彩超诊断妊娠并卵巢睾丸母细胞瘤1例
作者:王小燕 黄向红
单位:530021 南宁市广西壮族自治区人民医院
关键词:
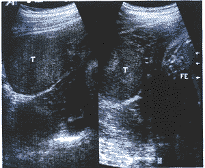
中国超声医学杂志990743 患者,女性,24岁。因怀孕后全身多毛、面貌改变26周入院。患者停经2个月左右出现 声音嘶哑,孕三个月左右出现痤疮、胡须、全身多毛。查体除上述表现外,尚可见皮肤色较 黑、乳晕不着色、腹无紫纹,考虑为雄激素增高所致。血激素检查:FSH 18.6mIU/ml, LH 180mIu/ml,PRL>200ng/ml,Ez>2000pg/ml,T>2000ng/dl,P>100ng/ml,即T(雄 激素)明显增高,应用Domier AI-5200型彩多普勒超声诊断仪,探头频率为5MHz,超声检查 表现:耻上见胎头,双顶径73mm,见胎心胎动,股骨长53mm,胎盘位于后壁,厚28mm,羊水 最大前后径50mm。子宫右侧附件区见50mm×52mm×65mm稍强实质肿块回声,边界清,有包膜 ,内回声欠均匀(图1),左侧附件区未见明显肿块回声。CDFI:胎儿脐带血流A/B比值为3.8 ,右侧附件肿块周边及内部均见丰富的彩色血流,呈红蓝相间的点、条状彩色血流回声(图2 ),肿块一动脉频谱为Vmax 55cm/s,Vmin 31cm/s,RI 0.43,为高速低阻血流(图3)。超声 提示:1.右侧附件实质性肿块(具分泌功能之卵巢肿瘤);2.单胎头位。患者继续怀孕至38 W+2天,行剖腹产及卵巢肿瘤切除术,剖出一正常男婴,出生时有轻度窒息,羊水 过少。术中见右卵巢肿瘤大小6cm×5cm×4cm,包膜完整,质硬。病理诊断:(右)附件卵巢 支持-间质细胞瘤(高、中度分化)。肿瘤部分区域瘤组织呈腺瘤状结构,衬以葵花子样核的 支持细胞,大部分区域呈片状排列的间质细胞。
, 百拇医药
T:肿块,FE:胎儿
图1 妊娠并右侧卵巢睾丸母细胞瘤
图2 肿块血流供应非常丰富,呈红蓝相
间的点、带状彩色血流信号
图3 测量肿块-动脉频谱,为高速低阻型频谱
讨论:卵巢支持-间质细胞瘤又叫卵巢睾丸母细胞瘤或卵巢男性母细胞瘤, 是一种非常少见的肿瘤,占全部卵巢肿瘤的0.08%,且此例怀孕期间发现肿瘤并继续怀孕至 剖腹产,生出一正常男婴就更为少见。肿瘤来源于原始或未分化的性腺组织,由分化不同程 度 的支持细胞或间质细胞构成,类似间质细胞的细胞有男性化作用,而支持细胞则有分泌雌激 素的潜在能力,如为支持细胞瘤,70%表现雌激素作用,如月经过多,月经延长和不规则月 经或绝经后出血;如为支持-间质细胞瘤或纯间质细胞瘤多表现雄激素作用,即男性化表现 。卵巢支持-间质细胞瘤大多为良性,而只有10~30%显示为恶性,常为中低分化型。此例 患者为高中度分化的支持-间质细胞瘤,除有明显男性化特征表现,声像图也极具特征,如 肿块有包膜,类似良性肿块的二维图
像,但彩色血流非常丰富,频谱表现为高速低阻类似恶性的彩色血供。因此我们认为 :如患者卵巢出现具有上述特征的二维及彩色血流图像,又具有男性化特征表现,应考虑肿 块可能为卵巢支持-间质细胞瘤,即卵巢的睾丸母细胞瘤。
(1999-01-05收稿), 百拇医药
单位:530021 南宁市广西壮族自治区人民医院
关键词:
中国超声医学杂志990743 患者,女性,24岁。因怀孕后全身多毛、面貌改变26周入院。患者停经2个月左右出现 声音嘶哑,孕三个月左右出现痤疮、胡须、全身多毛。查体除上述表现外,尚可见皮肤色较 黑、乳晕不着色、腹无紫纹,考虑为雄激素增高所致。血激素检查:FSH 18.6mIU/ml, LH 180mIu/ml,PRL>200ng/ml,Ez>2000pg/ml,T>2000ng/dl,P>100ng/ml,即T(雄 激素)明显增高,应用Domier AI-5200型彩多普勒超声诊断仪,探头频率为5MHz,超声检查 表现:耻上见胎头,双顶径73mm,见胎心胎动,股骨长53mm,胎盘位于后壁,厚28mm,羊水 最大前后径50mm。子宫右侧附件区见50mm×52mm×65mm稍强实质肿块回声,边界清,有包膜 ,内回声欠均匀(图1),左侧附件区未见明显肿块回声。CDFI:胎儿脐带血流A/B比值为3.8 ,右侧附件肿块周边及内部均见丰富的彩色血流,呈红蓝相间的点、条状彩色血流回声(图2 ),肿块一动脉频谱为Vmax 55cm/s,Vmin 31cm/s,RI 0.43,为高速低阻血流(图3)。超声 提示:1.右侧附件实质性肿块(具分泌功能之卵巢肿瘤);2.单胎头位。患者继续怀孕至38 W+2天,行剖腹产及卵巢肿瘤切除术,剖出一正常男婴,出生时有轻度窒息,羊水 过少。术中见右卵巢肿瘤大小6cm×5cm×4cm,包膜完整,质硬。病理诊断:(右)附件卵巢 支持-间质细胞瘤(高、中度分化)。肿瘤部分区域瘤组织呈腺瘤状结构,衬以葵花子样核的 支持细胞,大部分区域呈片状排列的间质细胞。
, 百拇医药
T:肿块,FE:胎儿
图1 妊娠并右侧卵巢睾丸母细胞瘤
图2 肿块血流供应非常丰富,呈红蓝相
间的点、带状彩色血流信号
图3 测量肿块-动脉频谱,为高速低阻型频谱
讨论:卵巢支持-间质细胞瘤又叫卵巢睾丸母细胞瘤或卵巢男性母细胞瘤, 是一种非常少见的肿瘤,占全部卵巢肿瘤的0.08%,且此例怀孕期间发现肿瘤并继续怀孕至 剖腹产,生出一正常男婴就更为少见。肿瘤来源于原始或未分化的性腺组织,由分化不同程 度 的支持细胞或间质细胞构成,类似间质细胞的细胞有男性化作用,而支持细胞则有分泌雌激 素的潜在能力,如为支持细胞瘤,70%表现雌激素作用,如月经过多,月经延长和不规则月 经或绝经后出血;如为支持-间质细胞瘤或纯间质细胞瘤多表现雄激素作用,即男性化表现 。卵巢支持-间质细胞瘤大多为良性,而只有10~30%显示为恶性,常为中低分化型。此例 患者为高中度分化的支持-间质细胞瘤,除有明显男性化特征表现,声像图也极具特征,如 肿块有包膜,类似良性肿块的二维图
像,但彩色血流非常丰富,频谱表现为高速低阻类似恶性的彩色血供。因此我们认为 :如患者卵巢出现具有上述特征的二维及彩色血流图像,又具有男性化特征表现,应考虑肿 块可能为卵巢支持-间质细胞瘤,即卵巢的睾丸母细胞瘤。
(1999-01-05收稿), 百拇医药