B型超声诊断女性前列腺病1例
作者:曾 诚 李惠长
单位:355000 福建省宁德地区第一医院
关键词:
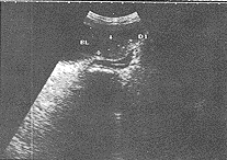
中国超声医学杂志990644 患者女,71岁。于2年前无明显诱因出现尿频,夜尿增多,尿流变细、排尿费力呈滴沥状,无尿痛。曾多次就诊当地卫生院治疗,症状反复发作。于1月前上述症状加剧,伴下腹部胀痛,就诊本院。B超检查所见:双肾大小正常,左肾上部囊肿36mm×37mm,余实质回声均匀,集合系统未见异常。右肾未见异常。双输尿管无扩张。膀胱过度充盈,壁增厚5~7mm、粗糙,膀胱内未见结石。于膀胱颈部见实性等回声结节32mm×26mm×23mm,内回声均匀(图1)。B超诊断:1.膀胱颈部实性结节(女性前列腺病);2.尿潴留、膀胱壁增厚;3.左肾囊肿。行手术治疗,术中所见:膀胱明显增大:壁增厚,颈部抬高呈环状增厚,切开粘膜,钝性剥离膀胱颈部切除增厚组织。病理诊断:膀胱颈粘膜慢性炎症伴鳞状上皮增生,糜烂,病变累及浅肌层,浅肌层肌组织变性,伴结缔组织增生。
BL:膀胱,箭头所指为膀胱颈部实性结节,DI:结节测值32.4mm
图1 女性前列腺病
讨论:女性膀胱颈梗阻即女性前列腺病在临床中罕见,在超声检查中应与膀胱肿瘤及宫颈部病变相鉴别。
(1998-12-08收稿), 百拇医药
单位:355000 福建省宁德地区第一医院
关键词:
中国超声医学杂志990644 患者女,71岁。于2年前无明显诱因出现尿频,夜尿增多,尿流变细、排尿费力呈滴沥状,无尿痛。曾多次就诊当地卫生院治疗,症状反复发作。于1月前上述症状加剧,伴下腹部胀痛,就诊本院。B超检查所见:双肾大小正常,左肾上部囊肿36mm×37mm,余实质回声均匀,集合系统未见异常。右肾未见异常。双输尿管无扩张。膀胱过度充盈,壁增厚5~7mm、粗糙,膀胱内未见结石。于膀胱颈部见实性等回声结节32mm×26mm×23mm,内回声均匀(图1)。B超诊断:1.膀胱颈部实性结节(女性前列腺病);2.尿潴留、膀胱壁增厚;3.左肾囊肿。行手术治疗,术中所见:膀胱明显增大:壁增厚,颈部抬高呈环状增厚,切开粘膜,钝性剥离膀胱颈部切除增厚组织。病理诊断:膀胱颈粘膜慢性炎症伴鳞状上皮增生,糜烂,病变累及浅肌层,浅肌层肌组织变性,伴结缔组织增生。
BL:膀胱,箭头所指为膀胱颈部实性结节,DI:结节测值32.4mm
图1 女性前列腺病
讨论:女性膀胱颈梗阻即女性前列腺病在临床中罕见,在超声检查中应与膀胱肿瘤及宫颈部病变相鉴别。
(1998-12-08收稿), 百拇医药