肺炎对幼鼠心肌线粒体钙转运及能量代谢的影响
作者:王欢 陈新民 萧家思 陆建华 叶礼燕 任榕娜 洪新如
单位:350025 南京军区福州总医院儿科(王欢、陈新民、叶礼燕、任榕娜、洪新如);第三军医大学生理教研室(萧家思、陆建华)
关键词:肺炎;线粒体;心脏;钙结合蛋白质类;Ca(2+)转运ATP酶
中华儿科杂志991114
【摘要】 目的 探讨肺炎对心脏功能影响的机制。方法 采用气管内接种的方法建立幼鼠金黄色葡萄球菌肺炎模型,分离心肌线粒体,观察心肌线粒体Ca2+-ATP酶活性、游离钙含量、钙摄取率和释放率以及心肌组织ATP含量。结果 与对照组相比,肺炎组心肌线粒体Ca2+-ATP酶活性下降(P<0.05),游离钙含量升高(P<0.05),钙摄取速率下降(P<0.05),钙释放速率升高(P<0.05) ,心肌组织ATP含量下降(P<0.05)。结论 肺炎可影响幼鼠心肌线粒体钙转运及能量代谢。这可能是肺炎影响心肌功能的重要病理生理机制之一。
, 百拇医药
Effects of pneumonia on myocardial mitochondrial calcium transport in infant rats
WANG Huan*, CHEN Xinmin, XIAO Jiasi, et al.
*Department of Pediatrics, Fuzhou General Hospital of Nanjing Command, Fuzhou, 350025
【Abstract】 Objective To explore the mechanism of impacts of pneumonia on myocardial function. Methods Pneumonia model established by inoculation of staphylococcus aurus into trachea of infant rats. Myocardial mitochondria were isolated and Ca2+-ATPase activities of myocardial mitochondria (Mit), free calcium contents, calcium uptake and release were monitored, the contents of ATP in myocardial tissue were measured as well. Results In pneumonia group, the Ca2+-ATPase activities decreased (P<0.05), free calcium contents increased (P<0.05), calcium uptake decreased (P<0.05), and calcium release increased (P<0.05) in myocardial Mit. The contents of ATP in the myocardial tissue decreased(P<0.05) compared with control group. Conclusion Myocardial mitochondrial calcium transport was influenced by pneumonia in infant rats, it might be one of the important pathophysiological mechanisms for myocardial function alterations associated with pneumonia.
, 百拇医药
【Key words】 Key words】 Pneumonia Mitochondria, heart Calcium-binding proteins Ca(2+)-transporting atpase
钙(Ca2+)与心肌功能有密切关系,正常心肌的收缩与舒张功能有赖于心肌细胞内的钙稳态。细胞内钙运转功能的变化直接影响心肌细胞的舒缩性能。正常心肌细胞中的Ca2+大部分储存于线粒体、肌浆网及肌纤维膜上。胞浆游离Ca2+浓度异常增高可导致细胞内钙超载(calcium overload)。除了细胞外的Ca2+通过质膜(SL)进入胞质、肌浆网(sarcoplasmic reticulum, SR),通过钙摄取和释放等因素调节胞浆Ca2+外,线粒体钙转运在维持心肌细胞钙的内环境稳定中也起重要作用。本实验的目的是了解肺炎对幼鼠心肌线粒体钙转运及能量代谢的影响,从而探讨肺炎引起心肌功能障碍的可能机制。
, 百拇医药
材料及方法
一、主要仪器和试剂
1.试剂:乙二醇双(α-氨基乙基)醚四乙酸(EGTA)、腺苷-5′-三磷酸二钠盐(Na2ATP)购自Sangon公司;五乙酰氧基甲基脂(fura-2/AM)、AntipyrylazoⅢ、N-2-羟乙基哌嗪-N′-2-乙磺酸(HEPES)、钌红(RR)购自Sigma公司;其他试剂均为国产分析纯。
2.仪器:MPF-4荧光分光光度计(hitachi),DU-7紫外可见光分光光度计(beckman),Waters系列高效液相色谱仪(美国),HSG-20R高速冷冻离心机(吉林图们离心机厂)。
二、动物肺炎模型的制作
1.动物:选取健康50日龄Wistar大鼠48只,体重(90±10) g,雌雄各半,由第三军医大学实验动物中心提供。经隔离喂养并检疫无特殊病原体感染,随机分为对照组24只,肺炎组24只(每个时相点各8只)。
, 百拇医药
2.肺炎模型:参照文献[1,2]。动物接种前48 小时取金黄色葡萄球菌标准菌株(由第三军医大学临床微生物教研室提供),接种于肉汤液中,37℃孵育24小时,再接种于普通琼脂培养基,37℃培养24小时。实验时,采用比浊法将菌液稀释成6×1010/ml。动物称重后用乌拉坦1000 mg/kg腹腔注射麻醉,颈部剪毛、消毒后,切开气管, 插入内径2 mm的导管至气管分叉处,感染组注入菌液0.1 ml(含细菌6×109),对照组注入等量无菌生理盐水,缝合切口。
三、时相点的选取
分别于接种后24小时、72小时和120小时观察动物的一般情况,同时进行血气分析和血培养,并做肺脏组织和心肌组织的病理学检查。选取肺脏组织有明显炎症改变、PaO2<60 mmHg(1 mmHg=0.133 kPa)时相点的感染组作为肺炎组进行指标测定。
, 百拇医药 四、线粒体的制备
线粒体制备参照文献[3]。动物断头活杀,迅速取出心脏,置于0℃的分离介质(0.25 mol/L的蔗糖,0.01 mol/L的咪唑-HCl,pH 7.4)中冲洗、剪碎,用预冷的内切式匀浆机匀浆12秒(4秒,3次),再用预冷的玻璃匀浆器匀浆,制成10%(重量/体积)的心肌匀浆,离心(600×g,2℃)6分钟,留上清,再离心(10000×g)11分钟,留沉淀。用分离介质悬浮沉淀,再以同样的速度高速离心一次,沉淀部分即为线粒体组分,悬浮于分离介质中备用。上述操作在0~4℃进行,1小时完成。
五、指标测定
1.心肌线粒体Ca2+-ATP酶活性通过ATP 水解释放的无机磷来测定[4]。
2.心肌线粒体游离钙含量用钙离子荧光指示剂Fura-2/AM负载后在双波长荧光分光光度计上测定[5]。
, 百拇医药
3.心肌线粒体钙摄取率和释放率测定,参考Jurkowitz等[6]的方法,用钙离子显色剂AntipyrylazoⅢ在紫外可见光分光光度计上测定。
4.心肌组织腺苷酸含量用Waters系列高效液相色谱仪测定[7]。
六、统计学处理
数据用均值±标准差(
±s)表示,采用第三军医大学数学教研室的统计程序包进行统计学处理(非配对t检验)。百分比数据及倍数均为肺炎组与对照组相比所得。
结果
一、时相点的选取
1.一般状况:接种后24小时多数动物出现鼻腔分泌物增多,72小时呼吸急促,120小时行动迟缓、对刺激反应迟钝。
, 百拇医药
2.血培养:动物接种后24小时3只阳性,72小时6只阳性,120小时全部阳性。
3.血气分析:各感染组均有不同程度的改变,尤以接种后120小时为显著(表1)。
表1 两组动物接种后120小时各项指标的变化和比较(
±s) 组别
血pH值
血PaO2
(mmHg)
血PaCO2
(mmHg)
Ca2+-ATP酶活性
, 百拇医药
[μmol/(mg.min)]
游离钙含量
(nmol/mg)
钙摄取率
[nmol/](min.mg)
钙释放率
[nmol/(min.mg)]
ATP含量
(μg/mg)
感染
组
, http://www.100md.com
7.222±0.054*
59±6*
44.3±0.4
7.1±0.5*
0.141±0.024*
16.8±0.3*
5.42±0.85*
31±4*
对照
组
, 百拇医药
7.336±0.020
78±8
40.5±7.9
12.6±0.3
0.058±0.020
25.0±0.3
1.76±0.09
68±4
t值
5.60
5.59
1.34
, 百拇医药
24.50
7.51
52.84
18.68
*与对照组相比,P<0.01
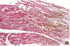
4.病理检查:动物接种后120小时肺组织有明显渗出、中性粒细胞增多,并有脓栓形成(图1);心肌组织有细胞充血、肿胀、变性及灶性淋巴细胞浸润,局部横纹结构不清(图2)。
图1 感染组接种120小时肺组织光镜改变(HE染色 ×250)
, 百拇医药
图2 感染组接种120小时心肌组织光镜改变(HE染色 ×250)
根据以上结果,选取动物接种后120小时为指标测定时相点。
二、指标测定结果
与对照组相比,肺炎组心肌线粒体Ca2+-ATP酶活性下降43.7%;心肌线粒体游离钙含量升高1.43倍;心肌线粒体钙摄取率下降32.8%;心肌线粒体基础钙释放率升高2.08倍;心肌组织ATP含量下降55.1%(表1)。
讨论
钙离子在细胞内有许多重要功能,它参与不同酶系和各种类型细胞活动的调节。细胞内Ca2+的这些功能只需要很低的Ca2+浓度(μmol/L或更低)。维持细胞浆低Ca2+浓度与细胞Ca2+调节装置有关,心肌细胞的这类装置包括肌膜、肌质网、线粒体以及一些与Ca2+结合的蛋白(如钙调素)和小分子物质等,其中线粒体是重要的机构之一。
, 百拇医药
心肌线粒体钙转运系统由钙摄取和钙释放两部分组成。钙摄取和钙释放影响着线粒体的游离钙和总钙。游离钙和总钙的变化对线粒体氧化磷酸化生成ATP过程有着重要的调节作用,尤其是游离钙的作用更为重要。它具有第二信使的作用,调节线粒体氧化代谢[8]。胞浆钙浓度升高时,线粒体摄取钙以降低胞浆钙浓度;胞浆钙浓度降低时,线粒体释放钙以维持胞浆钙浓度[9]。尽管线粒体最初可通过增加钙摄取以减轻细胞内钙超负荷,但当线粒体内的钙过高时,其功能和结构均遭破坏,大量的钙从线粒体钙储库中释放入胞浆,导致细胞内钙的超负荷状态,使细胞进入不可逆的恶性循环中。
本实验证实,感染后120小时幼鼠心肌线粒体Ca2+-ATP酶活性下降,游离钙含量升高,钙摄取率下降,线粒体钙释放率增加,心肌组织ATP含量下降。此时血PaO2较对照组明显下降。这提示心肌线粒体钙转运功能障碍以及氧化磷酸化功能受损,ATP生成减少与肺炎所致缺氧等因素密切相关。
, http://www.100md.com
肺炎时,心肌功能可因缺血、缺氧等众多因素而受到影响,其中线粒体Ca2+转运障碍可能是造成细胞功能损伤的重要原因之一。细胞内酸中毒可抑制Ca2+-ATP酶的活力和钙摄取能力,从而使心肌舒缩性能降低[10,11]。较长时间缺血以后,心肌线粒体的钙转运能力进一步下降,进而易导致细胞内钙超载。同时细胞内ATP 分解供能和钙泵之间脱耦联,导致心肌细胞功能的进一步损伤。
资助项目:本课题由中国人民解放军“九五”医学科研基金资助(项目编号:98D021)
参考文献
1 黄敏秀,陈新民,肖家思.肺炎幼鼠离体灌流心脏功能的实验研究.中华儿科杂志,1997,35:29-32.
2 Esposito AL, Pennington JE. Effect of aging on anti-bacterial mechanisms in experimental pneumonia. Am Rev Respir Dis, 1983, 128: 662.
, 百拇医药
3 Mariusz MZ, Swiercznski J, Nagel G, et al. The respiration and calcium content of heart mitochondria from rats with vitamin D-induced cardionecrosis. Biochem J, 1985, 226: 155-161.
4 Jone LR, Besch HR, Fleming JW, et al. Separation of vesicles of cardiac sarcolemma from vesicles of cardiac sarcoplasmic reticulum comparative biochemical analysis of componenet activities. J Biol Chem, 1979, 254: 530-539.
5 McCormack JG, Browne HM, Dawes NI. Studies on mitochrondrial Ca2+-tansport and matrix Ca2+ using Fura-2-loaded rat heart mitochondria. Biochim Biophys Acta, 1989, 973: 420-427.
, 百拇医药
6 Jurkowitz MS, Geisbuhler T, Jung DW, et al. Ruthenium red-sensitive and insensitive release of Ca2+ from uncoupled heart mitochrondria. Arch Biochem Biophys, 1983, 223: 120-128.
7 Bother HE, Kimose HH, Helligso P, et al. Analytical evaluation of high energy phosphate determination by high performance liquid chromatography in myocardial tissue. J Mol Cell Cardiol, 1994, 26: 41-48.
8 McCormack JG, Denton RM. Ca2+ as a second messenger within mitochondria. TIBS (trends in biochemical sciences), 1986, 11: 258-262.
, http://www.100md.com
9 Nicholls D, Akerman K. Mitochondrial calcium transport. Biochim Biophys Acta, 1982, 683:57-88.
10 Zhu Y, Nosek TM. Intracellular milieu chenges associated with hypoxia impair sarcoplasmic reticulum Ca2+ transport in cardiac muscle. Am J Physiol, 1991, 261 (part Ⅱ): H620-H626.
11 Rapundalo ST, Norman BF, Feher JJ. Effects of ischemia on the isolation and function of canine cardiac sarcoplasmic reticulum. J Mol Cell Cardiol, 1986, 18: 837-851.
收稿:1998-10-05
修回:1999-02-26, 百拇医药
单位:350025 南京军区福州总医院儿科(王欢、陈新民、叶礼燕、任榕娜、洪新如);第三军医大学生理教研室(萧家思、陆建华)
关键词:肺炎;线粒体;心脏;钙结合蛋白质类;Ca(2+)转运ATP酶
中华儿科杂志991114
【摘要】 目的 探讨肺炎对心脏功能影响的机制。方法 采用气管内接种的方法建立幼鼠金黄色葡萄球菌肺炎模型,分离心肌线粒体,观察心肌线粒体Ca2+-ATP酶活性、游离钙含量、钙摄取率和释放率以及心肌组织ATP含量。结果 与对照组相比,肺炎组心肌线粒体Ca2+-ATP酶活性下降(P<0.05),游离钙含量升高(P<0.05),钙摄取速率下降(P<0.05),钙释放速率升高(P<0.05) ,心肌组织ATP含量下降(P<0.05)。结论 肺炎可影响幼鼠心肌线粒体钙转运及能量代谢。这可能是肺炎影响心肌功能的重要病理生理机制之一。
, 百拇医药
Effects of pneumonia on myocardial mitochondrial calcium transport in infant rats
WANG Huan*, CHEN Xinmin, XIAO Jiasi, et al.
*Department of Pediatrics, Fuzhou General Hospital of Nanjing Command, Fuzhou, 350025
【Abstract】 Objective To explore the mechanism of impacts of pneumonia on myocardial function. Methods Pneumonia model established by inoculation of staphylococcus aurus into trachea of infant rats. Myocardial mitochondria were isolated and Ca2+-ATPase activities of myocardial mitochondria (Mit), free calcium contents, calcium uptake and release were monitored, the contents of ATP in myocardial tissue were measured as well. Results In pneumonia group, the Ca2+-ATPase activities decreased (P<0.05), free calcium contents increased (P<0.05), calcium uptake decreased (P<0.05), and calcium release increased (P<0.05) in myocardial Mit. The contents of ATP in the myocardial tissue decreased(P<0.05) compared with control group. Conclusion Myocardial mitochondrial calcium transport was influenced by pneumonia in infant rats, it might be one of the important pathophysiological mechanisms for myocardial function alterations associated with pneumonia.
, 百拇医药
【Key words】 Key words】 Pneumonia Mitochondria, heart Calcium-binding proteins Ca(2+)-transporting atpase
钙(Ca2+)与心肌功能有密切关系,正常心肌的收缩与舒张功能有赖于心肌细胞内的钙稳态。细胞内钙运转功能的变化直接影响心肌细胞的舒缩性能。正常心肌细胞中的Ca2+大部分储存于线粒体、肌浆网及肌纤维膜上。胞浆游离Ca2+浓度异常增高可导致细胞内钙超载(calcium overload)。除了细胞外的Ca2+通过质膜(SL)进入胞质、肌浆网(sarcoplasmic reticulum, SR),通过钙摄取和释放等因素调节胞浆Ca2+外,线粒体钙转运在维持心肌细胞钙的内环境稳定中也起重要作用。本实验的目的是了解肺炎对幼鼠心肌线粒体钙转运及能量代谢的影响,从而探讨肺炎引起心肌功能障碍的可能机制。
, 百拇医药
材料及方法
一、主要仪器和试剂
1.试剂:乙二醇双(α-氨基乙基)醚四乙酸(EGTA)、腺苷-5′-三磷酸二钠盐(Na2ATP)购自Sangon公司;五乙酰氧基甲基脂(fura-2/AM)、AntipyrylazoⅢ、N-2-羟乙基哌嗪-N′-2-乙磺酸(HEPES)、钌红(RR)购自Sigma公司;其他试剂均为国产分析纯。
2.仪器:MPF-4荧光分光光度计(hitachi),DU-7紫外可见光分光光度计(beckman),Waters系列高效液相色谱仪(美国),HSG-20R高速冷冻离心机(吉林图们离心机厂)。
二、动物肺炎模型的制作
1.动物:选取健康50日龄Wistar大鼠48只,体重(90±10) g,雌雄各半,由第三军医大学实验动物中心提供。经隔离喂养并检疫无特殊病原体感染,随机分为对照组24只,肺炎组24只(每个时相点各8只)。
, 百拇医药
2.肺炎模型:参照文献[1,2]。动物接种前48 小时取金黄色葡萄球菌标准菌株(由第三军医大学临床微生物教研室提供),接种于肉汤液中,37℃孵育24小时,再接种于普通琼脂培养基,37℃培养24小时。实验时,采用比浊法将菌液稀释成6×1010/ml。动物称重后用乌拉坦1000 mg/kg腹腔注射麻醉,颈部剪毛、消毒后,切开气管, 插入内径2 mm的导管至气管分叉处,感染组注入菌液0.1 ml(含细菌6×109),对照组注入等量无菌生理盐水,缝合切口。
三、时相点的选取
分别于接种后24小时、72小时和120小时观察动物的一般情况,同时进行血气分析和血培养,并做肺脏组织和心肌组织的病理学检查。选取肺脏组织有明显炎症改变、PaO2<60 mmHg(1 mmHg=0.133 kPa)时相点的感染组作为肺炎组进行指标测定。
, 百拇医药 四、线粒体的制备
线粒体制备参照文献[3]。动物断头活杀,迅速取出心脏,置于0℃的分离介质(0.25 mol/L的蔗糖,0.01 mol/L的咪唑-HCl,pH 7.4)中冲洗、剪碎,用预冷的内切式匀浆机匀浆12秒(4秒,3次),再用预冷的玻璃匀浆器匀浆,制成10%(重量/体积)的心肌匀浆,离心(600×g,2℃)6分钟,留上清,再离心(10000×g)11分钟,留沉淀。用分离介质悬浮沉淀,再以同样的速度高速离心一次,沉淀部分即为线粒体组分,悬浮于分离介质中备用。上述操作在0~4℃进行,1小时完成。
五、指标测定
1.心肌线粒体Ca2+-ATP酶活性通过ATP 水解释放的无机磷来测定[4]。
2.心肌线粒体游离钙含量用钙离子荧光指示剂Fura-2/AM负载后在双波长荧光分光光度计上测定[5]。
, 百拇医药
3.心肌线粒体钙摄取率和释放率测定,参考Jurkowitz等[6]的方法,用钙离子显色剂AntipyrylazoⅢ在紫外可见光分光光度计上测定。
4.心肌组织腺苷酸含量用Waters系列高效液相色谱仪测定[7]。
六、统计学处理
数据用均值±标准差(
结果
一、时相点的选取
1.一般状况:接种后24小时多数动物出现鼻腔分泌物增多,72小时呼吸急促,120小时行动迟缓、对刺激反应迟钝。
, 百拇医药
2.血培养:动物接种后24小时3只阳性,72小时6只阳性,120小时全部阳性。
3.血气分析:各感染组均有不同程度的改变,尤以接种后120小时为显著(表1)。
表1 两组动物接种后120小时各项指标的变化和比较(
血pH值
血PaO2
(mmHg)
血PaCO2
(mmHg)
Ca2+-ATP酶活性
, 百拇医药
[μmol/(mg.min)]
游离钙含量
(nmol/mg)
钙摄取率
[nmol/](min.mg)
钙释放率
[nmol/(min.mg)]
ATP含量
(μg/mg)
感染
组
, http://www.100md.com
7.222±0.054*
59±6*
44.3±0.4
7.1±0.5*
0.141±0.024*
16.8±0.3*
5.42±0.85*
31±4*
对照
组
, 百拇医药
7.336±0.020
78±8
40.5±7.9
12.6±0.3
0.058±0.020
25.0±0.3
1.76±0.09
68±4
t值
5.60
5.59
1.34
, 百拇医药
24.50
7.51
52.84
18.68
*与对照组相比,P<0.01
4.病理检查:动物接种后120小时肺组织有明显渗出、中性粒细胞增多,并有脓栓形成(图1);心肌组织有细胞充血、肿胀、变性及灶性淋巴细胞浸润,局部横纹结构不清(图2)。
图1 感染组接种120小时肺组织光镜改变(HE染色 ×250)
, 百拇医药
图2 感染组接种120小时心肌组织光镜改变(HE染色 ×250)
根据以上结果,选取动物接种后120小时为指标测定时相点。
二、指标测定结果
与对照组相比,肺炎组心肌线粒体Ca2+-ATP酶活性下降43.7%;心肌线粒体游离钙含量升高1.43倍;心肌线粒体钙摄取率下降32.8%;心肌线粒体基础钙释放率升高2.08倍;心肌组织ATP含量下降55.1%(表1)。
讨论
钙离子在细胞内有许多重要功能,它参与不同酶系和各种类型细胞活动的调节。细胞内Ca2+的这些功能只需要很低的Ca2+浓度(μmol/L或更低)。维持细胞浆低Ca2+浓度与细胞Ca2+调节装置有关,心肌细胞的这类装置包括肌膜、肌质网、线粒体以及一些与Ca2+结合的蛋白(如钙调素)和小分子物质等,其中线粒体是重要的机构之一。
, 百拇医药
心肌线粒体钙转运系统由钙摄取和钙释放两部分组成。钙摄取和钙释放影响着线粒体的游离钙和总钙。游离钙和总钙的变化对线粒体氧化磷酸化生成ATP过程有着重要的调节作用,尤其是游离钙的作用更为重要。它具有第二信使的作用,调节线粒体氧化代谢[8]。胞浆钙浓度升高时,线粒体摄取钙以降低胞浆钙浓度;胞浆钙浓度降低时,线粒体释放钙以维持胞浆钙浓度[9]。尽管线粒体最初可通过增加钙摄取以减轻细胞内钙超负荷,但当线粒体内的钙过高时,其功能和结构均遭破坏,大量的钙从线粒体钙储库中释放入胞浆,导致细胞内钙的超负荷状态,使细胞进入不可逆的恶性循环中。
本实验证实,感染后120小时幼鼠心肌线粒体Ca2+-ATP酶活性下降,游离钙含量升高,钙摄取率下降,线粒体钙释放率增加,心肌组织ATP含量下降。此时血PaO2较对照组明显下降。这提示心肌线粒体钙转运功能障碍以及氧化磷酸化功能受损,ATP生成减少与肺炎所致缺氧等因素密切相关。
, http://www.100md.com
肺炎时,心肌功能可因缺血、缺氧等众多因素而受到影响,其中线粒体Ca2+转运障碍可能是造成细胞功能损伤的重要原因之一。细胞内酸中毒可抑制Ca2+-ATP酶的活力和钙摄取能力,从而使心肌舒缩性能降低[10,11]。较长时间缺血以后,心肌线粒体的钙转运能力进一步下降,进而易导致细胞内钙超载。同时细胞内ATP 分解供能和钙泵之间脱耦联,导致心肌细胞功能的进一步损伤。
资助项目:本课题由中国人民解放军“九五”医学科研基金资助(项目编号:98D021)
参考文献
1 黄敏秀,陈新民,肖家思.肺炎幼鼠离体灌流心脏功能的实验研究.中华儿科杂志,1997,35:29-32.
2 Esposito AL, Pennington JE. Effect of aging on anti-bacterial mechanisms in experimental pneumonia. Am Rev Respir Dis, 1983, 128: 662.
, 百拇医药
3 Mariusz MZ, Swiercznski J, Nagel G, et al. The respiration and calcium content of heart mitochondria from rats with vitamin D-induced cardionecrosis. Biochem J, 1985, 226: 155-161.
4 Jone LR, Besch HR, Fleming JW, et al. Separation of vesicles of cardiac sarcolemma from vesicles of cardiac sarcoplasmic reticulum comparative biochemical analysis of componenet activities. J Biol Chem, 1979, 254: 530-539.
5 McCormack JG, Browne HM, Dawes NI. Studies on mitochrondrial Ca2+-tansport and matrix Ca2+ using Fura-2-loaded rat heart mitochondria. Biochim Biophys Acta, 1989, 973: 420-427.
, 百拇医药
6 Jurkowitz MS, Geisbuhler T, Jung DW, et al. Ruthenium red-sensitive and insensitive release of Ca2+ from uncoupled heart mitochrondria. Arch Biochem Biophys, 1983, 223: 120-128.
7 Bother HE, Kimose HH, Helligso P, et al. Analytical evaluation of high energy phosphate determination by high performance liquid chromatography in myocardial tissue. J Mol Cell Cardiol, 1994, 26: 41-48.
8 McCormack JG, Denton RM. Ca2+ as a second messenger within mitochondria. TIBS (trends in biochemical sciences), 1986, 11: 258-262.
, http://www.100md.com
9 Nicholls D, Akerman K. Mitochondrial calcium transport. Biochim Biophys Acta, 1982, 683:57-88.
10 Zhu Y, Nosek TM. Intracellular milieu chenges associated with hypoxia impair sarcoplasmic reticulum Ca2+ transport in cardiac muscle. Am J Physiol, 1991, 261 (part Ⅱ): H620-H626.
11 Rapundalo ST, Norman BF, Feher JJ. Effects of ischemia on the isolation and function of canine cardiac sarcoplasmic reticulum. J Mol Cell Cardiol, 1986, 18: 837-851.
收稿:1998-10-05
修回:1999-02-26, 百拇医药