近距离照射犬胆管粘膜急性放射性损伤的研究
作者:高黎 杨伟志 翟仁友 布洁 徐国镇 魏宝杰
单位:高黎 杨伟志 布洁 徐国镇(中国医学科学院 中国协和医科大学肿瘤医院放射治疗科);翟仁友 魏宝杰(首都医科大学附属北京红十字朝阳医院放射诊断科)
关键词:近距离照射;胆管/辐射效应;胆管/病理学
中华放射肿瘤学杂志000315 【摘要】 目的 寻找动物胆管金属内支架植入方法,观察支架内近距离照射的胆管急性放射性损伤。方法 实验动物为体重17~22 kg的实验用雄性杂种犬。照射方法及条件:麻醉下经手术植入胆管金属内支架,将192Ir施源器放入支架内并给予5~50 Gy不同剂量的照射,1周后取胆管标本行放射损伤的评价。结果 192Ir不同剂量照射后光镜下可见的胆管损伤:照射5 Gy,在胆管HE染色片上,光镜下可观察到粘膜损伤,10 Gy时放射性损伤达肌层,50 Gy时出现胆管穿孔。根据不同剂量照射后胆管的急性放射性损伤的剂量效应曲线,得出ED50为19.5 Gy。结论 可以证实大动物的实验,在方法上可以更接近于临床,并且以上实验方法是可行的和实用的。胆管金属支架内近距离治疗有明显的剂量效应关系。但在分次照射和观察晚期反应方面尚有待进一步的实验研究。
, 百拇医药
Acute radiation injury on canine biliary mucosa by 192 Ir brachytherapy introduced through a metal stent.
GAO Li, YANG Weizhi, ZHAI Renyou, et al
(Department. of Radiation Oncology, Cancer Hospital & Institute,Chinese Academy of Medical Sciences, Peking Union Medical College,Beijing 100021, China)
【Abstract】 Objective To assess the acute radiation injury of dog bile duct mucosa by 192 Ir brachytherapy introduced through a metal stent. Methods Hybrid dogs weighing from 20~25 kg were used.Method of irradiation and experimental condition: A metal stent was implanted into the common bile duct under anaesthesia. A brachytherapy applicator was ,then,introduced into the stent and radiation by 192 Ir, at 5~50 Gy,respectively. Results Radiation injury on the biliary duct mucosa was observed at dose of 5 Gy, the damage proceeded to the musclular layer at 10 Gy. Perforation of the bile duct was observed at 50 Gy. In the dose-response curve of acute radiation injury at different doses of intra-biliary metal stent 192 Ir brachytherapy showed the effective dose (ED50) to be 19.5 Gy. Conclusions It is shown that the method of introducing 192 Ir brachytherapy through a metal stent as carried out in the big animals, is acceptable and similar to the clinical condition. There is an obvious dose-response relationship in the metal stent brachytherapy. Fractionation and late injuries need further studies.
, 百拇医药
【Key words】 Brachytherapy; Bile duct/radiation effects; Bile duct/pathology
由于肝外胆管癌和壶腹部癌以局部侵犯为主,故其引起的恶性梗阻性黄疸呈进行性发展,临床处理一直是非常棘手的问题。该病手术切除率较低(10%~20%)[1-3],主要死亡原因为局部侵犯和梗阻性黄疸。局部肿瘤的控制是改善患者生存质量和延长生存期的关键。虽然高剂量体外放射治疗(55 Gy)可延长患者的生存期[4,5],但由于周围肝脏、肾和胃肠道等敏感器官的限制,很难达到预期的剂量。近年来迅速发展的肿瘤介入治疗—经皮肝穿刺胆道金属内支架的植入,为胆管支架内高剂量率近距离治疗提供了新的途径,它可在肿瘤局部集中高剂量照射,而对周围正常组织的影响较小,从而起到有效的杀伤肿瘤,防止管腔再狭窄的作用。在提高肿瘤局部控制率的同时,在不需手术引流的情况下,减少患者的手术创伤,最终提高患者的生存质量和生存率。但是有关正常胆管粘膜对放射治疗的耐受性、剂量与效应的关系及急性放射损伤和晚期放射损伤情况尚不得而知。本实验即是通过动物实验获得胆管金属支架内近距离治疗的放射生物学基本数据,为临床治疗提供放射生物学依据。
, http://www.100md.com
1 材料与方法
1.1 实验动物及处理方法:实验动物选用体重为17~22 kg的实验用雄性杂种犬(均有北京市犬健康检疫证),由中国医学科学院肿瘤研究所实验动物研究室提供。照射方法及条件:实验当日,先用4 mL氯安酮+0.5 mg阿托品对每只犬进行诱导麻醉,然后腹腔内注射质量浓度为30 g/L戊巴比妥钠0.8~1.0 mL/Kg体重,并进行气管插管。待动物进入全麻状态后,将麻醉好的犬仰卧固定于自制多功能动物实验台上,备皮后常规消毒铺巾。行右上腹纵行切口,逐层进入腹腔,找到幽门,在其下2~3 cm处切开十二指肠,经乳头部并向上进入胆总管内。将国产不锈钢胆道内支架(球囊扩张型,规格为5 mm×10 mm)释放在胆总管内,然后放入近距离治疗施源器。将实验动物及多功能动物实验台一起移至模拟定位机,在透视下确定施源器和支架的相对位置,设置源驻留位(2 cm),并摄±30°定位片。根据预先设定的剂量进行胆管支架内的近距离照射,放射源采用192Ir。第1次照射前,物理师实测了10 mm内不同距离的剂量校正系数,照射时剂量参考点设在距施源器中心轴3 mm处。每次照射均有物理师通过近距离治疗计划系统进行验证,以确保照射剂量的准确和照射过程中的质量保证和质量控制。
, 百拇医药
1.2 实验分组:实验包括对照组(不做任何处理)和照射组。照射组包括7个照射剂量点(5、10、15、20、 25、30和50 Gy),剂量率范围为(3.18~1.87)×1011 Bq。每个剂量点2只犬。
1.3 实验结果的评定方法和数据处理:照射后1周处死动物,取出胆管,用体积份数为0.1的福尔马林固定后制备HE切片,在光镜下观察胆管粘膜的放射损伤,并对损伤程度打分:粘膜层:根据损伤严重程度分为+、++、+++,总计2分;粘膜下层:观察有无出血、炎细胞浸润及破坏程度,也分+、++、+++,总计1分;肌层及外膜:评分标准同上,总计3分。最后,对全部数据进行分值计算并绘制剂量效应曲线图。
2 结果
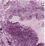
本实验研究观察到,随着照射剂量的增加,胆管粘膜的放射性损伤从粘膜表面→深肌层→穿孔逐渐加重。胆管支架内高剂量率近距离照射5 Gy后1周,即可见粘膜表层柱状上皮剥脱(图1);照射10 Gy后1周,除可见到粘膜表层柱状上皮剥脱外,还可见有不同程度的固有膜腺体破坏,部分区域可见有小灶性坏死达肌层(图2),损伤程度不均匀。随着照射剂量的增加,胆管组织的损伤程度及范围增大。至50 Gy时,可见整个照射区域(2 cm)胆管组织的全层坏死。图3 显示了不同剂量支架内近距离照射后胆管组织急性放射性损伤的剂量效应曲线,从中得出的ED50剂量(effective dose,ED50:指损伤效应达到50% 时所需要的照射剂量)为19.5 Gy。
, 百拇医药
图1 犬胆管支架内近距离照射5Gy后1周的形态改变(HE×20)
图2 犬胆管支架内近距离照射10Gy后1周的形态学改变(HE×10)
图3 犬胆管组织支架内不同剂量近距离
照射后1周的剂量效应曲线
3 讨论
肝外胆管癌以发生在胆道上1/3为多见(约占50%),局部侵犯为主,临床表现为进行性梗阻性黄疸,不易早期诊断,手术切除率低(10%~20%),中位生存期2~4个月,文献报道外引流加胆管支架引流或加外照射可延长中位生存期[1,2,6-8]。但多数作者认为,对不能手术切除者外照射剂量≥55 Gy时才能延长生存期[4,5],但其副作用大,消化道溃疡及出血、肝肾功能损害等并发症多,临床应用受到限制。胆管内的近距离放射治疗目前报道的主要是经腔镜和“T”管进行,支架内的近距离治疗报道较少[9-11]。经皮经肝金属胆道内支架内近距离治疗国外共有5例报道,高剂量率和低剂量率均有,剂量范围在25~90 Gy[4,9-11]。有关胆管近距离治疗的放射耐受性、急慢性放射性损伤的国内外研究尚未见报道。
, http://www.100md.com
作为此项研究的基础实验,中国医学科学院肿瘤医院对3种不同厂家生产的镍钛合金自膨式食管支架(ø18 mm)、国产不锈钢自膨式胆管支架(ø8 mm)和不锈钢球囊扩张型血管支架(ø5 mm)进行了体外射线衰减因子的测定,其结果显示3种支架对射线的衰减均<1.2%,因此,在胆管内的近距离治疗基本可以不考虑金属支架对射线的影响。
在本实验条件下,胆管组织的放射损伤随照射剂量的增高逐渐加重,呈现明显的剂量效应关系。ED50为19.5 Gy,说明胆管对近距离治疗单次照射的急性放射性损伤有比较好的耐受性,为今后进行胆管肿瘤近距离治疗提供了初步的实验室依据。另外,晚期放射性损伤的研究正在进行中,分次照射和单次照射的放射生物学效应的比较等尚有待进一步的研究。为胆管内支架置入后近距离治疗技术在临床的合理应用提供必要的临床剂量学和基础研究依据。
基金项目:北京市自然科学基金资助项目(编号:7982035)
, http://www.100md.com
作者单位:高黎(中国医学科学院、中国协和医科大学肿瘤医院放射治疗科)
杨伟志(中国医学科学院、中国协和医科大学肿瘤医院放射治疗科)
布洁(中国医学科学院、中国协和医科大学肿瘤医院放射治疗科)
徐国镇(中国医学科学院、中国协和医科大学肿瘤医院放射治疗科)
翟仁友(首都医科大学附属北京红十字朝阳医院放射诊断科)
魏宝杰(首都医科大学附属北京红十字朝阳医院放射诊断科)
魏宝杰(首都医科大学附属北京红十字朝阳医院放射诊断科)
参考文献
1,Alden ME, Waterman FM, Topham AK, et al Cholangiocarcinoma: clinical significance of tumor location along the extrahepatic bile duct. Radiology, 1995, 197:511-516.
, http://www.100md.com
2,Whittington R, Nerberg D, Tester WJ, et al Protracted intravenous fluorouracil infusion with radiation therapy in the management of localized pancreaticobiliary carcinoma: a phase 1 eastern cooperative oncology group trial. J Clin Oncol, 1995, 13:227-262.
3,Stain SC, Baer HU, Dennison AR, et al Current management of hilar cholangiocarcinoma. Surg Gynecol Obstet, 1992, 175:579-588.
4,Alden ME, Mohiuddin, M. The impact of radiation dose in combined external beam and intraluminal 192 Ir brachytherapy for bile duct cancer. Int J Radiat Oncol Biol Phys, 1994, 28:945-951.
, http://www.100md.com
5,David JE, Marcelle JS, Joseph B,et al. Malignant biliary duct obstruction: long-term experience with Gianturco stents and combined-modality radiation therapy. Radiology, 1996, 200: 717-724.
6,翟仁友,戴定可,于平. 金属内支架治疗恶性梗阻性黄疸的临床研究. 中华放射学杂志, 1997, 31:734-736.
7,翟仁友,稳步发展恶性梗阻性黄疸的介入治疗. 中华放射学杂志, 1997, 31:727-728.
8,王小林,程洁敏,王炳生,等.金属内支架胆道引流术治疗恶性梗阻性黄疸:附41例报告. 上海医科大学学报, 1999, 26: 179-181.
, http://www.100md.com
9,Kubota Y, Takaoka M, Kin H,et al. Endoscopic irradiation and parallel arrangement of wallstents for hilar cholangiocarcinoma. Hepatogastroenterology, 1998, 45:415-419.
10,Erickson BA, Nag S. Biliary tree malignancies. J Surg Oncol, 1998, 67:203-210.
11,Gonzaez GD, Gouma DJ, Rauws EA,et al. Role of radiotherapy ,in particular intraluminal brachytherapy, in the treatment of proximal bile duct carcinoma. Ann Oncol, 1999,10 Suppl 4:215-220.
(收稿日期:2000-03-21), 百拇医药
单位:高黎 杨伟志 布洁 徐国镇(中国医学科学院 中国协和医科大学肿瘤医院放射治疗科);翟仁友 魏宝杰(首都医科大学附属北京红十字朝阳医院放射诊断科)
关键词:近距离照射;胆管/辐射效应;胆管/病理学
中华放射肿瘤学杂志000315 【摘要】 目的 寻找动物胆管金属内支架植入方法,观察支架内近距离照射的胆管急性放射性损伤。方法 实验动物为体重17~22 kg的实验用雄性杂种犬。照射方法及条件:麻醉下经手术植入胆管金属内支架,将192Ir施源器放入支架内并给予5~50 Gy不同剂量的照射,1周后取胆管标本行放射损伤的评价。结果 192Ir不同剂量照射后光镜下可见的胆管损伤:照射5 Gy,在胆管HE染色片上,光镜下可观察到粘膜损伤,10 Gy时放射性损伤达肌层,50 Gy时出现胆管穿孔。根据不同剂量照射后胆管的急性放射性损伤的剂量效应曲线,得出ED50为19.5 Gy。结论 可以证实大动物的实验,在方法上可以更接近于临床,并且以上实验方法是可行的和实用的。胆管金属支架内近距离治疗有明显的剂量效应关系。但在分次照射和观察晚期反应方面尚有待进一步的实验研究。
, 百拇医药
Acute radiation injury on canine biliary mucosa by 192 Ir brachytherapy introduced through a metal stent.
GAO Li, YANG Weizhi, ZHAI Renyou, et al
(Department. of Radiation Oncology, Cancer Hospital & Institute,Chinese Academy of Medical Sciences, Peking Union Medical College,Beijing 100021, China)
【Abstract】 Objective To assess the acute radiation injury of dog bile duct mucosa by 192 Ir brachytherapy introduced through a metal stent. Methods Hybrid dogs weighing from 20~25 kg were used.Method of irradiation and experimental condition: A metal stent was implanted into the common bile duct under anaesthesia. A brachytherapy applicator was ,then,introduced into the stent and radiation by 192 Ir, at 5~50 Gy,respectively. Results Radiation injury on the biliary duct mucosa was observed at dose of 5 Gy, the damage proceeded to the musclular layer at 10 Gy. Perforation of the bile duct was observed at 50 Gy. In the dose-response curve of acute radiation injury at different doses of intra-biliary metal stent 192 Ir brachytherapy showed the effective dose (ED50) to be 19.5 Gy. Conclusions It is shown that the method of introducing 192 Ir brachytherapy through a metal stent as carried out in the big animals, is acceptable and similar to the clinical condition. There is an obvious dose-response relationship in the metal stent brachytherapy. Fractionation and late injuries need further studies.
, 百拇医药
【Key words】 Brachytherapy; Bile duct/radiation effects; Bile duct/pathology
由于肝外胆管癌和壶腹部癌以局部侵犯为主,故其引起的恶性梗阻性黄疸呈进行性发展,临床处理一直是非常棘手的问题。该病手术切除率较低(10%~20%)[1-3],主要死亡原因为局部侵犯和梗阻性黄疸。局部肿瘤的控制是改善患者生存质量和延长生存期的关键。虽然高剂量体外放射治疗(55 Gy)可延长患者的生存期[4,5],但由于周围肝脏、肾和胃肠道等敏感器官的限制,很难达到预期的剂量。近年来迅速发展的肿瘤介入治疗—经皮肝穿刺胆道金属内支架的植入,为胆管支架内高剂量率近距离治疗提供了新的途径,它可在肿瘤局部集中高剂量照射,而对周围正常组织的影响较小,从而起到有效的杀伤肿瘤,防止管腔再狭窄的作用。在提高肿瘤局部控制率的同时,在不需手术引流的情况下,减少患者的手术创伤,最终提高患者的生存质量和生存率。但是有关正常胆管粘膜对放射治疗的耐受性、剂量与效应的关系及急性放射损伤和晚期放射损伤情况尚不得而知。本实验即是通过动物实验获得胆管金属支架内近距离治疗的放射生物学基本数据,为临床治疗提供放射生物学依据。
, http://www.100md.com
1 材料与方法
1.1 实验动物及处理方法:实验动物选用体重为17~22 kg的实验用雄性杂种犬(均有北京市犬健康检疫证),由中国医学科学院肿瘤研究所实验动物研究室提供。照射方法及条件:实验当日,先用4 mL氯安酮+0.5 mg阿托品对每只犬进行诱导麻醉,然后腹腔内注射质量浓度为30 g/L戊巴比妥钠0.8~1.0 mL/Kg体重,并进行气管插管。待动物进入全麻状态后,将麻醉好的犬仰卧固定于自制多功能动物实验台上,备皮后常规消毒铺巾。行右上腹纵行切口,逐层进入腹腔,找到幽门,在其下2~3 cm处切开十二指肠,经乳头部并向上进入胆总管内。将国产不锈钢胆道内支架(球囊扩张型,规格为5 mm×10 mm)释放在胆总管内,然后放入近距离治疗施源器。将实验动物及多功能动物实验台一起移至模拟定位机,在透视下确定施源器和支架的相对位置,设置源驻留位(2 cm),并摄±30°定位片。根据预先设定的剂量进行胆管支架内的近距离照射,放射源采用192Ir。第1次照射前,物理师实测了10 mm内不同距离的剂量校正系数,照射时剂量参考点设在距施源器中心轴3 mm处。每次照射均有物理师通过近距离治疗计划系统进行验证,以确保照射剂量的准确和照射过程中的质量保证和质量控制。
, 百拇医药
1.2 实验分组:实验包括对照组(不做任何处理)和照射组。照射组包括7个照射剂量点(5、10、15、20、 25、30和50 Gy),剂量率范围为(3.18~1.87)×1011 Bq。每个剂量点2只犬。
1.3 实验结果的评定方法和数据处理:照射后1周处死动物,取出胆管,用体积份数为0.1的福尔马林固定后制备HE切片,在光镜下观察胆管粘膜的放射损伤,并对损伤程度打分:粘膜层:根据损伤严重程度分为+、++、+++,总计2分;粘膜下层:观察有无出血、炎细胞浸润及破坏程度,也分+、++、+++,总计1分;肌层及外膜:评分标准同上,总计3分。最后,对全部数据进行分值计算并绘制剂量效应曲线图。
2 结果
本实验研究观察到,随着照射剂量的增加,胆管粘膜的放射性损伤从粘膜表面→深肌层→穿孔逐渐加重。胆管支架内高剂量率近距离照射5 Gy后1周,即可见粘膜表层柱状上皮剥脱(图1);照射10 Gy后1周,除可见到粘膜表层柱状上皮剥脱外,还可见有不同程度的固有膜腺体破坏,部分区域可见有小灶性坏死达肌层(图2),损伤程度不均匀。随着照射剂量的增加,胆管组织的损伤程度及范围增大。至50 Gy时,可见整个照射区域(2 cm)胆管组织的全层坏死。图3 显示了不同剂量支架内近距离照射后胆管组织急性放射性损伤的剂量效应曲线,从中得出的ED50剂量(effective dose,ED50:指损伤效应达到50% 时所需要的照射剂量)为19.5 Gy。
, 百拇医药
图1 犬胆管支架内近距离照射5Gy后1周的形态改变(HE×20)
图2 犬胆管支架内近距离照射10Gy后1周的形态学改变(HE×10)
图3 犬胆管组织支架内不同剂量近距离
照射后1周的剂量效应曲线
3 讨论
肝外胆管癌以发生在胆道上1/3为多见(约占50%),局部侵犯为主,临床表现为进行性梗阻性黄疸,不易早期诊断,手术切除率低(10%~20%),中位生存期2~4个月,文献报道外引流加胆管支架引流或加外照射可延长中位生存期[1,2,6-8]。但多数作者认为,对不能手术切除者外照射剂量≥55 Gy时才能延长生存期[4,5],但其副作用大,消化道溃疡及出血、肝肾功能损害等并发症多,临床应用受到限制。胆管内的近距离放射治疗目前报道的主要是经腔镜和“T”管进行,支架内的近距离治疗报道较少[9-11]。经皮经肝金属胆道内支架内近距离治疗国外共有5例报道,高剂量率和低剂量率均有,剂量范围在25~90 Gy[4,9-11]。有关胆管近距离治疗的放射耐受性、急慢性放射性损伤的国内外研究尚未见报道。
, http://www.100md.com
作为此项研究的基础实验,中国医学科学院肿瘤医院对3种不同厂家生产的镍钛合金自膨式食管支架(ø18 mm)、国产不锈钢自膨式胆管支架(ø8 mm)和不锈钢球囊扩张型血管支架(ø5 mm)进行了体外射线衰减因子的测定,其结果显示3种支架对射线的衰减均<1.2%,因此,在胆管内的近距离治疗基本可以不考虑金属支架对射线的影响。
在本实验条件下,胆管组织的放射损伤随照射剂量的增高逐渐加重,呈现明显的剂量效应关系。ED50为19.5 Gy,说明胆管对近距离治疗单次照射的急性放射性损伤有比较好的耐受性,为今后进行胆管肿瘤近距离治疗提供了初步的实验室依据。另外,晚期放射性损伤的研究正在进行中,分次照射和单次照射的放射生物学效应的比较等尚有待进一步的研究。为胆管内支架置入后近距离治疗技术在临床的合理应用提供必要的临床剂量学和基础研究依据。
基金项目:北京市自然科学基金资助项目(编号:7982035)
, http://www.100md.com
作者单位:高黎(中国医学科学院、中国协和医科大学肿瘤医院放射治疗科)
杨伟志(中国医学科学院、中国协和医科大学肿瘤医院放射治疗科)
布洁(中国医学科学院、中国协和医科大学肿瘤医院放射治疗科)
徐国镇(中国医学科学院、中国协和医科大学肿瘤医院放射治疗科)
翟仁友(首都医科大学附属北京红十字朝阳医院放射诊断科)
魏宝杰(首都医科大学附属北京红十字朝阳医院放射诊断科)
魏宝杰(首都医科大学附属北京红十字朝阳医院放射诊断科)
参考文献
1,Alden ME, Waterman FM, Topham AK, et al Cholangiocarcinoma: clinical significance of tumor location along the extrahepatic bile duct. Radiology, 1995, 197:511-516.
, http://www.100md.com
2,Whittington R, Nerberg D, Tester WJ, et al Protracted intravenous fluorouracil infusion with radiation therapy in the management of localized pancreaticobiliary carcinoma: a phase 1 eastern cooperative oncology group trial. J Clin Oncol, 1995, 13:227-262.
3,Stain SC, Baer HU, Dennison AR, et al Current management of hilar cholangiocarcinoma. Surg Gynecol Obstet, 1992, 175:579-588.
4,Alden ME, Mohiuddin, M. The impact of radiation dose in combined external beam and intraluminal 192 Ir brachytherapy for bile duct cancer. Int J Radiat Oncol Biol Phys, 1994, 28:945-951.
, http://www.100md.com
5,David JE, Marcelle JS, Joseph B,et al. Malignant biliary duct obstruction: long-term experience with Gianturco stents and combined-modality radiation therapy. Radiology, 1996, 200: 717-724.
6,翟仁友,戴定可,于平. 金属内支架治疗恶性梗阻性黄疸的临床研究. 中华放射学杂志, 1997, 31:734-736.
7,翟仁友,稳步发展恶性梗阻性黄疸的介入治疗. 中华放射学杂志, 1997, 31:727-728.
8,王小林,程洁敏,王炳生,等.金属内支架胆道引流术治疗恶性梗阻性黄疸:附41例报告. 上海医科大学学报, 1999, 26: 179-181.
, http://www.100md.com
9,Kubota Y, Takaoka M, Kin H,et al. Endoscopic irradiation and parallel arrangement of wallstents for hilar cholangiocarcinoma. Hepatogastroenterology, 1998, 45:415-419.
10,Erickson BA, Nag S. Biliary tree malignancies. J Surg Oncol, 1998, 67:203-210.
11,Gonzaez GD, Gouma DJ, Rauws EA,et al. Role of radiotherapy ,in particular intraluminal brachytherapy, in the treatment of proximal bile duct carcinoma. Ann Oncol, 1999,10 Suppl 4:215-220.
(收稿日期:2000-03-21), 百拇医药