耳源性肥厚性硬脑膜炎伴颞叶水肿及器质性精神障碍一例
作者:易自翔 张榕 肖文惠 林熹 林有辉
单位:350005 福州 福建医科大学附属第一医院耳鼻咽喉科福建省耳鼻咽喉研究所
关键词:硬膜;脑膜炎;细菌性;颞叶;脑水肿;精神障碍;中耳炎;化脓性
中华耳鼻咽喉科杂志000409 【摘要】 目的 肥厚性硬脑膜炎(hypertrophic cranial pachymeningitis, HCP)属罕见疾病,易被误诊,报告1例耳源性肥厚性硬脑膜炎伴颞叶水肿及器质性精神障碍的病例,希引起共同注意。方法 患者男性,26岁,以右侧剧烈头痛、眩晕、恶心、呕吐、面神经及外展神经麻痹等,于1997年7月入院。磁共振成像及CT检查提示颞骨炎性病变,岩尖硬脑膜及其相邻的小脑幕增厚,明显强化呈条带状。诊断为右侧周围性面瘫、迷路炎、岩尖综合征。手术行面神经减压、迷路切除、乳突及岩锥炎性气房清除、岩尖病变探查等。术后除耳聋以外所有症状消失。术后9个月后,患者出现精神异常,曾住精神病院未获改善。1998年5月13日复查磁共振并增强扫描,发现右中颅窝的硬脑膜及小脑幕增厚,颞叶下极明显水肿,海绵窦壁增厚,包围颈内动脉使之受压变小。结果 耳源性HCP伴颞叶水肿及器质性精神障碍的诊断确定,大剂量青霉素静脉点滴治愈。23个月后随访患者生活工作良好,未见复发。结论 MRI是诊断耳源性HCP的主要手段,抗生素治疗此例HCP有效。
, 百拇医药
Otogenic hypertrophic cranial pachymeningitis associated with edema of the temporal lobe and organic mental disorder-case report
YI Zixiang,ZHANG Rong,XIAO Wenhui
(Department of Otorhinolaryngology of First Affiliated Hospital, Fujian Medical University and The Otorhinolaryngology Institute of Fujian Province, Fuzhou 350005, China)
【Abstract】 Objective Hypertrophic cranial pachymeningitis(HCP) is a rare disease which might be misdiagnosed. One typical case of otogenic hypertrophic cranial pachymeningitis (HCP) associated with edema of the temporal lobe and organic mental disorder was reported. Literatures associated with HCP were reviewed for reference. Methods In July,1997, a 26-year-old man was admitted for right-sided severe headache, dizziness, nausea, vomiting, facial and abducens nerve palsy. MRI and CT revealed inflammation in the temporal bone and locally thickened dura mater with obvious enhancement as a band in the petrous apex and nearby tentorium cerebellum. The patient then underwent operation including decompression of the facial nerve, labyrinthectomy, and eradication of the inflammatory cells in the mastoid and petrous portion. Postoperatively, the clinical signs disappeared except hearing loss. Seven months later, the patient suffered from mental disorder with interrupted excitement to hit and abuse the family members. He was then treated in a psychosis hospital but no improvement could be seen. On May 13,1998, MRI and the enhanced MRI demonstrated diffuse thickened tentorium cerebellum and dura mater in the middle cranial fossa. The inferior portion of the temporal lobe was obvious edema. The internal carotid artery was partially occluded due to the thickened wall of cavernous sinus. Results Hence, the diagnosis of HCP associated with edema of temporal lobe and organic mental disorder was established. The patient was cured by high dosage of penicillin. Conclusion MRI is an essential method for diagnosis of HCP. Antibiotic was an effective treatment.
, 百拇医药
【Key words】 Dura mater; meningitis,bacterial; Temporal lobe; Brain edema; Mental disorders; Otitis media,suppurative
1966年德国人Birkner等[1]首先报告1例硬脑膜出血性硬脑膜炎及硬脑膜下血肿伴广泛钙化的病例。至今各种肥厚性硬脑(脊)膜炎(hypertrophic cranial pachymeningitis, HCP;hypertrophic spinal pachymeningitis,HSP)的有关文献共170篇,其中以日本报告最多。我国毛文萍等[2] 1998年曾报告HCP和HSP各1例。硬脑(脊)膜炎包括发生于颅内的HCP和发生于脊髓的HSP,有的患者兼有HCP和HSP。HCP的病因多种多样,涉及多学科。经多方检查,病因不明者称特发性HCP[2-5]。中耳乳突炎、恶性外耳道炎、鼻窦炎等[6-10]作为病灶,可继发局灶性或广泛性HCP。复习我们能涉猎到的文献,尚未见耳源性HCP伴颞叶大片水肿,产生器质性精神障碍的报道。本例病情反复,经历10个月始获确诊,采用大剂量青霉素静脉滴注治愈,观察近2年,康复良好,特报告于下。
, http://www.100md.com
病例报告
患者男,26岁,未婚。以头痛、眩晕、喷射性呕吐、口眼歪斜25 d,于1997年7月22日入院。因右耳流脓20年伴听力下降,入院前2年内在当地医院已行乳突手术3次,但未干耳。此次发病无明显诱因,有耳廓周围、耳深部及颞骨鳞部的“太阳穴”处剧烈头痛,口角歪向左。右眼内斜有复视,物像似呈水平方向分开,向右视时尤为明显。眩晕强烈不敢睁眼,因剧烈呕吐而不敢进食。体检:体温、血压无特殊,神智清楚,颈软,克氏及布氏征阴性,一般情况尚好,但言语有些含糊不清。右眼内斜有水平型快相向右的眼球震颤。右侧周围性面瘫并全聋。乳突术腔基本上皮化,但鼓窦盖及窦脑膜角处有些粘液脓性分泌物及肉芽组织。细菌培养:溶血性葡萄球菌。脑脊液澄清,测压:11 cm H2O(1 cm H2O=0.098 kPa);生化常规检查:潘氏试验少许,糖1~5管阳性,红细胞:1×106 /L,白细胞:1×106/L。磁共振成像(magnetic resonance imaging,MRI)及CT检查示:右岩尖部的脑膜与部分小脑幕呈条带状密度增高影(图1)。初诊为右侧周围性面瘫、迷路炎、岩尖综合征,于1997年8月5日在全身麻醉下清理乳突残余气房及岩锥气房的炎性肉芽组织(术后病理报告:纤维肉芽组织及死骨形成),自茎乳孔到水平段减压充血水肿的面神经。清理中耳病变时见鼓岬骨质破坏,耳蜗底回也充满纤维肉芽组织。用电钻暴露骨耳蜗的3回。磨开水平及上半规管的骨质直达前庭,发现前庭及半规管的膜性结构尚好,以小钩针挑除膜性结构,并以庆大霉素80 000 U及地塞米松5 mg作内耳灌注。然后延长乳突切口至颧弓后1/3的上方,将外耳道软骨部连同耳廓与骨质分开,将其牵向前下。再将颞盂(glenoid fossa)的骨膜与骨质分离,将关节囊和髁状突一起推向前下的颞下窝,暴露鼓板(tympanic plate)及颞颌关节窝。经颞盂入路,除去鼓板大部分及部分岩锥,暴露并监控颈内动脉的近颅段、鼓板段及部分岩锥段靠近岩尖处。于手术显微镜下见颈内动脉的鞘膜正常,表面微血管清晰可见。清理咽鼓管及鼓膜张肌周围病变,见岩尖骨质硬化坚实。岩锥前面的硬脑膜无炎性渗出物,与MRI所见相符。穿刺岩上窦,有回血可见。乃以颞肌筋膜覆盖面神经,填塞术腔,缝合伤口,安返病房。手术历时12 h,完成面神经减压、迷路切除,并经颞盂入路,监控颈内动脉颅底段,行岩尖部分切除。术后经抗炎治疗,面瘫、眩晕及外展神经麻痹均消失,于9月30日出院。
, 百拇医药
出院7个月后,1998年4月,出现精神异常,时而安静,时而烦躁打骂亲人,曾送精神病院治疗未见好转。1998年5月13日来院复查。除精神症状外,一般情况良好。MRI颅脑横断面、冠状及矢状位扫描并增强显示:右中颅窝底硬脑膜、右侧小脑幕均见明显强化的带状影,右侧颞叶水肿,局部脑沟消失(图2);右侧脑室颞角受压变小(图3);右侧海绵窦影明显增大,增厚的窦壁使颈内动脉受压变细(图4)。根据MRI所见及临床症状确诊为弥漫性肥厚性硬脑膜炎伴右颞叶水肿及器质性精神障碍。每天青霉素静脉点滴10 000 000 U共26 d,临床症状消失。1999年8月28日(15个月后)复查 MRI,颞叶水肿消退,沟回重现,侧脑室颞角恢复正常(图5),肥厚的硬脑膜因已纤维化,故不再强化,但右侧颈内动脉仍受压(图6),2000年4月(23个月后)电话询问,患者工作、生活良好,并已成婚。
讨论
回顾此例患者在本科诊疗10个月的过程中,病情反复,不乏经验教训,今结合文献分析如下。
, 百拇医药
一、病因、病理及临床表现
1. 病因:HCP可继发于各种中耳乳突炎、恶性外耳道炎和鼻窦炎[6-10],从检索国内外所得170篇文献计算,涉及耳鼻咽喉科者占9篇,约占全身各种HCP及HSP的5.3%(9/170)。HCP可因多种细菌和霉菌,例如金黄色葡萄球菌、绿脓杆菌、黄曲霉菌、梅毒螺旋体、结核杆菌等的感染引起。HCP可与全身他处多种疾病并存,例如类风湿、多灶性纤维硬化、结节病、再生障碍性贫血、肿瘤、Wegener肉芽肿及自身免疫疾病等。多方检查病因不明者始称特发性HCP[2-5]。本例HCP属耳源性感染所致,耳拭子细菌培养为溶血性葡萄球菌。但脑脊液澄清,压力正常,生化及镜检无特殊,说明本例HCP起初是局灶性炎症反应性病变,因未及时彻底治疗,以后有进一步扩展。
2.病理:本例岩锥处的硬脑膜肉眼检查未见特殊,穿刺岩上窦尚有血液回流。此种病变如作活体检查,一般可见增厚的硬脑膜中纤维结缔组织增生,其中胶原成分居多,伴有慢性炎细胞浸润。少数情况可见硬脑膜呈肉芽肿样增厚、坏死性肉芽肿、小脓肿、淋巴滤泡形成、中性粒细胞浸润及郎罕细胞等。总之,病因不同,肉眼检查及光镜所见亦异。对某些疑难病例,有时活体检查是唯一可靠的依据[3,11]。硬脑膜增厚,可以引起横窦、海绵窦及矢状窦等闭塞,本例海绵窦壁增厚引起颈内动脉不全闭塞,并曾有外展神经麻痹。文献报告有颈内动脉完全闭塞或C5、C6段颈内动脉严重狭窄者[3]。本例见硬脑膜广泛性增厚包围颞叶下极(图4,6),颞叶内曾有不规则大片水肿(图2~4)。
, http://www.100md.com
3. 症状体征:头痛是常见症状,有时是发病多年的唯一的症状[4],易被医生和患者所忽略。因此,对不明原因的重头痛患者,作MRI扫描及增强扫描是必要的。原发于耳鼻咽喉科的HCP,常有头痛、头晕、耳鸣、面瘫、外展神经麻痹及鼻塞、流鼻涕等相关症状。根据病变部位和严重程度的不同,症状不同,如多条颅神经损害、脑水肿、脑炎、脑梗塞及垂体机能障碍等[11]。HCP可并发或继发各种症候群,如Tolosa-Hunt, Crow-Fukase Siogren, Horner及Garcin症候群等。颞叶受累可产生精神障碍:如梦样状态和自动症;情感性格改变,如易怒、攻击等[12]。本病例出现典型的易暴怒、攻击亲人,以致送住精神病院治疗。脑水肿引起的器质性精神障碍可以是短暂的或持续性的[13]。本例的器质性精神障碍,用抗炎治疗后,炎症和水肿消退而治愈。
二、诊断
根据病史、症状、体征,应针对性地作血液、脑脊液等的实验室检查。如多方检查仍不能确诊,必要时则须开颅活检[4,11]。放射学检查非常重要,特别是MRI增强扫描是评估病变范围和严重程度以及追踪观察治疗效果的主要手段[14,15]。病变的边缘部位往往增强特别明显[14]。本例HCP的早期,岩尖及小脑幕的条带状增强影亦很明显,可惜未能及时确诊HCP。HCP和软脑膜蛛网膜病变的鉴别应予重视[15]。软膜蛛网膜增强后,可见其卷入脑回,或在基底池周围也显影。而硬脑膜增强后则见其增厚处呈线条状或结节状沿着颅底或颅顶的内层显影,或累及小脑幕、大脑镰、小脑镰等处,但不深入脑回及基底池。硬脑膜和软膜蛛网膜在基底池处相距尚远,故不易混淆。CT显示骨质病变较清楚,数字检影血管造影(digital subtraction angiography,DSA)显示脑部动静脉有其优越性,可以补MRI之不足。但MRI扫描及增强扫描再加MRA(magnetic resonance arteriography)及MRV(magnetic resonance venography)显影,基本上可以满足临床诊断需要。
, http://www.100md.com
三、治疗
根据病因进行治疗是基本原则。有感染者进行抗炎治疗。可酌情将抗生素及激素联合使用。常用的激素有地塞米松、强的松龙、甲强龙等。对免疫性疾病应使用免疫抑制剂。对某些病例则需手术切除受累的硬脑膜。对肥厚性硬脑膜脑炎的患者可考虑将受累的硬脑膜和邻近的脑实质一起切除[5]。HCP和HSP属多学科疾病:涉及神经内科、神经外科,内科,眼科,肿瘤科,骨科及影像学科等。个别HCP病例[16]可出现颅低压,体位性头痛。如作MRI检查,除见硬脑膜增厚外,可见大脑中线结构下陷。对此种病例的处理有别于其他大多数神经科疾病,应予特别注意。如果象本例一样发生器质性精神障碍,则按精神病治疗无效,应以去除病因为主。
志谢 神经内科慕容慎行教授及神经外科何理盛教授等在病例诊疗过程中给予很大帮助
, http://www.100md.com
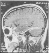
图1 1997年7月CT增强横断面。↑示右侧岩尖脑膜增厚,明显强化呈条带状影(当时未确诊HCP)。左图为骨窗
图2 1998年5月(出院7个月确诊)MRI冠状位增强。↑示HCP广泛扩展到右侧颅中窝底及小脑幕,E示颞叶水肿区
图3 1998年5月MRI矢状位增强示颞叶水肿,↑示右侧脑室颞角受压变小。HCP累及中颅窝底脑膜及小脑幕
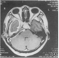
图4 1998年5月MRI横断面增强扫描示HCP包绕右颞叶下极。颞叶水肿。病变累及右侧海绵窦。↑示颈内动脉颅内段变小。小脑幕受累增厚,明显强化
, http://www.100md.com
图5 1999年8月(确诊治疗15个月后)MRI矢状位增强扫描示右颞叶水肿消失,沟、回重现,侧脑室颞角恢复正常
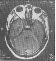
图6 1999年8月MRI横断面增强扫描示右侧海绵窦及颞叶下极增厚的硬脑膜不再强化,提示纤维结缔组织增生。右侧颈内动脉仍受压
通信作者:易自翔(Email:yizx@163.net)
参考文献
1,Birkner R, Lagemann K. Ausgedehnte Verkalkungen bei Pachymeningitis haemorrhagica interna and Haematoma subdurale. Fortschr Geb Rntgenstr Nuklearmed,1966,105:377-381.
, 百拇医药
2,毛文萍,陈峰,侯一民. 肥厚性硬脑(脊)膜炎的影像诊断. 现代医用影像学,1998, 7:207-209.
3,Willing SJ, Broghamer W. Internal carotid artery occlusion due to idiopathic cranial pachymeningitis. AJNR Am J Neuroradiol, 1992,13:1594-1596.
4,Wouda EJ, Vanneste JA. Aspecific headache during 13 years as the only symptom of idiopathic hypertrophic pachymeningitis. J Neurol Neurosurg Psychiatry, 1998,64:408-409.
5,Nishizaki T, Iwamoto F, Uesugi S, et al. Idiopathic cranial pachymeningoencephalitis focally affecting the parietal dura mater and adjacent brain parenchyma: case report. Neurosurgery, 1997,40:840-843.
, http://www.100md.com
6,Adachi M, Hayashi A, Ohkoshi N, et al. Hypertrophic cranial pachymeningitis with spinal epidural granulomatous lesion. Intern Med, 1995, 34:806-810.
7,Murai H, Kira J, Kobayashi T. et al. Hypertrophic cranial pachymeningitis due to Aspergillus flavus. Clin Neurol Neurosurg, 1992,94: 247-250.
8,Watson RC, Cancilla PA, Aschenbrener CA, et al. The neuropathology of malignant external otitis. Bull Los Angeles Neurol Soc, 1977 ,42:51-56.
, 百拇医药
9,Brook I, Overturf GD, Steinberg EA, et al. Acute sphenoid sinusitis presenting as aseptic meningitis: a pachymeningitis syndrome. Int J Pediatr Otorhinolaryngol, 1982,4:77-81.
10,Nemzek W, Postma G, Poirier V, et al. MR features of pachymeningitis presenting with sixth-nerve palsy secondary to sphenoid sinusitis. AJNR Am J Neuroradiol, 1995,16(4 Suppl):960-963.
11,Olmos PR, Falko JM, Rea GL, et al. Fibrosing pseudotumor of the sella and parasellar area producing hypopituitarism and multiple cranial nerve palsies. Neurosurgery, 1993, 32:1015-1021.
, 百拇医药
12,沈渔,主编. 精神病学.第3版. 北京:人民卫生出版社,1999.162.
13,黄如训,梁秀龄,刘焯霖,主编. 临床神经病学. 北京:人民卫生出版社,1999. 32-33.
14,Friedman DP, Flanders AE. Enhanced MR imaging of hypertrophic pachymeningitis. AJR Am J Roentgenol, 1997,169:1425-1428.
15,Kioumehr F, Dadsetan MR, Feldman N, et al. Postcontrast MRI of cranial meninges: leptomeningitis versus pachymeningitis. J Comput Assist Tomogr, 1995,19:713-720.
16,Beck CE, Rizk NW, Kiger LT, et al. Intracranial hypotension presenting with severe encephalopathy. Case report. J Neurasurg, 1998,89:470-473.
(收稿日期:1999-11-12), 百拇医药
单位:350005 福州 福建医科大学附属第一医院耳鼻咽喉科福建省耳鼻咽喉研究所
关键词:硬膜;脑膜炎;细菌性;颞叶;脑水肿;精神障碍;中耳炎;化脓性
中华耳鼻咽喉科杂志000409 【摘要】 目的 肥厚性硬脑膜炎(hypertrophic cranial pachymeningitis, HCP)属罕见疾病,易被误诊,报告1例耳源性肥厚性硬脑膜炎伴颞叶水肿及器质性精神障碍的病例,希引起共同注意。方法 患者男性,26岁,以右侧剧烈头痛、眩晕、恶心、呕吐、面神经及外展神经麻痹等,于1997年7月入院。磁共振成像及CT检查提示颞骨炎性病变,岩尖硬脑膜及其相邻的小脑幕增厚,明显强化呈条带状。诊断为右侧周围性面瘫、迷路炎、岩尖综合征。手术行面神经减压、迷路切除、乳突及岩锥炎性气房清除、岩尖病变探查等。术后除耳聋以外所有症状消失。术后9个月后,患者出现精神异常,曾住精神病院未获改善。1998年5月13日复查磁共振并增强扫描,发现右中颅窝的硬脑膜及小脑幕增厚,颞叶下极明显水肿,海绵窦壁增厚,包围颈内动脉使之受压变小。结果 耳源性HCP伴颞叶水肿及器质性精神障碍的诊断确定,大剂量青霉素静脉点滴治愈。23个月后随访患者生活工作良好,未见复发。结论 MRI是诊断耳源性HCP的主要手段,抗生素治疗此例HCP有效。
, 百拇医药
Otogenic hypertrophic cranial pachymeningitis associated with edema of the temporal lobe and organic mental disorder-case report
YI Zixiang,ZHANG Rong,XIAO Wenhui
(Department of Otorhinolaryngology of First Affiliated Hospital, Fujian Medical University and The Otorhinolaryngology Institute of Fujian Province, Fuzhou 350005, China)
【Abstract】 Objective Hypertrophic cranial pachymeningitis(HCP) is a rare disease which might be misdiagnosed. One typical case of otogenic hypertrophic cranial pachymeningitis (HCP) associated with edema of the temporal lobe and organic mental disorder was reported. Literatures associated with HCP were reviewed for reference. Methods In July,1997, a 26-year-old man was admitted for right-sided severe headache, dizziness, nausea, vomiting, facial and abducens nerve palsy. MRI and CT revealed inflammation in the temporal bone and locally thickened dura mater with obvious enhancement as a band in the petrous apex and nearby tentorium cerebellum. The patient then underwent operation including decompression of the facial nerve, labyrinthectomy, and eradication of the inflammatory cells in the mastoid and petrous portion. Postoperatively, the clinical signs disappeared except hearing loss. Seven months later, the patient suffered from mental disorder with interrupted excitement to hit and abuse the family members. He was then treated in a psychosis hospital but no improvement could be seen. On May 13,1998, MRI and the enhanced MRI demonstrated diffuse thickened tentorium cerebellum and dura mater in the middle cranial fossa. The inferior portion of the temporal lobe was obvious edema. The internal carotid artery was partially occluded due to the thickened wall of cavernous sinus. Results Hence, the diagnosis of HCP associated with edema of temporal lobe and organic mental disorder was established. The patient was cured by high dosage of penicillin. Conclusion MRI is an essential method for diagnosis of HCP. Antibiotic was an effective treatment.
, 百拇医药
【Key words】 Dura mater; meningitis,bacterial; Temporal lobe; Brain edema; Mental disorders; Otitis media,suppurative
1966年德国人Birkner等[1]首先报告1例硬脑膜出血性硬脑膜炎及硬脑膜下血肿伴广泛钙化的病例。至今各种肥厚性硬脑(脊)膜炎(hypertrophic cranial pachymeningitis, HCP;hypertrophic spinal pachymeningitis,HSP)的有关文献共170篇,其中以日本报告最多。我国毛文萍等[2] 1998年曾报告HCP和HSP各1例。硬脑(脊)膜炎包括发生于颅内的HCP和发生于脊髓的HSP,有的患者兼有HCP和HSP。HCP的病因多种多样,涉及多学科。经多方检查,病因不明者称特发性HCP[2-5]。中耳乳突炎、恶性外耳道炎、鼻窦炎等[6-10]作为病灶,可继发局灶性或广泛性HCP。复习我们能涉猎到的文献,尚未见耳源性HCP伴颞叶大片水肿,产生器质性精神障碍的报道。本例病情反复,经历10个月始获确诊,采用大剂量青霉素静脉滴注治愈,观察近2年,康复良好,特报告于下。
, http://www.100md.com
病例报告
患者男,26岁,未婚。以头痛、眩晕、喷射性呕吐、口眼歪斜25 d,于1997年7月22日入院。因右耳流脓20年伴听力下降,入院前2年内在当地医院已行乳突手术3次,但未干耳。此次发病无明显诱因,有耳廓周围、耳深部及颞骨鳞部的“太阳穴”处剧烈头痛,口角歪向左。右眼内斜有复视,物像似呈水平方向分开,向右视时尤为明显。眩晕强烈不敢睁眼,因剧烈呕吐而不敢进食。体检:体温、血压无特殊,神智清楚,颈软,克氏及布氏征阴性,一般情况尚好,但言语有些含糊不清。右眼内斜有水平型快相向右的眼球震颤。右侧周围性面瘫并全聋。乳突术腔基本上皮化,但鼓窦盖及窦脑膜角处有些粘液脓性分泌物及肉芽组织。细菌培养:溶血性葡萄球菌。脑脊液澄清,测压:11 cm H2O(1 cm H2O=0.098 kPa);生化常规检查:潘氏试验少许,糖1~5管阳性,红细胞:1×106 /L,白细胞:1×106/L。磁共振成像(magnetic resonance imaging,MRI)及CT检查示:右岩尖部的脑膜与部分小脑幕呈条带状密度增高影(图1)。初诊为右侧周围性面瘫、迷路炎、岩尖综合征,于1997年8月5日在全身麻醉下清理乳突残余气房及岩锥气房的炎性肉芽组织(术后病理报告:纤维肉芽组织及死骨形成),自茎乳孔到水平段减压充血水肿的面神经。清理中耳病变时见鼓岬骨质破坏,耳蜗底回也充满纤维肉芽组织。用电钻暴露骨耳蜗的3回。磨开水平及上半规管的骨质直达前庭,发现前庭及半规管的膜性结构尚好,以小钩针挑除膜性结构,并以庆大霉素80 000 U及地塞米松5 mg作内耳灌注。然后延长乳突切口至颧弓后1/3的上方,将外耳道软骨部连同耳廓与骨质分开,将其牵向前下。再将颞盂(glenoid fossa)的骨膜与骨质分离,将关节囊和髁状突一起推向前下的颞下窝,暴露鼓板(tympanic plate)及颞颌关节窝。经颞盂入路,除去鼓板大部分及部分岩锥,暴露并监控颈内动脉的近颅段、鼓板段及部分岩锥段靠近岩尖处。于手术显微镜下见颈内动脉的鞘膜正常,表面微血管清晰可见。清理咽鼓管及鼓膜张肌周围病变,见岩尖骨质硬化坚实。岩锥前面的硬脑膜无炎性渗出物,与MRI所见相符。穿刺岩上窦,有回血可见。乃以颞肌筋膜覆盖面神经,填塞术腔,缝合伤口,安返病房。手术历时12 h,完成面神经减压、迷路切除,并经颞盂入路,监控颈内动脉颅底段,行岩尖部分切除。术后经抗炎治疗,面瘫、眩晕及外展神经麻痹均消失,于9月30日出院。
, 百拇医药
出院7个月后,1998年4月,出现精神异常,时而安静,时而烦躁打骂亲人,曾送精神病院治疗未见好转。1998年5月13日来院复查。除精神症状外,一般情况良好。MRI颅脑横断面、冠状及矢状位扫描并增强显示:右中颅窝底硬脑膜、右侧小脑幕均见明显强化的带状影,右侧颞叶水肿,局部脑沟消失(图2);右侧脑室颞角受压变小(图3);右侧海绵窦影明显增大,增厚的窦壁使颈内动脉受压变细(图4)。根据MRI所见及临床症状确诊为弥漫性肥厚性硬脑膜炎伴右颞叶水肿及器质性精神障碍。每天青霉素静脉点滴10 000 000 U共26 d,临床症状消失。1999年8月28日(15个月后)复查 MRI,颞叶水肿消退,沟回重现,侧脑室颞角恢复正常(图5),肥厚的硬脑膜因已纤维化,故不再强化,但右侧颈内动脉仍受压(图6),2000年4月(23个月后)电话询问,患者工作、生活良好,并已成婚。
讨论
回顾此例患者在本科诊疗10个月的过程中,病情反复,不乏经验教训,今结合文献分析如下。
, 百拇医药
一、病因、病理及临床表现
1. 病因:HCP可继发于各种中耳乳突炎、恶性外耳道炎和鼻窦炎[6-10],从检索国内外所得170篇文献计算,涉及耳鼻咽喉科者占9篇,约占全身各种HCP及HSP的5.3%(9/170)。HCP可因多种细菌和霉菌,例如金黄色葡萄球菌、绿脓杆菌、黄曲霉菌、梅毒螺旋体、结核杆菌等的感染引起。HCP可与全身他处多种疾病并存,例如类风湿、多灶性纤维硬化、结节病、再生障碍性贫血、肿瘤、Wegener肉芽肿及自身免疫疾病等。多方检查病因不明者始称特发性HCP[2-5]。本例HCP属耳源性感染所致,耳拭子细菌培养为溶血性葡萄球菌。但脑脊液澄清,压力正常,生化及镜检无特殊,说明本例HCP起初是局灶性炎症反应性病变,因未及时彻底治疗,以后有进一步扩展。
2.病理:本例岩锥处的硬脑膜肉眼检查未见特殊,穿刺岩上窦尚有血液回流。此种病变如作活体检查,一般可见增厚的硬脑膜中纤维结缔组织增生,其中胶原成分居多,伴有慢性炎细胞浸润。少数情况可见硬脑膜呈肉芽肿样增厚、坏死性肉芽肿、小脓肿、淋巴滤泡形成、中性粒细胞浸润及郎罕细胞等。总之,病因不同,肉眼检查及光镜所见亦异。对某些疑难病例,有时活体检查是唯一可靠的依据[3,11]。硬脑膜增厚,可以引起横窦、海绵窦及矢状窦等闭塞,本例海绵窦壁增厚引起颈内动脉不全闭塞,并曾有外展神经麻痹。文献报告有颈内动脉完全闭塞或C5、C6段颈内动脉严重狭窄者[3]。本例见硬脑膜广泛性增厚包围颞叶下极(图4,6),颞叶内曾有不规则大片水肿(图2~4)。
, http://www.100md.com
3. 症状体征:头痛是常见症状,有时是发病多年的唯一的症状[4],易被医生和患者所忽略。因此,对不明原因的重头痛患者,作MRI扫描及增强扫描是必要的。原发于耳鼻咽喉科的HCP,常有头痛、头晕、耳鸣、面瘫、外展神经麻痹及鼻塞、流鼻涕等相关症状。根据病变部位和严重程度的不同,症状不同,如多条颅神经损害、脑水肿、脑炎、脑梗塞及垂体机能障碍等[11]。HCP可并发或继发各种症候群,如Tolosa-Hunt, Crow-Fukase Siogren, Horner及Garcin症候群等。颞叶受累可产生精神障碍:如梦样状态和自动症;情感性格改变,如易怒、攻击等[12]。本病例出现典型的易暴怒、攻击亲人,以致送住精神病院治疗。脑水肿引起的器质性精神障碍可以是短暂的或持续性的[13]。本例的器质性精神障碍,用抗炎治疗后,炎症和水肿消退而治愈。
二、诊断
根据病史、症状、体征,应针对性地作血液、脑脊液等的实验室检查。如多方检查仍不能确诊,必要时则须开颅活检[4,11]。放射学检查非常重要,特别是MRI增强扫描是评估病变范围和严重程度以及追踪观察治疗效果的主要手段[14,15]。病变的边缘部位往往增强特别明显[14]。本例HCP的早期,岩尖及小脑幕的条带状增强影亦很明显,可惜未能及时确诊HCP。HCP和软脑膜蛛网膜病变的鉴别应予重视[15]。软膜蛛网膜增强后,可见其卷入脑回,或在基底池周围也显影。而硬脑膜增强后则见其增厚处呈线条状或结节状沿着颅底或颅顶的内层显影,或累及小脑幕、大脑镰、小脑镰等处,但不深入脑回及基底池。硬脑膜和软膜蛛网膜在基底池处相距尚远,故不易混淆。CT显示骨质病变较清楚,数字检影血管造影(digital subtraction angiography,DSA)显示脑部动静脉有其优越性,可以补MRI之不足。但MRI扫描及增强扫描再加MRA(magnetic resonance arteriography)及MRV(magnetic resonance venography)显影,基本上可以满足临床诊断需要。
, http://www.100md.com
三、治疗
根据病因进行治疗是基本原则。有感染者进行抗炎治疗。可酌情将抗生素及激素联合使用。常用的激素有地塞米松、强的松龙、甲强龙等。对免疫性疾病应使用免疫抑制剂。对某些病例则需手术切除受累的硬脑膜。对肥厚性硬脑膜脑炎的患者可考虑将受累的硬脑膜和邻近的脑实质一起切除[5]。HCP和HSP属多学科疾病:涉及神经内科、神经外科,内科,眼科,肿瘤科,骨科及影像学科等。个别HCP病例[16]可出现颅低压,体位性头痛。如作MRI检查,除见硬脑膜增厚外,可见大脑中线结构下陷。对此种病例的处理有别于其他大多数神经科疾病,应予特别注意。如果象本例一样发生器质性精神障碍,则按精神病治疗无效,应以去除病因为主。
志谢 神经内科慕容慎行教授及神经外科何理盛教授等在病例诊疗过程中给予很大帮助
, http://www.100md.com
图1 1997年7月CT增强横断面。↑示右侧岩尖脑膜增厚,明显强化呈条带状影(当时未确诊HCP)。左图为骨窗
图2 1998年5月(出院7个月确诊)MRI冠状位增强。↑示HCP广泛扩展到右侧颅中窝底及小脑幕,E示颞叶水肿区
图3 1998年5月MRI矢状位增强示颞叶水肿,↑示右侧脑室颞角受压变小。HCP累及中颅窝底脑膜及小脑幕
图4 1998年5月MRI横断面增强扫描示HCP包绕右颞叶下极。颞叶水肿。病变累及右侧海绵窦。↑示颈内动脉颅内段变小。小脑幕受累增厚,明显强化
, http://www.100md.com
图5 1999年8月(确诊治疗15个月后)MRI矢状位增强扫描示右颞叶水肿消失,沟、回重现,侧脑室颞角恢复正常
图6 1999年8月MRI横断面增强扫描示右侧海绵窦及颞叶下极增厚的硬脑膜不再强化,提示纤维结缔组织增生。右侧颈内动脉仍受压
通信作者:易自翔(Email:yizx@163.net)
参考文献
1,Birkner R, Lagemann K. Ausgedehnte Verkalkungen bei Pachymeningitis haemorrhagica interna and Haematoma subdurale. Fortschr Geb Rntgenstr Nuklearmed,1966,105:377-381.
, 百拇医药
2,毛文萍,陈峰,侯一民. 肥厚性硬脑(脊)膜炎的影像诊断. 现代医用影像学,1998, 7:207-209.
3,Willing SJ, Broghamer W. Internal carotid artery occlusion due to idiopathic cranial pachymeningitis. AJNR Am J Neuroradiol, 1992,13:1594-1596.
4,Wouda EJ, Vanneste JA. Aspecific headache during 13 years as the only symptom of idiopathic hypertrophic pachymeningitis. J Neurol Neurosurg Psychiatry, 1998,64:408-409.
5,Nishizaki T, Iwamoto F, Uesugi S, et al. Idiopathic cranial pachymeningoencephalitis focally affecting the parietal dura mater and adjacent brain parenchyma: case report. Neurosurgery, 1997,40:840-843.
, http://www.100md.com
6,Adachi M, Hayashi A, Ohkoshi N, et al. Hypertrophic cranial pachymeningitis with spinal epidural granulomatous lesion. Intern Med, 1995, 34:806-810.
7,Murai H, Kira J, Kobayashi T. et al. Hypertrophic cranial pachymeningitis due to Aspergillus flavus. Clin Neurol Neurosurg, 1992,94: 247-250.
8,Watson RC, Cancilla PA, Aschenbrener CA, et al. The neuropathology of malignant external otitis. Bull Los Angeles Neurol Soc, 1977 ,42:51-56.
, 百拇医药
9,Brook I, Overturf GD, Steinberg EA, et al. Acute sphenoid sinusitis presenting as aseptic meningitis: a pachymeningitis syndrome. Int J Pediatr Otorhinolaryngol, 1982,4:77-81.
10,Nemzek W, Postma G, Poirier V, et al. MR features of pachymeningitis presenting with sixth-nerve palsy secondary to sphenoid sinusitis. AJNR Am J Neuroradiol, 1995,16(4 Suppl):960-963.
11,Olmos PR, Falko JM, Rea GL, et al. Fibrosing pseudotumor of the sella and parasellar area producing hypopituitarism and multiple cranial nerve palsies. Neurosurgery, 1993, 32:1015-1021.
, 百拇医药
12,沈渔,主编. 精神病学.第3版. 北京:人民卫生出版社,1999.162.
13,黄如训,梁秀龄,刘焯霖,主编. 临床神经病学. 北京:人民卫生出版社,1999. 32-33.
14,Friedman DP, Flanders AE. Enhanced MR imaging of hypertrophic pachymeningitis. AJR Am J Roentgenol, 1997,169:1425-1428.
15,Kioumehr F, Dadsetan MR, Feldman N, et al. Postcontrast MRI of cranial meninges: leptomeningitis versus pachymeningitis. J Comput Assist Tomogr, 1995,19:713-720.
16,Beck CE, Rizk NW, Kiger LT, et al. Intracranial hypotension presenting with severe encephalopathy. Case report. J Neurasurg, 1998,89:470-473.
(收稿日期:1999-11-12), 百拇医药