激素性股骨头坏死动物模型的建立和评价
作者:魏青 杨杏芬 刘力 张越华 胡斌 陈铁江 张桥 邓丽霞 徐栋梁 陈伟
单位:(魏青、杨杏芬、刘力、张越华、胡斌、陈铁江、张桥、邓丽霞)510089 广州,中山医科大学公共卫生学院毒理学教研组;(徐栋梁)中山医科大学附属一院骨科,(陈伟)放射科
关键词:股骨头坏死;动物模型;甲基强的松龙
中国骨质疏松杂志990208 摘要 本实验采用马血清和甲基强的松龙合用诱导兔股骨头坏死动物模型,行活体股骨头X线照片、股骨头切片光镜、电镜和骨动力学检查。 结果激素造模16周时,X线显示模型动物骨质疏散、骨小梁模糊,股骨头密度减低,光镜、电镜检查呈现股骨头坏死的早期病理改变,计数空骨陷窝率明显增加,股骨骨生长测定值明显降低。提示本实验16周诱导出股骨头坏死动物模型可用于股骨头坏死机制研究及临床或保健品、食品疗效的观察。
激素性股骨头坏死的早期诊断和治疗是影响该疾患预后的主要环节,了解其早期病理改变和骨动力学变化非常关键。本研究参照Matsui[1]方法,采用马血清与激素共用,并通过形态学、代谢动力学等方面检测,证实诱导出了股骨头坏死动物模型,为临床机制研究和研究治疗股骨头坏死手段提供实验研究动物模型,以提高该疾患的治愈率。
, 百拇医药
1 材料和方法
1.1 动物分组:健康成年新西兰兔12只,雌雄各半,体重15~2.0kg,由第一军医大学动物实验中心提供,合格证号:96A29。检疫一周后,随机分为动物模型组和空白对照组,每组6只。
1.2 动物模型建立:首先行耳背静脉注射马血清(上海生工生物工程有限公司批号:36p.6360) 10ml/kg 1次,间隔2周再注射1次。2周后,连续3日行腹腔注射甲基强的松龙(日本进口 批号:5R1579/2)40mg/kg/日,对照组腹腔内注射等量生理盐水。
1.3 检测指标:于最后一次注射激素后16周,两组动物以30mg/kg硫喷妥钠静脉注射,麻醉后将动物固定在操作台上,进行X线照片后,处死动物取材,进行光镜、电镜及代谢动力学检测。
(1)放大X线片:观察股骨头、骨小梁排列。
, 百拇医药
(2)光镜检查:股骨头从冠状面切开,10%中性甲醛固定,硝酸脱钙,乙醇脱水,石蜡包埋切片,切片厚4μm,HE染色,光镜下观察形态学变化,并观察15~20个高倍镜视野内的骨陷窝,计数空缺的骨陷窝数,求出空骨陷窝率。
(3)电镜检查:从股骨头冠状面取下1mm3左右的骨组织2~3块,置于2.5%戊乙醛和2%多聚甲醛混合液中预固定,5%EDTA脱钙,10%锇酸固定,Epon812包埋,制超薄切片,片厚600
,醋酸钠、柠檬酸铅染色,日立H-600型透射电镜观察骨组织内的超微结构。
(4)骨组织代谢动力学检查:于处死前13、3天各肌注盐酸四环素(上海第11制药厂 批号 950312)30mg/kg一次,处死动物后取股骨头制作不脱钙切片:10%甲醛固定,70%、80%、90%酒精、丙酮、二甲苯脱水,标本静置于包埋液(甲基丙烯酸甲酯和甲基丙烯酸乙酯3∶7混合液)中,44℃温箱中固化包埋,切片4~10μm厚,用荧光显微镜观察并测定四环素双标记之间的距离(反映骨生长测定值)。
, 百拇医药
(5)统计学处理:实验数据采用SPSS for win(6.0)进行χ2、t检验等统计学分析。
2 结果
2.1 放大X线片:和对照组相比,模型组骨头骨皮质完整,无塌陷,骨小梁模糊不清,细小状的骨小梁消失,剩粗大纵向的骨小梁,骨小梁间隔增大,股骨头内有散在的低密度区,股骨头圆韧带窝下周边的骨质密度增高。
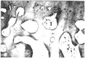
2.2 光镜检查:和对照组相比,模型组骨小梁间距增宽,部分动物骨小梁连续性尚好,但变纤细,部分断裂,空骨陷窝增多,成骨细胞少,血管数量减少,部分血管内有网状纤维充填,骨髓腔内有广泛新出血区,骨髓造血细胞少,代以较多脂肪细胞,见图1,2。表1显示了两组间平均空骨陷窝率的差异。从表可见,模型组的空骨陷窝率明显高于对照组。说明模型组的骨细胞坏死明显。
, http://www.100md.com
图1 正常组软骨下区骨髓及骨小梁形态(40×10)
图2 模型组干骺端的死骨碎片(40×10)
表1 激素性股骨头坏死模型空骨陷窝率和
骨生长测定值的变化 组别
动物数
(只)
平均空骨
陷窝率(%)
骨生长测
定值(mm)
, 百拇医药
对照组
6
6.16
0.0288±0.0074
模型组
6
31.03*
0.0175±0.0065*
注:和对照组比较 *P<0.05
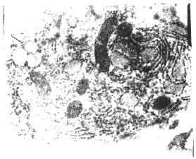
2.3 电镜检查:和对照组相比,模型组表现为成骨细胞稀疏,粗面内织网上多聚核糖体脱粒、解聚,线粒体数量多,肿胀呈圆形,嵴稀而少。非空骨陷窝内骨细胞极少,细胞体积大,胞内有巨大脂滴,细胞核被挤向一侧,核固缩,染色质浓集,有的可见核膜溶解,核碎裂,胞质固缩,周围骨基质胶原纤维排列紊乱,见图3,4。
, 百拇医药
图3 模型组线粒体肿胀自溶,胞核固缩,异染色质浓集,核碎裂,胞膜不完整,细胞固缩性坏死(×6610)
图4 正常成骨细胞,粗面内质网发达、线粒体和核糖体丰富,内质网轻度扩张,腔内充满淡灰色基质(×15000)
2.4:骨组织代谢动力学检查:如表1所示,模型组股骨骨生长测定值明显低于对照组,说明病变骨代偿修复能力差,需及时进行治疗。
3 讨论
本实验建立的股骨头坏死动物模型,较成功地反映出股骨头坏死早期的病理变化:骨小梁间距增宽,部分断裂,空骨陷窝增多,血管数量减少,部分血管内有网状纤维充填,骨髓腔内有广泛新出血区,空骨陷窝率明显增加。电镜检查也显示成骨细胞少,骨细胞极少,细胞体积大,胞内有巨大脂滴,核固缩,有的可见核膜溶解、核碎裂。该动物模型标本属Ficat氏分级的Ⅰ级和Ⅱ级[2],空骨陷窝率未达50%,无骨小梁坏死,表明激素引起的股骨头坏死属于早期病变。目前国内报道的模型侧重于较单一的检测手段,有些只观察了骨小动脉的改变[3],有些仅测定了脂肪代谢的变化[4],偏重于激素性股骨头坏死的机理探讨。而本模型较全面地反映了股骨头坏死早期的病理改变。本实验还首先采用骨动力学检测手段观察到该模型自我代偿修复能力低,国内目前尚未见到报道。该结果表明激素性股骨头坏死不仅应早诊断,而且要早治疗。
, 百拇医药
激素引起的股骨头坏死机制尚不十分清楚。有人认为由激素引起的骨小血管病变造成[5],也有人认为是激素造成脂肪代谢异常,引起骨细胞脂肪变所致[6]。本实验观察到病变骨小血管内有网状纤维充填,数量减少;同时也发现骨细胞内出现大脂肪滴。
本实验建立的激素性股骨头坏死动物模型和检测方法,切实、可靠,该动物模型可作为临床研究和治疗股骨头坏死手段的动物模型,也可用于相关保健品和药物的药效学检测。
作者简介:1987年毕业于华东师范大学生物系,获学士学位。1987~1995年,在江苏省连云港教育学院任教,1996年调入中山医科大学公共卫生学院,从事毒理学动物实验、离体细胞培养、毒理病理及分子毒理学等多方面研究工作。在全国性杂志上发表相关论文9篇。参考文献
1 Matsui M,et al.Experimetal steroid induced osteonecrosis in adult rabbit with hypersensitive vasculitis.Clin Orthop,1992,227(1):61.
, 百拇医药
2 Ficat RP,Arlet J.Ischemia and necrosis of bone.Baltimore:Williams & Wilkins,1980,131-161.
3 李子荣,张念非,岳德波,等.激素性股骨头坏死动物模型的诱导和观察.中华外科杂志,1995,33(8):4855.
4 贺西京.激素性股骨头坏死与骨细胞脂肪变性的实验研究.中华骨科杂志,1996,16(1):44.
5 Atsumi T,Yoshikatsr K.Role of impairment of blood supply of the femoral head in the pathogenesis of idiopathic osteonecrosis.Clin Orthop,1992,227(1):22.
6 Jones JP.Fat embolism and osteonecrosis.Orthop Clin North Am,1985,16(9):595., http://www.100md.com
单位:(魏青、杨杏芬、刘力、张越华、胡斌、陈铁江、张桥、邓丽霞)510089 广州,中山医科大学公共卫生学院毒理学教研组;(徐栋梁)中山医科大学附属一院骨科,(陈伟)放射科
关键词:股骨头坏死;动物模型;甲基强的松龙
中国骨质疏松杂志990208 摘要 本实验采用马血清和甲基强的松龙合用诱导兔股骨头坏死动物模型,行活体股骨头X线照片、股骨头切片光镜、电镜和骨动力学检查。 结果激素造模16周时,X线显示模型动物骨质疏散、骨小梁模糊,股骨头密度减低,光镜、电镜检查呈现股骨头坏死的早期病理改变,计数空骨陷窝率明显增加,股骨骨生长测定值明显降低。提示本实验16周诱导出股骨头坏死动物模型可用于股骨头坏死机制研究及临床或保健品、食品疗效的观察。
激素性股骨头坏死的早期诊断和治疗是影响该疾患预后的主要环节,了解其早期病理改变和骨动力学变化非常关键。本研究参照Matsui[1]方法,采用马血清与激素共用,并通过形态学、代谢动力学等方面检测,证实诱导出了股骨头坏死动物模型,为临床机制研究和研究治疗股骨头坏死手段提供实验研究动物模型,以提高该疾患的治愈率。
, 百拇医药
1 材料和方法
1.1 动物分组:健康成年新西兰兔12只,雌雄各半,体重15~2.0kg,由第一军医大学动物实验中心提供,合格证号:96A29。检疫一周后,随机分为动物模型组和空白对照组,每组6只。
1.2 动物模型建立:首先行耳背静脉注射马血清(上海生工生物工程有限公司批号:36p.6360) 10ml/kg 1次,间隔2周再注射1次。2周后,连续3日行腹腔注射甲基强的松龙(日本进口 批号:5R1579/2)40mg/kg/日,对照组腹腔内注射等量生理盐水。
1.3 检测指标:于最后一次注射激素后16周,两组动物以30mg/kg硫喷妥钠静脉注射,麻醉后将动物固定在操作台上,进行X线照片后,处死动物取材,进行光镜、电镜及代谢动力学检测。
(1)放大X线片:观察股骨头、骨小梁排列。
, 百拇医药
(2)光镜检查:股骨头从冠状面切开,10%中性甲醛固定,硝酸脱钙,乙醇脱水,石蜡包埋切片,切片厚4μm,HE染色,光镜下观察形态学变化,并观察15~20个高倍镜视野内的骨陷窝,计数空缺的骨陷窝数,求出空骨陷窝率。
(3)电镜检查:从股骨头冠状面取下1mm3左右的骨组织2~3块,置于2.5%戊乙醛和2%多聚甲醛混合液中预固定,5%EDTA脱钙,10%锇酸固定,Epon812包埋,制超薄切片,片厚600
(4)骨组织代谢动力学检查:于处死前13、3天各肌注盐酸四环素(上海第11制药厂 批号 950312)30mg/kg一次,处死动物后取股骨头制作不脱钙切片:10%甲醛固定,70%、80%、90%酒精、丙酮、二甲苯脱水,标本静置于包埋液(甲基丙烯酸甲酯和甲基丙烯酸乙酯3∶7混合液)中,44℃温箱中固化包埋,切片4~10μm厚,用荧光显微镜观察并测定四环素双标记之间的距离(反映骨生长测定值)。
, 百拇医药
(5)统计学处理:实验数据采用SPSS for win(6.0)进行χ2、t检验等统计学分析。
2 结果
2.1 放大X线片:和对照组相比,模型组骨头骨皮质完整,无塌陷,骨小梁模糊不清,细小状的骨小梁消失,剩粗大纵向的骨小梁,骨小梁间隔增大,股骨头内有散在的低密度区,股骨头圆韧带窝下周边的骨质密度增高。
2.2 光镜检查:和对照组相比,模型组骨小梁间距增宽,部分动物骨小梁连续性尚好,但变纤细,部分断裂,空骨陷窝增多,成骨细胞少,血管数量减少,部分血管内有网状纤维充填,骨髓腔内有广泛新出血区,骨髓造血细胞少,代以较多脂肪细胞,见图1,2。表1显示了两组间平均空骨陷窝率的差异。从表可见,模型组的空骨陷窝率明显高于对照组。说明模型组的骨细胞坏死明显。
, http://www.100md.com
图1 正常组软骨下区骨髓及骨小梁形态(40×10)
图2 模型组干骺端的死骨碎片(40×10)
表1 激素性股骨头坏死模型空骨陷窝率和
骨生长测定值的变化 组别
动物数
(只)
平均空骨
陷窝率(%)
骨生长测
定值(mm)
, 百拇医药
对照组
6
6.16
0.0288±0.0074
模型组
6
31.03*
0.0175±0.0065*
注:和对照组比较 *P<0.05
2.3 电镜检查:和对照组相比,模型组表现为成骨细胞稀疏,粗面内织网上多聚核糖体脱粒、解聚,线粒体数量多,肿胀呈圆形,嵴稀而少。非空骨陷窝内骨细胞极少,细胞体积大,胞内有巨大脂滴,细胞核被挤向一侧,核固缩,染色质浓集,有的可见核膜溶解,核碎裂,胞质固缩,周围骨基质胶原纤维排列紊乱,见图3,4。
, 百拇医药
图3 模型组线粒体肿胀自溶,胞核固缩,异染色质浓集,核碎裂,胞膜不完整,细胞固缩性坏死(×6610)
图4 正常成骨细胞,粗面内质网发达、线粒体和核糖体丰富,内质网轻度扩张,腔内充满淡灰色基质(×15000)
2.4:骨组织代谢动力学检查:如表1所示,模型组股骨骨生长测定值明显低于对照组,说明病变骨代偿修复能力差,需及时进行治疗。
3 讨论
本实验建立的股骨头坏死动物模型,较成功地反映出股骨头坏死早期的病理变化:骨小梁间距增宽,部分断裂,空骨陷窝增多,血管数量减少,部分血管内有网状纤维充填,骨髓腔内有广泛新出血区,空骨陷窝率明显增加。电镜检查也显示成骨细胞少,骨细胞极少,细胞体积大,胞内有巨大脂滴,核固缩,有的可见核膜溶解、核碎裂。该动物模型标本属Ficat氏分级的Ⅰ级和Ⅱ级[2],空骨陷窝率未达50%,无骨小梁坏死,表明激素引起的股骨头坏死属于早期病变。目前国内报道的模型侧重于较单一的检测手段,有些只观察了骨小动脉的改变[3],有些仅测定了脂肪代谢的变化[4],偏重于激素性股骨头坏死的机理探讨。而本模型较全面地反映了股骨头坏死早期的病理改变。本实验还首先采用骨动力学检测手段观察到该模型自我代偿修复能力低,国内目前尚未见到报道。该结果表明激素性股骨头坏死不仅应早诊断,而且要早治疗。
, 百拇医药
激素引起的股骨头坏死机制尚不十分清楚。有人认为由激素引起的骨小血管病变造成[5],也有人认为是激素造成脂肪代谢异常,引起骨细胞脂肪变所致[6]。本实验观察到病变骨小血管内有网状纤维充填,数量减少;同时也发现骨细胞内出现大脂肪滴。
本实验建立的激素性股骨头坏死动物模型和检测方法,切实、可靠,该动物模型可作为临床研究和治疗股骨头坏死手段的动物模型,也可用于相关保健品和药物的药效学检测。
作者简介:1987年毕业于华东师范大学生物系,获学士学位。1987~1995年,在江苏省连云港教育学院任教,1996年调入中山医科大学公共卫生学院,从事毒理学动物实验、离体细胞培养、毒理病理及分子毒理学等多方面研究工作。在全国性杂志上发表相关论文9篇。参考文献
1 Matsui M,et al.Experimetal steroid induced osteonecrosis in adult rabbit with hypersensitive vasculitis.Clin Orthop,1992,227(1):61.
, 百拇医药
2 Ficat RP,Arlet J.Ischemia and necrosis of bone.Baltimore:Williams & Wilkins,1980,131-161.
3 李子荣,张念非,岳德波,等.激素性股骨头坏死动物模型的诱导和观察.中华外科杂志,1995,33(8):4855.
4 贺西京.激素性股骨头坏死与骨细胞脂肪变性的实验研究.中华骨科杂志,1996,16(1):44.
5 Atsumi T,Yoshikatsr K.Role of impairment of blood supply of the femoral head in the pathogenesis of idiopathic osteonecrosis.Clin Orthop,1992,227(1):22.
6 Jones JP.Fat embolism and osteonecrosis.Orthop Clin North Am,1985,16(9):595., http://www.100md.com