树突状细胞在喉癌颈淋巴结中的浸润
作者:张杰武 徐晋 贾深汕
单位:张杰武 贾深汕(哈尔滨医科大学第三临床医学院头颈外科 150040);徐晋(哈尔滨医科大学组胚教研室)
关键词:喉肿瘤;树突细胞;预后;颈淋巴结清扫术
中华耳鼻咽喉科杂志000621 【摘要】 目的 通过对颈淋巴结中树突状细胞(dendritic cells, DC)浸润密度进行定量分析,探讨DC在喉癌患者抗肿瘤免疫反应中的作用。方法 47例行选择性颈淋巴结清扫术的喉癌患者的157枚颈淋巴结石蜡标本被重新制备,用抗S-100蛋白单克隆抗体免疫组化SABC法显示DC的分布并检测其浸润密度。结果 无转移组淋巴结DC浸润密度平均为(57.2±16.0)个/mm2,有转移组平均为(38.3±14.9)个/mm2,2组差异有显著性(P<0.001)。术后生存期超过5年者20例,其颈淋巴结中DC密度平均为(61.6±19.6)个/mm2;27例生存期少于5年者平均为(37.9±13.7)个/mm2;两组差异有显著性(P<0.001)。结论 颈淋巴结中DC的浸润对喉癌患者免疫防御机制的建立有重要作用,反映了机体免疫系统的抗肿瘤潜能。其浸润密度反映了该患者的抗肿瘤免疫状态,可以作为预后判定的重要指标之一。
, 百拇医药
Infiltration of dendritic cells into cervical lymph nodes in laryngeal carcinoma
ZHANG Jiewu, XU Jin, JIA Shenshan.
(Department of Head and Neck Surgery, Third Affiliated Hospital, Harbin Medical University, Harbin 150040, China)
【Abstract】 Objective Dendritic cells(DC)form a system of highly efficient antigen-presenting cells. An immunohistochemical study was performed to prove their role in immune responses against cancer.Methods Paraffin blocks were prepared for staining with antibody against S-100 proteins in 157 lymph nodes obtained from elective cervical lymphadenectomy in 47 cases of laryngeal squamous cell carcinomas. Results The extent of infiltration by DC into the regional lymph nodes was evaluated in two groups according to negative and positive lymph node metastasis. Densities of DC ranged from 23.0 to 111.9, with an average of 57.2±16.0, in the negative metastasis nodes; and from 17.5 to 63.6, with an average of 38.3±14.9, in the positive metastasis nodes. The test revealed that the differences in population density between the two groups were significant (P<0.001). Quantitative analysis showed that patients who survived longer than 5 years had significant higher numbers of DC in the lymph nodes than those who lived less than 5 years (P<0.001). Densities of DC ranged from 32.0 to 111.9, with an average of 61.6±19.6, in the nodes of 20 cases of patients who survived longer than 5 years and from 17.5 to 65.8, with an average of 37.9±13.7, in the nodes of 27 cases of patients who survived less than 5 years. Conclusion DC may be more directly involved in the host immune reaction against tumor by means of the most important antigen-presenting cells. DC in the cervical lymph nodes are important for establishing immunologic defense mechanisms in cases of laryngeal carcinomas, and the densities of DC can serve as a useful indicator in assessing prognosis of laryngeal carcinomas.
, 百拇医药
【Key words】 Laryngeal neoplasms; Dendritic cells; Prognosis; Radical neck dissection
树突状细胞(dendritic cells, DC)是目前发现的功能最强的抗原提呈细胞(antigen-presenting cell, APC)[1]。70年代初首次报道DC,其后开始的研究中由于对其来源和分化发育及成熟等方面的知识缺乏了解,限制了对其功能特点的研究,直到近年才认识到DC在免疫系统中发挥着关键作用[1,2]。DC成熟后存在于淋巴结中,对肿瘤免疫防御机制的建立起着重要的作用[3]。目前对肿瘤引流淋巴结中DC浸润的研究甚少,多为对原发肿瘤中DC浸润的研究。我们拟通过对喉癌引流淋巴结中DC浸润的研究,探讨其在抗肿瘤免疫中的作用及判断预后方面的价值。
材料和方法
, 百拇医药
一、研究对象
1989~1993年我科根据前瞻性设计,对声门上型喉鳞状上皮癌临床N0M0患者同期行选择性颈清扫术。选取颈淋巴结存档蜡块完好者47例,其中男33例,女14例,年龄41~68岁,平均52.3岁。
术后病理诊断为颈淋巴结转移者为23例,选用标本中无癌转移的淋巴结75枚。无转移组24例,淋巴结82枚。2组参与实验淋巴结共157枚。所有47个病例均有5年以上的随访记录,临床及病理资料完整。
二、方法
存档蜡块重新作4 μm厚连续切片,分别作SABC免疫组化染色和HE染色。
1.主要试剂:兔抗S-100蛋白质抗体,正常羊血清,生物素化二抗工作液,辣根酶标记链霉卵白素工作液和DAB显色试剂盒。均为美国ZYMED公司产品。
, 百拇医药
2.步骤:切片常规脱蜡至水;0.3%过氧化氢甲醛液30 min;正常羊血清封闭10 min;加第一抗体,4℃过夜;加生物素标记二抗30 min,室温;加SABC 30 min,室温;每步骤后均经PBS洗5 min×3次;DAB显色,苏木素复染,脱水、透明、封片。
3.对照:以空肠肌间神经丛作为S-100阳性对照,以PBS代替一抗作为阴性对照。
4.计数:淋巴结内S-100(+)细胞计数包括淋巴结皮质区和髓质区,淋巴窦除外。在10×40放大倍率下,随机选取16个视野以5 mm×5 mm目镜测微网进行计数,以细胞个数/mm2为单位。
5.统计学处理:实验结果以均数±标准差(
±s)表示。原始数据作方差齐性检验后作t检验。率的比较用χ2检验。
, http://www.100md.com
结果
一、DC的形态及分布
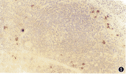
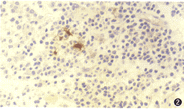
DC主要分布在淋巴结皮质滤泡间和深层副皮质区,围绕淋巴滤泡分布,个别散在于髓质中(图1)。DC体积较大、被染成棕黄色,细胞核及细胞质均着色。胞体形状不规则,向外伸出长短不等的突起,伸入到周围淋巴细胞之间。细胞核较大、肾形,一侧向内有切迹,色浅、核膜清晰(图2)。
二、DC浸润密度与淋巴结转移和预后
无转移组淋巴结中DC浸润密度为23.0~111.9个/mm2,平均为(57.2±16.0)个/mm2,有转移组为17.5~63.6个/mm2,平均为(38.3±14.9)个/mm2,2组间差异有极显著性(μ′=45,t=3.6,P<0.001)。20例患者术后生存期≥5年,其淋巴结中DC浸润密度为32.0~111.9个/mm2,平均为(61.6±19.6)个/mm2;27例术后生存期少于5年者DC密度为17.5~65.8个/mm2,平均为(37.9±13.7)个/mm2,其差异有极显著性(μ′=45,t=5.301,P<0.001)。有否淋巴结转移对患者生存期有非常显著的影响,无转移组五年生存率为62.50%,有转移组为21.74%,两组生存率差异有显著性(χ2 =7.98,P<0.005)。
, 百拇医药
讨论
一、DC抗肿瘤免疫的作用机制
DC具有的显著特性是能够提呈遇到的任何抗原。作为最重要的APC,DC与另两类“专职”的APC——巨噬细胞或B细胞相比,其激活T细胞的能力是它们的100~1 000倍[4]。郎格尔汉斯细胞(Langerhans cells, LC)是未成熟的DC,具有一定的吞噬功能[5]。LC自表皮摄取局部抗原后表型发生变化,通过淋巴途径向淋巴结迁移。在迁移过程中LC逐渐失去摄取抗原功能而抗原提呈能力增强,最后发育成为成熟DC定居于淋巴结T细胞富集区[6]。成熟DC通过细胞表面高水平的主要组织相容性复合物(major histocompatibility complex,MHC)Ⅰ、Ⅱ类分子提呈了丰富的肿瘤抗原肽,使相应T细胞的T细胞受体被充分占据,同时,DC提供高水平的B7-1、B7-2、CD40分子,使T细胞被充分激活。此外,DC与T细胞结合后,可以分泌大量IL-12,主导了Th1型的免疫应答,利于肿瘤细胞的清除[7]。DC可以分泌趋化因子,专一性趋化初始型T细胞[6],表明DC可以通过促进T细胞聚集,增强对T细胞的激发。本实验所观察到的淋巴结中DC的形态和分布特征为DC的功能提供了形态学依据。观察发现,DC主要分布于淋巴结皮质滤泡间和深层副皮质区内,围绕淋巴滤泡分布。DC胞体形状不规则,向外伸出长短不等的突起,伸入至周围聚集的T淋巴细胞之间。DC对以T细胞介导的细胞免疫反应为主的抗肿瘤免疫反应起到重要的启动和激活作用,反映了机体免疫系统的抗肿瘤潜能。
, 百拇医药
二、DC浸润与预后的关系
对胃癌的研究表明,胃癌及癌周引流淋巴结中DC的浸润对肿瘤淋巴结转移的范围和患者预后有明显相关性。Tsujitani等[3]认为,癌周淋巴结是DC由原发灶向外周淋巴结迁移的传递者,在无转移或肿瘤局限于一站淋巴结者,引流淋巴结内浸润的DC对免疫防御机制的建立有着重要的作用。Ishigami等[8]的研究表明,在可获得根治性切除的胃癌患者,DC浸润程度是判断预后有价值的指标。本实验观察到,术后生存期≥5年的喉癌患者颈淋巴结中DC浸润密度明显高于生存期<5年者(P<0.001)。 DC浸润的密度反映了该患者的抗肿瘤免疫状态的一个方面,可以作为预后判定的重要指标之一。
图1 分布于副皮质区滤泡周围的树突状细胞。免疫组化SABC法×115
, 百拇医药
图2树突状细胞呈多突起伸向淋巴细胞之间。免疫组化SABC法×462
基金项目:黑龙江省科委攻关课题(G2000 C190502)
参考文献
1,Bauchereau J, Steinman RM. Dendritic cells and the control of immunity. Nature, 1998, 392: 245-252.
2,曹雪涛. 树突状细胞的基础与临床研究新进展.中国免疫学杂志,1998,14:161-168.
3,Tsujitani S, Oka A, Kondo A, et al. Infiltration of dendritic cells into regional lymph nodes in gastric cancer. Cancer, 1995, 75(6 Suppl): 1478-1483.
, http://www.100md.com
4,Ridge JP, Fuchs EJ, Matzinger P. Neonatal tolerance revisited: turning on new- bon T cells with dendritic cells. Science, 1996, 271:1723-1726.
5,Matsuno K, Ezaki T, Kudo S, et al. A life stage of particle-laden rat dendritic cells in vivo: their terminal division, active phagocytosis, and translocation from the liver to the draining lymph. J Exp Med, 1996, 183:1865-1878.
6,Adema GJ, Hartgers F, Verstraten R, et al. A dendritic-cell-derived C-C chemokine that preferentially attracts naive T cells. Nature, 1997, 387: 713-717.
, http://www.100md.com
7,Heufler C, Koch F, Stanzl U, et al. Interleukin-12 is produced by dentritic cells and mediates T helper 1 development as well as interferon-γ production by T helper 1 cells. Eur J Immunol, 1996, 26:659-668.
8,Ishigami S, Aikou T, Natsugoe S, et al. Prognostis value of HLA-DR expression and dendritic cell infiltration in gastric cancer. Oncology, 1998, 55:65-71.
(收稿日期:2000-05-22), 百拇医药
单位:张杰武 贾深汕(哈尔滨医科大学第三临床医学院头颈外科 150040);徐晋(哈尔滨医科大学组胚教研室)
关键词:喉肿瘤;树突细胞;预后;颈淋巴结清扫术
中华耳鼻咽喉科杂志000621 【摘要】 目的 通过对颈淋巴结中树突状细胞(dendritic cells, DC)浸润密度进行定量分析,探讨DC在喉癌患者抗肿瘤免疫反应中的作用。方法 47例行选择性颈淋巴结清扫术的喉癌患者的157枚颈淋巴结石蜡标本被重新制备,用抗S-100蛋白单克隆抗体免疫组化SABC法显示DC的分布并检测其浸润密度。结果 无转移组淋巴结DC浸润密度平均为(57.2±16.0)个/mm2,有转移组平均为(38.3±14.9)个/mm2,2组差异有显著性(P<0.001)。术后生存期超过5年者20例,其颈淋巴结中DC密度平均为(61.6±19.6)个/mm2;27例生存期少于5年者平均为(37.9±13.7)个/mm2;两组差异有显著性(P<0.001)。结论 颈淋巴结中DC的浸润对喉癌患者免疫防御机制的建立有重要作用,反映了机体免疫系统的抗肿瘤潜能。其浸润密度反映了该患者的抗肿瘤免疫状态,可以作为预后判定的重要指标之一。
, 百拇医药
Infiltration of dendritic cells into cervical lymph nodes in laryngeal carcinoma
ZHANG Jiewu, XU Jin, JIA Shenshan.
(Department of Head and Neck Surgery, Third Affiliated Hospital, Harbin Medical University, Harbin 150040, China)
【Abstract】 Objective Dendritic cells(DC)form a system of highly efficient antigen-presenting cells. An immunohistochemical study was performed to prove their role in immune responses against cancer.Methods Paraffin blocks were prepared for staining with antibody against S-100 proteins in 157 lymph nodes obtained from elective cervical lymphadenectomy in 47 cases of laryngeal squamous cell carcinomas. Results The extent of infiltration by DC into the regional lymph nodes was evaluated in two groups according to negative and positive lymph node metastasis. Densities of DC ranged from 23.0 to 111.9, with an average of 57.2±16.0, in the negative metastasis nodes; and from 17.5 to 63.6, with an average of 38.3±14.9, in the positive metastasis nodes. The test revealed that the differences in population density between the two groups were significant (P<0.001). Quantitative analysis showed that patients who survived longer than 5 years had significant higher numbers of DC in the lymph nodes than those who lived less than 5 years (P<0.001). Densities of DC ranged from 32.0 to 111.9, with an average of 61.6±19.6, in the nodes of 20 cases of patients who survived longer than 5 years and from 17.5 to 65.8, with an average of 37.9±13.7, in the nodes of 27 cases of patients who survived less than 5 years. Conclusion DC may be more directly involved in the host immune reaction against tumor by means of the most important antigen-presenting cells. DC in the cervical lymph nodes are important for establishing immunologic defense mechanisms in cases of laryngeal carcinomas, and the densities of DC can serve as a useful indicator in assessing prognosis of laryngeal carcinomas.
, 百拇医药
【Key words】 Laryngeal neoplasms; Dendritic cells; Prognosis; Radical neck dissection
树突状细胞(dendritic cells, DC)是目前发现的功能最强的抗原提呈细胞(antigen-presenting cell, APC)[1]。70年代初首次报道DC,其后开始的研究中由于对其来源和分化发育及成熟等方面的知识缺乏了解,限制了对其功能特点的研究,直到近年才认识到DC在免疫系统中发挥着关键作用[1,2]。DC成熟后存在于淋巴结中,对肿瘤免疫防御机制的建立起着重要的作用[3]。目前对肿瘤引流淋巴结中DC浸润的研究甚少,多为对原发肿瘤中DC浸润的研究。我们拟通过对喉癌引流淋巴结中DC浸润的研究,探讨其在抗肿瘤免疫中的作用及判断预后方面的价值。
材料和方法
, 百拇医药
一、研究对象
1989~1993年我科根据前瞻性设计,对声门上型喉鳞状上皮癌临床N0M0患者同期行选择性颈清扫术。选取颈淋巴结存档蜡块完好者47例,其中男33例,女14例,年龄41~68岁,平均52.3岁。
术后病理诊断为颈淋巴结转移者为23例,选用标本中无癌转移的淋巴结75枚。无转移组24例,淋巴结82枚。2组参与实验淋巴结共157枚。所有47个病例均有5年以上的随访记录,临床及病理资料完整。
二、方法
存档蜡块重新作4 μm厚连续切片,分别作SABC免疫组化染色和HE染色。
1.主要试剂:兔抗S-100蛋白质抗体,正常羊血清,生物素化二抗工作液,辣根酶标记链霉卵白素工作液和DAB显色试剂盒。均为美国ZYMED公司产品。
, 百拇医药
2.步骤:切片常规脱蜡至水;0.3%过氧化氢甲醛液30 min;正常羊血清封闭10 min;加第一抗体,4℃过夜;加生物素标记二抗30 min,室温;加SABC 30 min,室温;每步骤后均经PBS洗5 min×3次;DAB显色,苏木素复染,脱水、透明、封片。
3.对照:以空肠肌间神经丛作为S-100阳性对照,以PBS代替一抗作为阴性对照。
4.计数:淋巴结内S-100(+)细胞计数包括淋巴结皮质区和髓质区,淋巴窦除外。在10×40放大倍率下,随机选取16个视野以5 mm×5 mm目镜测微网进行计数,以细胞个数/mm2为单位。
5.统计学处理:实验结果以均数±标准差(
, http://www.100md.com
结果
一、DC的形态及分布
DC主要分布在淋巴结皮质滤泡间和深层副皮质区,围绕淋巴滤泡分布,个别散在于髓质中(图1)。DC体积较大、被染成棕黄色,细胞核及细胞质均着色。胞体形状不规则,向外伸出长短不等的突起,伸入到周围淋巴细胞之间。细胞核较大、肾形,一侧向内有切迹,色浅、核膜清晰(图2)。
二、DC浸润密度与淋巴结转移和预后
无转移组淋巴结中DC浸润密度为23.0~111.9个/mm2,平均为(57.2±16.0)个/mm2,有转移组为17.5~63.6个/mm2,平均为(38.3±14.9)个/mm2,2组间差异有极显著性(μ′=45,t=3.6,P<0.001)。20例患者术后生存期≥5年,其淋巴结中DC浸润密度为32.0~111.9个/mm2,平均为(61.6±19.6)个/mm2;27例术后生存期少于5年者DC密度为17.5~65.8个/mm2,平均为(37.9±13.7)个/mm2,其差异有极显著性(μ′=45,t=5.301,P<0.001)。有否淋巴结转移对患者生存期有非常显著的影响,无转移组五年生存率为62.50%,有转移组为21.74%,两组生存率差异有显著性(χ2 =7.98,P<0.005)。
, 百拇医药
讨论
一、DC抗肿瘤免疫的作用机制
DC具有的显著特性是能够提呈遇到的任何抗原。作为最重要的APC,DC与另两类“专职”的APC——巨噬细胞或B细胞相比,其激活T细胞的能力是它们的100~1 000倍[4]。郎格尔汉斯细胞(Langerhans cells, LC)是未成熟的DC,具有一定的吞噬功能[5]。LC自表皮摄取局部抗原后表型发生变化,通过淋巴途径向淋巴结迁移。在迁移过程中LC逐渐失去摄取抗原功能而抗原提呈能力增强,最后发育成为成熟DC定居于淋巴结T细胞富集区[6]。成熟DC通过细胞表面高水平的主要组织相容性复合物(major histocompatibility complex,MHC)Ⅰ、Ⅱ类分子提呈了丰富的肿瘤抗原肽,使相应T细胞的T细胞受体被充分占据,同时,DC提供高水平的B7-1、B7-2、CD40分子,使T细胞被充分激活。此外,DC与T细胞结合后,可以分泌大量IL-12,主导了Th1型的免疫应答,利于肿瘤细胞的清除[7]。DC可以分泌趋化因子,专一性趋化初始型T细胞[6],表明DC可以通过促进T细胞聚集,增强对T细胞的激发。本实验所观察到的淋巴结中DC的形态和分布特征为DC的功能提供了形态学依据。观察发现,DC主要分布于淋巴结皮质滤泡间和深层副皮质区内,围绕淋巴滤泡分布。DC胞体形状不规则,向外伸出长短不等的突起,伸入至周围聚集的T淋巴细胞之间。DC对以T细胞介导的细胞免疫反应为主的抗肿瘤免疫反应起到重要的启动和激活作用,反映了机体免疫系统的抗肿瘤潜能。
, 百拇医药
二、DC浸润与预后的关系
对胃癌的研究表明,胃癌及癌周引流淋巴结中DC的浸润对肿瘤淋巴结转移的范围和患者预后有明显相关性。Tsujitani等[3]认为,癌周淋巴结是DC由原发灶向外周淋巴结迁移的传递者,在无转移或肿瘤局限于一站淋巴结者,引流淋巴结内浸润的DC对免疫防御机制的建立有着重要的作用。Ishigami等[8]的研究表明,在可获得根治性切除的胃癌患者,DC浸润程度是判断预后有价值的指标。本实验观察到,术后生存期≥5年的喉癌患者颈淋巴结中DC浸润密度明显高于生存期<5年者(P<0.001)。 DC浸润的密度反映了该患者的抗肿瘤免疫状态的一个方面,可以作为预后判定的重要指标之一。
图1 分布于副皮质区滤泡周围的树突状细胞。免疫组化SABC法×115
, 百拇医药
图2树突状细胞呈多突起伸向淋巴细胞之间。免疫组化SABC法×462
基金项目:黑龙江省科委攻关课题(G2000 C190502)
参考文献
1,Bauchereau J, Steinman RM. Dendritic cells and the control of immunity. Nature, 1998, 392: 245-252.
2,曹雪涛. 树突状细胞的基础与临床研究新进展.中国免疫学杂志,1998,14:161-168.
3,Tsujitani S, Oka A, Kondo A, et al. Infiltration of dendritic cells into regional lymph nodes in gastric cancer. Cancer, 1995, 75(6 Suppl): 1478-1483.
, http://www.100md.com
4,Ridge JP, Fuchs EJ, Matzinger P. Neonatal tolerance revisited: turning on new- bon T cells with dendritic cells. Science, 1996, 271:1723-1726.
5,Matsuno K, Ezaki T, Kudo S, et al. A life stage of particle-laden rat dendritic cells in vivo: their terminal division, active phagocytosis, and translocation from the liver to the draining lymph. J Exp Med, 1996, 183:1865-1878.
6,Adema GJ, Hartgers F, Verstraten R, et al. A dendritic-cell-derived C-C chemokine that preferentially attracts naive T cells. Nature, 1997, 387: 713-717.
, http://www.100md.com
7,Heufler C, Koch F, Stanzl U, et al. Interleukin-12 is produced by dentritic cells and mediates T helper 1 development as well as interferon-γ production by T helper 1 cells. Eur J Immunol, 1996, 26:659-668.
8,Ishigami S, Aikou T, Natsugoe S, et al. Prognostis value of HLA-DR expression and dendritic cell infiltration in gastric cancer. Oncology, 1998, 55:65-71.
(收稿日期:2000-05-22), 百拇医药