上颌窦鳞癌两种癌基因及增殖细胞核抗原的表达及意义
作者:朱德民 王纾宜 王薇 施达仁
单位:200031 上海医科大学附属眼耳鼻喉科医院耳鼻咽喉科(朱德民、王薇);空军济南医院耳鼻咽喉科(王纾宜);上海医科大学附属肿瘤医院病理科(施达仁)
关键词:上颌窦肿瘤;肿瘤;鳞状细胞;;癌基因;免疫组织化学
中华耳鼻咽喉科杂志980209 【摘要】 目的 检测上颌窦鳞癌、上颌窦内翻性乳头状瘤及上颌窦炎性粘膜中ras、p53及增殖细胞核抗原(proliferating cell nuclear antigen, PCNA)的表达情况,并分析其表达与上颌窦鳞癌临床病理特性和预后的关系。方法 应用免疫组织化学方法检测40例上颌窦鳞癌、20例上颌窦内翻性乳头状瘤、10例上颌窦炎性粘膜中ras、p53、PCNA的表达情况。结果 ras基因表达与上颌窦鳞癌分化程度有关,其表达多见于高分化鳞癌中;p53基因表达只出现在上颌窦鳞癌中,在上颌窦内翻性乳头状瘤及炎性粘膜中无p53基因的表达;高PCNA指数上颌窦鳞癌较低PCNA指数者预后为差。结论 p53基因表达可能作为上颌窦鳞癌诊断的标志物之一,PCNA指数可作为上颌窦鳞癌预后的参考指标,并可作为指导上颌窦鳞癌治疗的参考。
, http://www.100md.com
Expression of ras, p53, proliferating cell nuclear antigen in squamous cell
carcinoma of maxillary sinus and their significance
Zhu Demin*, Wang Shuyi, Wang Wei*, et al.*
EENT Hospital of Shanghai Medical University, Shanghai, 200031
【Abstract】 Objective To determine the expression of ras, p53 and proliferating cell nuclear antigen (PCNA) in squamous cell carcinoma( SCC) , inverting papilloma(IP), inflammatory mucosa( IM) of maxillary sinus and analyze the correlation between their expression and the clinicopathological characters and prognosis of SCC of maxillary sinus(SCCMS). Methods Expression of ras, p53 and PCNA was determined in 40 cases of SCC, 20 cases of IP and 10 cases of IM of maxillary sinus with immunohistochemical technique. Results Expression of ras was correlated with differentiation of SCCMS, it was more frequent in well differentiated SCC than in poorly differentiated SCC. Expression of p53 was only present in SCCMS, there was not expression of p53 in IP and IM of maxillary sinus. The patients with high PCNA index SCCMS had a poorer prognosis than those with low PCNA index in SCCMS. Conclusion p53 protein may be a diagnostic marker in SCCMS. Measurement of PCNA index may be helpful in estimating prognosis and directing clinical treatment in SCCMS.
, 百拇医药
【Key words】 Maxillary sinus neoplasms Neoplasms, squamous cell Oncogenes Immunohistochemistry
ras基因和p53基因是人体最常见的癌基因和抑癌基因。增殖细胞核抗原(proliferating cell nuclear antigen,PCNA)是与细胞增殖功能密切相关的核蛋白,是细胞增殖活性的标志物。本研究检测了上颌窦鳞癌中ras、p53和PCNA的表达情况,并分析其表达与上颌窦鳞癌临床病理特性及预后的关系。
材料与方法
一、标本来源
采用存档的石蜡包埋上颌窦鳞癌组织40例,均为本院1979~1992年间住院患者,男24例,女16例。年龄15~74岁,平均51.8岁。所有患者均应用先放射治疗后手术的治疗方法。所有标本均为放射治疗前活检组织标本。40例中高分化癌3例,中分化癌25例,低分化癌12例。根据肿瘤范围进行临床分期(UICC,1987),T1 3例,T2 13例,T3 20例,T4 4例。随访时间为3~16年。生存时间为开始接受治疗至死亡时间。生存期最短7个月,最长大于16年,大于3年者 23例,小于3年者17例。以20例上颌窦内翻性乳头状瘤及10例上颌窦炎性粘膜之石蜡包埋组织作为对照样本。
, http://www.100md.com
二、试剂来源
ras-p21、p53蛋白及PCNA诸单克隆抗体均为丹麦DAKO公司产品。生物素化第二抗体及卵蛋白生物素辣根过氧化酶复合物(ABC试剂)为美国Vector公司产品。
三、染色方法
应用ABC免疫组织化学方法, 步骤如下:石蜡切片,脱蜡水化;切片放入94℃0.01 mmol/L枸橼酸缓冲液中,微波处理,5分钟×2次;TBS冲洗;滴加第一抗体置湿盒内,60分钟后,4℃冰箱过夜;TBS冲洗;滴加第二抗体,30分钟;TBS冲洗;滴加ABC试剂(1∶100), 30分钟;TBS冲洗;DAB-H2O2显色液显色, 苏木素复染,中性树胶封片。上述步骤除注明温度外,均在室温下进行。用TBS缓冲液代替一抗作阴性对照。
四、结果判断
, 百拇医药
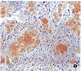
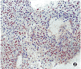
ras、p53、PCNA阳性染色均为棕褐色,分布在细胞的不同部位,ras蛋白染色在细胞浆,p53蛋白与PCNA染色在细胞核。阳性细胞呈灶状或弥漫分布(图1~3)。


图1 上颌窦鳞癌,ras p21阳性染色,染色部位在细胞浆.ABC×400 图2 上颌窦鳞癌,p53蛋白阳性染色,染色部位在细胞核.ABC×200 图3 上颌窦鳞癌,PCNA阳性染色,染色部位在细胞核.ABC×200
ras基因蛋白染色强度按下列标准记录结果:“-”,无细胞着色;“+”阳性细胞<30%;“++”,阳性细胞在30%~70%;“+++”,阳性细胞>70% 。
, 百拇医药
p53蛋白染色按细胞染色强度及阳性细胞比例积分值记录结果:根据细胞染色强度记录为:弱阳性,1分;中度阳性,2分;强阳性,3分。 根据阳性细胞比例记录为:阳性细胞1%~10%,1分;11%~50%,2 分;51%~80%,3分;>81%,4分。两项积分值的乘积为p53阳性染色积分值,p53蛋白染色阴性积分值为0。
PCNA染色按阳性细胞百分比记录结果:选择阳性细胞最密集的视野,计数500个肿瘤细胞,计算阳性细胞核百分比。
结果
1. 在上颌窦鳞癌与内翻性乳头状瘤ras基因蛋白表达情况见表1。上颌窦炎性粘膜ras染色均为阴性。ras蛋白表达阳性率及强度在上颌窦鳞癌与乳头状瘤间差异无显著性(Ridit检验,P>0.05)。
表1 ras蛋白在上颌窦鳞癌及内翻性乳头状瘤中的表达 组别
, 百拇医药
表达强度(例数)
阳性(%)
-
+
++
+++
上颌窦癌
23
7
7
3
17(42.5)
乳头状瘤
, 百拇医药
12
6
2
0
8(40.0)
2. 上颌窦鳞癌中p53蛋白表达情况: 0分20例,1分11例,2分5例,4分3例,6分1例。20例上颌窦内翻性乳头状瘤及 10 例上颌窦炎性粘膜p53蛋白均无表达。
3. 上颌窦鳞癌PCNA指数在0~90.40%, 中位数为11.75%,均值为17.48%;上颌窦内翻性乳头状瘤PCNA指数在0~18.90%,中位数为0.50%,平均值为4.14%。上颌窦鳞癌平均值与上颌窦内翻性乳头状瘤PCNA指数平均值差异有显著性(t检验,P<0.05)。10例上颌窦炎性粘膜PCNA均无表达。
, 百拇医药
4. 上颌窦癌ras基因表达阳性者(17例)3年生存率为10/17,表达阴性者(23例)13/23,二者比较差异无显著性(卡方检验,P>0.05)。
5. 上颌窦鳞癌病人中p53表达阳性的20例,已死亡11例,尚存活9例。11例已死亡患者p53表达低积分值者平均生存期略长于高积分值者,但无明显相关关系(Spearman等级相关检验,P>0.05)。
6. 上颌窦鳞癌 以PCNA指数中位数(11.75%)为准,<11.75%者( 20 例)生存率高于>11.75%者(20例),但二者比较差异无显著性(Log rank 检验 , P>0.05)。但PCNA指数>15.70%者(14例)生存率明显低于PCNA指数≤15.70%者(26例)(Log rank 检验,P<0.05)。
7. ras 基因表达多见于高分化鳞癌中(卡方检验,P=0.02),但与上颌窦鳞癌临床分期(T分期)无关(P>0.05)。p53、PCNA表达与上颌窦鳞癌临床分期及病理分级无关(P>0.05,表2,3)。
, 百拇医药
表2 上颌窦鳞癌临床分期与ras、p53及PCNA表达的关系 临床分期
例数
阳性例数
PCNA指数均值(%)
ras
p53
T1+T2
16
7
10
16.67
T3+T4
, 百拇医药
24
10
10
18.05
表3 上颌窦鳞癌病理分级与ras、p53及PCNA表达的关系 临床分期
例数
阳性例数
PCNA指数均值(%)
ras
p53
高分化
3
, 百拇医药
3
2
19.30
中分化
25
12
11
18.02
低分化
12
2
7
15.89
, 百拇医药 讨论
本检测表明ras 基因异常表达只存在于上颌窦鳞癌与上颌窦内翻性乳头状瘤中,上颌窦炎性粘膜中无ras基因的表达,说明ras基因异常与上颌窦鳞癌及上颌窦内翻性乳头状瘤的发生有关。ras 基因的表达多见于高分化鳞癌,说明ras 基因的表达可能与上颌窦癌的分化过程有关。p53 基因的异常表达只出现在上颌窦鳞癌中,上颌窦内翻性乳头状瘤及炎性粘膜中无p53蛋白的表达,说明p53基因的异常与上颌窦鳞癌发生相关,p53 基因异常有可能作为上颌窦鳞癌诊断的标志物。研究表明,ras、p53基因的异常可作为人体某些肿瘤的预后指标[1~4], 但本研究未发现ras、p53基因异常与上颌窦鳞癌预后有关。p53 基因异常与上颌窦鳞癌病理分级无关。
研究表明,PCNA表达可作为某些肿瘤的预后指标。Mayer等[5]对82例结肠癌标本进行PCNA表达的检测,发现PCNA指数与患者生存期呈负相关(P<0.02)。并认为,PCNA 指数可用来选择术后需进一步化学治疗的患者,因为有较高增殖活性的肿瘤对化学治疗药物更具敏感性。 Jain等[6]对93例胃癌标本进行PCNA 表达的免疫组化检测,发现PCNA高积分者较低积分者有更不良的预后(P<0.02)。本实验表明,高PCNA指数(>15.7%)上颌窦癌生存率明显低于低PCNA指数(≤15.70%)者,因此,PCNA指数可作为上颌窦鳞癌的预后指标,亦可作为指导上颌窦鳞癌的临床治疗方法的参考。PCNA指数高,可能有不良预后的上颌窦癌患者,临床上除采用常规方法(放射治疗、手术)治疗外,可应用化学治疗、免疫治疗等辅助疗法。本检测未发现PCNA指数与上颌窦鳞癌病理分级有关。本实验结论如能得到进一步验证,将为上颌窦鳞癌的预后判断和临床治疗提供依据。
, http://www.100md.com
参考文献
1 Basolo F. Expression of p21 ras protein as a prognostic factor in papillary thyroid cancer. Eur J Cancer Parta Gen Top,1994, 30: 171-174.
2 Noguchi M, Hirohashi S, Shimosato Y, et al. Histologic demonstration of antigens reactive with anti- p21 ras monoclonal antibody(RAP- 5)in human stomach cancers. J Natl Cancer Inst,1986,77:379-385.
3 Allred DC, Clark GM, Elledge R, et al.Association of p53 protein expression with tumour cell proliferation rate and clinical outcome in node- negative breast cancer. J Natl Cancer Inst,1993,85:200-206.
, http://www.100md.com
4 Quinlan DC, Davidson AG, Summers CL,et al. Accumulation of p53 protein correlates with a poor prognosis in human lung cancer.Cancer Res,1992,52:4828- 4831.
5 Mayer A, Takimoto M, Fritz E, et al. The prognostic significance of proliferating cell nuclear antigen,epidermal growth factor receptor, and mdr gene expression in colorectal cancer. Cancer,1993,71:2454-2460.
6 Jain S,Filipe MI,Hall PA,et al. Prognostic value of proliferating cell nuclear antigen in gastric carcinoma.J Clin Pathol, 1991, 44:655-659.
(收稿:1997-03-24 修回:1997-12-03), 百拇医药
单位:200031 上海医科大学附属眼耳鼻喉科医院耳鼻咽喉科(朱德民、王薇);空军济南医院耳鼻咽喉科(王纾宜);上海医科大学附属肿瘤医院病理科(施达仁)
关键词:上颌窦肿瘤;肿瘤;鳞状细胞;;癌基因;免疫组织化学
中华耳鼻咽喉科杂志980209 【摘要】 目的 检测上颌窦鳞癌、上颌窦内翻性乳头状瘤及上颌窦炎性粘膜中ras、p53及增殖细胞核抗原(proliferating cell nuclear antigen, PCNA)的表达情况,并分析其表达与上颌窦鳞癌临床病理特性和预后的关系。方法 应用免疫组织化学方法检测40例上颌窦鳞癌、20例上颌窦内翻性乳头状瘤、10例上颌窦炎性粘膜中ras、p53、PCNA的表达情况。结果 ras基因表达与上颌窦鳞癌分化程度有关,其表达多见于高分化鳞癌中;p53基因表达只出现在上颌窦鳞癌中,在上颌窦内翻性乳头状瘤及炎性粘膜中无p53基因的表达;高PCNA指数上颌窦鳞癌较低PCNA指数者预后为差。结论 p53基因表达可能作为上颌窦鳞癌诊断的标志物之一,PCNA指数可作为上颌窦鳞癌预后的参考指标,并可作为指导上颌窦鳞癌治疗的参考。
, http://www.100md.com
Expression of ras, p53, proliferating cell nuclear antigen in squamous cell
carcinoma of maxillary sinus and their significance
Zhu Demin*, Wang Shuyi, Wang Wei*, et al.*
EENT Hospital of Shanghai Medical University, Shanghai, 200031
【Abstract】 Objective To determine the expression of ras, p53 and proliferating cell nuclear antigen (PCNA) in squamous cell carcinoma( SCC) , inverting papilloma(IP), inflammatory mucosa( IM) of maxillary sinus and analyze the correlation between their expression and the clinicopathological characters and prognosis of SCC of maxillary sinus(SCCMS). Methods Expression of ras, p53 and PCNA was determined in 40 cases of SCC, 20 cases of IP and 10 cases of IM of maxillary sinus with immunohistochemical technique. Results Expression of ras was correlated with differentiation of SCCMS, it was more frequent in well differentiated SCC than in poorly differentiated SCC. Expression of p53 was only present in SCCMS, there was not expression of p53 in IP and IM of maxillary sinus. The patients with high PCNA index SCCMS had a poorer prognosis than those with low PCNA index in SCCMS. Conclusion p53 protein may be a diagnostic marker in SCCMS. Measurement of PCNA index may be helpful in estimating prognosis and directing clinical treatment in SCCMS.
, 百拇医药
【Key words】 Maxillary sinus neoplasms Neoplasms, squamous cell Oncogenes Immunohistochemistry
ras基因和p53基因是人体最常见的癌基因和抑癌基因。增殖细胞核抗原(proliferating cell nuclear antigen,PCNA)是与细胞增殖功能密切相关的核蛋白,是细胞增殖活性的标志物。本研究检测了上颌窦鳞癌中ras、p53和PCNA的表达情况,并分析其表达与上颌窦鳞癌临床病理特性及预后的关系。
材料与方法
一、标本来源
采用存档的石蜡包埋上颌窦鳞癌组织40例,均为本院1979~1992年间住院患者,男24例,女16例。年龄15~74岁,平均51.8岁。所有患者均应用先放射治疗后手术的治疗方法。所有标本均为放射治疗前活检组织标本。40例中高分化癌3例,中分化癌25例,低分化癌12例。根据肿瘤范围进行临床分期(UICC,1987),T1 3例,T2 13例,T3 20例,T4 4例。随访时间为3~16年。生存时间为开始接受治疗至死亡时间。生存期最短7个月,最长大于16年,大于3年者 23例,小于3年者17例。以20例上颌窦内翻性乳头状瘤及10例上颌窦炎性粘膜之石蜡包埋组织作为对照样本。
, http://www.100md.com
二、试剂来源
ras-p21、p53蛋白及PCNA诸单克隆抗体均为丹麦DAKO公司产品。生物素化第二抗体及卵蛋白生物素辣根过氧化酶复合物(ABC试剂)为美国Vector公司产品。
三、染色方法
应用ABC免疫组织化学方法, 步骤如下:石蜡切片,脱蜡水化;切片放入94℃0.01 mmol/L枸橼酸缓冲液中,微波处理,5分钟×2次;TBS冲洗;滴加第一抗体置湿盒内,60分钟后,4℃冰箱过夜;TBS冲洗;滴加第二抗体,30分钟;TBS冲洗;滴加ABC试剂(1∶100), 30分钟;TBS冲洗;DAB-H2O2显色液显色, 苏木素复染,中性树胶封片。上述步骤除注明温度外,均在室温下进行。用TBS缓冲液代替一抗作阴性对照。
四、结果判断
, 百拇医药
ras、p53、PCNA阳性染色均为棕褐色,分布在细胞的不同部位,ras蛋白染色在细胞浆,p53蛋白与PCNA染色在细胞核。阳性细胞呈灶状或弥漫分布(图1~3)。
图1 上颌窦鳞癌,ras p21阳性染色,染色部位在细胞浆.ABC×400 图2 上颌窦鳞癌,p53蛋白阳性染色,染色部位在细胞核.ABC×200 图3 上颌窦鳞癌,PCNA阳性染色,染色部位在细胞核.ABC×200
ras基因蛋白染色强度按下列标准记录结果:“-”,无细胞着色;“+”阳性细胞<30%;“++”,阳性细胞在30%~70%;“+++”,阳性细胞>70% 。
, 百拇医药
p53蛋白染色按细胞染色强度及阳性细胞比例积分值记录结果:根据细胞染色强度记录为:弱阳性,1分;中度阳性,2分;强阳性,3分。 根据阳性细胞比例记录为:阳性细胞1%~10%,1分;11%~50%,2 分;51%~80%,3分;>81%,4分。两项积分值的乘积为p53阳性染色积分值,p53蛋白染色阴性积分值为0。
PCNA染色按阳性细胞百分比记录结果:选择阳性细胞最密集的视野,计数500个肿瘤细胞,计算阳性细胞核百分比。
结果
1. 在上颌窦鳞癌与内翻性乳头状瘤ras基因蛋白表达情况见表1。上颌窦炎性粘膜ras染色均为阴性。ras蛋白表达阳性率及强度在上颌窦鳞癌与乳头状瘤间差异无显著性(Ridit检验,P>0.05)。
表1 ras蛋白在上颌窦鳞癌及内翻性乳头状瘤中的表达 组别
, 百拇医药
表达强度(例数)
阳性(%)
-
+
++
+++
上颌窦癌
23
7
7
3
17(42.5)
乳头状瘤
, 百拇医药
12
6
2
0
8(40.0)
2. 上颌窦鳞癌中p53蛋白表达情况: 0分20例,1分11例,2分5例,4分3例,6分1例。20例上颌窦内翻性乳头状瘤及 10 例上颌窦炎性粘膜p53蛋白均无表达。
3. 上颌窦鳞癌PCNA指数在0~90.40%, 中位数为11.75%,均值为17.48%;上颌窦内翻性乳头状瘤PCNA指数在0~18.90%,中位数为0.50%,平均值为4.14%。上颌窦鳞癌平均值与上颌窦内翻性乳头状瘤PCNA指数平均值差异有显著性(t检验,P<0.05)。10例上颌窦炎性粘膜PCNA均无表达。
, 百拇医药
4. 上颌窦癌ras基因表达阳性者(17例)3年生存率为10/17,表达阴性者(23例)13/23,二者比较差异无显著性(卡方检验,P>0.05)。
5. 上颌窦鳞癌病人中p53表达阳性的20例,已死亡11例,尚存活9例。11例已死亡患者p53表达低积分值者平均生存期略长于高积分值者,但无明显相关关系(Spearman等级相关检验,P>0.05)。
6. 上颌窦鳞癌 以PCNA指数中位数(11.75%)为准,<11.75%者( 20 例)生存率高于>11.75%者(20例),但二者比较差异无显著性(Log rank 检验 , P>0.05)。但PCNA指数>15.70%者(14例)生存率明显低于PCNA指数≤15.70%者(26例)(Log rank 检验,P<0.05)。
7. ras 基因表达多见于高分化鳞癌中(卡方检验,P=0.02),但与上颌窦鳞癌临床分期(T分期)无关(P>0.05)。p53、PCNA表达与上颌窦鳞癌临床分期及病理分级无关(P>0.05,表2,3)。
, 百拇医药
表2 上颌窦鳞癌临床分期与ras、p53及PCNA表达的关系 临床分期
例数
阳性例数
PCNA指数均值(%)
ras
p53
T1+T2
16
7
10
16.67
T3+T4
, 百拇医药
24
10
10
18.05
表3 上颌窦鳞癌病理分级与ras、p53及PCNA表达的关系 临床分期
例数
阳性例数
PCNA指数均值(%)
ras
p53
高分化
3
, 百拇医药
3
2
19.30
中分化
25
12
11
18.02
低分化
12
2
7
15.89
, 百拇医药 讨论
本检测表明ras 基因异常表达只存在于上颌窦鳞癌与上颌窦内翻性乳头状瘤中,上颌窦炎性粘膜中无ras基因的表达,说明ras基因异常与上颌窦鳞癌及上颌窦内翻性乳头状瘤的发生有关。ras 基因的表达多见于高分化鳞癌,说明ras 基因的表达可能与上颌窦癌的分化过程有关。p53 基因的异常表达只出现在上颌窦鳞癌中,上颌窦内翻性乳头状瘤及炎性粘膜中无p53蛋白的表达,说明p53基因的异常与上颌窦鳞癌发生相关,p53 基因异常有可能作为上颌窦鳞癌诊断的标志物。研究表明,ras、p53基因的异常可作为人体某些肿瘤的预后指标[1~4], 但本研究未发现ras、p53基因异常与上颌窦鳞癌预后有关。p53 基因异常与上颌窦鳞癌病理分级无关。
研究表明,PCNA表达可作为某些肿瘤的预后指标。Mayer等[5]对82例结肠癌标本进行PCNA表达的检测,发现PCNA指数与患者生存期呈负相关(P<0.02)。并认为,PCNA 指数可用来选择术后需进一步化学治疗的患者,因为有较高增殖活性的肿瘤对化学治疗药物更具敏感性。 Jain等[6]对93例胃癌标本进行PCNA 表达的免疫组化检测,发现PCNA高积分者较低积分者有更不良的预后(P<0.02)。本实验表明,高PCNA指数(>15.7%)上颌窦癌生存率明显低于低PCNA指数(≤15.70%)者,因此,PCNA指数可作为上颌窦鳞癌的预后指标,亦可作为指导上颌窦鳞癌的临床治疗方法的参考。PCNA指数高,可能有不良预后的上颌窦癌患者,临床上除采用常规方法(放射治疗、手术)治疗外,可应用化学治疗、免疫治疗等辅助疗法。本检测未发现PCNA指数与上颌窦鳞癌病理分级有关。本实验结论如能得到进一步验证,将为上颌窦鳞癌的预后判断和临床治疗提供依据。
, http://www.100md.com
参考文献
1 Basolo F. Expression of p21 ras protein as a prognostic factor in papillary thyroid cancer. Eur J Cancer Parta Gen Top,1994, 30: 171-174.
2 Noguchi M, Hirohashi S, Shimosato Y, et al. Histologic demonstration of antigens reactive with anti- p21 ras monoclonal antibody(RAP- 5)in human stomach cancers. J Natl Cancer Inst,1986,77:379-385.
3 Allred DC, Clark GM, Elledge R, et al.Association of p53 protein expression with tumour cell proliferation rate and clinical outcome in node- negative breast cancer. J Natl Cancer Inst,1993,85:200-206.
, http://www.100md.com
4 Quinlan DC, Davidson AG, Summers CL,et al. Accumulation of p53 protein correlates with a poor prognosis in human lung cancer.Cancer Res,1992,52:4828- 4831.
5 Mayer A, Takimoto M, Fritz E, et al. The prognostic significance of proliferating cell nuclear antigen,epidermal growth factor receptor, and mdr gene expression in colorectal cancer. Cancer,1993,71:2454-2460.
6 Jain S,Filipe MI,Hall PA,et al. Prognostic value of proliferating cell nuclear antigen in gastric carcinoma.J Clin Pathol, 1991, 44:655-659.
(收稿:1997-03-24 修回:1997-12-03), 百拇医药