原癌基因c-myc、增殖细胞核抗原(PCNA)在哮喘发病中作用的实验观察*
作者:李焕章 高培松 戚好文
单位:第四军医大学西京医院呼吸内科(西安 710032)
关键词:哮喘;基因;myc;抗原;基因表达
中国病理生理杂志991017 摘要 目的:观察原癌基因c-myc、增殖细胞核抗原(PCNA)在正常和哮喘豚鼠气道肺组织中的表达与哮喘发病的关系。方法:应用Dot和Northern分子杂交和免疫组化技术。结果:c-myc mRNA及PCNA mRNA在正常豚鼠气道及肺组织可见低度表达。豚鼠哮喘发作后c-myc及PCNA mRNA增高,30 min达高峰分别为正常的3.5、1.4倍(P<0.05),免疫组化显示c-myc与PCNA蛋白主要分布在气道上皮细胞,平滑肌细胞,其分布及密度无显著差别。结论:c-myc及PCNA基因表达增高在哮喘病理过程中可能起重要作用。
The effect of c-myc and proliferating cell nuclear antigen
, 百拇医药
in the attack of asthmatic guinea pigs
LI Huan-Zhang,GAO Pei-Song, QI Hao-Wen
Department of Respiratory Disease, Xijing Hospital, The 4th Military Medical University, Xian (710032)
Abstract AIM: To investigate the effect of c-myc and proliferating cell nuclear antigen (PCNA) expression in the airway and lung tissue of asthmatic guinea pigs.METHODS:The authors examined the expression of proto-oncogene c-myc and PCNA mRNA in the airway and lung tissue of asthmatic guinea pigs by using Dot-blot, Northern-blot and immunohistochemical techniques.RESULTS:There was a baseline expression of c-myc in the controls, whereas the expression of c-myc and PCNA mRNA was increased much more significantly in asthmatic guinea pigs.It reached its maximum at 30 min after the onset of asthma and it was in a time dependent manner.Immunohistochemical investigation showed that c-myc and PCNA mRNA was distributed mainly in epithelial cells of airway.The staining was more intersive in the asthmatic guinea pigs, the expression level of c-myc is similar to that of PCNA.CONCLUSION:The increased expression of c-myc gene may initiate and maintain the airway cell activation and play its pathophysiological roles in asthma.
, 百拇医药
MeSH Asthma;Genes, myc;Antigens;Gene expression
哮喘是一种气道慢性非特异性炎症性疾病,气道壁的增厚与气道狭窄在其发病的病理生理过程中起重要作用,但气道细胞增殖,分化在哮喘病理过程中的失控机制尚未阐明。研究表明原癌基因c-myc编码转录因子,属于即刻早期基因,在细胞增殖、分化中起重要作用。增殖细胞核抗原(proliferating cell nuclear antigen,PCNA)在细胞周期G1和S期表达,在G2期消失,可用作细胞增殖的标志,本研究观察正常及致敏豚鼠哮喘发作后气道及其周围肺组织c-myc和PCNA基因蛋白表达的变化,探讨c-myc与PCNA在哮喘病理过程中的作用。
材料与方法
(一) 动物模型的复制、分组及其评价:采用本校动物中心提供健康雄性豚鼠,体重350~450 g,随机分为(1)正常对照组(24只)。(2)哮喘组(24只)。哮喘组动物腹腔及皮下注射1%卵蛋白(ovalbumin)1.5 mL及0.5 mL。1周后重复1次,对照组注射等量生理盐水。第四周哮喘组动物雾化吸入1%卵蛋白诱发哮喘,哮喘发作后动物再按0、0.5、2、4、6、12、24、48 h各时点分组进行实验观察。对照组动物雾化吸入生理盐水。
, 百拇医药
1.气道阻力测定:按Lijima等[1]方法进行,以对照组吸入盐水后5 min平均值为基础值,观察哮喘组OA激发后肺阻力(resistance of lung, RL)与基础值之比,用百分率(%)表示。
2.标本的采集及处理:两组动物按实验设计时点,每时点取动物3只用戊巴比妥钠(30 mg/kg ip)麻醉,经颈动脉放血处死后立即剥离取气道及气道周围肺组织置-70℃冻存。光镜标本以10%中性福尔马林固定,电镜标本以3%戊二醛固定。
3.组织病理学检查:光镜及透射电镜观察。
(二)总RNA提取:按Chomezynski改良后异硫氰酸胍—饱和酚—氯仿法提取。
(三)探针的制备及标记:含c-myc及PCNA的cDNA质粒,经酶切酵解后用低融点琼脂糖法回收质粒中cDNA片段,再用随机引物法标记探针(比活性为238 KBq/μg)。
, 百拇医药
(四)分子杂交:RNA斑点和Northern-blot杂交均按Sambrook等[2]方法进行,放射自显影后经灰度扫描(MIAS-3 000型图象分析仪)求得其得分面积代表特异mRNA表达水平。
(五)免疫组化方法:用ABC法,组织切片按序以PBS漂洗,30%羊血清,一抗、二抗孵育后浸入ABC液中1 h,取出经PBS、Tris-HCl缓冲液漂洗,再以DAB显色,mayer苏木精复染2 min,常规脱水,透明、封盖。镜下观察及灰度扫描(MIAS-3 000型图象分析仪)。
结果
(一)气道阻力测定结果:吸入OA后5 min RL逐渐增高,30 min达高峰为基础值的150%,持续2 h后逐渐下降,4 h后恢复正常。对照组动物吸入生理盐水后RL无明显变化。
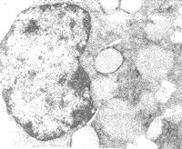
(二)气道及其周围肺组织病理学观察结果:吸入OA 0.5 h后光镜下可见哮喘组豚鼠支气管及其周围组织PMN浸润,嗜酸细胞增多。粘膜基底膜形态不规则,支气管管腔缩小,平滑肌层增厚(见图1)。透射电镜下见气道上皮细胞肿胀,胞浆内内质网增多,线粒体肿胀,呈细胞增殖倾向(见图2)。
, http://www.100md.com
Fig 1 Around bronchial PMN Eos infiltration,bronchial lumen contraction, mucous membrane
irregular in asthmatic guinea pig ×200
图1 哮喘组豚鼠支气管周围组织中性粒细胞、嗜酸细胞浸润支气管管腔缩小,粘膜形态不规则 ×200
Fig 2 Airway epithelial cell endoplasmic reticulum hyperplasia, mitochondrial swelling in asthmatic guinea pig ×200
图2 哮喘组气道上皮细胞粗面内质网增多,呈“池”状扩张,线粒体肿胀
, 百拇医药
(三)Dot-blot结果:正常对照组c-myc、PCNA mRNA呈低水平表达,致敏豚鼠哮喘发作后,c-myc、PCNA mRNA表达水平明显增高,30 min达高峰,分别为对照组的3.5和1.4倍,持续2 h后下降,4 h降至基础水平(见图3、4),气道与气道周围肺组织之间表达无明显差异(P>0.05)。
Fig 3 Changes of c-myc mRNA at different time in two group guinea pig
图3 两组豚鼠气道组织不同时间c-myc mRNA的变化(
±s,n=24)
, 百拇医药
Fig 4 Changes of PCNA mRNA at different time in two group guinea pig
图4 两组豚鼠气道组织不同时间PCNA mRNA的变化(x±s,n=24)
(四)Northern-blot结果:各带c-myc、PCNA mRNA丰度变化与Dot-blot结果一致。
(五)免疫组化结果:各组动物气道及其周围肺组织均可见染色呈棕黑色园形颗粒的c-myc、PCNA蛋白阳性反应细胞。支气管及其周围肺组织的阳性反应细胞主要分布于支气管粘膜游离缘、上皮细胞,平滑肌细胞也可见少量表达;细支气管则分布于上皮下基底膜、平滑肌细胞及外周成纤维细胞。肺间质的阳性反应细胞较少。哮喘组阳性细胞颗粒数目及灰度明显高于对照组(P<0.01)。气道及肺组织的表达强度无明显差异。随哮喘发作时间的延长,阳性蛋白分布情况无变化,但密度有明显增加。
, 百拇医药
讨论
哮喘病理过程存在着气道上皮的增生和平滑肌的增殖,而气道壁的增厚对气道高反应性起重要作用[3]。但引发这一过程的机制尚未阐明。近年来研究表明:许多癌基因与生长因子受体相关,且参与细胞内信号传导,基因的转录调控,影响细胞的增殖。原癌基因c-myc与DNA复制、转录、与细胞的增殖分化有关,其产物myc为一核蛋白,在增殖细胞表达,在休止期细胞则不表达。研究表明许多不同类型细胞经丝裂原刺激后均可表达高水平的c-myc mRNA,而c-myc的反义寡核苷酸则可抑制细胞进入S期使之不能增殖[4]。PCNA表达仅见于增殖细胞且细胞周期密切相关,其表达量与DNA的合成一致[5],PCNA反义寡核苷酸则抑制细胞周期的进行。因此PCNA表达情况可做为评估组织中细胞增殖状态的一个可靠指标[6]。近年的研究发现哮喘患者肺泡灌洗液中可检出高水平的细胞因子如IL-3、IL-4、IL-5、IL-8及TNF、GM-CSF,并在气道细胞中可见其mRNA的表达明显增强[7]。Demoly等在哮喘患者支气管组织活检中发现有高水平c-myc、c-fos等基因的存在,主要定位于气道上皮细胞[8],但细胞因子与原癌基因关系未阐明。Lin等认为细胞因子是c-myc表达的调节因子,TNF、IL-2可引起气道细胞c-myc mRNA快速一过性表达[9]。原癌基因c-myc属于基因表达的调节因子,c-myc的激活与表达对细胞因子产生应答反应起调控作用[10]。本实验研究发现致敏豚鼠气道及肺组织c-myc基因的表达在哮喘发作后其mRNA迅速增高,30 min达高峰为对照组的3.5倍(p<0.05),免疫组化显示myc蛋白分布于气道上皮细胞,外周的成纤维细胞及平滑肌细胞,且随时间的延长其密度显著增高。c-myc mRNA的变化与反映哮喘严重程度的肺阻力、气道组织病理学改变一致,也与PCNA在气道上皮、平滑肌细胞的表达一致。以上结果提示:c-myc表达增强可能在哮喘发病的病理过程中导致气道细胞增殖,对气道壁增厚起重要作用。
, 百拇医药
*国家自然科学基金资助(No 39370325)
参考文献
1 Lijima H,Ishii M, Yamauchi K, et al.Bronchoalveolar lavage and histologic characterization of late asthmatic response in guinea pigs.Am Rev Respir Dis,1987,136(4):922.
2 萨姆布鲁克.真核细胞的mRNA的提取纯化和分析.见:萨姆布鲁克,弗里奇,曼尼阿蒂斯,主编.分子克隆实验指南.第2版.北京:科学出版社,1992.343~395.
3 Wigg BR, Bosken C, Pare A.A model of airway narrowing in asthma and chronic obstructive pulmonary disease.Am Rev Respir Dis,1992,145:1251.
, 百拇医药
4 Stewart TA, Belve AR, Leder P.Transcription and promoter usage of the myc gene.An normal comatic and supermatogenic cells.Science,1984,226:202.
5 Pendoeton N, Dixon GR, Durnett HE, et al.Expression of proliferating cell nuclear antigen (PCNA) in dysplasia of the bronchial epthelium.J Pathol,1993,170:169.
6 Gland P, Degvaef C.Cyclin/PCNA immunostaining as an alternative to tritilated thymidine pulse labelling for making S phase cells in paraffin sections from animal and human tissue.Cell Tissue Kinet,1989,22(5):383.
, 百拇医药
7 Douglas SR, Steplzen RD.A barry kay: cytokin in asthma.Thorax,1995,48:845.
8 Demoly P, Chanez P, Pujol L, et al.Fos immunoreactivity assesment on human normal and pathological bronchial biopsies.Am J Respir cell Mol Biol,1995,89:329.
9 Lin JX, Vilcek J.Tumor necrosis factor and interleukin-2 cause a rapid and transient stimulation of c-fos and c-myc mRNA level in human fibroblast.J Biochem,1987,262:H908.
10 Marcu KB, Bossone SA, Patel AJ.Myc function and regulation, Annu Rev Biochem,1992,61:809.
(1998年4月15日收稿,1998年11月11日修回), http://www.100md.com
单位:第四军医大学西京医院呼吸内科(西安 710032)
关键词:哮喘;基因;myc;抗原;基因表达
中国病理生理杂志991017 摘要 目的:观察原癌基因c-myc、增殖细胞核抗原(PCNA)在正常和哮喘豚鼠气道肺组织中的表达与哮喘发病的关系。方法:应用Dot和Northern分子杂交和免疫组化技术。结果:c-myc mRNA及PCNA mRNA在正常豚鼠气道及肺组织可见低度表达。豚鼠哮喘发作后c-myc及PCNA mRNA增高,30 min达高峰分别为正常的3.5、1.4倍(P<0.05),免疫组化显示c-myc与PCNA蛋白主要分布在气道上皮细胞,平滑肌细胞,其分布及密度无显著差别。结论:c-myc及PCNA基因表达增高在哮喘病理过程中可能起重要作用。
The effect of c-myc and proliferating cell nuclear antigen
, 百拇医药
in the attack of asthmatic guinea pigs
LI Huan-Zhang,GAO Pei-Song, QI Hao-Wen
Department of Respiratory Disease, Xijing Hospital, The 4th Military Medical University, Xian (710032)
Abstract AIM: To investigate the effect of c-myc and proliferating cell nuclear antigen (PCNA) expression in the airway and lung tissue of asthmatic guinea pigs.METHODS:The authors examined the expression of proto-oncogene c-myc and PCNA mRNA in the airway and lung tissue of asthmatic guinea pigs by using Dot-blot, Northern-blot and immunohistochemical techniques.RESULTS:There was a baseline expression of c-myc in the controls, whereas the expression of c-myc and PCNA mRNA was increased much more significantly in asthmatic guinea pigs.It reached its maximum at 30 min after the onset of asthma and it was in a time dependent manner.Immunohistochemical investigation showed that c-myc and PCNA mRNA was distributed mainly in epithelial cells of airway.The staining was more intersive in the asthmatic guinea pigs, the expression level of c-myc is similar to that of PCNA.CONCLUSION:The increased expression of c-myc gene may initiate and maintain the airway cell activation and play its pathophysiological roles in asthma.
, 百拇医药
MeSH Asthma;Genes, myc;Antigens;Gene expression
哮喘是一种气道慢性非特异性炎症性疾病,气道壁的增厚与气道狭窄在其发病的病理生理过程中起重要作用,但气道细胞增殖,分化在哮喘病理过程中的失控机制尚未阐明。研究表明原癌基因c-myc编码转录因子,属于即刻早期基因,在细胞增殖、分化中起重要作用。增殖细胞核抗原(proliferating cell nuclear antigen,PCNA)在细胞周期G1和S期表达,在G2期消失,可用作细胞增殖的标志,本研究观察正常及致敏豚鼠哮喘发作后气道及其周围肺组织c-myc和PCNA基因蛋白表达的变化,探讨c-myc与PCNA在哮喘病理过程中的作用。
材料与方法
(一) 动物模型的复制、分组及其评价:采用本校动物中心提供健康雄性豚鼠,体重350~450 g,随机分为(1)正常对照组(24只)。(2)哮喘组(24只)。哮喘组动物腹腔及皮下注射1%卵蛋白(ovalbumin)1.5 mL及0.5 mL。1周后重复1次,对照组注射等量生理盐水。第四周哮喘组动物雾化吸入1%卵蛋白诱发哮喘,哮喘发作后动物再按0、0.5、2、4、6、12、24、48 h各时点分组进行实验观察。对照组动物雾化吸入生理盐水。
, 百拇医药
1.气道阻力测定:按Lijima等[1]方法进行,以对照组吸入盐水后5 min平均值为基础值,观察哮喘组OA激发后肺阻力(resistance of lung, RL)与基础值之比,用百分率(%)表示。
2.标本的采集及处理:两组动物按实验设计时点,每时点取动物3只用戊巴比妥钠(30 mg/kg ip)麻醉,经颈动脉放血处死后立即剥离取气道及气道周围肺组织置-70℃冻存。光镜标本以10%中性福尔马林固定,电镜标本以3%戊二醛固定。
3.组织病理学检查:光镜及透射电镜观察。
(二)总RNA提取:按Chomezynski改良后异硫氰酸胍—饱和酚—氯仿法提取。
(三)探针的制备及标记:含c-myc及PCNA的cDNA质粒,经酶切酵解后用低融点琼脂糖法回收质粒中cDNA片段,再用随机引物法标记探针(比活性为238 KBq/μg)。
, 百拇医药
(四)分子杂交:RNA斑点和Northern-blot杂交均按Sambrook等[2]方法进行,放射自显影后经灰度扫描(MIAS-3 000型图象分析仪)求得其得分面积代表特异mRNA表达水平。
(五)免疫组化方法:用ABC法,组织切片按序以PBS漂洗,30%羊血清,一抗、二抗孵育后浸入ABC液中1 h,取出经PBS、Tris-HCl缓冲液漂洗,再以DAB显色,mayer苏木精复染2 min,常规脱水,透明、封盖。镜下观察及灰度扫描(MIAS-3 000型图象分析仪)。
结果
(一)气道阻力测定结果:吸入OA后5 min RL逐渐增高,30 min达高峰为基础值的150%,持续2 h后逐渐下降,4 h后恢复正常。对照组动物吸入生理盐水后RL无明显变化。
(二)气道及其周围肺组织病理学观察结果:吸入OA 0.5 h后光镜下可见哮喘组豚鼠支气管及其周围组织PMN浸润,嗜酸细胞增多。粘膜基底膜形态不规则,支气管管腔缩小,平滑肌层增厚(见图1)。透射电镜下见气道上皮细胞肿胀,胞浆内内质网增多,线粒体肿胀,呈细胞增殖倾向(见图2)。
, http://www.100md.com
Fig 1 Around bronchial PMN Eos infiltration,bronchial lumen contraction, mucous membrane
irregular in asthmatic guinea pig ×200
图1 哮喘组豚鼠支气管周围组织中性粒细胞、嗜酸细胞浸润支气管管腔缩小,粘膜形态不规则 ×200
Fig 2 Airway epithelial cell endoplasmic reticulum hyperplasia, mitochondrial swelling in asthmatic guinea pig ×200
图2 哮喘组气道上皮细胞粗面内质网增多,呈“池”状扩张,线粒体肿胀
, 百拇医药
(三)Dot-blot结果:正常对照组c-myc、PCNA mRNA呈低水平表达,致敏豚鼠哮喘发作后,c-myc、PCNA mRNA表达水平明显增高,30 min达高峰,分别为对照组的3.5和1.4倍,持续2 h后下降,4 h降至基础水平(见图3、4),气道与气道周围肺组织之间表达无明显差异(P>0.05)。
Fig 3 Changes of c-myc mRNA at different time in two group guinea pig
图3 两组豚鼠气道组织不同时间c-myc mRNA的变化(
, 百拇医药
Fig 4 Changes of PCNA mRNA at different time in two group guinea pig
图4 两组豚鼠气道组织不同时间PCNA mRNA的变化(x±s,n=24)
(四)Northern-blot结果:各带c-myc、PCNA mRNA丰度变化与Dot-blot结果一致。
(五)免疫组化结果:各组动物气道及其周围肺组织均可见染色呈棕黑色园形颗粒的c-myc、PCNA蛋白阳性反应细胞。支气管及其周围肺组织的阳性反应细胞主要分布于支气管粘膜游离缘、上皮细胞,平滑肌细胞也可见少量表达;细支气管则分布于上皮下基底膜、平滑肌细胞及外周成纤维细胞。肺间质的阳性反应细胞较少。哮喘组阳性细胞颗粒数目及灰度明显高于对照组(P<0.01)。气道及肺组织的表达强度无明显差异。随哮喘发作时间的延长,阳性蛋白分布情况无变化,但密度有明显增加。
, 百拇医药
讨论
哮喘病理过程存在着气道上皮的增生和平滑肌的增殖,而气道壁的增厚对气道高反应性起重要作用[3]。但引发这一过程的机制尚未阐明。近年来研究表明:许多癌基因与生长因子受体相关,且参与细胞内信号传导,基因的转录调控,影响细胞的增殖。原癌基因c-myc与DNA复制、转录、与细胞的增殖分化有关,其产物myc为一核蛋白,在增殖细胞表达,在休止期细胞则不表达。研究表明许多不同类型细胞经丝裂原刺激后均可表达高水平的c-myc mRNA,而c-myc的反义寡核苷酸则可抑制细胞进入S期使之不能增殖[4]。PCNA表达仅见于增殖细胞且细胞周期密切相关,其表达量与DNA的合成一致[5],PCNA反义寡核苷酸则抑制细胞周期的进行。因此PCNA表达情况可做为评估组织中细胞增殖状态的一个可靠指标[6]。近年的研究发现哮喘患者肺泡灌洗液中可检出高水平的细胞因子如IL-3、IL-4、IL-5、IL-8及TNF、GM-CSF,并在气道细胞中可见其mRNA的表达明显增强[7]。Demoly等在哮喘患者支气管组织活检中发现有高水平c-myc、c-fos等基因的存在,主要定位于气道上皮细胞[8],但细胞因子与原癌基因关系未阐明。Lin等认为细胞因子是c-myc表达的调节因子,TNF、IL-2可引起气道细胞c-myc mRNA快速一过性表达[9]。原癌基因c-myc属于基因表达的调节因子,c-myc的激活与表达对细胞因子产生应答反应起调控作用[10]。本实验研究发现致敏豚鼠气道及肺组织c-myc基因的表达在哮喘发作后其mRNA迅速增高,30 min达高峰为对照组的3.5倍(p<0.05),免疫组化显示myc蛋白分布于气道上皮细胞,外周的成纤维细胞及平滑肌细胞,且随时间的延长其密度显著增高。c-myc mRNA的变化与反映哮喘严重程度的肺阻力、气道组织病理学改变一致,也与PCNA在气道上皮、平滑肌细胞的表达一致。以上结果提示:c-myc表达增强可能在哮喘发病的病理过程中导致气道细胞增殖,对气道壁增厚起重要作用。
, 百拇医药
*国家自然科学基金资助(No 39370325)
参考文献
1 Lijima H,Ishii M, Yamauchi K, et al.Bronchoalveolar lavage and histologic characterization of late asthmatic response in guinea pigs.Am Rev Respir Dis,1987,136(4):922.
2 萨姆布鲁克.真核细胞的mRNA的提取纯化和分析.见:萨姆布鲁克,弗里奇,曼尼阿蒂斯,主编.分子克隆实验指南.第2版.北京:科学出版社,1992.343~395.
3 Wigg BR, Bosken C, Pare A.A model of airway narrowing in asthma and chronic obstructive pulmonary disease.Am Rev Respir Dis,1992,145:1251.
, 百拇医药
4 Stewart TA, Belve AR, Leder P.Transcription and promoter usage of the myc gene.An normal comatic and supermatogenic cells.Science,1984,226:202.
5 Pendoeton N, Dixon GR, Durnett HE, et al.Expression of proliferating cell nuclear antigen (PCNA) in dysplasia of the bronchial epthelium.J Pathol,1993,170:169.
6 Gland P, Degvaef C.Cyclin/PCNA immunostaining as an alternative to tritilated thymidine pulse labelling for making S phase cells in paraffin sections from animal and human tissue.Cell Tissue Kinet,1989,22(5):383.
, 百拇医药
7 Douglas SR, Steplzen RD.A barry kay: cytokin in asthma.Thorax,1995,48:845.
8 Demoly P, Chanez P, Pujol L, et al.Fos immunoreactivity assesment on human normal and pathological bronchial biopsies.Am J Respir cell Mol Biol,1995,89:329.
9 Lin JX, Vilcek J.Tumor necrosis factor and interleukin-2 cause a rapid and transient stimulation of c-fos and c-myc mRNA level in human fibroblast.J Biochem,1987,262:H908.
10 Marcu KB, Bossone SA, Patel AJ.Myc function and regulation, Annu Rev Biochem,1992,61:809.
(1998年4月15日收稿,1998年11月11日修回), http://www.100md.com