能量谐波成像在肝占位病变检查中的临床应用
作者:董宝玮 唐 杰 于晓玲 罗玉昆 于德江 苏 莉
单位:100853 北京解放军总医院超声科
关键词:能量谐波成像;肝脏占位病变
中国超声医学杂志990105 摘 要 目的:了解能量谐波成像对肝脏占位病变的应用价值。方法:用能量多普勒超声和能量谐波成像检查的肝脏占位性病变12例,其中肝细胞肝癌(HCC)4例,肝转移癌3例,血管瘤2例,坏死结节1例,炎性病灶2例。所有病例均经超声引导下穿刺活检或手术后获得组织学证实。选用ATL公司HDI-3000、HDI-5000数字化彩色多普勒超声诊断仪和Levovist造影剂。结果:8例患者经能量谐波成像检查显示出肿瘤组织内的细小、低速血流信号;有6例肝恶性肿瘤的血流信号增强,强度评分为2,4例肝良性肿瘤评分为1。结论:能量谐波成像可以客观评估肝组织及其病变的血流灌注状态,特异性强、灵敏性高,能显著提高肝脏肿瘤良恶性的鉴别诊断水平,还能有效评价超声介入性治疗后的疗效,是一项很具潜力的超声诊断新技术,值得在临床广泛推广应用。
, 百拇医药
Clinical Evaluation of Power Harmonic Imaging in the Liver Lesion
Dong Bwowei,Tang Jie,Yu Xiaoling,et al
Department of Ultrasound,Chinese PLA General Hospital,Beijing 100853
ABSTRACT Objective:To evaluate the clinical application of power harmonic imaging in the liver space-occupying lesions.Method:12 patients with hepatic lesion were investigated by color Doppler and Power Harmonic Imaging(PHI),which included 4 hepatocellular carcinomas,3 metastases,2 hemoangiomas,1 necrotic node as well as 2 inflammations.The histologic evidence was obtained in all patients after biopsies or postoperations.HDI-3000 digital color Doppler system was used in the examinations.The contrast agent was Levovist.Results:The fine and Low velocity blood flow was revealed in 8 patients;the intensity of the blood flow signals enhanced in malignant tumors was grade 2,but in benign tumors was grade 1.Conclusion:PHI can be used in the evaluation of the perfusion of the liver and its humors blood flow because of the specificity and sensitivity,it will increase the ability identifying the malignant and benign tumors.PHI is a good method of the evaluation in the interventional therapy guided by ultrasound,a potential technique of the diagnostic ultrasound and will be used in clinical practice widely.
, 百拇医药
KEY WORDS Power harmonic imaging Liver space-occupying lesions
1995年以来,二次谐波成像技术逐步趋于成熟,近年开始应用于心脏以外的器官或组织检查。应用于临床的谐波成像有两种方式:一是组织频移谐波成像,二是通过超声造影剂实现的血流对比谐波成像。由于该技术能显示更小、更低流速的血流信号,为研究组织的血流灌注提供了可靠的手段,并为鉴别肿瘤性质开辟了新的途径〔1~4〕。本文报道我们应用能量多普勒超声(CDE)和能量谐波成像(Power Harmonic Imaging),即血流谐波成像在肝脏中对照检查的初步体会。
资料与方法
病例:经用能量多普勒超声和能量谐波成像检查的肝脏占位性病变12例(17例次),男7例,女5例,年龄27~70岁,平均57岁,其中肝细胞肝癌(HCC)4例,肝转移癌3例(含1例超声引导下两次微波治疗的6次前后对照检查),血管瘤2例,坏死结节1例,炎性病灶2例。所有病例均经超声引导下穿刺活检或手术后获组织学确诊。
, http://www.100md.com
仪器和方法:选用ATL HDI-3000、HDI-5000全数字化彩色多普勒超声诊断仪,配有腹部谐波及能量谐波成像软件,C4-2和C5-2超宽频带探头,探头中心频率20~5.0MHz。在二次谐波检查时,发射频率为2.25MHz,接收频率为4.50MHz。造影剂选用Levovist(德国先灵公司生产),其使用浓度为300mg/ml,共8.5ml,推注时间依据能量多普勒超声检查情况而定:如果能量多普勒超声显示肿瘤血流较少,甚至缺乏血流,推注时间应短;相反,如果肿瘤血流较丰富,推注时间则应相对延长。注射时间为16s~280s。注射位置是受检者的肘静脉。检查过程的全部图像存入激光盘和由S-VSH录像机记录。能量谐波成像检查获得的肝肿瘤组织血流信号强度的评价采用国内外学者常用的评价方法:0=多普勒信号无改变,1=多普勒信号轻度增强,2=最佳的多普勒信号增强,3=多普勒信号增强超出诊断需要〔5,6〕。
结 果
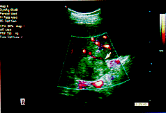
提高肝肿瘤血流信号显示的灵敏性:超声造影后进行能量谐波成像检查能够明显改善能量多普勒超声对肝脏肿瘤周边和内部的血流显示,特别是可显示能量多普勒难以探查到的细小、低速血流,从而大大提高了血流的分辨率。经与能量多普勒超声对照检查,仅被能量谐波成像显示的血流结果见表1。其中1例HCC位于肝尾叶,由于肿瘤位置深,能量多普勒超声检查时未能显示肿瘤内部和周边的血流,声像图也难以确切判定肿瘤是来源于肝尾叶或后腹膜腔;注射超声造影剂后,能量谐波成像检查有效地显示出肿瘤周边和内部血流,以及从肝脏方向来的滋养血流(图1)。

, 百拇医药
A.能量多普勒超声未显示肿瘤血流信号;
B.注射超声造影剂后,能量二次谐波显示肿瘤周边和内部有丰富的 血流信号
图1 肝尾叶肝细胞癌(箭头所示)
表1 能量谐波成像和CDE对照检查结果 病变类别
例数
肿瘤周边血流
肿瘤内血流
CDE 能量谐波成像
CDE 能量谐波成像
HCC
转移癌
, 百拇医药
血管瘤
炎性病灶
坏死结节
合 计
4
3
2
2
1
12
2 3
1 2… 2… 1… 1
3 9
, http://www.100md.com
2 4
1 2… …… 1… 1
3 8
客观地显示肝及其病灶的血流状态:与能量多普勒超声比较,能量谐波成像能更有效地将血流的走行和分布状态显示出来。有1例HCC和1例肝转移癌在能量多普勒检查时,肿瘤内仅见少量血流信号;而能量谐波成像检查时则见肿瘤周边有明确的粗大滋养血流,并进入肿瘤内分支成数支细小血流。肝良性肿瘤则无此种征象。
增加肝肿瘤血流信号的强度:注射超声造影剂后,肝脏肿瘤组织的血流信号在能量谐波成像检查时会得到增强,但是,不同肝肿瘤组织的增强强度有一定差别,其结果见表2。表2 不同肝肿瘤组织血流信号增强评分结果 病变类别
例数
血流信号增强评分
, http://www.100md.com
0
1
2
3
HCC
4
4
转移癌
3
1
2
血管瘤
2
2
, http://www.100md.com
炎性病灶
2
1
1
坏死结节
1
1
合 计
12
4
2
6
通过表2可以看出,能量谐波成像对肝恶性肿瘤(特别是HCC)的血流信号增强强度明显高于肝良性肿瘤。
, 百拇医药
判定超声引导下微波治疗肝癌的效果:本组1例肝转移癌在第1次治疗前,进行能量谐波成像检查时发现肿瘤内和周边均可见明确的血流信号,特别是有三支滋养血流进入肿瘤内。在治疗后复查发现原肿瘤内和周边的血流信号明显减少,但仍见一支滋养血流存在。后经超声引导下穿刺活检证实肿瘤组织大部分坏死,但有残存的癌细胞;因此,在有血流信号的部位进行了第2次微波热凝固治疗。在第2次治疗后的能量谐波成像检查时,原肿瘤内和周围的血流信号完全消失,再行肿瘤的多点穿刺活检未发现任何存活癌细胞(图2)。
A.声像图显示肝右叶有一低回声肿瘤;B.能量多普勒超声显示少量肿瘤血流信号;C.注射超声造影剂后,能量二次谐波显示肿瘤周边和内部有丰富的血流信号;D.在第一次超声引导下微波治疗后48小时,复查能量二次谐波见肿瘤周边和内部血流信号明显减少。
图2 肝转移癌(箭头所示)
, 百拇医药
讨 论
谐波成像是运用超声波场中的组织和造影剂微泡在常规反射和散射声波能量之外,其自身还存在固有非线性振动的频率,即一次、二次、三次谐波等。除基波外这些反射频率的特征是能量低,但分辨率高。传统的超声仪器不能有效的对这部分信息进行接收和处理,而最新推出的具有超宽频带探头的数字化超声诊断仪,能够有效地利用二次谐波原理获得相关成像是医学超声领域的又一重要发展。而能量谐波成像结合造影剂的运用,它除了能有效增强多普勒血流信号外,它还可作为标记物进入感兴趣的靶器官或组织,有效反映组织血流灌注情况〔7,8〕。1996年,Burns报道谐波成像在显示组织和器官血流方面明显优于能显多普勒血流超声〔9〕。通过运用能量谐波成像检查不同肝脏肿瘤,我们有如下初步体会。
能量谐波成像显示肿瘤血流更敏感:与能量多普勒超声对照检查的结果表明能量谐波成像能够更敏感地显示肝肿瘤组织的血流信号,特别是能量多普勒超声难以显示的肿瘤组织中的细小和低速血流,还有位置较深的血流,同时也优于单纯的能量多普勒超声结合超声造影剂的血流成像〔10〕。
, 百拇医药
帮助鉴别肝肿瘤性质:由于能量谐波成像能够有效显示肿瘤组织的血流,并能动态反映出造影剂作用的强度,因此可以直接显示出肿瘤组织的血流灌注特征,其有助于肝肿瘤性质的鉴别。本组结果显示能量谐波成像对肝恶性肿瘤(特别是HCC)的血流信号增强强度明显高于肝良性肿瘤,这符合肝肿瘤的基本供血特征。即90%以上的肝脏恶性肿瘤为多供血肿瘤。
帮助判定肿瘤来源:在肿瘤的位置较深或不典型时,二维声像图难以判断肿瘤的来源。能量谐波成像提高了肿瘤内和周围的血流显示,从而有助于确定肿瘤的滋养血管,帮助判断肿瘤的来源,其具有重要的临床价值。
判定超声介入性治疗效果:肝脏恶性肿瘤的超声介入性治疗疗效一方面依赖于瘤体组织的灭活;另一方面有赖于肿瘤组织血流灌注的阻断程度。后者则决定着肝癌介入性治疗的中远期疗效。如果超声介入性治疗后,能量谐波成像检查仍能显示肿瘤组织内有残存血流信号,则应进行进一步的相关治疗。因此对于肝脏恶性肿瘤的血流动力学的研究是有很重要的临床意义。在了解肝脏恶性肿瘤血流灌注情况方面,能量谐波成像与其它影像学比较,具有创伤小、直观、重复性好和无副作用等优点。
, 百拇医药
总之,能量谐波成像可以客观评估肝组织及其病变的血流灌注状态,特异性强、灵敏性高,能显著提高肝脏肿瘤良恶性的鉴别诊断水平,还能有效评价超声介入性治疗后的疗效,是一项很具潜力的超声诊断新技术,值得在临床广泛推广应用。
(致谢:本研究得到了ATL(China)LPD.和德国先灵公司的大力支持,在此,一并表示感谢!)
参考文献
[1]Chang PH,Shung KK,Levene HB.Quantitative measurement of second harmonic Doppler using ultrasound contrast agents.Ultrasound Med Biol,1996,22(9):1205~1214
[2]Schrope B,Newhouse VL.Second harmonic ultrasound blood perfusion measurement.Ultrasound Med Biol,1993,19:567~579
, 百拇医药
[3]Forsberg F,Liu JB,Rawool NM,et al.Gray-scale and color flow harmonic imaging with proteinaceous microsphers.Radiology,1995,197(P):403
[4]Goldberg BB,Liu JB,Buens PN,et al.Galactosebased intravenous sonograpgic contrast agent:Experimental studies.J Ultrasound Med.1993,12:463~470
[5]Kedar RP,Cosgrove D,McGready VR,et al.Microbubble contrast agent for color Doppler US:Effect on breast masses-work in progress.Radiology,1996,98:679~686
, http://www.100md.com
[6]姜玉新,戴 晴,张缙熙,等.经周围静脉注射Levovist彩色多普勒超声造影诊断肝肿瘤的研究.中国超声医学杂志,1997,13(12):10~11
[7]Goldberg BB,Liu JB,Forsberg F.Ultrasound contrast agents:A review.Ultrasound Med Biol,1994,20:319~333
[8]唐 杰,董宝玮,于晓玲,等.超声造影剂在正常人肝脏中的应用研究.中国超声医学杂志,1997,13(12):7~8
[9]Burns PN,Powers JF,Simpson DH,et al.Harmonic imaging:Princiles and Preliminary results.Angiology,1996,47(7):s63~74
[10]Tanak S,Kitumra T,Yoshioka F,et al.Effectiveness of galactose-based intravenous contrast medium on color Doppler sonography of deeply located hepatocellular caercinoma.Ultrasound in Med,1995,21(2):157~160
(1998-09-08收稿), 百拇医药
单位:100853 北京解放军总医院超声科
关键词:能量谐波成像;肝脏占位病变
中国超声医学杂志990105 摘 要 目的:了解能量谐波成像对肝脏占位病变的应用价值。方法:用能量多普勒超声和能量谐波成像检查的肝脏占位性病变12例,其中肝细胞肝癌(HCC)4例,肝转移癌3例,血管瘤2例,坏死结节1例,炎性病灶2例。所有病例均经超声引导下穿刺活检或手术后获得组织学证实。选用ATL公司HDI-3000、HDI-5000数字化彩色多普勒超声诊断仪和Levovist造影剂。结果:8例患者经能量谐波成像检查显示出肿瘤组织内的细小、低速血流信号;有6例肝恶性肿瘤的血流信号增强,强度评分为2,4例肝良性肿瘤评分为1。结论:能量谐波成像可以客观评估肝组织及其病变的血流灌注状态,特异性强、灵敏性高,能显著提高肝脏肿瘤良恶性的鉴别诊断水平,还能有效评价超声介入性治疗后的疗效,是一项很具潜力的超声诊断新技术,值得在临床广泛推广应用。
, 百拇医药
Clinical Evaluation of Power Harmonic Imaging in the Liver Lesion
Dong Bwowei,Tang Jie,Yu Xiaoling,et al
Department of Ultrasound,Chinese PLA General Hospital,Beijing 100853
ABSTRACT Objective:To evaluate the clinical application of power harmonic imaging in the liver space-occupying lesions.Method:12 patients with hepatic lesion were investigated by color Doppler and Power Harmonic Imaging(PHI),which included 4 hepatocellular carcinomas,3 metastases,2 hemoangiomas,1 necrotic node as well as 2 inflammations.The histologic evidence was obtained in all patients after biopsies or postoperations.HDI-3000 digital color Doppler system was used in the examinations.The contrast agent was Levovist.Results:The fine and Low velocity blood flow was revealed in 8 patients;the intensity of the blood flow signals enhanced in malignant tumors was grade 2,but in benign tumors was grade 1.Conclusion:PHI can be used in the evaluation of the perfusion of the liver and its humors blood flow because of the specificity and sensitivity,it will increase the ability identifying the malignant and benign tumors.PHI is a good method of the evaluation in the interventional therapy guided by ultrasound,a potential technique of the diagnostic ultrasound and will be used in clinical practice widely.
, 百拇医药
KEY WORDS Power harmonic imaging Liver space-occupying lesions
1995年以来,二次谐波成像技术逐步趋于成熟,近年开始应用于心脏以外的器官或组织检查。应用于临床的谐波成像有两种方式:一是组织频移谐波成像,二是通过超声造影剂实现的血流对比谐波成像。由于该技术能显示更小、更低流速的血流信号,为研究组织的血流灌注提供了可靠的手段,并为鉴别肿瘤性质开辟了新的途径〔1~4〕。本文报道我们应用能量多普勒超声(CDE)和能量谐波成像(Power Harmonic Imaging),即血流谐波成像在肝脏中对照检查的初步体会。
资料与方法
病例:经用能量多普勒超声和能量谐波成像检查的肝脏占位性病变12例(17例次),男7例,女5例,年龄27~70岁,平均57岁,其中肝细胞肝癌(HCC)4例,肝转移癌3例(含1例超声引导下两次微波治疗的6次前后对照检查),血管瘤2例,坏死结节1例,炎性病灶2例。所有病例均经超声引导下穿刺活检或手术后获组织学确诊。
, http://www.100md.com
仪器和方法:选用ATL HDI-3000、HDI-5000全数字化彩色多普勒超声诊断仪,配有腹部谐波及能量谐波成像软件,C4-2和C5-2超宽频带探头,探头中心频率20~5.0MHz。在二次谐波检查时,发射频率为2.25MHz,接收频率为4.50MHz。造影剂选用Levovist(德国先灵公司生产),其使用浓度为300mg/ml,共8.5ml,推注时间依据能量多普勒超声检查情况而定:如果能量多普勒超声显示肿瘤血流较少,甚至缺乏血流,推注时间应短;相反,如果肿瘤血流较丰富,推注时间则应相对延长。注射时间为16s~280s。注射位置是受检者的肘静脉。检查过程的全部图像存入激光盘和由S-VSH录像机记录。能量谐波成像检查获得的肝肿瘤组织血流信号强度的评价采用国内外学者常用的评价方法:0=多普勒信号无改变,1=多普勒信号轻度增强,2=最佳的多普勒信号增强,3=多普勒信号增强超出诊断需要〔5,6〕。
结 果
提高肝肿瘤血流信号显示的灵敏性:超声造影后进行能量谐波成像检查能够明显改善能量多普勒超声对肝脏肿瘤周边和内部的血流显示,特别是可显示能量多普勒难以探查到的细小、低速血流,从而大大提高了血流的分辨率。经与能量多普勒超声对照检查,仅被能量谐波成像显示的血流结果见表1。其中1例HCC位于肝尾叶,由于肿瘤位置深,能量多普勒超声检查时未能显示肿瘤内部和周边的血流,声像图也难以确切判定肿瘤是来源于肝尾叶或后腹膜腔;注射超声造影剂后,能量谐波成像检查有效地显示出肿瘤周边和内部血流,以及从肝脏方向来的滋养血流(图1)。
, 百拇医药
A.能量多普勒超声未显示肿瘤血流信号;
B.注射超声造影剂后,能量二次谐波显示肿瘤周边和内部有丰富的 血流信号
图1 肝尾叶肝细胞癌(箭头所示)
表1 能量谐波成像和CDE对照检查结果 病变类别
例数
肿瘤周边血流
肿瘤内血流
CDE 能量谐波成像
CDE 能量谐波成像
HCC
转移癌
, 百拇医药
血管瘤
炎性病灶
坏死结节
合 计
4
3
2
2
1
12
2 3
1 2… 2… 1… 1
3 9
, http://www.100md.com
2 4
1 2… …… 1… 1
3 8
客观地显示肝及其病灶的血流状态:与能量多普勒超声比较,能量谐波成像能更有效地将血流的走行和分布状态显示出来。有1例HCC和1例肝转移癌在能量多普勒检查时,肿瘤内仅见少量血流信号;而能量谐波成像检查时则见肿瘤周边有明确的粗大滋养血流,并进入肿瘤内分支成数支细小血流。肝良性肿瘤则无此种征象。
增加肝肿瘤血流信号的强度:注射超声造影剂后,肝脏肿瘤组织的血流信号在能量谐波成像检查时会得到增强,但是,不同肝肿瘤组织的增强强度有一定差别,其结果见表2。表2 不同肝肿瘤组织血流信号增强评分结果 病变类别
例数
血流信号增强评分
, http://www.100md.com
0
1
2
3
HCC
4
4
转移癌
3
1
2
血管瘤
2
2
, http://www.100md.com
炎性病灶
2
1
1
坏死结节
1
1
合 计
12
4
2
6
通过表2可以看出,能量谐波成像对肝恶性肿瘤(特别是HCC)的血流信号增强强度明显高于肝良性肿瘤。
, 百拇医药
判定超声引导下微波治疗肝癌的效果:本组1例肝转移癌在第1次治疗前,进行能量谐波成像检查时发现肿瘤内和周边均可见明确的血流信号,特别是有三支滋养血流进入肿瘤内。在治疗后复查发现原肿瘤内和周边的血流信号明显减少,但仍见一支滋养血流存在。后经超声引导下穿刺活检证实肿瘤组织大部分坏死,但有残存的癌细胞;因此,在有血流信号的部位进行了第2次微波热凝固治疗。在第2次治疗后的能量谐波成像检查时,原肿瘤内和周围的血流信号完全消失,再行肿瘤的多点穿刺活检未发现任何存活癌细胞(图2)。
A.声像图显示肝右叶有一低回声肿瘤;B.能量多普勒超声显示少量肿瘤血流信号;C.注射超声造影剂后,能量二次谐波显示肿瘤周边和内部有丰富的血流信号;D.在第一次超声引导下微波治疗后48小时,复查能量二次谐波见肿瘤周边和内部血流信号明显减少。
图2 肝转移癌(箭头所示)
, 百拇医药
讨 论
谐波成像是运用超声波场中的组织和造影剂微泡在常规反射和散射声波能量之外,其自身还存在固有非线性振动的频率,即一次、二次、三次谐波等。除基波外这些反射频率的特征是能量低,但分辨率高。传统的超声仪器不能有效的对这部分信息进行接收和处理,而最新推出的具有超宽频带探头的数字化超声诊断仪,能够有效地利用二次谐波原理获得相关成像是医学超声领域的又一重要发展。而能量谐波成像结合造影剂的运用,它除了能有效增强多普勒血流信号外,它还可作为标记物进入感兴趣的靶器官或组织,有效反映组织血流灌注情况〔7,8〕。1996年,Burns报道谐波成像在显示组织和器官血流方面明显优于能显多普勒血流超声〔9〕。通过运用能量谐波成像检查不同肝脏肿瘤,我们有如下初步体会。
能量谐波成像显示肿瘤血流更敏感:与能量多普勒超声对照检查的结果表明能量谐波成像能够更敏感地显示肝肿瘤组织的血流信号,特别是能量多普勒超声难以显示的肿瘤组织中的细小和低速血流,还有位置较深的血流,同时也优于单纯的能量多普勒超声结合超声造影剂的血流成像〔10〕。
, 百拇医药
帮助鉴别肝肿瘤性质:由于能量谐波成像能够有效显示肿瘤组织的血流,并能动态反映出造影剂作用的强度,因此可以直接显示出肿瘤组织的血流灌注特征,其有助于肝肿瘤性质的鉴别。本组结果显示能量谐波成像对肝恶性肿瘤(特别是HCC)的血流信号增强强度明显高于肝良性肿瘤,这符合肝肿瘤的基本供血特征。即90%以上的肝脏恶性肿瘤为多供血肿瘤。
帮助判定肿瘤来源:在肿瘤的位置较深或不典型时,二维声像图难以判断肿瘤的来源。能量谐波成像提高了肿瘤内和周围的血流显示,从而有助于确定肿瘤的滋养血管,帮助判断肿瘤的来源,其具有重要的临床价值。
判定超声介入性治疗效果:肝脏恶性肿瘤的超声介入性治疗疗效一方面依赖于瘤体组织的灭活;另一方面有赖于肿瘤组织血流灌注的阻断程度。后者则决定着肝癌介入性治疗的中远期疗效。如果超声介入性治疗后,能量谐波成像检查仍能显示肿瘤组织内有残存血流信号,则应进行进一步的相关治疗。因此对于肝脏恶性肿瘤的血流动力学的研究是有很重要的临床意义。在了解肝脏恶性肿瘤血流灌注情况方面,能量谐波成像与其它影像学比较,具有创伤小、直观、重复性好和无副作用等优点。
, 百拇医药
总之,能量谐波成像可以客观评估肝组织及其病变的血流灌注状态,特异性强、灵敏性高,能显著提高肝脏肿瘤良恶性的鉴别诊断水平,还能有效评价超声介入性治疗后的疗效,是一项很具潜力的超声诊断新技术,值得在临床广泛推广应用。
(致谢:本研究得到了ATL(China)LPD.和德国先灵公司的大力支持,在此,一并表示感谢!)
参考文献
[1]Chang PH,Shung KK,Levene HB.Quantitative measurement of second harmonic Doppler using ultrasound contrast agents.Ultrasound Med Biol,1996,22(9):1205~1214
[2]Schrope B,Newhouse VL.Second harmonic ultrasound blood perfusion measurement.Ultrasound Med Biol,1993,19:567~579
, 百拇医药
[3]Forsberg F,Liu JB,Rawool NM,et al.Gray-scale and color flow harmonic imaging with proteinaceous microsphers.Radiology,1995,197(P):403
[4]Goldberg BB,Liu JB,Buens PN,et al.Galactosebased intravenous sonograpgic contrast agent:Experimental studies.J Ultrasound Med.1993,12:463~470
[5]Kedar RP,Cosgrove D,McGready VR,et al.Microbubble contrast agent for color Doppler US:Effect on breast masses-work in progress.Radiology,1996,98:679~686
, http://www.100md.com
[6]姜玉新,戴 晴,张缙熙,等.经周围静脉注射Levovist彩色多普勒超声造影诊断肝肿瘤的研究.中国超声医学杂志,1997,13(12):10~11
[7]Goldberg BB,Liu JB,Forsberg F.Ultrasound contrast agents:A review.Ultrasound Med Biol,1994,20:319~333
[8]唐 杰,董宝玮,于晓玲,等.超声造影剂在正常人肝脏中的应用研究.中国超声医学杂志,1997,13(12):7~8
[9]Burns PN,Powers JF,Simpson DH,et al.Harmonic imaging:Princiles and Preliminary results.Angiology,1996,47(7):s63~74
[10]Tanak S,Kitumra T,Yoshioka F,et al.Effectiveness of galactose-based intravenous contrast medium on color Doppler sonography of deeply located hepatocellular caercinoma.Ultrasound in Med,1995,21(2):157~160
(1998-09-08收稿), 百拇医药