诊断超声对不同龄大鼠睾丸组织P53和Bcl-2蛋白表达的影响
作者:杜联芳 张青萍 刘望彭
单位:杜联芳 张青萍(430030 武汉,同济医科大学附属同济医院超声科);刘望彭(山西医科大学附属第一医院)
关键词:超声学;大鼠;睾丸;蛋白质;P53;基因,bcl-2
中华超声影像学杂志000816
【摘要】 目的 探讨诊断超声对不同龄大鼠睾丸组织生精细胞P53、Bcl-2蛋白表达的影响。方法 36只SD雄性大鼠根据生后不同天数随机分为6组:I组(出生后30 d组)、II组(出生后30 d对照组)、III组(出生后45 d组)、IV组(出生后45 d对照组)、V组(出生后60 d组,即性成熟组)、VI组(出生后60 d对照组)。应用HP 8500彩色血流超声诊断仪对大鼠睾丸组织进行30 min的持续辐照,24 h后处死动物取睾丸进行免疫组化分析,观察标本中P53、Bcl-2表达情况。结果 各组大鼠睾丸组织生精细胞同时表达P53和Bcl-2,随天龄增长P53蛋白表达有下降趋势,Bcl-2蛋白表达有上升趋势。超声辐照后各组P53表达呈上升趋势,以出生后30 d组表现最明显;Bcl-2表达呈下降趋势。结论 诊断超声辐照不同龄大鼠睾丸组织30 min均可引起P53高表达,Bcl-2低表达,从而导致细胞凋亡。
, 百拇医药
Effect of diagnostic ultrasound radiation on P53 and Bcl-2 protein expression in different age rat testes
DU Lianfang,ZHANG Qingping,LIU Wangpeng
(Department of Ultrasound,Tongji Hospital ,Tongji Medical University, Wuhan 430030,China)
【Abstract】 Objective To investigate the role of diagnostic ultrasound on P53 and Bcl-2 protein expression in different age rat testes.Methods Thirty-six male Sprague-Danles rats were randomly divided into six groups of six according to different ages: group I (post-birth 30 day),group II (post-birth 30 day blank radiation), group III (post-birth 45 day ),group IV (post-birth 45 day blank radiation ),group V (post-birth 60 day ),group VI (post-birth 60 day blank radiation).Rat testes were irradiated by HP 8500 color Doppler sonography with 7.5 MHz linear phased array transducer for 30 minutes. Their testes were removed at 24 hour after irradiation. Expression of P53, Bcl-2 protein was analyzed with immunohistochemistry.Results P53 and Bcl-2 protein in both 3 control groups and 3 experiment groups were expressed. The larger of age,the lower expression of P53; the larger of age,the higher expression of Bcl-2. After irradiation the positive rate of P53 protein was increased in all experimental groups, that of expression of Bcl-2 protein was decreased.Conclusions Irradiation continuously 30 minutes by diagnostic ultrasound may result in higher expression of P53 and lower expression of Bcl-2 in the different age rat testes, may be further inducing germ cell apoptosis.
, http://www.100md.com
【Key words】 Ultrasonics;Rats;Testis;Protein P53;Genes,bcl-2
诊断超声辐照大鼠睾丸组织后,可引起各级生精细胞凋亡,在这种凋亡中,P53和Bcl-2 蛋白表达如何?我们对此进行了研究,以探讨诊断超声对不同龄组大鼠睾丸组织P53和Bcl-2蛋白表达的影响,从分子生物学角度研究诊断超声对生精细胞的生物学效应。
材 料 与 方 法
一、实验动物分组及模型制备
健康SD雄性大鼠36只(山西医科大学实验动物中心提供),根据出生后不同天数随机分为6组:I组(出生后30 d),II组(出生后30 d对照组),III组(出生后45 d),IV组(出生后45 d对照组),V组(出生后60 d), VI组(出生后60 d对照组),每组6只。使用仪器为美国HP 8500彩色血流超声诊断仪,探头频率 7.5 MHz,超声输出功率 6.8 mW,空间平均时间平均声强(Isata)为 3.4 mW/cm2,该声学参数由山西省计量测试研究所使用C-1型毫瓦级超声功率计测试。采用特制支架,将大鼠固定于平板上,探头置于会阴部,直接接触睾丸,固定持续辐照30 min,II,IV,VI组为空白对照组(图像停帧状态下,探头置于睾丸上30 min)。辐照后24 h用3%戊巴比妥钠40 mg/kg腹腔注射,麻醉后取出睾丸,置于10%甲醛溶液中固定24 h,常规石腊包埋,切片(4 μm),将切片捞于预先涂有粘片剂的载玻片上,置57℃烤箱烘干30 min。
, http://www.100md.com
二、P53、Bcl-2蛋白表达的检测
P53单克隆抗体和Bcl-2多克隆抗体由美国Santa Cruz Biotechnology公司生产。免疫组化染色的过氧化物酶标记选用链霉卵白素SP试剂盒(北京中山生物技术公司提供),操作步骤按试剂盒说明书进行。阴性对照组以磷酸盐缓冲液(PBS)取代P53和Bcl-2抗体。光镜下观察阳性细胞并计数,每张切片选取5个高倍视野(400×),计数500个细胞求得阳性百分率。
三、统计分析
所有数据以
±s表示,各辐照组间及辐照组与对照组间阳性细胞比较采用χ2检验。
结 果
P53阳性细胞表现为细胞核呈棕黄色,仅显示细胞轮廓者为阴性细胞。Bcl-2阳性细胞为细胞膜、胞浆被染成棕黄色,仅显示细胞轮廓者为阴性细胞。
, 百拇医药
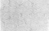
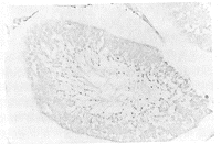
正常大鼠不同发育阶段其睾丸组织内生精细胞同时表达P53和Bcl-2,但两种蛋白的阳性表达率在同一天龄阶段鼠中不同,在不同天龄阶段鼠也不一致,总的趋势是:P53低表达,Bcl-2高表达,随着天龄增长和性腺发育,P53蛋白表达有下降趋势,而Bcl-2蛋白表达有上升趋势。诊断超声辐照30 min后,各组P53表达呈上升趋势,以出生后30 d组表现最明显(图1);Bcl-2表达呈下降趋势,但随鼠龄的增长到性成熟期,曲细精管内大量精子生成,且精子头Bcl-2表达强阳性(图2),辐照后强阳性细胞有所下降。以上各组的检测结果及比较见表1。
表1 诊断超声对各组大鼠睾丸P53、Bcl-2蛋白表达比较( %,
±s) 组别
例数
P53阳性率
, http://www.100md.com Bcl-2阳性率
I组
6
42.18 ±9.63※
70.13±18.84※
II组
6
20.34±4.57
87.66±19.49
III组
6
33.81±8.70※△
, 百拇医药
76.91±13.60※△
IV组
6
18.73±10.24▲
89.96±24.16▲
V组
6
30.04±8.19※△
84.83±21.61※△
VI组
6
, 百拇医药
17.98±6.52▲
90.22±23.36▲
注:※表示与对照组比较,P<0.001;△表示与30 d和45 d实验组比较,P<0.001;▲表示与II组比较,P<0.001讨 论
细胞凋亡过程是受基因的精确调控而实现的,根据相关基因的作用不同分为两类:一类是诱导细胞凋亡的基因,一类是抑制细胞凋亡的基因。Bcl-2为一种重要的凋亡抑制基因,当细胞中Bcl-2蛋白表达升高时,细胞的凋亡过程即受到抑制,细胞生存时间延长[1];而P53是一种重要的凋亡诱导基因,它的高表达可促进细胞凋亡,从而抑制肿瘤的发生,所以又称为抑癌基因。
图1 超声辐照后30 d大鼠生精细胞P53表达率上升达高峰(100×)
, 百拇医药
图2 超声辐照后大鼠生精细胞Bcl-2低表达,60 d(性成熟期)组精子头呈强阳性表达(200×)
诊断超声持续辐照大鼠睾丸组织30 min后可引起各级生精细胞凋亡,免疫组化进一步证实,不同鼠龄组大鼠睾丸组织对超声辐照的敏感性不同,出生后30 d组大鼠P53蛋白的表达率为(20.34±4.57)%,而超声辐照后其表达率明显增高,达(42.18±9.63)%,显著高于出生后45 d组和性成熟组(P<0.001);而Bcl-2蛋白的表达率在正常对照组均呈高表达,以性成熟组阳性表达率最高,达(90.22±23.36)%,尤其于精子头呈强阳性表达,染色为棕褐色。在精子发生过程中,从精原细胞、精母细胞到精子细胞,Bcl-2的表达呈升高趋势。形成精子后,表达率更高,说明其凋亡的作用随鼠龄增长而明显下降。超声辐照后,Bcl-2表达率下降,各实验组均显著低于各对照组(P<0.001),以出生后30 d组下降最明显,达(70.13±18.84)%,说明诊断超声引起睾丸生精细胞凋亡可能是通过P53蛋白的高表达、Bcl-2蛋白低表达而实现的,提示这两种凋亡相关基因参与了超声诱导生精细胞凋亡的调节过程。而睾丸的输精管结扎诱导附睾上皮凋亡是P53独立的[2],Cadmium(Cd)诱导睾丸组织凋亡也是P53非依赖性的[3],其作用机制尚不清楚。但用4Gy的X线辐照后,使正常不表达P53的小鼠精原细胞出现明显的P53阳性表达,而且X线辐照后成年睾丸溶解产物中P53水平增高[4],说明P53在调节生精细胞总数方面起重要作用。
, http://www.100md.com
每个细胞都在不断的监督下维持其基因组的完整性,一个细胞的基因组损伤必须在DNA复制和细胞分裂开始之前进行修复,当基因组损伤无法修复时,受损细胞以一种有条理的方式处置,即程序性细胞死亡或凋亡。原癌基因派生蛋白Bcl-2在细胞自杀机制方面起负性调节作用,是肿瘤抑制蛋白P53的转录靶,P53、Bcl-2的协同作用是控制一个细胞生死的关键[5]。在胚胎发育、妊娠中期胎儿卵母细胞的丢失、成年女性的排卵和成年男性的睾丸退化方面,P53、Bcl-2发挥重要作用。通过观察人类妊娠6~12周P53、Bcl-2的基因产物的定位,发现在不同的细胞类型,各种细胞的表达不同[6],而且在妊娠早期卵原细胞、精原细胞和支持细胞内不存在雌激素受体。注射EDS杀死睾丸间质细胞,从而使雌激素缺失,8 d后出现了Bcl-2的高调节状态,这可能代表剩余的生精细胞的一种生存机制[7]。胎儿胚细胞在有丝分裂阶段受阻后,大量经历程序性细胞死亡,Bcl-2和其相关分子参与了胎儿胚细胞生死调节以及成年男性睾丸精原细胞的寿命调节,精原细胞的细胞死亡在去除受损的生殖细胞或在生殖细胞和它们的支持细胞的比例调节方面是必不可少的[8]。超声辐照后精子头和精子细胞的强阳性率下降,说明有一部分精子细胞和精子头受损,机体自身通过削减Bcl-2抑制凋亡的作用,来促进受损细胞的凋亡,以维持自身平衡和稳定。
, http://www.100md.com
参考文献
1,Reed JC.Bcl-2 and regulation of programmed cell death.J Cell Biol,1994,124:1-6.
2,Turner TT, Riley TA. P53 independent region-specific epithelial apoptosis is induced in the rat epididymis by deprivation of luminal factors. Mol Reprod Dev,1999,53:188-189.
3,Xu G, Zhou G, Jin T, et al.Apoptosis and P53 gene expression in male reproductive tissues of cadmium exposed rats. Biometals, 1999,12:131-139.
, 百拇医药
4,Beumer TL, Roepers-Gajadien HL,Gademan IS, et al. The role of the tumor suppressor P53 in spermatogenesis. Cell Death Differ,1998,5:669-677.
5,Basu A, Haldar S.The relationship between Bcl-2, Bax and P53: consequences for cell cycle progression and cell death. Mol Hum Reprod, 1998,4:1099-1109.
6,Quenby SM, Gazvani MR, Brazeau C, et al. Oncogenes and tumor suppressor genes in first trimester human fetal gonadal development. Mol Hum Reprod, 1999,5:737-741.
, 百拇医药
7,Woolveridge I, de Boer-Brouwer M, Taylor MF, et al. Apoptosis in the spermatogenic epithelium following androgen withdrawal: changes in apoptosis-related genes. Biol Reprod, 1999,60:461-470.
8,Matsui Y. Developmental fates of the mouse germ cell line. Int J Diol,1998,42:1037-1042.
(收稿日期:1999-12-14), 百拇医药
单位:杜联芳 张青萍(430030 武汉,同济医科大学附属同济医院超声科);刘望彭(山西医科大学附属第一医院)
关键词:超声学;大鼠;睾丸;蛋白质;P53;基因,bcl-2
中华超声影像学杂志000816
【摘要】 目的 探讨诊断超声对不同龄大鼠睾丸组织生精细胞P53、Bcl-2蛋白表达的影响。方法 36只SD雄性大鼠根据生后不同天数随机分为6组:I组(出生后30 d组)、II组(出生后30 d对照组)、III组(出生后45 d组)、IV组(出生后45 d对照组)、V组(出生后60 d组,即性成熟组)、VI组(出生后60 d对照组)。应用HP 8500彩色血流超声诊断仪对大鼠睾丸组织进行30 min的持续辐照,24 h后处死动物取睾丸进行免疫组化分析,观察标本中P53、Bcl-2表达情况。结果 各组大鼠睾丸组织生精细胞同时表达P53和Bcl-2,随天龄增长P53蛋白表达有下降趋势,Bcl-2蛋白表达有上升趋势。超声辐照后各组P53表达呈上升趋势,以出生后30 d组表现最明显;Bcl-2表达呈下降趋势。结论 诊断超声辐照不同龄大鼠睾丸组织30 min均可引起P53高表达,Bcl-2低表达,从而导致细胞凋亡。
, 百拇医药
Effect of diagnostic ultrasound radiation on P53 and Bcl-2 protein expression in different age rat testes
DU Lianfang,ZHANG Qingping,LIU Wangpeng
(Department of Ultrasound,Tongji Hospital ,Tongji Medical University, Wuhan 430030,China)
【Abstract】 Objective To investigate the role of diagnostic ultrasound on P53 and Bcl-2 protein expression in different age rat testes.Methods Thirty-six male Sprague-Danles rats were randomly divided into six groups of six according to different ages: group I (post-birth 30 day),group II (post-birth 30 day blank radiation), group III (post-birth 45 day ),group IV (post-birth 45 day blank radiation ),group V (post-birth 60 day ),group VI (post-birth 60 day blank radiation).Rat testes were irradiated by HP 8500 color Doppler sonography with 7.5 MHz linear phased array transducer for 30 minutes. Their testes were removed at 24 hour after irradiation. Expression of P53, Bcl-2 protein was analyzed with immunohistochemistry.Results P53 and Bcl-2 protein in both 3 control groups and 3 experiment groups were expressed. The larger of age,the lower expression of P53; the larger of age,the higher expression of Bcl-2. After irradiation the positive rate of P53 protein was increased in all experimental groups, that of expression of Bcl-2 protein was decreased.Conclusions Irradiation continuously 30 minutes by diagnostic ultrasound may result in higher expression of P53 and lower expression of Bcl-2 in the different age rat testes, may be further inducing germ cell apoptosis.
, http://www.100md.com
【Key words】 Ultrasonics;Rats;Testis;Protein P53;Genes,bcl-2
诊断超声辐照大鼠睾丸组织后,可引起各级生精细胞凋亡,在这种凋亡中,P53和Bcl-2 蛋白表达如何?我们对此进行了研究,以探讨诊断超声对不同龄组大鼠睾丸组织P53和Bcl-2蛋白表达的影响,从分子生物学角度研究诊断超声对生精细胞的生物学效应。
材 料 与 方 法
一、实验动物分组及模型制备
健康SD雄性大鼠36只(山西医科大学实验动物中心提供),根据出生后不同天数随机分为6组:I组(出生后30 d),II组(出生后30 d对照组),III组(出生后45 d),IV组(出生后45 d对照组),V组(出生后60 d), VI组(出生后60 d对照组),每组6只。使用仪器为美国HP 8500彩色血流超声诊断仪,探头频率 7.5 MHz,超声输出功率 6.8 mW,空间平均时间平均声强(Isata)为 3.4 mW/cm2,该声学参数由山西省计量测试研究所使用C-1型毫瓦级超声功率计测试。采用特制支架,将大鼠固定于平板上,探头置于会阴部,直接接触睾丸,固定持续辐照30 min,II,IV,VI组为空白对照组(图像停帧状态下,探头置于睾丸上30 min)。辐照后24 h用3%戊巴比妥钠40 mg/kg腹腔注射,麻醉后取出睾丸,置于10%甲醛溶液中固定24 h,常规石腊包埋,切片(4 μm),将切片捞于预先涂有粘片剂的载玻片上,置57℃烤箱烘干30 min。
, http://www.100md.com
二、P53、Bcl-2蛋白表达的检测
P53单克隆抗体和Bcl-2多克隆抗体由美国Santa Cruz Biotechnology公司生产。免疫组化染色的过氧化物酶标记选用链霉卵白素SP试剂盒(北京中山生物技术公司提供),操作步骤按试剂盒说明书进行。阴性对照组以磷酸盐缓冲液(PBS)取代P53和Bcl-2抗体。光镜下观察阳性细胞并计数,每张切片选取5个高倍视野(400×),计数500个细胞求得阳性百分率。
三、统计分析
所有数据以
结 果
P53阳性细胞表现为细胞核呈棕黄色,仅显示细胞轮廓者为阴性细胞。Bcl-2阳性细胞为细胞膜、胞浆被染成棕黄色,仅显示细胞轮廓者为阴性细胞。
, 百拇医药
正常大鼠不同发育阶段其睾丸组织内生精细胞同时表达P53和Bcl-2,但两种蛋白的阳性表达率在同一天龄阶段鼠中不同,在不同天龄阶段鼠也不一致,总的趋势是:P53低表达,Bcl-2高表达,随着天龄增长和性腺发育,P53蛋白表达有下降趋势,而Bcl-2蛋白表达有上升趋势。诊断超声辐照30 min后,各组P53表达呈上升趋势,以出生后30 d组表现最明显(图1);Bcl-2表达呈下降趋势,但随鼠龄的增长到性成熟期,曲细精管内大量精子生成,且精子头Bcl-2表达强阳性(图2),辐照后强阳性细胞有所下降。以上各组的检测结果及比较见表1。
表1 诊断超声对各组大鼠睾丸P53、Bcl-2蛋白表达比较( %,
例数
P53阳性率
, http://www.100md.com Bcl-2阳性率
I组
6
42.18 ±9.63※
70.13±18.84※
II组
6
20.34±4.57
87.66±19.49
III组
6
33.81±8.70※△
, 百拇医药
76.91±13.60※△
IV组
6
18.73±10.24▲
89.96±24.16▲
V组
6
30.04±8.19※△
84.83±21.61※△
VI组
6
, 百拇医药
17.98±6.52▲
90.22±23.36▲
注:※表示与对照组比较,P<0.001;△表示与30 d和45 d实验组比较,P<0.001;▲表示与II组比较,P<0.001讨 论
细胞凋亡过程是受基因的精确调控而实现的,根据相关基因的作用不同分为两类:一类是诱导细胞凋亡的基因,一类是抑制细胞凋亡的基因。Bcl-2为一种重要的凋亡抑制基因,当细胞中Bcl-2蛋白表达升高时,细胞的凋亡过程即受到抑制,细胞生存时间延长[1];而P53是一种重要的凋亡诱导基因,它的高表达可促进细胞凋亡,从而抑制肿瘤的发生,所以又称为抑癌基因。
图1 超声辐照后30 d大鼠生精细胞P53表达率上升达高峰(100×)
, 百拇医药
图2 超声辐照后大鼠生精细胞Bcl-2低表达,60 d(性成熟期)组精子头呈强阳性表达(200×)
诊断超声持续辐照大鼠睾丸组织30 min后可引起各级生精细胞凋亡,免疫组化进一步证实,不同鼠龄组大鼠睾丸组织对超声辐照的敏感性不同,出生后30 d组大鼠P53蛋白的表达率为(20.34±4.57)%,而超声辐照后其表达率明显增高,达(42.18±9.63)%,显著高于出生后45 d组和性成熟组(P<0.001);而Bcl-2蛋白的表达率在正常对照组均呈高表达,以性成熟组阳性表达率最高,达(90.22±23.36)%,尤其于精子头呈强阳性表达,染色为棕褐色。在精子发生过程中,从精原细胞、精母细胞到精子细胞,Bcl-2的表达呈升高趋势。形成精子后,表达率更高,说明其凋亡的作用随鼠龄增长而明显下降。超声辐照后,Bcl-2表达率下降,各实验组均显著低于各对照组(P<0.001),以出生后30 d组下降最明显,达(70.13±18.84)%,说明诊断超声引起睾丸生精细胞凋亡可能是通过P53蛋白的高表达、Bcl-2蛋白低表达而实现的,提示这两种凋亡相关基因参与了超声诱导生精细胞凋亡的调节过程。而睾丸的输精管结扎诱导附睾上皮凋亡是P53独立的[2],Cadmium(Cd)诱导睾丸组织凋亡也是P53非依赖性的[3],其作用机制尚不清楚。但用4Gy的X线辐照后,使正常不表达P53的小鼠精原细胞出现明显的P53阳性表达,而且X线辐照后成年睾丸溶解产物中P53水平增高[4],说明P53在调节生精细胞总数方面起重要作用。
, http://www.100md.com
每个细胞都在不断的监督下维持其基因组的完整性,一个细胞的基因组损伤必须在DNA复制和细胞分裂开始之前进行修复,当基因组损伤无法修复时,受损细胞以一种有条理的方式处置,即程序性细胞死亡或凋亡。原癌基因派生蛋白Bcl-2在细胞自杀机制方面起负性调节作用,是肿瘤抑制蛋白P53的转录靶,P53、Bcl-2的协同作用是控制一个细胞生死的关键[5]。在胚胎发育、妊娠中期胎儿卵母细胞的丢失、成年女性的排卵和成年男性的睾丸退化方面,P53、Bcl-2发挥重要作用。通过观察人类妊娠6~12周P53、Bcl-2的基因产物的定位,发现在不同的细胞类型,各种细胞的表达不同[6],而且在妊娠早期卵原细胞、精原细胞和支持细胞内不存在雌激素受体。注射EDS杀死睾丸间质细胞,从而使雌激素缺失,8 d后出现了Bcl-2的高调节状态,这可能代表剩余的生精细胞的一种生存机制[7]。胎儿胚细胞在有丝分裂阶段受阻后,大量经历程序性细胞死亡,Bcl-2和其相关分子参与了胎儿胚细胞生死调节以及成年男性睾丸精原细胞的寿命调节,精原细胞的细胞死亡在去除受损的生殖细胞或在生殖细胞和它们的支持细胞的比例调节方面是必不可少的[8]。超声辐照后精子头和精子细胞的强阳性率下降,说明有一部分精子细胞和精子头受损,机体自身通过削减Bcl-2抑制凋亡的作用,来促进受损细胞的凋亡,以维持自身平衡和稳定。
, http://www.100md.com
参考文献
1,Reed JC.Bcl-2 and regulation of programmed cell death.J Cell Biol,1994,124:1-6.
2,Turner TT, Riley TA. P53 independent region-specific epithelial apoptosis is induced in the rat epididymis by deprivation of luminal factors. Mol Reprod Dev,1999,53:188-189.
3,Xu G, Zhou G, Jin T, et al.Apoptosis and P53 gene expression in male reproductive tissues of cadmium exposed rats. Biometals, 1999,12:131-139.
, 百拇医药
4,Beumer TL, Roepers-Gajadien HL,Gademan IS, et al. The role of the tumor suppressor P53 in spermatogenesis. Cell Death Differ,1998,5:669-677.
5,Basu A, Haldar S.The relationship between Bcl-2, Bax and P53: consequences for cell cycle progression and cell death. Mol Hum Reprod, 1998,4:1099-1109.
6,Quenby SM, Gazvani MR, Brazeau C, et al. Oncogenes and tumor suppressor genes in first trimester human fetal gonadal development. Mol Hum Reprod, 1999,5:737-741.
, 百拇医药
7,Woolveridge I, de Boer-Brouwer M, Taylor MF, et al. Apoptosis in the spermatogenic epithelium following androgen withdrawal: changes in apoptosis-related genes. Biol Reprod, 1999,60:461-470.
8,Matsui Y. Developmental fates of the mouse germ cell line. Int J Diol,1998,42:1037-1042.
(收稿日期:1999-12-14), 百拇医药