少而大的肾单位发育不全一例
作者:黄建萍 洪建东 马青山 刘景城 丁洁 杨霁云 邹万忠
单位:黄建萍(100034 北京医科大学第一医院儿科);刘景城(100034 北京医科大学第一医院儿科);丁洁(100034 北京医科大学第一医院儿科);杨霁云(100034 北京医科大学第一医院儿科);邹万忠(100034 北京医科大学第一医院病理科);洪建东(福建省泉州市儿童医院);马青山(白求恩医科大学第一医院儿科)
关键词:
中华儿科杂志000534 小而大的肾单位发育不全(oligomeganephronic hypoplasia,OMNH)是一种组织学上表现为肾单位数量减少,但肾小球体积增大的先天性肾发育不全,临床上主要表现为进行性肾功能不全。虽然国外已有一些报道,但国内尚未见有关资料。现就近来我院经肾活检证实的1例OMNH报告如下。
患儿女,13岁。因发现蛋白尿11 d于1999年3月26日入院。入院前11 d因发热、咳嗽就诊于当地医院,诊为“支气管肺炎”,同时检查尿常规时发现尿蛋白(+++),无水肿、血尿及高血压,给予青霉素抗炎治疗,8 d后肺炎痊愈,但尿蛋白始终波动于(++)~(+++),为进一步明确诊断来我院就诊。
, 百拇医药
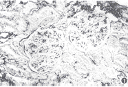
患儿为第1胎,第1产,足月顺产出生,出生体重3.1 kg,身高52 cm,新生儿期无特殊病史。既往易患呼吸道感染,每年3~4次,否认肾脏病史。现上五年级,学习成绩中上等。母孕期间无用药史及疾病史。父母非近亲结婚,家族中无肾脏疾病、遗传疾病史。体检:身高148 cm,体重33 kg,血压 105/67.5 mm Hg (1 mm Hg=0.133 kPa),发育尚可,营养欠佳,面色稍苍白。皮肤无黄染、皮疹及出血点,皮下脂肪欠丰满、分布均匀。全身浅表淋巴结未触及肿大。眼睑及下肢无浮肿,睑结膜稍苍白。心肺无异常。腹平软,肝脾肋下未触及,双肾区无叩痛,移动性浊音阴性。神经系统检查未见异常。实验室检查:Hb 107 g/L,RBC 3.58×1012 /L,网织红细胞0.008。尿量1 500~2 000 ml/24 h,尿蛋白(+)~(+++),24 h尿蛋白定量2 255 mg/24 h,尿红细胞每个高倍镜视野 0~4个,未见管型,尿糖(-),尿β2微球蛋白 >2.5 μg/ml,尿pH 5.5。血生化:钾4.85 mmol/L,钠142.5 mmol/L,氯110 mmol/L,钙2.41 mmol/L,磷1.66 mmol/L,HCO-3 21.25 mmol/L,白蛋白44.5 g/L,胆固醇5.77 mmol/L,尿素氮8.99 mmol/L,肌酐126.5μmol/L,β2微球蛋白4.2 mg/L,免疫球蛋白IgG 8.04 g/L,IgA 1.20 g/L,IgM 1.38 g/L,补体C3 1.13 g/L。肝功能正常,乙肝病毒抗原及抗核抗体均阴性。肌酐清除率62.7 ml/min,尿浓缩试验:最高尿比重达1.016。腹部B超:右肾7.3 cm×2.8 cm,左肾7.8 cm×3.1 cm,双肾实质回声增强,内部结构不清,左肾上极可见一1.5 cm的无回声区。印象:双肾萎缩,双肾弥漫性病变,左肾囊肿。静脉肾盂造影除双肾偏小外,其他未见异常。肾活检病理:取一条 1.5 mm宽、7 mm长的肾皮质组织,可见3个肾小球,系膜细胞轻微节段性增生,肾小管灶状萎缩,肾间质灶状纤维化,小动脉无明显病变。免疫荧光检查示IgG、IgM、C3系膜区颗粒状沉积。与同龄儿相比,该例肾小球及肾小管异常肥大,符合OMNH(图1)。
, 百拇医药
讨论:OMNH是1962年由Royer等[1] 最早提出的,是指组织学上肾单位的数量减少,但每一个肾小球和肾小管显著肥大的一种肾发育不全。肾小球的数量可能仅为相同年龄对照组的1/5,但肾小球明显增大,可达300 μm(同龄对照仅为100~150 μm),可伴系膜细胞增生,免疫荧光镜检系膜区可有IgM和C3沉积,可能与改变了的系膜细胞功能有关。OMNH患儿肾脏小,是正常人的1/8~1/2[2]。本例患儿的肾脏明显小。肾穿活组织检查中,我们的经验是:与患儿相同年龄的其他肾脏疾病(系膜增殖性肾炎、IgA肾病等)患儿相比,1~1.5 mm宽、5~7mm长的肾皮质上,通常约有肾小球数10~15个,而该患儿仅为3个肾小球,故肾小球数量明显少,且与同龄儿(图2)对比,肾小球体积明显增大,是对照的2~2.5倍,故肾病理符合OMNH 的诊断。
肾单位数目减少可能与肾发生正常过程的停止(生后肾组织减少或输尿管芽分支异常)及早产的干扰有关。肾单位肥大可能与慢性低氧、高碳酸血症的刺激或继发于肾实质减少而代偿性的肾肥大有关[2,3]。
, http://www.100md.com
OMNH典型的临床表现为三个阶段:第一阶段,首发症状出现在婴儿期,疾病发作时表现为脱水、不明原因的发热、呕吐、氮质血症,尿浓缩能力下降,轻度持续蛋白尿;第二阶段,2岁后呕吐、脱水发作停止,进入相对稳定期,中度蛋白尿,氮质血症持续或缓慢进展,多尿、烦渴明显,生长发育停滞明显,可有肾性骨病、肾性贫血;第三阶段,10~20年后肾功能不全迅速进展期[2,3]。但近年Nomura等[4]报道,在青少年或以后因偶然发现蛋白尿而就诊,经肾活检诊断的OMNH 7例患者(蛋白尿为轻度、2/7例已有肾性贫血),随访到30~35岁时,除1例在25岁时发展为终末肾外,其余6例仍保持肾小球滤过率在50 ml/min左右。因此,症状出现越晚,预后相对越好。复习Nomura以前的文献也发现症状出现越早,预后越差。如新生儿期出现症状者,2~3岁即发展为终末肾;1岁左右出现症状者,13~16岁发展为终末肾。本例患儿因症状和体征隐匿,一直未被发现及诊断,直至13岁(青少年期)因肺炎住院常规检查尿时发现蛋白尿,经进一步检查诊断为OMNH,与Nomura报道的患者类似。本病无特异治疗,但McGraw等[5]发现OMNH患儿增加的蛋白尿先于节段性肾小球硬化,且节段性肾小球硬化与肾功能迅速的衰退有关。我们给予本例患儿巯甲丙脯氨酸治疗(12.5 mg/次,每天 3次),随访3月,尿蛋白降为490 mg/24 h,肌酐清除率为64.6 ml/min,是否能够通过药物控制患儿的蛋白尿水平,达到相对好的长期预后,有待进一步随访。

, 百拇医药
图1 患儿肾活检病理图 示肾小球和肾小管明显增大,是对照的2~2.5倍,系膜细胞轻度增生,肾小管灶状萎缩,间质灶状纤维化(PASM 光镜 ×200)图2 戌患者同龄小儿的肾活检病理图 取自轻度系膜增生性肾小球肾炎患儿(PASM 光镜 ×200)
参考文献
1,Royer P, Habib R, Mathieu H, et al. L'hypoplasie renale bilaterale congenitale avec reduction du nombre et hypertrophie des nephrons chez l'enfant. Ann Pediar, 1962, 38: 753-766.
2,Tisher CC, Brenner BM, eds. Renal pathology: with clinical and functional correlations. 2nd ed. Philadephia: J B Lippincott Company, 1994. 1359-1365.
, 百拇医药
3,Carter JE, Lirenman DS. Bilateral renal hypoplasia with oligomeganephronia: oligomeganephronic renal hypoplasia. Am J Dis Child, 1970, 120: 537-542.
4,Nomura S, Watanabe Y, Fukushima T, et al. eds. Clinical features and genetic background of bilateral renal hypoplasia identified during or after adolescence. Proceedings of the Fifteenth International Congress of Nephrology, Argentina, 1999. Buenos Aires: International Society of Nephrology, 1999. 239.
5,McGraw M, Poucell S, Sweet J, et al. The significance of focal segmental glomerulosclerosis in oligomeganephronia. Int J Pediatr Nephrol, 1984, 5: 67-72.
(收稿日期:1999-08-11), http://www.100md.com
单位:黄建萍(100034 北京医科大学第一医院儿科);刘景城(100034 北京医科大学第一医院儿科);丁洁(100034 北京医科大学第一医院儿科);杨霁云(100034 北京医科大学第一医院儿科);邹万忠(100034 北京医科大学第一医院病理科);洪建东(福建省泉州市儿童医院);马青山(白求恩医科大学第一医院儿科)
关键词:
中华儿科杂志000534 小而大的肾单位发育不全(oligomeganephronic hypoplasia,OMNH)是一种组织学上表现为肾单位数量减少,但肾小球体积增大的先天性肾发育不全,临床上主要表现为进行性肾功能不全。虽然国外已有一些报道,但国内尚未见有关资料。现就近来我院经肾活检证实的1例OMNH报告如下。
患儿女,13岁。因发现蛋白尿11 d于1999年3月26日入院。入院前11 d因发热、咳嗽就诊于当地医院,诊为“支气管肺炎”,同时检查尿常规时发现尿蛋白(+++),无水肿、血尿及高血压,给予青霉素抗炎治疗,8 d后肺炎痊愈,但尿蛋白始终波动于(++)~(+++),为进一步明确诊断来我院就诊。
, 百拇医药
患儿为第1胎,第1产,足月顺产出生,出生体重3.1 kg,身高52 cm,新生儿期无特殊病史。既往易患呼吸道感染,每年3~4次,否认肾脏病史。现上五年级,学习成绩中上等。母孕期间无用药史及疾病史。父母非近亲结婚,家族中无肾脏疾病、遗传疾病史。体检:身高148 cm,体重33 kg,血压 105/67.5 mm Hg (1 mm Hg=0.133 kPa),发育尚可,营养欠佳,面色稍苍白。皮肤无黄染、皮疹及出血点,皮下脂肪欠丰满、分布均匀。全身浅表淋巴结未触及肿大。眼睑及下肢无浮肿,睑结膜稍苍白。心肺无异常。腹平软,肝脾肋下未触及,双肾区无叩痛,移动性浊音阴性。神经系统检查未见异常。实验室检查:Hb 107 g/L,RBC 3.58×1012 /L,网织红细胞0.008。尿量1 500~2 000 ml/24 h,尿蛋白(+)~(+++),24 h尿蛋白定量2 255 mg/24 h,尿红细胞每个高倍镜视野 0~4个,未见管型,尿糖(-),尿β2微球蛋白 >2.5 μg/ml,尿pH 5.5。血生化:钾4.85 mmol/L,钠142.5 mmol/L,氯110 mmol/L,钙2.41 mmol/L,磷1.66 mmol/L,HCO-3 21.25 mmol/L,白蛋白44.5 g/L,胆固醇5.77 mmol/L,尿素氮8.99 mmol/L,肌酐126.5μmol/L,β2微球蛋白4.2 mg/L,免疫球蛋白IgG 8.04 g/L,IgA 1.20 g/L,IgM 1.38 g/L,补体C3 1.13 g/L。肝功能正常,乙肝病毒抗原及抗核抗体均阴性。肌酐清除率62.7 ml/min,尿浓缩试验:最高尿比重达1.016。腹部B超:右肾7.3 cm×2.8 cm,左肾7.8 cm×3.1 cm,双肾实质回声增强,内部结构不清,左肾上极可见一1.5 cm的无回声区。印象:双肾萎缩,双肾弥漫性病变,左肾囊肿。静脉肾盂造影除双肾偏小外,其他未见异常。肾活检病理:取一条 1.5 mm宽、7 mm长的肾皮质组织,可见3个肾小球,系膜细胞轻微节段性增生,肾小管灶状萎缩,肾间质灶状纤维化,小动脉无明显病变。免疫荧光检查示IgG、IgM、C3系膜区颗粒状沉积。与同龄儿相比,该例肾小球及肾小管异常肥大,符合OMNH(图1)。
, 百拇医药
讨论:OMNH是1962年由Royer等[1] 最早提出的,是指组织学上肾单位的数量减少,但每一个肾小球和肾小管显著肥大的一种肾发育不全。肾小球的数量可能仅为相同年龄对照组的1/5,但肾小球明显增大,可达300 μm(同龄对照仅为100~150 μm),可伴系膜细胞增生,免疫荧光镜检系膜区可有IgM和C3沉积,可能与改变了的系膜细胞功能有关。OMNH患儿肾脏小,是正常人的1/8~1/2[2]。本例患儿的肾脏明显小。肾穿活组织检查中,我们的经验是:与患儿相同年龄的其他肾脏疾病(系膜增殖性肾炎、IgA肾病等)患儿相比,1~1.5 mm宽、5~7mm长的肾皮质上,通常约有肾小球数10~15个,而该患儿仅为3个肾小球,故肾小球数量明显少,且与同龄儿(图2)对比,肾小球体积明显增大,是对照的2~2.5倍,故肾病理符合OMNH 的诊断。
肾单位数目减少可能与肾发生正常过程的停止(生后肾组织减少或输尿管芽分支异常)及早产的干扰有关。肾单位肥大可能与慢性低氧、高碳酸血症的刺激或继发于肾实质减少而代偿性的肾肥大有关[2,3]。
, http://www.100md.com
OMNH典型的临床表现为三个阶段:第一阶段,首发症状出现在婴儿期,疾病发作时表现为脱水、不明原因的发热、呕吐、氮质血症,尿浓缩能力下降,轻度持续蛋白尿;第二阶段,2岁后呕吐、脱水发作停止,进入相对稳定期,中度蛋白尿,氮质血症持续或缓慢进展,多尿、烦渴明显,生长发育停滞明显,可有肾性骨病、肾性贫血;第三阶段,10~20年后肾功能不全迅速进展期[2,3]。但近年Nomura等[4]报道,在青少年或以后因偶然发现蛋白尿而就诊,经肾活检诊断的OMNH 7例患者(蛋白尿为轻度、2/7例已有肾性贫血),随访到30~35岁时,除1例在25岁时发展为终末肾外,其余6例仍保持肾小球滤过率在50 ml/min左右。因此,症状出现越晚,预后相对越好。复习Nomura以前的文献也发现症状出现越早,预后越差。如新生儿期出现症状者,2~3岁即发展为终末肾;1岁左右出现症状者,13~16岁发展为终末肾。本例患儿因症状和体征隐匿,一直未被发现及诊断,直至13岁(青少年期)因肺炎住院常规检查尿时发现蛋白尿,经进一步检查诊断为OMNH,与Nomura报道的患者类似。本病无特异治疗,但McGraw等[5]发现OMNH患儿增加的蛋白尿先于节段性肾小球硬化,且节段性肾小球硬化与肾功能迅速的衰退有关。我们给予本例患儿巯甲丙脯氨酸治疗(12.5 mg/次,每天 3次),随访3月,尿蛋白降为490 mg/24 h,肌酐清除率为64.6 ml/min,是否能够通过药物控制患儿的蛋白尿水平,达到相对好的长期预后,有待进一步随访。
, 百拇医药
图1 患儿肾活检病理图 示肾小球和肾小管明显增大,是对照的2~2.5倍,系膜细胞轻度增生,肾小管灶状萎缩,间质灶状纤维化(PASM 光镜 ×200)图2 戌患者同龄小儿的肾活检病理图 取自轻度系膜增生性肾小球肾炎患儿(PASM 光镜 ×200)
参考文献
1,Royer P, Habib R, Mathieu H, et al. L'hypoplasie renale bilaterale congenitale avec reduction du nombre et hypertrophie des nephrons chez l'enfant. Ann Pediar, 1962, 38: 753-766.
2,Tisher CC, Brenner BM, eds. Renal pathology: with clinical and functional correlations. 2nd ed. Philadephia: J B Lippincott Company, 1994. 1359-1365.
, 百拇医药
3,Carter JE, Lirenman DS. Bilateral renal hypoplasia with oligomeganephronia: oligomeganephronic renal hypoplasia. Am J Dis Child, 1970, 120: 537-542.
4,Nomura S, Watanabe Y, Fukushima T, et al. eds. Clinical features and genetic background of bilateral renal hypoplasia identified during or after adolescence. Proceedings of the Fifteenth International Congress of Nephrology, Argentina, 1999. Buenos Aires: International Society of Nephrology, 1999. 239.
5,McGraw M, Poucell S, Sweet J, et al. The significance of focal segmental glomerulosclerosis in oligomeganephronia. Int J Pediatr Nephrol, 1984, 5: 67-72.
(收稿日期:1999-08-11), http://www.100md.com