弥漫性肝癌的超声诊断分析
作者:吕 岚 康东涛
单位:吕岚(210008 南京大学医学院附属鼓楼医院超声诊断科);康东涛 进修生(南京1406信箱25分箱)
关键词:弥漫性肝癌;超声显像
中国超声医学杂志990605
摘 要 目的:提高弥漫性肝癌的诊断率。方法:对经手术病理证实的83例弥漫性肝癌的超声图像特征及临床特点进行了综合分析。结果及结论:阐明了肝体积大小、肝包膜改变、肝内回声、门脉栓子及其它临床特征在弥漫性肝癌中的诊断价值。
Analysis of Diffuse Hepatocellular Carcinoma with Ultrasonography
Lu Lan,Kang Dongtao
, http://www.100md.com
Affliated Gu Lou Hospital,Nanjing University Medical College,Nanjing 210008
ABSTRACT We aimed to improve the ultrasonographic diagnostic rate of diffuse hepatocellular carcinoma.83 cases’ultrasonographic manifestations,including liver size,envelope,echogenicity,portal vein embolus and clinical pictures were studied.A lot of informations obtained for diagnosis were presented.
KEY WORDS Diffuse hepatocellular carcinoma Ultrasonography
, 百拇医药
作者通过对83例弥漫性肝癌的声像图分析,探讨弥漫性肝癌影像学上的特征。其目的是提高超声对弥漫肝癌诊断的准确性。
资料与方法
本组共83例弥漫性肝癌患者,均为我院1988~1995年间住院患者。其中男性67例,女性6例。年龄24~79岁,平均年龄50.74岁。病程1~3个月,平均1个月。以上病例均经临床病理证实。
仪器为Aloka SSD-650型、Aloka SSD-1200型超声显像仪。探头频率3.5MHz。患者空腹12小时后取仰卧位,皮肤涂耦合剂后行肝脏常规检查。依次扫查胆囊、脾脏。记录脏器大小、形态、包膜及内部回声,血管、胆系走行以及占位性病变的特征并进行综合分析。
结 果
1.临床入院诊断误诊率 83例弥漫性肝癌经临床回顾性分析,入院时明确诊断为原发性肝癌者50例占60.24%,误诊为肝硬化22例占26.5%;其余为上消化道出血4例,阻塞性黄疸、上腹痛(胆囊类?)各2例,急性胰腺炎、胸部肿块及胰癌肝转移各1例。
, http://www.100md.com
2.临床表现 弥漫性肝癌患者的早期临床表现不典型,可表现为多种临床症状,以上腹不适、饱胀感及上腹痛为多见,本组中尚有1例无症状。
3.83例弥漫性肝癌患者实验室检查特点,见表1。
表1 83例弥漫性肝癌患者实验室检查 实验室项目
例数
比率(%)
肝功能异常
肝功能正常
AFP>1000ng/ml
AFP<31ng/ml
HBsAg(+)
, 百拇医药
HBsAg(-)
51
32
62
21
66
17
61.44
38.55
74.70
25.3
79.52
20.48
, 百拇医药
4.CT诊断率 83例弥漫性肝癌入院时经CT诊断为肝癌者48例占57.83%;似肝癌者20例占24.09%;肝硬化6例占7.22%;转移性肝癌3例占3.61%;血管瘤1例;肝脂肪浸润1例。经CT明确诊断为弥漫性肝癌者仅4例占4.8%。
5.弥漫性肝癌超声声像图表现
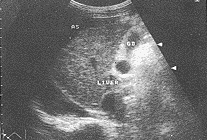
肝脏体积形态:本组病例肝脏体积均呈弥漫性增大。肝脏各条径线测量值均大于正常值。肝右叶上下径线>14cm为最明显。最长为18.9cm(图1)。因其随着肝癌细胞浸润时间长短不同,有时可表现为某段肝叶局限性弥漫增大,肝形态失常不规则。
图1 弥漫性肝癌
肝包膜改变:肝脏包膜呈不规则性增厚,波浪状改变,表面凹凸不平。仔细观察可发现有局限性隆起。
, http://www.100md.com
肝内回声改变:肝内回声不均匀,光点粗大,呈高、低不等弥漫小结节回声分布,以高回声为主,类似于“球状”(图2)。大小在3cm以下,极少超过5cm。无包膜。无明显晕环。很少见到融合成片。后方有轻度衰减现象。正常肝组织不易探及。若病变早期局限于某一肝叶段,其它肝叶组织可正常。肝内回声改变与肝硬化(图3)不同。
图2 弥漫性肝癌
图3 肝硬化
门脉大小及栓子形成:83例弥漫性肝癌中门脉增宽者有54例占65%,最宽2.8cm,最小1.3cm。伴有门脉栓子形成72例占86.75%,其中有2例伴有下腔静脉栓子形成。
肝内管系改变:肝静脉变细,肝内管系走向模糊不清,并可见血管绕行及中断现象。
腹水:83例弥漫性肝癌患者中有40例伴有腹水占48.19%,为少量及中等量。1例胸水。
, 百拇医药
胆囊改变:83例弥漫性肝癌中3例未探及胆囊,其余均有改变。胆囊壁增厚0.4~0.8cm,少数1.0~1.2cm。壁毛糙,模糊不清。伴有腹水时呈双层改变。合并胆结石5例,占6%;胆囊内胆汁淤积2例;胆转移1例。
脾脏改变:83例弥漫性肝癌患者中55例伴有脾肿大占66.26%。其中肋间厚度最大7.1cm,肋下厚度最大5.9cm。
腹腔淋巴结肿大:83例弥漫性肝癌中有36例伴腹腔淋巴结肿大占43.37%。其中超声诊断13例,占15.66%。余23例均为手术病理证实。考虑因肝功能不好,胃肠积气,或因腹水,肠管浮起,影响超声对腹膜后观察所致。
讨 论
既往超声诊断肝癌多以巨块型、多发(结节型)为多见。由于弥漫性肝癌的临床表现及超声特征不典型且常合并有肝硬化,因此易与肝硬化混淆而漏诊、误诊。以致于给临床进一步治疗方案的确定带来一定的困难。近年来,随着超声技术水平不断完善与发展,对弥漫性肝癌诊断认识也有了进一步的提高。本文的研究结果表明超声对弥漫性肝癌的诊断与鉴别诊断尚有一定的规律可寻。
, http://www.100md.com
1.弥漫性肝癌的超声声像图特征
肝脏体积呈弥漫性增大,肝右叶上下径线多>14cm。肝包膜呈凹凸不平、波浪状改变,较圆钝。肝内回声结构紊乱,呈高、低回声不均匀分布。光点粗大,多呈弥漫分布高回声小结节,类似于“球状”,无包膜,无明显声晕。结节大小以3cm以下为主,极少超过5cm。很少见到融合成片,但后方多有轻度衰减现象。有时病变局限于某个肝叶段,而致肝脏形态不规则。肝内静脉变细,门脉管系走向均显示不清,并见血管绕行及中断现象。门脉主干直径>1.4cm以上,多伴有栓子形成。是诊断弥漫性肝癌的重要依据〔3、4〕。正常肝组织不易探及。若病变局限于某一肝叶段,其它肝叶组织可正常。同时伴有腹水、脾肿大、胆囊的改变。
2.弥漫性肝癌与乙肝、肝硬化关系密切
本资料显示:83例弥漫性肝癌患者肝功异常51例占61.44%;HBsAg(+)66例占79.52%。说明乙肝、肝硬化与弥漫性肝癌密切相关。提示弥漫性肝癌可能是在肝硬化基础上,肝细胞癌变,并在短时期内肝内弥漫性传播所致。但其确切机制还需进一步的研究。
, 百拇医药
本资料表明:弥漫性肝癌多见于男性,年龄以中年居多。此类患者一般平时体质较好,忍耐力较强,对上腹饱胀不适、疼痛、纳差、消瘦等表现未引起足够的重视,而忽略了肝脏检查。多数出现症状一月左右,即发生了肝弥漫性癌变,而失去了最佳选择治疗的机会。因此,作者体会到:对HBsAg(+),尤其已形成肝硬化患者应定期B超检查,仍是帮助诊断必不可少的手段。
3.应注意弥漫性肝癌与结节性肝硬化、多发结节性肝癌的超声鉴别(见表2)。
表2 弥漫性肝癌与结节性肝硬化、多发性结节性肝癌鉴别特点 项 目
弥漫性肝癌
结节性肝硬化
多发性结节性肝癌
大小形态
, 百拇医药
弥漫性增大,右叶上下
径线>14cm
缩小,右叶上下径
线<14cm
不规则增大
肝包膜
波浪状或局限性隆起
锯齿状
局限性隆起或正常
实质回声
类似“球体”状高回声小结节弥漫不均匀分布,很少融合
呈网状结构,高、低条索状回声,不均匀分布
, 百拇医药
高或低回声不均匀分布,常融合
肿块大小
<3cm
无
>5cm以上
声晕
多无
无
多有
肝内管道
绕行或中断
逐渐变细
绕行或中断
, http://www.100md.com
门脉
增宽>1.4cm
增宽>1.4cm
可正常Δ
门脉栓子
多有
无
可有
脾脏
肿大
肿大
正常Δ
腹水
, 百拇医药
多有
可有或无
可有或无
胆囊壁
增厚>0.3cm
增厚或正常
正常Δ
腹腔淋巴结
肿大
正常
肿大或无
注:“Δ”多发性结节性肝癌若为原发性肝癌可伴有门脉增宽、脾肿大、胆囊壁改变
, 百拇医药
4.弥漫性肝癌超声诊断误诊原因分析 (1)没有对肝癌的超声诊断进行分类。仅笼统地诊断为肝癌或多发性肝癌、巨块型肝癌等;(2)对弥漫性肝癌的超声声像图特征认识不足,是造成漏诊、误诊的重要原因;(3)在与肝硬化合并存在时,只注意肝硬化的声像特点,而对肝体积增大、肝脏各条测量径线均大于正常值,尤以右叶上下径线>14cm未引起足够的重视,以致于误诊;(4)只注重超声图像的特征分析,而未结合临床进行全面分析。对弥漫性肝癌进展快的特点认识不够。未进行B超的定期复查。
综上所述,弥漫性肝癌的超声图像常有以下特征:肝脏体积明显增大,肝右叶上下径线>14cm以上;肝包膜呈高低不平的波浪状改变;肝内回声呈现光点粗大,且以类似“球体”状、无包膜无声晕的高回声结节性弥漫分布;肝内管系绕行或中断,走向不清;门脉增宽伴有栓子形成。发现这些特点应高度考虑有肝弥漫性癌变的可能。必要时辅助于肝功能、AFP、HSsAg等临床其它检查。作者认为超声诊断弥漫性肝癌是可行的。
参考文献
[1]Bolondi L.Gaiani S,Gebel M.Portohepatic vascular pathology and liver disease:Diagnosis and monitoring.Eur J ultrasound,1998,7(Suppl 3):41~52
[2]Okuda K.Hepatocellular carcinoma:Clinicopathological aspects.J Gastroenterol Hepatol,1997,12(9~10):S314~318
(1998-12-23收稿), 百拇医药
单位:吕岚(210008 南京大学医学院附属鼓楼医院超声诊断科);康东涛 进修生(南京1406信箱25分箱)
关键词:弥漫性肝癌;超声显像
中国超声医学杂志990605
摘 要 目的:提高弥漫性肝癌的诊断率。方法:对经手术病理证实的83例弥漫性肝癌的超声图像特征及临床特点进行了综合分析。结果及结论:阐明了肝体积大小、肝包膜改变、肝内回声、门脉栓子及其它临床特征在弥漫性肝癌中的诊断价值。
Analysis of Diffuse Hepatocellular Carcinoma with Ultrasonography
Lu Lan,Kang Dongtao
, http://www.100md.com
Affliated Gu Lou Hospital,Nanjing University Medical College,Nanjing 210008
ABSTRACT We aimed to improve the ultrasonographic diagnostic rate of diffuse hepatocellular carcinoma.83 cases’ultrasonographic manifestations,including liver size,envelope,echogenicity,portal vein embolus and clinical pictures were studied.A lot of informations obtained for diagnosis were presented.
KEY WORDS Diffuse hepatocellular carcinoma Ultrasonography
, 百拇医药
作者通过对83例弥漫性肝癌的声像图分析,探讨弥漫性肝癌影像学上的特征。其目的是提高超声对弥漫肝癌诊断的准确性。
资料与方法
本组共83例弥漫性肝癌患者,均为我院1988~1995年间住院患者。其中男性67例,女性6例。年龄24~79岁,平均年龄50.74岁。病程1~3个月,平均1个月。以上病例均经临床病理证实。
仪器为Aloka SSD-650型、Aloka SSD-1200型超声显像仪。探头频率3.5MHz。患者空腹12小时后取仰卧位,皮肤涂耦合剂后行肝脏常规检查。依次扫查胆囊、脾脏。记录脏器大小、形态、包膜及内部回声,血管、胆系走行以及占位性病变的特征并进行综合分析。
结 果
1.临床入院诊断误诊率 83例弥漫性肝癌经临床回顾性分析,入院时明确诊断为原发性肝癌者50例占60.24%,误诊为肝硬化22例占26.5%;其余为上消化道出血4例,阻塞性黄疸、上腹痛(胆囊类?)各2例,急性胰腺炎、胸部肿块及胰癌肝转移各1例。
, http://www.100md.com
2.临床表现 弥漫性肝癌患者的早期临床表现不典型,可表现为多种临床症状,以上腹不适、饱胀感及上腹痛为多见,本组中尚有1例无症状。
3.83例弥漫性肝癌患者实验室检查特点,见表1。
表1 83例弥漫性肝癌患者实验室检查 实验室项目
例数
比率(%)
肝功能异常
肝功能正常
AFP>1000ng/ml
AFP<31ng/ml
HBsAg(+)
, 百拇医药
HBsAg(-)
51
32
62
21
66
17
61.44
38.55
74.70
25.3
79.52
20.48
, 百拇医药
4.CT诊断率 83例弥漫性肝癌入院时经CT诊断为肝癌者48例占57.83%;似肝癌者20例占24.09%;肝硬化6例占7.22%;转移性肝癌3例占3.61%;血管瘤1例;肝脂肪浸润1例。经CT明确诊断为弥漫性肝癌者仅4例占4.8%。
5.弥漫性肝癌超声声像图表现
肝脏体积形态:本组病例肝脏体积均呈弥漫性增大。肝脏各条径线测量值均大于正常值。肝右叶上下径线>14cm为最明显。最长为18.9cm(图1)。因其随着肝癌细胞浸润时间长短不同,有时可表现为某段肝叶局限性弥漫增大,肝形态失常不规则。
图1 弥漫性肝癌
肝包膜改变:肝脏包膜呈不规则性增厚,波浪状改变,表面凹凸不平。仔细观察可发现有局限性隆起。
, http://www.100md.com
肝内回声改变:肝内回声不均匀,光点粗大,呈高、低不等弥漫小结节回声分布,以高回声为主,类似于“球状”(图2)。大小在3cm以下,极少超过5cm。无包膜。无明显晕环。很少见到融合成片。后方有轻度衰减现象。正常肝组织不易探及。若病变早期局限于某一肝叶段,其它肝叶组织可正常。肝内回声改变与肝硬化(图3)不同。
门脉大小及栓子形成:83例弥漫性肝癌中门脉增宽者有54例占65%,最宽2.8cm,最小1.3cm。伴有门脉栓子形成72例占86.75%,其中有2例伴有下腔静脉栓子形成。
肝内管系改变:肝静脉变细,肝内管系走向模糊不清,并可见血管绕行及中断现象。
腹水:83例弥漫性肝癌患者中有40例伴有腹水占48.19%,为少量及中等量。1例胸水。
, 百拇医药
胆囊改变:83例弥漫性肝癌中3例未探及胆囊,其余均有改变。胆囊壁增厚0.4~0.8cm,少数1.0~1.2cm。壁毛糙,模糊不清。伴有腹水时呈双层改变。合并胆结石5例,占6%;胆囊内胆汁淤积2例;胆转移1例。
脾脏改变:83例弥漫性肝癌患者中55例伴有脾肿大占66.26%。其中肋间厚度最大7.1cm,肋下厚度最大5.9cm。
腹腔淋巴结肿大:83例弥漫性肝癌中有36例伴腹腔淋巴结肿大占43.37%。其中超声诊断13例,占15.66%。余23例均为手术病理证实。考虑因肝功能不好,胃肠积气,或因腹水,肠管浮起,影响超声对腹膜后观察所致。
讨 论
既往超声诊断肝癌多以巨块型、多发(结节型)为多见。由于弥漫性肝癌的临床表现及超声特征不典型且常合并有肝硬化,因此易与肝硬化混淆而漏诊、误诊。以致于给临床进一步治疗方案的确定带来一定的困难。近年来,随着超声技术水平不断完善与发展,对弥漫性肝癌诊断认识也有了进一步的提高。本文的研究结果表明超声对弥漫性肝癌的诊断与鉴别诊断尚有一定的规律可寻。
, http://www.100md.com
1.弥漫性肝癌的超声声像图特征
肝脏体积呈弥漫性增大,肝右叶上下径线多>14cm。肝包膜呈凹凸不平、波浪状改变,较圆钝。肝内回声结构紊乱,呈高、低回声不均匀分布。光点粗大,多呈弥漫分布高回声小结节,类似于“球状”,无包膜,无明显声晕。结节大小以3cm以下为主,极少超过5cm。很少见到融合成片,但后方多有轻度衰减现象。有时病变局限于某个肝叶段,而致肝脏形态不规则。肝内静脉变细,门脉管系走向均显示不清,并见血管绕行及中断现象。门脉主干直径>1.4cm以上,多伴有栓子形成。是诊断弥漫性肝癌的重要依据〔3、4〕。正常肝组织不易探及。若病变局限于某一肝叶段,其它肝叶组织可正常。同时伴有腹水、脾肿大、胆囊的改变。
2.弥漫性肝癌与乙肝、肝硬化关系密切
本资料显示:83例弥漫性肝癌患者肝功异常51例占61.44%;HBsAg(+)66例占79.52%。说明乙肝、肝硬化与弥漫性肝癌密切相关。提示弥漫性肝癌可能是在肝硬化基础上,肝细胞癌变,并在短时期内肝内弥漫性传播所致。但其确切机制还需进一步的研究。
, 百拇医药
本资料表明:弥漫性肝癌多见于男性,年龄以中年居多。此类患者一般平时体质较好,忍耐力较强,对上腹饱胀不适、疼痛、纳差、消瘦等表现未引起足够的重视,而忽略了肝脏检查。多数出现症状一月左右,即发生了肝弥漫性癌变,而失去了最佳选择治疗的机会。因此,作者体会到:对HBsAg(+),尤其已形成肝硬化患者应定期B超检查,仍是帮助诊断必不可少的手段。
3.应注意弥漫性肝癌与结节性肝硬化、多发结节性肝癌的超声鉴别(见表2)。
表2 弥漫性肝癌与结节性肝硬化、多发性结节性肝癌鉴别特点 项 目
弥漫性肝癌
结节性肝硬化
多发性结节性肝癌
大小形态
, 百拇医药
弥漫性增大,右叶上下
径线>14cm
缩小,右叶上下径
线<14cm
不规则增大
肝包膜
波浪状或局限性隆起
锯齿状
局限性隆起或正常
实质回声
类似“球体”状高回声小结节弥漫不均匀分布,很少融合
呈网状结构,高、低条索状回声,不均匀分布
, 百拇医药
高或低回声不均匀分布,常融合
肿块大小
<3cm
无
>5cm以上
声晕
多无
无
多有
肝内管道
绕行或中断
逐渐变细
绕行或中断
, http://www.100md.com
门脉
增宽>1.4cm
增宽>1.4cm
可正常Δ
门脉栓子
多有
无
可有
脾脏
肿大
肿大
正常Δ
腹水
, 百拇医药
多有
可有或无
可有或无
胆囊壁
增厚>0.3cm
增厚或正常
正常Δ
腹腔淋巴结
肿大
正常
肿大或无
注:“Δ”多发性结节性肝癌若为原发性肝癌可伴有门脉增宽、脾肿大、胆囊壁改变
, 百拇医药
4.弥漫性肝癌超声诊断误诊原因分析 (1)没有对肝癌的超声诊断进行分类。仅笼统地诊断为肝癌或多发性肝癌、巨块型肝癌等;(2)对弥漫性肝癌的超声声像图特征认识不足,是造成漏诊、误诊的重要原因;(3)在与肝硬化合并存在时,只注意肝硬化的声像特点,而对肝体积增大、肝脏各条测量径线均大于正常值,尤以右叶上下径线>14cm未引起足够的重视,以致于误诊;(4)只注重超声图像的特征分析,而未结合临床进行全面分析。对弥漫性肝癌进展快的特点认识不够。未进行B超的定期复查。
综上所述,弥漫性肝癌的超声图像常有以下特征:肝脏体积明显增大,肝右叶上下径线>14cm以上;肝包膜呈高低不平的波浪状改变;肝内回声呈现光点粗大,且以类似“球体”状、无包膜无声晕的高回声结节性弥漫分布;肝内管系绕行或中断,走向不清;门脉增宽伴有栓子形成。发现这些特点应高度考虑有肝弥漫性癌变的可能。必要时辅助于肝功能、AFP、HSsAg等临床其它检查。作者认为超声诊断弥漫性肝癌是可行的。
参考文献
[1]Bolondi L.Gaiani S,Gebel M.Portohepatic vascular pathology and liver disease:Diagnosis and monitoring.Eur J ultrasound,1998,7(Suppl 3):41~52
[2]Okuda K.Hepatocellular carcinoma:Clinicopathological aspects.J Gastroenterol Hepatol,1997,12(9~10):S314~318
(1998-12-23收稿), 百拇医药