肝 包 虫 破 入 胆 道 1 例
作者:古 文 李春英 秦汉科
单位:835000 新疆伊犁地区人民医院功能科
关键词:
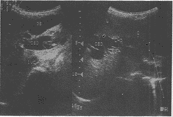
中国超声医学杂志990735 患者女性,11岁。长跑后突感右上腹胀痛、阵发性剧痛伴恶心、呕吐。在外院抗炎对症 治疗效果欠佳,患者逐渐出现食欲减退、全身乏力发热,来我院就诊。超声检查见:肝左叶 见5.9cm×7.3cm液性暗区,界尚清,周边为较厚的低回声带,不规整,突入液性暗区,暗 区内见少许不规则光带回声,并可见一独立完整的小光圈。此回声暗区与肝左管相沟通,继 续扫查可见肝内外胆管重度扩张,呈囊状,胆总管扩张为2.7cm,在其下段内见一光带折叠 缠绕形成一大小约1.43cm×3.92cm不均质团块,此处胆管壁与团块分界清,观察期间团块 无形态大小的改变。胆囊大小为8.6cm×2.7cm(图1)。B超提示:肝包虫内囊破入胆管并胆 总管下段包虫内囊梗阻;2.肝左叶液性病灶:肝包虫破裂后残腔(内含子囊);3.胆囊肿大 、胆囊炎。术前包虫皮内试验阳性。
手术所见:胆囊壁充血水肿,大小约12cm×4cm,胆总管扩张为3cm,壁亦充血水肿,未触及 结 石,肝左叶有一大小约为10cm×7cm略高于肝脏表面,呈灰白色的囊性肿物。术中行胆囊切 除后。在胆总管中段纵行切开1cm,见暗黑色胆汁流出约200ml,吸净后,从胆总管下段用长 嘴钳掏出呈浅绿色的包虫内囊皮,呈线团状,未见子囊。冲洗胆总管后放入“T”型管,充 分显露肝左叶,用5cm注射器穿刺囊性肿物抽出白色透明液体,进一步确诊为肝包虫,接着吸出包虫内液250ml左右,切开包块外壁约3cm,残腔内见部 分内囊及子囊,顺利摘除。术后诊断:肝包虫破入胆道、胆囊炎、胆囊积液。
L:肝脏,GB:胆囊,CBD:胆总管,PV:门静脉,M:团块,CY:液性病灶 ,LHD:左肝管,IVC:下腔静脉,P:胰腺
图1 肝包虫破入胆道
(1999-01-26收稿), http://www.100md.com
单位:835000 新疆伊犁地区人民医院功能科
关键词:
中国超声医学杂志990735 患者女性,11岁。长跑后突感右上腹胀痛、阵发性剧痛伴恶心、呕吐。在外院抗炎对症 治疗效果欠佳,患者逐渐出现食欲减退、全身乏力发热,来我院就诊。超声检查见:肝左叶 见5.9cm×7.3cm液性暗区,界尚清,周边为较厚的低回声带,不规整,突入液性暗区,暗 区内见少许不规则光带回声,并可见一独立完整的小光圈。此回声暗区与肝左管相沟通,继 续扫查可见肝内外胆管重度扩张,呈囊状,胆总管扩张为2.7cm,在其下段内见一光带折叠 缠绕形成一大小约1.43cm×3.92cm不均质团块,此处胆管壁与团块分界清,观察期间团块 无形态大小的改变。胆囊大小为8.6cm×2.7cm(图1)。B超提示:肝包虫内囊破入胆管并胆 总管下段包虫内囊梗阻;2.肝左叶液性病灶:肝包虫破裂后残腔(内含子囊);3.胆囊肿大 、胆囊炎。术前包虫皮内试验阳性。
手术所见:胆囊壁充血水肿,大小约12cm×4cm,胆总管扩张为3cm,壁亦充血水肿,未触及 结 石,肝左叶有一大小约为10cm×7cm略高于肝脏表面,呈灰白色的囊性肿物。术中行胆囊切 除后。在胆总管中段纵行切开1cm,见暗黑色胆汁流出约200ml,吸净后,从胆总管下段用长 嘴钳掏出呈浅绿色的包虫内囊皮,呈线团状,未见子囊。冲洗胆总管后放入“T”型管,充 分显露肝左叶,用5cm注射器穿刺囊性肿物抽出白色透明液体,进一步确诊为肝包虫,接着吸出包虫内液250ml左右,切开包块外壁约3cm,残腔内见部 分内囊及子囊,顺利摘除。术后诊断:肝包虫破入胆道、胆囊炎、胆囊积液。
L:肝脏,GB:胆囊,CBD:胆总管,PV:门静脉,M:团块,CY:液性病灶 ,LHD:左肝管,IVC:下腔静脉,P:胰腺
图1 肝包虫破入胆道
(1999-01-26收稿), http://www.100md.com