失神经支配后喉内肌细胞增殖状态的变化
作者:温武 周水淼 李兆基 余永伟 黄海
单位:200433 上海 第二军医大学长海医院耳鼻咽喉科(温武、周水淼、李兆基、黄海),病理科(余永伟)
关键词:声带麻痹;喉;肌去神经法;肌萎缩;细胞图像分析
中华耳鼻咽喉科杂志980207 【摘要】 目的 了解犬喉内肌失神经支配后细胞萎缩和增殖状态的变化规律,对反映肌肉不可逆改变的指标进行初步探讨。方法 在喉返神经切断后不同时间,取犬的甲杓肌及环杓侧肌进行如下观察:①HE染色测肌细胞的截面积;②Van Gieson染色测定胶原纤维与肌细胞面积比;③CAS200图像分析系统DNA定量测定方法统计S期细胞核比例。结果 甲杓肌及环杓侧肌失神经支配后6个月内肌细胞的截面积无明显改变,6个月后肌细胞的截面积明显减少,胶原纤维与肌细胞面积比随时间推移明显增高,且二者以失神经支配5个月时S期细胞核所占百分比最高,以后减少。结论 甲杓肌及环杓侧肌失神经支配后5个月内保持高增殖水平,以后均降低,失神经支配6个月后肌萎缩开始明显。故神经修复术应力争早期进行。细胞增殖状态指标是反映肌萎缩是否可逆的潜在指标,有助判断神经修复术的预后,并可提供行神经修复术的时机及方法的选择。
, http://www.100md.com
Change of cell proliferation after the denervation
laryngeal adducent muscles in dogs
Wen Wu, Zhou Shuimiao, Li Zhaoji, et al. Changhai Hosptital,Second Military Medical University, Shanghai 200433
【Abstract】 Objective To investigate the changes of cell proliferation state after denervation of laryngeal adducent muscles in dog.Methods The muscles were obtained from 8 dogs with recurrent lanyrgeal nerves injured. The cross sectional areas of muscle cells were measured by VIDS Image Analysis System in HE stained sections. A quantitative collagen/muscle ratio was measured by TJTY-300 image analysis system in Van Gieson stained sections. The percentages of S phase cell nucleus were calculated by image cytometry/DNA quantitative analysis with CAS 200 System. Results It showed that the cross sectional area of muscle cells decreased gradually after denervation (out-standing in 6 months after denervation ) and collagen/muscle ratio increased significantly with time. The percentage of S phase nucleus was high at 5 months and then decreased. Conclusion The proliferation of thyroarytenoid muscle and lateral cricoarytenoid muscle cell of dog remained at high level in 5 months after denervation and then slowed down and atrophy of muscles occurred 6 months after denervation.This suggests that nerve repair should be performed early. Examination of cell proliferation might indicate if the denervation of cells irreversible. It is helpful in choosing proper surgery and estimating the effect of nerve repair.
, 百拇医药
【Key words】 Vocal cord paralysis Larynx Muscle denervation Muscular atrophy Image cytometry
喉内收肌失神经支配后的变化已有很多研究[1]。细胞增殖属细胞的生物学行为,是最基本的生物过程之一,已应用于多种恶性肿瘤的研究,于非肿瘤疾病的研究亦已开始应用[2]。我们用美国CAS200细胞分析系统[3],对犬失神经支配喉内收肌细胞核DNA含量进行原位定量研究,以探讨反映肌萎缩病变是否为可逆性的潜在指标。
材料和方法
一、实验动物及取材
选用体重9.5~12 kg健康成年杂种犬8只,分别于右喉返神经切断后1、2、3、4、5、6、9、12个月在全身麻醉下处死动物,取下右甲杓肌、右环杓侧肌为样品备检测,左甲杓肌及左环杓侧肌为正常对照。
, 百拇医药
二、观察技术及分析
将取下的喉内收肌放入10%中性缓冲甲醛液中固定,常规石腊包埋、切片(行纵切面和横切面)。分别作HE染色、Van Gieson(VG)染色和Feulger-DNA染色。
HE染色切片采用VIDSⅢ图像分析系统半自动法测定肌细胞横截面积。每张切片测量50个细胞,自动计算均数。
VG染色切片采用TJTY-300图像分析系统测定胶原纤维与肌细胞面积比。选纵切面(肌细胞与肌束间膜交界处)、高倍视野(20×10)下手动测量肌细胞面积,二值化后半自动法测量胶原纤维面积,计算胶原纤维与肌细胞面积比。
用美国CAS200型自动图像分析仪和DNA图像分析技术,对待检切片细胞核积分光密度值进行运算,得出细胞核DNA含量,选择细胞分散、背景清晰的细胞核逐一测定。每张切片测定100个细胞。
, 百拇医药
分析指标:该组细胞核类型均为二倍体,即直方图中只有一个峰[4],并与对照标准二倍体峰重叠。将主峰与对照峰之间的细胞核归为S期,统计该部分细胞的百分比。
结果
一、肌细胞的横截面积
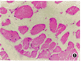
随失神经支配时间延长,喉内收肌出现不同程度萎缩,细胞间的结缔组织增多,肌细胞横截面积随时间推移呈降低趋势(图1)。
计算得出,正常甲杓肌及环杓侧肌横截面积分别为:588±63μm2和679±84μm2 ,而失神经支配后6、9和12个月甲杓肌和环杓侧肌横截面积分别为:550±86μm2 ,509±121μm2 和461±145μm2 ;640±101μm2 ,591±132μm2 和538±159μm2 。经统计分析6个月内甲杓肌及环杓侧肌的肌细胞横截面积与正常相比差异并无显著性,失神经9和12个月肌细胞横截面积明显减小,与正常相比差异有显著性(t检验,P<0.05)。
, http://www.100md.com
二、胶原纤维与肌细胞面积比
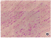
VG染色后,光镜下胶原纤维被染成明亮红色,肌细胞呈黄色。可观察到失神经支配的甲杓肌、环杓侧肌细胞间红染的胶原纤维增多,失神经时间越长,胶原纤维增多越明显。胶原纤维呈网状分布在肌纤维间,肌束间可见成束或成片的胶原纤维(图2)。正常及失神经支配后不同时间甲杓肌与环杓侧肌胶原纤维与肌细胞面积比见图3。总的趋势是随失神经支配时间延长呈增加趋势。
三、DNA染色细胞图像分析
Feulger-DNA染色后甲杓肌及环杓侧肌细胞核呈粉红色(图4),经图像分析甲杓肌和环杓侧肌细胞失神经支配5个月时S期核百分比最高,以后渐减少。


, http://www.100md.com
图1 失神经后12个月甲杓肌细胞横切面.肌细胞出现不同程度的萎缩.HE×100 图2 失神经后12个月杓肌纵切面.胶原纤维呈亮细色.VG染色 ×25 图4 失神经后1个月甲杓肌纵切面.肌细胞核呈粉红色,Feulger-DNA染色 ×25
图3 正常及失神经支配不同时间胶原纤维与肌细胞面积比
讨论
骨骼肌纤维的分化和营养主要通过支配该肌的神经调节,许多学者均发现喉返神经损伤后,喉内肌出现萎缩,并随时间延长而加重,而神经损伤后肌萎缩程度依赖于肌纤维类型的不同,慢肌萎缩较快肌明显[1]。犬环杓后肌以Ⅰ型纤维为主,属慢肌,甲杓肌及环杓侧肌以Ⅱ型纤维为主,属快肌,故甲杓肌及环杓侧肌较环杓后肌萎缩程度轻。这与我们的观察是一致的,我们在取材时发现同一时间环杓后肌较甲杓肌及环杓侧肌萎缩明显(在重量及体积上与健侧相比)。在HE染色切片中可观察到随时间延长,甲杓肌及环杓侧肌细胞横截面积失神经支配6个月内减少不明显,可能与我们见到有些肌细胞自溶,而有的肌细胞代偿肥大有关。在VG染色中我们观察到甲杓肌及环杓侧肌的胶原纤维和肌细胞面积比在失神经支配9个月后明显增高,这与延期神经再支配手术的疗效呈负相关[5],这是由于胶原纤维增多影响了神经末梢的达靶作用。
, 百拇医药
肌细胞萎缩恢复程度取决于神经再支配时机,究竟何时延期神经再支配萎缩的肌纤维可恢复到同正常功能一样状态,细胞增殖的研究为我们提供了参考。目前研究细胞增殖的方法有数种。本研究用的美国CAS200细胞分析系统是DNA含量分析的一项重要手段,在恶性肿瘤诊断治疗中已广泛应用[3,4]。由于测定材料是病理上常用的切片或涂片,通过特殊染色后应用图像细胞仪即可获得直方图进行分析,方法简便、实用,且准确性高。将这些方法应用于非肿瘤研究同样可帮助我们了解细胞的增殖状态和生物学行为。细胞分裂增殖的实质是DNA复制,DNA含量的变化可作为直接反映细胞增殖能力的生物学指标,这是常规光镜及电镜无法观察的。
Savettieri等[6]报道大鼠失神经支配肌肉DNA绝对量下降,14天时降低50%,而DNA酶与正常差异无显著性。McGeachie[7]用氘标记胸腺嘧啶注射小鼠,发现肌细胞核、结缔组织细胞增殖和更新至少在失神经支配后1个月保持高水平。本研究结果提示犬甲杓肌及环杓侧肌失神经支配后5个月内保持高增殖水平,以后下降,这与我们研究观察到这一时间以后行神经移植术,喉内肌不能完全恢复到正常状态,且效果逐渐降低相吻合,也说明了延期到6个月后神经再支配喉功能恢复不如即刻神经再支配的缘故。因此,细胞增殖状态指标有助于判断肌萎缩病变是否可逆及推测神经修复术的预后,并可提供行神经修复术的时机及方法的选择。
, http://www.100md.com
国家自然科学基金资助项目(编号 39700156)
参考文献
1 崔建华,曹郁琦,杨式麟.喉返神经损伤后喉内肌酶组织化学和超微结构改变的研究进展.国外医学耳鼻咽喉分册,1993, 17: 260-262.
2 孙建军,汪吉宝,李桂榕.声损伤后基底乳头中DNA复制与细胞增殖.中华耳鼻咽喉科杂志,1996, 31: 344-347.
3 Sarker SK, Patel KS.Mean nuclear area and chromosomal DNA content of squamous cell carcinomas of the oral cavity using computerized image analysis. J Laryngol Otol,1997,111:141-144.
, http://www.100md.com
4 Sarker SK, Ghufoor K, Pater KS, et al. Nnclear DNA content using computerized image cytometry of squamous cell carcinomas of head and neck. J Laryngol Otol, 1997, 111: 43-47.
5 郑宏良,李兆基,周水淼,等.延期神经吻合术重建声带内收功能的实验研究.中华耳鼻咽喉科杂志,1994, 29: 218-220.
6 Savettieri G, Albanese I. The influence of denervation on DNA content in skeletal muscle fibers. Cell Biol Int Rep, 1981,5: 845-849.
7 McGeachie JK. Sustained cell proliferation in denervated skeletal muscle of mice. Cell Tissue Res, 1989, 257: 455-457.
(收稿:1997-09-09 修回:1997-12-27), 百拇医药
单位:200433 上海 第二军医大学长海医院耳鼻咽喉科(温武、周水淼、李兆基、黄海),病理科(余永伟)
关键词:声带麻痹;喉;肌去神经法;肌萎缩;细胞图像分析
中华耳鼻咽喉科杂志980207 【摘要】 目的 了解犬喉内肌失神经支配后细胞萎缩和增殖状态的变化规律,对反映肌肉不可逆改变的指标进行初步探讨。方法 在喉返神经切断后不同时间,取犬的甲杓肌及环杓侧肌进行如下观察:①HE染色测肌细胞的截面积;②Van Gieson染色测定胶原纤维与肌细胞面积比;③CAS200图像分析系统DNA定量测定方法统计S期细胞核比例。结果 甲杓肌及环杓侧肌失神经支配后6个月内肌细胞的截面积无明显改变,6个月后肌细胞的截面积明显减少,胶原纤维与肌细胞面积比随时间推移明显增高,且二者以失神经支配5个月时S期细胞核所占百分比最高,以后减少。结论 甲杓肌及环杓侧肌失神经支配后5个月内保持高增殖水平,以后均降低,失神经支配6个月后肌萎缩开始明显。故神经修复术应力争早期进行。细胞增殖状态指标是反映肌萎缩是否可逆的潜在指标,有助判断神经修复术的预后,并可提供行神经修复术的时机及方法的选择。
, http://www.100md.com
Change of cell proliferation after the denervation
laryngeal adducent muscles in dogs
Wen Wu, Zhou Shuimiao, Li Zhaoji, et al. Changhai Hosptital,Second Military Medical University, Shanghai 200433
【Abstract】 Objective To investigate the changes of cell proliferation state after denervation of laryngeal adducent muscles in dog.Methods The muscles were obtained from 8 dogs with recurrent lanyrgeal nerves injured. The cross sectional areas of muscle cells were measured by VIDS Image Analysis System in HE stained sections. A quantitative collagen/muscle ratio was measured by TJTY-300 image analysis system in Van Gieson stained sections. The percentages of S phase cell nucleus were calculated by image cytometry/DNA quantitative analysis with CAS 200 System. Results It showed that the cross sectional area of muscle cells decreased gradually after denervation (out-standing in 6 months after denervation ) and collagen/muscle ratio increased significantly with time. The percentage of S phase nucleus was high at 5 months and then decreased. Conclusion The proliferation of thyroarytenoid muscle and lateral cricoarytenoid muscle cell of dog remained at high level in 5 months after denervation and then slowed down and atrophy of muscles occurred 6 months after denervation.This suggests that nerve repair should be performed early. Examination of cell proliferation might indicate if the denervation of cells irreversible. It is helpful in choosing proper surgery and estimating the effect of nerve repair.
, 百拇医药
【Key words】 Vocal cord paralysis Larynx Muscle denervation Muscular atrophy Image cytometry
喉内收肌失神经支配后的变化已有很多研究[1]。细胞增殖属细胞的生物学行为,是最基本的生物过程之一,已应用于多种恶性肿瘤的研究,于非肿瘤疾病的研究亦已开始应用[2]。我们用美国CAS200细胞分析系统[3],对犬失神经支配喉内收肌细胞核DNA含量进行原位定量研究,以探讨反映肌萎缩病变是否为可逆性的潜在指标。
材料和方法
一、实验动物及取材
选用体重9.5~12 kg健康成年杂种犬8只,分别于右喉返神经切断后1、2、3、4、5、6、9、12个月在全身麻醉下处死动物,取下右甲杓肌、右环杓侧肌为样品备检测,左甲杓肌及左环杓侧肌为正常对照。
, 百拇医药
二、观察技术及分析
将取下的喉内收肌放入10%中性缓冲甲醛液中固定,常规石腊包埋、切片(行纵切面和横切面)。分别作HE染色、Van Gieson(VG)染色和Feulger-DNA染色。
HE染色切片采用VIDSⅢ图像分析系统半自动法测定肌细胞横截面积。每张切片测量50个细胞,自动计算均数。
VG染色切片采用TJTY-300图像分析系统测定胶原纤维与肌细胞面积比。选纵切面(肌细胞与肌束间膜交界处)、高倍视野(20×10)下手动测量肌细胞面积,二值化后半自动法测量胶原纤维面积,计算胶原纤维与肌细胞面积比。
用美国CAS200型自动图像分析仪和DNA图像分析技术,对待检切片细胞核积分光密度值进行运算,得出细胞核DNA含量,选择细胞分散、背景清晰的细胞核逐一测定。每张切片测定100个细胞。
, 百拇医药
分析指标:该组细胞核类型均为二倍体,即直方图中只有一个峰[4],并与对照标准二倍体峰重叠。将主峰与对照峰之间的细胞核归为S期,统计该部分细胞的百分比。
结果
一、肌细胞的横截面积
随失神经支配时间延长,喉内收肌出现不同程度萎缩,细胞间的结缔组织增多,肌细胞横截面积随时间推移呈降低趋势(图1)。
计算得出,正常甲杓肌及环杓侧肌横截面积分别为:588±63μm2和679±84μm2 ,而失神经支配后6、9和12个月甲杓肌和环杓侧肌横截面积分别为:550±86μm2 ,509±121μm2 和461±145μm2 ;640±101μm2 ,591±132μm2 和538±159μm2 。经统计分析6个月内甲杓肌及环杓侧肌的肌细胞横截面积与正常相比差异并无显著性,失神经9和12个月肌细胞横截面积明显减小,与正常相比差异有显著性(t检验,P<0.05)。
, http://www.100md.com
二、胶原纤维与肌细胞面积比
VG染色后,光镜下胶原纤维被染成明亮红色,肌细胞呈黄色。可观察到失神经支配的甲杓肌、环杓侧肌细胞间红染的胶原纤维增多,失神经时间越长,胶原纤维增多越明显。胶原纤维呈网状分布在肌纤维间,肌束间可见成束或成片的胶原纤维(图2)。正常及失神经支配后不同时间甲杓肌与环杓侧肌胶原纤维与肌细胞面积比见图3。总的趋势是随失神经支配时间延长呈增加趋势。
三、DNA染色细胞图像分析
Feulger-DNA染色后甲杓肌及环杓侧肌细胞核呈粉红色(图4),经图像分析甲杓肌和环杓侧肌细胞失神经支配5个月时S期核百分比最高,以后渐减少。
, http://www.100md.com
图1 失神经后12个月甲杓肌细胞横切面.肌细胞出现不同程度的萎缩.HE×100 图2 失神经后12个月杓肌纵切面.胶原纤维呈亮细色.VG染色 ×25 图4 失神经后1个月甲杓肌纵切面.肌细胞核呈粉红色,Feulger-DNA染色 ×25
图3 正常及失神经支配不同时间胶原纤维与肌细胞面积比
讨论
骨骼肌纤维的分化和营养主要通过支配该肌的神经调节,许多学者均发现喉返神经损伤后,喉内肌出现萎缩,并随时间延长而加重,而神经损伤后肌萎缩程度依赖于肌纤维类型的不同,慢肌萎缩较快肌明显[1]。犬环杓后肌以Ⅰ型纤维为主,属慢肌,甲杓肌及环杓侧肌以Ⅱ型纤维为主,属快肌,故甲杓肌及环杓侧肌较环杓后肌萎缩程度轻。这与我们的观察是一致的,我们在取材时发现同一时间环杓后肌较甲杓肌及环杓侧肌萎缩明显(在重量及体积上与健侧相比)。在HE染色切片中可观察到随时间延长,甲杓肌及环杓侧肌细胞横截面积失神经支配6个月内减少不明显,可能与我们见到有些肌细胞自溶,而有的肌细胞代偿肥大有关。在VG染色中我们观察到甲杓肌及环杓侧肌的胶原纤维和肌细胞面积比在失神经支配9个月后明显增高,这与延期神经再支配手术的疗效呈负相关[5],这是由于胶原纤维增多影响了神经末梢的达靶作用。
, 百拇医药
肌细胞萎缩恢复程度取决于神经再支配时机,究竟何时延期神经再支配萎缩的肌纤维可恢复到同正常功能一样状态,细胞增殖的研究为我们提供了参考。目前研究细胞增殖的方法有数种。本研究用的美国CAS200细胞分析系统是DNA含量分析的一项重要手段,在恶性肿瘤诊断治疗中已广泛应用[3,4]。由于测定材料是病理上常用的切片或涂片,通过特殊染色后应用图像细胞仪即可获得直方图进行分析,方法简便、实用,且准确性高。将这些方法应用于非肿瘤研究同样可帮助我们了解细胞的增殖状态和生物学行为。细胞分裂增殖的实质是DNA复制,DNA含量的变化可作为直接反映细胞增殖能力的生物学指标,这是常规光镜及电镜无法观察的。
Savettieri等[6]报道大鼠失神经支配肌肉DNA绝对量下降,14天时降低50%,而DNA酶与正常差异无显著性。McGeachie[7]用氘标记胸腺嘧啶注射小鼠,发现肌细胞核、结缔组织细胞增殖和更新至少在失神经支配后1个月保持高水平。本研究结果提示犬甲杓肌及环杓侧肌失神经支配后5个月内保持高增殖水平,以后下降,这与我们研究观察到这一时间以后行神经移植术,喉内肌不能完全恢复到正常状态,且效果逐渐降低相吻合,也说明了延期到6个月后神经再支配喉功能恢复不如即刻神经再支配的缘故。因此,细胞增殖状态指标有助于判断肌萎缩病变是否可逆及推测神经修复术的预后,并可提供行神经修复术的时机及方法的选择。
, http://www.100md.com
国家自然科学基金资助项目(编号 39700156)
参考文献
1 崔建华,曹郁琦,杨式麟.喉返神经损伤后喉内肌酶组织化学和超微结构改变的研究进展.国外医学耳鼻咽喉分册,1993, 17: 260-262.
2 孙建军,汪吉宝,李桂榕.声损伤后基底乳头中DNA复制与细胞增殖.中华耳鼻咽喉科杂志,1996, 31: 344-347.
3 Sarker SK, Patel KS.Mean nuclear area and chromosomal DNA content of squamous cell carcinomas of the oral cavity using computerized image analysis. J Laryngol Otol,1997,111:141-144.
, http://www.100md.com
4 Sarker SK, Ghufoor K, Pater KS, et al. Nnclear DNA content using computerized image cytometry of squamous cell carcinomas of head and neck. J Laryngol Otol, 1997, 111: 43-47.
5 郑宏良,李兆基,周水淼,等.延期神经吻合术重建声带内收功能的实验研究.中华耳鼻咽喉科杂志,1994, 29: 218-220.
6 Savettieri G, Albanese I. The influence of denervation on DNA content in skeletal muscle fibers. Cell Biol Int Rep, 1981,5: 845-849.
7 McGeachie JK. Sustained cell proliferation in denervated skeletal muscle of mice. Cell Tissue Res, 1989, 257: 455-457.
(收稿:1997-09-09 修回:1997-12-27), 百拇医药