室间隔缺损伴多瓣膜赘生物1例
作者:李云安
单位:671000 云南省大理白族自治州人民医院
关键词:
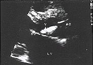
中国超声医学杂志990236 患者男性41岁,3岁时发现心脏杂音,未行详细检查,1994年确诊为先心病室间隔缺损。此次因胸闷、气喘不能平卧入院,体检:T39℃,慢性病容,眼睑浮肿,口唇发绀,颈静脉充盈,心界扩大,心率104次,胸骨左缘3~4肋间闻Ⅲ~Ⅳ收缩期杂音,肝大剑下4横指,右肋下三横指。彩色多普勒超声检查所见:左房、左室内径增大,室间隔连续中断约2cm在大动脉短轴切面中断位于9~10点处,主动脉无冠瓣见直径2.5cm的赘生物,舒张期返入左室流出道内(图1);三尖瓣隔瓣上见直径2.2cm的赘生物于收缩期返入右房内(图2);肺动脉后瓣上见直径0.7cm的赘生物于舒张期返入右室流出道内(图3),彩色多普勒示收缩期以蓝色为主的过三尖瓣返流。舒张期以红色为主的过肺动脉瓣返流入右室流出道。超声诊断为:先心病室间隔缺损伴多瓣膜赘生物。
主动脉无冠瓣上2.5cm的赘生物,舒张期返入左室流出道内
图1 左室长轴切面
三尖瓣隔瓣上2.2cm的赘生物收缩期返入右房内
图2 心尖四腔切面
肺动脉后瓣上0.7cm的赘生物舒张期返入右室流出道内
图3 大动脉短轴切面
讨论:先心病室间隔缺损是心内膜炎的高危患者由于缺损畸形存在着压差而产生涡流或喷射状的血流,易引起心内膜的损伤,细菌在损伤处繁衍而形成赘生物。室间隔缺损的赘生物易发生于三尖瓣和室缺缘上。而此例患者发生于多瓣膜,一般情况差,已不宜手术。所以先心病早确诊,早治疗是十分重要的。
(1998-07-31收稿), http://www.100md.com
单位:671000 云南省大理白族自治州人民医院
关键词:
中国超声医学杂志990236 患者男性41岁,3岁时发现心脏杂音,未行详细检查,1994年确诊为先心病室间隔缺损。此次因胸闷、气喘不能平卧入院,体检:T39℃,慢性病容,眼睑浮肿,口唇发绀,颈静脉充盈,心界扩大,心率104次,胸骨左缘3~4肋间闻Ⅲ~Ⅳ收缩期杂音,肝大剑下4横指,右肋下三横指。彩色多普勒超声检查所见:左房、左室内径增大,室间隔连续中断约2cm在大动脉短轴切面中断位于9~10点处,主动脉无冠瓣见直径2.5cm的赘生物,舒张期返入左室流出道内(图1);三尖瓣隔瓣上见直径2.2cm的赘生物于收缩期返入右房内(图2);肺动脉后瓣上见直径0.7cm的赘生物于舒张期返入右室流出道内(图3),彩色多普勒示收缩期以蓝色为主的过三尖瓣返流。舒张期以红色为主的过肺动脉瓣返流入右室流出道。超声诊断为:先心病室间隔缺损伴多瓣膜赘生物。
主动脉无冠瓣上2.5cm的赘生物,舒张期返入左室流出道内
图1 左室长轴切面
三尖瓣隔瓣上2.2cm的赘生物收缩期返入右房内
图2 心尖四腔切面
肺动脉后瓣上0.7cm的赘生物舒张期返入右室流出道内
图3 大动脉短轴切面
讨论:先心病室间隔缺损是心内膜炎的高危患者由于缺损畸形存在着压差而产生涡流或喷射状的血流,易引起心内膜的损伤,细菌在损伤处繁衍而形成赘生物。室间隔缺损的赘生物易发生于三尖瓣和室缺缘上。而此例患者发生于多瓣膜,一般情况差,已不宜手术。所以先心病早确诊,早治疗是十分重要的。
(1998-07-31收稿), http://www.100md.com