三维超声透明成像技术的临床应用探讨
作者:徐辉雄 张青萍 周玉清
单位:430030 武汉市同济医科大学附属同济医院超声科
关键词:三维超声成像;透明成像
中国超声医学杂志990604 摘 要 目的:探讨三维超声透明成像技术的临床应用价值。方法:使用Voluson 530D三维超声成像系统(三维容积探头,频率3.5/5.0MHz)的三维超声透明成像技术对部分实质性脏器内部组织结构及中期妊娠的胎儿进行三维重建。结果:三维超声透明成像技术可整体显示实质性脏器(肝、脾等)内部组织机构,显示的血管、胆管或胎儿的脊柱、肋骨等结构完整连续,不受其曲率变化的影响;并可显示实质性脏器内病变组织与周围组织结构的空间位置关系。结论:多种透明成像技术(最小回声模式、最大回声模式、X线模式等)的出现大大丰富了三维超声的临床应用范围,三维超声也必将在临床上发挥更大的作用。
Transparent Mode of Three-Dimensional Sonography:
, 百拇医药
The Clinical Application Value
Xu Huixiong,Zhang Qingping,Zhou Yuqing
Dept.Ultrasound,Tongji Hospital,Tongji Medical University,Wuhan 430030
ABSTRACT Objective:To probe the methodology and clinical value of three-dimensional sonographic transparent mode.Methods:Voluson/Kretz and 3-D volume transducer with frequency 3.5/5.0MHz were used.Results:3-D transparent imaging can demonstrate the inner structures of most solid or hollow organs despite their zigzag shapes.Conclusion:Various transparent imaging technics including minimal mode,maxmal mode,or X-ray mode can greatly enrich the clinical applications.
, 百拇医药
KEY WORDS Three-dimensional sonography Transparent imaging
三维超声发展至今,在表面成像方面已有较多报道〔1~5〕,而在透明成像方面则报道较少。国外目前在透明成像方面的工作主要局限于利用透明成像最大回声模式显示胎儿的颅骨、脊柱、胸廓等结构〔7~10〕,但缺乏对整个透明成像技术的全面报道。本文综合利用多种透明成像模式,旨在对其临床应用作一系统评估。研究的对象主要为肝脏、脾脏等脏器和胎儿,现将初步结果报道如下。
资料与方法
1.研究对象 本组资料包括1997年11月至1998年8月就诊于我科的住院及门诊患者,共计67例,其中男51例,女16例。年龄13~72岁,平均35.7岁。正常组包括正常肝脏20例,正常脾脏5例,中期妊娠妇女3例(均排除了心、肝、肾方面的疾患)。病变组包括肝淤血8例,Budd-Chari综合征2例,肝囊肿10例,原发性肝癌9例,肝内外胆管结石引起胆管扩张5例,胆管癌4例(均位于第一肝门),脾脏多发性淋巴瘤1例,其中肝淤血及肝囊肿均由典型声像图诊断,肝淤血患者并有典型右心功能衰竭表现,其余病例均经手术或病检证实。
, http://www.100md.com
2.仪器 采用韩国Medison/Kretz公司产Voluson 530D三维超声成像系统,该系统配有三维容积探头及透明成像等技术,并能同时进行二维超声及三维超声的检查。凸阵三维容积探头频率为3.5/5.0MHz。
3.图像采集及三维重建 具体方法请参见相关文献〔4〕。
4.资料的保存 重建后的三维图像资料可存贮于内置硬盘或外置硬盘上,便于以后调出复习或重新进行重建,同时作录像及照片保存。
结 果
对不同的病例选择不同的透明成像模式,本组资料的结果均较为满意。
1.透明成像最小回声模式
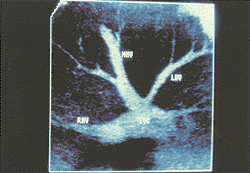
实质性脏器内正常血管的三维图像:用透明成像最小回声模式对20例正常肝内血管进行三维重建的结果显示:正常肝内血管的三维图像可见肝内血管连续性好,各分支间空间关系明确,能显示末端细小的分支或属支,管道走行无迂曲扩张。在整体显示肝内血管方面较二维图像更优越,能显示较二维图像高1~2级的血管分支(图1)。其中1例患者在一幅三维图像内,能同时显示下腔静脉、三支肝静脉、门静脉主干、左右支及分支,最高可显示门静脉的第5级分支,并保持与其上各级分支血管间的连续性,这在一般二维图像上是难以达到的(图2)。对5例正常脾脏血管进行的三维超声重建也可获得类似结果。
, http://www.100md.com
GB:胆囊,LPV:门静脉左支,RPV:门静脉右支,MHV:中肝静脉,RHV:右肝静脉
图1 上:正常人肝内血管三个不同断面的二维图像
下:利用透明成像最小回声模式重建的肝内血管三维图像

显示门静脉、肝静脉与下腔静脉的空间位置关系.IVC:下腔静脉,RHV:右肝静脉,MHV:中肝静脉,LHV:
左肝静脉,RPV:门静脉右支,LPV:门静脉左支,MPV:
门静脉主干,箭头处为门静脉左支矢状部
, 百拇医药 1.下腔静脉,2.右肝静脉,3.中肝静脉,4.左肝静脉,5.门静脉主干,6.门静脉右支,7.门静脉左支
图2 上:肝内血管的三维图像 下:肝内血管示意图
实质性脏器内血管性疾病的三维图像:2例Budd-Chari综合征患者三维超声可清晰显示中肝静脉与左肝静脉间的交通支,并可显示中肝静脉汇入下腔静脉处的狭窄段,图像直观、立体感强。8例肝淤血患者见三支肝静脉明显增宽,肝静脉属支显示明显增多(图3),其中1例可清晰显示第三肝门处汇入下腔静脉的属支。
RHV:右肝静脉,MHV:中肝静脉,LHV:左肝静脉,IVC:下腔静脉
图3 最小回声模式显示肝淤血患者肝内血管的三维图像,可同时显示增粗的三支肝静脉
, http://www.100md.com
显示病变组织与周围血管间的关系:10例肝囊肿利用最小回声模式能清晰显示囊肿与周围血管的关系,并能从不同的方向进行观察。
其他:利用透明成像最小回声模式显示脾内多发性淋巴瘤1例,三维超声可显示肿瘤大体形态及相互间位置关系。胆道结石引起的肝内外胆管扩张5例,透明成像最小回声模式显示肝内扩张的胆管树更丰富、立体感更强,在一幅图像内显示的胆管分支明显增多。
2.透明成像最大回声模式及X线模式
3例中期妊娠孕妇利用透明成像最大回声模式能显示胎儿的整个脊柱和胸廓而不受其曲率的影响,成像效果类似于X线平片的效果,脊椎骨及肋骨均能清晰显示。另外,利用此模式尚能显示二维超声不能观察到的胎儿手掌内掌骨及腕骨的数目。利用透明成像X线模式对上述结构进行重建,也能得到类似效果,该方法保留了较多周围软组织的回声信息,但对上述骨性结构轮廓的显示不如前者清楚。
, http://www.100md.com
3.透明成像混合模式
透明成像最小回声模式与X线模式相组合,能反映出病变组织(包括强回声、等回声及低回声)与周围组织结构的空间位置关系。9例肝癌患者可见肿块边缘血管环绕、中断、受推挤移位,可清晰反映肿块与周围大血管如下腔静脉、肝静脉等的空间关系及距离远近。4例胆管癌患者,三维超声可显示肝内扩张的胆管树结构及癌肿所在位置的空间关系(图4)。
GB:胆囊,箭头处为癌肿所在位置
图4 透明成像混合模式显示肝门区胆管癌及肝内扩张的胆管树
讨论
1.透明成像的特点 实质性脏器(如肝脾等)及中期妊娠胎儿内部回声较均匀,组织结构间的灰阶差异较小,以往三维超声难以显示其内部结构。晚近透明成像技术的出现可望解决此类问题。该技术采用透明算法实现三维重建,能淡化周围组织结构的灰阶信息,使之呈透明状态,而着重显示感兴趣区域的结构,同时部分保留周围组织的灰阶信息,使重建结构具有透明感和立体感,从而显示实质性脏器内部感兴趣区域的空间位置关系。
, http://www.100md.com
透明成像按其算法的不同又分为以下几种模式:最小回声模式、最大回声模式及X线模式,这几种模式可以相互组合,形成混合模式。透明成像最小回声模式仅接收容积数据库中声束方向上最小回声信息,适合于观察血管、扩张的胆管等无回声或低回声病灶等结构;最大回声模式仅接收声束方向的最大回声信息,适合于观察实质性脏器内强回声结构,譬如肝内强回声的肝癌或血管瘤等病变,胎儿的骨性结构(包括颅骨、脊柱、胸廓、四肢等),子宫腔内高回声的子宫内膜层、宫内节育器等;X线模式接收声束方向上所有灰阶信息总和的平均值,其成像效果类似于X线平片的效果;混合模式则有利于观察病变组织与周围结构的空间毗邻关系,譬如肝内占位病变与周围血管的空间毗邻关系〔4,6,7~10〕。
2.透明成像的临床应用价值 利用透明成像最小回声模式重建实质性脏器内的血管结构、克服了以往利用多普勒信息进行三维重建的一些缺点〔3,11〕,譬如仪器调节不当而造成的彩色血流外溢或充填不完整,呼吸时脏器活动或心脏搏动产生的噪音等,因此有可能在以下方面显示临床应用价值:①血管先天性畸形;②血管扩张、狭窄等,如肝动脉瘤、门静脉血栓、癌栓等;③血流的异常分布,血液分流或返流,如门静脉海绵样变性、布加氏综合征时肝静脉之间的交通支形成等;④能显示病变组织与血管间的空间关系,如囊肿可显示囊肿与周围血管间的关系。但该方法也存在对细小血管不够敏感等缺点。
, 百拇医药
利用透明成像最小回声模式与X线模式形成的混合模式,可显示实质性脏器内低回声、强回声病灶与周围血管间的位置关系及距离远近,如肝癌可显示癌肿与周围大血管(肝静脉、下腔静脉等)之间的关系,对其准确定位及协助临床制定诊疗方案可提供依据〔4〕。
最近,本研究小组对肝癌动物模型利用彩色多普勒能量图模式对肿瘤血管进行三维重建,重建模式采用透明成像最大回声模式,结果令人鼓舞,其成像效果类似X线血管造影,可清晰显示呈“抱球状”的肿瘤血管及滋养血管,有关结果将在另文报道。
利用三维超声透明成像最大回声模式,能全面观察胎儿颅骨板的形态结构,可以显示二维超声很难获取的胎儿颅骨板结合处及囟门等结构,而不必担心对胎儿可能造成的损伤。这些发现有可能显示二维超声不能发现的颅骨疾病,并能提示与这些颅骨疾病伴随的一些畸形综合征、染色体异常、代谢紊乱以及颅内感染等可能导致的囟门闭合延迟、颅骨缝过宽和颅骨缝早闭。此外还可以鉴别病理性的颅骨缺损(脑脊膜膨出和脑组织膨出)与颅骨缝的未闭。而二维超声目前能发现的颅骨疾病仅限于胎儿死亡后的颅骨板重叠现象和颅骨轮廓异常如苜蓿形颅骨等〔8〕。
, http://www.100md.com
胎儿脊柱和胸廓先天性畸型较常见,胎儿脊柱和胸廓包含许多不同曲性结构,因此用二维超声很难详细而清晰地观察整个结构。Nelson〔7〕等报道了8例孕16~39周的妇女。结果显示,尽管胎儿位置影响图像质量,三维超声均能对所有病例清晰地观察胎儿胸廓和脊柱,较二维超声更容易全面观察脊柱和胸廓连续性及其曲率的变化。应用三维超声透明成像最大回声模式或X线模式,能整体显示胎儿的脊柱及胸廓,并能将重建后的图像做动态显示,从各个不同的角度来观察胎儿脊柱和胸廓有无异常,能正确诊断脊柱侧弯、脊椎骨缺损、胸廓变形等多种畸形。此外,利用三维超声透明成像最大回声模式,甚至能直接显示二维超声不能显示的胎儿手掌掌骨及腕骨的数目及其排列,因而能早期诊断与之相关的畸形〔7,9,10〕。
另有作者报道利用透明成像最大回声模式透视宫腔内的子宫内膜及宫内节育器(IUD)等结构,根据其形态及位置诊断子宫畸形、IUD移位、变形、嵌入肌层等,取得较好效果。
, http://www.100md.com 3.结论 多种透明成像技术的出现,大大丰富了三维超声的临床应用范围,使得对三维超声的临床应用研究向纵深方向发展,相信随着相关技术的进一步成熟,三维超声必将在临床上发挥更大的作用。
参考文献
[1]Rankin RN,Fenster A,Downey DB,et al.Three-dimensional sonographic reconstruction:Techniques and diagnostic applications.AJR,1993,161:695~701
[2]Hamper UM,Trapanotto V,Sheth S,et al.Three-dimensional US:preliminary clinical experience.Radiology,1994,191:397~401
[3]张青萍,周玉清,乐桂蓉,等,静态结构三维超声成像临床应用研究.中华超声影像学杂志,1998,7(1):3~6
, http://www.100md.com
[4]徐辉雄,张青萍,周玉清.三维超声成像在肝胆疾病中的应用.中国超声医学杂志,1998,14(12):39~41
[5]徐辉雄,张青萍,周玉清,等.三维超声成像在眼部疾病的初步应用.放射学实践,1998,13(2):66~71
[6]周玉清,张青萍,乐桂蓉,等.利用最小回声透明成像对肝脏内部结构进行三维重建.中国超声医学杂志,1998,14(11):6~8
[7]Nelson TR,Pretorius DH.Visualization of the fetal thoracic skeleton with three-dimensional sonography:A preliminary report.AJR,1995,164:1485~1488
[8]Pretorius DH,Nelson TR.Prenatal visualization of cranial sutures and fontanelles with three-dimensional ultrasonography.J Ultrasound Med,1994,13:871~874
, 百拇医药
[9]Budorik NE,Pretorius DH,Nelson TR.Sonography of the fetal spine:Technique,imaging findings,and clinical implications.AJR,1995,164:421~428
[10]Steiner H,Spitzer D,Weiss-Wichert PH,et al.Three-dimensional ultrasound in prenatal diagnosis of skeletal dysplasia.Prenatal Diagnosis,1995,15:373~377
[11]Downey DB,Fenster A.Vascular imaging with a three-dimensional power Doppler system.AJR,1995,165:665~667
(1998-12-28收稿), http://www.100md.com
单位:430030 武汉市同济医科大学附属同济医院超声科
关键词:三维超声成像;透明成像
中国超声医学杂志990604 摘 要 目的:探讨三维超声透明成像技术的临床应用价值。方法:使用Voluson 530D三维超声成像系统(三维容积探头,频率3.5/5.0MHz)的三维超声透明成像技术对部分实质性脏器内部组织结构及中期妊娠的胎儿进行三维重建。结果:三维超声透明成像技术可整体显示实质性脏器(肝、脾等)内部组织机构,显示的血管、胆管或胎儿的脊柱、肋骨等结构完整连续,不受其曲率变化的影响;并可显示实质性脏器内病变组织与周围组织结构的空间位置关系。结论:多种透明成像技术(最小回声模式、最大回声模式、X线模式等)的出现大大丰富了三维超声的临床应用范围,三维超声也必将在临床上发挥更大的作用。
Transparent Mode of Three-Dimensional Sonography:
, 百拇医药
The Clinical Application Value
Xu Huixiong,Zhang Qingping,Zhou Yuqing
Dept.Ultrasound,Tongji Hospital,Tongji Medical University,Wuhan 430030
ABSTRACT Objective:To probe the methodology and clinical value of three-dimensional sonographic transparent mode.Methods:Voluson/Kretz and 3-D volume transducer with frequency 3.5/5.0MHz were used.Results:3-D transparent imaging can demonstrate the inner structures of most solid or hollow organs despite their zigzag shapes.Conclusion:Various transparent imaging technics including minimal mode,maxmal mode,or X-ray mode can greatly enrich the clinical applications.
, 百拇医药
KEY WORDS Three-dimensional sonography Transparent imaging
三维超声发展至今,在表面成像方面已有较多报道〔1~5〕,而在透明成像方面则报道较少。国外目前在透明成像方面的工作主要局限于利用透明成像最大回声模式显示胎儿的颅骨、脊柱、胸廓等结构〔7~10〕,但缺乏对整个透明成像技术的全面报道。本文综合利用多种透明成像模式,旨在对其临床应用作一系统评估。研究的对象主要为肝脏、脾脏等脏器和胎儿,现将初步结果报道如下。
资料与方法
1.研究对象 本组资料包括1997年11月至1998年8月就诊于我科的住院及门诊患者,共计67例,其中男51例,女16例。年龄13~72岁,平均35.7岁。正常组包括正常肝脏20例,正常脾脏5例,中期妊娠妇女3例(均排除了心、肝、肾方面的疾患)。病变组包括肝淤血8例,Budd-Chari综合征2例,肝囊肿10例,原发性肝癌9例,肝内外胆管结石引起胆管扩张5例,胆管癌4例(均位于第一肝门),脾脏多发性淋巴瘤1例,其中肝淤血及肝囊肿均由典型声像图诊断,肝淤血患者并有典型右心功能衰竭表现,其余病例均经手术或病检证实。
, http://www.100md.com
2.仪器 采用韩国Medison/Kretz公司产Voluson 530D三维超声成像系统,该系统配有三维容积探头及透明成像等技术,并能同时进行二维超声及三维超声的检查。凸阵三维容积探头频率为3.5/5.0MHz。
3.图像采集及三维重建 具体方法请参见相关文献〔4〕。
4.资料的保存 重建后的三维图像资料可存贮于内置硬盘或外置硬盘上,便于以后调出复习或重新进行重建,同时作录像及照片保存。
结 果
对不同的病例选择不同的透明成像模式,本组资料的结果均较为满意。
1.透明成像最小回声模式
实质性脏器内正常血管的三维图像:用透明成像最小回声模式对20例正常肝内血管进行三维重建的结果显示:正常肝内血管的三维图像可见肝内血管连续性好,各分支间空间关系明确,能显示末端细小的分支或属支,管道走行无迂曲扩张。在整体显示肝内血管方面较二维图像更优越,能显示较二维图像高1~2级的血管分支(图1)。其中1例患者在一幅三维图像内,能同时显示下腔静脉、三支肝静脉、门静脉主干、左右支及分支,最高可显示门静脉的第5级分支,并保持与其上各级分支血管间的连续性,这在一般二维图像上是难以达到的(图2)。对5例正常脾脏血管进行的三维超声重建也可获得类似结果。
, http://www.100md.com
GB:胆囊,LPV:门静脉左支,RPV:门静脉右支,MHV:中肝静脉,RHV:右肝静脉
图1 上:正常人肝内血管三个不同断面的二维图像
下:利用透明成像最小回声模式重建的肝内血管三维图像
显示门静脉、肝静脉与下腔静脉的空间位置关系.IVC:下腔静脉,RHV:右肝静脉,MHV:中肝静脉,LHV:
左肝静脉,RPV:门静脉右支,LPV:门静脉左支,MPV:
门静脉主干,箭头处为门静脉左支矢状部
, 百拇医药 1.下腔静脉,2.右肝静脉,3.中肝静脉,4.左肝静脉,5.门静脉主干,6.门静脉右支,7.门静脉左支
图2 上:肝内血管的三维图像 下:肝内血管示意图
实质性脏器内血管性疾病的三维图像:2例Budd-Chari综合征患者三维超声可清晰显示中肝静脉与左肝静脉间的交通支,并可显示中肝静脉汇入下腔静脉处的狭窄段,图像直观、立体感强。8例肝淤血患者见三支肝静脉明显增宽,肝静脉属支显示明显增多(图3),其中1例可清晰显示第三肝门处汇入下腔静脉的属支。
RHV:右肝静脉,MHV:中肝静脉,LHV:左肝静脉,IVC:下腔静脉
图3 最小回声模式显示肝淤血患者肝内血管的三维图像,可同时显示增粗的三支肝静脉
, http://www.100md.com
显示病变组织与周围血管间的关系:10例肝囊肿利用最小回声模式能清晰显示囊肿与周围血管的关系,并能从不同的方向进行观察。
其他:利用透明成像最小回声模式显示脾内多发性淋巴瘤1例,三维超声可显示肿瘤大体形态及相互间位置关系。胆道结石引起的肝内外胆管扩张5例,透明成像最小回声模式显示肝内扩张的胆管树更丰富、立体感更强,在一幅图像内显示的胆管分支明显增多。
2.透明成像最大回声模式及X线模式
3例中期妊娠孕妇利用透明成像最大回声模式能显示胎儿的整个脊柱和胸廓而不受其曲率的影响,成像效果类似于X线平片的效果,脊椎骨及肋骨均能清晰显示。另外,利用此模式尚能显示二维超声不能观察到的胎儿手掌内掌骨及腕骨的数目。利用透明成像X线模式对上述结构进行重建,也能得到类似效果,该方法保留了较多周围软组织的回声信息,但对上述骨性结构轮廓的显示不如前者清楚。
, http://www.100md.com
3.透明成像混合模式
透明成像最小回声模式与X线模式相组合,能反映出病变组织(包括强回声、等回声及低回声)与周围组织结构的空间位置关系。9例肝癌患者可见肿块边缘血管环绕、中断、受推挤移位,可清晰反映肿块与周围大血管如下腔静脉、肝静脉等的空间关系及距离远近。4例胆管癌患者,三维超声可显示肝内扩张的胆管树结构及癌肿所在位置的空间关系(图4)。
GB:胆囊,箭头处为癌肿所在位置
图4 透明成像混合模式显示肝门区胆管癌及肝内扩张的胆管树
讨论
1.透明成像的特点 实质性脏器(如肝脾等)及中期妊娠胎儿内部回声较均匀,组织结构间的灰阶差异较小,以往三维超声难以显示其内部结构。晚近透明成像技术的出现可望解决此类问题。该技术采用透明算法实现三维重建,能淡化周围组织结构的灰阶信息,使之呈透明状态,而着重显示感兴趣区域的结构,同时部分保留周围组织的灰阶信息,使重建结构具有透明感和立体感,从而显示实质性脏器内部感兴趣区域的空间位置关系。
, http://www.100md.com
透明成像按其算法的不同又分为以下几种模式:最小回声模式、最大回声模式及X线模式,这几种模式可以相互组合,形成混合模式。透明成像最小回声模式仅接收容积数据库中声束方向上最小回声信息,适合于观察血管、扩张的胆管等无回声或低回声病灶等结构;最大回声模式仅接收声束方向的最大回声信息,适合于观察实质性脏器内强回声结构,譬如肝内强回声的肝癌或血管瘤等病变,胎儿的骨性结构(包括颅骨、脊柱、胸廓、四肢等),子宫腔内高回声的子宫内膜层、宫内节育器等;X线模式接收声束方向上所有灰阶信息总和的平均值,其成像效果类似于X线平片的效果;混合模式则有利于观察病变组织与周围结构的空间毗邻关系,譬如肝内占位病变与周围血管的空间毗邻关系〔4,6,7~10〕。
2.透明成像的临床应用价值 利用透明成像最小回声模式重建实质性脏器内的血管结构、克服了以往利用多普勒信息进行三维重建的一些缺点〔3,11〕,譬如仪器调节不当而造成的彩色血流外溢或充填不完整,呼吸时脏器活动或心脏搏动产生的噪音等,因此有可能在以下方面显示临床应用价值:①血管先天性畸形;②血管扩张、狭窄等,如肝动脉瘤、门静脉血栓、癌栓等;③血流的异常分布,血液分流或返流,如门静脉海绵样变性、布加氏综合征时肝静脉之间的交通支形成等;④能显示病变组织与血管间的空间关系,如囊肿可显示囊肿与周围血管间的关系。但该方法也存在对细小血管不够敏感等缺点。
, 百拇医药
利用透明成像最小回声模式与X线模式形成的混合模式,可显示实质性脏器内低回声、强回声病灶与周围血管间的位置关系及距离远近,如肝癌可显示癌肿与周围大血管(肝静脉、下腔静脉等)之间的关系,对其准确定位及协助临床制定诊疗方案可提供依据〔4〕。
最近,本研究小组对肝癌动物模型利用彩色多普勒能量图模式对肿瘤血管进行三维重建,重建模式采用透明成像最大回声模式,结果令人鼓舞,其成像效果类似X线血管造影,可清晰显示呈“抱球状”的肿瘤血管及滋养血管,有关结果将在另文报道。
利用三维超声透明成像最大回声模式,能全面观察胎儿颅骨板的形态结构,可以显示二维超声很难获取的胎儿颅骨板结合处及囟门等结构,而不必担心对胎儿可能造成的损伤。这些发现有可能显示二维超声不能发现的颅骨疾病,并能提示与这些颅骨疾病伴随的一些畸形综合征、染色体异常、代谢紊乱以及颅内感染等可能导致的囟门闭合延迟、颅骨缝过宽和颅骨缝早闭。此外还可以鉴别病理性的颅骨缺损(脑脊膜膨出和脑组织膨出)与颅骨缝的未闭。而二维超声目前能发现的颅骨疾病仅限于胎儿死亡后的颅骨板重叠现象和颅骨轮廓异常如苜蓿形颅骨等〔8〕。
, http://www.100md.com
胎儿脊柱和胸廓先天性畸型较常见,胎儿脊柱和胸廓包含许多不同曲性结构,因此用二维超声很难详细而清晰地观察整个结构。Nelson〔7〕等报道了8例孕16~39周的妇女。结果显示,尽管胎儿位置影响图像质量,三维超声均能对所有病例清晰地观察胎儿胸廓和脊柱,较二维超声更容易全面观察脊柱和胸廓连续性及其曲率的变化。应用三维超声透明成像最大回声模式或X线模式,能整体显示胎儿的脊柱及胸廓,并能将重建后的图像做动态显示,从各个不同的角度来观察胎儿脊柱和胸廓有无异常,能正确诊断脊柱侧弯、脊椎骨缺损、胸廓变形等多种畸形。此外,利用三维超声透明成像最大回声模式,甚至能直接显示二维超声不能显示的胎儿手掌掌骨及腕骨的数目及其排列,因而能早期诊断与之相关的畸形〔7,9,10〕。
另有作者报道利用透明成像最大回声模式透视宫腔内的子宫内膜及宫内节育器(IUD)等结构,根据其形态及位置诊断子宫畸形、IUD移位、变形、嵌入肌层等,取得较好效果。
, http://www.100md.com 3.结论 多种透明成像技术的出现,大大丰富了三维超声的临床应用范围,使得对三维超声的临床应用研究向纵深方向发展,相信随着相关技术的进一步成熟,三维超声必将在临床上发挥更大的作用。
参考文献
[1]Rankin RN,Fenster A,Downey DB,et al.Three-dimensional sonographic reconstruction:Techniques and diagnostic applications.AJR,1993,161:695~701
[2]Hamper UM,Trapanotto V,Sheth S,et al.Three-dimensional US:preliminary clinical experience.Radiology,1994,191:397~401
[3]张青萍,周玉清,乐桂蓉,等,静态结构三维超声成像临床应用研究.中华超声影像学杂志,1998,7(1):3~6
, http://www.100md.com
[4]徐辉雄,张青萍,周玉清.三维超声成像在肝胆疾病中的应用.中国超声医学杂志,1998,14(12):39~41
[5]徐辉雄,张青萍,周玉清,等.三维超声成像在眼部疾病的初步应用.放射学实践,1998,13(2):66~71
[6]周玉清,张青萍,乐桂蓉,等.利用最小回声透明成像对肝脏内部结构进行三维重建.中国超声医学杂志,1998,14(11):6~8
[7]Nelson TR,Pretorius DH.Visualization of the fetal thoracic skeleton with three-dimensional sonography:A preliminary report.AJR,1995,164:1485~1488
[8]Pretorius DH,Nelson TR.Prenatal visualization of cranial sutures and fontanelles with three-dimensional ultrasonography.J Ultrasound Med,1994,13:871~874
, 百拇医药
[9]Budorik NE,Pretorius DH,Nelson TR.Sonography of the fetal spine:Technique,imaging findings,and clinical implications.AJR,1995,164:421~428
[10]Steiner H,Spitzer D,Weiss-Wichert PH,et al.Three-dimensional ultrasound in prenatal diagnosis of skeletal dysplasia.Prenatal Diagnosis,1995,15:373~377
[11]Downey DB,Fenster A.Vascular imaging with a three-dimensional power Doppler system.AJR,1995,165:665~667
(1998-12-28收稿), http://www.100md.com