA-G位点抗原。HLA-G基因位于HLA-I类基因区域,HLA-G抗原有40KD重链和β 2m轻链组成。HLA-G抗原与经典HLA-I类抗原有两个主要差别,(1)分布上的差别:HLA-I类抗原广泛分布在各种有核细胞表面,而HLA-G抗原则仅仅表达在妊娠期与母体组织相邻的胎儿滋养细胞上。(2)经典的HLA-I类抗原具有高度多态性,如A位点有83个等位基因,B位点有143个等位基因,C位点有42个等位基因(1997年WHO公布的命名表),而HLA-G却不具有多态性。因此,HLA-G被称为非经典HLA-I类抗原。用生物化学及分子生物学技术对人胎盘组织进行研究发现,所有的滋养层细胞均不表达经典的HLA-I类、HLA-II类移植抗原,而选择性表达HLA-G抗原。这些滋养层细胞浸润母体血窦和侵入母体蜕膜,被接触的母体组织含有丰富的、子宫特异的CD56阳性天然杀伤细胞,CD8+T淋巴细胞和少量巨噬细胞,非多态性HLA-G抗原的这些特性被认为具有特殊的免疫保护功能[5]。可以设想,任何原因引起滋养层细胞上经典HLA抗原的表达或HLA-G的表达降低甚至不表达,都会产生妊娠过程的不正常状态。
, 百拇医药
二、 HLA-G与RSA的关系
RSA被公认为免疫性妊娠疾病,其发病机理尚不清楚。因此,我们用原位杂交的方法观察正常妊娠早期、正常妊娠晚期和RSA患者经免疫治疗成功后的胎盘上HLA-G mRNA表达部位及强度,并比较分析三者之间的差异,进行HLA-G mRNA表达与RSA关系的研究。以期帮助揭开RSA的发病机理。结果表明,正常妊娠早期胎盘上,绒毛内细胞滋养细胞、绒毛外细胞滋养细胞以及合体滋养细胞表达强阳性HLA-G mRNA信号。妊娠晚期,绒毛内细胞滋养细胞基本退化,只有绒毛外细胞滋养细胞和部分合体滋养细胞有HLA-GmRNA的表达,且信号较妊娠早期稍弱。这些滋养细胞直接与母体血窦、母体蜕膜组织相邻;绒毛内间质细胞、血管内皮细胞以及蜕膜基质细胞,则不含HLA-G mRNA的信号,提示这种限制性表达的HLA-G在母胎免疫耐受中可能有一定的作用,与文献报道相符[4]。与正常妊娠晚期相比,RSA患者免疫治疗后,胎盘上不表达任何HLA-G mRNA。可以推断,患者治疗前胎盘上同样没有任何HLA-G mRNA的表达,免疫治疗也并不调节HLA-G mRNA的表达,提示HLA-G可能与RSA的病因没有直接的关系。最近,Cober等[6]提出,HLA-G蛋白并不是胎儿存活的必需条件,Hara等[7]发现,重度妊高征患者胎盘滋养层细胞同样不表达HLA-G。那么,HLA-G在正常妊娠中起什么作用,RSA的发病机理是什么,这都有待于进一步研究探讨。
, 百拇医药
参考文献
1 Kovats S,Main EK,Librach C ,et al. A class I antigen ,HLA-G,expressed in human trophoblasts science. Pro Natl Acad Sci USA, 1990,248:20-23.
2 Edgardo DC,Team D,Marek KB. HLA-G revisited. Immunol Today, 1996,17:40-41.
3 范丽安,杨珏琴,姚芳娟,等.习惯性流产妇女抗淋巴细胞抗体在免疫治疗前后的动态变化.中国免疫学杂志,1994,10(增刊):181-183.
4 Gill C,Ashley K,Nick H,et al. In situ hybridization and northern blot demonstration of HLA-G mRNA in human trophoblast populations by locus-specific oligonucleotide. Human Immunol,1994,41:79-82.
, 百拇医药
5 Peter MJ,Janet MR,Gunnur D, et al. Immunobiological studies of HLA-G expression by human trophoblast. Exp Clin Immunogent,1993,10:118-126.
6 Cober C,Aldrich B,Rosinaky A ,et al. HLA-G1 protein expression is not essential for fetal survival. Placenta,1998,19:127.
7 Hara N,Fujii T,Yamashita T, et al. Altered expression of human leukocyte antigen G(HLA-G) on extravillous trophoblasts in preeclampsia:immunohistological demonstration with anti-HLA-G specific antibody “87G” and anti-cytokecatin antibody “CAM 5.2”. Am J Reprod Immunol, 1996,36:349-353.
(收稿:1998-08-04 修回:1999-05-05), http://www.100md.com