阿仑膦酸钠抑制破骨细胞体外吸收的研究
作者:王晓敏 于世凤 刘忠厚
单位:100081 北京医科大学口腔医学院病理教研室
关键词:阿仑膦酸钠;破骨细胞;骨吸收陷窝
中国骨质疏松杂志990221 摘要 本研究利用体外分离培养的兔破骨细胞,观察第三代双膦酸盐阿仑膦酸钠(alendronate)对骨吸收的抑制作用。将alendronate加入培养液中使其最终浓度为0M,1μM,10μM,100μM。同时观察两组用alendronate盐溶液100μM,50μM浸泡的骨片对破骨细胞吸收功能的影响。用倒置光相差显微镜在不同时间点观察计数骨吸收陷窝并拍照。结果随着培养液内alendronate浓度增高,骨吸收陷窝数减少,面积亦减少。而用alendronate浸泡过的骨片上未见骨吸收陷窝。说明alendronate具有抑制破骨细胞体外骨吸收的作用。
Alendronate inhibits osteoclastic bone resorption in Vitro
, 百拇医药
Wang Xiaomin,Yu Shifeng,Liu Zhonghou
Department of Pathology,School of Stomatology,Beijing Medical University,Beijing 100081,China
Abstract In order to evaluate the inhibitory effect of alendronate on bone resorption in vitro,we used cultures of rabbit osteoclasts to address this issue.Alendronate at various concentrations was added to four groups of media (the final concentration:0M,1μM,10μM,100μM).Before experiment,two groups of bone slices were incubated in alendronate solution of different concentrations (100μM,50μM) in PBS for 48 hours at 4℃.At different time,bone resorption pits were observed and calculated under inverted and contrast microscope.The results showed that the number and area of bone resorptive pits were not found on bone slices that once incubated in alendronate solution.The data demonstrate that alendronate inhibits the activity of osteoclasts in vitro.
, 百拇医药
Key words Alendronate Osteoclasts Bone resorptive pits
双膦酸盐是骨吸收抑制剂。破骨细胞是骨吸收的功能细胞,骨吸收活动是在骨的微小环境内进行的复杂分子生物学反应的过程。破骨细胞通过质膜向细胞外分泌酸,致使骨组织脱矿,脱矿后的残余骨基质,又被破骨细胞分泌的各种水解酶消化,分解破坏[1]。双膦酸盐抑制骨吸收的机制尚不明了,一些研究表明其对骨吸收的影响可能与破骨细胞的代谢,功能,酶活性,蛋白质多糖合成有关[2,3]。为了观察第三代双膦酸盐制剂alendronate对破骨细胞的作用,运用破骨细胞体外分离培养体系,观察药物因子的作用,并探讨其作用机制。
1 材料和方法
1.1 动物:新生日本大耳白兔(购自中国兽药监察所)。
, 百拇医药 1.2 药品及试剂:(1)α-MEM培养基(Sigma,Chemical Co)。(2)alendronate(河北制药集团)。(3)新生牛血清(Gibco Laboratories)。(4)HEPES(购自北方同正公司)。
1.3 方法
(1)破骨细胞的分离:将新生兔断颈处死,无菌条件下取四肢长骨,在D-Hanks平衡盐溶液中去净附着在骨表面的软组织及软骨骺。然后在α MEM全培养液(含15%新生牛血清,青酶素100U/ml,链酶素100μg/ml,25mMHEPES)内,将骨干纵形剖开,轻刮骨的髓腔表面至颜色变白,用尖吸管吸取培养液反复冲洗髓腔面,去掉骨片,保留悬液,待用。
(2)骨磨片的制备:将新鲜牛股骨用金钢砂片及粗细金钢砂石制备成6mm×6mm大小,10μm厚的骨磨片。选48片骨磨片置蒸馏水中,超声清洗三次,每次5分钟。实验前两天取16个经超声清洗的骨磨片,平均分为两组,分别浸泡于浓度为50μM,100μM的双膦酸盐溶液中,放置在4℃冰箱内。分离破骨细胞之前,将超声清洗骨片和双膦酸盐处理骨片分别浸泡于α MEM(含青酶素1000U/ml,链酶素1000μg/ml)培养液内,换液三次,每次20分钟。
, 百拇医药
(3)药物添加:取两个24孔培养板,每孔加1ml α MEM全培养液,1个骨片,0.5ml细胞悬液于5% CO2,37℃条件下进行培养。隔夜,用α MEM培养液冲掉未附着于骨片上的细胞。将骨片分成6组每组8个孔,见表1。
表1 药物添加情况 组别
细胞培养液内加入
BP终浓度(uM)
BP处理骨片(uM)
A
0
0
B
1
, 百拇医药
0
C
10
0
D
100
0
E
0
50
F
0
100
(4)相差显微镜观察及拍照:采用Olympus倒置光相差显微镜,分别于第3天和第5天计数骨片上的骨吸收陷窝数,并拍照记录。利用LEICAQ550IW图像分析系统进行图像分析(A,B,C,D组各10张同样放大倍数照片)
, 百拇医药
(5)统计学分析:各组吸收陷窝数及吸收面积采用SPSS软件的T进行分析。
2 结果
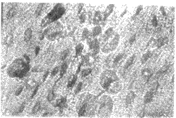
2.1 形态观察:破骨细胞与骨片共同培养16小时,冲洗骨片后,未见骨吸收陷窝,但可见贴壁的破骨细胞轮廓,E,F组骨片上贴壁细胞轮廓少见。培养24小时,A组个别骨片上出现小而圆的吸收陷窝,36小时A组骨片上出现吸收陷窝团呈花瓣样。B组出现散在的小而圆的吸收陷窝,C组偶见小的单个吸收陷窝,其它组未见。随时间延长,A组吸收陷窝数目及吸收面积剧增,B组增加幅度较小,C组稍有增加,D组偶见陷窝。E,F组未见骨吸收陷窝。至第七天以后吸收陷窝数不再增加,陷窝周缘变模糊,E,F组仍未见骨吸收陷窝。(见图1~6)

图1 最早出现的骨吸收陷窝 图2 呈花瓣样的骨吸收陷窝
, 百拇医药
图3 第3天A组骨吸收陷窝
图4 第7天A组骨吸收陷窝和第3天相比陷窝数及面积增加
图5 B组第3天骨吸收陷窝 
图6 B组第7天骨吸收陷窝相对于第3天陷窝数增加但增加幅度小
2.2 功能测定:经统计学分析,用药组与非用药组相比吸收陷窝数和吸收面积有显著差异,并随浓度增加抑制作用增强。表2 第3天,7天各组骨吸收陷窝数、面积(
) 组别
, 百拇医药 骨吸收陷窝数
7天骨吸收陷窝面积
3天
7天
um2 n=10
A
67.75±6.92
523±21.41
4349.66±175
B
26.5±3.64
231.2±13.36
, 百拇医药
1219.13±430.31
C
6.75±1.19
24.75±6.03
314±180.52
D
1.125±0.48
1.75±0.45
12.75±2.57
E
0
0
, http://www.100md.com
0
F
0
0
0
注:用药组和未用药组A组相比,P<0.0001
3 讨论
破骨细胞骨吸收是在骨表面上进行的,所以破骨细胞性骨吸收首先需附着于骨面。不同的细胞外基质对破骨细胞产生不同的刺激信号,破骨细胞的微丝微管将产生不同的排列结构,因而产生不同的生物学行为。破骨细胞膜上有称为整合素(Integrin)的信号传导受体,磷酸化和细胞内钙平衡有关[2],它是一种穿膜糖蛋白,在细胞外侧与一些基质中的附着蛋白结合,在细胞内侧又能与细胞浆内的talin和vinculin结合,从而使细胞骨架的微丝,微管与细胞基质蛋白结合,基质蛋白主要为vitronectin和osteopontin和骨涎蛋白。这些蛋白含有Arg-Gly-Asp(RGD)氨基酸序列[4]。双膦酸盐是无机焦磷酸盐(P-O-P)的同型物,它的主要结构部分为“P-C-P”与焦磷酸盐相似。焦磷酸盐虽然能够抑制骨吸收,但其在体内很快水解,无法对骨吸收产生影响,而双膦酸盐的性质十分稳定,一经体内吸收,迅速进入骨组织吸附于羟磷灰石晶体表面,余经尿液原型排出[5],它对骨吸收发挥作用的机理可能有三方面(1)干扰成熟破骨细胞的功能,这类破骨细胞已经摄取双膦酸盐覆盖的钙化基质。(2)双膦酸盐在骨表面维持足够的浓度梯度以直接影响破骨细胞活化启动的细胞间过程。(3)改变使破骨细胞活化的骨基质性质[6]。
, 百拇医药
本实验应用的alendronate对体外分离培养的破骨细胞具有量的依赖性的抑制作用,随浓度增加而抑制作用增强,表现为骨吸收陷窝数及吸收面积的减少。而用高浓度alendronatePBS液处理的骨片上未见骨吸收陷窝的形成,表现为对骨吸收的强抑制作用。并且倒置光相差显微镜下贴壁破骨细胞轮廓数极少。由此推测,高浓度的双膦酸盐溶液是否对骨片中的骨基质有影响,使破骨细胞上的整合蛋白难以识别骨基质中的RGD蛋白,从而难以附着在骨片上,不能形成骨吸收的微环境而抑制骨吸收。而培养液中加入的双膦酸盐作用可能是抑制破骨细胞集聚于骨面,抑制骨面上的破骨细胞活性,缩短破骨细胞的生命周期即促使其凋亡,改变骨基质和骨矿的性质,使其难以识别骨基质中的RGD蛋白,还是改变了骨基质RGD蛋白构型,使整合蛋白难以识别,还是二者兼而有之,有待于进一步研究。
参考文献
1 于世凤.中国骨质疏松杂志,1997,3:73-74.
, http://www.100md.com 2 Steven L,Teitelbaum,Johon D, et al. Bisphosphonates directly inhibit the bone resorption activity of isolated avian osteoclasts. in vitro.J Clin Invest,1990,85:456-461.
3 Murakami H,Takahashi N.et al. Tiludronate Inhibits protein tyrosine phosphotase activity in osteoclasts Bone,1997,20(5):399-404.
4 Rodan G A.Bone mass homeostasis and bisphosphonate action.Bone,1997,20(1):1-4.
5 陈一新,韩祖斌,丁文玉.二膦酸盐对原发性骨质疏松症的防治.中华骨科杂志,1995,15(5):298.
6 Rodan G A.Fleisch H A. Bisphosphonates:mechanisms of action. J Clin Invest 1996,97(12):2692-2696., 百拇医药
单位:100081 北京医科大学口腔医学院病理教研室
关键词:阿仑膦酸钠;破骨细胞;骨吸收陷窝
中国骨质疏松杂志990221 摘要 本研究利用体外分离培养的兔破骨细胞,观察第三代双膦酸盐阿仑膦酸钠(alendronate)对骨吸收的抑制作用。将alendronate加入培养液中使其最终浓度为0M,1μM,10μM,100μM。同时观察两组用alendronate盐溶液100μM,50μM浸泡的骨片对破骨细胞吸收功能的影响。用倒置光相差显微镜在不同时间点观察计数骨吸收陷窝并拍照。结果随着培养液内alendronate浓度增高,骨吸收陷窝数减少,面积亦减少。而用alendronate浸泡过的骨片上未见骨吸收陷窝。说明alendronate具有抑制破骨细胞体外骨吸收的作用。
Alendronate inhibits osteoclastic bone resorption in Vitro
, 百拇医药
Wang Xiaomin,Yu Shifeng,Liu Zhonghou
Department of Pathology,School of Stomatology,Beijing Medical University,Beijing 100081,China
Abstract In order to evaluate the inhibitory effect of alendronate on bone resorption in vitro,we used cultures of rabbit osteoclasts to address this issue.Alendronate at various concentrations was added to four groups of media (the final concentration:0M,1μM,10μM,100μM).Before experiment,two groups of bone slices were incubated in alendronate solution of different concentrations (100μM,50μM) in PBS for 48 hours at 4℃.At different time,bone resorption pits were observed and calculated under inverted and contrast microscope.The results showed that the number and area of bone resorptive pits were not found on bone slices that once incubated in alendronate solution.The data demonstrate that alendronate inhibits the activity of osteoclasts in vitro.
, 百拇医药
Key words Alendronate Osteoclasts Bone resorptive pits
双膦酸盐是骨吸收抑制剂。破骨细胞是骨吸收的功能细胞,骨吸收活动是在骨的微小环境内进行的复杂分子生物学反应的过程。破骨细胞通过质膜向细胞外分泌酸,致使骨组织脱矿,脱矿后的残余骨基质,又被破骨细胞分泌的各种水解酶消化,分解破坏[1]。双膦酸盐抑制骨吸收的机制尚不明了,一些研究表明其对骨吸收的影响可能与破骨细胞的代谢,功能,酶活性,蛋白质多糖合成有关[2,3]。为了观察第三代双膦酸盐制剂alendronate对破骨细胞的作用,运用破骨细胞体外分离培养体系,观察药物因子的作用,并探讨其作用机制。
1 材料和方法
1.1 动物:新生日本大耳白兔(购自中国兽药监察所)。
, 百拇医药 1.2 药品及试剂:(1)α-MEM培养基(Sigma,Chemical Co)。(2)alendronate(河北制药集团)。(3)新生牛血清(Gibco Laboratories)。(4)HEPES(购自北方同正公司)。
1.3 方法
(1)破骨细胞的分离:将新生兔断颈处死,无菌条件下取四肢长骨,在D-Hanks平衡盐溶液中去净附着在骨表面的软组织及软骨骺。然后在α MEM全培养液(含15%新生牛血清,青酶素100U/ml,链酶素100μg/ml,25mMHEPES)内,将骨干纵形剖开,轻刮骨的髓腔表面至颜色变白,用尖吸管吸取培养液反复冲洗髓腔面,去掉骨片,保留悬液,待用。
(2)骨磨片的制备:将新鲜牛股骨用金钢砂片及粗细金钢砂石制备成6mm×6mm大小,10μm厚的骨磨片。选48片骨磨片置蒸馏水中,超声清洗三次,每次5分钟。实验前两天取16个经超声清洗的骨磨片,平均分为两组,分别浸泡于浓度为50μM,100μM的双膦酸盐溶液中,放置在4℃冰箱内。分离破骨细胞之前,将超声清洗骨片和双膦酸盐处理骨片分别浸泡于α MEM(含青酶素1000U/ml,链酶素1000μg/ml)培养液内,换液三次,每次20分钟。
, 百拇医药
(3)药物添加:取两个24孔培养板,每孔加1ml α MEM全培养液,1个骨片,0.5ml细胞悬液于5% CO2,37℃条件下进行培养。隔夜,用α MEM培养液冲掉未附着于骨片上的细胞。将骨片分成6组每组8个孔,见表1。
表1 药物添加情况 组别
细胞培养液内加入
BP终浓度(uM)
BP处理骨片(uM)
A
0
0
B
1
, 百拇医药
0
C
10
0
D
100
0
E
0
50
F
0
100
(4)相差显微镜观察及拍照:采用Olympus倒置光相差显微镜,分别于第3天和第5天计数骨片上的骨吸收陷窝数,并拍照记录。利用LEICAQ550IW图像分析系统进行图像分析(A,B,C,D组各10张同样放大倍数照片)
, 百拇医药
(5)统计学分析:各组吸收陷窝数及吸收面积采用SPSS软件的T进行分析。
2 结果
2.1 形态观察:破骨细胞与骨片共同培养16小时,冲洗骨片后,未见骨吸收陷窝,但可见贴壁的破骨细胞轮廓,E,F组骨片上贴壁细胞轮廓少见。培养24小时,A组个别骨片上出现小而圆的吸收陷窝,36小时A组骨片上出现吸收陷窝团呈花瓣样。B组出现散在的小而圆的吸收陷窝,C组偶见小的单个吸收陷窝,其它组未见。随时间延长,A组吸收陷窝数目及吸收面积剧增,B组增加幅度较小,C组稍有增加,D组偶见陷窝。E,F组未见骨吸收陷窝。至第七天以后吸收陷窝数不再增加,陷窝周缘变模糊,E,F组仍未见骨吸收陷窝。(见图1~6)
图1 最早出现的骨吸收陷窝 图2 呈花瓣样的骨吸收陷窝
, 百拇医药
图3 第3天A组骨吸收陷窝
图4 第7天A组骨吸收陷窝和第3天相比陷窝数及面积增加
图6 B组第7天骨吸收陷窝相对于第3天陷窝数增加但增加幅度小
2.2 功能测定:经统计学分析,用药组与非用药组相比吸收陷窝数和吸收面积有显著差异,并随浓度增加抑制作用增强。表2 第3天,7天各组骨吸收陷窝数、面积(
, 百拇医药 骨吸收陷窝数
7天骨吸收陷窝面积
3天
7天
um2 n=10
A
67.75±6.92
523±21.41
4349.66±175
B
26.5±3.64
231.2±13.36
, 百拇医药
1219.13±430.31
C
6.75±1.19
24.75±6.03
314±180.52
D
1.125±0.48
1.75±0.45
12.75±2.57
E
0
0
, http://www.100md.com
0
F
0
0
0
注:用药组和未用药组A组相比,P<0.0001
3 讨论
破骨细胞骨吸收是在骨表面上进行的,所以破骨细胞性骨吸收首先需附着于骨面。不同的细胞外基质对破骨细胞产生不同的刺激信号,破骨细胞的微丝微管将产生不同的排列结构,因而产生不同的生物学行为。破骨细胞膜上有称为整合素(Integrin)的信号传导受体,磷酸化和细胞内钙平衡有关[2],它是一种穿膜糖蛋白,在细胞外侧与一些基质中的附着蛋白结合,在细胞内侧又能与细胞浆内的talin和vinculin结合,从而使细胞骨架的微丝,微管与细胞基质蛋白结合,基质蛋白主要为vitronectin和osteopontin和骨涎蛋白。这些蛋白含有Arg-Gly-Asp(RGD)氨基酸序列[4]。双膦酸盐是无机焦磷酸盐(P-O-P)的同型物,它的主要结构部分为“P-C-P”与焦磷酸盐相似。焦磷酸盐虽然能够抑制骨吸收,但其在体内很快水解,无法对骨吸收产生影响,而双膦酸盐的性质十分稳定,一经体内吸收,迅速进入骨组织吸附于羟磷灰石晶体表面,余经尿液原型排出[5],它对骨吸收发挥作用的机理可能有三方面(1)干扰成熟破骨细胞的功能,这类破骨细胞已经摄取双膦酸盐覆盖的钙化基质。(2)双膦酸盐在骨表面维持足够的浓度梯度以直接影响破骨细胞活化启动的细胞间过程。(3)改变使破骨细胞活化的骨基质性质[6]。
, 百拇医药
本实验应用的alendronate对体外分离培养的破骨细胞具有量的依赖性的抑制作用,随浓度增加而抑制作用增强,表现为骨吸收陷窝数及吸收面积的减少。而用高浓度alendronatePBS液处理的骨片上未见骨吸收陷窝的形成,表现为对骨吸收的强抑制作用。并且倒置光相差显微镜下贴壁破骨细胞轮廓数极少。由此推测,高浓度的双膦酸盐溶液是否对骨片中的骨基质有影响,使破骨细胞上的整合蛋白难以识别骨基质中的RGD蛋白,从而难以附着在骨片上,不能形成骨吸收的微环境而抑制骨吸收。而培养液中加入的双膦酸盐作用可能是抑制破骨细胞集聚于骨面,抑制骨面上的破骨细胞活性,缩短破骨细胞的生命周期即促使其凋亡,改变骨基质和骨矿的性质,使其难以识别骨基质中的RGD蛋白,还是改变了骨基质RGD蛋白构型,使整合蛋白难以识别,还是二者兼而有之,有待于进一步研究。
参考文献
1 于世凤.中国骨质疏松杂志,1997,3:73-74.
, http://www.100md.com 2 Steven L,Teitelbaum,Johon D, et al. Bisphosphonates directly inhibit the bone resorption activity of isolated avian osteoclasts. in vitro.J Clin Invest,1990,85:456-461.
3 Murakami H,Takahashi N.et al. Tiludronate Inhibits protein tyrosine phosphotase activity in osteoclasts Bone,1997,20(5):399-404.
4 Rodan G A.Bone mass homeostasis and bisphosphonate action.Bone,1997,20(1):1-4.
5 陈一新,韩祖斌,丁文玉.二膦酸盐对原发性骨质疏松症的防治.中华骨科杂志,1995,15(5):298.
6 Rodan G A.Fleisch H A. Bisphosphonates:mechanisms of action. J Clin Invest 1996,97(12):2692-2696., 百拇医药