鼻窦骨化纤维瘤的手术治疗
作者:尹曼莉 梁建平 侯萍 刘时才
单位:广西壮族自治区人民医院耳鼻咽喉科 南宁 530021
关键词:
中华耳鼻咽喉科杂志000624 自从1872年Menzel首先报道骨化纤维瘤(ossifying fibroma)以来,曾有一段时间,人们将骨化纤维瘤与骨纤维异常增殖症( fibrous dysplasia )认为是一个病[1]。经过长期的观察与研究,目前认为是截然不同的两个病。骨化纤维瘤是属于骨组织起源的良性肿瘤,而骨纤维异常增殖症为骨间质发育异常引起的骨增生病变[2]。我科收治4例鼻窦骨化纤维瘤,报告如下。
1.临床资料: 1992~1996年收治鼻窦骨化纤维瘤4例,男2例,女2例;年龄12~22岁;病程6个月~2年6个月。病变累及鼻腔2例次,上颌窦 2例次,筛窦4例次,额窦3例次,蝶窦2例次。4例术前均行CT检查,清楚显示鼻窦骨化纤维瘤为类圆形高密度肿块,瘤内有钙化和骨化,外壁边缘清晰光滑(图1),各病例因肿物骨化程度不同 CT密度稍有不同。
, 百拇医药
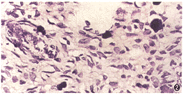
2.手术方法:4例患者均在全身麻醉下手术,其中1例行2次手术,根据病变范围的不同,3例行鼻侧切开,1例做扩大鼻侧切开(即在原鼻侧切开的切口扩大,上至眼内眦,眉下缘下可绕过鼻翼向内至鼻小柱。本例病人是向上切开眼内眦),分别将鼻腔、上颌窦、筛窦、额窦、蝶窦肿瘤切除,手术尽量沿着骨化纤维瘤的外壳完整切除,以减少出血,术前30 min肌肉注射立止血1 U,鼻腔局部用1∶100 0肾上腺素棉片充分收缩,取得较好的止血效果。3例过大的肿瘤分块切除时出血较多,术中出血最多者约1 000 ml。术后病理检查显示,骨化纤维瘤由纤维母细胞及化生性骨小梁构成,有边缘平直的骨小梁结构及骨母细胞,间质为丰富的纤维组织及血管(图2)。
3.结果:4例随访1~5年,3例肿物完整切除,未复发,1例因手术切除欠完整术后2年复发再次手术,行扩大鼻侧切开术,鼻腔、上颌窦、筛窦肿瘤完整切除,术后2年未复发。全部病例术后鼻塞症状消失,2例眼球突出、溢泪症状消失, 1例眼球突出症状减轻。
4.讨论:鼻窦骨化纤维瘤是临床上比较少见的疾病,国内见诸文献报道不足40例。发病年龄多在少儿时期, 20~40岁也有发病,40岁以上少见,女性多见。骨化纤维瘤好发于颅面部,其中70%以上发生于上颌骨和下颌骨,尤以上颌骨多见,额骨、筛骨、蝶骨均可发病,偶见于枕骨和颞骨[2] 。该病病因不明,目前有3种学说,分别是发育异常学说,创伤学说及肿瘤学说。现在比较倾向于肿瘤学说,认为此病是一种起源于骨组织的新生物[2] ,外伤只是该病的诱因。本组4例中无1例病史中提供与外伤有关。
, http://www.100md.com
鼻窦骨化纤维瘤临床症状无明显特异性。鼻窦CT分辨率较高,而且还可以提供周围组织的压迫情况,对诊断和判断病变范围有价值,应作为常规术前检查。组织病理学检查是诊断关键,骨化纤维瘤由骨和纤维成分组成,软骨细胞增生、肥大、空泡变性,然后软骨基质钙盐沉积,一部分软骨细胞坏死,另一部分伴随新生毛细血管而来的间叶细胞变为骨母细胞,新生骨小梁形成。因此,病理检查显示有边缘平直的骨小梁结构及骨母细胞,间有不等量的砂粒样组织,间质为丰富的纤维组织及血管成分,与周围组织有明确的界限。要注意和鼻窦骨纤维异常增殖症鉴别。鼻窦骨纤维异常增殖症的病理特点是:骨小梁不规则,有较多的破骨细胞,间质为纤维结缔组织,病变与周围组织没有明确的界限。
鼻窦骨化纤维瘤组织学上属于良性肿瘤,但临床上有侵袭性,因此,一经确诊,应尽早手术, 我们认为手术不宜保守,为保证无复发,应完整切除受累骨组织,采取根治性手术为宜,要求手术野足够大,所选择的术式要能够清楚地暴露肿瘤,国内外文献均报道要根据病变范围而选择不同的术式[3,4],单独发生于上颌窦的病变,可选择Caldwell-Luc 进路行上颌窦根治术,发生于筛窦、额窦、蝶窦的病变,可选择鼻侧切开术或扩大鼻侧切开术;对于病变范围较广,肿瘤侵犯颅底等重要部位的病例,可用颅面联合进路彻底切除肿瘤,也有学者认为肿物侵犯的位置险要,手术危险性大,为保证重要器官的功能及关系,部分切除肿瘤也是必要的[4] 。本组1例因年龄小(12岁),第1次经鼻腔行肿瘤切除术,因手术野小,暴露不好,切除不完整而致术后1年多又出现鼻塞,并出现泪溢,右眼稍向外凸,术后2年后行二次手术,行扩大鼻侧切开术,鼻腔、上颌窦、筛窦肿瘤完整切除,病理报告同术前,术后2年无复发,眼球突出消失,鼻腔粘膜光滑。
, 百拇医药
本病预后较好,彻底切除肿瘤后无复发,复发的原因多为手术不彻底,复发后的唯一办法是再次手术彻底切除肿瘤。
图1 鼻窦CT示鼻窦骨化纤维瘤为类圆形高密度肿块。瘤内有钙化和骨化,外壁边缘清晰光滑
图2 鼻窦骨化纤维瘤病理学示纤维组织中有分布均匀的骨小梁,骨小梁被骨母细胞懈绕,间质为丰富的纤维组织及血管成分。HE×600
参考文献
1,Young FW, Pueney FJ. Ossifying fibroma of the sinuses. Ann Otol Rhinol Laryngol, 1968,77: 425-434.
2,Mitrani M, Remsen K, Lawson W, et al. Giant ossifying fibroma of the paranasal sinuses.ENT J, 1988,67:186-192.
3,沙素华,薛兴尧.鼻窦骨化纤维瘤.临床耳鼻咽喉科杂志,1990,4:211-213.
4,崔顺九,韩德民, 刘华超, 等. 鼻窦骨化纤维瘤的手术治疗.耳鼻咽喉头颈外科杂志,1996,3:214-217.
(收稿日期:2000-06-26), 百拇医药
单位:广西壮族自治区人民医院耳鼻咽喉科 南宁 530021
关键词:
中华耳鼻咽喉科杂志000624 自从1872年Menzel首先报道骨化纤维瘤(ossifying fibroma)以来,曾有一段时间,人们将骨化纤维瘤与骨纤维异常增殖症( fibrous dysplasia )认为是一个病[1]。经过长期的观察与研究,目前认为是截然不同的两个病。骨化纤维瘤是属于骨组织起源的良性肿瘤,而骨纤维异常增殖症为骨间质发育异常引起的骨增生病变[2]。我科收治4例鼻窦骨化纤维瘤,报告如下。
1.临床资料: 1992~1996年收治鼻窦骨化纤维瘤4例,男2例,女2例;年龄12~22岁;病程6个月~2年6个月。病变累及鼻腔2例次,上颌窦 2例次,筛窦4例次,额窦3例次,蝶窦2例次。4例术前均行CT检查,清楚显示鼻窦骨化纤维瘤为类圆形高密度肿块,瘤内有钙化和骨化,外壁边缘清晰光滑(图1),各病例因肿物骨化程度不同 CT密度稍有不同。
, 百拇医药
2.手术方法:4例患者均在全身麻醉下手术,其中1例行2次手术,根据病变范围的不同,3例行鼻侧切开,1例做扩大鼻侧切开(即在原鼻侧切开的切口扩大,上至眼内眦,眉下缘下可绕过鼻翼向内至鼻小柱。本例病人是向上切开眼内眦),分别将鼻腔、上颌窦、筛窦、额窦、蝶窦肿瘤切除,手术尽量沿着骨化纤维瘤的外壳完整切除,以减少出血,术前30 min肌肉注射立止血1 U,鼻腔局部用1∶100 0肾上腺素棉片充分收缩,取得较好的止血效果。3例过大的肿瘤分块切除时出血较多,术中出血最多者约1 000 ml。术后病理检查显示,骨化纤维瘤由纤维母细胞及化生性骨小梁构成,有边缘平直的骨小梁结构及骨母细胞,间质为丰富的纤维组织及血管(图2)。
3.结果:4例随访1~5年,3例肿物完整切除,未复发,1例因手术切除欠完整术后2年复发再次手术,行扩大鼻侧切开术,鼻腔、上颌窦、筛窦肿瘤完整切除,术后2年未复发。全部病例术后鼻塞症状消失,2例眼球突出、溢泪症状消失, 1例眼球突出症状减轻。
4.讨论:鼻窦骨化纤维瘤是临床上比较少见的疾病,国内见诸文献报道不足40例。发病年龄多在少儿时期, 20~40岁也有发病,40岁以上少见,女性多见。骨化纤维瘤好发于颅面部,其中70%以上发生于上颌骨和下颌骨,尤以上颌骨多见,额骨、筛骨、蝶骨均可发病,偶见于枕骨和颞骨[2] 。该病病因不明,目前有3种学说,分别是发育异常学说,创伤学说及肿瘤学说。现在比较倾向于肿瘤学说,认为此病是一种起源于骨组织的新生物[2] ,外伤只是该病的诱因。本组4例中无1例病史中提供与外伤有关。
, http://www.100md.com
鼻窦骨化纤维瘤临床症状无明显特异性。鼻窦CT分辨率较高,而且还可以提供周围组织的压迫情况,对诊断和判断病变范围有价值,应作为常规术前检查。组织病理学检查是诊断关键,骨化纤维瘤由骨和纤维成分组成,软骨细胞增生、肥大、空泡变性,然后软骨基质钙盐沉积,一部分软骨细胞坏死,另一部分伴随新生毛细血管而来的间叶细胞变为骨母细胞,新生骨小梁形成。因此,病理检查显示有边缘平直的骨小梁结构及骨母细胞,间有不等量的砂粒样组织,间质为丰富的纤维组织及血管成分,与周围组织有明确的界限。要注意和鼻窦骨纤维异常增殖症鉴别。鼻窦骨纤维异常增殖症的病理特点是:骨小梁不规则,有较多的破骨细胞,间质为纤维结缔组织,病变与周围组织没有明确的界限。
鼻窦骨化纤维瘤组织学上属于良性肿瘤,但临床上有侵袭性,因此,一经确诊,应尽早手术, 我们认为手术不宜保守,为保证无复发,应完整切除受累骨组织,采取根治性手术为宜,要求手术野足够大,所选择的术式要能够清楚地暴露肿瘤,国内外文献均报道要根据病变范围而选择不同的术式[3,4],单独发生于上颌窦的病变,可选择Caldwell-Luc 进路行上颌窦根治术,发生于筛窦、额窦、蝶窦的病变,可选择鼻侧切开术或扩大鼻侧切开术;对于病变范围较广,肿瘤侵犯颅底等重要部位的病例,可用颅面联合进路彻底切除肿瘤,也有学者认为肿物侵犯的位置险要,手术危险性大,为保证重要器官的功能及关系,部分切除肿瘤也是必要的[4] 。本组1例因年龄小(12岁),第1次经鼻腔行肿瘤切除术,因手术野小,暴露不好,切除不完整而致术后1年多又出现鼻塞,并出现泪溢,右眼稍向外凸,术后2年后行二次手术,行扩大鼻侧切开术,鼻腔、上颌窦、筛窦肿瘤完整切除,病理报告同术前,术后2年无复发,眼球突出消失,鼻腔粘膜光滑。
, 百拇医药
本病预后较好,彻底切除肿瘤后无复发,复发的原因多为手术不彻底,复发后的唯一办法是再次手术彻底切除肿瘤。
图1 鼻窦CT示鼻窦骨化纤维瘤为类圆形高密度肿块。瘤内有钙化和骨化,外壁边缘清晰光滑
图2 鼻窦骨化纤维瘤病理学示纤维组织中有分布均匀的骨小梁,骨小梁被骨母细胞懈绕,间质为丰富的纤维组织及血管成分。HE×600
参考文献
1,Young FW, Pueney FJ. Ossifying fibroma of the sinuses. Ann Otol Rhinol Laryngol, 1968,77: 425-434.
2,Mitrani M, Remsen K, Lawson W, et al. Giant ossifying fibroma of the paranasal sinuses.ENT J, 1988,67:186-192.
3,沙素华,薛兴尧.鼻窦骨化纤维瘤.临床耳鼻咽喉科杂志,1990,4:211-213.
4,崔顺九,韩德民, 刘华超, 等. 鼻窦骨化纤维瘤的手术治疗.耳鼻咽喉头颈外科杂志,1996,3:214-217.
(收稿日期:2000-06-26), 百拇医药