血小板α-粒子蛋白对巨核细胞生长的作用
作者:杨默 李桂霞 阮文宾 Chong BH
单位:香港中文大学医学院儿科学系(杨默、李桂霞、阮文宾);
关键词:巨核细胞;P选择素
中华儿科杂志/980704 【摘要】 目的 研究血小板α-粒子蛋白包括血小板反应素1(thrombospondin 1, TSP1),血小板因子4(platelet factor 4, PF4),β-血小板球蛋白(β-Thromboglobulin,β-TG)和血小板源性生长因子(platelet-derived growth factor, PDGF)对巨核细胞生成的影响和可能的作用机制。方法 用血浆凝块巨核细胞集落培养,观察对生长的影响,并进一步使用免疫组化和Western blot证实受体的存在和对c-fos表达的影响。结果 (1)TSP1和PF4显著地抑制巨核细胞集落(CFU-MK)的形成,有意义的起始抑制浓度为2.5 μg/ml(P<0.05)。比较相同浓度的作用TSP1和PF4有相似的抑制效应,但β-TG则无显著的影响。而PDGF显著地刺激巨核细胞的生成,最大的刺激剂量为50 ng/ml;(2)血小板生长因子(TPO)(20 ng/ml)显著地增加CFU-MK的形成,但当加上TSP1(5 μg/ml)时。TPO对巨核细胞的生长作用能被TSP1减弱(71±5.5/2×105细胞~41±8.0/2×105细胞,P<0.01);(3)证实骨髓的巨核细胞表达TSP受体(CD36)和PDGF受体;(4)使用Western blot方法,发现PDGF能诱导巨核细胞株CHRF-288增加c-fos的表达。结论 证明了血小板α-粒子蛋白TSP1和PF4作为负性调节子,PDGF作为正性调节子,参与巨核细胞生成的反馈调节。TSP1对巨核细胞生长的抑制效应,可能通过结合巨核细胞的TSP受体而起直接作用或通过调节TPO对巨核细胞的结合而起的间接作用。PDGF的生长促进效应,可能是通过结合到巨核细胞上的PDGF受体,激活c-fos基因的表达和有丝分裂的发生。
, 百拇医药
Effects of platelet alpha-granule proteins on megakaryocytopoiesis
Yang M, Karen Li, Yuen PMP, et al.
Department of Paediatrics, The Chinese University of Hong Kong, Hong Kong
【Abstract】 Objective The effects of platelet alpha-granule proteins including platelet-derived growth factor (PDGF), thrombospondin 1 (TSP1), beta-thromboglobulin (β-TG) and platelet factor 4 (PF4) were investigated as possible feedback mechanisms of megakaryocytopoiesis. Methods A plasma clot clonal assay, immunocytochemical staining and Western blot were used in this study. Results (1) TSP1 and PF4 significantly inhibited megakaryocyte colony (CFU-MK) formation whereas PDGF stimulated CFU-MK in a dose-dependent manner. β-TG did not show significant effects on CFU-MK. (2) The mitogenic effect of TPO on megakaryocytopoiesis was reduced by TSP1. (3) The TSP receptor (CD36) and PDGF receptor expressions were detected on human bone marrow megakaryocytes. (4) Western blot analysis of human megakaryoblast cell lines demonstrated that PDGF (the BB-isoform) induced the expression of the immediate-early gene, c-fos, mediated by binding with the PDGF receptor.Conclusion The study has demonstrated that the platelet proteins, TSP1 and PF4, act as negative modulators of megakaryocytopoiesis but PDGF has a stimulatory effect. The inhibitory effect of TSP1 may act by either the direct interaction with its receptors on megakaryocytes/precursors or by modulating the binding of TPO. The signal transduction pathways of these modulators on megakaryocytopoiesis and the physiological significance of the feedback mechanism induced by platelet proteins should be further investigated.
, 百拇医药
【Key words】 Megakaryocytes P-selectin
巨核细胞的生成包括造血干细胞增殖和分化成成熟的巨核细胞和血小板的过程。巨核细胞的生长主要由血小板生长因子(thrombopoietin, TPO)调节[1],其他细胞因子包括IL-3、IL-6、干细胞因子(SCF)和IL-11等也不同程度地参与了该过程[2]。另外,可能存在一个“反馈调节”,以维持循环血中的血小板水平的相对恒定,但该反馈机制尚未清楚。我们假设血小板的粒子蛋白在该“反馈调节”中起一定的作用。本工作将分析血小板α-粒子蛋白包括血小板反应素1(thrombospondin 1, TSP1),血小板因子4(platelet factor 4, PF4),β-血小板球蛋白(β-thromboglobulin, β-TG)和血小板源性生长因子(platelet-derived growth factor, PDGF)对巨核细胞生成的影响和可能的作用机制。
, 百拇医药
材料和方法
一、细胞因子及材料
重组人(rh)的PDGF-BB,rh TPO,CD36抗体和PDGF-b受体抗体均购自Genzyme公司。牛血清白蛋白(BSA),2-硫基乙醇(α-mercaptoethanol)和牛血浆均购自Sigma公司。
二、细胞株的培养
巨核细胞细胞株,CHRF-288,是澳大利亚新南威尔士大学Chong教授实验室赠送。该细胞株培养于伊思考夫改良杜尔贝可培养基(Iscoves modified Dulbecco′ medium, IMDM)加上10%BSA中,每2~3天换液一次。
三、TSP1,PF4和β-TG的提纯
, 百拇医药
血小板被Thrombin激活后,释放出来的粒子蛋白,使用heparin-sepharose和gel filtration进一步纯化[3],纯化的血小板蛋白被十二烷基硫酸钠(SDS)电泳进行分析,TSP1,PF4和β-TG均示单一的蛋白带。提纯的蛋白浓度使用蛋白测定药盒(Pierce)进行定量。
四、巨核细胞集落(CFU-MK)培养
巨核细胞集落培养使用血浆凝块培养法[4],6~10周的小鼠股骨取出后,用IMDM培养液将骨髓冲出到离心管中,经离心洗净后,进行计数,并转移到petri培养皿(35 mm, Lux)中培养。培养皿置于37℃,湿度100%,5% CO2培养箱中培养7天。7天后进行原位固定,干燥后使用乙酰胆碱酯酶(AchE)染色法以标记出巨核细胞,并以苏木素进行复染。采用倒置显微镜进行细胞集落计数。确认标准:每个CFU-MK为多于或等于3个巨核细胞的集落。每个粒-单核细胞集落(CFU-GM)为大于或等于40个细胞的集合。
, http://www.100md.com
五、免疫组化方法
使用单克隆抗体免疫组化方法研究TSP受体(CD36)和PDGF受体在巨核细胞的表达。
六、Western blot分析
为了观察PDGF对巨核细胞表达c-fos的影响,使用Western blot方法,检测CHRF-288细胞的c-fos蛋白的水平。
七、数据分析
数据输入电脑后,使用配对t检验进行分析。
结果
一、比较TSP1、PF4和β-TG对巨核细胞生长的影响
, http://www.100md.com
在6个独立的实验中,使用血浆凝块法,以再障患儿血浆作为巨核细胞刺激因子,研究不同浓度的纯化TSP1,PF4和β-TG(0、1、2.5、5、10和25 μg/ml)对巨核细胞集落形成的影响。结果显示TSP1、PF4显著抑制巨核细胞集落的形成,最小抑制浓度是2.5 μg/ml。以相同浓度比较,TSP1、PF4有相似的抑制作用,但β-TG则无显著的影响(表1)
表1 不同浓度TSP1、PF4和β-TG对巨核细胞集落生长的影响[(n=6),CFU-MK/2×105细胞] 浓度
(μg/ml)
巨核细胞集落(
±s)
, 百拇医药
TSP1
PF4
β-TG
0
25.0±4.5
24.0±4.5
21.0±3.5
1
20.7±4.2
21.0±5.0
19.0±3.0
2.5
, 百拇医药
14.8±4.2*
14.0±3.5*
19.5±3.5
5
12.7±3.5**
12.5±3.5**
18.0±2.8
10
9.2±3.6**
5.0±1.5**
, 百拇医药 17.5±3.0
25
7.8±2.8**
2.5±2.0**
18.5±3.2
实验组与不加PDGF组比较:* P<0.05,** P<0.01 二、PDGF对巨核细胞生长的影响
在4个独立的实验中,观察了不同浓度的PDGF(0、1、5、10、20、50、100 ng/ml)对血浆凝块中巨核细胞集落形成的作用。结果发现PDGF以剂量相关的形式(dose-dependent manner)显著地刺激巨核细胞生成(表2),最大的刺激剂量为50 ng/ml PDGF。
, http://www.100md.com
表2 不同浓度PDGF对巨核细胞和粒-单核细胞集落
生长的影响(n=4,
±s) PDGF
(ng/ml)
巨核细胞
CFU-MK/2×105细胞
粒-单核细胞
CFU-CM/2×105细胞
0
3.5±1.5
19.0± 5.5
, http://www.100md.com
1
5.0±2.0
30.0±10.0
5
4.5±2.2
28.0±11.0
10
11.0±0.5*
42.0±11.0
20
13.0±3.8**
60.0±20.0**
, 百拇医药
50
18.0±4.0*
91.0±18.0*
100
16.0±3.5*
85.0±20.0*
实验组与不加PDGF组比较:* P<0.01,** P<0.05
三、TSP1和TPO对巨核细胞生长作用的影响
TPO(20 ng/ml)显著地增加巨核细胞集落的形成,当TPO(20 ng/ml)加上TSP1(5 μg/ml)时,CFU-MK从71±5.5减少到41±8.0集落/2×105,表明TPO对巨核细胞的生长作用能被TSP1减弱。
, 百拇医药
四、巨核细胞表达TSP受体(CD36)和PDGF受体
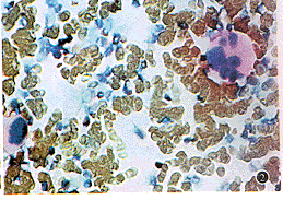
使用免疫组织化学方法和单克隆抗体(CD36抗体和PDGF-β受体抗体),分别证实骨髓巨核细胞表达TSP受体(CD36)和PDGF-β受体(图1,2)。
五、PDGF诱导巨核细胞c-fos的表达
使用Western blot方法,我们观察PDGF-BB对巨核细胞株CHRF细胞表达c-fos水平的影响。结果显示经过30分钟的作用,PDGF-BB能显著诱导CHRF细胞c-fos的表达。
讨论
近年来,在巨核细胞生长调控和血小板生成的研究中,一个重要的问题已被解决,就是发现了一个特异的巨核细胞和血小板生长因子——TPO。但是在生理条件下如何维持和调节血小板数目的稳定和调节体内TPO的产生,尚有待研究,体内可能存在一个巨核细胞生成的反馈调节,但什么因素参与了该机制还不清楚。本研究初步证实了血小板α-粒子蛋白TSP1和PF4对巨核细胞的生成作为一个负性调节子,PDGF作为一个正性调节子,β-TG则未见明显的影响作用。
, 百拇医药
一、TSP1对巨核细胞生长的作用
TSP1是一个重要的巨核细胞-血小板α-粒子蛋白,作为一个细胞吸附分子,对血细胞的增殖和分化起到重要的作用[5]。由于TSP受体已被证实存在于巨核细胞,TSP1可能通过其受体对巨核细胞的生长起直接的抑制作用。另外,TSP1和TPO的相互作用被进一步探讨,TPO对巨核细胞生长的促进作用能被TSP1减弱。TSP1作为骨髓微环境的细胞吸附蛋白,通过结合到巨核细胞表面受体,能调节细胞和细胞之间,细胞和生长因子之间,细胞和细胞外基质(extracellular matrix, ECM)之间的相互作用。所以,TSP1对巨核细胞生长的抑制效应,有两个可能的作用机制,一是通过其在巨核细胞上的表面受体而起的直接作用,二是通过调节TPO对巨核细胞的结合而起的间接作用。
, 百拇医药 二、PDGF对巨核细胞生长的作用
PDGF作为一个血小板α-粒子内重要的生长因子,对成纤维细胞,内皮细胞和平滑肌细胞等结缔组织有生长刺激作用。由于巨核细胞的PDGF受体已被证实,PDGF对巨核细胞的生长促进作用,通过其受体刺激细胞的c-fos基因的表达和有丝分裂的发生。另一方面,PDGF亦可能作用于骨髓微环境中的间质细胞,使间质细胞产生更多的细胞因子,从而间接地影响到巨核细胞的生长和粒-单核细胞的生长[6]。
三、PF4和β-TG对巨核细胞生长的作用
PF4是一个特异性的巨核细胞-血小板α-粒子蛋白,合成于巨核细胞。PF4对巨核细胞的生长有抑制作用[7,8]。我们的结果进一步证实了PF4抑制巨核细胞的生长。另一个重要的血小板α-粒子蛋白β-TG,对巨核细胞的生长影响也被进行了研究。Gewirtz等报道[8]β-TG对巨核细胞生长无任何显著的影响,但Abgrall等[9]的结果发现β-TG对巨核细胞的生长有抑制作用。我们的实验结果显示了β-TG对巨核细胞生长无显著的抑制作用。
, http://www.100md.com
本研究证明了血小板α-粒子蛋白对巨核细胞的生长有调控作用,TSP1和PF4作为负性调节子,PDGF作为正性调节子,参与了巨核细胞生成的反馈调节机制。澳大利亚新南威尔士大学血栓形成与血管研究中心(Chong BH)
图1人骨巨核细胞表达CD36抗原骨髓涂片巨核z细胞对CD36单克隆抗体呈现强阳性反应。免疫组化方法,苏木素复染*200
图2人骨髓巨核细胞表达血小板源性生长因子(PDGF-B)受体。骨髓涂片风起云涌 个巨核细胞对PKGF-B受体单克隆抗体呈阳性反应。免疫组化方法,苏木素复杂,*200
参考文献
, http://www.100md.com
1 Kaushansky K. Thrombopoietin: the primary regulator of platelet production. Blood, 1995,86:419-431.
2 Hoffman R. Regulation of megakaryocytopoiesis. Blood, 1989,74:1196-1212.
3 Hogg PJ, Jimenez BM, Chesterman CN. Identification of possible inhibitory reactive centres in thrombospondin 1 that may bind cathepsin G and neutrophil elastase. Biochemistry, 1994,33:6531-6537.
4 Yang M, Sridiatkhachorn A, Anthony M, et al. Serotonin stimulates megakaryocytopoiesis via 5HT2 receptors. Blood Coagul Fibrinolysis, 1996,6:127-133.
, 百拇医药
5 Long MW, Dixit VM. Thrombospondin functions as a cytoadhesion molecule for human hematopietic progenitor cells. Blood, 1990,75:2311-2318.
6 Yang M, Chesterman CN, Chong BH. Effect of PDGF on murine granulocyte-macrophage colony formation in vitro. Exp Haematol, 1994,22:738-738.
7 Han ZC, Sensebe L, Abgrall JF, et al. Platelet factor 4 inhibits human megakaryocytopoiesis in vitro. Blood, 1990,75:1234-1239.
, 百拇医药
8 Gewirtz AM, Calabretta B, Rucinski B, et al. Inhibition of human megakaryocytopoiesis in vitro by platelet factor 4 (PF4) and a synthetic COOH-terminal PF4 peptide. J Clin Invest, 1989,83:1477-1486.
9 Abgrall JF, Han ZC, Sensebe L, et al. Inhibitory effect of highly purified human platelet beta-thromboglobulin on in vitro human megakaryocyte colony formation. Exp Hematol, 1991,19:202-205., 百拇医药
单位:香港中文大学医学院儿科学系(杨默、李桂霞、阮文宾);
关键词:巨核细胞;P选择素
中华儿科杂志/980704 【摘要】 目的 研究血小板α-粒子蛋白包括血小板反应素1(thrombospondin 1, TSP1),血小板因子4(platelet factor 4, PF4),β-血小板球蛋白(β-Thromboglobulin,β-TG)和血小板源性生长因子(platelet-derived growth factor, PDGF)对巨核细胞生成的影响和可能的作用机制。方法 用血浆凝块巨核细胞集落培养,观察对生长的影响,并进一步使用免疫组化和Western blot证实受体的存在和对c-fos表达的影响。结果 (1)TSP1和PF4显著地抑制巨核细胞集落(CFU-MK)的形成,有意义的起始抑制浓度为2.5 μg/ml(P<0.05)。比较相同浓度的作用TSP1和PF4有相似的抑制效应,但β-TG则无显著的影响。而PDGF显著地刺激巨核细胞的生成,最大的刺激剂量为50 ng/ml;(2)血小板生长因子(TPO)(20 ng/ml)显著地增加CFU-MK的形成,但当加上TSP1(5 μg/ml)时。TPO对巨核细胞的生长作用能被TSP1减弱(71±5.5/2×105细胞~41±8.0/2×105细胞,P<0.01);(3)证实骨髓的巨核细胞表达TSP受体(CD36)和PDGF受体;(4)使用Western blot方法,发现PDGF能诱导巨核细胞株CHRF-288增加c-fos的表达。结论 证明了血小板α-粒子蛋白TSP1和PF4作为负性调节子,PDGF作为正性调节子,参与巨核细胞生成的反馈调节。TSP1对巨核细胞生长的抑制效应,可能通过结合巨核细胞的TSP受体而起直接作用或通过调节TPO对巨核细胞的结合而起的间接作用。PDGF的生长促进效应,可能是通过结合到巨核细胞上的PDGF受体,激活c-fos基因的表达和有丝分裂的发生。
, 百拇医药
Effects of platelet alpha-granule proteins on megakaryocytopoiesis
Yang M, Karen Li, Yuen PMP, et al.
Department of Paediatrics, The Chinese University of Hong Kong, Hong Kong
【Abstract】 Objective The effects of platelet alpha-granule proteins including platelet-derived growth factor (PDGF), thrombospondin 1 (TSP1), beta-thromboglobulin (β-TG) and platelet factor 4 (PF4) were investigated as possible feedback mechanisms of megakaryocytopoiesis. Methods A plasma clot clonal assay, immunocytochemical staining and Western blot were used in this study. Results (1) TSP1 and PF4 significantly inhibited megakaryocyte colony (CFU-MK) formation whereas PDGF stimulated CFU-MK in a dose-dependent manner. β-TG did not show significant effects on CFU-MK. (2) The mitogenic effect of TPO on megakaryocytopoiesis was reduced by TSP1. (3) The TSP receptor (CD36) and PDGF receptor expressions were detected on human bone marrow megakaryocytes. (4) Western blot analysis of human megakaryoblast cell lines demonstrated that PDGF (the BB-isoform) induced the expression of the immediate-early gene, c-fos, mediated by binding with the PDGF receptor.Conclusion The study has demonstrated that the platelet proteins, TSP1 and PF4, act as negative modulators of megakaryocytopoiesis but PDGF has a stimulatory effect. The inhibitory effect of TSP1 may act by either the direct interaction with its receptors on megakaryocytes/precursors or by modulating the binding of TPO. The signal transduction pathways of these modulators on megakaryocytopoiesis and the physiological significance of the feedback mechanism induced by platelet proteins should be further investigated.
, 百拇医药
【Key words】 Megakaryocytes P-selectin
巨核细胞的生成包括造血干细胞增殖和分化成成熟的巨核细胞和血小板的过程。巨核细胞的生长主要由血小板生长因子(thrombopoietin, TPO)调节[1],其他细胞因子包括IL-3、IL-6、干细胞因子(SCF)和IL-11等也不同程度地参与了该过程[2]。另外,可能存在一个“反馈调节”,以维持循环血中的血小板水平的相对恒定,但该反馈机制尚未清楚。我们假设血小板的粒子蛋白在该“反馈调节”中起一定的作用。本工作将分析血小板α-粒子蛋白包括血小板反应素1(thrombospondin 1, TSP1),血小板因子4(platelet factor 4, PF4),β-血小板球蛋白(β-thromboglobulin, β-TG)和血小板源性生长因子(platelet-derived growth factor, PDGF)对巨核细胞生成的影响和可能的作用机制。
, 百拇医药
材料和方法
一、细胞因子及材料
重组人(rh)的PDGF-BB,rh TPO,CD36抗体和PDGF-b受体抗体均购自Genzyme公司。牛血清白蛋白(BSA),2-硫基乙醇(α-mercaptoethanol)和牛血浆均购自Sigma公司。
二、细胞株的培养
巨核细胞细胞株,CHRF-288,是澳大利亚新南威尔士大学Chong教授实验室赠送。该细胞株培养于伊思考夫改良杜尔贝可培养基(Iscoves modified Dulbecco′ medium, IMDM)加上10%BSA中,每2~3天换液一次。
三、TSP1,PF4和β-TG的提纯
, 百拇医药
血小板被Thrombin激活后,释放出来的粒子蛋白,使用heparin-sepharose和gel filtration进一步纯化[3],纯化的血小板蛋白被十二烷基硫酸钠(SDS)电泳进行分析,TSP1,PF4和β-TG均示单一的蛋白带。提纯的蛋白浓度使用蛋白测定药盒(Pierce)进行定量。
四、巨核细胞集落(CFU-MK)培养
巨核细胞集落培养使用血浆凝块培养法[4],6~10周的小鼠股骨取出后,用IMDM培养液将骨髓冲出到离心管中,经离心洗净后,进行计数,并转移到petri培养皿(35 mm, Lux)中培养。培养皿置于37℃,湿度100%,5% CO2培养箱中培养7天。7天后进行原位固定,干燥后使用乙酰胆碱酯酶(AchE)染色法以标记出巨核细胞,并以苏木素进行复染。采用倒置显微镜进行细胞集落计数。确认标准:每个CFU-MK为多于或等于3个巨核细胞的集落。每个粒-单核细胞集落(CFU-GM)为大于或等于40个细胞的集合。
, http://www.100md.com
五、免疫组化方法
使用单克隆抗体免疫组化方法研究TSP受体(CD36)和PDGF受体在巨核细胞的表达。
六、Western blot分析
为了观察PDGF对巨核细胞表达c-fos的影响,使用Western blot方法,检测CHRF-288细胞的c-fos蛋白的水平。
七、数据分析
数据输入电脑后,使用配对t检验进行分析。
结果
一、比较TSP1、PF4和β-TG对巨核细胞生长的影响
, http://www.100md.com
在6个独立的实验中,使用血浆凝块法,以再障患儿血浆作为巨核细胞刺激因子,研究不同浓度的纯化TSP1,PF4和β-TG(0、1、2.5、5、10和25 μg/ml)对巨核细胞集落形成的影响。结果显示TSP1、PF4显著抑制巨核细胞集落的形成,最小抑制浓度是2.5 μg/ml。以相同浓度比较,TSP1、PF4有相似的抑制作用,但β-TG则无显著的影响(表1)
表1 不同浓度TSP1、PF4和β-TG对巨核细胞集落生长的影响[(n=6),CFU-MK/2×105细胞] 浓度
(μg/ml)
巨核细胞集落(
, 百拇医药
TSP1
PF4
β-TG
0
25.0±4.5
24.0±4.5
21.0±3.5
1
20.7±4.2
21.0±5.0
19.0±3.0
2.5
, 百拇医药
14.8±4.2*
14.0±3.5*
19.5±3.5
5
12.7±3.5**
12.5±3.5**
18.0±2.8
10
9.2±3.6**
5.0±1.5**
, 百拇医药 17.5±3.0
25
7.8±2.8**
2.5±2.0**
18.5±3.2
实验组与不加PDGF组比较:* P<0.05,** P<0.01 二、PDGF对巨核细胞生长的影响
在4个独立的实验中,观察了不同浓度的PDGF(0、1、5、10、20、50、100 ng/ml)对血浆凝块中巨核细胞集落形成的作用。结果发现PDGF以剂量相关的形式(dose-dependent manner)显著地刺激巨核细胞生成(表2),最大的刺激剂量为50 ng/ml PDGF。
, http://www.100md.com
表2 不同浓度PDGF对巨核细胞和粒-单核细胞集落
生长的影响(n=4,
(ng/ml)
巨核细胞
CFU-MK/2×105细胞
粒-单核细胞
CFU-CM/2×105细胞
0
3.5±1.5
19.0± 5.5
, http://www.100md.com
1
5.0±2.0
30.0±10.0
5
4.5±2.2
28.0±11.0
10
11.0±0.5*
42.0±11.0
20
13.0±3.8**
60.0±20.0**
, 百拇医药
50
18.0±4.0*
91.0±18.0*
100
16.0±3.5*
85.0±20.0*
实验组与不加PDGF组比较:* P<0.01,** P<0.05
三、TSP1和TPO对巨核细胞生长作用的影响
TPO(20 ng/ml)显著地增加巨核细胞集落的形成,当TPO(20 ng/ml)加上TSP1(5 μg/ml)时,CFU-MK从71±5.5减少到41±8.0集落/2×105,表明TPO对巨核细胞的生长作用能被TSP1减弱。
, 百拇医药
四、巨核细胞表达TSP受体(CD36)和PDGF受体
使用免疫组织化学方法和单克隆抗体(CD36抗体和PDGF-β受体抗体),分别证实骨髓巨核细胞表达TSP受体(CD36)和PDGF-β受体(图1,2)。
五、PDGF诱导巨核细胞c-fos的表达
使用Western blot方法,我们观察PDGF-BB对巨核细胞株CHRF细胞表达c-fos水平的影响。结果显示经过30分钟的作用,PDGF-BB能显著诱导CHRF细胞c-fos的表达。
讨论
近年来,在巨核细胞生长调控和血小板生成的研究中,一个重要的问题已被解决,就是发现了一个特异的巨核细胞和血小板生长因子——TPO。但是在生理条件下如何维持和调节血小板数目的稳定和调节体内TPO的产生,尚有待研究,体内可能存在一个巨核细胞生成的反馈调节,但什么因素参与了该机制还不清楚。本研究初步证实了血小板α-粒子蛋白TSP1和PF4对巨核细胞的生成作为一个负性调节子,PDGF作为一个正性调节子,β-TG则未见明显的影响作用。
, 百拇医药
一、TSP1对巨核细胞生长的作用
TSP1是一个重要的巨核细胞-血小板α-粒子蛋白,作为一个细胞吸附分子,对血细胞的增殖和分化起到重要的作用[5]。由于TSP受体已被证实存在于巨核细胞,TSP1可能通过其受体对巨核细胞的生长起直接的抑制作用。另外,TSP1和TPO的相互作用被进一步探讨,TPO对巨核细胞生长的促进作用能被TSP1减弱。TSP1作为骨髓微环境的细胞吸附蛋白,通过结合到巨核细胞表面受体,能调节细胞和细胞之间,细胞和生长因子之间,细胞和细胞外基质(extracellular matrix, ECM)之间的相互作用。所以,TSP1对巨核细胞生长的抑制效应,有两个可能的作用机制,一是通过其在巨核细胞上的表面受体而起的直接作用,二是通过调节TPO对巨核细胞的结合而起的间接作用。
, 百拇医药 二、PDGF对巨核细胞生长的作用
PDGF作为一个血小板α-粒子内重要的生长因子,对成纤维细胞,内皮细胞和平滑肌细胞等结缔组织有生长刺激作用。由于巨核细胞的PDGF受体已被证实,PDGF对巨核细胞的生长促进作用,通过其受体刺激细胞的c-fos基因的表达和有丝分裂的发生。另一方面,PDGF亦可能作用于骨髓微环境中的间质细胞,使间质细胞产生更多的细胞因子,从而间接地影响到巨核细胞的生长和粒-单核细胞的生长[6]。
三、PF4和β-TG对巨核细胞生长的作用
PF4是一个特异性的巨核细胞-血小板α-粒子蛋白,合成于巨核细胞。PF4对巨核细胞的生长有抑制作用[7,8]。我们的结果进一步证实了PF4抑制巨核细胞的生长。另一个重要的血小板α-粒子蛋白β-TG,对巨核细胞的生长影响也被进行了研究。Gewirtz等报道[8]β-TG对巨核细胞生长无任何显著的影响,但Abgrall等[9]的结果发现β-TG对巨核细胞的生长有抑制作用。我们的实验结果显示了β-TG对巨核细胞生长无显著的抑制作用。
, http://www.100md.com
本研究证明了血小板α-粒子蛋白对巨核细胞的生长有调控作用,TSP1和PF4作为负性调节子,PDGF作为正性调节子,参与了巨核细胞生成的反馈调节机制。澳大利亚新南威尔士大学血栓形成与血管研究中心(Chong BH)
图1人骨巨核细胞表达CD36抗原骨髓涂片巨核z细胞对CD36单克隆抗体呈现强阳性反应。免疫组化方法,苏木素复染*200
图2人骨髓巨核细胞表达血小板源性生长因子(PDGF-B)受体。骨髓涂片风起云涌 个巨核细胞对PKGF-B受体单克隆抗体呈阳性反应。免疫组化方法,苏木素复杂,*200
参考文献
, http://www.100md.com
1 Kaushansky K. Thrombopoietin: the primary regulator of platelet production. Blood, 1995,86:419-431.
2 Hoffman R. Regulation of megakaryocytopoiesis. Blood, 1989,74:1196-1212.
3 Hogg PJ, Jimenez BM, Chesterman CN. Identification of possible inhibitory reactive centres in thrombospondin 1 that may bind cathepsin G and neutrophil elastase. Biochemistry, 1994,33:6531-6537.
4 Yang M, Sridiatkhachorn A, Anthony M, et al. Serotonin stimulates megakaryocytopoiesis via 5HT2 receptors. Blood Coagul Fibrinolysis, 1996,6:127-133.
, 百拇医药
5 Long MW, Dixit VM. Thrombospondin functions as a cytoadhesion molecule for human hematopietic progenitor cells. Blood, 1990,75:2311-2318.
6 Yang M, Chesterman CN, Chong BH. Effect of PDGF on murine granulocyte-macrophage colony formation in vitro. Exp Haematol, 1994,22:738-738.
7 Han ZC, Sensebe L, Abgrall JF, et al. Platelet factor 4 inhibits human megakaryocytopoiesis in vitro. Blood, 1990,75:1234-1239.
, 百拇医药
8 Gewirtz AM, Calabretta B, Rucinski B, et al. Inhibition of human megakaryocytopoiesis in vitro by platelet factor 4 (PF4) and a synthetic COOH-terminal PF4 peptide. J Clin Invest, 1989,83:1477-1486.
9 Abgrall JF, Han ZC, Sensebe L, et al. Inhibitory effect of highly purified human platelet beta-thromboglobulin on in vitro human megakaryocyte colony formation. Exp Hematol, 1991,19:202-205., 百拇医药