检测不同组织基底膜IV型胶原α链确定Alport综合征遗传型
作者:丁洁 姚勇 黄健萍 郭顺华 俞礼霞 杨霁云
单位:100034 北京医科大学第一医院儿科
关键词:肾炎;遗传性;胶原;肾小球膜
中华儿科杂志990208 【摘要】 目的 探讨中国人不同遗传型Alport综合征(AS)患者基底膜α链的表达及其在判断遗传型方面的应用。方法 应用间接免疫荧光学方法,对确诊为AS的7例X连锁显性遗传型男性先证者、1例无家族史的AS女童及其部分家系成员不同组织基底膜中Ⅳ型胶原α链[α(Ⅳ)]的表达进行了检测并与正常组对照。结果 X连锁显性遗传型男性患者,皮肤基底膜(EBM)α5(IV)链、肾小球基底膜(GBM)、肾小管基底膜(TBM)及肾小囊(BC)的α3~α5(Ⅳ)链均无表达;此类患者母亲的EBM上α5(Ⅳ)链为间断性表达。无家族史的AS女童,α(Ⅳ)在EBM表达正常,但α5(Ⅳ)链在GBM上无表达,在BC和部分TBM上有表达;而α3(Ⅳ)和α4(Ⅳ)链在GBM、TBM和BC上均无表达。这一表达特点符合国外报道的常染色体隐性遗传型AS患者基底膜α(Ⅳ)的表达。结论 检测基底膜Ⅳ型胶原α链的表达不但可诊断AS患者和筛查基因携带者,而且可用于确定AS遗传型,这对于小家系以及家族史不确定的患者尤为重要。
, 百拇医药
Detection of type Ⅳ collagen α chains in basement membranes for determining the hereditary modes of Alport syndrome DING Jie,YAO Yong, HUANG Jianping, et al. Department of Pediatrics, First Hospital, Beijing Medical University, Beijing 100034
【Abstract】 Objective To explore the expression of different α chains of type Ⅳ collagen on basement membranes for determining the hereditary modes of Alport syndrome (AS) in Chinese patients. Methods By using indirect immunofluorescence method, the expression of type Ⅳ collagen α chains was detected on basement membranes in specimens from 7 X-linked AS male patients, 1 female AS patient without family history and some of their family members. Results In X-linked AS male patients there was no expression of α5(Ⅳ) on epidermal basement membrane (EBM), as well as α3(Ⅳ)~α5(Ⅳ) on glomerular basement membrane (GBM), tubular basement membrane (TBM) and Bowman′s capsule (BC). In mothers of the X-linked AS male patients, there was a segmental expression of α5(Ⅳ) on EBM. In the female AS patient without family history, the expression of type Ⅳ collagen α chains was normal on EBM, while the expression of α5(Ⅳ) was absent on GBM but present on TBM and BC, which shares the same pattern of expression α (Ⅳ) chains on basement membranes with the other reports for the patients of autosomal recessive AS. Conclusion The detection of type Ⅳ collagen α chains on basement membranes is useful not only for diagnosing AS patients, screening AS gene-carriers, but also for determining the hereditary modes of AS. It is more important for the patient in a small kindred or with an unsure family history.
, 百拇医药
【Key words】 Nephritis, hereditary Collagen Glomerular mesangium
Alport综合征(Alport syndrome, AS)是以血尿、感音神经性耳聋及进行性肾功能减退为临床特点的遗传性肾脏疾病。AS主要遗传方式为X连锁显性遗传(约占50%~85%)、常染色体隐性遗传(约占15%)以及常染色体显性遗传(极少见)。已证明的致AS的突变基因均为编码Ⅳ型胶原α链[α(Ⅳ)]的基因。我们曾检测AS患者Ⅳ型胶原各个α链在基底膜的表达,进行了病例诊断和AS基因携带者的筛查[1]。本研究旨在通过检测基底膜Ⅳ型胶原不同α链的表达,确定AS遗传型。
对象和方法
一、研究对象
1. AS男性先证者7例。患者年龄12~25岁,来自7个家系。均表现为血尿,伴有蛋白尿,肾功能尚正常。5/7纯音测听显示轻~中度神经性耳聋。肾穿刺活组织电镜检查均显示肾小球基底膜(GBM)薄厚不均、扭曲,并有分层和断裂。家系调查均显示为X连锁显性遗传型。
, 百拇医药
2. 上述4例AS男性患者之母亲。3例临床表现为血尿,不伴蛋白尿,肾功能均正常。
3. 无家族史之AS患儿1例。为5岁女童,已持续性血尿2年,伴蛋白尿。尿蛋白(++),肾功能正常,纯音测听正常。肾穿刺活组织电镜检查显示GBM薄厚不均,以薄为主,部分GBM出现分层。家族中无肾脏病史。患儿父母非近亲婚配。
4.AS 女童之父母。尿沉渣检查正常, 肾功能正常。
以上各例全部获皮肤穿刺的活组织标本,1和3组病例均获肾穿刺的活组织标本。
5. 正常对照。外科手术所取皮肤组织为正常皮肤对照,共8例;肾脏肿瘤手术所取正常肾组织部分为肾脏对照,共4例。以上各例均无肾小球肾炎病史,无AS及AS家族史。
二、检测方法
, 百拇医药
1. 实验试剂:抗Ⅳ型胶原α1、α3、α4和α5链NC1片段的单克隆抗体均由美国明尼苏达大学Alfred Michael教授惠赠。抗Ⅳ型胶原单克隆抗体(北京中山生物技术有限公司)为第一抗体的阳性对照,培养液或血清为阴性对照。第二抗体为异硫氰酸荧光素(FITC)标记羊抗小鼠IgG抗体(美国Jackson Immuno Research Laboratory, Inc.)将用于间接免疫荧光学检查,第二抗体为生物素标记的马抗鼠IgG(Vector Laboratories)、链卵白素-辣根过氧化酶(SA-HRP,Vector Laboratories)将用于链菌素亲生物素-过氧化酶连接法的检查。
2. 由前述各类患儿及其父母亲皮肤或肾脏获得的组织标本均行间接免疫荧光学检查,无家族史女童的肾活检标本同时还进行了免疫组织化学的链菌素亲生物素-过氧化酶连接法的检查,实验方法均同我们以前的报道[1,2]。以上实验中第一抗体除抗Ⅳ型胶原单克隆抗体外, 用于皮肤组织的还有抗Ⅳ型胶原α1和α5链NC1片断的单克隆抗体, 用于肾脏组织的还有抗Ⅳ型胶原α1、α3、α4和α5链NC1片断的单克隆抗体。
, http://www.100md.com
结 果
1. 抗Ⅳ型胶原不同α链的单克隆抗体在正常人皮肤基底膜(EBM)、肾脏基底膜,包括GBM、肾小囊(BC)及部分肾小管基底膜(TBM)的免疫荧光染色均为连续的线状阳性(表1)。
表1 各组不同组织基底膜中Ⅳ型胶原α链的表达 组别
例
数
EBM
GBM
BC
TBM
α1
, 百拇医药
α3
α4
α5
α1
α3
α4
α5
α1
α3
α4
α5
α1
α3
α4
, 百拇医药
α5
正常皮肤标本
8
+
+
正常肾脏标本
4
+
+
+
+
+
+
+
, 百拇医药
+
+
+*
+*
+*
AS男性先证者
7
+
-
+
-
-
-
, http://www.100md.com
+
-
-
-
+
-
-
-
无家族史女童
1
+
+
+
-
, http://www.100md.com
-
-
+
-
-
+
+
-
-
+*
* 在部分TBM表达为阳性
2. X连锁型AS男性先证者EBM的抗α5(Ⅳ)链的抗体染色以及GBM、BC和TBM的抗α3~α5链的抗体染色均为阴性(表1)。而这些患者母亲的EBM中抗α5(Ⅳ)链抗体染色表现为间断的线状阳性。
, 百拇医药
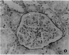
3. 无家族史AS女童EBM上抗Ⅳ型胶原不同α链的染色结果同正常对照,但抗Ⅳ型胶原不同α链的抗体在GBM、BC以及TBM上的染色则较为特殊:抗α3(Ⅳ)和α4(Ⅳ)均阴性,抗α5(Ⅳ)仅在BC和部分TBM染色阳性(表1,图1,2)。该患儿的父、母亲的EBM与抗Ⅳ型胶原不同α链单克隆抗体的反应同正常对照。

图1,2 抗α5(Ⅳ)链单克隆抗体在正常人和无家族史AS女童肾组织中染色(免疫组化染色) 图1为正常对照,可见GBM、BC及部分TBM染色均为阳性光镜,×400。图2为无家族史AS女童,可见抗α5(Ⅳ)链单克隆抗体仅在BC和部分TBM染色阳性(光镜,×250)
讨 论
, 百拇医药
已有的研究表明X连锁型AS主要是由于编码Ⅳ型胶原α5链的基因COL4A5突变、以及编码Ⅳ型胶原α6链的基因COL4A6突变所致;常染色体隐性遗传型AS是由于编码Ⅳ型胶原α3、α4链的基因COL4A3和COL4A4突变所致。对于常染色体显性遗传型AS的突变基因尚未确定。构成Ⅳ型胶原的6条α链,即α1~α6链在参与构成Ⅳ型胶原三股螺旋结构时不一致,如比较公认的假说[3]:Ⅳ型胶原α1和α2链形成三股螺旋,构成一类Ⅳ型胶原网状结构;而由Ⅳ型胶原α3~α6链形成的三股螺旋,将构成另一类Ⅳ型胶原网状结构。另外,Ⅳ型胶原各α链的组织分布亦不同[4,5]:α1和α2链分布于几乎所有组织的基底膜;α3~α6链主要分布在肾脏组织基底膜,即GBM、肾小囊(BC)和部分TBM,同时α5链还分布于EBM;α6链则主要分布于BC、部分TBM和EBM。
迄今,国内外均有文献报道[1,4],根据皮肤和肾脏基底膜中Ⅳ型胶原不同α链的表达,可以诊断X连锁型AS患者,筛查X连锁型AS基因携带者,前者的诊断主要依据EBM、GBM 、BC以及TBM上没有Ⅳ型胶原α5链的表达,同时GBM、BC和TBM也没有Ⅳ型胶原α3和α4链的表达;后者是根据EBM上Ⅳ型胶原α5链的表达呈间断阳性(也有称为镶嵌现象)。对于常染色体隐性遗传型AS基底膜上Ⅳ型胶原α链的表达,国外的研究结果多为:皮肤的表达同正常人,肾脏基底膜上α3(Ⅳ)和α4(Ⅳ)均阴性,α5(Ⅳ)在GBM为阴性,在BC和TBM则阳性,并认为不同α链在不同基底膜表达的这种特殊形式,为常染色体隐性遗传型AS所特有[6]。本例无家族史女童的基底膜上Ⅳ型胶原不同α链的表达即如此,因此我们认为她是常染色体隐性遗传型AS患者。
, 百拇医药
常染色体隐性遗传型AS的诊断,应以具备AS常见的临床表现、典型的肾脏病理改变确定AS,而确定遗传型的最佳方法为基因分析,即检测患者编码Ⅳ型胶原α3和α4链的基因COL4A3和COL4A4,因国外已有多篇文章报道了常染色体遗传型AS患者COL4A3和COL4A4基因的突变[7,8]。但基因分析耗时、费力,不适宜用于日常临床工作。基于COL4A3或COL4A4基因突变,会导致其编码蛋白Ⅳ型胶原α3或α4链的异常, 因此用单克隆抗体检测基底膜α链的表达,不但方法简单易行,也为临床工作者判断AS遗传型提供了相对直接的证据。
至于编码Ⅳ型胶原α3和α4链的基因突变,为何会导致Ⅳ型胶原α5链表达的异常,很可能与构成Ⅳ型胶原三股螺旋结构、构成Ⅳ型胶原网状结构α链的参与机制不同有关,此点尚待进一步研究证实。
确定AS遗传型是进行基因分析、给予基因诊断的前提,也是进而可能作出产前诊断、乃至进行基因治疗的必不可少的前期工作。以往国内报道AS的常染色体遗传型,多根据无家族史而推断,缺少直接证据。但没有家族史的AS患者(如本报道中第3组病例),除了可能为常染色体隐性遗传型AS,还可能为X连锁显性遗传型,因为X连锁显性遗传型AS中约18%为COL4A5基因的新突变者(de novo)[9],他们也表现为没有家族史。那么,确定AS遗传型,不但完善了对于遗传病的诊断,同时(1)可以恰当的估计患者预后,尤其对于女性患者,因为X连锁显性遗传型AS 的女性多数(约90%)预后好,少有出现终末期肾脏病;而常染色体隐性遗传型AS,无论男性还是女性患者,预后均很差,会出现终末期肾脏病;(2)客观地为患者提供生育咨询:常染色体隐性遗传型的患者如不与另一患者或基因携带者婚配,将不殃及其后代;X连锁显性遗传型患者(均为男性),生育的儿子不受累,而生育的女儿有50%的可能性为基因携带者。
, 百拇医药
因此,我们认为对于怀疑AS的患者,尤其儿童患者,除了强调肾活组织的电镜检查发现GBM的典型病变、调查家族史以外,还应尽可能的检测基底膜中Ⅳ型胶原α链的表达。这不但有助于X连锁型AS的诊断(因为某些AS患儿,早期病理改变仅为GBM变薄),和X连锁型AS基因携带者的筛查,同时可以用于确定遗传型,使我们对不易搜集家族史(如独生子女的家庭、小家庭生活方式的家庭等)的患者以及没有家族史的患者,均能确切地给予临床、病理乃至遗传型的诊断,并恰当地为患者及其家庭估计预后和进行遗传咨询。
本研究为国家教委留学回国人员科研资助课题
参考文献
1 丁洁,杨霁云,刘景城,等. 免疫荧光学方法检查皮肤组织Ⅳ型胶原α5链诊断Alport综合征. 中华儿科杂志,1997,35:177-179.
2 柴青,丁洁,张英,等. 胶原成分在儿童系膜增生性肾小球肾炎中的变化. 中华儿科杂志,1998,36:208-211.
, http://www.100md.com
3 Peissel B, Geng L, Kalluri R, et al. Comparative distribution of the alpha 1(Ⅳ), alpha 5 (Ⅳ), and alpha 6 (Ⅳ) collagen chains in normal human adult and fetal tissues and in kidneys from X-linked Alport syndrome patients. J Clin Invest, 1995,96:1948-1957.
4 Nakanishi K, Yoshikawa N, Iijima K, et al. Immunohistochemical study of alpha 1-5 chains of type Ⅳ collagen in hereditary nephritis. Kidney Int, 1994, 46: 1413-1421.
5 Ninomiya Y, Kagawa M, Iyama K, et al. Differential expression of two basement membrane collagen genes, COL4A6 and COL4A5, demonstrated by immunofluorescence staining using peptide-specific monoclonal antibodies. J Cell Biol, 1995, 130: 1219-1229.
, http://www.100md.com
6 Gubler MC, Knebelmann B, Beziau A, et al. Autosomal recessive Alport syndrome: immunohistochemical study of type Ⅳ collagen chain distribution. Kidney Int, 1995, 47:1142-1147.
7 Ding J, Stitzel J, Berry P, et al. Autosomal recessive Alport syndrome: mutation in the COL4A3 gene in a woman with Alport syndrome and posttransplant antiglomerular basement membrane nephritis. J Am Soc Nephrol, 1995, 5:1714-1717.
8 Mochizuki T, Lemmink HH, Mariyama M, et al. Identification of mutations in the alpha 3(Ⅳ) and alpha 4(Ⅳ) collagen gens in autosomal recessive Alport syndrome. Nat Genet, 1994, 8:77-81.
9 Shaw RF, Kallen RJ. Population genetics of Alport′s syndrome: hypothesis of abnormal segregation and necessary existence of mutation [abstract]. Nephron, 1976, 16:427.
(收稿:1998-05-12 修回:1998-09-30), 百拇医药
单位:100034 北京医科大学第一医院儿科
关键词:肾炎;遗传性;胶原;肾小球膜
中华儿科杂志990208 【摘要】 目的 探讨中国人不同遗传型Alport综合征(AS)患者基底膜α链的表达及其在判断遗传型方面的应用。方法 应用间接免疫荧光学方法,对确诊为AS的7例X连锁显性遗传型男性先证者、1例无家族史的AS女童及其部分家系成员不同组织基底膜中Ⅳ型胶原α链[α(Ⅳ)]的表达进行了检测并与正常组对照。结果 X连锁显性遗传型男性患者,皮肤基底膜(EBM)α5(IV)链、肾小球基底膜(GBM)、肾小管基底膜(TBM)及肾小囊(BC)的α3~α5(Ⅳ)链均无表达;此类患者母亲的EBM上α5(Ⅳ)链为间断性表达。无家族史的AS女童,α(Ⅳ)在EBM表达正常,但α5(Ⅳ)链在GBM上无表达,在BC和部分TBM上有表达;而α3(Ⅳ)和α4(Ⅳ)链在GBM、TBM和BC上均无表达。这一表达特点符合国外报道的常染色体隐性遗传型AS患者基底膜α(Ⅳ)的表达。结论 检测基底膜Ⅳ型胶原α链的表达不但可诊断AS患者和筛查基因携带者,而且可用于确定AS遗传型,这对于小家系以及家族史不确定的患者尤为重要。
, 百拇医药
Detection of type Ⅳ collagen α chains in basement membranes for determining the hereditary modes of Alport syndrome DING Jie,YAO Yong, HUANG Jianping, et al. Department of Pediatrics, First Hospital, Beijing Medical University, Beijing 100034
【Abstract】 Objective To explore the expression of different α chains of type Ⅳ collagen on basement membranes for determining the hereditary modes of Alport syndrome (AS) in Chinese patients. Methods By using indirect immunofluorescence method, the expression of type Ⅳ collagen α chains was detected on basement membranes in specimens from 7 X-linked AS male patients, 1 female AS patient without family history and some of their family members. Results In X-linked AS male patients there was no expression of α5(Ⅳ) on epidermal basement membrane (EBM), as well as α3(Ⅳ)~α5(Ⅳ) on glomerular basement membrane (GBM), tubular basement membrane (TBM) and Bowman′s capsule (BC). In mothers of the X-linked AS male patients, there was a segmental expression of α5(Ⅳ) on EBM. In the female AS patient without family history, the expression of type Ⅳ collagen α chains was normal on EBM, while the expression of α5(Ⅳ) was absent on GBM but present on TBM and BC, which shares the same pattern of expression α (Ⅳ) chains on basement membranes with the other reports for the patients of autosomal recessive AS. Conclusion The detection of type Ⅳ collagen α chains on basement membranes is useful not only for diagnosing AS patients, screening AS gene-carriers, but also for determining the hereditary modes of AS. It is more important for the patient in a small kindred or with an unsure family history.
, 百拇医药
【Key words】 Nephritis, hereditary Collagen Glomerular mesangium
Alport综合征(Alport syndrome, AS)是以血尿、感音神经性耳聋及进行性肾功能减退为临床特点的遗传性肾脏疾病。AS主要遗传方式为X连锁显性遗传(约占50%~85%)、常染色体隐性遗传(约占15%)以及常染色体显性遗传(极少见)。已证明的致AS的突变基因均为编码Ⅳ型胶原α链[α(Ⅳ)]的基因。我们曾检测AS患者Ⅳ型胶原各个α链在基底膜的表达,进行了病例诊断和AS基因携带者的筛查[1]。本研究旨在通过检测基底膜Ⅳ型胶原不同α链的表达,确定AS遗传型。
对象和方法
一、研究对象
1. AS男性先证者7例。患者年龄12~25岁,来自7个家系。均表现为血尿,伴有蛋白尿,肾功能尚正常。5/7纯音测听显示轻~中度神经性耳聋。肾穿刺活组织电镜检查均显示肾小球基底膜(GBM)薄厚不均、扭曲,并有分层和断裂。家系调查均显示为X连锁显性遗传型。
, 百拇医药
2. 上述4例AS男性患者之母亲。3例临床表现为血尿,不伴蛋白尿,肾功能均正常。
3. 无家族史之AS患儿1例。为5岁女童,已持续性血尿2年,伴蛋白尿。尿蛋白(++),肾功能正常,纯音测听正常。肾穿刺活组织电镜检查显示GBM薄厚不均,以薄为主,部分GBM出现分层。家族中无肾脏病史。患儿父母非近亲婚配。
4.AS 女童之父母。尿沉渣检查正常, 肾功能正常。
以上各例全部获皮肤穿刺的活组织标本,1和3组病例均获肾穿刺的活组织标本。
5. 正常对照。外科手术所取皮肤组织为正常皮肤对照,共8例;肾脏肿瘤手术所取正常肾组织部分为肾脏对照,共4例。以上各例均无肾小球肾炎病史,无AS及AS家族史。
二、检测方法
, 百拇医药
1. 实验试剂:抗Ⅳ型胶原α1、α3、α4和α5链NC1片段的单克隆抗体均由美国明尼苏达大学Alfred Michael教授惠赠。抗Ⅳ型胶原单克隆抗体(北京中山生物技术有限公司)为第一抗体的阳性对照,培养液或血清为阴性对照。第二抗体为异硫氰酸荧光素(FITC)标记羊抗小鼠IgG抗体(美国Jackson Immuno Research Laboratory, Inc.)将用于间接免疫荧光学检查,第二抗体为生物素标记的马抗鼠IgG(Vector Laboratories)、链卵白素-辣根过氧化酶(SA-HRP,Vector Laboratories)将用于链菌素亲生物素-过氧化酶连接法的检查。
2. 由前述各类患儿及其父母亲皮肤或肾脏获得的组织标本均行间接免疫荧光学检查,无家族史女童的肾活检标本同时还进行了免疫组织化学的链菌素亲生物素-过氧化酶连接法的检查,实验方法均同我们以前的报道[1,2]。以上实验中第一抗体除抗Ⅳ型胶原单克隆抗体外, 用于皮肤组织的还有抗Ⅳ型胶原α1和α5链NC1片断的单克隆抗体, 用于肾脏组织的还有抗Ⅳ型胶原α1、α3、α4和α5链NC1片断的单克隆抗体。
, http://www.100md.com
结 果
1. 抗Ⅳ型胶原不同α链的单克隆抗体在正常人皮肤基底膜(EBM)、肾脏基底膜,包括GBM、肾小囊(BC)及部分肾小管基底膜(TBM)的免疫荧光染色均为连续的线状阳性(表1)。
表1 各组不同组织基底膜中Ⅳ型胶原α链的表达 组别
例
数
EBM
GBM
BC
TBM
α1
, 百拇医药
α3
α4
α5
α1
α3
α4
α5
α1
α3
α4
α5
α1
α3
α4
, 百拇医药
α5
正常皮肤标本
8
+
+
正常肾脏标本
4
+
+
+
+
+
+
+
, 百拇医药
+
+
+*
+*
+*
AS男性先证者
7
+
-
+
-
-
-
, http://www.100md.com
+
-
-
-
+
-
-
-
无家族史女童
1
+
+
+
-
, http://www.100md.com
-
-
+
-
-
+
+
-
-
+*
* 在部分TBM表达为阳性
2. X连锁型AS男性先证者EBM的抗α5(Ⅳ)链的抗体染色以及GBM、BC和TBM的抗α3~α5链的抗体染色均为阴性(表1)。而这些患者母亲的EBM中抗α5(Ⅳ)链抗体染色表现为间断的线状阳性。
, 百拇医药
3. 无家族史AS女童EBM上抗Ⅳ型胶原不同α链的染色结果同正常对照,但抗Ⅳ型胶原不同α链的抗体在GBM、BC以及TBM上的染色则较为特殊:抗α3(Ⅳ)和α4(Ⅳ)均阴性,抗α5(Ⅳ)仅在BC和部分TBM染色阳性(表1,图1,2)。该患儿的父、母亲的EBM与抗Ⅳ型胶原不同α链单克隆抗体的反应同正常对照。
图1,2 抗α5(Ⅳ)链单克隆抗体在正常人和无家族史AS女童肾组织中染色(免疫组化染色) 图1为正常对照,可见GBM、BC及部分TBM染色均为阳性光镜,×400。图2为无家族史AS女童,可见抗α5(Ⅳ)链单克隆抗体仅在BC和部分TBM染色阳性(光镜,×250)
讨 论
, 百拇医药
已有的研究表明X连锁型AS主要是由于编码Ⅳ型胶原α5链的基因COL4A5突变、以及编码Ⅳ型胶原α6链的基因COL4A6突变所致;常染色体隐性遗传型AS是由于编码Ⅳ型胶原α3、α4链的基因COL4A3和COL4A4突变所致。对于常染色体显性遗传型AS的突变基因尚未确定。构成Ⅳ型胶原的6条α链,即α1~α6链在参与构成Ⅳ型胶原三股螺旋结构时不一致,如比较公认的假说[3]:Ⅳ型胶原α1和α2链形成三股螺旋,构成一类Ⅳ型胶原网状结构;而由Ⅳ型胶原α3~α6链形成的三股螺旋,将构成另一类Ⅳ型胶原网状结构。另外,Ⅳ型胶原各α链的组织分布亦不同[4,5]:α1和α2链分布于几乎所有组织的基底膜;α3~α6链主要分布在肾脏组织基底膜,即GBM、肾小囊(BC)和部分TBM,同时α5链还分布于EBM;α6链则主要分布于BC、部分TBM和EBM。
迄今,国内外均有文献报道[1,4],根据皮肤和肾脏基底膜中Ⅳ型胶原不同α链的表达,可以诊断X连锁型AS患者,筛查X连锁型AS基因携带者,前者的诊断主要依据EBM、GBM 、BC以及TBM上没有Ⅳ型胶原α5链的表达,同时GBM、BC和TBM也没有Ⅳ型胶原α3和α4链的表达;后者是根据EBM上Ⅳ型胶原α5链的表达呈间断阳性(也有称为镶嵌现象)。对于常染色体隐性遗传型AS基底膜上Ⅳ型胶原α链的表达,国外的研究结果多为:皮肤的表达同正常人,肾脏基底膜上α3(Ⅳ)和α4(Ⅳ)均阴性,α5(Ⅳ)在GBM为阴性,在BC和TBM则阳性,并认为不同α链在不同基底膜表达的这种特殊形式,为常染色体隐性遗传型AS所特有[6]。本例无家族史女童的基底膜上Ⅳ型胶原不同α链的表达即如此,因此我们认为她是常染色体隐性遗传型AS患者。
, 百拇医药
常染色体隐性遗传型AS的诊断,应以具备AS常见的临床表现、典型的肾脏病理改变确定AS,而确定遗传型的最佳方法为基因分析,即检测患者编码Ⅳ型胶原α3和α4链的基因COL4A3和COL4A4,因国外已有多篇文章报道了常染色体遗传型AS患者COL4A3和COL4A4基因的突变[7,8]。但基因分析耗时、费力,不适宜用于日常临床工作。基于COL4A3或COL4A4基因突变,会导致其编码蛋白Ⅳ型胶原α3或α4链的异常, 因此用单克隆抗体检测基底膜α链的表达,不但方法简单易行,也为临床工作者判断AS遗传型提供了相对直接的证据。
至于编码Ⅳ型胶原α3和α4链的基因突变,为何会导致Ⅳ型胶原α5链表达的异常,很可能与构成Ⅳ型胶原三股螺旋结构、构成Ⅳ型胶原网状结构α链的参与机制不同有关,此点尚待进一步研究证实。
确定AS遗传型是进行基因分析、给予基因诊断的前提,也是进而可能作出产前诊断、乃至进行基因治疗的必不可少的前期工作。以往国内报道AS的常染色体遗传型,多根据无家族史而推断,缺少直接证据。但没有家族史的AS患者(如本报道中第3组病例),除了可能为常染色体隐性遗传型AS,还可能为X连锁显性遗传型,因为X连锁显性遗传型AS中约18%为COL4A5基因的新突变者(de novo)[9],他们也表现为没有家族史。那么,确定AS遗传型,不但完善了对于遗传病的诊断,同时(1)可以恰当的估计患者预后,尤其对于女性患者,因为X连锁显性遗传型AS 的女性多数(约90%)预后好,少有出现终末期肾脏病;而常染色体隐性遗传型AS,无论男性还是女性患者,预后均很差,会出现终末期肾脏病;(2)客观地为患者提供生育咨询:常染色体隐性遗传型的患者如不与另一患者或基因携带者婚配,将不殃及其后代;X连锁显性遗传型患者(均为男性),生育的儿子不受累,而生育的女儿有50%的可能性为基因携带者。
, 百拇医药
因此,我们认为对于怀疑AS的患者,尤其儿童患者,除了强调肾活组织的电镜检查发现GBM的典型病变、调查家族史以外,还应尽可能的检测基底膜中Ⅳ型胶原α链的表达。这不但有助于X连锁型AS的诊断(因为某些AS患儿,早期病理改变仅为GBM变薄),和X连锁型AS基因携带者的筛查,同时可以用于确定遗传型,使我们对不易搜集家族史(如独生子女的家庭、小家庭生活方式的家庭等)的患者以及没有家族史的患者,均能确切地给予临床、病理乃至遗传型的诊断,并恰当地为患者及其家庭估计预后和进行遗传咨询。
本研究为国家教委留学回国人员科研资助课题
参考文献
1 丁洁,杨霁云,刘景城,等. 免疫荧光学方法检查皮肤组织Ⅳ型胶原α5链诊断Alport综合征. 中华儿科杂志,1997,35:177-179.
2 柴青,丁洁,张英,等. 胶原成分在儿童系膜增生性肾小球肾炎中的变化. 中华儿科杂志,1998,36:208-211.
, http://www.100md.com
3 Peissel B, Geng L, Kalluri R, et al. Comparative distribution of the alpha 1(Ⅳ), alpha 5 (Ⅳ), and alpha 6 (Ⅳ) collagen chains in normal human adult and fetal tissues and in kidneys from X-linked Alport syndrome patients. J Clin Invest, 1995,96:1948-1957.
4 Nakanishi K, Yoshikawa N, Iijima K, et al. Immunohistochemical study of alpha 1-5 chains of type Ⅳ collagen in hereditary nephritis. Kidney Int, 1994, 46: 1413-1421.
5 Ninomiya Y, Kagawa M, Iyama K, et al. Differential expression of two basement membrane collagen genes, COL4A6 and COL4A5, demonstrated by immunofluorescence staining using peptide-specific monoclonal antibodies. J Cell Biol, 1995, 130: 1219-1229.
, http://www.100md.com
6 Gubler MC, Knebelmann B, Beziau A, et al. Autosomal recessive Alport syndrome: immunohistochemical study of type Ⅳ collagen chain distribution. Kidney Int, 1995, 47:1142-1147.
7 Ding J, Stitzel J, Berry P, et al. Autosomal recessive Alport syndrome: mutation in the COL4A3 gene in a woman with Alport syndrome and posttransplant antiglomerular basement membrane nephritis. J Am Soc Nephrol, 1995, 5:1714-1717.
8 Mochizuki T, Lemmink HH, Mariyama M, et al. Identification of mutations in the alpha 3(Ⅳ) and alpha 4(Ⅳ) collagen gens in autosomal recessive Alport syndrome. Nat Genet, 1994, 8:77-81.
9 Shaw RF, Kallen RJ. Population genetics of Alport′s syndrome: hypothesis of abnormal segregation and necessary existence of mutation [abstract]. Nephron, 1976, 16:427.
(收稿:1998-05-12 修回:1998-09-30), 百拇医药