霉菌性中耳乳突炎的诊治
作者:林昶 易自翔 林勤 林有辉 周爱东
单位:350005 福州 福建医科大学附属第一医院耳鼻咽喉科
关键词:
中华耳鼻咽喉科杂志000324 1998年6月~8月我科即收治3例霉菌性中耳乳突炎。现报告典型病例,以期唤起共同注意。
例1 男,21岁, 以反复右耳流脓16年,头晕、呕吐10 d于1998年8月26日入院。查体:右耳道见脓液,耳道深部后上方见3 mm×3 mm×3 mm肉芽,易出血。紧张部大穿孔,瘘管试验(+),Ⅲ度眼震,快相右侧。Weber试验向右。CT示右乳突气化差,鼓室及鼓窦见密度增高影,鼓窦入口扩大,锤骨、砧骨吸收破坏。前庭龛及镫骨底板骨质吸收(图1),半规管骨质破坏,有瘘管形成(图2)。MRI示右上鼓室鼓窦区有密度增高影。脓液培养:表皮葡萄球菌生长。于1998年9月8日行乳突根治术(右),术中见耳道深处充满褐红色质脆肉芽组织,易出血。上鼓室、鼓窦则见褐红色质韧肉芽组织及胆脂瘤,水平半规管见3 mm×1.5 mm椭圆形骨质缺失。锤骨砧骨已吸收破坏,镫骨未见。术后病理报告:右乳突部炎性肉芽组织伴霉菌团形成。术后给大扶康静滴及局部换药。眼震逐渐消失,术后1个月乳突术腔上皮化出院。1年后复查,术腔情况好。
, 百拇医药
例2 女,19岁,以反复右耳流脓、听力下降13年,加剧1年于1998年7月13日入院。查体:右耳道见脓液,近鼓膜处上壁有一局限性隆起,紧张部穿孔,松弛部充血。CT示:右乳突气房混浊,鼓室、鼓窦及鼓窦入口等处见散在分布高密度影。锤骨砧骨吸收破坏,以砧骨明显(图3)。纯音测听:右耳语言频率平均气导:48 dB nHL,骨导正常。脓液培养:丝状霉菌生长。1998年7月21日在局部麻醉下行改良乳突根治术及岩尖病变清理术(右)。术中见乳突气化型,骨质疏松质脆,充满肉芽组织,鼓窦及上鼓室内为褐色质韧肉芽组织,其中有黑色煤渣样颗粒团,如米粒、芝麻样大,病变累及岩尖。锤骨头已大部吸收,砧骨、镫骨吸收破坏。鼓室内为纤维肉芽组织。术后病理报告:中耳乳突腔慢性炎性肉芽组织及霉菌团。术后给斯皮仁诺口服及大扶康静滴、达克宁霜及先锋霉素Ⅴ局部换药,乳突术腔渐上皮化,术后1个半月出院。观察1年多已干耳。
霉菌性中耳乳突炎属于深部真菌病的一种,多见于免疫力低下患者[1], 有时也可能与细菌混合感染(如例1)。本文3例均为青壮年, 考虑主要是长期口服或耳内滴用广谱抗生素使与真菌拮抗的细菌簇受到抑制。此外上鼓室、鼓窦及乳突气房引流不畅,局部pH降低等因素更可促进真菌生长。
, http://www.100md.com
本组病例临床表现如:耳溢液、听力减退、耳鸣及耳痒等症状;脓液有不同程度的带血是霉菌性中耳乳突炎的特征之一。2例出现眩晕、迷路瘘管征等前庭症状,说明本病易发生骨质破坏。影像学检查常见骨质吸收破坏,病灶边缘骨质呈毛糙样改变,易被忽略或误诊为骨疡型中耳炎。因此,临床遇中耳炎长期用药或免疫力低下的患者, 应考虑到该病的可能。确诊依据真菌培养和病理检查,必要时可采用免疫荧光染色快速检出霉菌[2],如在组织切片发现真菌菌丝或孢子,即可做出诊断。
霉菌性中耳乳突炎治疗有赖手术与药物的配合。因霉菌感染有一定侵袭性,故及时的乳突手术是治疗的关键。去除了有利于霉菌繁殖的炎性组织, 也利于抗真菌药物渗入局部。手术的范围应去除病变的骨质及炎性组织,直至正常组织。根据霉菌培养药敏结果选择敏感药物。我们采用斯皮仁诺及大扶康口服或静脉点滴,术后局部涂布达克宁霜或复方康纳乐霜,并加大扶康液或柳酸酒精滴耳,取得较满意的结果。其他措施有停用类固醇类药物, 提高免疫力, 治疗原发糖尿病等。
, http://www.100md.com
(本文图1~3见插页第16页)
图1 例1右侧颞骨CT横断面扫描:乳突气房浑浊,鼓窦入口扩大,锤骨边缘毛糙,箭头示前庭龛及镫骨底板骨质可见吸收现象。右下角插图见对侧正常的乳突气房及镫骨底板
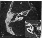
图2 例1右侧颞骨CT横断面扫描:乳突气房浑浊,锤骨及砧骨可见,但周边毛糙。箭头示外半规管骨质吸收破坏,瘘管形成。右下角插图中箭头示对侧正常的外半规管骨质
图3 例2右侧颞骨CT横断面扫描:乳突气房浑浊,锤骨边缘毛糙。右下角插图示对侧乳突气房发育良好,箭头示听骨表面光洁
参考文献
1,黄选兆,汪吉宝,主编. 实用耳鼻咽喉科学.北京:人民卫生出版社,1998. 1105-1114.
2,Gurr PA, Evans K, Dewey FM, et al. Otomycosis: the detection of fungi in ears by immunofluorescence microscopy. Clin Otola-ryngol,1997,22:275-283.
(收稿日期:1999-11-12), http://www.100md.com
单位:350005 福州 福建医科大学附属第一医院耳鼻咽喉科
关键词:
中华耳鼻咽喉科杂志000324 1998年6月~8月我科即收治3例霉菌性中耳乳突炎。现报告典型病例,以期唤起共同注意。
例1 男,21岁, 以反复右耳流脓16年,头晕、呕吐10 d于1998年8月26日入院。查体:右耳道见脓液,耳道深部后上方见3 mm×3 mm×3 mm肉芽,易出血。紧张部大穿孔,瘘管试验(+),Ⅲ度眼震,快相右侧。Weber试验向右。CT示右乳突气化差,鼓室及鼓窦见密度增高影,鼓窦入口扩大,锤骨、砧骨吸收破坏。前庭龛及镫骨底板骨质吸收(图1),半规管骨质破坏,有瘘管形成(图2)。MRI示右上鼓室鼓窦区有密度增高影。脓液培养:表皮葡萄球菌生长。于1998年9月8日行乳突根治术(右),术中见耳道深处充满褐红色质脆肉芽组织,易出血。上鼓室、鼓窦则见褐红色质韧肉芽组织及胆脂瘤,水平半规管见3 mm×1.5 mm椭圆形骨质缺失。锤骨砧骨已吸收破坏,镫骨未见。术后病理报告:右乳突部炎性肉芽组织伴霉菌团形成。术后给大扶康静滴及局部换药。眼震逐渐消失,术后1个月乳突术腔上皮化出院。1年后复查,术腔情况好。
, 百拇医药
例2 女,19岁,以反复右耳流脓、听力下降13年,加剧1年于1998年7月13日入院。查体:右耳道见脓液,近鼓膜处上壁有一局限性隆起,紧张部穿孔,松弛部充血。CT示:右乳突气房混浊,鼓室、鼓窦及鼓窦入口等处见散在分布高密度影。锤骨砧骨吸收破坏,以砧骨明显(图3)。纯音测听:右耳语言频率平均气导:48 dB nHL,骨导正常。脓液培养:丝状霉菌生长。1998年7月21日在局部麻醉下行改良乳突根治术及岩尖病变清理术(右)。术中见乳突气化型,骨质疏松质脆,充满肉芽组织,鼓窦及上鼓室内为褐色质韧肉芽组织,其中有黑色煤渣样颗粒团,如米粒、芝麻样大,病变累及岩尖。锤骨头已大部吸收,砧骨、镫骨吸收破坏。鼓室内为纤维肉芽组织。术后病理报告:中耳乳突腔慢性炎性肉芽组织及霉菌团。术后给斯皮仁诺口服及大扶康静滴、达克宁霜及先锋霉素Ⅴ局部换药,乳突术腔渐上皮化,术后1个半月出院。观察1年多已干耳。
霉菌性中耳乳突炎属于深部真菌病的一种,多见于免疫力低下患者[1], 有时也可能与细菌混合感染(如例1)。本文3例均为青壮年, 考虑主要是长期口服或耳内滴用广谱抗生素使与真菌拮抗的细菌簇受到抑制。此外上鼓室、鼓窦及乳突气房引流不畅,局部pH降低等因素更可促进真菌生长。
, http://www.100md.com
本组病例临床表现如:耳溢液、听力减退、耳鸣及耳痒等症状;脓液有不同程度的带血是霉菌性中耳乳突炎的特征之一。2例出现眩晕、迷路瘘管征等前庭症状,说明本病易发生骨质破坏。影像学检查常见骨质吸收破坏,病灶边缘骨质呈毛糙样改变,易被忽略或误诊为骨疡型中耳炎。因此,临床遇中耳炎长期用药或免疫力低下的患者, 应考虑到该病的可能。确诊依据真菌培养和病理检查,必要时可采用免疫荧光染色快速检出霉菌[2],如在组织切片发现真菌菌丝或孢子,即可做出诊断。
霉菌性中耳乳突炎治疗有赖手术与药物的配合。因霉菌感染有一定侵袭性,故及时的乳突手术是治疗的关键。去除了有利于霉菌繁殖的炎性组织, 也利于抗真菌药物渗入局部。手术的范围应去除病变的骨质及炎性组织,直至正常组织。根据霉菌培养药敏结果选择敏感药物。我们采用斯皮仁诺及大扶康口服或静脉点滴,术后局部涂布达克宁霜或复方康纳乐霜,并加大扶康液或柳酸酒精滴耳,取得较满意的结果。其他措施有停用类固醇类药物, 提高免疫力, 治疗原发糖尿病等。
, http://www.100md.com
(本文图1~3见插页第16页)
图1 例1右侧颞骨CT横断面扫描:乳突气房浑浊,鼓窦入口扩大,锤骨边缘毛糙,箭头示前庭龛及镫骨底板骨质可见吸收现象。右下角插图见对侧正常的乳突气房及镫骨底板
图2 例1右侧颞骨CT横断面扫描:乳突气房浑浊,锤骨及砧骨可见,但周边毛糙。箭头示外半规管骨质吸收破坏,瘘管形成。右下角插图中箭头示对侧正常的外半规管骨质
图3 例2右侧颞骨CT横断面扫描:乳突气房浑浊,锤骨边缘毛糙。右下角插图示对侧乳突气房发育良好,箭头示听骨表面光洁
参考文献
1,黄选兆,汪吉宝,主编. 实用耳鼻咽喉科学.北京:人民卫生出版社,1998. 1105-1114.
2,Gurr PA, Evans K, Dewey FM, et al. Otomycosis: the detection of fungi in ears by immunofluorescence microscopy. Clin Otola-ryngol,1997,22:275-283.
(收稿日期:1999-11-12), http://www.100md.com