潘生丁对呼吸道合胞病毒肺炎治疗作用的实验研究
作者:潘家华 楼皖玲 陈兰举 姚敏 李清友
单位:233004 蚌埠医学院附属医院儿科(潘家华、陈兰举、李清友);蚌埠医学院组胚教研室(楼皖玲),病理教研室(姚敏)
关键词:双嘧达莫;呼吸道合胞病毒;肺炎;病毒性
中华儿科杂志/980613 【摘要】 目的 探讨潘生丁(DPM)对呼吸道合胞病毒(RSV)肺炎的治疗作用。方法 采用光镜、电镜观察肺组织形态等方法,对RSV肺炎组与RSV肺炎+DPM处理组的小鼠进行了对比观察。结果 DPM处理组小鼠肺组织病毒滴度明显低于肺炎组(P<0.01);RSV肺炎组小鼠肺间质较多淋巴细胞浸润,肺泡隔重度增宽和实变,毛细血管严重瘀血、血小板聚集和血栓形成;巨噬细胞溶酶体少,残余体堆积;DPM处理组小鼠肺间质浸润淋巴细胞少,肺泡隔轻、中度增宽,无实变;毛细血管无瘀血、血小板聚集和血栓形成;巨噬细胞内大量溶酶体,吞噬活跃。结论 DPM能抗RSV肺炎血管内血小板聚集和血栓形成,减少T淋巴细胞增生和浸润,提高巨噬细胞吞噬病毒能力。
, 百拇医药
An experimental study on treatment of respiratory syncytial virus pneumonia in mice with dipyridamole
Pan Jiahua, Lou Wanling, Chen Lanjü, et al.
Affiliated Hospital of Bengbu Medical College, Bengbu, Anhui, 233004
【Abstract 】 Objective To evaluate the effects of dipyridamole (DPM) in treatment of respiratory syncytial virus (RSV) pneumonia in mice. Methods The pathological changes of the lung tissue of DPM-treated and untreated groups of mice (20 in each) with experimentally produced RSV pneumonia were comparatively observed under light microscope and transmission electron microscope. Results Viral titer in lung tissue remarkably decreased in DPM-treated group as compared with control group (P<0.01). Infiltration of more lymphocytes in lung interstitium, severe thickening of alveolar inter-septum, pulmonary consolidation, sludging of blood, platelet aggregation and embolism in capillaries, fewer lysosomes of macrophages associated with excessive residual products were found in the control group. Such changes were milder or absent in DPM-treated group. Conclusion DPM could inhibit platelet aggregation and embolism, decrease lymphocyte infiltration and improve phagocytosis function of macrophages in RSV pneumonia in mice.
, 百拇医药
【Key words 】 【Key words 】 Dipyridamole Respiratory syncytial viruses Pneumonia, viral
我们用潘生丁(Dipyridamole, DPM)治疗婴幼儿呼吸道合胞病毒(RSV)肺炎,取得良好疗效[1]。我们建立DPM治疗RSV肺炎小鼠模型,通过光镜、电镜等方法连续隔日观察肺组织病理改变,以探讨DPM的治疗作用。
材料和方法
一、材料
1.RSV肺炎动物模型的制备:6~7周龄Balb/c小鼠44只(上海西普尔-必凯实验动物有限公司),清洁级,健康,雌性,体重15~17克。RSVLong株及Hep-2细胞株均来自上海儿科研究所病毒室。将RSV接种于Hep-2单层细胞,培养细胞病变至(+++)。取40只小鼠经乙醚麻醉,用微量加样器分两次将RSV悬液0.1 ml(106 PFU)滴入鼻内,制成有组织实变、坏死的小鼠肺炎模型[2]。将肺炎小鼠随机分成(1)肺炎组20只;(2)DPM处理组20只;(3)另4只未处理的小鼠为正常组。将正常组于实验前脱颈椎处死,取左肺、脾,右肺匀浆,-20℃保存。实验前肺炎组、DPM处理组未用任何药物。第二天,DPM处理组用DPM 50 mg*kg-1*d-1灌胃,肺炎组用重酒石酸100 μl灌胃[2],共用药3天。第5、7、9、12天,两组隔日分别取6、6、4、4只小鼠脱颈椎处死。肉眼观肺组织充血、肿胀,有的可见实变病灶。取左肺、脾,右肺匀浆,-20℃保存。
, http://www.100md.com
2.标本处理:(1)将所取左肺组织及脾用4%多聚甲醛PBS液固定、丙酮脱水、石蜡包埋、HE染色后用于光镜检查。(2)将左肺组织用2.5%戌二醛PBS液固定,由上海医科大学电镜室进行包埋用于透射电镜观察。
二、方法
1.光镜标本体视学测量:作左肺横切面连续切片,每隔100 μm取切片1张,片厚6 μm,共3张。置网格目镜测微尺在400倍镜下,每张切片取10个视野,每视野面积36 100 μm2,每方格面积1 444 μm2,计数切片上肺泡炎0~Ⅳ级方格数,数据取3张切片的均数。参照Szapiel[3]提供的肺泡炎分级,0~Ⅳ级病变确定如下:0级 无肺泡炎;Ⅰ级 肺泡壁间质水肿,毛细血管充血致肺泡壁轻度增厚;Ⅱ级 肺泡壁中度增厚,肺泡腔变小;Ⅲ级 肺泡壁重度增厚,肺泡腔狭小或膨大;Ⅳ级 肺实变。
2.病毒斑形成试验:参照文献[4]。两组共4批,每批4只小鼠。将右肺组织匀浆以1∶10进行稀释,稀释后的匀浆液-20℃保存。预先用96孔培养板培养Hep-2单层细胞。将10 μl稀释后的匀浆液再经10倍稀释后加入培养板孔中,每孔加10 μl,每只动物3个重复孔,设阴性对照、正常对照。37℃,5%CO2条件下,间歇振摇培养板,1小时后,用RPMI1640液洗涤,覆以1%甲基纤维素。置37℃,5%CO2培养6天。培养孔内用0.2%福尔马林固定,0.1%结晶紫染色,计数斑个数。病毒滴度以每克新鲜组织斑形成单位(PFU/g)计算。
, http://www.100md.com
三、统计学处理
肺泡炎中位网格面积以构成比分析;两组病毒斑形成情况比较用t检验。
结果
一、肺组织光镜检查与体视学测量结果(附表)
肺炎组、DPM处理两组感染后均有不同等级的肺泡炎形成。肺炎组感染后5天,Ⅲ级以上炎症占总炎症面积约66%,以后逐渐减轻,12天后已无Ⅲ级以上炎症,但仍以Ⅱ级炎症为主;DPM处理组未见Ⅳ级炎症,感染7天后即无Ⅲ级以上炎症,9天后以Ⅰ级炎症为主,与同期肺炎组相比炎症均轻。肺炎组细支气管以下呼吸道和血管间质淋巴细胞浸润,以感染第7天为最严重,以后逐渐减少。DPM处理组肺间质浸润淋巴细胞出现少而迟缓,于第12天小气道周间质浸润淋巴细胞增多。
二、肺组织电镜检查结果
, 百拇医药
正常组:肺泡Ⅰ型细胞扁薄,胞质中有线粒体等细胞器和吞饮小泡;Ⅱ型细胞胞质中细胞器丰富,板层颗粒较致密。
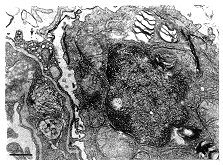
肺炎组:感染第5~7天,Ⅰ型细胞线粒体消失,吞饮小泡大量增加,表面见病毒芽生形成200~400 nm长短不等的柱状体(图1)。释放于细胞外的成熟病毒颗粒,直径100~280 nm,内有螺旋状盘绕核衣壳,包膜厚,纤突明显。Ⅱ型细胞线粒体肿大或消失,内质网扩张,板层颗粒结构松散。肺泡腔有细胞碎片、纤维素及蛋白渗出液。肺泡区有淋巴细胞、中性粒细胞、巨噬细胞浸润与渗出,可见杀伤性T淋巴细胞破坏邻近感染细胞。巨噬细胞体小,胞质中溶酶体少,毛细血管内皮肿胀,表面伸出不规则棘突,腔内严重瘀血,有微血栓形成。第9~12天,Ⅰ型细胞内仍有较多吞饮泡,Ⅱ型细胞仍肿胀。毛细血管轻度瘀血,腔中常见血小板滞留、聚集和脱颗粒。巨噬细胞内堆积大量吞噬物和残余体,呈不能销毁状。
肺炎组小鼠坏死的Ⅰ型细胞表面质膜破损,边界模糊或间断变厚,内有电子致密物附着,可见病毒芽生的柱状体,细胞内有病毒囊膜及核衣壳(图内标尺示200 nm)
, http://www.100md.com
图1 RSV感染7天时肺炎组小鼠肺组织电镜图
DPM处理组肺泡上皮肿胀较轻,Ⅱ型细胞内线粒体膜及嵴多完整,Ⅰ型细胞胞质内大量吞饮小泡,线粒体结构基本完整(图内标尺示500 nm)
图2 RSV感染7天时DPM处理组小鼠肺组织电镜图
附表 两组RSV肺炎的肺泡炎面积及病毒斑形成试验 感染时间
及组别
动物
数
肺泡炎中位网格面积(μm2)
, http://www.100md.com
各级肺炎面积构成比(%)
病毒滴度
(
±s,PFU/g)
细支气管周
淋巴细胞
浸润
Ⅳ
Ⅲ
Ⅱ
Ⅰ
0
合计
, http://www.100md.com
Ⅳ
Ⅲ
Ⅱ
Ⅰ
0
感染后5天
肺炎组
6
2 888
19 855.0
10 830
902.5
0
, 百拇医药
34 475.5
8.38
57.59
31.41
2.62
0
5.0±0.7
++
DPM组
6
0
3 610.0
17 140
, http://www.100md.com
12 635.0
0
33 385.0
0
10.81
51.34
37.85
0
3.0±0.8
-
感染后7天
肺炎组
6
, 百拇医药
0
9 198.3
21 660
0
0
30 858.3
0
29.81
70.19
0
0
4.7±0.7
+++
, 百拇医药
DPM组
6
0
0
21 660
9 920.0
0
31 580.0
0
0
68.59
31.41
0
, http://www.100md.com
2.6±0.5
+
感染后9天
肺炎组
4
0
4 505.3
31 580
0
0
36 085.3
0
12.49
, 百拇医药
87.51
0
0
3.8±1.0
+
DPM组
4
0
0
16 245
19 855.0
0
36 100.0
, 百拇医药
0
0
45.00
55.00
0
2.1±1.4
+
感染后12天
肺炎组
4
0
0
26 165
, 百拇医药
9 920.0
0
36 085.0
0
0
72.51
27.49
0
3.1±0.8
+
DPM组
4
0
, http://www.100md.com
0
11 725
24 360.0
0
36 085.0
0
0
32.49
67.51
0
1.2±1.4
++
注:两组病毒滴度在感染5及7天,差异均有非常显著意义,t分别为4.48和6.77,P均<0.01,9天后虽仍DPM组低于肺炎组,但由于例数较少,差异均未达显著界值,t分别为2.05和2.38,P略>0.05 DPM处理组:第5~7天,肺泡上皮细胞肿胀,但线粒体膜及嵴多完整,内质网轻度扩张(图2)。可见病毒芽生的柱状体和细胞外病毒颗粒。毛细血管扩张,腔中无红细胞、血小板聚集和血栓形成。肺泡腔内渗出液少。巨噬细胞胞体大,含有大量溶酶体、核周滑面内质网和分泌泡,质膜下很多吞饮泡和吞噬的表面活性物质。第9天,肺泡上皮细胞大多结构正常,少数Ⅱ型细胞线粒体肿胀。第12天,肺泡上皮与毛细血管超微结构正常,巨噬细胞胞质丰富,质膜下仍有活跃吞噬和吞饮现象。
, 百拇医药
三、脾脏组织学改变
肺炎组:第5天,脾动脉周淋巴鞘扩大,连成一片,淋巴母细胞多。第7~12天,白髓轻度增生,淋巴母细胞逐渐减少。
DPM处理组:第5~7天,脾白髓未扩大,多孤立成团,其中主要为小淋巴细胞,淋巴母细胞少。第9~12天,动脉周淋巴鞘轻度扩大和增生,淋巴母细胞较多。
四、病毒斑形成试验
第5~7天,DPM处理组比肺炎组病毒滴度明显降低,差异有非常显著意义(t值分别为4.48和6.77,P<0.01)。第9~12天,DPM处理组病毒滴度低于肺炎组,但差异无显著意义。在第12天,肺炎组每鼠均有病毒融合斑形成,而DPM处理组有50%小鼠无病毒融合斑形成(附表)。
讨论
, 百拇医药 一、DPM对肺微循环的作用
RSV肺炎感染严重期,肺泡炎区出现血浆渗出、瘀血和微血栓形成等。在病毒、缺血、缺氧等因素共同作用下,肺泡上皮严重变性坏死。感染恢复期,微血管内仍有红细胞和血小板凝集,肺泡结构修复缓慢。巨噬细胞所出现的吞噬、消化能力低下也与微循环障碍有关,病毒滴度始终处于较高水平。DPM抗红细胞、血小板凝集和抗血栓形成,保持微循环畅通,因此能减少血浆渗出,减轻肺泡上皮肿胀和坏死,肺泡结构较早恢复,与此同时,巨噬细胞超微结构发育良好,对细胞内大量吞噬物显示出充分消毁能力。感染第5~7天,DPM处理组病毒滴度明显低于肺炎组,提示巨噬细胞在微循环障碍改善条件下分泌大量干扰素灭活病毒。
二、DPM对细胞免疫反应的作用
RSV肺炎第5天病毒滴度最高,第7天间质淋巴细胞浸润最多。有研究表明,浸润T淋巴细胞主要是CD4与CD8二亚群,尤CD+8淋巴细胞可引起肺泡严重病理改变[5]。我们观察到感染第7天出现杀伤性T淋巴细胞,使靶细胞崩解为细胞碎片,引起病毒扩散和肺泡壁破损,加重血浆渗漏。DPM能减少脾动脉周淋巴鞘杀伤性T淋巴细胞增生和肺杀伤性T淋巴细胞浸润,所以DPM处理组肺泡炎区坏死和崩解的细胞少,病理改变较轻。
, 百拇医药
DPM减少杀伤性T淋巴细胞增生和减轻肺微血管损伤的作用可能与腺苷功效相关。DPM是腺苷转运抑制剂,可增加细胞外腺苷浓度。腺苷能抑制淋巴细胞增生反应[6]、抑制单核细胞分泌肿瘤坏死因子[7]、阻止肺毛细血管通透性增加[8]。DPM可能是通过腺苷的作用机制减轻肺泡炎症
参考文献
1 潘家华,周汉昭,严淑芳.潘生丁治疗婴幼儿呼吸道合胞病毒肺炎临床疗效初步研究.湖南医科大学学报,1990,15:375-377.
2 楼皖玲,潘家华,陈兰举,等.潘生丁在呼吸道合胞病毒肺炎中的细胞免疫抑制作用.中华实验和临床病毒学杂志,1996,10:235.
3 Szapiel SV, Elson NA, Fulmer TD, et al. Bleomycin-induced interstitial pulmonary disease in the Nude, Athymic mouse. Am Rev Respir Dis, 1979, 120:893-899.
, 百拇医药
4 Prince GA, Jenson AB, Horswood RL, et al. The pathogenesis of respiratory syncytial virus infection in cotten rats. Am J pathology, 1978, 93:771-783.
5 Graham BS, Bunton LA, Wright PF, et al. Role of J lymphocyte subsets in the pathogenesis of primary infection and rechallenge with respiratory syncytial virus in mice. J Chin Invest, 1991, 88:1026-1033.
6 冯龚熙,刘发,胡坚,等.腺苷对细胞免疫功能的影响.中国药理学通报,1994,10:424-428.
7 Le Moine O, Stordeur P, Schandene L, et al. Adenisine enhances IL-10 secretion by human monocytes. J Immunol, 1996, 156:4408-4414.
8 Adkins WK, Barnard JW, Moore TM, et al. Adenosine prevents PMA-induced Lung injury via an A2 receptor mechanism. J Appl Physiol, 1993, 74:982-988., 百拇医药
单位:233004 蚌埠医学院附属医院儿科(潘家华、陈兰举、李清友);蚌埠医学院组胚教研室(楼皖玲),病理教研室(姚敏)
关键词:双嘧达莫;呼吸道合胞病毒;肺炎;病毒性
中华儿科杂志/980613 【摘要】 目的 探讨潘生丁(DPM)对呼吸道合胞病毒(RSV)肺炎的治疗作用。方法 采用光镜、电镜观察肺组织形态等方法,对RSV肺炎组与RSV肺炎+DPM处理组的小鼠进行了对比观察。结果 DPM处理组小鼠肺组织病毒滴度明显低于肺炎组(P<0.01);RSV肺炎组小鼠肺间质较多淋巴细胞浸润,肺泡隔重度增宽和实变,毛细血管严重瘀血、血小板聚集和血栓形成;巨噬细胞溶酶体少,残余体堆积;DPM处理组小鼠肺间质浸润淋巴细胞少,肺泡隔轻、中度增宽,无实变;毛细血管无瘀血、血小板聚集和血栓形成;巨噬细胞内大量溶酶体,吞噬活跃。结论 DPM能抗RSV肺炎血管内血小板聚集和血栓形成,减少T淋巴细胞增生和浸润,提高巨噬细胞吞噬病毒能力。
, 百拇医药
An experimental study on treatment of respiratory syncytial virus pneumonia in mice with dipyridamole
Pan Jiahua, Lou Wanling, Chen Lanjü, et al.
Affiliated Hospital of Bengbu Medical College, Bengbu, Anhui, 233004
【Abstract 】 Objective To evaluate the effects of dipyridamole (DPM) in treatment of respiratory syncytial virus (RSV) pneumonia in mice. Methods The pathological changes of the lung tissue of DPM-treated and untreated groups of mice (20 in each) with experimentally produced RSV pneumonia were comparatively observed under light microscope and transmission electron microscope. Results Viral titer in lung tissue remarkably decreased in DPM-treated group as compared with control group (P<0.01). Infiltration of more lymphocytes in lung interstitium, severe thickening of alveolar inter-septum, pulmonary consolidation, sludging of blood, platelet aggregation and embolism in capillaries, fewer lysosomes of macrophages associated with excessive residual products were found in the control group. Such changes were milder or absent in DPM-treated group. Conclusion DPM could inhibit platelet aggregation and embolism, decrease lymphocyte infiltration and improve phagocytosis function of macrophages in RSV pneumonia in mice.
, 百拇医药
【Key words 】 【Key words 】 Dipyridamole Respiratory syncytial viruses Pneumonia, viral
我们用潘生丁(Dipyridamole, DPM)治疗婴幼儿呼吸道合胞病毒(RSV)肺炎,取得良好疗效[1]。我们建立DPM治疗RSV肺炎小鼠模型,通过光镜、电镜等方法连续隔日观察肺组织病理改变,以探讨DPM的治疗作用。
材料和方法
一、材料
1.RSV肺炎动物模型的制备:6~7周龄Balb/c小鼠44只(上海西普尔-必凯实验动物有限公司),清洁级,健康,雌性,体重15~17克。RSVLong株及Hep-2细胞株均来自上海儿科研究所病毒室。将RSV接种于Hep-2单层细胞,培养细胞病变至(+++)。取40只小鼠经乙醚麻醉,用微量加样器分两次将RSV悬液0.1 ml(106 PFU)滴入鼻内,制成有组织实变、坏死的小鼠肺炎模型[2]。将肺炎小鼠随机分成(1)肺炎组20只;(2)DPM处理组20只;(3)另4只未处理的小鼠为正常组。将正常组于实验前脱颈椎处死,取左肺、脾,右肺匀浆,-20℃保存。实验前肺炎组、DPM处理组未用任何药物。第二天,DPM处理组用DPM 50 mg*kg-1*d-1灌胃,肺炎组用重酒石酸100 μl灌胃[2],共用药3天。第5、7、9、12天,两组隔日分别取6、6、4、4只小鼠脱颈椎处死。肉眼观肺组织充血、肿胀,有的可见实变病灶。取左肺、脾,右肺匀浆,-20℃保存。
, http://www.100md.com
2.标本处理:(1)将所取左肺组织及脾用4%多聚甲醛PBS液固定、丙酮脱水、石蜡包埋、HE染色后用于光镜检查。(2)将左肺组织用2.5%戌二醛PBS液固定,由上海医科大学电镜室进行包埋用于透射电镜观察。
二、方法
1.光镜标本体视学测量:作左肺横切面连续切片,每隔100 μm取切片1张,片厚6 μm,共3张。置网格目镜测微尺在400倍镜下,每张切片取10个视野,每视野面积36 100 μm2,每方格面积1 444 μm2,计数切片上肺泡炎0~Ⅳ级方格数,数据取3张切片的均数。参照Szapiel[3]提供的肺泡炎分级,0~Ⅳ级病变确定如下:0级 无肺泡炎;Ⅰ级 肺泡壁间质水肿,毛细血管充血致肺泡壁轻度增厚;Ⅱ级 肺泡壁中度增厚,肺泡腔变小;Ⅲ级 肺泡壁重度增厚,肺泡腔狭小或膨大;Ⅳ级 肺实变。
2.病毒斑形成试验:参照文献[4]。两组共4批,每批4只小鼠。将右肺组织匀浆以1∶10进行稀释,稀释后的匀浆液-20℃保存。预先用96孔培养板培养Hep-2单层细胞。将10 μl稀释后的匀浆液再经10倍稀释后加入培养板孔中,每孔加10 μl,每只动物3个重复孔,设阴性对照、正常对照。37℃,5%CO2条件下,间歇振摇培养板,1小时后,用RPMI1640液洗涤,覆以1%甲基纤维素。置37℃,5%CO2培养6天。培养孔内用0.2%福尔马林固定,0.1%结晶紫染色,计数斑个数。病毒滴度以每克新鲜组织斑形成单位(PFU/g)计算。
, http://www.100md.com
三、统计学处理
肺泡炎中位网格面积以构成比分析;两组病毒斑形成情况比较用t检验。
结果
一、肺组织光镜检查与体视学测量结果(附表)
肺炎组、DPM处理两组感染后均有不同等级的肺泡炎形成。肺炎组感染后5天,Ⅲ级以上炎症占总炎症面积约66%,以后逐渐减轻,12天后已无Ⅲ级以上炎症,但仍以Ⅱ级炎症为主;DPM处理组未见Ⅳ级炎症,感染7天后即无Ⅲ级以上炎症,9天后以Ⅰ级炎症为主,与同期肺炎组相比炎症均轻。肺炎组细支气管以下呼吸道和血管间质淋巴细胞浸润,以感染第7天为最严重,以后逐渐减少。DPM处理组肺间质浸润淋巴细胞出现少而迟缓,于第12天小气道周间质浸润淋巴细胞增多。
二、肺组织电镜检查结果
, 百拇医药
正常组:肺泡Ⅰ型细胞扁薄,胞质中有线粒体等细胞器和吞饮小泡;Ⅱ型细胞胞质中细胞器丰富,板层颗粒较致密。
肺炎组:感染第5~7天,Ⅰ型细胞线粒体消失,吞饮小泡大量增加,表面见病毒芽生形成200~400 nm长短不等的柱状体(图1)。释放于细胞外的成熟病毒颗粒,直径100~280 nm,内有螺旋状盘绕核衣壳,包膜厚,纤突明显。Ⅱ型细胞线粒体肿大或消失,内质网扩张,板层颗粒结构松散。肺泡腔有细胞碎片、纤维素及蛋白渗出液。肺泡区有淋巴细胞、中性粒细胞、巨噬细胞浸润与渗出,可见杀伤性T淋巴细胞破坏邻近感染细胞。巨噬细胞体小,胞质中溶酶体少,毛细血管内皮肿胀,表面伸出不规则棘突,腔内严重瘀血,有微血栓形成。第9~12天,Ⅰ型细胞内仍有较多吞饮泡,Ⅱ型细胞仍肿胀。毛细血管轻度瘀血,腔中常见血小板滞留、聚集和脱颗粒。巨噬细胞内堆积大量吞噬物和残余体,呈不能销毁状。
肺炎组小鼠坏死的Ⅰ型细胞表面质膜破损,边界模糊或间断变厚,内有电子致密物附着,可见病毒芽生的柱状体,细胞内有病毒囊膜及核衣壳(图内标尺示200 nm)
, http://www.100md.com
图1 RSV感染7天时肺炎组小鼠肺组织电镜图
DPM处理组肺泡上皮肿胀较轻,Ⅱ型细胞内线粒体膜及嵴多完整,Ⅰ型细胞胞质内大量吞饮小泡,线粒体结构基本完整(图内标尺示500 nm)
图2 RSV感染7天时DPM处理组小鼠肺组织电镜图
附表 两组RSV肺炎的肺泡炎面积及病毒斑形成试验 感染时间
及组别
动物
数
肺泡炎中位网格面积(μm2)
, http://www.100md.com
各级肺炎面积构成比(%)
病毒滴度
(
细支气管周
淋巴细胞
浸润
Ⅳ
Ⅲ
Ⅱ
Ⅰ
0
合计
, http://www.100md.com
Ⅳ
Ⅲ
Ⅱ
Ⅰ
0
感染后5天
肺炎组
6
2 888
19 855.0
10 830
902.5
0
, 百拇医药
34 475.5
8.38
57.59
31.41
2.62
0
5.0±0.7
++
DPM组
6
0
3 610.0
17 140
, http://www.100md.com
12 635.0
0
33 385.0
0
10.81
51.34
37.85
0
3.0±0.8
-
感染后7天
肺炎组
6
, 百拇医药
0
9 198.3
21 660
0
0
30 858.3
0
29.81
70.19
0
0
4.7±0.7
+++
, 百拇医药
DPM组
6
0
0
21 660
9 920.0
0
31 580.0
0
0
68.59
31.41
0
, http://www.100md.com
2.6±0.5
+
感染后9天
肺炎组
4
0
4 505.3
31 580
0
0
36 085.3
0
12.49
, 百拇医药
87.51
0
0
3.8±1.0
+
DPM组
4
0
0
16 245
19 855.0
0
36 100.0
, 百拇医药
0
0
45.00
55.00
0
2.1±1.4
+
感染后12天
肺炎组
4
0
0
26 165
, 百拇医药
9 920.0
0
36 085.0
0
0
72.51
27.49
0
3.1±0.8
+
DPM组
4
0
, http://www.100md.com
0
11 725
24 360.0
0
36 085.0
0
0
32.49
67.51
0
1.2±1.4
++
注:两组病毒滴度在感染5及7天,差异均有非常显著意义,t分别为4.48和6.77,P均<0.01,9天后虽仍DPM组低于肺炎组,但由于例数较少,差异均未达显著界值,t分别为2.05和2.38,P略>0.05 DPM处理组:第5~7天,肺泡上皮细胞肿胀,但线粒体膜及嵴多完整,内质网轻度扩张(图2)。可见病毒芽生的柱状体和细胞外病毒颗粒。毛细血管扩张,腔中无红细胞、血小板聚集和血栓形成。肺泡腔内渗出液少。巨噬细胞胞体大,含有大量溶酶体、核周滑面内质网和分泌泡,质膜下很多吞饮泡和吞噬的表面活性物质。第9天,肺泡上皮细胞大多结构正常,少数Ⅱ型细胞线粒体肿胀。第12天,肺泡上皮与毛细血管超微结构正常,巨噬细胞胞质丰富,质膜下仍有活跃吞噬和吞饮现象。
, 百拇医药
三、脾脏组织学改变
肺炎组:第5天,脾动脉周淋巴鞘扩大,连成一片,淋巴母细胞多。第7~12天,白髓轻度增生,淋巴母细胞逐渐减少。
DPM处理组:第5~7天,脾白髓未扩大,多孤立成团,其中主要为小淋巴细胞,淋巴母细胞少。第9~12天,动脉周淋巴鞘轻度扩大和增生,淋巴母细胞较多。
四、病毒斑形成试验
第5~7天,DPM处理组比肺炎组病毒滴度明显降低,差异有非常显著意义(t值分别为4.48和6.77,P<0.01)。第9~12天,DPM处理组病毒滴度低于肺炎组,但差异无显著意义。在第12天,肺炎组每鼠均有病毒融合斑形成,而DPM处理组有50%小鼠无病毒融合斑形成(附表)。
讨论
, 百拇医药 一、DPM对肺微循环的作用
RSV肺炎感染严重期,肺泡炎区出现血浆渗出、瘀血和微血栓形成等。在病毒、缺血、缺氧等因素共同作用下,肺泡上皮严重变性坏死。感染恢复期,微血管内仍有红细胞和血小板凝集,肺泡结构修复缓慢。巨噬细胞所出现的吞噬、消化能力低下也与微循环障碍有关,病毒滴度始终处于较高水平。DPM抗红细胞、血小板凝集和抗血栓形成,保持微循环畅通,因此能减少血浆渗出,减轻肺泡上皮肿胀和坏死,肺泡结构较早恢复,与此同时,巨噬细胞超微结构发育良好,对细胞内大量吞噬物显示出充分消毁能力。感染第5~7天,DPM处理组病毒滴度明显低于肺炎组,提示巨噬细胞在微循环障碍改善条件下分泌大量干扰素灭活病毒。
二、DPM对细胞免疫反应的作用
RSV肺炎第5天病毒滴度最高,第7天间质淋巴细胞浸润最多。有研究表明,浸润T淋巴细胞主要是CD4与CD8二亚群,尤CD+8淋巴细胞可引起肺泡严重病理改变[5]。我们观察到感染第7天出现杀伤性T淋巴细胞,使靶细胞崩解为细胞碎片,引起病毒扩散和肺泡壁破损,加重血浆渗漏。DPM能减少脾动脉周淋巴鞘杀伤性T淋巴细胞增生和肺杀伤性T淋巴细胞浸润,所以DPM处理组肺泡炎区坏死和崩解的细胞少,病理改变较轻。
, 百拇医药
DPM减少杀伤性T淋巴细胞增生和减轻肺微血管损伤的作用可能与腺苷功效相关。DPM是腺苷转运抑制剂,可增加细胞外腺苷浓度。腺苷能抑制淋巴细胞增生反应[6]、抑制单核细胞分泌肿瘤坏死因子[7]、阻止肺毛细血管通透性增加[8]。DPM可能是通过腺苷的作用机制减轻肺泡炎症
参考文献
1 潘家华,周汉昭,严淑芳.潘生丁治疗婴幼儿呼吸道合胞病毒肺炎临床疗效初步研究.湖南医科大学学报,1990,15:375-377.
2 楼皖玲,潘家华,陈兰举,等.潘生丁在呼吸道合胞病毒肺炎中的细胞免疫抑制作用.中华实验和临床病毒学杂志,1996,10:235.
3 Szapiel SV, Elson NA, Fulmer TD, et al. Bleomycin-induced interstitial pulmonary disease in the Nude, Athymic mouse. Am Rev Respir Dis, 1979, 120:893-899.
, 百拇医药
4 Prince GA, Jenson AB, Horswood RL, et al. The pathogenesis of respiratory syncytial virus infection in cotten rats. Am J pathology, 1978, 93:771-783.
5 Graham BS, Bunton LA, Wright PF, et al. Role of J lymphocyte subsets in the pathogenesis of primary infection and rechallenge with respiratory syncytial virus in mice. J Chin Invest, 1991, 88:1026-1033.
6 冯龚熙,刘发,胡坚,等.腺苷对细胞免疫功能的影响.中国药理学通报,1994,10:424-428.
7 Le Moine O, Stordeur P, Schandene L, et al. Adenisine enhances IL-10 secretion by human monocytes. J Immunol, 1996, 156:4408-4414.
8 Adkins WK, Barnard JW, Moore TM, et al. Adenosine prevents PMA-induced Lung injury via an A2 receptor mechanism. J Appl Physiol, 1993, 74:982-988., 百拇医药