肾上腺髓质素在心血管系统的分布及在心血管功能调节中的作用
作者:魏英杰 朱燕青 曹怡雯*付爱华 张肇康**汤健
单位:北京医科大学心血管基础研究所(北京 100083)
关键词:肾上腺髓质;肌;平滑;血管;免疫组织化学
肾上腺髓质素在心血管系统的分布及在心血管功能 调节中的作用 摘 要 目的:观察肾上腺髓质素(adrenomedullin,AdM)在大鼠心血管系统的分布及缩血管活性肽对血管平滑肌细胞中肾上腺髓质素表达的影响。方法与结果:应用免疫组织化学方法(ABC法)证实,在大鼠的外周组织,尤其是主动脉和心肌等心血管组织以及培养的血管内皮细胞、血管平滑肌细胞和心肌细胞,均含有丰富的免疫活性的肾上腺髓质素。应用半定量反转录-聚合酶链式反应(RT-PCR)分析方法证实,缩血管活性肽-内皮素(ET-1)和血管紧张素Ⅱ(AGT)可明显地降低培养的血管平滑肌细胞中肾上腺髓质素mRNA水平,这一作用可选择性地分别被ET-1的特异性受体阻断剂BQ123和AGT的特异性受体阻断剂Dup753所抑制,提示ET-1/AGT可抑制肾上腺髓质素的表达。应用[3H]-TdR掺入和细胞计数发现,肾上腺髓质素可抑制培养的自发性高血压大鼠(SHR)血管平滑肌细胞的DNA合成和细胞增殖。结论:心血管系统含有丰富的肾上腺髓质素,其表达受ET-1和AGT的调控,它可能作为一种增殖抑制因子而抑制SHR血管平滑肌细胞DNA合成和细胞增殖。
, http://www.100md.com
Distribution of adrenomedullin in cardiovascular system and its effect on cardiovascular function
WEI Ying-Jie,ZHU Yan-Qing,CAO Yi-Wen,FU Ai-Hua,CHANG Zhao-Kang,TANG Jian
Institute of Cardiovascular Research,Beijing Medical University,Beijing(100083)
Abstract AIM:The present study was designed to evaluate the distribution of adrenomedullin(AdM) in the cardiovascular system,and the effect of endothelin and angiotensin Ⅱ on the AdM expression in cultured vascular smooth muscle cells(VSMCs).METHODS and RESULTS:Using immunohistochemistry method(ABC method),we demonstrated that high concentration of immunoreactive AdM was widely distributed in rat peripheral tissures,especially in cardiovascular tissue including artery and heart as well as cultured vascular endothelial cells,VSMCs and cardiomyocyte.By semiquantitative reverse transcription-polymerase chain reaction(RT-PCR) analysis,we found that the levels of AdM mRNA were decreased by endothelin(ET-1) or angiotensin Ⅱ(Ang-Ⅱ) in VSMCs,which could be blocked by ET-1 antagonist BQ123 and Ang-Ⅱ antagonist Dup753,respectively.It suggested that ET-1/Ang-Ⅱ may inhibit the expression of AdM mRNA.With[3H]-TdR incorporation and cell count,we found that AdM could inhibit DNA synthesis and the proliferation of VSMCs from spontanously hypertensive rats(SHR).CONCLUSION:Plenty of AdM was widely distributed in cardiovascular system,and the expression of AdM mRNA is regulated by ET-1 and AGT.Besides,AdM may act as an inhibitor on DNA synthesis and cell proliferation of SHR VSMCs.
, 百拇医药
MeSH Adrenal medulla;Muscle,smooth,vascular; Immunohistochemistry
肾上腺髓质素(adrenomedullin,AdM)是1993年发现的一种由52个氨基酸组成的新型的血管活性肽[1]。因其最初是从肾上腺髓质中分离出来的,而且在肾上腺髓质中含量丰富,因此被命名为“肾上腺髓质素”。编码人、大鼠和猪AdM前体的cDNA已经克隆出来[2],它们所编码的AdM在不同种属之间具有高度的同源性。静脉注射AdM具有舒张血管和持续强烈的降低血压作用[1,2]。侧脑室注射AdM可使血压升高和心率加快[3]。AdM在体内分布广泛。应用放射免疫和Northern blot分子杂交方法证明,血管内皮细胞,肾上腺髓质,心脏,肺,肾,十二指肠和颌下腺等外周组织均含有免疫活性的AdM及其mRNA[1,2]。应用放射免疫,免疫组织化学和分子生物学RT-PCR方法证明,在中枢神经系统中也有免疫活性的AdM及其mRNA的广泛分布[4,5]。另外,在血液中也含有丰富的AdM[1]。因此,AdM可能作为一种心血管局部激素,神经激素和循环激素参与心血管功能的调节。本研究进一步应用免疫组织化学方法证明,在大鼠的外周组织,尤其是心血管系统含有丰富的AdM;在此基础上,应用半定量RT-PCR方法观察了缩血管活性肽ET-1和AGT对血管平滑肌细胞AdM mRNA表达的影响。另外,应用[3H]-TdR掺入和细胞计数观察了AdM对SHR血管平滑肌细胞增殖的影响,以探讨它在SHR血管平滑肌细胞增殖中的意义。
, 百拇医药
材料与方法
一、免疫组织化学染色:
兔抗大鼠AdM多克隆抗体由美国Phoenix公司提供。免疫组织化学染色试剂盒购自北京华美生物工程公司。
本实验选用的动物为Wistar大鼠,体重250 g,断颈处死后立即取主动脉,心,肝,肾和肾上腺,置于4%多聚甲醛固定液中。固定12 h后,浸蜡包埋,切成10 μm厚的石蜡切片,经透明、脱水后进行染色。免疫染色程序参考Hsu等人所建立ABC免疫组织化学染色方法[6]。第一抗体的稀释度为1∶600。阴性对照片省去一抗。
本实验选用培养的血管平滑肌细胞,内皮细胞和心肌细胞,使细胞爬于盖玻片上,经透明,脱水后进行免疫染色,方法同上。
二、细胞培养:
, 百拇医药
取6~8周龄的雄性SHR和WKY大鼠和新生小牛的胸主动脉段,分别培养血管平滑肌细胞和内皮细胞。本实验选用5~8代细胞进行实验。取新生3 d的Wistar大鼠乳鼠的心脏,进行心肌细胞原代培养。本实验选用1~3代细胞进行实验。
三、半定量RT-PCR分析:
从培养的大鼠血管平滑肌细胞提取总RNA。采用紫外吸收法进行RNA定量,各组RNA样品的OD260nm/OD280nm吸光度比值均在1.8~2.0之间。将2μg的总RNA反转录成为相应的cDNA。
参照大鼠的AdM前体cDNA核苷酸序列合成正义和反义寡聚核苷酸引物。大鼠AdM前体的正义和反义引物分别为5′-T CGC TAC AGA ATG AAG CTG G-3′(-10~+10)和5′-AT ACT CGC CCG ACT GTT CAA+3′(+573~+592),其扩增产物为603 bp。以GAPDH mRNA水平作为内对照,其正义和反义引物分别为5′-TCC CTC AAG ATT GTC CAG CAA-3′和5′-AGA TCC ACA ACG GAT ACA TT-3′),其扩增产物为309bp。半定量PCR参照Martin等人建立的方法[7]。PCR反应液中加入18.5×104Bq[α-32P]dCTP。PCR的条件为:94℃变性1 min,56℃退火1.5 min,72℃延伸2.5 min,扩增30个循环。取15 μLPCR产物,在含有溴化乙锭的1.5%的琼脂糖凝胶上进行电泳。在紫外灯下将相应的PCR产物切下,烤干后放入闪烁液中过夜,然后进行β计数。以AdM cDNA的β计数值与内对照GAPDH cDNA的β计数值之比作图,比较各组之间AdM mRNA表达水平的差异。
, 百拇医药
四、[3H]-胸腺嘧啶核苷(TdR)掺入实验:
将贴壁生长的细胞用胰蛋白酶消化制成细胞悬液,用含10%胎牛血清的RPMI1640培养液接种于24孔板中(5×104个/孔)。24 h后换无血清RPMI1640培养液以使细胞生长同步化,继续卵育24 h后分别加入不同的处理因素,16 h后加入[3H]-胸腺嘧啶核苷([3H]-TdR,3.7×104Bq*gL-1*mL-1,掺入8 h后终止反应,经微孔膜(Φ:0.45 μm)收集细胞并用10%AcCl3破碎细胞膜,膜烘干后置于闪烁瓶中,每瓶中加入8 mL闪烁液(PPO/POPOP/二甲苯),静置过夜后在液体闪烁计数器上进行放射强度检测。
结果
, 百拇医药
一、肾上腺髓质素在外周组织和心血管细胞的分布:





, 百拇医药
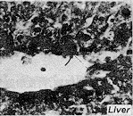
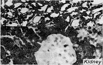
Fig 1 Immunohistochemical staining for adrenomedullin (AdM) in the peripheral tissues.Arrows point at positive immunostaining.Original magnification×400
图1 外周组织中肾上腺髓质素的免疫组织化学染色
应用免疫组织化学方法发现,在大鼠的主动脉,心脏,肝脏,肾脏和肾上腺髓质中均含有AdM的免疫阳性颗粒(图1)。在主动脉的内皮层和平滑肌层均有AdM免疫阳性颗粒分布;在心脏,AdM免疫阳性颗粒主要分布于心肌细胞;在肝脏,AdM免疫阳性颗粒分布于肝窦周围;在肾脏,AdM免疫阳性颗粒分布于近曲小管和远曲小管上皮细胞;在肾上腺,AdM免疫阳性颗粒分布于髓质部。因肾上腺髓质中的AdM含量丰富,因此我们选用肾上腺髓质,通过省去第一抗体的方法作为阴性对照片。结果显示,作为阴性对照片的肾上腺髓质中不含AdM免疫阳性颗粒。另外,我们还观察了肾上腺髓质素在离体培养的心血管细胞的分布,结果显示,在培养的血管内皮细胞,平滑肌细胞和心肌细胞均有AdM免疫阳性颗粒,而其相应的阴性对照片(省去一抗)不含有AdM免疫阳性颗粒(图2)。





, 百拇医药
Fig 2 Immunohistochemical staining for adrenomedullin (AdM) in the cultured cardiovascular cells.Arrows point at positive immunostaining.Original magnification×400
图2 培养的心血管细胞中肾上腺髓质素的免疫组织化学染色
二、缩血管活性肽对血管平滑肌细胞中AdM mRNA表达的影响:
应用半定量RT-PCR分析发现,在血管平滑肌细胞培养液中加入10-7mol/L的内皮素(ET-1)可抑制AdM mRNA的表达,应用ET-1的特异性受体阻断剂BQ123(10-6 mol/L)可以抑制这一效应。结果如图3所示。在血管平滑肌细胞培养液中加入10-7mol/L的血管紧张素Ⅱ(AGT)也可抑制AdM mRNA的表达,应用AGT的特异性受体阻断剂Dup753(10-6mol/L)也可抑制这一效应。结果如图4所示。
, http://www.100md.com
三、AdM对SHR血管平滑肌细胞增殖的抑制作用:
在SHR大鼠血管平滑肌细胞无血清培养液中加入10-6mol/L的AdM,48 h后分别进行细胞计数和[3H]-TdR掺入量的测定。经3次重复实验发现,加入AdM后48 h,SHR大鼠血管平滑肌细胞数目(6.2±0.3)×104/well明显低于对照组(10.7±0.7)×104/well,SHR大鼠血管平滑肌细胞的DNA合成(1343±195)counts*min-1也受到明显的抑制(1037±98)counts.min-1。t检验表明,AdM抑制平滑肌数目的增加和DNA合成的作用与对照组相比均具有显著差异(P<0.05)。
讨论
, http://www.100md.com
有关AdM在外周组织的分布,都是应用放射免疫和Northern blot杂交的方法证明的。我们首次应用免疫组织化学的方法发现,不仅在大鼠的肾上腺髓质中存在AdM的免疫阳性颗粒,在血管,心脏,肝脏和肾小管也都有AdM免疫阳性颗粒存在,特别是在培养的血管内皮细胞,平滑肌细胞和心肌细胞,也有AdM免疫阳性颗粒分布。因此,我们和国外实验室的结果均提示,AdM不仅是肾上腺髓质和和血管内皮细胞合成分泌的一种循环激素,它也是由血管内皮细胞,平滑肌细胞和心肌细胞分泌的一种局部激素,它可能以自分泌,旁分泌和胞内分泌的方式发挥其调节心血管功能的作用。

, 百拇医药 Fig 3 Effect of ET-1 on the levels of AdM mRNA in VSMCs by RT-PCR.**P<0.01 vs control,## P<0.01,vs ET-1(
±S
,n=5)
图3 内皮素对血管平滑肌细胞中肾上腺髓质素mRNA水平的影响
有关AdM的基因表达调控目前报告还不多。有文献表明,在培养的大鼠血管内皮细胞和平滑肌细胞,地塞米松,氢化考的松和T3都可促进AdM mRNA表达[8]。IL-1α,IL-1β,TNF-α和TNF-β以及细菌脂多糖(LPS)也可明显促进血管平滑肌细胞AdM mRNA的表达[9]。本工作在培养的血管平滑肌细胞中加入ET-1和AGT,发现可使AdM mRNA水平降低,这一作用可分别被ET-1的特异性受体阻断剂BQ123和AGT的特异性受体阻断剂Dup753所抑制。这说明AdM mRNA水平受缩血管活性肽ET-1和AGT的调控。

, 百拇医药
Fig 4 Effect of AGT on the levels of AdM mRNA in VSMCs by RT-PCR.**P<0.01 vs control,##P<0.01,vs ET-1 (
±S
,n=5)
图4 血管紧张素Ⅱ对血管平滑肌细胞中肾上腺髓质素mRNA水平的影响
我们以前的研究发现,AdM对正常大鼠血管平滑肌细胞增殖无明显影响,但可抑制ET所致的血管平滑肌细胞的增殖,其作用是通过降低血管平滑肌细胞内丝裂素活化蛋白激酶(MAPK)的活性实现的[10]。本研究发现,AdM可抑制自发性高血压大鼠(SHR)血管平滑肌细胞的增殖,因此我们认为,AdM可能在抑制血管平滑肌细胞的过度增殖时发挥作用,它可能是一种血管平滑肌细胞过度增殖的抑制因子。
, 百拇医药
*黑龙江省武警总队医院
**Phoenix Pharmaceuticals Inc.,2462 Wyandotte Street,Mountain View,California 94043,U.S.A.
参考文献
1 Kitamura K,Kangawa K,Kawamoto M,et al.Adrenomedullin:A novel hypotensive peptide isolated from human pheochromocytoma.Biochem Biophys Res Commun,1993,192:553.
2 Sakata J,Shiimokubo T,Kitamura K,et al.Molecular cloning and the biology activities of rat AdM,a hypotensive peptide.Biochem Biophys Res Commun,1993,195:921.
, http://www.100md.com
3 Wei YJ,Tian Q,Tang J,et al.Hemodynamic effcts of centrally administered adrenomedullin[13-52] in anesthetized rats.Biol Signals,1995,4:338.
4 Wei YJ,Li QH,Song LW,et al.The central distribution of adrenomedullin and its effects on blood pressure and heart rate in rats.Chi Med Sci J,1996,11:1.
5 Satoh F,Takahashi K,Murakami O,et al.AdM in human brain,adrenal glands and tumour tissues of pheochromocytoma,ganglioneuroblastoma and neuroblastoma.J Clin Endocrinol Metab,1995,80:1750.
, 百拇医药
6 Hsu SM,Raine L,Fanger H.Use of avidin-biotin-peroxidase complex (ABC) in immunoperoxidase.J Histochem Cytochem,1981,29:577.
7 Martin U,Michael B,John SE,et al.Altered expression of β-adrenergic receptor kinase and β-adrenergic receptors in the failing human heart.Circulation,1993,87:454.
8 Minamino N,Shoji H,Sugo S,et al.Adrenocortical steroids,thyroid hormones and retinoic acid augment the production of adrenomedullin in vascular smooth musecle cells.Biochem Biophys Res Commun,1995,211:686.
9 Sugo S,Minamino N,Shoji H,et al.Interleukin-1,TNF and LPS additively stimulate production of adrenomedullin in vascular smooth muscle cells.Biochem Biophys Res Commun,1995,207:25.
10 李田昌,田青,赵东,等.肾上腺髓质素抑制内皮素的促血管平滑肌细胞增殖的作用.高血压杂志,1996,4(3):171.
1997年元月6日收稿,1997年6月23日修回, 百拇医药
单位:北京医科大学心血管基础研究所(北京 100083)
关键词:肾上腺髓质;肌;平滑;血管;免疫组织化学
肾上腺髓质素在心血管系统的分布及在心血管功能 调节中的作用 摘 要 目的:观察肾上腺髓质素(adrenomedullin,AdM)在大鼠心血管系统的分布及缩血管活性肽对血管平滑肌细胞中肾上腺髓质素表达的影响。方法与结果:应用免疫组织化学方法(ABC法)证实,在大鼠的外周组织,尤其是主动脉和心肌等心血管组织以及培养的血管内皮细胞、血管平滑肌细胞和心肌细胞,均含有丰富的免疫活性的肾上腺髓质素。应用半定量反转录-聚合酶链式反应(RT-PCR)分析方法证实,缩血管活性肽-内皮素(ET-1)和血管紧张素Ⅱ(AGT)可明显地降低培养的血管平滑肌细胞中肾上腺髓质素mRNA水平,这一作用可选择性地分别被ET-1的特异性受体阻断剂BQ123和AGT的特异性受体阻断剂Dup753所抑制,提示ET-1/AGT可抑制肾上腺髓质素的表达。应用[3H]-TdR掺入和细胞计数发现,肾上腺髓质素可抑制培养的自发性高血压大鼠(SHR)血管平滑肌细胞的DNA合成和细胞增殖。结论:心血管系统含有丰富的肾上腺髓质素,其表达受ET-1和AGT的调控,它可能作为一种增殖抑制因子而抑制SHR血管平滑肌细胞DNA合成和细胞增殖。
, http://www.100md.com
Distribution of adrenomedullin in cardiovascular system and its effect on cardiovascular function
WEI Ying-Jie,ZHU Yan-Qing,CAO Yi-Wen,FU Ai-Hua,CHANG Zhao-Kang,TANG Jian
Institute of Cardiovascular Research,Beijing Medical University,Beijing(100083)
Abstract AIM:The present study was designed to evaluate the distribution of adrenomedullin(AdM) in the cardiovascular system,and the effect of endothelin and angiotensin Ⅱ on the AdM expression in cultured vascular smooth muscle cells(VSMCs).METHODS and RESULTS:Using immunohistochemistry method(ABC method),we demonstrated that high concentration of immunoreactive AdM was widely distributed in rat peripheral tissures,especially in cardiovascular tissue including artery and heart as well as cultured vascular endothelial cells,VSMCs and cardiomyocyte.By semiquantitative reverse transcription-polymerase chain reaction(RT-PCR) analysis,we found that the levels of AdM mRNA were decreased by endothelin(ET-1) or angiotensin Ⅱ(Ang-Ⅱ) in VSMCs,which could be blocked by ET-1 antagonist BQ123 and Ang-Ⅱ antagonist Dup753,respectively.It suggested that ET-1/Ang-Ⅱ may inhibit the expression of AdM mRNA.With[3H]-TdR incorporation and cell count,we found that AdM could inhibit DNA synthesis and the proliferation of VSMCs from spontanously hypertensive rats(SHR).CONCLUSION:Plenty of AdM was widely distributed in cardiovascular system,and the expression of AdM mRNA is regulated by ET-1 and AGT.Besides,AdM may act as an inhibitor on DNA synthesis and cell proliferation of SHR VSMCs.
, 百拇医药
MeSH Adrenal medulla;Muscle,smooth,vascular; Immunohistochemistry
肾上腺髓质素(adrenomedullin,AdM)是1993年发现的一种由52个氨基酸组成的新型的血管活性肽[1]。因其最初是从肾上腺髓质中分离出来的,而且在肾上腺髓质中含量丰富,因此被命名为“肾上腺髓质素”。编码人、大鼠和猪AdM前体的cDNA已经克隆出来[2],它们所编码的AdM在不同种属之间具有高度的同源性。静脉注射AdM具有舒张血管和持续强烈的降低血压作用[1,2]。侧脑室注射AdM可使血压升高和心率加快[3]。AdM在体内分布广泛。应用放射免疫和Northern blot分子杂交方法证明,血管内皮细胞,肾上腺髓质,心脏,肺,肾,十二指肠和颌下腺等外周组织均含有免疫活性的AdM及其mRNA[1,2]。应用放射免疫,免疫组织化学和分子生物学RT-PCR方法证明,在中枢神经系统中也有免疫活性的AdM及其mRNA的广泛分布[4,5]。另外,在血液中也含有丰富的AdM[1]。因此,AdM可能作为一种心血管局部激素,神经激素和循环激素参与心血管功能的调节。本研究进一步应用免疫组织化学方法证明,在大鼠的外周组织,尤其是心血管系统含有丰富的AdM;在此基础上,应用半定量RT-PCR方法观察了缩血管活性肽ET-1和AGT对血管平滑肌细胞AdM mRNA表达的影响。另外,应用[3H]-TdR掺入和细胞计数观察了AdM对SHR血管平滑肌细胞增殖的影响,以探讨它在SHR血管平滑肌细胞增殖中的意义。
, 百拇医药
材料与方法
一、免疫组织化学染色:
兔抗大鼠AdM多克隆抗体由美国Phoenix公司提供。免疫组织化学染色试剂盒购自北京华美生物工程公司。
本实验选用的动物为Wistar大鼠,体重250 g,断颈处死后立即取主动脉,心,肝,肾和肾上腺,置于4%多聚甲醛固定液中。固定12 h后,浸蜡包埋,切成10 μm厚的石蜡切片,经透明、脱水后进行染色。免疫染色程序参考Hsu等人所建立ABC免疫组织化学染色方法[6]。第一抗体的稀释度为1∶600。阴性对照片省去一抗。
本实验选用培养的血管平滑肌细胞,内皮细胞和心肌细胞,使细胞爬于盖玻片上,经透明,脱水后进行免疫染色,方法同上。
二、细胞培养:
, 百拇医药
取6~8周龄的雄性SHR和WKY大鼠和新生小牛的胸主动脉段,分别培养血管平滑肌细胞和内皮细胞。本实验选用5~8代细胞进行实验。取新生3 d的Wistar大鼠乳鼠的心脏,进行心肌细胞原代培养。本实验选用1~3代细胞进行实验。
三、半定量RT-PCR分析:
从培养的大鼠血管平滑肌细胞提取总RNA。采用紫外吸收法进行RNA定量,各组RNA样品的OD260nm/OD280nm吸光度比值均在1.8~2.0之间。将2μg的总RNA反转录成为相应的cDNA。
参照大鼠的AdM前体cDNA核苷酸序列合成正义和反义寡聚核苷酸引物。大鼠AdM前体的正义和反义引物分别为5′-T CGC TAC AGA ATG AAG CTG G-3′(-10~+10)和5′-AT ACT CGC CCG ACT GTT CAA+3′(+573~+592),其扩增产物为603 bp。以GAPDH mRNA水平作为内对照,其正义和反义引物分别为5′-TCC CTC AAG ATT GTC CAG CAA-3′和5′-AGA TCC ACA ACG GAT ACA TT-3′),其扩增产物为309bp。半定量PCR参照Martin等人建立的方法[7]。PCR反应液中加入18.5×104Bq[α-32P]dCTP。PCR的条件为:94℃变性1 min,56℃退火1.5 min,72℃延伸2.5 min,扩增30个循环。取15 μLPCR产物,在含有溴化乙锭的1.5%的琼脂糖凝胶上进行电泳。在紫外灯下将相应的PCR产物切下,烤干后放入闪烁液中过夜,然后进行β计数。以AdM cDNA的β计数值与内对照GAPDH cDNA的β计数值之比作图,比较各组之间AdM mRNA表达水平的差异。
, 百拇医药
四、[3H]-胸腺嘧啶核苷(TdR)掺入实验:
将贴壁生长的细胞用胰蛋白酶消化制成细胞悬液,用含10%胎牛血清的RPMI1640培养液接种于24孔板中(5×104个/孔)。24 h后换无血清RPMI1640培养液以使细胞生长同步化,继续卵育24 h后分别加入不同的处理因素,16 h后加入[3H]-胸腺嘧啶核苷([3H]-TdR,3.7×104Bq*gL-1*mL-1,掺入8 h后终止反应,经微孔膜(Φ:0.45 μm)收集细胞并用10%AcCl3破碎细胞膜,膜烘干后置于闪烁瓶中,每瓶中加入8 mL闪烁液(PPO/POPOP/二甲苯),静置过夜后在液体闪烁计数器上进行放射强度检测。
结果
, 百拇医药
一、肾上腺髓质素在外周组织和心血管细胞的分布:
, 百拇医药
Fig 1 Immunohistochemical staining for adrenomedullin (AdM) in the peripheral tissues.Arrows point at positive immunostaining.Original magnification×400
图1 外周组织中肾上腺髓质素的免疫组织化学染色
应用免疫组织化学方法发现,在大鼠的主动脉,心脏,肝脏,肾脏和肾上腺髓质中均含有AdM的免疫阳性颗粒(图1)。在主动脉的内皮层和平滑肌层均有AdM免疫阳性颗粒分布;在心脏,AdM免疫阳性颗粒主要分布于心肌细胞;在肝脏,AdM免疫阳性颗粒分布于肝窦周围;在肾脏,AdM免疫阳性颗粒分布于近曲小管和远曲小管上皮细胞;在肾上腺,AdM免疫阳性颗粒分布于髓质部。因肾上腺髓质中的AdM含量丰富,因此我们选用肾上腺髓质,通过省去第一抗体的方法作为阴性对照片。结果显示,作为阴性对照片的肾上腺髓质中不含AdM免疫阳性颗粒。另外,我们还观察了肾上腺髓质素在离体培养的心血管细胞的分布,结果显示,在培养的血管内皮细胞,平滑肌细胞和心肌细胞均有AdM免疫阳性颗粒,而其相应的阴性对照片(省去一抗)不含有AdM免疫阳性颗粒(图2)。
, 百拇医药
Fig 2 Immunohistochemical staining for adrenomedullin (AdM) in the cultured cardiovascular cells.Arrows point at positive immunostaining.Original magnification×400
图2 培养的心血管细胞中肾上腺髓质素的免疫组织化学染色
二、缩血管活性肽对血管平滑肌细胞中AdM mRNA表达的影响:
应用半定量RT-PCR分析发现,在血管平滑肌细胞培养液中加入10-7mol/L的内皮素(ET-1)可抑制AdM mRNA的表达,应用ET-1的特异性受体阻断剂BQ123(10-6 mol/L)可以抑制这一效应。结果如图3所示。在血管平滑肌细胞培养液中加入10-7mol/L的血管紧张素Ⅱ(AGT)也可抑制AdM mRNA的表达,应用AGT的特异性受体阻断剂Dup753(10-6mol/L)也可抑制这一效应。结果如图4所示。
, http://www.100md.com
三、AdM对SHR血管平滑肌细胞增殖的抑制作用:
在SHR大鼠血管平滑肌细胞无血清培养液中加入10-6mol/L的AdM,48 h后分别进行细胞计数和[3H]-TdR掺入量的测定。经3次重复实验发现,加入AdM后48 h,SHR大鼠血管平滑肌细胞数目(6.2±0.3)×104/well明显低于对照组(10.7±0.7)×104/well,SHR大鼠血管平滑肌细胞的DNA合成(1343±195)counts*min-1也受到明显的抑制(1037±98)counts.min-1。t检验表明,AdM抑制平滑肌数目的增加和DNA合成的作用与对照组相比均具有显著差异(P<0.05)。
讨论
, http://www.100md.com
有关AdM在外周组织的分布,都是应用放射免疫和Northern blot杂交的方法证明的。我们首次应用免疫组织化学的方法发现,不仅在大鼠的肾上腺髓质中存在AdM的免疫阳性颗粒,在血管,心脏,肝脏和肾小管也都有AdM免疫阳性颗粒存在,特别是在培养的血管内皮细胞,平滑肌细胞和心肌细胞,也有AdM免疫阳性颗粒分布。因此,我们和国外实验室的结果均提示,AdM不仅是肾上腺髓质和和血管内皮细胞合成分泌的一种循环激素,它也是由血管内皮细胞,平滑肌细胞和心肌细胞分泌的一种局部激素,它可能以自分泌,旁分泌和胞内分泌的方式发挥其调节心血管功能的作用。
, 百拇医药 Fig 3 Effect of ET-1 on the levels of AdM mRNA in VSMCs by RT-PCR.**P<0.01 vs control,## P<0.01,vs ET-1(
图3 内皮素对血管平滑肌细胞中肾上腺髓质素mRNA水平的影响
有关AdM的基因表达调控目前报告还不多。有文献表明,在培养的大鼠血管内皮细胞和平滑肌细胞,地塞米松,氢化考的松和T3都可促进AdM mRNA表达[8]。IL-1α,IL-1β,TNF-α和TNF-β以及细菌脂多糖(LPS)也可明显促进血管平滑肌细胞AdM mRNA的表达[9]。本工作在培养的血管平滑肌细胞中加入ET-1和AGT,发现可使AdM mRNA水平降低,这一作用可分别被ET-1的特异性受体阻断剂BQ123和AGT的特异性受体阻断剂Dup753所抑制。这说明AdM mRNA水平受缩血管活性肽ET-1和AGT的调控。
, 百拇医药
Fig 4 Effect of AGT on the levels of AdM mRNA in VSMCs by RT-PCR.**P<0.01 vs control,##P<0.01,vs ET-1 (
图4 血管紧张素Ⅱ对血管平滑肌细胞中肾上腺髓质素mRNA水平的影响
我们以前的研究发现,AdM对正常大鼠血管平滑肌细胞增殖无明显影响,但可抑制ET所致的血管平滑肌细胞的增殖,其作用是通过降低血管平滑肌细胞内丝裂素活化蛋白激酶(MAPK)的活性实现的[10]。本研究发现,AdM可抑制自发性高血压大鼠(SHR)血管平滑肌细胞的增殖,因此我们认为,AdM可能在抑制血管平滑肌细胞的过度增殖时发挥作用,它可能是一种血管平滑肌细胞过度增殖的抑制因子。
, 百拇医药
*黑龙江省武警总队医院
**Phoenix Pharmaceuticals Inc.,2462 Wyandotte Street,Mountain View,California 94043,U.S.A.
参考文献
1 Kitamura K,Kangawa K,Kawamoto M,et al.Adrenomedullin:A novel hypotensive peptide isolated from human pheochromocytoma.Biochem Biophys Res Commun,1993,192:553.
2 Sakata J,Shiimokubo T,Kitamura K,et al.Molecular cloning and the biology activities of rat AdM,a hypotensive peptide.Biochem Biophys Res Commun,1993,195:921.
, http://www.100md.com
3 Wei YJ,Tian Q,Tang J,et al.Hemodynamic effcts of centrally administered adrenomedullin[13-52] in anesthetized rats.Biol Signals,1995,4:338.
4 Wei YJ,Li QH,Song LW,et al.The central distribution of adrenomedullin and its effects on blood pressure and heart rate in rats.Chi Med Sci J,1996,11:1.
5 Satoh F,Takahashi K,Murakami O,et al.AdM in human brain,adrenal glands and tumour tissues of pheochromocytoma,ganglioneuroblastoma and neuroblastoma.J Clin Endocrinol Metab,1995,80:1750.
, 百拇医药
6 Hsu SM,Raine L,Fanger H.Use of avidin-biotin-peroxidase complex (ABC) in immunoperoxidase.J Histochem Cytochem,1981,29:577.
7 Martin U,Michael B,John SE,et al.Altered expression of β-adrenergic receptor kinase and β-adrenergic receptors in the failing human heart.Circulation,1993,87:454.
8 Minamino N,Shoji H,Sugo S,et al.Adrenocortical steroids,thyroid hormones and retinoic acid augment the production of adrenomedullin in vascular smooth musecle cells.Biochem Biophys Res Commun,1995,211:686.
9 Sugo S,Minamino N,Shoji H,et al.Interleukin-1,TNF and LPS additively stimulate production of adrenomedullin in vascular smooth muscle cells.Biochem Biophys Res Commun,1995,207:25.
10 李田昌,田青,赵东,等.肾上腺髓质素抑制内皮素的促血管平滑肌细胞增殖的作用.高血压杂志,1996,4(3):171.
1997年元月6日收稿,1997年6月23日修回, 百拇医药