甲状腺癌的高频声像图特征及彩色多普勒血流显像分析
作者:王小燕 贺榜福
单位:530021 南宁市广西壮族自治区人民医院B超科(王小燕),外科(贺榜福)
关键词:甲状腺癌;高频声像图;彩色多普勒显像
中国超声医学杂志990120 摘 要 目的:探讨高频超声与CDFI对甲状腺癌的诊断价值。方法:通过对38例经手术病理证实为甲状腺癌的高频声像图与彩色多普勒进行分析。结果:本病的高频声像图多数具有实质肿块及囊性肿块内实质部份沙粒状钙化或粗糙钙化光团、单发低回声的实质结节等特点,少数表现为增强及杂乱回声的肿块。CDFI表现:肿块内血流阻力指数(RI)较高,平均为0.77+0.10。有肿块侧的上动脉平均最大流速(Vmax)、平均最小流速(Vmin)、平均RI较无肿块侧高,经统计学处理,有显著性差异,p<0.05。
High Frequency Ultrasonographic Characteristics
, http://www.100md.com
and CDFI Analysis of Thyroid Carcinoma
Wang Xiaoyan,He Bangfu
The peoples Hospital of Guangxi Zhuang Autonomous Region,Nanning 530021
ABSTRACT Objective:To analvse the high frequency ultrasonography and CDFI of the confirmed thyroid carcinoma.Method:Examinations were performed with high frequency ultrasonography and CDFI.Results:Total 38 cases were ultrasonographically examined.Some showed solid nodules or excrescences protruding into the cyst,some showed sand granules,and calcifications or unipole hypoechoic nodules,few lesions showed hyperechoic clutter.CDFI revealed high Vmax,Vmin and RI of superior thyroid artery.
, 百拇医药
KEY WORDS Thyroid carcinoma High frequency ultrasonography CDFI
本文通过对38例甲状腺癌病例的超声诊断分析,从高频声像图特征表现及彩色多普勒显像方面,进一步探讨评价其对甲状腺癌的诊断价值。
资料与方法
本组患者38例、男6例、女32例,(男女比例1∶5.3)、年龄17~19岁,平均年龄为39.92±11.2岁,所有病例均经术前超声检查,术后病理证实,其中乳头状腺癌2.8例、滤泡状腺癌7例,髓样癌3例,当中有17例合并结节性甲状腺肿。
所用仪器为Dom'er AI-5200型彩色超声诊断仪,探头频率10MHz,患者仰卧位,常规观察测量腺体大小、回声及肿块病灶大小、形态、部位、数目、回声、类型、然后观察腺体及肿块的彩色血流情况、测量双侧甲状腺上动脉及肿块内部的收缩期最高流速(Vmax)、舒张期最低流速(Vmin)、阻力指数RI。
, 百拇医药
结 果
38例甲状腺癌中,超声诊断甲状腺癌27例,(包括甲状腺癌可能性大、不除外甲状腺癌、甲状腺肿块合并恶变?等提示)符合率为71%。11例诊断不符合,其中9例分别诊断为结节性甲状腺肿或腺瘤,2例诊断为甲状腺实质肿块,性质待定。
本组38例肿块单叶单发16例(42%)、单叶多发6例(16%),双叶多发16例(42%)。
本组甲状腺癌高频声像图表现
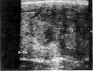
边界回声:在部分肿块边界不规则,欠清晰,无晕环症,小部分肿块边界清晰及规则,个别出现不完整的晕环征,肿块较大时,可向甲状腺表面隆起及向包膜外浸润(图1)。
低回声实质非均质肿块,向表面隆起及向包膜外浸润
, 百拇医药
图1 甲状腺右叶滤泡状腺癌
内部回声:根据内部回声差异,将其分为以下数型:
1、实质并钙化型:11例(29%),肿块呈稍低及近等回声实质暗区,回声不均匀,内部可见钙化灶、大多数为砂粒状钙化斑(图2),个别表现为较大粗糙的钙化光团。
肿块内见散在沙砂状钙化光点
图2 甲状腺右叶乳头状腺癌
2、囊实混合性并实质钙化型:11例(29%),肿块为囊实混合性,表现为:囊性肿块内见实质性肿块呈乳头状或蕈伞样突向囊腔,表面不规则,实质部分见较多散在呈砂粒状钙化光点(图3)。
, http://www.100md.com
囊性肿块内见实质性肿块,呈乳头状突向囊腔,表面
不规则,实质部分内见较多散在呈砂粒状钙化光点
图3 右叶乳头状癌I级
3、低回声型:7例(18.4%),此型边界清晰,但欠光整,内回声较低,低于腺瘤及结节性甲状腺肿结节回声,光点分布尚均匀,此类肿块好发于峡部,本组7例中有4例发生于峡部(图4)。
肿块表现为较低回声,实质肿块,球形感强
图4 左叶乳头状腺癌
4、回声杂乱型:8例(16%),内部可为实质强回声,强弱不等或有散在小液性暗区(图5)。
, http://www.100md.com
强弱不均,并可见小液性暗区
图5 甲状腺左叶乳头状癌
其中13例探及颈部两侧有肿大的淋巴结回声,手术证实有淋巴结转移11例,2例为炎性肿大的淋巴结回声。
本组甲状腺癌的彩色多普勒表现:38例肿块内有35例有血流信号,3例无血流显示,其中12例血流显示丰富(一个切面内显示二条以上较粗大彩色血流),肿块内的多普勒测定,平均最大流速(Vmax)32.49cm±20.44(cm/s),最小流速(Vmin)7.91±6.47cm/s,RI 0.77±0.10。38例肿块内有28例肿块检测了甲状腺上动脉,其测定结果见附表,有、无肿瘤侧的平均最大流速、阻力指数,最小流速对比均有显著性差异,p<0.05。
附表 28例甲状腺癌肿瘤侧与无肿瘤侧甲状腺上动脉血流参数比较 侧 别
, 百拇医药
Vmax(cm/s)
Vmin(cm/s)
RI
肿瘤侧
无肿瘤侧
29.64±12.80*
19.50±4.80
5.78±2.46*
3.21±2.00
0.75±0.14*
0.67±0.08
, http://www.100md.com
注:*p<0.05
讨 论
超声诊断甲状腺肿块的应用已经很广泛,在鉴别有无肿块,肿块的大小物理特性已被临床所公认,但以往文献较多认为:超声不能鉴别肿块的良恶性,甲状腺癌往往无特异性图像表现〔1,2〕,低频探头确实不易鉴别,过去我们对此颇有同感。但随着高频探头的应用,肿块内的细微改变能被发现,开始认为甲状腺癌具备一些特异的声像图改变〔3,4〕,但此类文章不多,我们通过38例甲状腺癌的高频图像分析研究,结果表明,多数甲状腺癌超声图像具有特征性表现,除了肿块边界常不规则、不清晰,无晕环征外,内部回声起了很大的鉴别作用。如实质肿块内弥漫性的砂粒状钙化;囊实混合性肿块内的乳头状及蕈伞样的实质回声内,亦见到较多散在砂粒状钙化点;较低回声的单发球形实质回声肿块、位于峡部时更应高度注意。具有上述种种特征的肿块在本组占76%。其余肿块虽无特异性表现,但内部回声杂乱,强弱不等,在强回声背景下,出现低回声实质暗区或在弱回声背景下中间出现实质强回声,这些都要警惕甲状腺癌的可能。
, http://www.100md.com
甲状腺癌假阳性及假阴性误诊的原因,常见为将桥本氏甲状腺类局限低回声肿块误诊为癌,或将甲状腺癌误诊为结节性甲状腺肿或腺瘤。但通过图像分析,桥本氏甲状腺炎的低回声区多为浸润状,无明显球形感,且易多发。结节性甲状腺肿低回声结节常为数毫米大小,多呈椭圆形,有时近无回声,是滤泡增生所致。甲状腺癌的低回声结节球形感强,为单发,对侧腺体无明显改变,肿块常较结节性甲状腺肿低回声结节大。
现在较多文献认为:甲状腺肿块的钙化在良恶性肿块内均可存在,如Luigi总结了一组患者,钙化存在17%的恶性肿块中,也存在11%良性肿块中〔5〕。在我们的检查中,良性肿块也可见到钙化,但此钙化为较大的,边缘较平滑的钙化光团。如为液性暗区,钙化光点,常悬浮于液性暗区内,而不是散在实质光团内。
彩色多普勒表现,部分肿块血流较丰富,少数血流速度较高,肿块的阻力指数较高,患侧的Vmin、RI、Vmin高于健侧。可能是因为本组癌块较大,平均大小为22mm×30mm,引起的血供丰富所致。
, 百拇医药
本组患者多为女性,是与激素有关系。患者多较年轻,多为30~40岁,且合并结甲病例较多,可能因为广西地处山区、缺碘所致,因此诊断甲状腺癌不要拘泥于单发结节,此外注意扫查颈部淋巴结,观察淋巴结的大小、形态、长宽之比例等,以此来鉴别是否炎性或转移的肿大淋巴结,有文献认为乳头状腺癌较易发生颈部淋巴结转移。
综上所述,应用高频及彩多普勒超声,能提高诊断甲状腺癌的符合率,具有较大的临床价值。随着不断的总结分析,诊断符合率还可望进一步提高。
参考文献
[1]Judith FK,Robert AK,Jorge R,et al.Thyroid Nodules:Sonographic-patholigic correlation.Radiology,1984,151:741~745
[2]Brander A,Viikinkoski P,Nickeles J,et al.Thyroid gland:US screening in middle-aged women with no previous thyroid disease.Radiology 1984,173:507~511
, 百拇医药
[3]Hatabu H,kasagi K,Yamamoto K,et al.Cystic papillary carcinoma of the thyroid gland:A new sonographic sign.Clinical Radiology,1991,43:121~124
[4]王 瑛,王 武.甲状腺囊性乳头状癌超声特征。中国超声医学杂志,1998,14(2)17~19
[5]Solbiati L,Volterrani L,Rizzatto G,et al.The thyroid gland with low uptake lesion:Evaluation by ultrasound.Radiology,1985,155:187~191
(1998-06-22收稿), 百拇医药
单位:530021 南宁市广西壮族自治区人民医院B超科(王小燕),外科(贺榜福)
关键词:甲状腺癌;高频声像图;彩色多普勒显像
中国超声医学杂志990120 摘 要 目的:探讨高频超声与CDFI对甲状腺癌的诊断价值。方法:通过对38例经手术病理证实为甲状腺癌的高频声像图与彩色多普勒进行分析。结果:本病的高频声像图多数具有实质肿块及囊性肿块内实质部份沙粒状钙化或粗糙钙化光团、单发低回声的实质结节等特点,少数表现为增强及杂乱回声的肿块。CDFI表现:肿块内血流阻力指数(RI)较高,平均为0.77+0.10。有肿块侧的上动脉平均最大流速(Vmax)、平均最小流速(Vmin)、平均RI较无肿块侧高,经统计学处理,有显著性差异,p<0.05。
High Frequency Ultrasonographic Characteristics
, http://www.100md.com
and CDFI Analysis of Thyroid Carcinoma
Wang Xiaoyan,He Bangfu
The peoples Hospital of Guangxi Zhuang Autonomous Region,Nanning 530021
ABSTRACT Objective:To analvse the high frequency ultrasonography and CDFI of the confirmed thyroid carcinoma.Method:Examinations were performed with high frequency ultrasonography and CDFI.Results:Total 38 cases were ultrasonographically examined.Some showed solid nodules or excrescences protruding into the cyst,some showed sand granules,and calcifications or unipole hypoechoic nodules,few lesions showed hyperechoic clutter.CDFI revealed high Vmax,Vmin and RI of superior thyroid artery.
, 百拇医药
KEY WORDS Thyroid carcinoma High frequency ultrasonography CDFI
本文通过对38例甲状腺癌病例的超声诊断分析,从高频声像图特征表现及彩色多普勒显像方面,进一步探讨评价其对甲状腺癌的诊断价值。
资料与方法
本组患者38例、男6例、女32例,(男女比例1∶5.3)、年龄17~19岁,平均年龄为39.92±11.2岁,所有病例均经术前超声检查,术后病理证实,其中乳头状腺癌2.8例、滤泡状腺癌7例,髓样癌3例,当中有17例合并结节性甲状腺肿。
所用仪器为Dom'er AI-5200型彩色超声诊断仪,探头频率10MHz,患者仰卧位,常规观察测量腺体大小、回声及肿块病灶大小、形态、部位、数目、回声、类型、然后观察腺体及肿块的彩色血流情况、测量双侧甲状腺上动脉及肿块内部的收缩期最高流速(Vmax)、舒张期最低流速(Vmin)、阻力指数RI。
, 百拇医药
结 果
38例甲状腺癌中,超声诊断甲状腺癌27例,(包括甲状腺癌可能性大、不除外甲状腺癌、甲状腺肿块合并恶变?等提示)符合率为71%。11例诊断不符合,其中9例分别诊断为结节性甲状腺肿或腺瘤,2例诊断为甲状腺实质肿块,性质待定。
本组38例肿块单叶单发16例(42%)、单叶多发6例(16%),双叶多发16例(42%)。
本组甲状腺癌高频声像图表现
边界回声:在部分肿块边界不规则,欠清晰,无晕环症,小部分肿块边界清晰及规则,个别出现不完整的晕环征,肿块较大时,可向甲状腺表面隆起及向包膜外浸润(图1)。
低回声实质非均质肿块,向表面隆起及向包膜外浸润
, 百拇医药
图1 甲状腺右叶滤泡状腺癌
内部回声:根据内部回声差异,将其分为以下数型:
1、实质并钙化型:11例(29%),肿块呈稍低及近等回声实质暗区,回声不均匀,内部可见钙化灶、大多数为砂粒状钙化斑(图2),个别表现为较大粗糙的钙化光团。
肿块内见散在沙砂状钙化光点
图2 甲状腺右叶乳头状腺癌
2、囊实混合性并实质钙化型:11例(29%),肿块为囊实混合性,表现为:囊性肿块内见实质性肿块呈乳头状或蕈伞样突向囊腔,表面不规则,实质部分见较多散在呈砂粒状钙化光点(图3)。
, http://www.100md.com
囊性肿块内见实质性肿块,呈乳头状突向囊腔,表面
不规则,实质部分内见较多散在呈砂粒状钙化光点
图3 右叶乳头状癌I级
3、低回声型:7例(18.4%),此型边界清晰,但欠光整,内回声较低,低于腺瘤及结节性甲状腺肿结节回声,光点分布尚均匀,此类肿块好发于峡部,本组7例中有4例发生于峡部(图4)。
肿块表现为较低回声,实质肿块,球形感强
图4 左叶乳头状腺癌
4、回声杂乱型:8例(16%),内部可为实质强回声,强弱不等或有散在小液性暗区(图5)。
, http://www.100md.com
强弱不均,并可见小液性暗区
图5 甲状腺左叶乳头状癌
其中13例探及颈部两侧有肿大的淋巴结回声,手术证实有淋巴结转移11例,2例为炎性肿大的淋巴结回声。
本组甲状腺癌的彩色多普勒表现:38例肿块内有35例有血流信号,3例无血流显示,其中12例血流显示丰富(一个切面内显示二条以上较粗大彩色血流),肿块内的多普勒测定,平均最大流速(Vmax)32.49cm±20.44(cm/s),最小流速(Vmin)7.91±6.47cm/s,RI 0.77±0.10。38例肿块内有28例肿块检测了甲状腺上动脉,其测定结果见附表,有、无肿瘤侧的平均最大流速、阻力指数,最小流速对比均有显著性差异,p<0.05。
附表 28例甲状腺癌肿瘤侧与无肿瘤侧甲状腺上动脉血流参数比较 侧 别
, 百拇医药
Vmax(cm/s)
Vmin(cm/s)
RI
肿瘤侧
无肿瘤侧
29.64±12.80*
19.50±4.80
5.78±2.46*
3.21±2.00
0.75±0.14*
0.67±0.08
, http://www.100md.com
注:*p<0.05
讨 论
超声诊断甲状腺肿块的应用已经很广泛,在鉴别有无肿块,肿块的大小物理特性已被临床所公认,但以往文献较多认为:超声不能鉴别肿块的良恶性,甲状腺癌往往无特异性图像表现〔1,2〕,低频探头确实不易鉴别,过去我们对此颇有同感。但随着高频探头的应用,肿块内的细微改变能被发现,开始认为甲状腺癌具备一些特异的声像图改变〔3,4〕,但此类文章不多,我们通过38例甲状腺癌的高频图像分析研究,结果表明,多数甲状腺癌超声图像具有特征性表现,除了肿块边界常不规则、不清晰,无晕环征外,内部回声起了很大的鉴别作用。如实质肿块内弥漫性的砂粒状钙化;囊实混合性肿块内的乳头状及蕈伞样的实质回声内,亦见到较多散在砂粒状钙化点;较低回声的单发球形实质回声肿块、位于峡部时更应高度注意。具有上述种种特征的肿块在本组占76%。其余肿块虽无特异性表现,但内部回声杂乱,强弱不等,在强回声背景下,出现低回声实质暗区或在弱回声背景下中间出现实质强回声,这些都要警惕甲状腺癌的可能。
, http://www.100md.com
甲状腺癌假阳性及假阴性误诊的原因,常见为将桥本氏甲状腺类局限低回声肿块误诊为癌,或将甲状腺癌误诊为结节性甲状腺肿或腺瘤。但通过图像分析,桥本氏甲状腺炎的低回声区多为浸润状,无明显球形感,且易多发。结节性甲状腺肿低回声结节常为数毫米大小,多呈椭圆形,有时近无回声,是滤泡增生所致。甲状腺癌的低回声结节球形感强,为单发,对侧腺体无明显改变,肿块常较结节性甲状腺肿低回声结节大。
现在较多文献认为:甲状腺肿块的钙化在良恶性肿块内均可存在,如Luigi总结了一组患者,钙化存在17%的恶性肿块中,也存在11%良性肿块中〔5〕。在我们的检查中,良性肿块也可见到钙化,但此钙化为较大的,边缘较平滑的钙化光团。如为液性暗区,钙化光点,常悬浮于液性暗区内,而不是散在实质光团内。
彩色多普勒表现,部分肿块血流较丰富,少数血流速度较高,肿块的阻力指数较高,患侧的Vmin、RI、Vmin高于健侧。可能是因为本组癌块较大,平均大小为22mm×30mm,引起的血供丰富所致。
, 百拇医药
本组患者多为女性,是与激素有关系。患者多较年轻,多为30~40岁,且合并结甲病例较多,可能因为广西地处山区、缺碘所致,因此诊断甲状腺癌不要拘泥于单发结节,此外注意扫查颈部淋巴结,观察淋巴结的大小、形态、长宽之比例等,以此来鉴别是否炎性或转移的肿大淋巴结,有文献认为乳头状腺癌较易发生颈部淋巴结转移。
综上所述,应用高频及彩多普勒超声,能提高诊断甲状腺癌的符合率,具有较大的临床价值。随着不断的总结分析,诊断符合率还可望进一步提高。
参考文献
[1]Judith FK,Robert AK,Jorge R,et al.Thyroid Nodules:Sonographic-patholigic correlation.Radiology,1984,151:741~745
[2]Brander A,Viikinkoski P,Nickeles J,et al.Thyroid gland:US screening in middle-aged women with no previous thyroid disease.Radiology 1984,173:507~511
, 百拇医药
[3]Hatabu H,kasagi K,Yamamoto K,et al.Cystic papillary carcinoma of the thyroid gland:A new sonographic sign.Clinical Radiology,1991,43:121~124
[4]王 瑛,王 武.甲状腺囊性乳头状癌超声特征。中国超声医学杂志,1998,14(2)17~19
[5]Solbiati L,Volterrani L,Rizzatto G,et al.The thyroid gland with low uptake lesion:Evaluation by ultrasound.Radiology,1985,155:187~191
(1998-06-22收稿), 百拇医药