B型超声诊断胎儿头部淋巴囊肿1例
作者:阳世伟
单位:412200 湖南医学高等专科学校附属湘东医院
关键词:
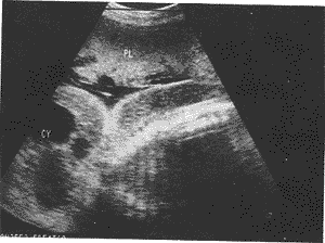
中国超声医学杂志990737 患者女,23岁,妊27周,非近亲结婚,早孕期曾患感冒,服用过抗感冒药,药名不详。 B超所见:胎儿双顶径68mm,头颅光环尚规则,脑中线无偏移,脑室无扩张,枕后探及一70m m×51mm的囊性肿物,形态不规则,边界清,内有纤细光带分隔成多房状,透声好(图1),胎 儿头皮下及背部皮下探及17~19mm宽的低回声暗带(图2),如同胎儿被一层较宽的“茧状物 ”所覆盖。胎儿脊柱、四肢及胸腹腔脏器发育无异常,子宫前壁胎盘厚33mm,2度;羊水池3 0+34+33+28mm,透声好。B超诊断:胎儿畸形,胎儿枕后部淋巴囊肿并头皮及背部皮下水肿。
FH:胎头,CY:囊肿,PL:胎盘
图1 胎儿头部囊肿
CY:胎头囊肿,PL:胎盘
图2 胎儿头部及背部皮下低回声暗带
引产及尸解所见:胎儿头部形态失常,枕后见一巨大肿物,头皮及背部皮肤明显增厚水肿,似象皮肿,皮下组织吾胶冻状,枕后皮下见一多房、壁薄且光滑的囊肿。囊液为淡黄色透明胶冻状。病理诊断为:淋巴囊肿。
讨论:胎儿淋巴囊肿为一种少见的先天畸形,是由于淋巴系统梗阻所致,发生于颈部约占80%,其它发生在腋窝、腹股沟等处。本例发生于胎儿枕后部,实属罕见。
(1999-01-11收稿), 百拇医药
单位:412200 湖南医学高等专科学校附属湘东医院
关键词:
中国超声医学杂志990737 患者女,23岁,妊27周,非近亲结婚,早孕期曾患感冒,服用过抗感冒药,药名不详。 B超所见:胎儿双顶径68mm,头颅光环尚规则,脑中线无偏移,脑室无扩张,枕后探及一70m m×51mm的囊性肿物,形态不规则,边界清,内有纤细光带分隔成多房状,透声好(图1),胎 儿头皮下及背部皮下探及17~19mm宽的低回声暗带(图2),如同胎儿被一层较宽的“茧状物 ”所覆盖。胎儿脊柱、四肢及胸腹腔脏器发育无异常,子宫前壁胎盘厚33mm,2度;羊水池3 0+34+33+28mm,透声好。B超诊断:胎儿畸形,胎儿枕后部淋巴囊肿并头皮及背部皮下水肿。
FH:胎头,CY:囊肿,PL:胎盘
图1 胎儿头部囊肿
CY:胎头囊肿,PL:胎盘
图2 胎儿头部及背部皮下低回声暗带
引产及尸解所见:胎儿头部形态失常,枕后见一巨大肿物,头皮及背部皮肤明显增厚水肿,似象皮肿,皮下组织吾胶冻状,枕后皮下见一多房、壁薄且光滑的囊肿。囊液为淡黄色透明胶冻状。病理诊断为:淋巴囊肿。
讨论:胎儿淋巴囊肿为一种少见的先天畸形,是由于淋巴系统梗阻所致,发生于颈部约占80%,其它发生在腋窝、腹股沟等处。本例发生于胎儿枕后部,实属罕见。
(1999-01-11收稿), 百拇医药