基底膜抗原在声门上型喉鳞癌中表达的意义
作者:曹志伟 王琰 任重
单位:中国医科大学附属第一临床学院耳鼻咽喉科 沈阳 110001
关键词:喉肿瘤;基质膜;胶原;肿瘤转移
中华耳鼻咽喉科杂志000617 【摘要】 目的 探讨基底膜(basement membrane, BM)抗原的表达及其在声门上型喉鳞癌中的屏障意义。方法 应用抗IV型胶原纤维单克隆抗体以链霉素亲生物素-过氧化酶免疫组化法观察IV型胶原在声门上型喉鳞癌中的表达分布情况,以评价BM完整性与声门上型喉鳞癌的临床分期、分级、细胞分化程度、浸润方式及颈淋巴结转移的关系。结果 BM完整者占42.5%,BM缺失者占57.5%。在低分化和肿瘤弥散浸润的喉癌组织中,BM缺失率明显高于分化良好及肿瘤边界良好的组织(P<0.05)。BM缺失者发生颈淋巴结转移率高于BM完整者,二者之间有较强相关性(P<0.01)。BM表达与临床分期之间并未表现出明确的相关性(P>0.05)。结论 BM完整性可以用来评价声门上型喉鳞癌细胞分化程度及喉癌组织浸润能力,也可作为预测声门上型喉鳞癌发生颈淋巴结转移的重要参数之一。
, http://www.100md.com
Basement membrane in squamous cell carcinomas of the larynx: an immunohistochemical study
CAO Zhiwei, WANG Yan , REN Zhong.
(Department of Otorhinolaryngology, First Clinical Hospital, China Medical University, Shenyang 110001, China)
【Abstract】 Objective The study was to assess the distribution of basement membrane(BM)in laryngeal squamous cell carcinomas(LSCC). Correlation of BM and clinical parameters (TNM stage, histological grading, invasion mode, lymph node metastasis) was also examined. Methods The expression of BM around tumor cell was determined in 40 cases of LSCC by using monoclonal antibody against human type IV collagen. An intact continuous BM was found in 17 cases (42.5%), while partial or widespread loss of the BM was detected in the other 23 cases (57.5%). Results In cases with poor histological differentiation, the defect of BM was more severe than that in cases with high or middle histological differentiation (P<0.05). Moreover, diffuse invasion carcinomas revealed lower type IV collagen expression comparing with cases with better tumor-host border (P<0.05). There was a higher risk of regional lymph node metastasis among cases with poor BM expression (P<0.01), but there was no association of clinical stage with BM defect (P>0.05). Conclusion These observations indicated that testing the distribution of BM seems to be useful to evaluate the histological grading of malignancy of laryngeal carcinoma and be helpful to prognosticate the frequency of regional lymph node metastasis.
, 百拇医药
【Key words】 Laryngeal neoplasms; Basement membrane; Collagen; Neoplasm metastasis
基底膜(basement membrane, BM)是一种维持器官正常结构及功能的细胞外基质,电镜下表现为一种三维无序排列的网状结构,将上皮层与其下基质分隔开。在组织学上,已经将上皮内新生物转化为浸润型肿瘤的过程分为轻度、中度、重度不典型增生,直至原位癌。最终肿瘤细胞穿过原发部位正常的BM称为浸润。而后肿瘤细胞与基质细胞相互作用,侵及不同组织结构,经过脉管周围的BM而进入脉管系统时,发生转移。近年来关于在不同器官肿瘤中BM抗原表达的研究较多,亦存在部分争论。一些研究表明,肿瘤细胞在上述过程中分泌酶类以帮助其穿越这种连续的组织屏障[1]。电镜检测亦证明在浸润型肿瘤边界处,BM变细、断裂、缺如[2],但这种检测方法仅能检测极少量组织,而且方法费时复杂,而免疫组化方法允许在光镜下快速方便地检测BM的组织成分。免疫染色证明BM由多种成分构成,如IV型胶原、层粘连蛋白等。IV型胶原是其中基本骨架结构,使其他成分附于其上[3,4],我们采用抗IV型胶原单克隆抗体对声门上型喉鳞癌标本进行免疫组化染色,借以评价BM的完整性,并探讨BM抗原表达在声门上型喉鳞癌中的意义及BM在浸润转移过程中的作用。
, http://www.100md.com
材料和方法
一、材料
1. 临床病理资料:选用我院1994~1995年间声门上型喉癌手术切除标本,其中男24例,女16例,年龄50~79岁,术前均未经放射治疗或化学治疗。5例正常喉粘膜标本作对照。均经10%福尔马林液固定,石蜡包埋,5 μm连续切片,切片行常规HE染色,观察病理指标,根据1987年UICC头颈部恶性肿瘤分期方案进行临床分期。其中pN0 22例,pN1 13例,pN2 4例,pN3 1例,无1例远隔转移,病理T分级见表1。
表1 BM抗原表达与临床分期,病理T分级关系(例) BM
表达
临床分期
, 百拇医药
病理分级
I
II
III
IV
T1
T2
T3
T4
++
1
6
, http://www.100md.com 6
4
1
6
6
4
+
0
5
5
4
0
4
5
, http://www.100md.com
5
-
0
2
4
3
0
4
3
2
合计
1
13
15
, 百拇医药
11
1
14
14
11
注:临床各分期间χ2=0.698,P>0.05;病理T分级间 χ2=0.884,P>0.05 2.试剂来源:均为美国Maxim Biotech公司产品。抗IV型胶原单克隆抗体工作浓度为1∶100。SP试剂盒。DAB试剂工作浓度为0.05% 。
二、方法
1. 链霉素亲生物素-过氧化酶免疫组织化学染色法(SP法):空白石蜡切片置56 ℃温箱1 h。切片常规脱蜡、脱苯、水化。0.01 mol/L PBS缓冲液化(pH 7.4 )洗涤3次,每次5 min。0.1%胰酶氯化钙溶液消化15 min。PBS冲洗3次。3% H2O2甲醇溶液灭活内源性过氧化物酶活性10 min。PBS冲洗3次。滴加非免疫性动物血清10 min。弃血清。直接滴加一抗,置湿盒孵育60 min。PBS洗涤3次。滴加生物素标记的二抗,置湿盒中15 min。PBS洗涤3次。滴加链霉素抗生物素蛋白-过氧化物酶溶液,孵育10 min。PBS冲洗3次。滴加新配制DAB溶液 ,显微镜下观察5~7 min。流水冲洗5 min。苏木素复染细胞核1 min。流水冲洗5 min。常规脱水、透明、树胶封片、观察。以上步骤均在室温20 ℃下进行。
, http://www.100md.com
2. 对照实验: 阳性对照用自Maxim Biotech 公司已证实有IV型胶原阳性表达的组织切片进行对照染色。阴性对照用来源同上的阳性片,以0.01 mol/L PBS溶液代替一抗,其他步骤不变。
3.结果判断:①IV型胶原染色及评价:IV型胶原表达为棕色线状结构,同阳性对照。根据IV型胶原在喉癌组织中显色判定BM完整程度。(++):BM完整,棕色线状结构连续;(+):BM部分缺失,棕色线状结构间断包绕肿瘤组织>50%;(-):BM广泛缺失,仅存部分棕色线状结构,或不可辨认;②采用Yamamoto分级评价肿瘤浸润方式[5] ;③采用喉癌术后颈廓清标本蓖麻油浸泡,用透照法挑出所有淋巴结,石蜡包埋,行淋巴结连续切片,病理检查,判定有无淋巴结转移;④所有切片均由2名病理科医师根据判断标准协助阅片;⑤统计学处理采用χ2 检验。
结果
一、IV型胶原染色情况
, 百拇医药
在阴性对照片中IV型胶原未见表达。在正常对照中,可见上皮细胞层与其下基质间有连续棕褐色线性结构表达。在小血管和小淋巴管周边也可见连续线形表达,而在细胞浆,细胞核中无着色(图1)。在喉鳞癌组织中,表达强度及连续性有较大差异。其中(++)者17例,占42.5%;(+)者14例,占35%(图2);(-)者9例,占22.5%。
二、BM抗原表达与临床分期、病理T分级关系(表1)
可见随临床分期进展,BM完整表达(++)率逐渐降低,而BM缺失(+)与(-)率逐渐增加,从T2至T4期,BM缺失(+)及(-)率逐渐增加,但这种差异经行×列χ2检验,均无统计学意义(P值均>0.05)。
三、BM表达与肿瘤细胞分化程度关系(表2)
表2 BM抗原表达与肿瘤分化程度关系 BM表达
, http://www.100md.com
肿瘤不同分化度例数(%)
合计
高
中
低
++
8(50.0)
7(43.7)
2
17
+
7(43.7)
6(37.5)
, 百拇医药
1
14
-
1( 6.3)
3(18.8)
5
9
合计
16
16
8
40
低分化肿瘤BM抗原缺失率明显高于中分化肿瘤及高分化肿瘤,完全缺失率差异更加明显。经统计学检验,高、中分化肿瘤间无统计学差异(χ2 =4.034,P>0.05);中、低分化肿瘤间无统计学差异(χ2 =3.699,P>0.05);而高、低分化肿瘤间差异有显著性(χ2 =8.49,P<0.05)。
, 百拇医药
四、BM抗原表达与肿瘤浸润方式关系(表3)
表3 BM抗原表达与肿瘤浸润关系(例,%) BM表达
肿瘤浸润方式
合计
G1
G2
G3
G4C
G4D
++
5
, 百拇医药
(83.3)
4
(50.0)
5
(38.5)
3
(27.3)
0
17
+
1
(16.7)
4
, 百拇医药
(50.0)
6
(46.1)
3
(27.3)
0
14
-
0
0
2
(15.4)
5
, 百拇医药 (45.4)
2
(100)
9
合计
6
8
13
11
2
40
随着肿瘤浸润弥散程度加重,BM抗原缺失逐渐加重。G1大部分肿瘤有完整的BM包绕,在G4C中仅少部分肿瘤有完整BM。在有较完整边界的肿瘤(G1,2),其BM完整率为64.2%;边界弥散肿瘤(G3,4),其BM完整率为30.8%,这种差异经χ2检验,证明有显著性(P<0.05)。表明BM完整性与肿瘤浸润程度有较强相关性。
, 百拇医药
五、BM抗原表达与颈淋巴结转移关系(表4)表4 BM抗原表达与颈淋巴结转移关系(例,%) BM表达
颈淋巴结转移
合计
+
-
++
4(22.2)
13(59.1)
17
+
6(33.3)
8(36.4)
, http://www.100md.com
14
-
8(44.5)
1( 4.5)
9
合计
18
22
40
在颈淋巴结转移(+)者中,仅少部分肿瘤有完整BM包绕(22.2%);在未发生颈淋巴结转移者中,仅极少部分肿瘤完全缺失BM(4.5%)。在BM完整表达者中,17例仅有4例发生颈淋巴结转移;而在BM完全缺失病例中,9例中的8例发生颈淋巴结转移,两者之间这种较强的相关性,经统计学检验,差异有显著性(χ2=10.197,P<0.01)。
, 百拇医药
讨论
BM是位于上皮及内皮细胞下的细胞外基质。这种由上皮细胞、内皮细胞、平滑肌细胞分泌形成的复合物,存在于多种器官之中。在正常状态下,BM是一种稳定致密的连续性结构,具有选择性滤过作用;只有小分子物质可以通过,大分子物质难以通过。在某些病理状态下,如组织修复、炎症及肿瘤时,有局部BM缺损破坏,大分子物质及细胞由此穿透BM。有研究表明,BM通过机械作用及化学作用对通过的细胞形态及生化功能施加影响[6]。正常细胞与BM间相互作用在肿瘤发生过程中产生变化,这也影响肿瘤的增殖及浸润能力。近年来,关于肿瘤生物学行为与BM关系研究逐渐增多,一些学者提出肿瘤浸润的3个步骤:首先肿瘤细胞表面特异性受体与BM中层粘连蛋白结合,从而粘附于BM,然后肿瘤细胞产生胶原酶类降解BM,最后肿瘤细胞穿透BM侵入周围组织[2,6]。有关乳腺、消化道肿瘤及头颈肿瘤的研究表明,在良性肿瘤、不典型增生及原位癌中,基底膜两侧组织互不影响。电镜观察到随不典型增生程度加重,BM逐渐变薄。在微小浸润组织中,BM可见局部缺损。在浸润性肿瘤组织中,BM抗原表达的报道结果不一[7,8]。
, 百拇医药
我们所运用的链霉素亲生物素-过氧化酶免疫组织化学染色方法,是一种较新的免疫组化法。与传统的ABC法和PAP法相比,染色时间短、灵敏度高、特异性强、背景更清晰,是目前理想的免疫组织化学染色方法[9]。我们的实验结果表明,BM部分或广泛缺失者占57.5%,BM完整者占42.5%。证明BM缺失并不是发生在所有浸润型喉癌中。这与Sark等[3]研究结果一致,而与Carter等[4]研究结果相反。并发现在高分化鳞癌组织中,癌巢经常被完整的BM所围绕,而在低分化鳞癌,癌组织周围BM缺失较多。这说明癌变的鳞状细胞保持了上皮细胞分泌BM复合物的能力,且分化程度越高;其分泌能力越强,分化程度低,其合成BM复合物的能力也降低。
BM缺失可能由于以下几个原因引起:①肿瘤细胞分泌BM复合物能力降低;②肿瘤细胞产生过多酶类降解BM;③周围炎性细胞浸润,产生消化酶,降解BM[1]。一些研究中可见BM缺损周围炎性细胞反应较明显,支持第三点假设[7]。另一些研究表明,肿瘤细胞分泌的相对分子质量为72 000的IV型胶原酶明显增多,而IV型胶原酶直接与降解BM有关。故BM缺失是否由于单因素引起,还是多因素协同作用的结果,尚需做深入的研究[1]。尽管本实验不能明确解释BM缺失的原因,但可以证明BM随喉癌增殖状态恶化而有缺失倾向。
, http://www.100md.com
恶性肿瘤主要特点为浸润、转移。肿瘤浸润方式为最重要的肿瘤-宿主关系,与转移及预后密切相关。在本研究中,比较BM抗原表达与喉癌浸润方式的关系,发现在有良好肿瘤-宿主边界的组织中(G1),BM抗原经常完整地表达。而在无明显边界,癌细胞弥散浸润的组织中(G4),肿瘤周围基质很少有BM的表达。说明在浸润能力较强的肿瘤中,BM缺失严重 ,而在BM缺失较多的肿瘤组织,其向周边浸润的机会也增加。肿瘤组织周边的BM处于一种动态平衡过程,当BM的分解速度超出合成速度时,BM局部缺损,肿瘤由此浸润到周围间质。本研究表现的较强的一致性,提示BM抗原表达可作为一项评价声门上型喉癌浸润能力的指标。
目前,将肿瘤浸润方式与肿瘤分化程度综合来评价肿瘤生物学行为的观点并未被广泛接受。细胞分化程度主要在于核的异型性;恶性肿瘤最终会穿过周边组织发生转移,浸润方式则应作为一项重要的组织学参数来评价肿瘤行为。我们已进行这方面的研究,并证明这种综合评价对于判断肿瘤的转移及预后全面、客观[10]。本研究表明,肿瘤组织恶性程度的两个指标:肿瘤细胞分化程度与浸润方式,都与BM抗原表达程度有较强关系,所以测定BM在肿瘤表达,不仅仅是浸润的证据,而且也反映肿瘤内在的侵袭性,在一定程度上,可以用来评价声门上型喉癌的生物学特点及恶性度。
, http://www.100md.com
头颈肿瘤患者中,颈淋巴结转移是影响预后的最重要的因素。肿瘤浸润周围基质,继而破坏小脉管周边BM侵入脉管系统,发生转移。我们在研究中可见到肿瘤细胞破坏小脉管周边BM侵入脉管,同时证实了肿瘤周边BM完整程度与颈淋巴结转移密切相关。即证实了Liotta的假设[2]:有完整BM包绕的肿瘤,其发生转移的可能性非常小。而在BM抗原缺失的病例,肿瘤细胞可穿透BM的防御发生转移。本研究表明,BM的表达可作为预测声门上型喉癌颈淋巴结转移的重要参数之一。
在治疗喉癌原发灶时,部分已有颈淋巴结转移的肿瘤由于太小,所以难以确认。我们以前的研究结果表明,N0患者大约30%发生隐匿淋巴结转移。随时间推移,转移的癌组织增殖、增大,成为术后复发、转移的来源。故单靠TNM分期决定最佳治疗方案及估计预后是不充分的。我们尚需改进方法来预测每例肿瘤患者的转移倾向,确定是否已发生隐匿转移,防止局部浸润及术后复发。而这就需要研究肿瘤浸润及转移的基本机制。本研究表明,BM抗原表达与喉癌组织恶性度及颈淋巴结转移均有一定关系,提示其对帮助临床判断N0患者有无隐匿淋巴结转移有一定参考价值。
, 百拇医药
同时,本研究对临床分期与BM抗原表达的关系做了比较,发现BM缺失程度与临床分期有相关倾向,但无统计学意义,可能与本组病例过多集中于T2,3有关,这方面研究尚需进一步深入。
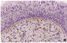
图1 正常鳞状上皮下连续状结构,小血管周边环行包绕.SP法×132
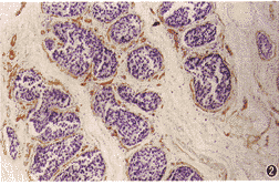
图2 棕色线性基底膜抗原间断地大部分包绕癌巢.而在小脉管的周国有完整连续的表达.SP法×132
参考文献
1,Hendrix M, Wood R, Seftor E, et al. Retinocicacid inhibition of human melaroma cell invasion through a reconstituted basement membrane and its relation to decreases in the expression of proteolytic enzymes and motilty factor receptor. Cancer Res, 1990, 50:4121-4130.
, 百拇医药
2,Liotta LA. Tumor invasion and metastases:Role of the basement membrane. Am J Pathol, 1984, 117:339-348.
3,Sark WA, Richard J, Zarbo JD. Distribution of basement membrane in squamous cell carcinoma of the head and neck. Hum Pathol, 1987, 18:1043-1050.
4,Carter RL, Burman JF, Barr L. Immunohistochemical localization of basement membrane type IV Collagen in invasive and metastatic squamous carcinomas of the head and neck. J Pathol, 1985, 147:159-164.
, 百拇医药
5,Yamamoto E, Miyakawa A, Kohama G. Mode of invasion and lymph node metastasis in squamous cell carcinoma of the oral cavity. Head Neck Surg, 1984, 6: 938-943.
6,Aznaroorian S, Stracke ML, Krutzsh H, et al. Signal transduction for chemotaxis and haptoxtaxos by matrix molecules in tumor cells. J Cell Biol, 1990, 110 :1427-1438.
7,Visser R, van der Beek JM, Havenith MG, et al. Immunocytochemical detection of basement membrane antigens in the histopathological evaluation of laryngeul dysplasia and neoplasia. Histopathology, 1986, 10:171-180.
, 百拇医药
8,Kumagai S, Kojima S, Imai K, et al. Immunohistologic distribution of basement memgrane in oral squamous cell carcinoma. Head Neck, 1994, 16: 51-57.
9,梁英杰,凌启波. 一种快速高敏感的免疫组织化学染色法. 中华病理学杂志, 1993,32:369-370
10,王琰,任重,关超. 喉癌组织恶性度与颈淋巴结转移的关系. 临床耳鼻喉科学杂志, 1997, 11:160-162.
(收稿日期:2000-01-26), 百拇医药
单位:中国医科大学附属第一临床学院耳鼻咽喉科 沈阳 110001
关键词:喉肿瘤;基质膜;胶原;肿瘤转移
中华耳鼻咽喉科杂志000617 【摘要】 目的 探讨基底膜(basement membrane, BM)抗原的表达及其在声门上型喉鳞癌中的屏障意义。方法 应用抗IV型胶原纤维单克隆抗体以链霉素亲生物素-过氧化酶免疫组化法观察IV型胶原在声门上型喉鳞癌中的表达分布情况,以评价BM完整性与声门上型喉鳞癌的临床分期、分级、细胞分化程度、浸润方式及颈淋巴结转移的关系。结果 BM完整者占42.5%,BM缺失者占57.5%。在低分化和肿瘤弥散浸润的喉癌组织中,BM缺失率明显高于分化良好及肿瘤边界良好的组织(P<0.05)。BM缺失者发生颈淋巴结转移率高于BM完整者,二者之间有较强相关性(P<0.01)。BM表达与临床分期之间并未表现出明确的相关性(P>0.05)。结论 BM完整性可以用来评价声门上型喉鳞癌细胞分化程度及喉癌组织浸润能力,也可作为预测声门上型喉鳞癌发生颈淋巴结转移的重要参数之一。
, http://www.100md.com
Basement membrane in squamous cell carcinomas of the larynx: an immunohistochemical study
CAO Zhiwei, WANG Yan , REN Zhong.
(Department of Otorhinolaryngology, First Clinical Hospital, China Medical University, Shenyang 110001, China)
【Abstract】 Objective The study was to assess the distribution of basement membrane(BM)in laryngeal squamous cell carcinomas(LSCC). Correlation of BM and clinical parameters (TNM stage, histological grading, invasion mode, lymph node metastasis) was also examined. Methods The expression of BM around tumor cell was determined in 40 cases of LSCC by using monoclonal antibody against human type IV collagen. An intact continuous BM was found in 17 cases (42.5%), while partial or widespread loss of the BM was detected in the other 23 cases (57.5%). Results In cases with poor histological differentiation, the defect of BM was more severe than that in cases with high or middle histological differentiation (P<0.05). Moreover, diffuse invasion carcinomas revealed lower type IV collagen expression comparing with cases with better tumor-host border (P<0.05). There was a higher risk of regional lymph node metastasis among cases with poor BM expression (P<0.01), but there was no association of clinical stage with BM defect (P>0.05). Conclusion These observations indicated that testing the distribution of BM seems to be useful to evaluate the histological grading of malignancy of laryngeal carcinoma and be helpful to prognosticate the frequency of regional lymph node metastasis.
, 百拇医药
【Key words】 Laryngeal neoplasms; Basement membrane; Collagen; Neoplasm metastasis
基底膜(basement membrane, BM)是一种维持器官正常结构及功能的细胞外基质,电镜下表现为一种三维无序排列的网状结构,将上皮层与其下基质分隔开。在组织学上,已经将上皮内新生物转化为浸润型肿瘤的过程分为轻度、中度、重度不典型增生,直至原位癌。最终肿瘤细胞穿过原发部位正常的BM称为浸润。而后肿瘤细胞与基质细胞相互作用,侵及不同组织结构,经过脉管周围的BM而进入脉管系统时,发生转移。近年来关于在不同器官肿瘤中BM抗原表达的研究较多,亦存在部分争论。一些研究表明,肿瘤细胞在上述过程中分泌酶类以帮助其穿越这种连续的组织屏障[1]。电镜检测亦证明在浸润型肿瘤边界处,BM变细、断裂、缺如[2],但这种检测方法仅能检测极少量组织,而且方法费时复杂,而免疫组化方法允许在光镜下快速方便地检测BM的组织成分。免疫染色证明BM由多种成分构成,如IV型胶原、层粘连蛋白等。IV型胶原是其中基本骨架结构,使其他成分附于其上[3,4],我们采用抗IV型胶原单克隆抗体对声门上型喉鳞癌标本进行免疫组化染色,借以评价BM的完整性,并探讨BM抗原表达在声门上型喉鳞癌中的意义及BM在浸润转移过程中的作用。
, http://www.100md.com
材料和方法
一、材料
1. 临床病理资料:选用我院1994~1995年间声门上型喉癌手术切除标本,其中男24例,女16例,年龄50~79岁,术前均未经放射治疗或化学治疗。5例正常喉粘膜标本作对照。均经10%福尔马林液固定,石蜡包埋,5 μm连续切片,切片行常规HE染色,观察病理指标,根据1987年UICC头颈部恶性肿瘤分期方案进行临床分期。其中pN0 22例,pN1 13例,pN2 4例,pN3 1例,无1例远隔转移,病理T分级见表1。
表1 BM抗原表达与临床分期,病理T分级关系(例) BM
表达
临床分期
, 百拇医药
病理分级
I
II
III
IV
T1
T2
T3
T4
++
1
6
, http://www.100md.com 6
4
1
6
6
4
+
0
5
5
4
0
4
5
, http://www.100md.com
5
-
0
2
4
3
0
4
3
2
合计
1
13
15
, 百拇医药
11
1
14
14
11
注:临床各分期间χ2=0.698,P>0.05;病理T分级间 χ2=0.884,P>0.05 2.试剂来源:均为美国Maxim Biotech公司产品。抗IV型胶原单克隆抗体工作浓度为1∶100。SP试剂盒。DAB试剂工作浓度为0.05% 。
二、方法
1. 链霉素亲生物素-过氧化酶免疫组织化学染色法(SP法):空白石蜡切片置56 ℃温箱1 h。切片常规脱蜡、脱苯、水化。0.01 mol/L PBS缓冲液化(pH 7.4 )洗涤3次,每次5 min。0.1%胰酶氯化钙溶液消化15 min。PBS冲洗3次。3% H2O2甲醇溶液灭活内源性过氧化物酶活性10 min。PBS冲洗3次。滴加非免疫性动物血清10 min。弃血清。直接滴加一抗,置湿盒孵育60 min。PBS洗涤3次。滴加生物素标记的二抗,置湿盒中15 min。PBS洗涤3次。滴加链霉素抗生物素蛋白-过氧化物酶溶液,孵育10 min。PBS冲洗3次。滴加新配制DAB溶液 ,显微镜下观察5~7 min。流水冲洗5 min。苏木素复染细胞核1 min。流水冲洗5 min。常规脱水、透明、树胶封片、观察。以上步骤均在室温20 ℃下进行。
, http://www.100md.com
2. 对照实验: 阳性对照用自Maxim Biotech 公司已证实有IV型胶原阳性表达的组织切片进行对照染色。阴性对照用来源同上的阳性片,以0.01 mol/L PBS溶液代替一抗,其他步骤不变。
3.结果判断:①IV型胶原染色及评价:IV型胶原表达为棕色线状结构,同阳性对照。根据IV型胶原在喉癌组织中显色判定BM完整程度。(++):BM完整,棕色线状结构连续;(+):BM部分缺失,棕色线状结构间断包绕肿瘤组织>50%;(-):BM广泛缺失,仅存部分棕色线状结构,或不可辨认;②采用Yamamoto分级评价肿瘤浸润方式[5] ;③采用喉癌术后颈廓清标本蓖麻油浸泡,用透照法挑出所有淋巴结,石蜡包埋,行淋巴结连续切片,病理检查,判定有无淋巴结转移;④所有切片均由2名病理科医师根据判断标准协助阅片;⑤统计学处理采用χ2 检验。
结果
一、IV型胶原染色情况
, 百拇医药
在阴性对照片中IV型胶原未见表达。在正常对照中,可见上皮细胞层与其下基质间有连续棕褐色线性结构表达。在小血管和小淋巴管周边也可见连续线形表达,而在细胞浆,细胞核中无着色(图1)。在喉鳞癌组织中,表达强度及连续性有较大差异。其中(++)者17例,占42.5%;(+)者14例,占35%(图2);(-)者9例,占22.5%。
二、BM抗原表达与临床分期、病理T分级关系(表1)
可见随临床分期进展,BM完整表达(++)率逐渐降低,而BM缺失(+)与(-)率逐渐增加,从T2至T4期,BM缺失(+)及(-)率逐渐增加,但这种差异经行×列χ2检验,均无统计学意义(P值均>0.05)。
三、BM表达与肿瘤细胞分化程度关系(表2)
表2 BM抗原表达与肿瘤分化程度关系 BM表达
, http://www.100md.com
肿瘤不同分化度例数(%)
合计
高
中
低
++
8(50.0)
7(43.7)
2
17
+
7(43.7)
6(37.5)
, 百拇医药
1
14
-
1( 6.3)
3(18.8)
5
9
合计
16
16
8
40
低分化肿瘤BM抗原缺失率明显高于中分化肿瘤及高分化肿瘤,完全缺失率差异更加明显。经统计学检验,高、中分化肿瘤间无统计学差异(χ2 =4.034,P>0.05);中、低分化肿瘤间无统计学差异(χ2 =3.699,P>0.05);而高、低分化肿瘤间差异有显著性(χ2 =8.49,P<0.05)。
, 百拇医药
四、BM抗原表达与肿瘤浸润方式关系(表3)
表3 BM抗原表达与肿瘤浸润关系(例,%) BM表达
肿瘤浸润方式
合计
G1
G2
G3
G4C
G4D
++
5
, 百拇医药
(83.3)
4
(50.0)
5
(38.5)
3
(27.3)
0
17
+
1
(16.7)
4
, 百拇医药
(50.0)
6
(46.1)
3
(27.3)
0
14
-
0
0
2
(15.4)
5
, 百拇医药 (45.4)
2
(100)
9
合计
6
8
13
11
2
40
随着肿瘤浸润弥散程度加重,BM抗原缺失逐渐加重。G1大部分肿瘤有完整的BM包绕,在G4C中仅少部分肿瘤有完整BM。在有较完整边界的肿瘤(G1,2),其BM完整率为64.2%;边界弥散肿瘤(G3,4),其BM完整率为30.8%,这种差异经χ2检验,证明有显著性(P<0.05)。表明BM完整性与肿瘤浸润程度有较强相关性。
, 百拇医药
五、BM抗原表达与颈淋巴结转移关系(表4)表4 BM抗原表达与颈淋巴结转移关系(例,%) BM表达
颈淋巴结转移
合计
+
-
++
4(22.2)
13(59.1)
17
+
6(33.3)
8(36.4)
, http://www.100md.com
14
-
8(44.5)
1( 4.5)
9
合计
18
22
40
在颈淋巴结转移(+)者中,仅少部分肿瘤有完整BM包绕(22.2%);在未发生颈淋巴结转移者中,仅极少部分肿瘤完全缺失BM(4.5%)。在BM完整表达者中,17例仅有4例发生颈淋巴结转移;而在BM完全缺失病例中,9例中的8例发生颈淋巴结转移,两者之间这种较强的相关性,经统计学检验,差异有显著性(χ2=10.197,P<0.01)。
, 百拇医药
讨论
BM是位于上皮及内皮细胞下的细胞外基质。这种由上皮细胞、内皮细胞、平滑肌细胞分泌形成的复合物,存在于多种器官之中。在正常状态下,BM是一种稳定致密的连续性结构,具有选择性滤过作用;只有小分子物质可以通过,大分子物质难以通过。在某些病理状态下,如组织修复、炎症及肿瘤时,有局部BM缺损破坏,大分子物质及细胞由此穿透BM。有研究表明,BM通过机械作用及化学作用对通过的细胞形态及生化功能施加影响[6]。正常细胞与BM间相互作用在肿瘤发生过程中产生变化,这也影响肿瘤的增殖及浸润能力。近年来,关于肿瘤生物学行为与BM关系研究逐渐增多,一些学者提出肿瘤浸润的3个步骤:首先肿瘤细胞表面特异性受体与BM中层粘连蛋白结合,从而粘附于BM,然后肿瘤细胞产生胶原酶类降解BM,最后肿瘤细胞穿透BM侵入周围组织[2,6]。有关乳腺、消化道肿瘤及头颈肿瘤的研究表明,在良性肿瘤、不典型增生及原位癌中,基底膜两侧组织互不影响。电镜观察到随不典型增生程度加重,BM逐渐变薄。在微小浸润组织中,BM可见局部缺损。在浸润性肿瘤组织中,BM抗原表达的报道结果不一[7,8]。
, 百拇医药
我们所运用的链霉素亲生物素-过氧化酶免疫组织化学染色方法,是一种较新的免疫组化法。与传统的ABC法和PAP法相比,染色时间短、灵敏度高、特异性强、背景更清晰,是目前理想的免疫组织化学染色方法[9]。我们的实验结果表明,BM部分或广泛缺失者占57.5%,BM完整者占42.5%。证明BM缺失并不是发生在所有浸润型喉癌中。这与Sark等[3]研究结果一致,而与Carter等[4]研究结果相反。并发现在高分化鳞癌组织中,癌巢经常被完整的BM所围绕,而在低分化鳞癌,癌组织周围BM缺失较多。这说明癌变的鳞状细胞保持了上皮细胞分泌BM复合物的能力,且分化程度越高;其分泌能力越强,分化程度低,其合成BM复合物的能力也降低。
BM缺失可能由于以下几个原因引起:①肿瘤细胞分泌BM复合物能力降低;②肿瘤细胞产生过多酶类降解BM;③周围炎性细胞浸润,产生消化酶,降解BM[1]。一些研究中可见BM缺损周围炎性细胞反应较明显,支持第三点假设[7]。另一些研究表明,肿瘤细胞分泌的相对分子质量为72 000的IV型胶原酶明显增多,而IV型胶原酶直接与降解BM有关。故BM缺失是否由于单因素引起,还是多因素协同作用的结果,尚需做深入的研究[1]。尽管本实验不能明确解释BM缺失的原因,但可以证明BM随喉癌增殖状态恶化而有缺失倾向。
, http://www.100md.com
恶性肿瘤主要特点为浸润、转移。肿瘤浸润方式为最重要的肿瘤-宿主关系,与转移及预后密切相关。在本研究中,比较BM抗原表达与喉癌浸润方式的关系,发现在有良好肿瘤-宿主边界的组织中(G1),BM抗原经常完整地表达。而在无明显边界,癌细胞弥散浸润的组织中(G4),肿瘤周围基质很少有BM的表达。说明在浸润能力较强的肿瘤中,BM缺失严重 ,而在BM缺失较多的肿瘤组织,其向周边浸润的机会也增加。肿瘤组织周边的BM处于一种动态平衡过程,当BM的分解速度超出合成速度时,BM局部缺损,肿瘤由此浸润到周围间质。本研究表现的较强的一致性,提示BM抗原表达可作为一项评价声门上型喉癌浸润能力的指标。
目前,将肿瘤浸润方式与肿瘤分化程度综合来评价肿瘤生物学行为的观点并未被广泛接受。细胞分化程度主要在于核的异型性;恶性肿瘤最终会穿过周边组织发生转移,浸润方式则应作为一项重要的组织学参数来评价肿瘤行为。我们已进行这方面的研究,并证明这种综合评价对于判断肿瘤的转移及预后全面、客观[10]。本研究表明,肿瘤组织恶性程度的两个指标:肿瘤细胞分化程度与浸润方式,都与BM抗原表达程度有较强关系,所以测定BM在肿瘤表达,不仅仅是浸润的证据,而且也反映肿瘤内在的侵袭性,在一定程度上,可以用来评价声门上型喉癌的生物学特点及恶性度。
, http://www.100md.com
头颈肿瘤患者中,颈淋巴结转移是影响预后的最重要的因素。肿瘤浸润周围基质,继而破坏小脉管周边BM侵入脉管系统,发生转移。我们在研究中可见到肿瘤细胞破坏小脉管周边BM侵入脉管,同时证实了肿瘤周边BM完整程度与颈淋巴结转移密切相关。即证实了Liotta的假设[2]:有完整BM包绕的肿瘤,其发生转移的可能性非常小。而在BM抗原缺失的病例,肿瘤细胞可穿透BM的防御发生转移。本研究表明,BM的表达可作为预测声门上型喉癌颈淋巴结转移的重要参数之一。
在治疗喉癌原发灶时,部分已有颈淋巴结转移的肿瘤由于太小,所以难以确认。我们以前的研究结果表明,N0患者大约30%发生隐匿淋巴结转移。随时间推移,转移的癌组织增殖、增大,成为术后复发、转移的来源。故单靠TNM分期决定最佳治疗方案及估计预后是不充分的。我们尚需改进方法来预测每例肿瘤患者的转移倾向,确定是否已发生隐匿转移,防止局部浸润及术后复发。而这就需要研究肿瘤浸润及转移的基本机制。本研究表明,BM抗原表达与喉癌组织恶性度及颈淋巴结转移均有一定关系,提示其对帮助临床判断N0患者有无隐匿淋巴结转移有一定参考价值。
, 百拇医药
同时,本研究对临床分期与BM抗原表达的关系做了比较,发现BM缺失程度与临床分期有相关倾向,但无统计学意义,可能与本组病例过多集中于T2,3有关,这方面研究尚需进一步深入。
图1 正常鳞状上皮下连续状结构,小血管周边环行包绕.SP法×132
图2 棕色线性基底膜抗原间断地大部分包绕癌巢.而在小脉管的周国有完整连续的表达.SP法×132
参考文献
1,Hendrix M, Wood R, Seftor E, et al. Retinocicacid inhibition of human melaroma cell invasion through a reconstituted basement membrane and its relation to decreases in the expression of proteolytic enzymes and motilty factor receptor. Cancer Res, 1990, 50:4121-4130.
, 百拇医药
2,Liotta LA. Tumor invasion and metastases:Role of the basement membrane. Am J Pathol, 1984, 117:339-348.
3,Sark WA, Richard J, Zarbo JD. Distribution of basement membrane in squamous cell carcinoma of the head and neck. Hum Pathol, 1987, 18:1043-1050.
4,Carter RL, Burman JF, Barr L. Immunohistochemical localization of basement membrane type IV Collagen in invasive and metastatic squamous carcinomas of the head and neck. J Pathol, 1985, 147:159-164.
, 百拇医药
5,Yamamoto E, Miyakawa A, Kohama G. Mode of invasion and lymph node metastasis in squamous cell carcinoma of the oral cavity. Head Neck Surg, 1984, 6: 938-943.
6,Aznaroorian S, Stracke ML, Krutzsh H, et al. Signal transduction for chemotaxis and haptoxtaxos by matrix molecules in tumor cells. J Cell Biol, 1990, 110 :1427-1438.
7,Visser R, van der Beek JM, Havenith MG, et al. Immunocytochemical detection of basement membrane antigens in the histopathological evaluation of laryngeul dysplasia and neoplasia. Histopathology, 1986, 10:171-180.
, 百拇医药
8,Kumagai S, Kojima S, Imai K, et al. Immunohistologic distribution of basement memgrane in oral squamous cell carcinoma. Head Neck, 1994, 16: 51-57.
9,梁英杰,凌启波. 一种快速高敏感的免疫组织化学染色法. 中华病理学杂志, 1993,32:369-370
10,王琰,任重,关超. 喉癌组织恶性度与颈淋巴结转移的关系. 临床耳鼻喉科学杂志, 1997, 11:160-162.
(收稿日期:2000-01-26), 百拇医药