高分辨率CT扫描在儿科肺部间质性病变诊断中的应用初探
作者:袁新宇 陈慧中 苏英姿 朱彦丽 关立夫 张梓荆
单位:袁新宇 关立夫 首都儿科研究所放射科 100020 陈慧中、苏英姿、朱彦丽、张梓荆 内科
关键词:体层摄影术;发射型计算机;肺疾病;间质性
中华儿科杂志991205 【摘要】 目的 探讨高分辨率CT(HRCT)在儿科肺部间质性病变诊断中的应用价值。方法 将45例(支气管哮喘21例,间质性肺炎9例,郎格罕组织细胞增生症8例,致纤维性肺泡炎2例、特发性肺含铁血黄素沉着症5例)患儿的HRCT片与胸部普通X线片、常规CT片进行回顾性比较、分析,对结果进行一致性和差异性检验。结果 (1)HRCT与普通X线胸片比较,在显示肺内网状阴影、小结节阴影(直径<1 cm)、肺气肿、细支气管病变及磨玻璃样阴影时两结果具有显著或非常显著一致性(χ2=4.20,6.43,3.85,6.05,9.72,P<0.05,<0.005,);两种检查方法对肺内网状阴影、小结节阴影、磨玻璃样阴影、肺气肿和细支气管病变的阳性显示的差异有非常显著意义(χ2=20.04,18.05,8.10,15.43,17.05,P均<0.005)。(2)HRCT与常规CT比较,在显示肺内网状阴影、小结节阴影、磨玻璃样阴影、肺气肿和细支气管病变时两结果具有显著或非常显著一致性(χ2=5.54,9.26,8.81,10.04,10.64,P<0.05,0.005);两种方法对肺内磨玻璃样阴影、肺气肿、网状阴影、小结节阴影和细支气管病变的阳性显示的差异有非常显著意义(χ2=4.90,5.53,12.96,9.60,13.07,P<0.05,0.005)。结论 HRCT在显示儿科肺部间质性病变的网状阴影、小结节阴影、磨玻璃样阴影、肺气肿和细支气管病变时优于常规CT和普通X线胸片,可在病情判断及疗效观察等方面为临床提供更大的帮助。
, 百拇医药
Usage of high resolution computed tomography in the
diagnosis of Pediatric lung interstitial diseases
YUAN Xinyu, CHEN Huizhong, SU Yingzi, et al.
Capital Institute of Pediatrics,Beijing 100020
【Abstract】 Objective To evaluate the usage of high resolution computed tomography (HRCT) in the diagnosis of pediatric lung interstitial diseases. Method Findings on chest radiogram, conventional CT and HRCT of 45 patients were reviewed. And then the data were compared, analyzed and evaluated. The diseases in this group included bronchial asthma (21 cases), interstitial pneumonia (9 cases), Langerhan′s cell histocytosis (8 cases), idiopathic pulmonary heamosiderosis (5 cases) and idiopathic pulmonary fibrosis (2 cases). Results McNemar χ2 analysis indicated that, HRCT was more sensitive than X-ray films and conventional CT in showing reticular shadow (χ2=20.04, P<0.005; χ2=12.96, P<0.005), micronodular pattern(χ2=18.05, P<0.005; χ2=9.60, P<0.005), ground glass(χ2=8.10, P<0.005; χ2=4.90, P<0.05), emphysema(χ2=15.43, P<0.005; χ2=5.53, P<0.025), bronchiectasis and thickness of bronchiolar wall(χ2=17.05, P<0.005; χ2=13.07, P<0.005), respectively, and there was significant difference between them. Conclusion HRCT plays an important role in the diagnosis of pediatric lung interstitial diseases, especially in evaluation of disease severity and efficacy of treatment.
, 百拇医药
【Key words】 Tomography, emission computed Lung disease, interstitial
高分辨率计算机横断扫描 (high resolution computed tomography, HRCT) 是近年发展起来的一项新技术,它的临床应用价值日益受到重视。我们回顾了在我院就诊的45例患儿的胸部HRCT扫描片、X线片、常规CT扫描片,并对它们进行了比较,就HRCT在儿科肺部间质性病变诊断中的应用进行了讨论。
对象和方法
一、对象
45例病例均为本院门诊或病房收治的患儿,男23例,女12例,年龄3~16岁(平均7.8岁)。其中支气管哮喘21例,间质性肺炎9例,郎格罕组织细胞增生症8例,特发性肺含铁血黄素沉着症5例、致纤维性肺泡炎2例。本组病例均符合有关的临床诊断标准[1]。
, http://www.100md.com
二、检查方法
1.仪器:使用日本岛津800mA X线摄片机及德国西门子SOMATOM ARCT扫描机进行检查。
2.方法:(1)本组45例患儿均同期进行了HRCT、普通X线及常规CT检查,对其中11例进行了HRCT复查,其中支气管哮喘7例,致纤维性肺泡炎1例,郎格罕组织细胞增生症2例。复查时间间隔为3~6个月。(2)45例患儿均于就诊或入院时摄正位X线胸片,其中19例加照侧位X线胸片。(3)常规CT扫描:从肺尖至肋膈角行层厚、层距均为10 mm的连续扫描,扫描参数:电压130 kV,电流70 mA,扫描时间3秒,距阵512×512。肺窗窗位-700,窗宽1 500;纵隔窗位40,窗宽200。观察野(FOV)350。标准图象重建。(3)HRCT扫描方法:于常规CT扫描后对感兴趣区间行层厚2 mm薄层扫描,依据不同的观察需要确定层距(2~10 mm),扫描参数:电压130 kV,电流100 mA,扫描时间3秒。距阵及肺窗窗位、窗宽与常规扫描相同。FOV 210。高分辨率骨重建。
, 百拇医药
3.诊断标准及结果判定:(1)诊断标准:依据公认的标准对普通X线胸片中的征象作出诊断;参考文献[2,3],我们拟定了CT或HRCT中一些征象的诊断标准:“肺气肿”的诊断标准为病变区域内血管纹理相对减少,肺组织透亮度增加,局部CT值为-900~-1000;“细支气管病变”的诊断标准为上或下肺叶外带发现细支气管充气,且管径大于1.5 mm和(或)管壁厚度大于1 mm。(2)结果判定:X线片、常规CT片及HRCT片均经两名有经验的放射科医师阅片,采取双盲法读片,所显示征象被两位医师共同认可方视为有效。
三、统计学方法
比较HRCT与X线胸片、HRCT与常规CT对肺间质性病变一些征象的显示情况,并分别进行一致性检验(卡方检验)和差异性检验(McNemar χ2检验)。
结果
一、HRCT、普通X线胸片及常规CT对肺部间质性病变中一些常见征象的显示情况比较(表1)
, 百拇医药
表1 HRCT普通X线胸片及常规CT对肺间质性
病变显示对照(例数) 影象学征象
HRCT
普通X线胸片
常规CT
+
-
+
-
网状阴影
(45)
17
28
, http://www.100md.com
20
25
+
39
17
22
20
19
-
6
0
6
0
6
, http://www.100md.com
小结节阴影
(45)
10
35
17
28
+
30
10
20
16
14
-
15
, http://www.100md.com
0
15
1
14
磨玻璃样阴影
(45)
4
41
9
36
+
14
4
10
, http://www.100md.com
8
6
-
31
0
31
1
30
肺气肿
(45)
11
34
21
24
, 百拇医药
+
30
10
20
19
11
-
15
1
14
2
13
细支气管病变
(45)
, http://www.100md.com
7
38
11
34
+
26
7
19
11
15
-
19
0
19
, 百拇医药
0
19
1.HRCT与普通X线胸片比较,在显示肺内网状阴影、小结节阴影、肺气肿和细支气管病变时两结果具有显著一致性(χ2=4.20,6.43,3.85,6.05,P<0.05),两法符合率依次为51%,56%,56%,58%,在显示磨玻璃样阴影时两结果具有非常显著一致性(χ2=9.72,P<0.005),两法符合率为78%;两种方法对肺内网状阴影、小结节阴影、磨玻璃样阴影、肺气肿和细支气管病变的阳性显示差异有非常显著意义(χ2=20.04,18.05,8.10,15.43,17.05,P均<0.005)。
2.HRCT与常规CT比较,在显示肺内网状阴影时两结果具有显著一致性(χ2=5.54,P<0.025),两法符合率为58%,在显示小结节阴影、磨玻璃样阴影、肺气肿和细支气管病变(χ2=9.26,8.81,10.04,10.64,P<0.005)时两结果具有非常显著一致性,两法符合率依次为67%,84%,71%,67%;两种方法对肺内磨玻璃样阴影和肺气肿的阳性显示差异有显著意义(χ2=4.90,5.53,P<0.025),对网状阴影、小结节阴影和细支气管病变的阳性显示差异有非常显著意义(χ2=12.96,9.60,13.07,P<0.005)。
, 百拇医药
本组病例中有11例经过治疗病情好转后,进行了HRCT复查,HRCT结果均显示出不同程度的好转。
二、典型病例
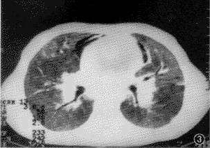
1.例1 男,9岁。哮喘反复发作2年左右,经正规使用激素和支气管扩张剂治疗效果不明显,普通X线胸片仅显示肺纹理增多伴肺气肿(图1),而HRCT检查则发现肺小叶间隔增厚呈网状,细支气管充气扩张、管壁增厚(图2)等早期肺间质改变征象。
图1 例1胸X线片 两肺透亮度增加,肋间隙增宽,双膈下降;肺纹理增多;心影变小
图2 例1胸HRCT片 右下肺细支气管径增大,管壁增厚;
, 百拇医药
肺内点状影增多,可见小叶间隔线及片状阴影
2.例2 男,12岁。致纤维化肺泡炎。入院时HRCT片显示出肺内同时存在磨玻璃样阴影、囊泡样改变和纵隔积气等(图3),符合该病在同一肺组织内可同时存在不同时期病变征象的HRCT表现特点,经激素治疗3个月后复查,磨玻璃影减少,纵隔积气消失(图4)。
图3 例2胸HRCT片 特发性肺纤维化改变:两肺透亮度减低,可见纵隔积气、磨玻璃征及小泡样气肿
图4 例2治疗3个月后的胸HRCT片 肺野透亮度增高,纵隔积气及磨玻璃征消失
讨论
, http://www.100md.com
HRCT是由Zerhouni于1985年首先提出,并为Mayo进一步完善的技术,它的基本内容为薄层扫描(1.5~2 mm)、高分辨骨算法重建和小FOV[4]。HRCT有效地提高了扫描图象的空间分辨率并减少了部分容积效应。肺部HRCT的主要作用在于优化地显示肺的微细结构(指供应肺小叶的气道、血管及小叶间隔),从而得以在肺小叶水平上认识肺的解剖结构。Mayo等[5]称其为肺部无创伤性检查的最佳方法。
随着CT扫描技术的推广,它在儿科诊断领域中的应用日益引起人们的重视。HRCT以其技术优势,能比普通X线和常规CT扫描提供更多的信息,尤其在儿科肺部间质性病变的早期诊断、病情判断和疗效观察等方面正发挥着重要的作用。
在肺部疾病的影像学诊断中,普通X线诊断是基础,CT是重要的补充,HRCT则是在常规CT扫描的基础上采用的一种特殊技术,由于其改变了扫描参数和采用高分辨率重建法,故可在肺小叶水平上观察病变情况,为疾病的诊断和鉴别提供帮助。通过比较本组45例患儿的肺部HRCT与常规CT对肺内各种征象的显示情况可见,HRCT在显示肺内网状阴影、肺内小结节影、及磨玻璃样阴影、肺气肿和细支气管病变时均较常规CT及普通X线胸片清晰和敏感。特别是对哮喘、特发性致纤维性肺泡炎的诊断治疗和疗效观察可发挥重要作用[6]。
, 百拇医药
我们通过实践认为,从放射防护和卫生经济学的角度出发,不能对所有肺部疾病患儿都进行从普通X线片到常规CT,甚至HRCT检查,而应针对不同疾病的不同临床需要最优化地选择适当的检查方法。支气管哮喘、郎格罕组织细胞增生症等弥漫性肺间质病变一般无需进行HRCT检查,当普通X线胸片显示正常而临床表现较重或疗效不佳时,应直接进行HRCT扫描;另外,当常规CT无法清晰显示间质性肺炎或特发性肺含铁血黄素沉着症等局限性间质病变时,可对感兴趣区间进行HRCT扫描;而对致纤维性肺泡炎等严重的弥漫性病变,则主张从开始就使用HRCT进行检查和随访观察,以便明确诊断和疗效。另一方面,HRCT虽然在肺部疾病诊断中具有明显的优势,但由于其辐射量较大,且要求受检者积极配合,故在儿科中应用有一定难度。我们认为,(1)HRCT检查应在普通X线和(或)常规CT检查诊断困难的病例中应用,特别在肺弥漫性间质性病变中可进行间隔扫描。如一些作者所建议的,可仅在主动脉弓、右上叶支气管、右中叶支气管、肺动脉下干及膈上肺底平面作单层HRCT扫描,亦可在感兴趣区间作高分辨连续扫描。这样可尽量减少患儿接触放射线的剂量。(2)由于HRCT需要患儿的配合,于检查前需对年长儿进行吸呼气配合训练;年幼儿则需服用镇定剂,在平静呼吸中进行检查,以减少运动伪影。
, 百拇医药
参考文献
1 吴瑞萍,胡亚美,江载芳,主编. 诸福棠实用儿科学. 第6版. 北京:人民卫生出版社,1995. 1098-1220.
2 潘纪戍,陈起航,刘甫南,主编. 肺部高分辨率CT. 北京:中国纺织出版社,1994. 45-66.
3 Boulet L, Belanger M, Carrier G. Airway responsiveness and bronchial-wall thickness in asthma with or without fixed airflow obstruction. Am J Respir Cirt Care Med, 1995, 152: 865-871.
4 Zerhouni EA.CT and MRI of the Thorax. New York: Churohill. 1990. 93-95.
, 百拇医药
5 Mayo JR,Webb WR,Gould R,et al.High-resolution CT of the lung,an optimal approach.Radiology, 1987, 163: 507-511.
6 Muller NL, Staples CA, Miller RR, et al. Disease activity in idiopathic pulmonary fibrosis: CT and pathologic correlation. Radiology, 1987, 165: 731-736.
(收稿:1999-05-10 修回:1999-09-07), 百拇医药
单位:袁新宇 关立夫 首都儿科研究所放射科 100020 陈慧中、苏英姿、朱彦丽、张梓荆 内科
关键词:体层摄影术;发射型计算机;肺疾病;间质性
中华儿科杂志991205 【摘要】 目的 探讨高分辨率CT(HRCT)在儿科肺部间质性病变诊断中的应用价值。方法 将45例(支气管哮喘21例,间质性肺炎9例,郎格罕组织细胞增生症8例,致纤维性肺泡炎2例、特发性肺含铁血黄素沉着症5例)患儿的HRCT片与胸部普通X线片、常规CT片进行回顾性比较、分析,对结果进行一致性和差异性检验。结果 (1)HRCT与普通X线胸片比较,在显示肺内网状阴影、小结节阴影(直径<1 cm)、肺气肿、细支气管病变及磨玻璃样阴影时两结果具有显著或非常显著一致性(χ2=4.20,6.43,3.85,6.05,9.72,P<0.05,<0.005,);两种检查方法对肺内网状阴影、小结节阴影、磨玻璃样阴影、肺气肿和细支气管病变的阳性显示的差异有非常显著意义(χ2=20.04,18.05,8.10,15.43,17.05,P均<0.005)。(2)HRCT与常规CT比较,在显示肺内网状阴影、小结节阴影、磨玻璃样阴影、肺气肿和细支气管病变时两结果具有显著或非常显著一致性(χ2=5.54,9.26,8.81,10.04,10.64,P<0.05,0.005);两种方法对肺内磨玻璃样阴影、肺气肿、网状阴影、小结节阴影和细支气管病变的阳性显示的差异有非常显著意义(χ2=4.90,5.53,12.96,9.60,13.07,P<0.05,0.005)。结论 HRCT在显示儿科肺部间质性病变的网状阴影、小结节阴影、磨玻璃样阴影、肺气肿和细支气管病变时优于常规CT和普通X线胸片,可在病情判断及疗效观察等方面为临床提供更大的帮助。
, 百拇医药
Usage of high resolution computed tomography in the
diagnosis of Pediatric lung interstitial diseases
YUAN Xinyu, CHEN Huizhong, SU Yingzi, et al.
Capital Institute of Pediatrics,Beijing 100020
【Abstract】 Objective To evaluate the usage of high resolution computed tomography (HRCT) in the diagnosis of pediatric lung interstitial diseases. Method Findings on chest radiogram, conventional CT and HRCT of 45 patients were reviewed. And then the data were compared, analyzed and evaluated. The diseases in this group included bronchial asthma (21 cases), interstitial pneumonia (9 cases), Langerhan′s cell histocytosis (8 cases), idiopathic pulmonary heamosiderosis (5 cases) and idiopathic pulmonary fibrosis (2 cases). Results McNemar χ2 analysis indicated that, HRCT was more sensitive than X-ray films and conventional CT in showing reticular shadow (χ2=20.04, P<0.005; χ2=12.96, P<0.005), micronodular pattern(χ2=18.05, P<0.005; χ2=9.60, P<0.005), ground glass(χ2=8.10, P<0.005; χ2=4.90, P<0.05), emphysema(χ2=15.43, P<0.005; χ2=5.53, P<0.025), bronchiectasis and thickness of bronchiolar wall(χ2=17.05, P<0.005; χ2=13.07, P<0.005), respectively, and there was significant difference between them. Conclusion HRCT plays an important role in the diagnosis of pediatric lung interstitial diseases, especially in evaluation of disease severity and efficacy of treatment.
, 百拇医药
【Key words】 Tomography, emission computed Lung disease, interstitial
高分辨率计算机横断扫描 (high resolution computed tomography, HRCT) 是近年发展起来的一项新技术,它的临床应用价值日益受到重视。我们回顾了在我院就诊的45例患儿的胸部HRCT扫描片、X线片、常规CT扫描片,并对它们进行了比较,就HRCT在儿科肺部间质性病变诊断中的应用进行了讨论。
对象和方法
一、对象
45例病例均为本院门诊或病房收治的患儿,男23例,女12例,年龄3~16岁(平均7.8岁)。其中支气管哮喘21例,间质性肺炎9例,郎格罕组织细胞增生症8例,特发性肺含铁血黄素沉着症5例、致纤维性肺泡炎2例。本组病例均符合有关的临床诊断标准[1]。
, http://www.100md.com
二、检查方法
1.仪器:使用日本岛津800mA X线摄片机及德国西门子SOMATOM ARCT扫描机进行检查。
2.方法:(1)本组45例患儿均同期进行了HRCT、普通X线及常规CT检查,对其中11例进行了HRCT复查,其中支气管哮喘7例,致纤维性肺泡炎1例,郎格罕组织细胞增生症2例。复查时间间隔为3~6个月。(2)45例患儿均于就诊或入院时摄正位X线胸片,其中19例加照侧位X线胸片。(3)常规CT扫描:从肺尖至肋膈角行层厚、层距均为10 mm的连续扫描,扫描参数:电压130 kV,电流70 mA,扫描时间3秒,距阵512×512。肺窗窗位-700,窗宽1 500;纵隔窗位40,窗宽200。观察野(FOV)350。标准图象重建。(3)HRCT扫描方法:于常规CT扫描后对感兴趣区间行层厚2 mm薄层扫描,依据不同的观察需要确定层距(2~10 mm),扫描参数:电压130 kV,电流100 mA,扫描时间3秒。距阵及肺窗窗位、窗宽与常规扫描相同。FOV 210。高分辨率骨重建。
, 百拇医药
3.诊断标准及结果判定:(1)诊断标准:依据公认的标准对普通X线胸片中的征象作出诊断;参考文献[2,3],我们拟定了CT或HRCT中一些征象的诊断标准:“肺气肿”的诊断标准为病变区域内血管纹理相对减少,肺组织透亮度增加,局部CT值为-900~-1000;“细支气管病变”的诊断标准为上或下肺叶外带发现细支气管充气,且管径大于1.5 mm和(或)管壁厚度大于1 mm。(2)结果判定:X线片、常规CT片及HRCT片均经两名有经验的放射科医师阅片,采取双盲法读片,所显示征象被两位医师共同认可方视为有效。
三、统计学方法
比较HRCT与X线胸片、HRCT与常规CT对肺间质性病变一些征象的显示情况,并分别进行一致性检验(卡方检验)和差异性检验(McNemar χ2检验)。
结果
一、HRCT、普通X线胸片及常规CT对肺部间质性病变中一些常见征象的显示情况比较(表1)
, 百拇医药
表1 HRCT普通X线胸片及常规CT对肺间质性
病变显示对照(例数) 影象学征象
HRCT
普通X线胸片
常规CT
+
-
+
-
网状阴影
(45)
17
28
, http://www.100md.com
20
25
+
39
17
22
20
19
-
6
0
6
0
6
, http://www.100md.com
小结节阴影
(45)
10
35
17
28
+
30
10
20
16
14
-
15
, http://www.100md.com
0
15
1
14
磨玻璃样阴影
(45)
4
41
9
36
+
14
4
10
, http://www.100md.com
8
6
-
31
0
31
1
30
肺气肿
(45)
11
34
21
24
, 百拇医药
+
30
10
20
19
11
-
15
1
14
2
13
细支气管病变
(45)
, http://www.100md.com
7
38
11
34
+
26
7
19
11
15
-
19
0
19
, 百拇医药
0
19
1.HRCT与普通X线胸片比较,在显示肺内网状阴影、小结节阴影、肺气肿和细支气管病变时两结果具有显著一致性(χ2=4.20,6.43,3.85,6.05,P<0.05),两法符合率依次为51%,56%,56%,58%,在显示磨玻璃样阴影时两结果具有非常显著一致性(χ2=9.72,P<0.005),两法符合率为78%;两种方法对肺内网状阴影、小结节阴影、磨玻璃样阴影、肺气肿和细支气管病变的阳性显示差异有非常显著意义(χ2=20.04,18.05,8.10,15.43,17.05,P均<0.005)。
2.HRCT与常规CT比较,在显示肺内网状阴影时两结果具有显著一致性(χ2=5.54,P<0.025),两法符合率为58%,在显示小结节阴影、磨玻璃样阴影、肺气肿和细支气管病变(χ2=9.26,8.81,10.04,10.64,P<0.005)时两结果具有非常显著一致性,两法符合率依次为67%,84%,71%,67%;两种方法对肺内磨玻璃样阴影和肺气肿的阳性显示差异有显著意义(χ2=4.90,5.53,P<0.025),对网状阴影、小结节阴影和细支气管病变的阳性显示差异有非常显著意义(χ2=12.96,9.60,13.07,P<0.005)。
, 百拇医药
本组病例中有11例经过治疗病情好转后,进行了HRCT复查,HRCT结果均显示出不同程度的好转。
二、典型病例
1.例1 男,9岁。哮喘反复发作2年左右,经正规使用激素和支气管扩张剂治疗效果不明显,普通X线胸片仅显示肺纹理增多伴肺气肿(图1),而HRCT检查则发现肺小叶间隔增厚呈网状,细支气管充气扩张、管壁增厚(图2)等早期肺间质改变征象。
图1 例1胸X线片 两肺透亮度增加,肋间隙增宽,双膈下降;肺纹理增多;心影变小
图2 例1胸HRCT片 右下肺细支气管径增大,管壁增厚;
, 百拇医药
肺内点状影增多,可见小叶间隔线及片状阴影
2.例2 男,12岁。致纤维化肺泡炎。入院时HRCT片显示出肺内同时存在磨玻璃样阴影、囊泡样改变和纵隔积气等(图3),符合该病在同一肺组织内可同时存在不同时期病变征象的HRCT表现特点,经激素治疗3个月后复查,磨玻璃影减少,纵隔积气消失(图4)。
图3 例2胸HRCT片 特发性肺纤维化改变:两肺透亮度减低,可见纵隔积气、磨玻璃征及小泡样气肿
图4 例2治疗3个月后的胸HRCT片 肺野透亮度增高,纵隔积气及磨玻璃征消失
讨论
, http://www.100md.com
HRCT是由Zerhouni于1985年首先提出,并为Mayo进一步完善的技术,它的基本内容为薄层扫描(1.5~2 mm)、高分辨骨算法重建和小FOV[4]。HRCT有效地提高了扫描图象的空间分辨率并减少了部分容积效应。肺部HRCT的主要作用在于优化地显示肺的微细结构(指供应肺小叶的气道、血管及小叶间隔),从而得以在肺小叶水平上认识肺的解剖结构。Mayo等[5]称其为肺部无创伤性检查的最佳方法。
随着CT扫描技术的推广,它在儿科诊断领域中的应用日益引起人们的重视。HRCT以其技术优势,能比普通X线和常规CT扫描提供更多的信息,尤其在儿科肺部间质性病变的早期诊断、病情判断和疗效观察等方面正发挥着重要的作用。
在肺部疾病的影像学诊断中,普通X线诊断是基础,CT是重要的补充,HRCT则是在常规CT扫描的基础上采用的一种特殊技术,由于其改变了扫描参数和采用高分辨率重建法,故可在肺小叶水平上观察病变情况,为疾病的诊断和鉴别提供帮助。通过比较本组45例患儿的肺部HRCT与常规CT对肺内各种征象的显示情况可见,HRCT在显示肺内网状阴影、肺内小结节影、及磨玻璃样阴影、肺气肿和细支气管病变时均较常规CT及普通X线胸片清晰和敏感。特别是对哮喘、特发性致纤维性肺泡炎的诊断治疗和疗效观察可发挥重要作用[6]。
, 百拇医药
我们通过实践认为,从放射防护和卫生经济学的角度出发,不能对所有肺部疾病患儿都进行从普通X线片到常规CT,甚至HRCT检查,而应针对不同疾病的不同临床需要最优化地选择适当的检查方法。支气管哮喘、郎格罕组织细胞增生症等弥漫性肺间质病变一般无需进行HRCT检查,当普通X线胸片显示正常而临床表现较重或疗效不佳时,应直接进行HRCT扫描;另外,当常规CT无法清晰显示间质性肺炎或特发性肺含铁血黄素沉着症等局限性间质病变时,可对感兴趣区间进行HRCT扫描;而对致纤维性肺泡炎等严重的弥漫性病变,则主张从开始就使用HRCT进行检查和随访观察,以便明确诊断和疗效。另一方面,HRCT虽然在肺部疾病诊断中具有明显的优势,但由于其辐射量较大,且要求受检者积极配合,故在儿科中应用有一定难度。我们认为,(1)HRCT检查应在普通X线和(或)常规CT检查诊断困难的病例中应用,特别在肺弥漫性间质性病变中可进行间隔扫描。如一些作者所建议的,可仅在主动脉弓、右上叶支气管、右中叶支气管、肺动脉下干及膈上肺底平面作单层HRCT扫描,亦可在感兴趣区间作高分辨连续扫描。这样可尽量减少患儿接触放射线的剂量。(2)由于HRCT需要患儿的配合,于检查前需对年长儿进行吸呼气配合训练;年幼儿则需服用镇定剂,在平静呼吸中进行检查,以减少运动伪影。
, 百拇医药
参考文献
1 吴瑞萍,胡亚美,江载芳,主编. 诸福棠实用儿科学. 第6版. 北京:人民卫生出版社,1995. 1098-1220.
2 潘纪戍,陈起航,刘甫南,主编. 肺部高分辨率CT. 北京:中国纺织出版社,1994. 45-66.
3 Boulet L, Belanger M, Carrier G. Airway responsiveness and bronchial-wall thickness in asthma with or without fixed airflow obstruction. Am J Respir Cirt Care Med, 1995, 152: 865-871.
4 Zerhouni EA.CT and MRI of the Thorax. New York: Churohill. 1990. 93-95.
, 百拇医药
5 Mayo JR,Webb WR,Gould R,et al.High-resolution CT of the lung,an optimal approach.Radiology, 1987, 163: 507-511.
6 Muller NL, Staples CA, Miller RR, et al. Disease activity in idiopathic pulmonary fibrosis: CT and pathologic correlation. Radiology, 1987, 165: 731-736.
(收稿:1999-05-10 修回:1999-09-07), 百拇医药