经静脉声学造影诊断肾动脉狭窄的初步探讨
作者:吴凤林 龚渭冰 王晓青 梁珠波 侯连兵
单位:吴凤林 龚渭冰 梁珠波(510515 广州,第一军医大学南方医院超声科);侯连兵(临床药理基地);王晓青(解放军第十八医院)
关键词:超声检查,多普勒,彩色;造影剂;肾动脉梗阻
中华超声影像学杂志000611
【摘要】 目的 探讨经静脉声学造影诊断肾动脉狭窄的可行性。方法 对9例临床疑诊肾动脉狭窄患者进行了经静脉声学造影检查,并与DSA结果对比。结果 声学造影显示2例肾动脉无彩色血流信号,ECT扫描肾脏不显影;5例肾动脉中段或起始段彩色血流束局限性细窄,其宽度 0.30~0.38 cm之间,而非狭窄处的宽度在 0.83~1.04 cm之间;DSA显示彩色血流束细窄处有肾动脉狭窄存在。另2例无肾动脉狭窄者,其血流束宽 0.70~0.85 cm。结论 经静脉声学造影剂能显著增强肾动脉彩色血流信号;通过观察造影增强后肾动脉彩色血流表现,能较准确地诊断肾动脉狭窄、闭塞等病变。
, http://www.100md.com
The preliminary study of diagnosis in renal artery stenosis with intravenous contrast ultrasound
WU Fenglin,GONG Weibing,WANG Xiaoqing, et al.
(Department of Ultrasound, Nanfang Hospital of the First Military Medical University, Guangzhou 510515,China)
【Abstract】 Objective To investigate the feasibility of diagnosis in renal artery stenosis (RAS) with intravenous contrast ultrasound. Methods Nine cases were examined with intravenous contrast ultrasound,who were suspected clinically to suffer from RAS. The results were compared with those of DSA.Results With the enhancement of intravenous ultrasound contrast agent, in 2 cases, color flow was not seen in renal arteries; their kidneys were also not visualized by ECT examination. In five cases the narrow of color Doppler flows in middle or beginning parts of renal arteries was scanned with the width of 0.30~0.38 cm, where renal artery stenosis was confirmatively found by DSA. But in another 2 cases with normal renal arteries, the blood flows were 0.70~0.85 cm wide. Conclusions The color Doppler flow signals could be significantly enhanced by intravenous contrast ultrasound , and it may be helpful to diagnose confirmatively the RAS through observing the blood flows in renal arteries by enhanced color Doppler ultrasonography.
, 百拇医药
【Key words】 Ultrasonography,Doppler,color;Contrast media;Renal artery obstruction
肾动脉狭窄是继发性高血压的常见原因,及早明确诊断并进行相应的治疗,病变常可逆转。X线血管造影虽是诊断肾动脉狭窄的最准确方法,但有创伤。超声多普勒技术通过肾内、外动脉血流频谱及血流参数的检测,虽可判定肾动脉狭窄的存在,但该方法受多种因素影响,其敏感性和特异性文献报道不一。近年来,声学造影剂的研制有了显著进步,新型声学造影剂可经外周静脉注射通过肺循环增强动脉血流信号。本研究旨在探讨经静脉声学造影剂对肾动脉彩色血流信号的增强作用,及诊断肾动脉狭窄的可行性。
资 料 与 方 法
一、临床资料
1998年5月~1999年3月我院住院的9例肾动脉狭窄患者,男7例,女2例,年龄27~64岁,均有高血压病史,3例BUN、Cr升高,另6例正常。B超和ECT检查,单侧肾脏缩小7例,其长径小于对侧 1.0 cm以上,双侧肾脏缩小2例,临床疑诊肾动脉狭窄而行经静脉声学造影检查。
, 百拇医药
二、仪器和方法
应用HP SONOS 5500型彩色多普勒超声仪,探头频率 2.0~6.0 MHz。检查前患者空腹 8~12 h,取俯卧位及左、右侧卧位,常规观察肾脏大小、形态、内部回声及彩色血流状况。左肾动脉(肾外段肾动脉)检查取仰卧位,探头横切加压以减少胃肠气体干扰,显示左肾动脉主干全段;右肾动脉检查取左侧卧位,探头斜切加压,以显示右肾动脉主干全段。如遇肠气过多,无法显示肾动脉主干时,则嘱患者于检查前 8~12 h,分两次口服 30~40 mg“便塞停”,并饮 3~4 L温开水,以清理胃肠道,消除肠气干扰。
1.声学造影:采用白蛋白包裹氟碳气体微气泡声学造影剂,微泡直径 2.0~5.0 μm,浓度1×109~2×109/ml,分布90%<10.0 μm。每次用量 0.2~0.4 ml,经前臂静脉弹丸注射,重复使用时,间隔时间>5 min,注射造影剂总量<3.0 ml。
, 百拇医药
2.造影方法:取肾动脉长轴切面,先观察肾动脉彩色血流状况,然后经左前臂静脉注射声学造影剂,对比观察肾动脉彩色血流信号变化、血流束形态及其宽度,记录开始显效及维持时间。
结 果
一、造影前超声表现
二维切面显示单侧肾缩小7例,双侧肾缩小2例。长径、前后径和左右径平均值分别为(7.36±0.75)cm、(3.48±0.42)cm和(3.68±0.38)cm。彩色多普勒超声观察,4例肾内无明显彩色血流信号,3例有稀疏点状信号,2例有3~4条短条状彩色血流束;肾动脉无彩色血流信号者6例,2例有短条状彩色血流(图1),仅1例为细窄连续血流束;脉冲多普勒检测,收缩期峰值速度 56.8~65.2 cm/s,舒张期最低流速 9.3~24.2 cm/s,RI值 0.45~0.85之间。
二、造影后影像学检查结果
, http://www.100md.com
经左前臂浅静脉注射氟碳声学造影剂 0.2~0.4 ml,18~26 s后肾动脉开始显影(因体位关系,右侧较左侧延迟显影)并迅速达到最强效果,持续 20~30 s后效果渐退。2例双肾缩小者,肾动脉正常,血流束宽度分别为 0.85 cm和 0.80 cm,形态均匀(图2),肾内动脉彩色血流充盈,该2例曾行ECT检查,双侧肾影缩小,肾功能重度受损。7例单肾缩小者,病侧肾脏2例肾动脉主干无血流信号,肾内有少许点状彩色血流,ECT检查示肾脏不显影。另5例肾动脉彩色血流束有局限性细窄或远段明显窄于近段,狭窄处宽度在 0.20~0.38 cm之间,而非狭窄处血流束宽度在 0.83~1.04 cm之间(图3)。ECT显示肾图曲线呈低平延长线型,灌注峰不明显,肾小球滤过率降低在 10~20 ml/min之间。X线血管造影显示肾动脉主干中间段或起始处狭窄,狭窄程度在70%~90%之间(表1,图4)。
表1 肾动脉狭窄声学造影与X线造影结果对比表 例号
经静脉声学造影
, http://www.100md.com
X线血管造影
1
右肾动脉血流束远段宽 0.30 cm,近段宽 0.78 cm
右肾动脉起始处狭窄,>90%
2
右肾动脉血流束中段宽 0.46 cm,近及远段宽 1.04 cm
右肾动脉中段狭窄,>50%
3
左肾动脉血流束中段宽 0.34 cm,近段宽 0.83 cm
左肾动脉中段狭窄,>70%
, 百拇医药 4
右肾动脉血流束中段宽 0.35 cm,近段宽 0.86 cm
右肾动脉中段狭窄,>80%
5
左肾动脉血流束远段宽 0.38 cm,近段宽 0.94 cm
左肾动脉起始处狭窄,>75%
6
左肾动脉无彩色血流信号
未造影;ECT不显影
7
右肾动脉无彩色血流信号
, http://www.100md.com
未造影;ECT不显影
讨 论
肾动脉狭窄时因肾脏血供减少而引起肾素-血管紧张素-醛固酮分泌增加,钠、水潴留,导致血压升高,长期高血压还可导致健侧肾功能损伤,BUN、Cr升高,及时诊治可使血压及肾功能恢复正常。迄今,X线肾动脉造影可准确判定狭窄程度及范围,本研究也以此为佐证。彩色多普勒超声能够显示肾动脉彩色血流,检测血流频谱及血流参数,对肾动脉狭窄具有一定的诊断价值。由于肾动脉位置深,易受其前方胃肠气体、声波衰减等因素影响,故彩色血流的显示率较低。虽然体瘦者较易显示,但多数正常者及肥胖者不易清楚显示。常用的方法是通过检测肾内、外动脉血流频谱,测量峰值流速、阻力指数、上升加速度等参数间接判定有无肾动脉狭窄存在。血流参数的测量可受多种因素影响,其敏感性和特异性文献报道不一。Avasthi等[1]报道肾动脉收缩期峰值血流速度>100 cm/s提示有狭窄存在,特异性可达90%,但敏感性仅为42%;Berland等[2]用此标准判定肾动脉狭窄并与X线血管造影对照,结果出现了31%的假阳性;RI也是判定肾动脉狭窄的指标,但敏感性和特异性均不高[3]。本组3例肾动脉狭窄者收缩期峰值血流速度均<100 cm/s,阻力指数在 0.45~0.85 之间。也有报道检测肾内动脉收缩期上升加速度(AC)、加速时间(AT)判定肾动脉狭窄的敏感性可达70%以上,并具有省时、简便、成功率高的优点,但有关这方面的研究尚有争议[4-6]。血流参数检测的局限性除敏感性低外,还受全身及局部血流状况的影响[7,8]。如贫血、甲亢患者,心输出量增加,肾动脉血流速度加快,可引起假阳性;腹主动脉狭窄、动脉硬化、严重肾动脉狭窄及肾动脉多处狭窄时,肾动脉血流速度减低,易出现假阴性。
, http://www.100md.com
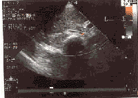
图1 造影前,肾动脉主干(三箭头示)内仅有短条状红色血流束
图2 正常肾动脉造影后显示肾动脉主干(二箭头示)内彩色血流信号充盈,略宽于管腔,形态均匀;腹主动脉(AO)内彩色血流亦充盈
图3 声学造影显示右肾动脉狭窄处表现彩色血流束细窄(黑色箭头示),与其近段增宽、外溢血流束形成鲜明对比;腹主动脉(AO)内彩色血流信号亦充盈、外溢
图4 DSA造影显示,右肾动脉起始段重度狭窄(stenosis)
近年来,声学造影技术有了较大进展,新近研制成功的微气泡声学造影剂,其微气泡直径在4~6 μm之间,性能稳定,能承受动脉压力,经外周浅静脉注射后可通过肺循环毛细血管网到达左心及动脉血管。随血液流动的微气泡,其气液界面能显著增大多普勒血流信号反射,可弥补深部血管(如肾动脉)彩色血流信号不足的缺点,有助于清楚显示肾内、外动脉彩色血流,了解管腔血流状况。经静脉声学造影剂大致分为两类[9],一类是白蛋白包裹空气微泡,以Albunex为代表;另一类为白蛋白包裹氟碳气体微泡,以Echogen为代表。两者均具有微泡浓度高、无毒副作用等特点,尤以含氟碳气体造影剂的微气泡浓度是含空气微泡造影剂的10倍,稳定性也优于后者。本研究应用氟碳微气泡声学造影剂,对动脉彩色血流信号的增强作用极为显著,每次注射 0.2~0.4 ml即可达到满意的增强效果。本组观察结果表明,经声学造影剂增强后,肾内、外动脉彩色血流信号均显著增强,血流束增宽。增强效果与造影剂用量成正比,即剂量越大,效果越强,血流束亦越宽。过度增强后,肾内动脉彩色血流融成一片,肾外动脉彩色血流束宽大畸形。但恰当控制造影剂用量,可使彩色血流束宽度与管径相同,或略宽于管径。增强后的彩色血流形态有助于观察病变的部位、范围及程度。狭窄部位的彩色血流束宽度明显窄于其近侧或远侧的彩色血流束;也可表现为狭窄处及其远侧的血流束细窄,近段血流束较宽。本组观察狭窄处血流束宽度在 0.30~0.46 cm之间,而非狭窄处为 0.78~1.04 cm。肾动脉闭塞者,经造影剂增强后肾动脉内仍无彩色血流信号。而肾动脉正常者,其彩色血流束较宽,形态均匀,近段、中段及远段宽度大致相等。本研究结果提示,通过观察声学造影剂增强后的肾动脉彩色血流表现,有助于直观显示肾动脉狭窄、闭塞等病变,将可能成为诊断肾动脉狭窄、闭塞的简便、准确方法。鉴于本组例数尚少,对其诊断价值尚有待进一步探讨。
, 百拇医药
参 考 文 献
1,Avasthi PS, Voyles WF, Greene ER. Noninvasive diagnosis of renal artery stenosis by echo-Doppler velocimetry. Kidney Int, 1984, 25: 824-832.
2,Berland LL, Koslin B,Rorth WD, et al. Renal artery stenosis: prospective evaluation of diagnosis with color duplex US compared with angiography. Radiol,1990, 174: 421-433.
3,Mollo M, Pelet V, Mouawad J,et al. Evaluation of color duplex ultrasound scanning in diagnosis of renal artery stenosis, compared to angiography: a prospective study on 53 patients. Eur J Vasc Endovasc Surg,1997,14: 305-309.
, 百拇医药
4,梁春香,王宗德,许琳,等.肾动脉狭窄多普勒超声诊断方法对比研究. 中国超声医学杂志,1997,13(10): 61-63.
5,Baxter GM, Aitchison F, Sheppard D,et al. Color Doppler ultrasound in renal artery stenosis: intrarenal waveform analysis. Br J Radiol,1996, 69: 810-815.
6,Lucas P, Blome S, Roche J. Intrarenal Doppler waveform analysis as a screening test for renal artery stenosis. Australas Radiol,1996,40:276-282.
7,李建初,张缙熙, 周墨宽.彩色多普勒超声对肾动脉狭窄的评价. 中华超声影像学杂志,1996,5:159-161.
8,Riehl J,Schmitt H, Bongartz D,et al. Renal artery stenosis: evaluation with color duplex ultrasonography. Nephrol Dial Transplant, 1997,12: 1608-1614.
9,史秋生,张青萍.超声声学造影的原理及其在腹部器官中的应用研究.中华物理医学杂志,1996,18:60-62.
(收稿日期:1999-07-12), 百拇医药
单位:吴凤林 龚渭冰 梁珠波(510515 广州,第一军医大学南方医院超声科);侯连兵(临床药理基地);王晓青(解放军第十八医院)
关键词:超声检查,多普勒,彩色;造影剂;肾动脉梗阻
中华超声影像学杂志000611
【摘要】 目的 探讨经静脉声学造影诊断肾动脉狭窄的可行性。方法 对9例临床疑诊肾动脉狭窄患者进行了经静脉声学造影检查,并与DSA结果对比。结果 声学造影显示2例肾动脉无彩色血流信号,ECT扫描肾脏不显影;5例肾动脉中段或起始段彩色血流束局限性细窄,其宽度 0.30~0.38 cm之间,而非狭窄处的宽度在 0.83~1.04 cm之间;DSA显示彩色血流束细窄处有肾动脉狭窄存在。另2例无肾动脉狭窄者,其血流束宽 0.70~0.85 cm。结论 经静脉声学造影剂能显著增强肾动脉彩色血流信号;通过观察造影增强后肾动脉彩色血流表现,能较准确地诊断肾动脉狭窄、闭塞等病变。
, http://www.100md.com
The preliminary study of diagnosis in renal artery stenosis with intravenous contrast ultrasound
WU Fenglin,GONG Weibing,WANG Xiaoqing, et al.
(Department of Ultrasound, Nanfang Hospital of the First Military Medical University, Guangzhou 510515,China)
【Abstract】 Objective To investigate the feasibility of diagnosis in renal artery stenosis (RAS) with intravenous contrast ultrasound. Methods Nine cases were examined with intravenous contrast ultrasound,who were suspected clinically to suffer from RAS. The results were compared with those of DSA.Results With the enhancement of intravenous ultrasound contrast agent, in 2 cases, color flow was not seen in renal arteries; their kidneys were also not visualized by ECT examination. In five cases the narrow of color Doppler flows in middle or beginning parts of renal arteries was scanned with the width of 0.30~0.38 cm, where renal artery stenosis was confirmatively found by DSA. But in another 2 cases with normal renal arteries, the blood flows were 0.70~0.85 cm wide. Conclusions The color Doppler flow signals could be significantly enhanced by intravenous contrast ultrasound , and it may be helpful to diagnose confirmatively the RAS through observing the blood flows in renal arteries by enhanced color Doppler ultrasonography.
, 百拇医药
【Key words】 Ultrasonography,Doppler,color;Contrast media;Renal artery obstruction
肾动脉狭窄是继发性高血压的常见原因,及早明确诊断并进行相应的治疗,病变常可逆转。X线血管造影虽是诊断肾动脉狭窄的最准确方法,但有创伤。超声多普勒技术通过肾内、外动脉血流频谱及血流参数的检测,虽可判定肾动脉狭窄的存在,但该方法受多种因素影响,其敏感性和特异性文献报道不一。近年来,声学造影剂的研制有了显著进步,新型声学造影剂可经外周静脉注射通过肺循环增强动脉血流信号。本研究旨在探讨经静脉声学造影剂对肾动脉彩色血流信号的增强作用,及诊断肾动脉狭窄的可行性。
资 料 与 方 法
一、临床资料
1998年5月~1999年3月我院住院的9例肾动脉狭窄患者,男7例,女2例,年龄27~64岁,均有高血压病史,3例BUN、Cr升高,另6例正常。B超和ECT检查,单侧肾脏缩小7例,其长径小于对侧 1.0 cm以上,双侧肾脏缩小2例,临床疑诊肾动脉狭窄而行经静脉声学造影检查。
, 百拇医药
二、仪器和方法
应用HP SONOS 5500型彩色多普勒超声仪,探头频率 2.0~6.0 MHz。检查前患者空腹 8~12 h,取俯卧位及左、右侧卧位,常规观察肾脏大小、形态、内部回声及彩色血流状况。左肾动脉(肾外段肾动脉)检查取仰卧位,探头横切加压以减少胃肠气体干扰,显示左肾动脉主干全段;右肾动脉检查取左侧卧位,探头斜切加压,以显示右肾动脉主干全段。如遇肠气过多,无法显示肾动脉主干时,则嘱患者于检查前 8~12 h,分两次口服 30~40 mg“便塞停”,并饮 3~4 L温开水,以清理胃肠道,消除肠气干扰。
1.声学造影:采用白蛋白包裹氟碳气体微气泡声学造影剂,微泡直径 2.0~5.0 μm,浓度1×109~2×109/ml,分布90%<10.0 μm。每次用量 0.2~0.4 ml,经前臂静脉弹丸注射,重复使用时,间隔时间>5 min,注射造影剂总量<3.0 ml。
, 百拇医药
2.造影方法:取肾动脉长轴切面,先观察肾动脉彩色血流状况,然后经左前臂静脉注射声学造影剂,对比观察肾动脉彩色血流信号变化、血流束形态及其宽度,记录开始显效及维持时间。
结 果
一、造影前超声表现
二维切面显示单侧肾缩小7例,双侧肾缩小2例。长径、前后径和左右径平均值分别为(7.36±0.75)cm、(3.48±0.42)cm和(3.68±0.38)cm。彩色多普勒超声观察,4例肾内无明显彩色血流信号,3例有稀疏点状信号,2例有3~4条短条状彩色血流束;肾动脉无彩色血流信号者6例,2例有短条状彩色血流(图1),仅1例为细窄连续血流束;脉冲多普勒检测,收缩期峰值速度 56.8~65.2 cm/s,舒张期最低流速 9.3~24.2 cm/s,RI值 0.45~0.85之间。
二、造影后影像学检查结果
, http://www.100md.com
经左前臂浅静脉注射氟碳声学造影剂 0.2~0.4 ml,18~26 s后肾动脉开始显影(因体位关系,右侧较左侧延迟显影)并迅速达到最强效果,持续 20~30 s后效果渐退。2例双肾缩小者,肾动脉正常,血流束宽度分别为 0.85 cm和 0.80 cm,形态均匀(图2),肾内动脉彩色血流充盈,该2例曾行ECT检查,双侧肾影缩小,肾功能重度受损。7例单肾缩小者,病侧肾脏2例肾动脉主干无血流信号,肾内有少许点状彩色血流,ECT检查示肾脏不显影。另5例肾动脉彩色血流束有局限性细窄或远段明显窄于近段,狭窄处宽度在 0.20~0.38 cm之间,而非狭窄处血流束宽度在 0.83~1.04 cm之间(图3)。ECT显示肾图曲线呈低平延长线型,灌注峰不明显,肾小球滤过率降低在 10~20 ml/min之间。X线血管造影显示肾动脉主干中间段或起始处狭窄,狭窄程度在70%~90%之间(表1,图4)。
表1 肾动脉狭窄声学造影与X线造影结果对比表 例号
经静脉声学造影
, http://www.100md.com
X线血管造影
1
右肾动脉血流束远段宽 0.30 cm,近段宽 0.78 cm
右肾动脉起始处狭窄,>90%
2
右肾动脉血流束中段宽 0.46 cm,近及远段宽 1.04 cm
右肾动脉中段狭窄,>50%
3
左肾动脉血流束中段宽 0.34 cm,近段宽 0.83 cm
左肾动脉中段狭窄,>70%
, 百拇医药 4
右肾动脉血流束中段宽 0.35 cm,近段宽 0.86 cm
右肾动脉中段狭窄,>80%
5
左肾动脉血流束远段宽 0.38 cm,近段宽 0.94 cm
左肾动脉起始处狭窄,>75%
6
左肾动脉无彩色血流信号
未造影;ECT不显影
7
右肾动脉无彩色血流信号
, http://www.100md.com
未造影;ECT不显影
讨 论
肾动脉狭窄时因肾脏血供减少而引起肾素-血管紧张素-醛固酮分泌增加,钠、水潴留,导致血压升高,长期高血压还可导致健侧肾功能损伤,BUN、Cr升高,及时诊治可使血压及肾功能恢复正常。迄今,X线肾动脉造影可准确判定狭窄程度及范围,本研究也以此为佐证。彩色多普勒超声能够显示肾动脉彩色血流,检测血流频谱及血流参数,对肾动脉狭窄具有一定的诊断价值。由于肾动脉位置深,易受其前方胃肠气体、声波衰减等因素影响,故彩色血流的显示率较低。虽然体瘦者较易显示,但多数正常者及肥胖者不易清楚显示。常用的方法是通过检测肾内、外动脉血流频谱,测量峰值流速、阻力指数、上升加速度等参数间接判定有无肾动脉狭窄存在。血流参数的测量可受多种因素影响,其敏感性和特异性文献报道不一。Avasthi等[1]报道肾动脉收缩期峰值血流速度>100 cm/s提示有狭窄存在,特异性可达90%,但敏感性仅为42%;Berland等[2]用此标准判定肾动脉狭窄并与X线血管造影对照,结果出现了31%的假阳性;RI也是判定肾动脉狭窄的指标,但敏感性和特异性均不高[3]。本组3例肾动脉狭窄者收缩期峰值血流速度均<100 cm/s,阻力指数在 0.45~0.85 之间。也有报道检测肾内动脉收缩期上升加速度(AC)、加速时间(AT)判定肾动脉狭窄的敏感性可达70%以上,并具有省时、简便、成功率高的优点,但有关这方面的研究尚有争议[4-6]。血流参数检测的局限性除敏感性低外,还受全身及局部血流状况的影响[7,8]。如贫血、甲亢患者,心输出量增加,肾动脉血流速度加快,可引起假阳性;腹主动脉狭窄、动脉硬化、严重肾动脉狭窄及肾动脉多处狭窄时,肾动脉血流速度减低,易出现假阴性。
, http://www.100md.com
图1 造影前,肾动脉主干(三箭头示)内仅有短条状红色血流束
图2 正常肾动脉造影后显示肾动脉主干(二箭头示)内彩色血流信号充盈,略宽于管腔,形态均匀;腹主动脉(AO)内彩色血流亦充盈
图3 声学造影显示右肾动脉狭窄处表现彩色血流束细窄(黑色箭头示),与其近段增宽、外溢血流束形成鲜明对比;腹主动脉(AO)内彩色血流信号亦充盈、外溢
图4 DSA造影显示,右肾动脉起始段重度狭窄(stenosis)
近年来,声学造影技术有了较大进展,新近研制成功的微气泡声学造影剂,其微气泡直径在4~6 μm之间,性能稳定,能承受动脉压力,经外周浅静脉注射后可通过肺循环毛细血管网到达左心及动脉血管。随血液流动的微气泡,其气液界面能显著增大多普勒血流信号反射,可弥补深部血管(如肾动脉)彩色血流信号不足的缺点,有助于清楚显示肾内、外动脉彩色血流,了解管腔血流状况。经静脉声学造影剂大致分为两类[9],一类是白蛋白包裹空气微泡,以Albunex为代表;另一类为白蛋白包裹氟碳气体微泡,以Echogen为代表。两者均具有微泡浓度高、无毒副作用等特点,尤以含氟碳气体造影剂的微气泡浓度是含空气微泡造影剂的10倍,稳定性也优于后者。本研究应用氟碳微气泡声学造影剂,对动脉彩色血流信号的增强作用极为显著,每次注射 0.2~0.4 ml即可达到满意的增强效果。本组观察结果表明,经声学造影剂增强后,肾内、外动脉彩色血流信号均显著增强,血流束增宽。增强效果与造影剂用量成正比,即剂量越大,效果越强,血流束亦越宽。过度增强后,肾内动脉彩色血流融成一片,肾外动脉彩色血流束宽大畸形。但恰当控制造影剂用量,可使彩色血流束宽度与管径相同,或略宽于管径。增强后的彩色血流形态有助于观察病变的部位、范围及程度。狭窄部位的彩色血流束宽度明显窄于其近侧或远侧的彩色血流束;也可表现为狭窄处及其远侧的血流束细窄,近段血流束较宽。本组观察狭窄处血流束宽度在 0.30~0.46 cm之间,而非狭窄处为 0.78~1.04 cm。肾动脉闭塞者,经造影剂增强后肾动脉内仍无彩色血流信号。而肾动脉正常者,其彩色血流束较宽,形态均匀,近段、中段及远段宽度大致相等。本研究结果提示,通过观察声学造影剂增强后的肾动脉彩色血流表现,有助于直观显示肾动脉狭窄、闭塞等病变,将可能成为诊断肾动脉狭窄、闭塞的简便、准确方法。鉴于本组例数尚少,对其诊断价值尚有待进一步探讨。
, 百拇医药
参 考 文 献
1,Avasthi PS, Voyles WF, Greene ER. Noninvasive diagnosis of renal artery stenosis by echo-Doppler velocimetry. Kidney Int, 1984, 25: 824-832.
2,Berland LL, Koslin B,Rorth WD, et al. Renal artery stenosis: prospective evaluation of diagnosis with color duplex US compared with angiography. Radiol,1990, 174: 421-433.
3,Mollo M, Pelet V, Mouawad J,et al. Evaluation of color duplex ultrasound scanning in diagnosis of renal artery stenosis, compared to angiography: a prospective study on 53 patients. Eur J Vasc Endovasc Surg,1997,14: 305-309.
, 百拇医药
4,梁春香,王宗德,许琳,等.肾动脉狭窄多普勒超声诊断方法对比研究. 中国超声医学杂志,1997,13(10): 61-63.
5,Baxter GM, Aitchison F, Sheppard D,et al. Color Doppler ultrasound in renal artery stenosis: intrarenal waveform analysis. Br J Radiol,1996, 69: 810-815.
6,Lucas P, Blome S, Roche J. Intrarenal Doppler waveform analysis as a screening test for renal artery stenosis. Australas Radiol,1996,40:276-282.
7,李建初,张缙熙, 周墨宽.彩色多普勒超声对肾动脉狭窄的评价. 中华超声影像学杂志,1996,5:159-161.
8,Riehl J,Schmitt H, Bongartz D,et al. Renal artery stenosis: evaluation with color duplex ultrasonography. Nephrol Dial Transplant, 1997,12: 1608-1614.
9,史秋生,张青萍.超声声学造影的原理及其在腹部器官中的应用研究.中华物理医学杂志,1996,18:60-62.
(收稿日期:1999-07-12), 百拇医药