不同方式的脊椎切除术治疗颈椎肿瘤
作者:包聚良 朱海波 陈爱民 欧阳强
单位:第二军医大学附属长征医院骨科 200003 上海市
关键词:
中国脊柱脊髓杂志990509 尽可能彻底地对原发性脊柱肿瘤做外科切除是整个治疗的首要环节。颈椎前路椎体切除和后路椎弓切除为治疗颈椎肿瘤的常规手术,但有时肿瘤侵及脊椎范围甚广,需要做全脊椎切除术;有时肿瘤偏向侧方主要侵犯横突、椎弓根及其前后的延伸部、椎间孔区域,无论单纯前路或后路手术都不能达到肿瘤的全部切除。从侧方入路能兼顾前、侧、后三个方面,可较为彻底地切除病灶。1996年至1998年初我院采用全脊椎切除术、矢状向半脊椎切除术和侧方扇形脊椎切除术治疗颈椎肿瘤6例,介绍如下。
1 临床资料
6例患者术前均有颈疼,颈肌保护性痉挛。2例因颈部疼痛无力而大部分时间只能休卧在床;1例有轻度脊髓压迫症状,表现为踝阵挛阳性;2例有严重神经根性疼痛,需服用强效止痛剂。诊断及治疗情况见附表。
, 百拇医药
附表 6例患者诊断及治疗情况 编号
性别
年龄
诊断
手术方式
术后辅
助治疗
1
女
45
C4骨巨细胞瘤
全脊椎切除术
放疗
, 百拇医药
2
男
32
寰椎右侧块
骨母细胞瘤
侧方扇形脊椎
切除术
放疗
3
男
28
C7右侧横突
间叶性软骨肉瘤
, 百拇医药
矢状向半脊椎
切除术
放疗
4
男
30
C7右侧横突部
软骨肉瘤
矢状向半脊椎
切除术
放疗
5
男
, 百拇医药
57
C5、C6、C6~7椎间
孔部转移癌
侧方扇形脊椎
切除术
病人放弃
6
男
38
C4~5椎间孔部
位神经鞘瘤
侧方扇形脊椎
, 百拇医药
切除术
无
2 手术方法
2.1 全脊椎切除术
我们为1例C4骨巨细胞瘤广泛破坏整个脊椎的病人作了全脊椎切除术。术前准备前后石膏床。全麻下同时先后路、后前路在石膏床上进行。后路切除受肿瘤侵犯的全部椎板、小关节部,并在C4~5神经孔之间的椎弓根区用颈椎小刮匙挖除含肿瘤骨,在C4神经根后方咬除横突后部。切除病灶后,在颈椎的后方用一直径2.5mm的粗克氏针作成U形,其二臂套上腓骨干架于两侧颈椎椎板之上,在C2、C3、C5、C7两侧椎板下穿过8股细钢丝索捆绑于腓骨干上(图1,插Ⅳ)。其固定机制类似鲁氏棒固定,不同的是从椎板下穿过的钢丝索绑扎于腓骨干之上,有利今后的骨性融合。两边腓骨段的髓腔被U形粗克氏针穿过固定,避免了腓骨干的上下滑动。后路手术完成后病人带石膏床翻身,从右侧胸锁乳突肌内缘纵切口进入行前路手术。首先切除椎体部,然后切断两侧颈长肌,向外至横突结节。因骨质被肿瘤侵犯,已失去原有的坚硬,用神经剥离子小心刮除病灶,保护椎动脉。在椎动脉内侧如有残余的椎弓根病灶,亦应作相应清除。在C3、C5的相对骨面之间用克氏针和骨水泥支撑。病人术后卧石膏床,3周后带颈托练习坐立。
, 百拇医药
图1 1a C4巨细胞瘤术前颈椎侧位片 1b、1c 术后正侧位颈椎片见“U”形髓内针加双腓骨干为后路固定,克氏针加骨水泥为前方固定
2.2 矢状向半脊椎切除术
我们为2例C7横突部软骨肉瘤患者作了此手术。术前备后方石膏床。手术取侧位,用颅骨牵引。手术皮瓣的基底可在颈侧后方,亦可在锁骨上,根据具体情况而定。侧方显露下颈椎,在胸锁乳突肌后缘颈动脉鞘后方,先找到臂丛干及膈神经并追溯到椎间孔。以此为中心向前顺序切断前斜角肌,显露和保护椎动脉,切断颈长肌,以显露横突结节、椎体。向后处理中、后斜角肌及其它椎板外肌层,显露后部小关节及椎板。在侧方的神经血管得到显露和保护后,在小关节和椎板交界部进入椎管。在保护脊髓同时切除侧方含肿瘤的结构。在下颈椎,椎弓根的切除较难,需前后路联合进行。先切除横突后部显露神经根,而后在神经根的腋下进行,从小关节部切除椎弓根可直达前方椎体。前方在保护椎动脉下切除侧方椎体,并移向椎弓根,与后方神经根腋下的通道相贯通。切除肿瘤后重建颈椎稳定性。本组1例作下颈椎棘突旁植骨术,术后作头颈胸石膏固定8周;另1例未作特殊处理,病人术后在石膏床上躺卧2周,以后颈托保护即可坐立。本手术的显露可参考文献2。
, 百拇医药
2.3 侧方扇形脊椎切除术
本手术较矢状向半脊椎切除术切除的结构少,主要切除横突部及椎间孔区,保留了较多的椎体及椎板部分,相当于WBB脊椎外科分期理论中将脊椎横断面划分的2~5及8~11象限中的部分结构被切除。在下颈椎,术前准备、手术入路同矢状向半脊椎切除术;在上颈椎,我们采用切断乳突部连同胸锁乳突肌下翻的办法来显露上颈椎侧方结构〔1〕。椎动脉的处理是手术关键之一。我们对例2采用了椎动脉栓塞和结扎的办法(根据DAS椎动脉栓塞试验阴性结果),其余2例的椎动脉采取显露后保护的办法。例2肿瘤切除术后作了侧后方枕颈融合术,其余2例未作脊椎固定手术。
3 结果
本组病例均未因手术导致脊髓、臂丛神经根、椎动脉、膈神经等重要结构损害。所有病例术后在石膏床上躺2~3周,1例病人带头颈胸石膏,其余病人带颈托练习坐立。原有神经根性疼痛、肿瘤压迫性疼痛和肌肉痉挛症状消失。术后随访12~24个月,平均17个月。1例转移癌病人失访,其余病例均能维持治疗后的效果并恢复工作。迄今尚未发现肿瘤复发、颈椎不稳等情况。
, 百拇医药
4 讨论
继Enneking〔3〕提出四肢肿瘤的外科分期之后,Weinstein〔4〕等于1997年提出WBB脊柱肿瘤外科分期理论。这个理论的核心是当一个脊椎受到低恶性或恶性肿瘤侵犯后,较为彻底的肿瘤切除术有全椎体切除术、全椎弓切除术及矢状向半脊椎切除术(Sagital vertebrectomy)。颈椎侧方有椎动脉、膈神经及支配上肢的神经根等重要结构,如何实施全脊椎切除术和矢状向半脊椎切除术是值得探讨的临床课题。我们在尸体解剖研究的基础上,对上下颈椎的侧方外科入路、颈椎侧方结构的显露和处理作了研究并实践于临床,为6名患者手术取得了成功。我们体会对下颈椎行全脊椎切除术可切除所有脊椎,手术先后路后前路,适用于环脊髓生长的脊椎骨肿瘤。对上颈椎,我们认为全脊椎切除术有困难。在全脊椎切除术后,颈椎稳定性的重建十分重要。我们采用腓骨干和金属棒的复合体固定方式,实践证明很可靠。兼顾前路稳定性重建,我们用了钢针骨水泥方法,条件许可时还可使用植骨、钢板等方法。
, 百拇医药
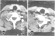
我们对2例生长于横突部的恶性肿瘤病人成功地作了矢状向颈椎半脊椎切除术。从侧方入路,兼处理椎体、横突、小关节、椎板病灶(图2,插Ⅳ),手术有相当难度,但大大增加了外科处理效果。
图2 C7右横突部软骨肉瘤矢状向半脊椎切除术患者CT片(2a 术前,2b 术后)
如果颈椎侧方的肿瘤小,可行侧方扇形脊椎切除术。本组病人中有1例虽病理报告为神经鞘瘤,但已明显侵蚀神经孔周围骨质;1例侵犯多根臂丛神经根的转移癌对神经孔周围骨质有明显侵蚀;还有1例为寰椎侧块的骨母细胞瘤。均作了侧方扇形脊椎切除术,以达到广泛切除肿瘤或松解受压神经根的目的,不作脊椎固定术亦能维持日后的颈椎稳定。
参考文献
1 包聚良,苟三怀,陈爱民,等.寰椎原发性肿瘤的诊治.第二军医大学学报,1997,18(6):528.
, 百拇医药
2 包聚良,朱海波,何海龙,等.第七颈椎半脊椎切除术治疗间叶性软骨肉瘤1例报告.第二军医大学学报,1997,18(6):533.
3 Campanacci M.Bone and Soft Tissue Tumor.Wein,New York,Bologna:Springer-Verlag and Aulo Editore,1990.38-49.
4 Boriani S,Weistein JN,Biagini R.Spine update.Preomary bone tumors of the spine,Terminology and surgical staging.Spine,1997,22(9):1036.
收稿日期:1998-07-31 修回日期:1999-03-01, http://www.100md.com
单位:第二军医大学附属长征医院骨科 200003 上海市
关键词:
中国脊柱脊髓杂志990509 尽可能彻底地对原发性脊柱肿瘤做外科切除是整个治疗的首要环节。颈椎前路椎体切除和后路椎弓切除为治疗颈椎肿瘤的常规手术,但有时肿瘤侵及脊椎范围甚广,需要做全脊椎切除术;有时肿瘤偏向侧方主要侵犯横突、椎弓根及其前后的延伸部、椎间孔区域,无论单纯前路或后路手术都不能达到肿瘤的全部切除。从侧方入路能兼顾前、侧、后三个方面,可较为彻底地切除病灶。1996年至1998年初我院采用全脊椎切除术、矢状向半脊椎切除术和侧方扇形脊椎切除术治疗颈椎肿瘤6例,介绍如下。
1 临床资料
6例患者术前均有颈疼,颈肌保护性痉挛。2例因颈部疼痛无力而大部分时间只能休卧在床;1例有轻度脊髓压迫症状,表现为踝阵挛阳性;2例有严重神经根性疼痛,需服用强效止痛剂。诊断及治疗情况见附表。
, 百拇医药
附表 6例患者诊断及治疗情况 编号
性别
年龄
诊断
手术方式
术后辅
助治疗
1
女
45
C4骨巨细胞瘤
全脊椎切除术
放疗
, 百拇医药
2
男
32
寰椎右侧块
骨母细胞瘤
侧方扇形脊椎
切除术
放疗
3
男
28
C7右侧横突
间叶性软骨肉瘤
, 百拇医药
矢状向半脊椎
切除术
放疗
4
男
30
C7右侧横突部
软骨肉瘤
矢状向半脊椎
切除术
放疗
5
男
, 百拇医药
57
C5、C6、C6~7椎间
孔部转移癌
侧方扇形脊椎
切除术
病人放弃
6
男
38
C4~5椎间孔部
位神经鞘瘤
侧方扇形脊椎
, 百拇医药
切除术
无
2 手术方法
2.1 全脊椎切除术
我们为1例C4骨巨细胞瘤广泛破坏整个脊椎的病人作了全脊椎切除术。术前准备前后石膏床。全麻下同时先后路、后前路在石膏床上进行。后路切除受肿瘤侵犯的全部椎板、小关节部,并在C4~5神经孔之间的椎弓根区用颈椎小刮匙挖除含肿瘤骨,在C4神经根后方咬除横突后部。切除病灶后,在颈椎的后方用一直径2.5mm的粗克氏针作成U形,其二臂套上腓骨干架于两侧颈椎椎板之上,在C2、C3、C5、C7两侧椎板下穿过8股细钢丝索捆绑于腓骨干上(图1,插Ⅳ)。其固定机制类似鲁氏棒固定,不同的是从椎板下穿过的钢丝索绑扎于腓骨干之上,有利今后的骨性融合。两边腓骨段的髓腔被U形粗克氏针穿过固定,避免了腓骨干的上下滑动。后路手术完成后病人带石膏床翻身,从右侧胸锁乳突肌内缘纵切口进入行前路手术。首先切除椎体部,然后切断两侧颈长肌,向外至横突结节。因骨质被肿瘤侵犯,已失去原有的坚硬,用神经剥离子小心刮除病灶,保护椎动脉。在椎动脉内侧如有残余的椎弓根病灶,亦应作相应清除。在C3、C5的相对骨面之间用克氏针和骨水泥支撑。病人术后卧石膏床,3周后带颈托练习坐立。
, 百拇医药
图1 1a C4巨细胞瘤术前颈椎侧位片 1b、1c 术后正侧位颈椎片见“U”形髓内针加双腓骨干为后路固定,克氏针加骨水泥为前方固定
2.2 矢状向半脊椎切除术
我们为2例C7横突部软骨肉瘤患者作了此手术。术前备后方石膏床。手术取侧位,用颅骨牵引。手术皮瓣的基底可在颈侧后方,亦可在锁骨上,根据具体情况而定。侧方显露下颈椎,在胸锁乳突肌后缘颈动脉鞘后方,先找到臂丛干及膈神经并追溯到椎间孔。以此为中心向前顺序切断前斜角肌,显露和保护椎动脉,切断颈长肌,以显露横突结节、椎体。向后处理中、后斜角肌及其它椎板外肌层,显露后部小关节及椎板。在侧方的神经血管得到显露和保护后,在小关节和椎板交界部进入椎管。在保护脊髓同时切除侧方含肿瘤的结构。在下颈椎,椎弓根的切除较难,需前后路联合进行。先切除横突后部显露神经根,而后在神经根的腋下进行,从小关节部切除椎弓根可直达前方椎体。前方在保护椎动脉下切除侧方椎体,并移向椎弓根,与后方神经根腋下的通道相贯通。切除肿瘤后重建颈椎稳定性。本组1例作下颈椎棘突旁植骨术,术后作头颈胸石膏固定8周;另1例未作特殊处理,病人术后在石膏床上躺卧2周,以后颈托保护即可坐立。本手术的显露可参考文献2。
, 百拇医药
2.3 侧方扇形脊椎切除术
本手术较矢状向半脊椎切除术切除的结构少,主要切除横突部及椎间孔区,保留了较多的椎体及椎板部分,相当于WBB脊椎外科分期理论中将脊椎横断面划分的2~5及8~11象限中的部分结构被切除。在下颈椎,术前准备、手术入路同矢状向半脊椎切除术;在上颈椎,我们采用切断乳突部连同胸锁乳突肌下翻的办法来显露上颈椎侧方结构〔1〕。椎动脉的处理是手术关键之一。我们对例2采用了椎动脉栓塞和结扎的办法(根据DAS椎动脉栓塞试验阴性结果),其余2例的椎动脉采取显露后保护的办法。例2肿瘤切除术后作了侧后方枕颈融合术,其余2例未作脊椎固定手术。
3 结果
本组病例均未因手术导致脊髓、臂丛神经根、椎动脉、膈神经等重要结构损害。所有病例术后在石膏床上躺2~3周,1例病人带头颈胸石膏,其余病人带颈托练习坐立。原有神经根性疼痛、肿瘤压迫性疼痛和肌肉痉挛症状消失。术后随访12~24个月,平均17个月。1例转移癌病人失访,其余病例均能维持治疗后的效果并恢复工作。迄今尚未发现肿瘤复发、颈椎不稳等情况。
, 百拇医药
4 讨论
继Enneking〔3〕提出四肢肿瘤的外科分期之后,Weinstein〔4〕等于1997年提出WBB脊柱肿瘤外科分期理论。这个理论的核心是当一个脊椎受到低恶性或恶性肿瘤侵犯后,较为彻底的肿瘤切除术有全椎体切除术、全椎弓切除术及矢状向半脊椎切除术(Sagital vertebrectomy)。颈椎侧方有椎动脉、膈神经及支配上肢的神经根等重要结构,如何实施全脊椎切除术和矢状向半脊椎切除术是值得探讨的临床课题。我们在尸体解剖研究的基础上,对上下颈椎的侧方外科入路、颈椎侧方结构的显露和处理作了研究并实践于临床,为6名患者手术取得了成功。我们体会对下颈椎行全脊椎切除术可切除所有脊椎,手术先后路后前路,适用于环脊髓生长的脊椎骨肿瘤。对上颈椎,我们认为全脊椎切除术有困难。在全脊椎切除术后,颈椎稳定性的重建十分重要。我们采用腓骨干和金属棒的复合体固定方式,实践证明很可靠。兼顾前路稳定性重建,我们用了钢针骨水泥方法,条件许可时还可使用植骨、钢板等方法。
, 百拇医药
我们对2例生长于横突部的恶性肿瘤病人成功地作了矢状向颈椎半脊椎切除术。从侧方入路,兼处理椎体、横突、小关节、椎板病灶(图2,插Ⅳ),手术有相当难度,但大大增加了外科处理效果。
图2 C7右横突部软骨肉瘤矢状向半脊椎切除术患者CT片(2a 术前,2b 术后)
如果颈椎侧方的肿瘤小,可行侧方扇形脊椎切除术。本组病人中有1例虽病理报告为神经鞘瘤,但已明显侵蚀神经孔周围骨质;1例侵犯多根臂丛神经根的转移癌对神经孔周围骨质有明显侵蚀;还有1例为寰椎侧块的骨母细胞瘤。均作了侧方扇形脊椎切除术,以达到广泛切除肿瘤或松解受压神经根的目的,不作脊椎固定术亦能维持日后的颈椎稳定。
参考文献
1 包聚良,苟三怀,陈爱民,等.寰椎原发性肿瘤的诊治.第二军医大学学报,1997,18(6):528.
, 百拇医药
2 包聚良,朱海波,何海龙,等.第七颈椎半脊椎切除术治疗间叶性软骨肉瘤1例报告.第二军医大学学报,1997,18(6):533.
3 Campanacci M.Bone and Soft Tissue Tumor.Wein,New York,Bologna:Springer-Verlag and Aulo Editore,1990.38-49.
4 Boriani S,Weistein JN,Biagini R.Spine update.Preomary bone tumors of the spine,Terminology and surgical staging.Spine,1997,22(9):1036.
收稿日期:1998-07-31 修回日期:1999-03-01, http://www.100md.com