液氮冷冻治疗慢性肥厚性鼻炎形态学研究
作者:刘慧民 朱平
单位:150010 哈尔滨市第一医院耳鼻咽喉科(刘慧民);哈尔滨医科大学电镜室(朱平)
关键词:鼻炎;冷冻;鼻粘膜;显微镜检查;电子;扫描
中华耳鼻咽喉科杂志/990112 【摘要】 目的 以光镜和电镜观察液氮冷冻治疗慢性肥厚性鼻炎鼻粘膜的变化。方法 对30例病程在10年左右慢性肥厚性鼻炎患者,于治疗前、第1次治疗后2周和第2次治疗后8~10周行鼻粘膜活体组织检查,进行光、电镜观察。结果 冷冻前鼻粘膜上皮呈不同程度的鳞状化生和增厚。第1次冷冻后2周鼻粘膜上皮退化、脱落,上皮层明显变薄。第2次冷冻后8~10周鼻粘膜形成新的上皮层,可见较多柱状上皮细胞,并见微绒毛和短纤毛再生,较规整。 结论 冷冻治疗可改善鼻粘膜病变,从而改善和恢复鼻粘膜生理功能。
Morphological study on chronic hypertrophic rhinitis treated with cryosurgery LIU Huimin*, ZHU Ping.* Department of Otorhinolaryngology, Harbin First Hospital, Harbin 150010
, 百拇医药
【Abstract】 Objective To approach the effect of cryosurgery on the mucous membrane of patients with chronic hypertrophic rhinitis.Methods Thirty cases of chronic hypertrophic rhinitis treated with cryosurgery were observed by light, transmission and scanning electron microscopy. Results Before cryosurgery, the mucous epithelia were squamous metaplastic. After the first cryosurgery, the epithelia degenerated and fell off. After the second cryosurgery, the epithelia regenerated and cilia formed. Conclusion The results showed that cryosurgery could diminish the pathological changes and improve the nasal function.
, http://www.100md.com
【Key words】 Rhinitis Freezing Nasal mucosa Microscopy, electron,scanning
液氮冷冻治疗慢性肥厚性鼻炎已日益受到国内外专家的重视。Ozenberger[1,2]、Holden[3]和刘运章等[4]报道采用此手段治疗慢性鼻炎获得显著疗效。我科从1983年开始应用液氮冷冻治疗各种类型鼻炎收到良好效果[5]。为探讨冷冻治疗对鼻粘膜组织学和超微结构的影响,采用光镜、扫描和透射电镜对30例治疗前后鼻粘膜组织进行观察。报道如下。
材料和方法
材料和方法
一、治疗方法
以-196℃液氮为冷冻剂,采用浙江手提式低温瓶,自制冷冻头宽0.5 cm,长5.5 cm,略呈扁弧形探头,无麻醉下紧贴下鼻甲,制冷30~45 s,复温后再重复冷冻1次,同法行对侧。2次治疗间隔时间为2周以上。
, http://www.100md.com
二、光、电镜标本制作
选取病程10年左右,具有典型临床症状和体征的慢性肥厚性鼻炎患者30例,于治疗前、第1次治疗后2周和第2次治疗后8~10周行鼻粘膜组织活体检查。取样后立即置入3%戊二醛冷液中固定,逐级丙酮脱水,常规环氧树脂618包埋,半薄切片,光镜观察及定位,LKB-V型超薄切片,经醋酸铀、柠檬酸铅双重电子染色,日立H-600A型透射电子显微镜观察。扫描电镜样品脱水后经醋酸异戊酯置换,二氧化碳临界点干燥、金属镀膜,日立S-520扫描电镜观察。
结果
一、光镜
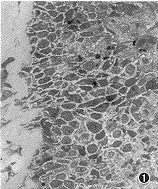
冷冻治疗前鼻粘膜显示典型的慢性肥厚性鼻炎的病理变化,粘膜上皮呈不同程度的鳞状上皮化生、增厚(图1),鳞状化生上皮为多角形或椭圆形,上皮间有许多短的棘状突起,并可见淋巴细胞浸润。固有层结缔组织增生水肿,炎细胞浸润。
, http://www.100md.com
图1 冷冻前鼻粘膜光镜观察,上皮增生,鳞状上皮化生(*)。×40
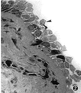
第1次冷冻后2周鼻粘膜上皮肿大、变圆、淡染,细胞间排列松散,可见许多细胞分离、脱落,上皮层明显变薄(图2)。
图2 第一次冷冻2周后鼻粘膜光镜观察,上皮分离、脱落(▲),上皮层变薄。×40
第2次冷冻后8~10周鼻粘膜为柱状上皮层,单层或复层,上皮游离端可见纤毛。固有层结缔组织水肿明显减轻(图3)。
图3 第二次冷冻后鼻粘膜光镜观察,上皮呈单层或复层柱状,游离端可见纤毛。×20
二、扫描电镜
, http://www.100md.com
冷冻前鼻粘膜多为鳞状上皮,细胞呈多角形、有核部凸出,部分上皮间隙较宽。少许上皮呈柱状,表面纤毛排列紊乱、长短不一。
第2次冷冻后8~10周粘膜可见较多柱状上皮,排列尚规则,表面有散在的微绒毛(图4),有的上皮细胞呈高柱状,表面有大量短纤毛,较规整(图5)。
图4 第二次冷冻后8~10周鼻粘膜扫描电镜图像。可见柱状上皮排列规则,表面有散在的微绒毛(
)标尺=5 μm
图5 第二次冷冻后鼻粘膜上皮扫描电镜图像,可见整齐的纤毛(
)标尺=1μm
, http://www.100md.com
三、透射电镜
冷冻前鼻粘膜上皮呈多层排列,多角形,细胞间有桥粒连接,胞质内张力微丝清晰(图6),细胞器有小圆形线粒体和短小的粗面内质网。线粒体呈不同程度肿胀变性。基底层上皮核较大,核仁明显,胞质内核糖体丰富,偶见纤毛柱状上皮、杯状细胞。固有层胶原纤维明显增生,排列紊乱并有大量炎细胞浸润。血管扩张,内皮肿胀。
图6 冷冻前鼻粘膜透射电镜扫描。上皮鳞状化生,胞质内或见张力微丝(
)标尺=2μm
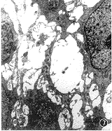
第1次冷冻后上皮细胞有明暗两种形态,明细胞核淡染,胞质空,细胞器变性重,可见许多大泡形成(图7)。暗细胞电子密度高,细胞器完整。上皮间有较多淋巴细胞浸润。
, 百拇医药
图7 第一次冷冻后鼻粘膜透射电镜图像,上皮间可见较多的大泡间隙(*)标尺=1 μm
第2次冷冻后上皮呈柱状或高柱状,细胞器丰富,游离端有密集微绒毛或纤毛,纤毛短而整齐,微管和中心管清晰(图8)。固有层浆细胞、淋巴细胞和巨噬细胞数量增多,浆细胞内粗面内质网扩张,网池内充满中等电子密度的絮状物(图9),说明蛋白合成旺盛。小血管内线粒体数量增多。
图8 第二次冷冻后鼻粘膜上皮扫描电镜图像。可见许多横断纤毛,微管、中心管清晰、规整(
)标尺=1μm
图9 第二次冷冻后鼻粘膜透射电镜图像,可见浆细胞内粗面内质网扩张,网池内充满絮状物(
)标尺=1μm
, 百拇医药
讨论
液氮冷冻治疗是利用短暂的超低温形成局部组织的快速降温,引起细胞内外冰晶形成,使细胞变性、坏死、脱落,形成新的上皮层,以恢复组织功能[4]。我们对治疗的慢性肥厚性鼻炎患者随访1年以上,自觉症状明显改善,鼻腔通气良好,分泌物少或无。局部检查:鼻粘膜由暗红或桑椹样改变转变为粉红色,双下鼻甲缩小, 全部病例没有发生近期或长期不良反应及鼻中隔穿孔、萎缩性鼻炎等并发症。
液氮冷冻治疗前鼻粘膜表现典型的慢性肥厚性鼻炎的病理形态学改变,即鼻粘膜假复层纤毛柱状上皮由鳞状上皮代替,呈不同程度的化生。固有层结缔组织增生,疏松水肿,炎细胞浸润。经液氮冷冻治疗后鼻粘膜的变化是:第1次冷冻后2周粘膜上皮肿大、变圆、细胞分离、脱落,使增厚的上皮层逐渐变薄。第2次冷冻后8~10周,粘膜可见柱状上皮形成并可见短的整齐的纤毛。这种整齐的短纤毛是假复层柱状上皮再生的表现[6,7]。在所观察的标本中,均出现了上述形态学改变。
, 百拇医药
冷冻后鼻粘膜固有层浆细胞、淋巴细胞增多、活跃,提示冷冻后机体局部免疫能力可能增强、改善。本观察没有进行局部免疫功能的检测,但形态学研究结果与之一致。
《参考文献》
1 Ozenberger JM. Cryosurgery in chronic rhinitis. Laryngoscope, 1970,80:723-734.
2 Ozenberger JM. Cryosurgery for the treatment of chronic rhinitis. Laryngoscope , 1973,83:508-516.
3 Holden HB. Cryosurgery in ENT practice. J Laryngol Otol, 1972,86:821-827.
4 刘金刚,刘作斌.低温医学.北京:人民卫生出版社,1993.337-378.
5 刘慧民.低温冷冻治疗慢性鼻炎2 000例疗效观察. 黑龙江医学, 1993,5:9-10.
6 许庚. 四种常见鼻病的鼻粘膜扫描电镜观察. 中华耳鼻咽喉科杂志, 1985,20:107- 108.
7 钱进,汪磊.窦口鼻道复合体粘膜纤毛的超微结构观察.中华耳鼻咽喉科杂志, 1996, 31:6-7.
(收稿:1998-05-28 修回:1998-10-10), 百拇医药
单位:150010 哈尔滨市第一医院耳鼻咽喉科(刘慧民);哈尔滨医科大学电镜室(朱平)
关键词:鼻炎;冷冻;鼻粘膜;显微镜检查;电子;扫描
中华耳鼻咽喉科杂志/990112 【摘要】 目的 以光镜和电镜观察液氮冷冻治疗慢性肥厚性鼻炎鼻粘膜的变化。方法 对30例病程在10年左右慢性肥厚性鼻炎患者,于治疗前、第1次治疗后2周和第2次治疗后8~10周行鼻粘膜活体组织检查,进行光、电镜观察。结果 冷冻前鼻粘膜上皮呈不同程度的鳞状化生和增厚。第1次冷冻后2周鼻粘膜上皮退化、脱落,上皮层明显变薄。第2次冷冻后8~10周鼻粘膜形成新的上皮层,可见较多柱状上皮细胞,并见微绒毛和短纤毛再生,较规整。 结论 冷冻治疗可改善鼻粘膜病变,从而改善和恢复鼻粘膜生理功能。
Morphological study on chronic hypertrophic rhinitis treated with cryosurgery LIU Huimin*, ZHU Ping.* Department of Otorhinolaryngology, Harbin First Hospital, Harbin 150010
, 百拇医药
【Abstract】 Objective To approach the effect of cryosurgery on the mucous membrane of patients with chronic hypertrophic rhinitis.Methods Thirty cases of chronic hypertrophic rhinitis treated with cryosurgery were observed by light, transmission and scanning electron microscopy. Results Before cryosurgery, the mucous epithelia were squamous metaplastic. After the first cryosurgery, the epithelia degenerated and fell off. After the second cryosurgery, the epithelia regenerated and cilia formed. Conclusion The results showed that cryosurgery could diminish the pathological changes and improve the nasal function.
, http://www.100md.com
【Key words】 Rhinitis Freezing Nasal mucosa Microscopy, electron,scanning
液氮冷冻治疗慢性肥厚性鼻炎已日益受到国内外专家的重视。Ozenberger[1,2]、Holden[3]和刘运章等[4]报道采用此手段治疗慢性鼻炎获得显著疗效。我科从1983年开始应用液氮冷冻治疗各种类型鼻炎收到良好效果[5]。为探讨冷冻治疗对鼻粘膜组织学和超微结构的影响,采用光镜、扫描和透射电镜对30例治疗前后鼻粘膜组织进行观察。报道如下。
材料和方法
材料和方法
一、治疗方法
以-196℃液氮为冷冻剂,采用浙江手提式低温瓶,自制冷冻头宽0.5 cm,长5.5 cm,略呈扁弧形探头,无麻醉下紧贴下鼻甲,制冷30~45 s,复温后再重复冷冻1次,同法行对侧。2次治疗间隔时间为2周以上。
, http://www.100md.com
二、光、电镜标本制作
选取病程10年左右,具有典型临床症状和体征的慢性肥厚性鼻炎患者30例,于治疗前、第1次治疗后2周和第2次治疗后8~10周行鼻粘膜组织活体检查。取样后立即置入3%戊二醛冷液中固定,逐级丙酮脱水,常规环氧树脂618包埋,半薄切片,光镜观察及定位,LKB-V型超薄切片,经醋酸铀、柠檬酸铅双重电子染色,日立H-600A型透射电子显微镜观察。扫描电镜样品脱水后经醋酸异戊酯置换,二氧化碳临界点干燥、金属镀膜,日立S-520扫描电镜观察。
结果
一、光镜
冷冻治疗前鼻粘膜显示典型的慢性肥厚性鼻炎的病理变化,粘膜上皮呈不同程度的鳞状上皮化生、增厚(图1),鳞状化生上皮为多角形或椭圆形,上皮间有许多短的棘状突起,并可见淋巴细胞浸润。固有层结缔组织增生水肿,炎细胞浸润。
, http://www.100md.com
图1 冷冻前鼻粘膜光镜观察,上皮增生,鳞状上皮化生(*)。×40
第1次冷冻后2周鼻粘膜上皮肿大、变圆、淡染,细胞间排列松散,可见许多细胞分离、脱落,上皮层明显变薄(图2)。
图2 第一次冷冻2周后鼻粘膜光镜观察,上皮分离、脱落(▲),上皮层变薄。×40
第2次冷冻后8~10周鼻粘膜为柱状上皮层,单层或复层,上皮游离端可见纤毛。固有层结缔组织水肿明显减轻(图3)。
图3 第二次冷冻后鼻粘膜光镜观察,上皮呈单层或复层柱状,游离端可见纤毛。×20
二、扫描电镜
, http://www.100md.com
冷冻前鼻粘膜多为鳞状上皮,细胞呈多角形、有核部凸出,部分上皮间隙较宽。少许上皮呈柱状,表面纤毛排列紊乱、长短不一。
第2次冷冻后8~10周粘膜可见较多柱状上皮,排列尚规则,表面有散在的微绒毛(图4),有的上皮细胞呈高柱状,表面有大量短纤毛,较规整(图5)。
图4 第二次冷冻后8~10周鼻粘膜扫描电镜图像。可见柱状上皮排列规则,表面有散在的微绒毛(
图5 第二次冷冻后鼻粘膜上皮扫描电镜图像,可见整齐的纤毛(
, http://www.100md.com
三、透射电镜
冷冻前鼻粘膜上皮呈多层排列,多角形,细胞间有桥粒连接,胞质内张力微丝清晰(图6),细胞器有小圆形线粒体和短小的粗面内质网。线粒体呈不同程度肿胀变性。基底层上皮核较大,核仁明显,胞质内核糖体丰富,偶见纤毛柱状上皮、杯状细胞。固有层胶原纤维明显增生,排列紊乱并有大量炎细胞浸润。血管扩张,内皮肿胀。
图6 冷冻前鼻粘膜透射电镜扫描。上皮鳞状化生,胞质内或见张力微丝(
第1次冷冻后上皮细胞有明暗两种形态,明细胞核淡染,胞质空,细胞器变性重,可见许多大泡形成(图7)。暗细胞电子密度高,细胞器完整。上皮间有较多淋巴细胞浸润。
, 百拇医药
图7 第一次冷冻后鼻粘膜透射电镜图像,上皮间可见较多的大泡间隙(*)标尺=1 μm
第2次冷冻后上皮呈柱状或高柱状,细胞器丰富,游离端有密集微绒毛或纤毛,纤毛短而整齐,微管和中心管清晰(图8)。固有层浆细胞、淋巴细胞和巨噬细胞数量增多,浆细胞内粗面内质网扩张,网池内充满中等电子密度的絮状物(图9),说明蛋白合成旺盛。小血管内线粒体数量增多。
图8 第二次冷冻后鼻粘膜上皮扫描电镜图像。可见许多横断纤毛,微管、中心管清晰、规整(
图9 第二次冷冻后鼻粘膜透射电镜图像,可见浆细胞内粗面内质网扩张,网池内充满絮状物(
, 百拇医药
讨论
液氮冷冻治疗是利用短暂的超低温形成局部组织的快速降温,引起细胞内外冰晶形成,使细胞变性、坏死、脱落,形成新的上皮层,以恢复组织功能[4]。我们对治疗的慢性肥厚性鼻炎患者随访1年以上,自觉症状明显改善,鼻腔通气良好,分泌物少或无。局部检查:鼻粘膜由暗红或桑椹样改变转变为粉红色,双下鼻甲缩小, 全部病例没有发生近期或长期不良反应及鼻中隔穿孔、萎缩性鼻炎等并发症。
液氮冷冻治疗前鼻粘膜表现典型的慢性肥厚性鼻炎的病理形态学改变,即鼻粘膜假复层纤毛柱状上皮由鳞状上皮代替,呈不同程度的化生。固有层结缔组织增生,疏松水肿,炎细胞浸润。经液氮冷冻治疗后鼻粘膜的变化是:第1次冷冻后2周粘膜上皮肿大、变圆、细胞分离、脱落,使增厚的上皮层逐渐变薄。第2次冷冻后8~10周,粘膜可见柱状上皮形成并可见短的整齐的纤毛。这种整齐的短纤毛是假复层柱状上皮再生的表现[6,7]。在所观察的标本中,均出现了上述形态学改变。
, 百拇医药
冷冻后鼻粘膜固有层浆细胞、淋巴细胞增多、活跃,提示冷冻后机体局部免疫能力可能增强、改善。本观察没有进行局部免疫功能的检测,但形态学研究结果与之一致。
《参考文献》
1 Ozenberger JM. Cryosurgery in chronic rhinitis. Laryngoscope, 1970,80:723-734.
2 Ozenberger JM. Cryosurgery for the treatment of chronic rhinitis. Laryngoscope , 1973,83:508-516.
3 Holden HB. Cryosurgery in ENT practice. J Laryngol Otol, 1972,86:821-827.
4 刘金刚,刘作斌.低温医学.北京:人民卫生出版社,1993.337-378.
5 刘慧民.低温冷冻治疗慢性鼻炎2 000例疗效观察. 黑龙江医学, 1993,5:9-10.
6 许庚. 四种常见鼻病的鼻粘膜扫描电镜观察. 中华耳鼻咽喉科杂志, 1985,20:107- 108.
7 钱进,汪磊.窦口鼻道复合体粘膜纤毛的超微结构观察.中华耳鼻咽喉科杂志, 1996, 31:6-7.
(收稿:1998-05-28 修回:1998-10-10), 百拇医药