转移性小肠肿瘤的超声图像表现
作者:王 彬 孙洪月 杨尹默 陈如法
单位:100034 北京医科大学第一医院超声诊断科(王 彬),放射科(孙洪月),普通外科(杨尹默、陈如法)
关键词:转移性肿瘤;小肠;超声检查
中国超声医学杂志990110 摘 要 目的与方法:通过阐述21例转移性小肠肿瘤的超声图像表现,从而达到在常规腹部超声检查中,提高转移性小肠肿瘤的检出率。结果:按照小肠肿瘤的超声图像分型,本组21例中,19例均属壁厚型。包括邻近脏器肿瘤对小肠的直接浸润和远隔肿瘤转移或种植,仅2例属腔外肿块型。1例为睾丸精原细胞瘤,小肠转移并有膀胱侵犯至小肠膀胱瘘形成,另1例为卵巢癌腹膜连同小肠种植转移。恶性淋巴瘤、白血病的小肠侵犯,远端小肠和回盲部是其好发部位。沿肠壁长轴侵犯,肠壁增厚以均匀透声性好的低回声区为主要特点。伴有不全肠梗阻和消化道出血。结论:转移性小肠肿瘤与原发肿瘤的部位及组织学类型的关系,目前尚无其它规律可言。
, 百拇医药
Sonographic Appearance of Small Bowel Metastasis
Wang Bin,Sun Hongyue,Yang Yimo,et al
The First Hospital of Beijing Medical University,Beijing 100034
ABSTRACT Objective and Method:The sonographic appearances of 21 small bowel metastasis cases were described.Results:According to the sonographic classification on small bowel neoplasms,19 cases with infiltration from the adjacent neoplasms and metastasis or implantation from the distant organs,were demonstrated as thick-wall type.A vesicointestinal fistula case resulted from seminoma involving both small bowel and bladder.Intraperitoneal seedings of small bowel from carcinoma of ovary in another case being demonstrated as extraluminal mass type.The distal small bowel and the ileocaecal region were the common sites of metastasis by malignant lymphomaa and leukemia,which characterized by infiltration along the long axis of the intestinal wall.Thickening of bowel wall with homogeneous,sonolucent area associated with incomplete obstruction and bleeding of small bowel were other manifestations being seen.Conclusion:Ultrasonic manifestation of small bowel metastasis is rather complicated and divertified.No specific rule can be afforded.More diagnostic informations should pursue clinical findings.
, 百拇医药
KEY WORDS Metastatic neoplasms Small bowel Ultrasonography
有关胃肠道甚至包括食管各段肿瘤的超声检查与研究评价相继被国内外作者论述〔1~6〕。小肠作为消化道转移性肿瘤的好发部位至今尚未见有专题报道。本文将对21例转移性小肠肿瘤的超声图像所见、鉴别诊断和恶性肿瘤的小肠转移途径进行讨论。
资料与方法
1991年10月至1998年4月采用ALOKA SSD-650和Diasonic FX型超声扫描仪探头频率3.5~7.5MHz。在常规腹部超声检查中发现并后经手术病理、穿刺活检、死后尸检证实为转移性小肠肿瘤共21例。其中男性9例,女性12例,年龄24~78岁,平均52.7岁。
原发肿瘤部位和类别包括:升结肠癌7例,降结肠癌1例,胃癌2例,胰体癌1例,卵巢癌5例,阑尾粘液腺癌1例,鼻咽部恶性淋巴瘤、白血病、肺癌、睾丸精原细胞瘤各1例。本组患者就诊时主要症状包括:腹痛18例,急性并转移性右下腹痛各1例,腹胀12例,腹部扪及或可疑包块7例,肠梗阻6例,黑便2例,腹水5例,实验室检查:CEA升高3例。
, http://www.100md.com
结 果
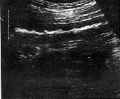
按照小肠肿瘤的超声图像分型〔7〕,本组21例转移性小肠肿瘤中19例均属壁厚型。肿瘤大体形态和长、短轴切面为受累肠壁增厚分别显示为假肾和靶环征(图1.2)。厚度范围0.8~2.0cm,长度范围3.0~7.0cm;2例长度>10cm分别为鼻咽部恶性淋巴瘤和白血病远端小肠侵犯,沿肠壁长轴浸润呈均匀低回声区(图3)。2例属腔外肿块型。11例为卵巢癌腹膜种植性转移连同小肠襻与壁层腹膜之间Φ3.0cm中等强回声型肿块并有多量腹水(图4)。另1例为睾丸精原细胞瘤小肠转移,相当于远端小肠与膀胱之间见Φ6.0cm中等回声实性肿块伴边缘肠腔强回声及膀胱内游离气体,提示:小肠外生型肿瘤侵犯膀胱并有内瘘形成,X线气钡双重对比造影后患者排出白色钡剂尿液(图5,6)。

, http://www.100md.com
长轴呈典型“假肾”征 短轴切面,大致呈“靶环”征
图1 壁厚型,转移性小肠肿瘤 图2 转移性小肠肿瘤

沿肠壁长轴广泛浸润 卵巢癌侵犯邻近小肠
并见Φ3.0cm中等强回声型肿块
图3 白血病小肠侵犯 图4 腔外肿块型转移性小肠肿瘤

小肠膀胱之间见Φ6.0cm中等 X线小肠钡剂造影证实
, 百拇医药
回声型肿块,膀胱内可见游离气体
图5 睾丸精原细胞瘤小肠转移 图6 小肠、膀胱瘘
讨 论
恶性肿瘤转移至小肠或消化道其它部位的途径,包括直接侵犯、腹膜种植或通过血行、淋巴系统〔8〕。直接侵犯转移的恶性肿瘤常来源结肠、胰腺、胃和卵巢。肿瘤细胞通过组织间隙向周围蔓延,以侵犯邻近肠道为主。本组中尤其是以升结肠癌侵犯邻近十二指肠居多,其中3例形成升结肠十二指肠瘘。声像图表现为大小不同的两个相邻的假肾样肿块及内腔相通。腹膜种植转移的恶性肿瘤亦常来源于胃、结肠、胰腺、卵巢子宫等,肿瘤累及浆膜层后脱落到腹水中,后随腹水流动存积在腹腔和盆腔中的陷窝或皱褶处继续生长而产生腹膜种植转移。本组中5例卵巢癌小肠转移均有腹水。Meyers〔8〕认为在恶性肿瘤患者中腹水的出现,其不仅仅限于小肠的种植转移亦是沿小肠系膜或整个腹膜播散的结果。血行或淋巴系统途径转移至小肠相对少见,Moffat〔9〕曾报告盲肠癌可通过结肠周围淋巴通道和回肠之间形成的逆行淋巴回流转移到末端回肠。一般多来自远隔脏器的恶性肿瘤。本组包括鼻咽部恶性淋巴瘤、白血病、肺癌和睾丸精原细胞瘤。但也有来自乳腺癌、恶性黑色素瘤甚至肾透明细胞癌的报道。本组病例的收集符合以下消化道转移性肿瘤的诊断标准:①原发肿瘤部位明确;②经组织学或剖腹探查证实;③原发和转移性肿瘤的组织学特征相同;④原发和转移性肿瘤属不同器官。尽管上述存在着恶性肿瘤转移至小肠的不同途径学说,但最终结果和超声图像则是一致的,仍是被多数作者描述的“假肾”或“靶环”征〔2~4〕。借助饮水后观察液体在病变段小肠的通过或逆行温盐水灌肠大肠充盈的方法,进行定位诊断,可提高转移性小肠肿瘤的检出率。高分辨率的实时超声扫描仪虽可发现肠系膜上动脉、静脉旁的肿大淋巴结,却很难发现肠壁浆膜面小至1.0cm种植性结节〔2.7〕。关于转移性小肠肿瘤的回声类型,除恶性淋巴瘤、白血病侵犯小肠以末端回肠为好发部位和沿肠壁长轴广泛浸润呈均匀低至无回声区为主要特征外,其它与原发肿瘤的部位和病理组织学类型目前尚无规律性可言。
, http://www.100md.com
超声检查在转移性小肠肿瘤的诊断中的价值及其临床意义在于,其不仅能够作为首选方法直接发现病变本身,亦能显示其它相应的并发症包括:肠梗阻、肠套叠、穿孔、内瘘及窦道形成。从国内报告43例消化道转移性肿瘤患者的发病情况统计看〔10〕,急腹症体征者占23例,其中4例表现为典型转移性右下腹痛。本组出现2例,经超声检查并提示小肠远端梗阻,肠壁增厚性病变所致,并非急性阑尾炎。表明由此类易与其它急腹症相混淆的首发症状和体征通过超声检查能够作出相应的解释和鉴别诊断。
转移性小肠肿瘤患者虽多属晚期,但由此而产生的严重消化道症状并导致危及生命的各种急性并发症,常需外科采取相对积极的手术处理包括尽量切除转移灶或解除转移瘤引起的局部症状,从而有效的改善全身情况,提高生存质量和生存期。
参考文献
[1]李建国,董宝玮,陈敏华等.超声显像诊断胃壁隆起性病变.中华医学杂志,1985,(2):83~95
, http://www.100md.com
[2]王 彬,李建国,董宝玮.小肠肿瘤的超声图像表现.中华外科杂志,1991,(7):729~731
[3]王 彬,李建国,陈敏华等.大肠肿瘤的超声图像诊断.中华物理医学杂志,1985,(2):79~81
[4]陈敏华,严 昆,丁子清等.超声对颈段食管癌诊断价值的探讨.中华医学杂志,1993,(4):213~215
[5]王 玲,林 敏,崔友云等.体表超声诊断中段食管癌.中国超声医学杂志,1998,(5):20
[6]陈敏华,林 晶,严 昆等.体表超声对腹段食管癌的诊断价值.中华放射学杂志,1995,(4):230~232
[7]Bin W.Ultrasonography.In:Gourtsoyiannis N.C & Nolan D.J(ed)Imaging of Small Intestinal Tumors.Amsterdam:ELSEVIER 1997,323~343
[8]Meyers M A,Mcsweeney J,Secondary neoplasm of the bowel.Radiology 1972,105:1~11
[9]Moffdt RE,Gourley WK,Ileal Iymph node metastases from ceacal carcinoma.Radiology 1980,135:55~58
[10]王振军、黄筵庭.消化道转移性肿瘤的外科治疗价值.中华外科杂志,1995,(9):551~553
(1998-07-09收稿,1998-07-24修回), http://www.100md.com
单位:100034 北京医科大学第一医院超声诊断科(王 彬),放射科(孙洪月),普通外科(杨尹默、陈如法)
关键词:转移性肿瘤;小肠;超声检查
中国超声医学杂志990110 摘 要 目的与方法:通过阐述21例转移性小肠肿瘤的超声图像表现,从而达到在常规腹部超声检查中,提高转移性小肠肿瘤的检出率。结果:按照小肠肿瘤的超声图像分型,本组21例中,19例均属壁厚型。包括邻近脏器肿瘤对小肠的直接浸润和远隔肿瘤转移或种植,仅2例属腔外肿块型。1例为睾丸精原细胞瘤,小肠转移并有膀胱侵犯至小肠膀胱瘘形成,另1例为卵巢癌腹膜连同小肠种植转移。恶性淋巴瘤、白血病的小肠侵犯,远端小肠和回盲部是其好发部位。沿肠壁长轴侵犯,肠壁增厚以均匀透声性好的低回声区为主要特点。伴有不全肠梗阻和消化道出血。结论:转移性小肠肿瘤与原发肿瘤的部位及组织学类型的关系,目前尚无其它规律可言。
, 百拇医药
Sonographic Appearance of Small Bowel Metastasis
Wang Bin,Sun Hongyue,Yang Yimo,et al
The First Hospital of Beijing Medical University,Beijing 100034
ABSTRACT Objective and Method:The sonographic appearances of 21 small bowel metastasis cases were described.Results:According to the sonographic classification on small bowel neoplasms,19 cases with infiltration from the adjacent neoplasms and metastasis or implantation from the distant organs,were demonstrated as thick-wall type.A vesicointestinal fistula case resulted from seminoma involving both small bowel and bladder.Intraperitoneal seedings of small bowel from carcinoma of ovary in another case being demonstrated as extraluminal mass type.The distal small bowel and the ileocaecal region were the common sites of metastasis by malignant lymphomaa and leukemia,which characterized by infiltration along the long axis of the intestinal wall.Thickening of bowel wall with homogeneous,sonolucent area associated with incomplete obstruction and bleeding of small bowel were other manifestations being seen.Conclusion:Ultrasonic manifestation of small bowel metastasis is rather complicated and divertified.No specific rule can be afforded.More diagnostic informations should pursue clinical findings.
, 百拇医药
KEY WORDS Metastatic neoplasms Small bowel Ultrasonography
有关胃肠道甚至包括食管各段肿瘤的超声检查与研究评价相继被国内外作者论述〔1~6〕。小肠作为消化道转移性肿瘤的好发部位至今尚未见有专题报道。本文将对21例转移性小肠肿瘤的超声图像所见、鉴别诊断和恶性肿瘤的小肠转移途径进行讨论。
资料与方法
1991年10月至1998年4月采用ALOKA SSD-650和Diasonic FX型超声扫描仪探头频率3.5~7.5MHz。在常规腹部超声检查中发现并后经手术病理、穿刺活检、死后尸检证实为转移性小肠肿瘤共21例。其中男性9例,女性12例,年龄24~78岁,平均52.7岁。
原发肿瘤部位和类别包括:升结肠癌7例,降结肠癌1例,胃癌2例,胰体癌1例,卵巢癌5例,阑尾粘液腺癌1例,鼻咽部恶性淋巴瘤、白血病、肺癌、睾丸精原细胞瘤各1例。本组患者就诊时主要症状包括:腹痛18例,急性并转移性右下腹痛各1例,腹胀12例,腹部扪及或可疑包块7例,肠梗阻6例,黑便2例,腹水5例,实验室检查:CEA升高3例。
, http://www.100md.com
结 果
按照小肠肿瘤的超声图像分型〔7〕,本组21例转移性小肠肿瘤中19例均属壁厚型。肿瘤大体形态和长、短轴切面为受累肠壁增厚分别显示为假肾和靶环征(图1.2)。厚度范围0.8~2.0cm,长度范围3.0~7.0cm;2例长度>10cm分别为鼻咽部恶性淋巴瘤和白血病远端小肠侵犯,沿肠壁长轴浸润呈均匀低回声区(图3)。2例属腔外肿块型。11例为卵巢癌腹膜种植性转移连同小肠襻与壁层腹膜之间Φ3.0cm中等强回声型肿块并有多量腹水(图4)。另1例为睾丸精原细胞瘤小肠转移,相当于远端小肠与膀胱之间见Φ6.0cm中等回声实性肿块伴边缘肠腔强回声及膀胱内游离气体,提示:小肠外生型肿瘤侵犯膀胱并有内瘘形成,X线气钡双重对比造影后患者排出白色钡剂尿液(图5,6)。
, http://www.100md.com
长轴呈典型“假肾”征 短轴切面,大致呈“靶环”征
图1 壁厚型,转移性小肠肿瘤 图2 转移性小肠肿瘤
沿肠壁长轴广泛浸润 卵巢癌侵犯邻近小肠
并见Φ3.0cm中等强回声型肿块
图3 白血病小肠侵犯 图4 腔外肿块型转移性小肠肿瘤
小肠膀胱之间见Φ6.0cm中等 X线小肠钡剂造影证实
, 百拇医药
回声型肿块,膀胱内可见游离气体
图5 睾丸精原细胞瘤小肠转移 图6 小肠、膀胱瘘
讨 论
恶性肿瘤转移至小肠或消化道其它部位的途径,包括直接侵犯、腹膜种植或通过血行、淋巴系统〔8〕。直接侵犯转移的恶性肿瘤常来源结肠、胰腺、胃和卵巢。肿瘤细胞通过组织间隙向周围蔓延,以侵犯邻近肠道为主。本组中尤其是以升结肠癌侵犯邻近十二指肠居多,其中3例形成升结肠十二指肠瘘。声像图表现为大小不同的两个相邻的假肾样肿块及内腔相通。腹膜种植转移的恶性肿瘤亦常来源于胃、结肠、胰腺、卵巢子宫等,肿瘤累及浆膜层后脱落到腹水中,后随腹水流动存积在腹腔和盆腔中的陷窝或皱褶处继续生长而产生腹膜种植转移。本组中5例卵巢癌小肠转移均有腹水。Meyers〔8〕认为在恶性肿瘤患者中腹水的出现,其不仅仅限于小肠的种植转移亦是沿小肠系膜或整个腹膜播散的结果。血行或淋巴系统途径转移至小肠相对少见,Moffat〔9〕曾报告盲肠癌可通过结肠周围淋巴通道和回肠之间形成的逆行淋巴回流转移到末端回肠。一般多来自远隔脏器的恶性肿瘤。本组包括鼻咽部恶性淋巴瘤、白血病、肺癌和睾丸精原细胞瘤。但也有来自乳腺癌、恶性黑色素瘤甚至肾透明细胞癌的报道。本组病例的收集符合以下消化道转移性肿瘤的诊断标准:①原发肿瘤部位明确;②经组织学或剖腹探查证实;③原发和转移性肿瘤的组织学特征相同;④原发和转移性肿瘤属不同器官。尽管上述存在着恶性肿瘤转移至小肠的不同途径学说,但最终结果和超声图像则是一致的,仍是被多数作者描述的“假肾”或“靶环”征〔2~4〕。借助饮水后观察液体在病变段小肠的通过或逆行温盐水灌肠大肠充盈的方法,进行定位诊断,可提高转移性小肠肿瘤的检出率。高分辨率的实时超声扫描仪虽可发现肠系膜上动脉、静脉旁的肿大淋巴结,却很难发现肠壁浆膜面小至1.0cm种植性结节〔2.7〕。关于转移性小肠肿瘤的回声类型,除恶性淋巴瘤、白血病侵犯小肠以末端回肠为好发部位和沿肠壁长轴广泛浸润呈均匀低至无回声区为主要特征外,其它与原发肿瘤的部位和病理组织学类型目前尚无规律性可言。
, http://www.100md.com
超声检查在转移性小肠肿瘤的诊断中的价值及其临床意义在于,其不仅能够作为首选方法直接发现病变本身,亦能显示其它相应的并发症包括:肠梗阻、肠套叠、穿孔、内瘘及窦道形成。从国内报告43例消化道转移性肿瘤患者的发病情况统计看〔10〕,急腹症体征者占23例,其中4例表现为典型转移性右下腹痛。本组出现2例,经超声检查并提示小肠远端梗阻,肠壁增厚性病变所致,并非急性阑尾炎。表明由此类易与其它急腹症相混淆的首发症状和体征通过超声检查能够作出相应的解释和鉴别诊断。
转移性小肠肿瘤患者虽多属晚期,但由此而产生的严重消化道症状并导致危及生命的各种急性并发症,常需外科采取相对积极的手术处理包括尽量切除转移灶或解除转移瘤引起的局部症状,从而有效的改善全身情况,提高生存质量和生存期。
参考文献
[1]李建国,董宝玮,陈敏华等.超声显像诊断胃壁隆起性病变.中华医学杂志,1985,(2):83~95
, http://www.100md.com
[2]王 彬,李建国,董宝玮.小肠肿瘤的超声图像表现.中华外科杂志,1991,(7):729~731
[3]王 彬,李建国,陈敏华等.大肠肿瘤的超声图像诊断.中华物理医学杂志,1985,(2):79~81
[4]陈敏华,严 昆,丁子清等.超声对颈段食管癌诊断价值的探讨.中华医学杂志,1993,(4):213~215
[5]王 玲,林 敏,崔友云等.体表超声诊断中段食管癌.中国超声医学杂志,1998,(5):20
[6]陈敏华,林 晶,严 昆等.体表超声对腹段食管癌的诊断价值.中华放射学杂志,1995,(4):230~232
[7]Bin W.Ultrasonography.In:Gourtsoyiannis N.C & Nolan D.J(ed)Imaging of Small Intestinal Tumors.Amsterdam:ELSEVIER 1997,323~343
[8]Meyers M A,Mcsweeney J,Secondary neoplasm of the bowel.Radiology 1972,105:1~11
[9]Moffdt RE,Gourley WK,Ileal Iymph node metastases from ceacal carcinoma.Radiology 1980,135:55~58
[10]王振军、黄筵庭.消化道转移性肿瘤的外科治疗价值.中华外科杂志,1995,(9):551~553
(1998-07-09收稿,1998-07-24修回), http://www.100md.com