应用口服超声肠道显影液诊断结直肠肿瘤
作者:王 绮 马桂英 吕荷叶 张延瑞 徐红伟 丁祖锐 张俊杰 李明山
单位:王绮 马桂英 张延瑞 徐红伟 丁祖锐 李明山(450003 河南省人民医院);吕荷叶(河南省胸科医院)
关键词:口服超声肠道显影液;结直肠肿瘤
中国超声医学杂志990218 摘 要 目的:探索肠道超声显影液在结直肠肿瘤中的应用价值。方法:患者空腹排便后服超声肠道显影液探索肠道超声显影液在结直肠肿瘤中的应用价值。方法:患者空腹排便后服超声肠道显影液70-80ml,饮水500~700ml,待结直肠充盈后,经腹部进行超声检查。结果:共检出息肉54例,恶性肿瘤87例,均经肠镜、手术证实。息肉表现为圆形略强回声,附着处肠壁连续关系正常。结直肠癌表现多样,可分为三型:隆起型、溃疡型和壁厚狭窄型。内部回声有随着瘤体增大,浸润深度增加而逐渐减弱的趋势。超声还可对肿瘤的分期做出判断。本文还对影响超声检出率及准确性的因素进行了分析。结论:口服超声肠道显影液具有方便、快捷、实用等特点,适用于各级医院。
, 百拇医药
Oral Ultrasonic Bowel Contrast Solution to Diagnose Colorectal Tumor
Wang Qi,Ma Guiying,Lu Heyie,et al
Henan Provincal Hospital,Zhengzhou 450003
ABSTRACT Objective:Study of oral contrast agent(OCA)in diagnosis of colorectal tumor.Method:After defecation,the patient takes 70-80ml contrast agent and 500-700ml water,until the agent fills the colorectum,then transabdominal examination starts.Results:54 polypus and 87 carcinoma cases were detected and all confirmed by fibercolonoscopy,operation and pathology.The tumor appeared as mass,ulceration,intestinal stenosis or deep invasion of hypoechogenicity.The polips showed high echo and the wall was continuous.Conclusion:OCA diagnosing colorectal tumor is feasible.
, 百拇医药
KEY WORDS Oral ultrasonic bowel contrast Colorecal tumor
自1991年11月起,我们应用自制的口服超声肠道显影液对530人次进行肠道检查,共检出肠道肿瘤141例,效果良好。
资料与方法
141例患者,均为我院门诊及住院患者,男89例,女52例,年龄6~76岁,平均47.18±15.24岁。使用仪器超9-HDI+ESP,Aloka-620,Siemens SI-250,探头频率3.5MHz。
查前一日晚素食,睡前服缓泄剂,次日晨空腹,排便后服超声肠道显影液70~80ml,饮水500~700ml,待有便意后检查。查时按结直肠充盈顺序进行。
结 果
, 百拇医药
全部病例均经肠镜或手术病理证实。
息肉样病变组54例,男39例,女15例,年龄6~65岁,平均39.35±16.20岁。病理类型及分布见表1,发生于直-乙段的占80%。息肉样病变检出的最小范围0.8cm×1.0cm,最大2.6cm×3.4cm。超声主要表现为类圆形中等略强回声,边界清晰,较规则,内回声均匀,带细蒂者,随着肠蠕动,有时呈漂动状,附着处肠壁各层结构清晰,连续完整无中断。
表1 54例结直肠息肉病理及分布
绒毛状
腺瘤
管状
腺瘤
幼年型
, 百拇医药
息肉
混合型
瘤样
增生
息肉病
炎性
息肉
直肠
5
9
4
2
2
1
, 百拇医药
乙状结肠
4
6
4
1
2
4
降结肠
1
2
1
横结肠
1
升结肠
, 百拇医药
1
回盲部
1
3
全结肠
1
合 计
11
18
10
3
4
1
8
, 百拇医药
注:1例直肠息肉,共两枚,病理分别为绒毛状腺瘤及管状腺瘤。
恶性肿瘤组共87例,男49例,女38例,年龄18~76岁,平均51.90±12.26岁。病理类型及分布见表2。结直肠恶性肿瘤以腺癌多见,约占90.8%,主要分布于直-乙段,占结直肠癌的70.1%,亦以腹痛、腹泄、便血为主要症状。
表2 87例结直肠癌病理及分布
腺癌
绒毛状腺
瘤癌变
管状腺
瘤癌变
粘液腺癌
, 百拇医药 印戎细
胞癌
鳞癌
直肠
37
1
2
2
1
乙状结肠
16
1
1
降结肠
, 百拇医药
6
横结肠
4
1
升结肠
10
回盲部
6
合 计
79
1
1
4
2
, http://www.100md.com
1
注:2例(1例回盲部1例升结肠)癌术后复发;1例胃癌术后6年,在直肠降结肠分别发现腺癌;2 例直肠癌分别发现乙状结肠、横结肠息肉;1例乙状结肠癌合并直肠息肉;1例回盲部癌合 并直肠息肉;1例升结肠癌合并全结肠息肉;并肠梗阻3例。
恶性肿瘤声像图表现与病理改变有关,大致可分为三种类型:(1)隆起型:根据隆起的高度及形态,将其分为两个亚型;①菜花型:此型在肿块中占多数,向腔内突起较多,直径<4cm的肿瘤,对肠蠕动及肠腔均无明显影响。②扁平隆起型:隆起高度较低,基底宽大,多不引起狭窄,可造成漏诊;(2)溃疡型:较少见。表现为病灶边缘隆起,中心凹陷,呈“弹坑样”,肠壁层次常不清;(3)壁厚狭窄型:属晚期,Ducks分期多属C、D期。表现为肠壁呈环状或半环状不规则增厚,肠腔狭小,水流速度加快,流线细小。狭窄严重者,则水流缓慢、迂曲,常可发现附近肿大的淋巴结。由于肿瘤常有糜烂、坏死、致使表面凹凸不平,粘膜层回声增强不均。内部回声则与生长方式及肠壁浸润深度有关,以隆起型生长为主者,未穿破肠壁时,表现为中等偏低回声,若已穿破浆膜层,则以低回声多见,随着瘤体的增大及浸润深度的增加,肿瘤内部回声逐渐减弱。溃疡型及壁厚狭窄型则以低回声为主。
, 百拇医药
肿瘤分期按Ducks原则进行〔1〕,凡超声显示浆膜层连续完整者,多为Ducks A期。而肠壁结构不清,浆膜层连续中断者,则多为Ducks B期。除上述改变外,若发现有淋巴结肿大,为Ducks C期,若发现远处转移,是为Ducks D期。

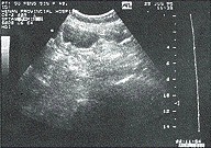
图1 口服超声肠道显影液45分钟后,充盈的升结肠。
图2 口服超声肠道显影液60分钟后充盈的乙状结肠。
上述各型中,有少数患者在病灶附近录到动脉血流,流速47~152cm/s,PI 0.62~0.87,但未发现血流伸入瘤体内或包绕现象。
讨 论
, 百拇医药
结直肠癌是常见恶性肿瘤之一,在西欧、北美其发病率仅次于肺癌,排在第2位。我国发病率占恶性肿瘤的5.29%,位居第5位,占恶性肿瘤死亡的第6位。河南省的结直肠癌发病率占恶性肿瘤的4.13%,死亡率占恶性肿瘤的第5位〔2〕,调查资料显示,我国结直肠癌的发病率正日趋上升。基于此,我们开展了口服超声肠道显影液的研制开发及临床应用研究。
图3 升结肠起始部腺癌,肿瘤向肠腔内突起,浆膜层连续完整,为Ducks A期。
首先了解正常人结肠壁结构。将新鲜离体人结肠标本置于水槽内,选用不同频率的探头进行扫查,无论是通用的3.5MHz探头,或是7.5MHz高频探头,结肠壁均显示为五层,呈三明两暗结构,上述各层从内向外分别为粘膜界面回声、粘膜层、粘膜下层,固有肌层及浆膜层〔3〕。而人体内结肠壁结构,通常不易被超声清晰显示,服肠道显影液后,结肠充盈,结肠壁呈二明一暗的三层结构,由内向外分别为粘膜与粘膜下层,固有肌层、浆膜层〔4〕,体内结肠壁结构之所以与离体结肠壁表现有所不同,与探查深度的增加及界面增多有关,但这并不妨碍对肿瘤的识别及分期的判断,息肉样病变仅限于内层强回声带,恶性肿瘤则可波及其它各层。
, 百拇医药
图4 横结肠腺癌,肿瘤呈扁平状,基底宽大,浆膜层连续中断,为Ducks B期。
应用口服超声肠道显影液诊断结直肠早期占位性病变,其检出率的高低,受下列因素的影响。(1)肠道清洁的好坏及充盈程度,一般说来,肠道准备工作做的好,就易于检出较小的病灶。反之,肠腔内有较多粪便,且充盈不佳,则可漏掉病变;(2)检查者的经验对病灶的检出也有一定的影响〔5〕。在肝脾曲及直-乙交界等弯曲处,常形成盲区,使病灶不易显示,需反复、仔细检查方可确认。另外,还应注意肠壁皱折与占位性病变的鉴别。中晚期结直肠癌,由于瘤体较大,超声检出多无大困难,除了观察肿瘤的大小、形态、部位外,应重点了解肿瘤浸润的深度及与周围组织的关系。我们体会,在浸润深度的判定上,Ducks B期患者,尤其是癌肿刚突破浆膜层,穿破的范围较小时,可能会低估肿瘤的分期〔6〕,易将Ducks B期误认为Ducks A期,除此之外,其余超声分期多与手术结果相近。
为了比较口服肠道显影法与灌肠法各自的特点,我们亦同时应用灌肠法对结直肠病变检查,认为灌肠法较适宜于低位结肠病变,而对较高位结肠病变,由于受灌注量的影响,常因充盈不佳而影响了对病变的识别。由于直肠、乙状结肠容量较大,当灌注量达1500ml以上时,方可使其充盈良好,若要使上段结肠充盈,则需加大灌注量,若继续灌注,不少患者则无法忍受。尽管我们采用的是双腔管,如遇肛门括约肌松弛的患者,仍不免有粪水溢出,污染衣物,目前使用的双腔管多为非一次性物品,需清洗干净浸泡消毒后待下次使用,不利于防止交叉感染。且检查较费时,如遇患者较多等情况,易造成排队等侯时间过长,若将其安排至非就诊高峰期如下午,则空腹时间较长,另外灌肠还会令一些患者尤其是年轻患者感到尴尬。而口服肠道显影法则使用方便,排便后即可服用,服后40分钟开始充盈,升、横、降、乙状结肠、直肠顺序显影,符合人体生理状况,且无论高位或低位结肠均可充盈良好,检查时即按此顺序,待患者有便意时,全部检查即告结束,无需忍受。另外该显影液为中药制剂,具有消胀、消气、消粘液及一定的助消化作用,能减少结肠对水份的吸收,使肠腔充盈良好,并有温和的促肠蠕动作用,排便1-2次后作用即中止,不影响正常生活,无毒副作用,经药理毒理试验,各项指标均符合国家药典规定,不受条件限制,易于推广应用。

, http://www.100md.com
图5 降结肠腺癌,肿瘤呈菜花样,表面不平滑,基底宽大,浆膜层连续中断,为Ducks B期。
图6 直肠腺癌,肠壁增厚,浆膜层连续中断,其旁发现肿大的淋巴结,为Ducks C期。
通过几年的工作,我们认为超声诊断肠道占位性病变有着其它检查所不可替代的优势,它不但可显示肿瘤内部结构,还可了解浸润深度、与周围脏器的关系、有无淋巴结肿大及远处脏器的转移〔7〕,更适合于小儿、少年、体弱无法耐受者〔8〕。
参考文献
[1]全国肿瘤防治办公室,中国抗癌协会.中国常见恶性肿瘤诊治规范.第三册,大肠癌.北京,北京医科大学,中国协和医科大学联合出版社,1990.22-23
[2]卫生部肿瘤防治研究办公室.中国恶性肿瘤死亡调查研究.北京,人民卫生出版社,1979,148-201
, 百拇医药
[3]曹海根,王金锐主编.实用腹部超声诊断学.北京,人民卫生出版社,1994,430
[4]Caletti G,Bolondi;L,Labo G,Anatomical aspects in ultrasonic endoscopy for the stomach.Scard J ciastroenterd Suppl.1984,94:34-42
[5]Hernandez Socorro C R,Guerra C,Hernandez Romere J,et al.Colorectal carcinomas:Diagnosis and preoperative staging by hydrocolonic sonography.Surgery.1995,117(6):609-615
[6]Williamson P R,Hellinger M D,Larach S W,et al.Endorectal ultrasound of T3 and T4 rectal cancers after preoperative chemoradiation,Dis Colon Rectum,1996,39(1):45-49
, 百拇医药
[7]Tada M,Endo M.Ultrasonographic examination for lateral lymphatic spread and local recurrence of rectal cancer:Preopeative detection and evaluation.Dis Colon Rectum.1995.38(10):1047-1052
[8]Ling U P,Chen J Y,Hwang CJ,et al.Hydrosonography in the evaluation of colorectal polyps.Arch Dis Child.1995,73(1):70-73
(1998-08-31收稿), http://www.100md.com
单位:王绮 马桂英 张延瑞 徐红伟 丁祖锐 李明山(450003 河南省人民医院);吕荷叶(河南省胸科医院)
关键词:口服超声肠道显影液;结直肠肿瘤
中国超声医学杂志990218 摘 要 目的:探索肠道超声显影液在结直肠肿瘤中的应用价值。方法:患者空腹排便后服超声肠道显影液探索肠道超声显影液在结直肠肿瘤中的应用价值。方法:患者空腹排便后服超声肠道显影液70-80ml,饮水500~700ml,待结直肠充盈后,经腹部进行超声检查。结果:共检出息肉54例,恶性肿瘤87例,均经肠镜、手术证实。息肉表现为圆形略强回声,附着处肠壁连续关系正常。结直肠癌表现多样,可分为三型:隆起型、溃疡型和壁厚狭窄型。内部回声有随着瘤体增大,浸润深度增加而逐渐减弱的趋势。超声还可对肿瘤的分期做出判断。本文还对影响超声检出率及准确性的因素进行了分析。结论:口服超声肠道显影液具有方便、快捷、实用等特点,适用于各级医院。
, 百拇医药
Oral Ultrasonic Bowel Contrast Solution to Diagnose Colorectal Tumor
Wang Qi,Ma Guiying,Lu Heyie,et al
Henan Provincal Hospital,Zhengzhou 450003
ABSTRACT Objective:Study of oral contrast agent(OCA)in diagnosis of colorectal tumor.Method:After defecation,the patient takes 70-80ml contrast agent and 500-700ml water,until the agent fills the colorectum,then transabdominal examination starts.Results:54 polypus and 87 carcinoma cases were detected and all confirmed by fibercolonoscopy,operation and pathology.The tumor appeared as mass,ulceration,intestinal stenosis or deep invasion of hypoechogenicity.The polips showed high echo and the wall was continuous.Conclusion:OCA diagnosing colorectal tumor is feasible.
, 百拇医药
KEY WORDS Oral ultrasonic bowel contrast Colorecal tumor
自1991年11月起,我们应用自制的口服超声肠道显影液对530人次进行肠道检查,共检出肠道肿瘤141例,效果良好。
资料与方法
141例患者,均为我院门诊及住院患者,男89例,女52例,年龄6~76岁,平均47.18±15.24岁。使用仪器超9-HDI+ESP,Aloka-620,Siemens SI-250,探头频率3.5MHz。
查前一日晚素食,睡前服缓泄剂,次日晨空腹,排便后服超声肠道显影液70~80ml,饮水500~700ml,待有便意后检查。查时按结直肠充盈顺序进行。
结 果
, 百拇医药
全部病例均经肠镜或手术病理证实。
息肉样病变组54例,男39例,女15例,年龄6~65岁,平均39.35±16.20岁。病理类型及分布见表1,发生于直-乙段的占80%。息肉样病变检出的最小范围0.8cm×1.0cm,最大2.6cm×3.4cm。超声主要表现为类圆形中等略强回声,边界清晰,较规则,内回声均匀,带细蒂者,随着肠蠕动,有时呈漂动状,附着处肠壁各层结构清晰,连续完整无中断。
表1 54例结直肠息肉病理及分布
绒毛状
腺瘤
管状
腺瘤
幼年型
, 百拇医药
息肉
混合型
瘤样
增生
息肉病
炎性
息肉
直肠
5
9
4
2
2
1
, 百拇医药
乙状结肠
4
6
4
1
2
4
降结肠
1
2
1
横结肠
1
升结肠
, 百拇医药
1
回盲部
1
3
全结肠
1
合 计
11
18
10
3
4
1
8
, 百拇医药
注:1例直肠息肉,共两枚,病理分别为绒毛状腺瘤及管状腺瘤。
恶性肿瘤组共87例,男49例,女38例,年龄18~76岁,平均51.90±12.26岁。病理类型及分布见表2。结直肠恶性肿瘤以腺癌多见,约占90.8%,主要分布于直-乙段,占结直肠癌的70.1%,亦以腹痛、腹泄、便血为主要症状。
表2 87例结直肠癌病理及分布
腺癌
绒毛状腺
瘤癌变
管状腺
瘤癌变
粘液腺癌
, 百拇医药 印戎细
胞癌
鳞癌
直肠
37
1
2
2
1
乙状结肠
16
1
1
降结肠
, 百拇医药
6
横结肠
4
1
升结肠
10
回盲部
6
合 计
79
1
1
4
2
, http://www.100md.com
1
注:2例(1例回盲部1例升结肠)癌术后复发;1例胃癌术后6年,在直肠降结肠分别发现腺癌;2 例直肠癌分别发现乙状结肠、横结肠息肉;1例乙状结肠癌合并直肠息肉;1例回盲部癌合 并直肠息肉;1例升结肠癌合并全结肠息肉;并肠梗阻3例。
恶性肿瘤声像图表现与病理改变有关,大致可分为三种类型:(1)隆起型:根据隆起的高度及形态,将其分为两个亚型;①菜花型:此型在肿块中占多数,向腔内突起较多,直径<4cm的肿瘤,对肠蠕动及肠腔均无明显影响。②扁平隆起型:隆起高度较低,基底宽大,多不引起狭窄,可造成漏诊;(2)溃疡型:较少见。表现为病灶边缘隆起,中心凹陷,呈“弹坑样”,肠壁层次常不清;(3)壁厚狭窄型:属晚期,Ducks分期多属C、D期。表现为肠壁呈环状或半环状不规则增厚,肠腔狭小,水流速度加快,流线细小。狭窄严重者,则水流缓慢、迂曲,常可发现附近肿大的淋巴结。由于肿瘤常有糜烂、坏死、致使表面凹凸不平,粘膜层回声增强不均。内部回声则与生长方式及肠壁浸润深度有关,以隆起型生长为主者,未穿破肠壁时,表现为中等偏低回声,若已穿破浆膜层,则以低回声多见,随着瘤体的增大及浸润深度的增加,肿瘤内部回声逐渐减弱。溃疡型及壁厚狭窄型则以低回声为主。
, 百拇医药
肿瘤分期按Ducks原则进行〔1〕,凡超声显示浆膜层连续完整者,多为Ducks A期。而肠壁结构不清,浆膜层连续中断者,则多为Ducks B期。除上述改变外,若发现有淋巴结肿大,为Ducks C期,若发现远处转移,是为Ducks D期。
图1 口服超声肠道显影液45分钟后,充盈的升结肠。
图2 口服超声肠道显影液60分钟后充盈的乙状结肠。
上述各型中,有少数患者在病灶附近录到动脉血流,流速47~152cm/s,PI 0.62~0.87,但未发现血流伸入瘤体内或包绕现象。
讨 论
, 百拇医药
结直肠癌是常见恶性肿瘤之一,在西欧、北美其发病率仅次于肺癌,排在第2位。我国发病率占恶性肿瘤的5.29%,位居第5位,占恶性肿瘤死亡的第6位。河南省的结直肠癌发病率占恶性肿瘤的4.13%,死亡率占恶性肿瘤的第5位〔2〕,调查资料显示,我国结直肠癌的发病率正日趋上升。基于此,我们开展了口服超声肠道显影液的研制开发及临床应用研究。
图3 升结肠起始部腺癌,肿瘤向肠腔内突起,浆膜层连续完整,为Ducks A期。
首先了解正常人结肠壁结构。将新鲜离体人结肠标本置于水槽内,选用不同频率的探头进行扫查,无论是通用的3.5MHz探头,或是7.5MHz高频探头,结肠壁均显示为五层,呈三明两暗结构,上述各层从内向外分别为粘膜界面回声、粘膜层、粘膜下层,固有肌层及浆膜层〔3〕。而人体内结肠壁结构,通常不易被超声清晰显示,服肠道显影液后,结肠充盈,结肠壁呈二明一暗的三层结构,由内向外分别为粘膜与粘膜下层,固有肌层、浆膜层〔4〕,体内结肠壁结构之所以与离体结肠壁表现有所不同,与探查深度的增加及界面增多有关,但这并不妨碍对肿瘤的识别及分期的判断,息肉样病变仅限于内层强回声带,恶性肿瘤则可波及其它各层。
, 百拇医药
图4 横结肠腺癌,肿瘤呈扁平状,基底宽大,浆膜层连续中断,为Ducks B期。
应用口服超声肠道显影液诊断结直肠早期占位性病变,其检出率的高低,受下列因素的影响。(1)肠道清洁的好坏及充盈程度,一般说来,肠道准备工作做的好,就易于检出较小的病灶。反之,肠腔内有较多粪便,且充盈不佳,则可漏掉病变;(2)检查者的经验对病灶的检出也有一定的影响〔5〕。在肝脾曲及直-乙交界等弯曲处,常形成盲区,使病灶不易显示,需反复、仔细检查方可确认。另外,还应注意肠壁皱折与占位性病变的鉴别。中晚期结直肠癌,由于瘤体较大,超声检出多无大困难,除了观察肿瘤的大小、形态、部位外,应重点了解肿瘤浸润的深度及与周围组织的关系。我们体会,在浸润深度的判定上,Ducks B期患者,尤其是癌肿刚突破浆膜层,穿破的范围较小时,可能会低估肿瘤的分期〔6〕,易将Ducks B期误认为Ducks A期,除此之外,其余超声分期多与手术结果相近。
为了比较口服肠道显影法与灌肠法各自的特点,我们亦同时应用灌肠法对结直肠病变检查,认为灌肠法较适宜于低位结肠病变,而对较高位结肠病变,由于受灌注量的影响,常因充盈不佳而影响了对病变的识别。由于直肠、乙状结肠容量较大,当灌注量达1500ml以上时,方可使其充盈良好,若要使上段结肠充盈,则需加大灌注量,若继续灌注,不少患者则无法忍受。尽管我们采用的是双腔管,如遇肛门括约肌松弛的患者,仍不免有粪水溢出,污染衣物,目前使用的双腔管多为非一次性物品,需清洗干净浸泡消毒后待下次使用,不利于防止交叉感染。且检查较费时,如遇患者较多等情况,易造成排队等侯时间过长,若将其安排至非就诊高峰期如下午,则空腹时间较长,另外灌肠还会令一些患者尤其是年轻患者感到尴尬。而口服肠道显影法则使用方便,排便后即可服用,服后40分钟开始充盈,升、横、降、乙状结肠、直肠顺序显影,符合人体生理状况,且无论高位或低位结肠均可充盈良好,检查时即按此顺序,待患者有便意时,全部检查即告结束,无需忍受。另外该显影液为中药制剂,具有消胀、消气、消粘液及一定的助消化作用,能减少结肠对水份的吸收,使肠腔充盈良好,并有温和的促肠蠕动作用,排便1-2次后作用即中止,不影响正常生活,无毒副作用,经药理毒理试验,各项指标均符合国家药典规定,不受条件限制,易于推广应用。
, http://www.100md.com
图5 降结肠腺癌,肿瘤呈菜花样,表面不平滑,基底宽大,浆膜层连续中断,为Ducks B期。
图6 直肠腺癌,肠壁增厚,浆膜层连续中断,其旁发现肿大的淋巴结,为Ducks C期。
通过几年的工作,我们认为超声诊断肠道占位性病变有着其它检查所不可替代的优势,它不但可显示肿瘤内部结构,还可了解浸润深度、与周围脏器的关系、有无淋巴结肿大及远处脏器的转移〔7〕,更适合于小儿、少年、体弱无法耐受者〔8〕。
参考文献
[1]全国肿瘤防治办公室,中国抗癌协会.中国常见恶性肿瘤诊治规范.第三册,大肠癌.北京,北京医科大学,中国协和医科大学联合出版社,1990.22-23
[2]卫生部肿瘤防治研究办公室.中国恶性肿瘤死亡调查研究.北京,人民卫生出版社,1979,148-201
, 百拇医药
[3]曹海根,王金锐主编.实用腹部超声诊断学.北京,人民卫生出版社,1994,430
[4]Caletti G,Bolondi;L,Labo G,Anatomical aspects in ultrasonic endoscopy for the stomach.Scard J ciastroenterd Suppl.1984,94:34-42
[5]Hernandez Socorro C R,Guerra C,Hernandez Romere J,et al.Colorectal carcinomas:Diagnosis and preoperative staging by hydrocolonic sonography.Surgery.1995,117(6):609-615
[6]Williamson P R,Hellinger M D,Larach S W,et al.Endorectal ultrasound of T3 and T4 rectal cancers after preoperative chemoradiation,Dis Colon Rectum,1996,39(1):45-49
, 百拇医药
[7]Tada M,Endo M.Ultrasonographic examination for lateral lymphatic spread and local recurrence of rectal cancer:Preopeative detection and evaluation.Dis Colon Rectum.1995.38(10):1047-1052
[8]Ling U P,Chen J Y,Hwang CJ,et al.Hydrosonography in the evaluation of colorectal polyps.Arch Dis Child.1995,73(1):70-73
(1998-08-31收稿), http://www.100md.com