睫状神经营养因子及其mRNA在正常和爆震后豚鼠螺旋神经节细胞的表达
作者:周义德 吴皓 沈小华 李兆基 周水淼 由振东 路长林 何成
单位:周义德 吴皓 沈小华 李兆基 周水淼(200433 上海第二军医大学长海医院耳鼻咽喉科);由振东 路长林 何成(第二军医大学神经生物教研室)
关键词:
中华耳鼻咽喉科杂志000319 近几年的研究表明,睫状神经营养因子(ciliary neurotrophic factor,CNTF)对感觉神经元、运动神经元等均有促进存活及损伤修复的作用[1],能促进听泡衍生因子对听泡神经节神经元的轴突生长,参与听觉系统的发育[2]。为了解耳蜗螺旋神经节细胞内是否有CNTF及其mRNA的表达,我们进行了如下研究。
一、材料和方法
1.动物的选择及分组:选用耳廓反射正常,体重250 g左右,健康无中耳炎的杂种豚鼠10只,随机分为正常和爆震2组,每组各5只。
, http://www.100md.com
2.爆震源:爆震声源由特制的D-86电火花脉冲发生器产生。爆震组每只动物暴露80次,间隔2 s,脉宽0.5 ms,压力峰值172.0 dB SPL。爆震后饲养21 d。正常组不接受爆震。
3.正常组和经爆震后21 d的豚鼠麻醉后,行升主动脉插管,4%多聚甲醛灌注固定40 min,取双侧耳蜗,4%多聚甲醛后固定2 h,4℃10%乙二胺四乙酸(EDTA)脱钙7 d,石蜡包埋,行耳蜗中轴切片,层厚5 μm。
4.原位杂交检测CNTF mRNA:上述切片按梯度脱蜡至水,经水化、RNA酶处理、蛋白酶消化、盐酸处理、固定、预杂交和杂交等,探针是用生物素标记的CNTF特异性的mRNA探针, 用硝基四氮唑蓝(NBT)和5-溴-4-氯-3-吲哚基磷酸(BCIP)显色,同时设空白对照组。
5.免疫组化检测CNTF:上述切片按梯度脱蜡至水,经水化后按ABC法进行免疫染色,所用一抗为鼠抗CNTF单克隆抗体,生物素化二抗为羊抗鼠IgG,用二氨基联苯胺(DAB)显色,同时设空白对照。
, 百拇医药
二、结果
原位杂交检测了正常豚鼠和爆震21 d豚鼠各5耳。结果显示耳蜗中轴切片上正常豚鼠蜗轴螺旋神经节内有均匀分布的CNTF mRNA阳性反应细胞,染色呈棕红色,胞体圆形或椭圆形,由胞体发出的突起清晰可辨(图1),5耳正常标本检测结果相似。爆震暴露后21 d的豚鼠耳蜗中轴切片上也可见CNTF mRNA阳性反应细胞,但是阳性反应细胞数量少,而且染色很不均匀,有些细胞染色很深,有些却很淡(图2),5耳爆震后标本检测结果均相似。空白对照组结果为阴性。
免疫组化染色检测了正常豚鼠和爆震后21 d豚鼠各5耳,显示结果同原位杂交染色结果基本相似,即正常豚鼠耳蜗中轴切片上蜗轴螺旋神经节内有均匀分布的CNTF阳性反应细胞;经爆震暴露后21 d的豚鼠耳蜗中轴切片上也可见CNTF阳性反应细胞,但是阳性反应细胞数量较少且染色很不均匀。空白对照组结果为阴性。
三、讨论
, http://www.100md.com
CNTF以其最初发现时能促进鸡胚睫状神经节神经元存活而得名,近几年的研究表明CNTF能促进多种神经细胞存活,在神经系统发育、分化及损伤修复中也发挥重要作用。通过应用原位杂交和免疫组化的实验结果表明,在耳蜗螺旋神经节细胞内不仅存在CNTF,而且也检测到合成CNTF的模板CNTF mRNA存在。
研究表明[3],强脉冲噪声对内耳的损伤不仅使耳蜗听毛细胞大量死亡,而且也使耳蜗螺旋神经节细胞数量明显减少。通过应用原位杂交和免疫组化的实验结果显示,正常豚鼠耳蜗中轴切片上有CNTF及其mRNA阳性反应的细胞均匀分布;而经爆震暴露21 d后豚鼠耳蜗中轴切片上不仅两者阳性反应细胞减少,而且阳性反应细胞染色深浅亦不均匀。这种现象是爆震干扰了螺旋神经节细胞内CNTF的合成代谢还是毛细胞损伤后逆行性退变的结果,有待进一步的实验证实。
寻找合适的方法和手段,通过外源性干预来促进耳蜗螺旋神经节细胞内CNTF的合成,达到促进损伤修复的目的,值得继续深入探讨。
, 百拇医药
图1 原位杂效显示耳蜗中轴切片上正常豚鼠蜗轴螺旋神经节内有均匀分布的CNTF mRNA阳性反应细胞,染色呈棕红色,胞体圆形或椭圆形,由胞体发出的突起清晰可辨。×550
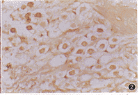
图2 原位杂交显示经爆露后21d豚鼠耳蜗中轴切片上可见CNTF mRNA阳性反应细胞,但是阳性反应细胞数量少,而且染色很不均匀,有些细胞染色很深,有些却很淡。×550
通信作者:周义德(Email:ydzhou@smmu.edu.cn)
参考文献
1,Apfel SC,Arezzo JC,Moran M,et al. Effects of administration of ciliary neurotrophic factor on normal motor and sensory peripheral nerves in vivo. Brain Res,1993,604:1-6.
2,Bianchi LM,Cohan CS. Effects of the neurotrophins and CNTF on developing statoacoustic neurons:comparison with an otocyst-derived factor. Dev Biol,1993,159:353-365.
3,周义德,翟所强,杨伟炎,等. 睫状神经营养因子防治强脉冲噪声对豚鼠内耳损伤的实验研究. 中华耳鼻咽喉科杂志,1999,34:150-153.
(收稿日期:1999-09-20), http://www.100md.com
单位:周义德 吴皓 沈小华 李兆基 周水淼(200433 上海第二军医大学长海医院耳鼻咽喉科);由振东 路长林 何成(第二军医大学神经生物教研室)
关键词:
中华耳鼻咽喉科杂志000319 近几年的研究表明,睫状神经营养因子(ciliary neurotrophic factor,CNTF)对感觉神经元、运动神经元等均有促进存活及损伤修复的作用[1],能促进听泡衍生因子对听泡神经节神经元的轴突生长,参与听觉系统的发育[2]。为了解耳蜗螺旋神经节细胞内是否有CNTF及其mRNA的表达,我们进行了如下研究。
一、材料和方法
1.动物的选择及分组:选用耳廓反射正常,体重250 g左右,健康无中耳炎的杂种豚鼠10只,随机分为正常和爆震2组,每组各5只。
, http://www.100md.com
2.爆震源:爆震声源由特制的D-86电火花脉冲发生器产生。爆震组每只动物暴露80次,间隔2 s,脉宽0.5 ms,压力峰值172.0 dB SPL。爆震后饲养21 d。正常组不接受爆震。
3.正常组和经爆震后21 d的豚鼠麻醉后,行升主动脉插管,4%多聚甲醛灌注固定40 min,取双侧耳蜗,4%多聚甲醛后固定2 h,4℃10%乙二胺四乙酸(EDTA)脱钙7 d,石蜡包埋,行耳蜗中轴切片,层厚5 μm。
4.原位杂交检测CNTF mRNA:上述切片按梯度脱蜡至水,经水化、RNA酶处理、蛋白酶消化、盐酸处理、固定、预杂交和杂交等,探针是用生物素标记的CNTF特异性的mRNA探针, 用硝基四氮唑蓝(NBT)和5-溴-4-氯-3-吲哚基磷酸(BCIP)显色,同时设空白对照组。
5.免疫组化检测CNTF:上述切片按梯度脱蜡至水,经水化后按ABC法进行免疫染色,所用一抗为鼠抗CNTF单克隆抗体,生物素化二抗为羊抗鼠IgG,用二氨基联苯胺(DAB)显色,同时设空白对照。
, 百拇医药
二、结果
原位杂交检测了正常豚鼠和爆震21 d豚鼠各5耳。结果显示耳蜗中轴切片上正常豚鼠蜗轴螺旋神经节内有均匀分布的CNTF mRNA阳性反应细胞,染色呈棕红色,胞体圆形或椭圆形,由胞体发出的突起清晰可辨(图1),5耳正常标本检测结果相似。爆震暴露后21 d的豚鼠耳蜗中轴切片上也可见CNTF mRNA阳性反应细胞,但是阳性反应细胞数量少,而且染色很不均匀,有些细胞染色很深,有些却很淡(图2),5耳爆震后标本检测结果均相似。空白对照组结果为阴性。
免疫组化染色检测了正常豚鼠和爆震后21 d豚鼠各5耳,显示结果同原位杂交染色结果基本相似,即正常豚鼠耳蜗中轴切片上蜗轴螺旋神经节内有均匀分布的CNTF阳性反应细胞;经爆震暴露后21 d的豚鼠耳蜗中轴切片上也可见CNTF阳性反应细胞,但是阳性反应细胞数量较少且染色很不均匀。空白对照组结果为阴性。
三、讨论
, http://www.100md.com
CNTF以其最初发现时能促进鸡胚睫状神经节神经元存活而得名,近几年的研究表明CNTF能促进多种神经细胞存活,在神经系统发育、分化及损伤修复中也发挥重要作用。通过应用原位杂交和免疫组化的实验结果表明,在耳蜗螺旋神经节细胞内不仅存在CNTF,而且也检测到合成CNTF的模板CNTF mRNA存在。
研究表明[3],强脉冲噪声对内耳的损伤不仅使耳蜗听毛细胞大量死亡,而且也使耳蜗螺旋神经节细胞数量明显减少。通过应用原位杂交和免疫组化的实验结果显示,正常豚鼠耳蜗中轴切片上有CNTF及其mRNA阳性反应的细胞均匀分布;而经爆震暴露21 d后豚鼠耳蜗中轴切片上不仅两者阳性反应细胞减少,而且阳性反应细胞染色深浅亦不均匀。这种现象是爆震干扰了螺旋神经节细胞内CNTF的合成代谢还是毛细胞损伤后逆行性退变的结果,有待进一步的实验证实。
寻找合适的方法和手段,通过外源性干预来促进耳蜗螺旋神经节细胞内CNTF的合成,达到促进损伤修复的目的,值得继续深入探讨。
, 百拇医药
图1 原位杂效显示耳蜗中轴切片上正常豚鼠蜗轴螺旋神经节内有均匀分布的CNTF mRNA阳性反应细胞,染色呈棕红色,胞体圆形或椭圆形,由胞体发出的突起清晰可辨。×550
图2 原位杂交显示经爆露后21d豚鼠耳蜗中轴切片上可见CNTF mRNA阳性反应细胞,但是阳性反应细胞数量少,而且染色很不均匀,有些细胞染色很深,有些却很淡。×550
通信作者:周义德(Email:ydzhou@smmu.edu.cn)
参考文献
1,Apfel SC,Arezzo JC,Moran M,et al. Effects of administration of ciliary neurotrophic factor on normal motor and sensory peripheral nerves in vivo. Brain Res,1993,604:1-6.
2,Bianchi LM,Cohan CS. Effects of the neurotrophins and CNTF on developing statoacoustic neurons:comparison with an otocyst-derived factor. Dev Biol,1993,159:353-365.
3,周义德,翟所强,杨伟炎,等. 睫状神经营养因子防治强脉冲噪声对豚鼠内耳损伤的实验研究. 中华耳鼻咽喉科杂志,1999,34:150-153.
(收稿日期:1999-09-20), http://www.100md.com