Ⅳ型胶原和C-erbB-2在口腔念珠菌白斑中的表达
作者:高岩 刘昕燕 韩志峰 王颖
单位:高岩、刘昕燕 100081 北京医科大学口腔医学院;韩志峰 河北医科大学口腔医学院;王颖 基础医学院
关键词:念珠菌病,口腔;胶原;原癌基因蛋白质C-erbB-2类
中华口腔医学杂志990601 【摘要】 目的 研究口腔念珠菌白斑中Ⅳ型胶原和癌基因蛋白C-erbB-2的表达特点。方法 应用SP免疫组织化学染色法,对32例口腔念珠菌白斑病例中的Ⅳ型胶原和癌基因蛋白C-erbB-2的表达特点进行分析。结果 Ⅳ型胶原染色在27例中成功。正常和单纯增生的口腔上皮基底膜区Ⅳ型胶原呈均匀线状阳性,发生改变时表现为增厚、变薄和染色中断。上皮异常增生时变薄和染色中断者多于非上皮异常增生者。C-erbB-2在78%的念珠菌白斑中为阳性,主要出现在棘层细胞膜,呈网状。上皮异常增生与否与染色强度和阳性率无关。结论 念珠菌白斑中Ⅳ型胶原表达主要的改变是线状阳性变薄和染色中断,可能与癌前病变的基底膜降解有关;C-erbB-2在念珠菌白斑中的表达较广泛,是一般性细胞增殖调节因子, 与上皮异常增生的关系不大。
, 百拇医药
Type Ⅳ collagen and C-erbB-2 expression in oral candidal leukoplakia
GAO Yan* , LIU Xinyan , HAN Zhifeng,et al.
*School of Stomatology, Beijing Medical University, Beijing 100081
【Abstract】 Objective To investigate type Ⅳ collagen and C-erbB-2 expression in oral candidal leukoplakia. Methods 27 cases of oral candidal leukoplakia were studied by immunohistochemistry. Results In normal and simple hyperplastic epithelia type Ⅳ collagen was noted as brown linear staining along the basement membrane. The most obvious change in the staining pattern was that the linear staining became very thin or discontinued in dysplastic epithelia. C-erbB-2 was demonstrated in 25 cases(78%) . The positive staining, as a reticular pattern, was located at cell membrane, and not correlated with epithelial dysplasia. Conclusion The results indicate that type Ⅳ collagen expression changed in candidal leukoplakia with epithelial dysplasia. This kind of change may be related to basement membrane destruction. The immunohistochemically expression of C-erbB-2 has no correlation with epithelial dysplasia.
, 百拇医药
【Key words】 Candidiasis,oral Collagen Proto-oncogene proteins C-erbB-2
基底膜的成分主要有层粘连蛋白、Ⅳ型胶原及硫酸肝素糖蛋白等,其中Ⅳ型胶原可能在肿瘤的浸润和转移中发生改变。口腔癌前病变中Ⅳ型胶原所发生的改变对阐明口腔癌发生的机理有意义。C-erbB-2是一种较常见的、在某些恶性肿瘤中有异常表达的癌基因,其产物为相对分子质量185 000的跨膜蛋白,具有酪氨酸激酶活性。作为一种与表皮生长因子受体基因有同源性的癌基因,C-erbB-2在正常情况下处于非激活状态,它对细胞的生长分化起重要调节作用,异常激活后具有肿瘤转化活性,在某些肿瘤中有过高表达。口腔念珠菌白斑具有细胞增殖活跃、上皮异常增生发生率高,p53蛋白表达增强等癌前病变特点[1,2],但该病变中是否有Ⅳ型胶原及C-erbB-2的异常表达目前尚不清楚。为此,我们用免疫组织化学方法分析了口腔念珠菌白斑中Ⅳ型胶原和C-erbB-2 的表达。
, 百拇医药
材料与方法
1. 材料:根据Cawson和Binnie[3]对念珠菌白斑的临床及显微镜下表现的描述,结合北京医科大学口腔医学院病理室对念珠菌白斑的组织学观察,制定出念珠菌白斑的诊断标准:临床表现白色斑块,常为非均质性;组织学上为上皮增生、上皮增厚;上皮内白细胞游出,角化层或浅棘层见多形核白细胞形成的微小脓肿;PAS染色见上皮内有白色念珠菌菌丝侵入。本研究中符合上述标准者32例,另选25例普通白斑作为对照。
2.方法:将上述病例的组织标本经常规方法制成5 μm石蜡切片。用SP法进行免疫组织化学染色。 主要步骤为:切片水化,用0.3%过氧化氢甲醇液封闭内源性过氧化物酶20分钟;对于Ⅳ型胶原染色者,先将切片用0.1%的胰蛋白酶消化1小时,然后将切片置于微波炉中加热10分钟;C-erbB-2染色只用微波加热法;依次滴加Ⅳ型胶原和C-erbB-2单克隆抗体(DAKO,1∶75)、生物素化第二抗体(DAKO,1∶500)和酶联链亲合素(DAKO,1∶800)、用DAB显色。以上各步间均用缓冲液冲洗。苏木素复染,光镜观察 。阴性对照用缓冲液代替一抗,其余步骤相同。
, 百拇医药
3.结果评价:Ⅳ型胶原染色主要观察基底膜阳性区的形态,有无增厚、间断 、 复层等现象; C-erbB-2染色主要观察阳性强度及其在上皮中的分布。
结果
一、 Ⅳ型胶原在念珠菌白斑中的表达
32例标本中,染色成功27例,Ⅳ型胶原均为阳性,阴性对照未见染色。阳性区域分布在基底膜区和固有层血管基底膜,呈褐色线条状。在正常口腔上皮和上皮单纯性增生的念珠菌白斑中,线条状阳性区连续、完整、宽度较一致(图1);在上皮异常增生的念珠菌白斑中,Ⅳ型胶原的主要改变是阳性区变薄,呈细的线条状,并且有中断现象,即阳性区区域性消失,这在重度异常增生者更为明显(图2)。在本研究中,11例异常增生中9例出现Ⅳ型胶原染色区变薄和中断现象,与上皮单纯增生相比(5/16),差异有显著性(P< 0.05)。Ⅳ型胶原染色的另一个改变是局部阳性区增厚,这在上皮单纯增生和异常增生中均可见到,且在两种上皮中的出现频率未见明显差别(P> 0.05)。Ⅳ型胶原染色可清晰显示固有层血管、血管密度、分布位置及管腔的大小。在炎症细胞重度浸润区Ⅳ型胶原染色阴性。对照组白斑的Ⅳ型胶原染色特点基本与念珠菌白斑相似。
, http://www.100md.com
图1 念珠菌白斑Ⅳ型胶原,上皮单纯增生时,Ⅳ型胶原呈均匀的线状染色(SP×150)
图2 念珠菌白斑Ⅳ型胶原,上皮单纯增生时,Ⅳ型胶原染色中断消失(SP×300)
二、C-erbB-2在念珠菌白斑中的表达
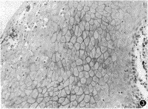
32例中25例为C-erbB-2阳性,占78% 。阴性对照未见染色。阳性染色见于上皮全层,主要位于棘细胞层,表现为细胞膜着色。细胞彼此相连,呈网状染色(图3),而基底层细胞染色浅,网状着色不明显。邻近微脓肿的上皮细胞一般为阴性。上皮单纯增生和异常增生的染色阳性率及强度未见明显差别。个别病例中可见异常增生细胞为阴性染色,而其表面形态与正常细胞相比则为阳性。对照组25例白斑的C-erbB-2染色有20例阳性,占80% ,阳性特点与念珠菌白斑相似。
, 百拇医药
图3 念珠菌白斑C-erbB-2,阳性染色主要见于棘细胞胞膜(SP×150)
讨论
基底膜作为一种特殊的细胞外基质成分,除将上皮和结缔组织分隔,起屏障作用外,对于上皮细胞的分化、迁移、创伤修复等生物学过程也很重要[4]。在一些肿瘤包括口腔癌中,有Ⅳ型胶原表达异常,提示Ⅳ型胶原的改变可以反映癌细胞的某些生物学特性如浸润和转移等[5]。口腔癌前病变发生癌变时基底膜会发生改变,因此研究癌前病变包括念珠菌白斑中Ⅳ型胶原的表达对于阐明癌变机理很有意义。本研究结果显示,念珠菌白斑中Ⅳ型胶原的染色改变主要有3种:局部增厚、变薄和局部消失,与头颈部鳞癌类似[6]。如果考虑到上皮异常增生的因素,则可见Ⅳ型胶原变薄和局部消失更重要,本研究中,有上皮异常增生者Ⅳ型胶原变薄和中断者明显多于上皮单纯增生者(82%∶31%, P< 0.05),并且重度异常增生时该现象更明显。这种现象也见于口腔癌。说明上皮异常增生时就对基底膜可能具有浸润性或形成基底膜物质的功能发生变化,这一特点也可能与上皮增生癌变有关。25例非念珠菌白斑的Ⅳ型胶原表达基本与念珠菌白斑相似,说明二者在Ⅳ型胶原的表达特点上性质一致。
, 百拇医药
本研究中还可见基底膜区重度炎症浸润时,Ⅳ型胶原常呈阴性染色。此种Ⅳ型胶原染色消失可能是由于炎症细胞对上皮的免疫反应所致,这是否有助于异常增生上皮细胞突破基底膜尚不清楚。
C-erbB-2的异常表达在涎腺肿瘤和口腔鳞状细胞癌等肿瘤中均有报道[7-9]。在临床中,C-erbB-2的表达已成为某些肿瘤的预后标志,在口腔癌前病变中这方面的研究较少,结果也不尽相同。有人认为头颈部鳞癌无C-erbB-2的表达,也有人认为有较高的表达。本研究显示,口腔念珠菌白斑和普通白斑中C-erbB-2均有较高表达,且主要为棘层细胞的细胞膜阳性,基底细胞表达较弱,与上皮异常增生无明显关系。这说明C-erbB-2作为一种癌基因在口腔上皮增生性病变中有较普遍的表达,在不同的细胞增殖阶段在免疫组织化学的水平上未见明显区别,其与口腔上皮细胞恶性转化的关系尚需进一步研究。
卫生部科学研究基金资助课题(942198)
, 百拇医药
参考文献
1 高岩,刘鼎新,郑麟藩.口腔念珠菌白斑的细胞增殖.中华口腔医学杂志,1993, 28:35-37.
2 高岩.p53蛋白在口腔念珠菌白斑中的异常表达.中华口腔医学杂志,1996, 31:182-184.
3 Cawson RA, Binnie WH. Candidal leukoplakia and carcinoma: a possible relationship. In: Mackenzie IC, Dabelsteen E, Squier CA, eds. Oral premalignancy. Iowa: University of Iowa Press, 1980.59-66.
4 Abrahamson DR. Rescent studies on the structure and pathology of basement membranes. J Pathol, 1986,149:257-278.
, http://www.100md.com
5 Jiang DJ, Wilson DF, Smith PS, et al. Distribution of basal lamina type Ⅳ collagen and laminin in normal rat tongue mucosa and experimental oral carcinoma: ultrastructural immunolocalization and immunogold quantitation. Eur J Cancer B Oral Oncol, 1994, 30B: 237-243.
6 Carter RL, Burman JF, Barr L, et al. Immunohistochemical localization of basement membrane type Ⅳ collagen in invasive and metastatic squamous carcinomas of the head and neck. J Pathol, 1985,147: 159-164.
, http://www.100md.com
7 Wright C, Angus B, Nicholson S, et al. Expression of c-erbB-2 oncoprotein: a prognostic indicator in human breast cancer. Cancer Res, 1989,49:2087-2090.
8 Field JK. Oncogenes and tumour-suppressor genes in squamous cell carcinoma of the head and neck. Eur J Cancer B Oral Oncol, 1992,28B: 67-76.
9 龙彦,凌涤生,王力.口腔粘膜癌前病变C-erbB-2蛋白产物检测.现代口腔医学杂志,1997, 11:87-89.
(收稿:1998-12-01 修回:1999-03-04), 百拇医药
单位:高岩、刘昕燕 100081 北京医科大学口腔医学院;韩志峰 河北医科大学口腔医学院;王颖 基础医学院
关键词:念珠菌病,口腔;胶原;原癌基因蛋白质C-erbB-2类
中华口腔医学杂志990601 【摘要】 目的 研究口腔念珠菌白斑中Ⅳ型胶原和癌基因蛋白C-erbB-2的表达特点。方法 应用SP免疫组织化学染色法,对32例口腔念珠菌白斑病例中的Ⅳ型胶原和癌基因蛋白C-erbB-2的表达特点进行分析。结果 Ⅳ型胶原染色在27例中成功。正常和单纯增生的口腔上皮基底膜区Ⅳ型胶原呈均匀线状阳性,发生改变时表现为增厚、变薄和染色中断。上皮异常增生时变薄和染色中断者多于非上皮异常增生者。C-erbB-2在78%的念珠菌白斑中为阳性,主要出现在棘层细胞膜,呈网状。上皮异常增生与否与染色强度和阳性率无关。结论 念珠菌白斑中Ⅳ型胶原表达主要的改变是线状阳性变薄和染色中断,可能与癌前病变的基底膜降解有关;C-erbB-2在念珠菌白斑中的表达较广泛,是一般性细胞增殖调节因子, 与上皮异常增生的关系不大。
, 百拇医药
Type Ⅳ collagen and C-erbB-2 expression in oral candidal leukoplakia
GAO Yan* , LIU Xinyan , HAN Zhifeng,et al.
*School of Stomatology, Beijing Medical University, Beijing 100081
【Abstract】 Objective To investigate type Ⅳ collagen and C-erbB-2 expression in oral candidal leukoplakia. Methods 27 cases of oral candidal leukoplakia were studied by immunohistochemistry. Results In normal and simple hyperplastic epithelia type Ⅳ collagen was noted as brown linear staining along the basement membrane. The most obvious change in the staining pattern was that the linear staining became very thin or discontinued in dysplastic epithelia. C-erbB-2 was demonstrated in 25 cases(78%) . The positive staining, as a reticular pattern, was located at cell membrane, and not correlated with epithelial dysplasia. Conclusion The results indicate that type Ⅳ collagen expression changed in candidal leukoplakia with epithelial dysplasia. This kind of change may be related to basement membrane destruction. The immunohistochemically expression of C-erbB-2 has no correlation with epithelial dysplasia.
, 百拇医药
【Key words】 Candidiasis,oral Collagen Proto-oncogene proteins C-erbB-2
基底膜的成分主要有层粘连蛋白、Ⅳ型胶原及硫酸肝素糖蛋白等,其中Ⅳ型胶原可能在肿瘤的浸润和转移中发生改变。口腔癌前病变中Ⅳ型胶原所发生的改变对阐明口腔癌发生的机理有意义。C-erbB-2是一种较常见的、在某些恶性肿瘤中有异常表达的癌基因,其产物为相对分子质量185 000的跨膜蛋白,具有酪氨酸激酶活性。作为一种与表皮生长因子受体基因有同源性的癌基因,C-erbB-2在正常情况下处于非激活状态,它对细胞的生长分化起重要调节作用,异常激活后具有肿瘤转化活性,在某些肿瘤中有过高表达。口腔念珠菌白斑具有细胞增殖活跃、上皮异常增生发生率高,p53蛋白表达增强等癌前病变特点[1,2],但该病变中是否有Ⅳ型胶原及C-erbB-2的异常表达目前尚不清楚。为此,我们用免疫组织化学方法分析了口腔念珠菌白斑中Ⅳ型胶原和C-erbB-2 的表达。
, 百拇医药
材料与方法
1. 材料:根据Cawson和Binnie[3]对念珠菌白斑的临床及显微镜下表现的描述,结合北京医科大学口腔医学院病理室对念珠菌白斑的组织学观察,制定出念珠菌白斑的诊断标准:临床表现白色斑块,常为非均质性;组织学上为上皮增生、上皮增厚;上皮内白细胞游出,角化层或浅棘层见多形核白细胞形成的微小脓肿;PAS染色见上皮内有白色念珠菌菌丝侵入。本研究中符合上述标准者32例,另选25例普通白斑作为对照。
2.方法:将上述病例的组织标本经常规方法制成5 μm石蜡切片。用SP法进行免疫组织化学染色。 主要步骤为:切片水化,用0.3%过氧化氢甲醇液封闭内源性过氧化物酶20分钟;对于Ⅳ型胶原染色者,先将切片用0.1%的胰蛋白酶消化1小时,然后将切片置于微波炉中加热10分钟;C-erbB-2染色只用微波加热法;依次滴加Ⅳ型胶原和C-erbB-2单克隆抗体(DAKO,1∶75)、生物素化第二抗体(DAKO,1∶500)和酶联链亲合素(DAKO,1∶800)、用DAB显色。以上各步间均用缓冲液冲洗。苏木素复染,光镜观察 。阴性对照用缓冲液代替一抗,其余步骤相同。
, 百拇医药
3.结果评价:Ⅳ型胶原染色主要观察基底膜阳性区的形态,有无增厚、间断 、 复层等现象; C-erbB-2染色主要观察阳性强度及其在上皮中的分布。
结果
一、 Ⅳ型胶原在念珠菌白斑中的表达
32例标本中,染色成功27例,Ⅳ型胶原均为阳性,阴性对照未见染色。阳性区域分布在基底膜区和固有层血管基底膜,呈褐色线条状。在正常口腔上皮和上皮单纯性增生的念珠菌白斑中,线条状阳性区连续、完整、宽度较一致(图1);在上皮异常增生的念珠菌白斑中,Ⅳ型胶原的主要改变是阳性区变薄,呈细的线条状,并且有中断现象,即阳性区区域性消失,这在重度异常增生者更为明显(图2)。在本研究中,11例异常增生中9例出现Ⅳ型胶原染色区变薄和中断现象,与上皮单纯增生相比(5/16),差异有显著性(P< 0.05)。Ⅳ型胶原染色的另一个改变是局部阳性区增厚,这在上皮单纯增生和异常增生中均可见到,且在两种上皮中的出现频率未见明显差别(P> 0.05)。Ⅳ型胶原染色可清晰显示固有层血管、血管密度、分布位置及管腔的大小。在炎症细胞重度浸润区Ⅳ型胶原染色阴性。对照组白斑的Ⅳ型胶原染色特点基本与念珠菌白斑相似。
, http://www.100md.com
图1 念珠菌白斑Ⅳ型胶原,上皮单纯增生时,Ⅳ型胶原呈均匀的线状染色(SP×150)
图2 念珠菌白斑Ⅳ型胶原,上皮单纯增生时,Ⅳ型胶原染色中断消失(SP×300)
二、C-erbB-2在念珠菌白斑中的表达
32例中25例为C-erbB-2阳性,占78% 。阴性对照未见染色。阳性染色见于上皮全层,主要位于棘细胞层,表现为细胞膜着色。细胞彼此相连,呈网状染色(图3),而基底层细胞染色浅,网状着色不明显。邻近微脓肿的上皮细胞一般为阴性。上皮单纯增生和异常增生的染色阳性率及强度未见明显差别。个别病例中可见异常增生细胞为阴性染色,而其表面形态与正常细胞相比则为阳性。对照组25例白斑的C-erbB-2染色有20例阳性,占80% ,阳性特点与念珠菌白斑相似。
, 百拇医药
图3 念珠菌白斑C-erbB-2,阳性染色主要见于棘细胞胞膜(SP×150)
讨论
基底膜作为一种特殊的细胞外基质成分,除将上皮和结缔组织分隔,起屏障作用外,对于上皮细胞的分化、迁移、创伤修复等生物学过程也很重要[4]。在一些肿瘤包括口腔癌中,有Ⅳ型胶原表达异常,提示Ⅳ型胶原的改变可以反映癌细胞的某些生物学特性如浸润和转移等[5]。口腔癌前病变发生癌变时基底膜会发生改变,因此研究癌前病变包括念珠菌白斑中Ⅳ型胶原的表达对于阐明癌变机理很有意义。本研究结果显示,念珠菌白斑中Ⅳ型胶原的染色改变主要有3种:局部增厚、变薄和局部消失,与头颈部鳞癌类似[6]。如果考虑到上皮异常增生的因素,则可见Ⅳ型胶原变薄和局部消失更重要,本研究中,有上皮异常增生者Ⅳ型胶原变薄和中断者明显多于上皮单纯增生者(82%∶31%, P< 0.05),并且重度异常增生时该现象更明显。这种现象也见于口腔癌。说明上皮异常增生时就对基底膜可能具有浸润性或形成基底膜物质的功能发生变化,这一特点也可能与上皮增生癌变有关。25例非念珠菌白斑的Ⅳ型胶原表达基本与念珠菌白斑相似,说明二者在Ⅳ型胶原的表达特点上性质一致。
, 百拇医药
本研究中还可见基底膜区重度炎症浸润时,Ⅳ型胶原常呈阴性染色。此种Ⅳ型胶原染色消失可能是由于炎症细胞对上皮的免疫反应所致,这是否有助于异常增生上皮细胞突破基底膜尚不清楚。
C-erbB-2的异常表达在涎腺肿瘤和口腔鳞状细胞癌等肿瘤中均有报道[7-9]。在临床中,C-erbB-2的表达已成为某些肿瘤的预后标志,在口腔癌前病变中这方面的研究较少,结果也不尽相同。有人认为头颈部鳞癌无C-erbB-2的表达,也有人认为有较高的表达。本研究显示,口腔念珠菌白斑和普通白斑中C-erbB-2均有较高表达,且主要为棘层细胞的细胞膜阳性,基底细胞表达较弱,与上皮异常增生无明显关系。这说明C-erbB-2作为一种癌基因在口腔上皮增生性病变中有较普遍的表达,在不同的细胞增殖阶段在免疫组织化学的水平上未见明显区别,其与口腔上皮细胞恶性转化的关系尚需进一步研究。
卫生部科学研究基金资助课题(942198)
, 百拇医药
参考文献
1 高岩,刘鼎新,郑麟藩.口腔念珠菌白斑的细胞增殖.中华口腔医学杂志,1993, 28:35-37.
2 高岩.p53蛋白在口腔念珠菌白斑中的异常表达.中华口腔医学杂志,1996, 31:182-184.
3 Cawson RA, Binnie WH. Candidal leukoplakia and carcinoma: a possible relationship. In: Mackenzie IC, Dabelsteen E, Squier CA, eds. Oral premalignancy. Iowa: University of Iowa Press, 1980.59-66.
4 Abrahamson DR. Rescent studies on the structure and pathology of basement membranes. J Pathol, 1986,149:257-278.
, http://www.100md.com
5 Jiang DJ, Wilson DF, Smith PS, et al. Distribution of basal lamina type Ⅳ collagen and laminin in normal rat tongue mucosa and experimental oral carcinoma: ultrastructural immunolocalization and immunogold quantitation. Eur J Cancer B Oral Oncol, 1994, 30B: 237-243.
6 Carter RL, Burman JF, Barr L, et al. Immunohistochemical localization of basement membrane type Ⅳ collagen in invasive and metastatic squamous carcinomas of the head and neck. J Pathol, 1985,147: 159-164.
, http://www.100md.com
7 Wright C, Angus B, Nicholson S, et al. Expression of c-erbB-2 oncoprotein: a prognostic indicator in human breast cancer. Cancer Res, 1989,49:2087-2090.
8 Field JK. Oncogenes and tumour-suppressor genes in squamous cell carcinoma of the head and neck. Eur J Cancer B Oral Oncol, 1992,28B: 67-76.
9 龙彦,凌涤生,王力.口腔粘膜癌前病变C-erbB-2蛋白产物检测.现代口腔医学杂志,1997, 11:87-89.
(收稿:1998-12-01 修回:1999-03-04), 百拇医药