淋巴结Langerhans细胞组织细胞增生症临床病理及免疫组化研究
作者:徐天蓉 范钦和 周青 郑肇巽
单位:徐天蓉 范钦和 周青 郑肇巽(南京医科大学第一附属医院病理科,南京 210029)
关键词:淋巴结;组织细胞增多症;郎格尔汉斯细胞;免疫组织化学;病理学;临床
临床与实验病理学杂志990103摘要 目的:研究以淋巴结首发的LCH形态结构特征、免疫表型、临床表现及鉴别诊断。方法:应用HE染色和免疫组化ABC法标记O10和S-100阳性以确定诊断。结果:14例淋巴结LCH有4种组合类型:(1)肾形及卵圆形细胞4例;(2)咖啡豆样细胞3例;(3)咖啡豆样及大圆形细胞5例;(4)大圆形细胞2例。结论:咖啡豆样细胞是LCH的特征细胞,具有重要诊断价值,嗜酸性粒细胞是LCH重要的组成成分之一。根据细胞形态、分化程度和不同组合,LCH分为:①反应性,②交界性,③低度恶性,④高度恶性(肉瘤型)。
, http://www.100md.com
中国图书分类号 R730.263; R551.1 文献标识码 A 文章编号 1001-7399(1999)01-0008-04
A clinical-pathologic and immunohistochemical study of Langerhans cell histiocytosis
Xu Tianrong, Fan Qinhe, Zhou Qing et al
(Dept of Pathol, First Affiliated Hospital of Nanjing Medical University 210029)
ABSTRACT Purpose To study the morphologic characteristics, immunoexpressive types and the clinical features, as well as the differential diagnosis of the Langerhans cell histiocytosis (LCH) primarily in lymph node. Methods Routine histopathology techniques, immunohistochemistry (ABC method) of O10 and S-100 were used to make the diagnosis. Results There were four cell types in the fourteen cases of the LCH: (1)Four cases of oval cell type, (2) Three cases of “coffee bean” nucleis cells, (3) Five cases of “coffee bean” and large round cell types and (4)Two cases of large round cells. Conclusions The “coffee bean” cells are the characteristic and diagnostic cells for LCH. According to the cell morphology, differentiation, and the above cell types, the LCH could be divided into: (1) Reactive, (2) Borderline, (3) Low grade malignancy, (4) High grade malignancy (sarcomatous).
, 百拇医药
KEY WORDS lymph nods; histiocytosis, Langerhans cell; immunohistochemistry; pathology, clinical
Langerhans细胞组织细胞增生症(Langerhans cell histiocytosis, 简称LCH),最常见于骨髓,由于过去对其细胞起源认识不一,命名和诊断都较混乱,该病不仅发生于骨髓,亦可发生于全身各器官,极易误诊。国内有少数报道,我们总结14例以淋巴结首发的LCH进行临床病理和免疫组化研究。
1 材料和方法
收集1990~1998年6月本院和外院活检淋巴结14例,标本均用10%福尔马林固定,常规制片,HE染色,光镜观察,同时用石蜡切片作免疫组化ABC法标记、DAB显色,与HE切片对照观察。使用抗体O10(CD1a)、S-100、LCA(CD45)、UCHL1、(CD45RO)、L26(CD20)、M1(CD15)、CD21、BerH2(CD30)、KP1(CD68)、keratin和HMB45等抗体,所用抗体由Dako公司和德国IT公司购买。用骨原发LCH作阳性对照,用淋巴结转移癌和恶性黑色素瘤作阴性对照。
, http://www.100md.com
2 结果
2.1 临床资料 14例淋巴结LCH,男性9例,女性5例,男女之比为1.8∶1,年龄5~65岁,平均34.35岁。临床表现:全身淋巴结肿大3例,颈部或锁骨上淋巴结肿大7例,腹股沟淋巴结肿大4例。皮肤瘙痒及皮疹8例,发热5例。胸片:肺部有阴影及肺门淋巴结肿大,误诊为结核或结节病3例。B超示脾肿大1例,1例半年后骨髓经X片和活检发现骨多灶性病变,其余未见阳性体征。随访14例中11例存活,最短6个月,最长96个月,1例失访;2例进展性,存活24个月及48个月死亡。
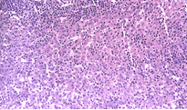
2.2 病理形态 Langerhans cell (LCs)主要侵犯淋巴结副皮质区,向滤泡间区、髓质区呈片状或灶性浸润,常见淋巴滤泡残留,有时形成大片坏死,纤维增生似肉芽或结节状,LCs灶有不等量嗜酸性粒细胞浸润,其中1例有较多的嗜中性粒细胞浸润,2例有多核巨细胞增生。根据LCs形态分以下4种类型:(1)肾形和卵圆形核:细胞较大,胞浆丰富,分界不清,胞浆淡伊红染或透明,核卵圆形或肾形,染色质细,核膜薄而清晰,核仁未见,核分裂象罕见(图1),本组有4例。(2)咖啡豆样核:细胞中等大,胞浆淡伊红染,胞界不清,核呈咖啡豆样有深浅不一的核沟,核膜清晰,核染色质细,核仁不易见,形似咖啡豆(coffee bean)(图2),核分裂象少见,本组3例。(3)混合细胞型:由咖啡豆样细胞和大圆形细胞组成,约各占1/2,形态同(2)和(4)描述,本组有5例。(4)大圆形细胞核:细胞大,核大圆形,核膜清晰,核染色质淡而细,核仁明显,常呈嗜酸性,有1~2个小核仁(图3),核分裂象易见,胞浆丰富淡染或空淡,亦有少数咖啡豆样细胞,伴有巨核或多核巨细胞,共有2例。
, 百拇医药
图1 LCs浸润在副皮质区呈肾形和卵圆形核,胞浆较丰富,淡伊红色。HE×100
图2 LCM的LCs核呈咖啡豆样。HE×200
图3 LCs细胞大,细胞核大而圆,核圆形,核仁小,有散在咖啡豆样核及嗜酸性粒细胞。HE×400
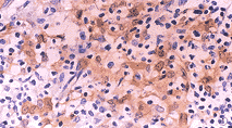
2.3 免疫组化 14例均作石蜡切片免疫组化,O10和S-100均呈阳性(图4),CD68有4例呈弱阳性,LCs在LCA、UCHL1、L26、M-1、CD21、BerH2、HMB45和keratin均呈阴性。淋巴细胞LCA、UCHL1、L26呈阳性,淋巴结转移性泡状细胞癌keratin阳性,散在组织细胞S-100呈阳性,淋巴结转移性恶黑HMB45、S-100呈阳性。
, 百拇医药
图4 LCsO10呈阳性,ABC×400
3 讨论
3.1 LCs 早在1868年就由Langerhans首次描述并注意到LCs的存在,因当时条件限制,误认为是神经受体细胞,直到1961年Birbeck等学者首次描述LCs存在颗粒,不是神经细胞而是组织细胞。LCs是有Birbeck颗粒的组织细胞,该细胞起源不十分清楚,因此称组织细胞增生症X(histiocytosis-Χ),分为嗜酸性肉芽肿(eosinophilic granulomatosis), 勒-雪病(Letterer-Siwe disease)和罕-薛-柯病(Hand-Schüller-Christian disease)沿用至今。近年来LCs倍受关注,Liebeman等〔1〕深入研究称Langerhans cell granulomatosis (LCG), Emile等〔2〕称Langerhans cell histiocytosis (LCH),1997年WHO新分类〔3〕称Langerhans细胞组织细胞增生症和Langerhans细胞肉瘤。由于LCs属单核巨噬细胞系统。骨髓中单核母细胞和前单核细胞产生非增殖性的单核细胞进入血液循环,最终分布到人体组织内。LCs属于树枝状细胞系统。Liebeman等〔1〕认为LCs主要分布在鳞状上皮层、表皮基底层、皮肤附件周围、口腔、舌粘膜、子宫内膜等处,甚至畸胎瘤内鳞状上皮内及鳞状上皮化生的病灶内可见到LCs。在病理性因子刺激下淋巴结、肺、甲状腺等处也可出现LCs反应性增生或迁移,甚至发生肿瘤性增生〔1,4〕,目前认为单核巨噬组织细胞系统肿瘤也与HD、NHD、AL、NAL一样分为LCH和NLCH两大类,有利于临床认识LCH,对治疗和预后不同的NLCH有所区别。根据本组资料,LCH应分为反应性、交界性和恶性,更有利于治疗和判断预后。
, 百拇医药
3.2 LCH病因和发病机制 Liebeman等〔1〕认为与病毒或细菌感染有关,抗原的刺激促使LCs增生及嗜酸性粒细胞的聚积,因此在LCH中都有不等量的嗜酸性粒细胞浸润是本病特征之一,常有不引人注意的诱发因素刺激,如香水、煤烟、烟熏,动物分泌物、玻璃纤维、外伤以及未经治疗的内分泌失调,如糖尿病等。本组14例中8例有皮肤瘙痒或皮疹,由于过去未注意到诱发因素,病史中未能详细记载,有待于临床医师重视寻找病因,以采取有效治疗措施。
近年研究发现LCH部分呈克隆性增生,部分呈非克隆性增生〔5〕,因此良恶性有争议。有人认为LCH病人有几种调节因子失控,导致LCH的LCs异常增殖原因之一,其中肿瘤坏死因子(tumor necrosis factor-α, TNF-α)是LCs增殖和基因突变的关键性调节因子,而TNF-α的启动子异常是TNF-α的量与质改变的关键点。
3.3 LCH临床表现 根据Liebeman和Emile的报道〔1,2〕绝大多数原发骨髓,并以儿童、青少年为最常见,平均年龄17.6岁,中位年龄11岁,男女之比为1.85∶1。本组14例淋巴结LCH,仅有2例为儿童,12例为成人,平均年龄34.35岁,比骨原发者大15~20岁。男女之比为1.8∶1,与文献报道较接近。骨原发强调X线证实骨的局灶性或是多灶性,并认为局灶性多数为良性,而多灶性有可能为恶性,多灶性常伴皮肤病变。本组14例首发淋巴结,仅有1例半年后发现骨多灶性病变。多数为2处以上的淋巴结肿大,8例伴皮肤病变,3例有肺部病变。临床易误诊为其他疾病。14例中11例存活,最长96个月,仅2例死亡,预后比NLCH要好。由于临床表现,辅助检查以及病理诊断尚未受到应有的重视,有待于积累更多资料,总结LCH临床病理特征,对LCH和NLCH作出科学判断。
, 百拇医药
3.4 淋巴结形态特征〔6〕 (1)LCs主要侵犯淋巴结副皮质区,向滤泡间区和髓质浸润;(2)咖啡豆样细胞是LCH最重要的诊断依据,随着恶性程度的增加,大圆形细胞增多。(3)病灶内有不等量的嗜酸性粒细胞浸润,是LCH特征之一。根据本组14例LCs分化程度不同组合,可分为反应性、交界性、恶性:(1)反应性LCH(即肾形和卵圆形细胞型),淋巴结副皮质区大片分化好的LCs增生,没有细胞学上恶性证据,并有较多的嗜酸性粒细胞浸润,经O10、S-100标记LCs呈阳性。(2)交界性LCH(即咖啡豆样型),咖啡豆样细胞显著增生,淋巴结副皮质区破坏,滤泡间区和髓质区浸润,亦可见醒目的残留滤泡,LCs、O10和S-100呈强阳性,亦有散在嗜酸粒性细胞浸润,其中1例第二次活检淋巴结,咖啡豆细胞之间出现大圆形细胞并有灶性坏死,病变呈进展性。(3)低度恶性LCH(即混合细胞型),淋巴结破坏,咖啡豆样细胞和大圆形细胞约各占一半。伴有坏死、纤维化,其中1例有较多的嗜中性粒细胞浸润,病程呈进展性。LCs、O10、S-100呈强阳性。大量嗜中性粒细胞出现,是否促进病程进展有待于研究。(4)高度恶性LCH(即大圆细胞型,WHO分类称肉瘤型),以大圆细胞型为主,淋巴结结构破坏明显,大圆细胞呈巢状或片状分布,仍可见少数咖啡豆样细胞,O10和S-100呈强阳性。少数嗜酸性粒细胞浸润及反应性吞噬组织细胞,部分区域坏死、纤维化。
, 百拇医药
3.5 免疫组化特征 本组14例LCH的O10、S-100均为阳性,O10是CD1a石蜡切片可标记的抗体,Emile等报道〔2,7〕34例使用O10和S-100蛋白均为阳性,与本文报道一致,S-100与组织细胞尚有交叉,同时使用O10和S-100诊断LCH是有意义的,使用keratin作对照LCs呈阴性,泡状核细胞癌呈阳性,M-1(CD15)、LCs呈阴性,而巨噬组织细胞呈阳性,LCs和巨噬组织细胞CD68均可阳性,但LCs仅有部分病例呈CD68弱阳性。LCs、CD21和HMB45均呈阴性,使用以上抗体可区别转移性癌、恶黑、恶组和滤泡内树枝状细胞肿瘤等。
3.6 LCH超微结构 此项具有重要的诊断价值,Liebemen等报道〔1,7〕238例中29例作了电镜观察,胞浆有深的裂沟,1个或多个胞浆呈锯齿状,核呈多个深凹陷状核。核仁不明显,胞浆内可见数量不等的Birbeck颗粒,长度不等僵硬的小管状结构,平均直径34 μm,有的呈拉链中心齿条样,或网球拍样,并认为Birbeck颗粒是细胞膜向胞浆内折叠形成。常在Golgi器附近,并见散在或灶性聚集的RER、线粒体及少量溶酶体,证明LCs有Birbeck颗粒的特殊组织细胞,本组为回顾性资料,未能作电镜观察。
, 百拇医药
根据以上特征,淋巴结LCH诊断要点有:(1)首先了解临床病史,是怠惰性还是进展性,是局灶性还是多灶性器官受累。(2)X线及CT证实在淋巴结肿大6个月内未见骨病变。(3)病理证实为LCs,再进一步明确反应性、交界性和恶性。(4)免疫组化O10和S-100证实为LCs。(5)有条件可作电镜观察证实LCs内有Birbeck颗粒存在。要有前4点方可作出诊断。
3.7 LCH鉴别诊断 本病极易与其他疾病混淆,要注意与以下疾病鉴别:(1)反应性LCH与MF转移至淋巴结者,病变也在副皮质区常伴有LCs迁移增生,但MF细胞为脑回状扭核T细胞浸润在LCs之间,T细胞显示单克隆性,皮肤可见MF细胞浸润。而反应性LCH的LCs,细胞分化良好,T小淋巴细胞呈多克隆性。(2)交界性LCH咖啡豆样细胞需与嗜酸性细胞增多的T细胞淋巴瘤、恶组区别,前者以咖啡豆样细胞为主;而T细胞淋巴瘤,T细胞核呈脑回状扭曲,常伴有血管增生,显示T细胞单克隆性。恶组细胞较大,核大圆形或肾形,染色质粗常集于“肾门”处,染色质呈网状,胞浆内可出现吞噬现象,巨噬组织细胞单抗呈强阳性有助于区别。(3)低恶LCH(即混合型)有大圆细胞及纤维增生似肉芽样,易误诊为HD,但没有典型R-S细胞,背景大多为肿瘤性LCs。免疫组化LCs、BerH2呈阴性,而O10、S-100呈强阳性。(4)高恶LCH大圆细胞需与淋巴结转移癌、恶黑区别。泡状核细胞癌,癌巢在窦内漫延,癌细胞核呈泡状,keratin呈阳性,缺乏咖啡豆样细胞和嗜酸性粒细胞。恶黑细胞胞浆灰淡,有时见色素颗粒,核多样性,HMB45呈阳性可作鉴别。(5)LCH伴大片坏死及多核巨细胞时易诊断为结核。结核为凝固性坏死,有类上皮细胞增生及郎罕(Langhans)巨细胞,没有细胞学上恶性证据。
, 百拇医药
3.8 LCH治疗 根据文献报道,局灶性骨LCH多采用手术刮除或局部放疗,多灶性骨LCH以化疗+放疗为主。而淋巴结LCH治疗有待于积累经验。
根据病理形态本组LCH有反应性4例,占28.6%;交界性3例,占21.4%;恶性7例,占50%(低恶5例占71.4%,高恶2例占28.6%)。因此,区分良恶性十分重要。如何选择最佳治疗方案是临床医师急待解决的问题,同时也应注意寻找致病因子和诱因,也是治疗中不可忽视的方面。
作者简介:徐天蓉,女,64岁,主任医师
参考文献
1,Lieberman PH, Jones CR, Steinman RM et al. Langerhans cell (eosinophilic) granulomatosis: A clinicopathologic study encompassing 50 years. Am J Surg Pathol, 1996;20(5):519~552
, 百拇医药
2,Emile JF, Wechsler J, Brousse N et al. Langerhans cell histiocytosis-Definitive diagnosis with the use of monoclonal antibody O10 on rontinely paraffin-embedded samples. Am J Surg Pathol, 1995;19(6):636~641
3,Favara BE, Feller AC, Pauli M et al. Contemporary classification of histiocytic disorders. The WHO committee on histocytic/reticulum cell proliferations. Reclassification working group of the histiocyte society. Med Pediatr Oncol, 1997;29(3):157~166
, 百拇医药
4,Saffali M, Mccutcheon JM, Wright DH. Langerhans cell histocytosis of lymph nodes: draining a papillary carcinoma of the thyroid. Histopathology, 1997;30(6):599~603
5,Wu SH, McClain KL. DNA polymorphisms and mutations of the tumor necrosis factor-α(TNF-α) promoter in Langerhans cell histiocytosis (LCH). J Interferon and Cytokin Res, 1997;17:613~615
6,Favara BE, Steele A. Langerhans cell histiocytosis of lymphnodes: a morphologic assessment of 43 biopsies. Pediatr Pathol Lab Med, 1997;17(5):769~787
7,Furukawa, Suzuki H. Langerhans Cell histiocytosis (histiocytosis X) with morphologic expression of desmosomes and microvillous structures. J Dermatol, 1996;24(6):379~389
(图片见插页第3页)
收稿日期:1998-08-25, 百拇医药
单位:徐天蓉 范钦和 周青 郑肇巽(南京医科大学第一附属医院病理科,南京 210029)
关键词:淋巴结;组织细胞增多症;郎格尔汉斯细胞;免疫组织化学;病理学;临床
临床与实验病理学杂志990103摘要 目的:研究以淋巴结首发的LCH形态结构特征、免疫表型、临床表现及鉴别诊断。方法:应用HE染色和免疫组化ABC法标记O10和S-100阳性以确定诊断。结果:14例淋巴结LCH有4种组合类型:(1)肾形及卵圆形细胞4例;(2)咖啡豆样细胞3例;(3)咖啡豆样及大圆形细胞5例;(4)大圆形细胞2例。结论:咖啡豆样细胞是LCH的特征细胞,具有重要诊断价值,嗜酸性粒细胞是LCH重要的组成成分之一。根据细胞形态、分化程度和不同组合,LCH分为:①反应性,②交界性,③低度恶性,④高度恶性(肉瘤型)。
, http://www.100md.com
中国图书分类号 R730.263; R551.1 文献标识码 A 文章编号 1001-7399(1999)01-0008-04
A clinical-pathologic and immunohistochemical study of Langerhans cell histiocytosis
Xu Tianrong, Fan Qinhe, Zhou Qing et al
(Dept of Pathol, First Affiliated Hospital of Nanjing Medical University 210029)
ABSTRACT Purpose To study the morphologic characteristics, immunoexpressive types and the clinical features, as well as the differential diagnosis of the Langerhans cell histiocytosis (LCH) primarily in lymph node. Methods Routine histopathology techniques, immunohistochemistry (ABC method) of O10 and S-100 were used to make the diagnosis. Results There were four cell types in the fourteen cases of the LCH: (1)Four cases of oval cell type, (2) Three cases of “coffee bean” nucleis cells, (3) Five cases of “coffee bean” and large round cell types and (4)Two cases of large round cells. Conclusions The “coffee bean” cells are the characteristic and diagnostic cells for LCH. According to the cell morphology, differentiation, and the above cell types, the LCH could be divided into: (1) Reactive, (2) Borderline, (3) Low grade malignancy, (4) High grade malignancy (sarcomatous).
, 百拇医药
KEY WORDS lymph nods; histiocytosis, Langerhans cell; immunohistochemistry; pathology, clinical
Langerhans细胞组织细胞增生症(Langerhans cell histiocytosis, 简称LCH),最常见于骨髓,由于过去对其细胞起源认识不一,命名和诊断都较混乱,该病不仅发生于骨髓,亦可发生于全身各器官,极易误诊。国内有少数报道,我们总结14例以淋巴结首发的LCH进行临床病理和免疫组化研究。
1 材料和方法
收集1990~1998年6月本院和外院活检淋巴结14例,标本均用10%福尔马林固定,常规制片,HE染色,光镜观察,同时用石蜡切片作免疫组化ABC法标记、DAB显色,与HE切片对照观察。使用抗体O10(CD1a)、S-100、LCA(CD45)、UCHL1、(CD45RO)、L26(CD20)、M1(CD15)、CD21、BerH2(CD30)、KP1(CD68)、keratin和HMB45等抗体,所用抗体由Dako公司和德国IT公司购买。用骨原发LCH作阳性对照,用淋巴结转移癌和恶性黑色素瘤作阴性对照。
, http://www.100md.com
2 结果
2.1 临床资料 14例淋巴结LCH,男性9例,女性5例,男女之比为1.8∶1,年龄5~65岁,平均34.35岁。临床表现:全身淋巴结肿大3例,颈部或锁骨上淋巴结肿大7例,腹股沟淋巴结肿大4例。皮肤瘙痒及皮疹8例,发热5例。胸片:肺部有阴影及肺门淋巴结肿大,误诊为结核或结节病3例。B超示脾肿大1例,1例半年后骨髓经X片和活检发现骨多灶性病变,其余未见阳性体征。随访14例中11例存活,最短6个月,最长96个月,1例失访;2例进展性,存活24个月及48个月死亡。
2.2 病理形态 Langerhans cell (LCs)主要侵犯淋巴结副皮质区,向滤泡间区、髓质区呈片状或灶性浸润,常见淋巴滤泡残留,有时形成大片坏死,纤维增生似肉芽或结节状,LCs灶有不等量嗜酸性粒细胞浸润,其中1例有较多的嗜中性粒细胞浸润,2例有多核巨细胞增生。根据LCs形态分以下4种类型:(1)肾形和卵圆形核:细胞较大,胞浆丰富,分界不清,胞浆淡伊红染或透明,核卵圆形或肾形,染色质细,核膜薄而清晰,核仁未见,核分裂象罕见(图1),本组有4例。(2)咖啡豆样核:细胞中等大,胞浆淡伊红染,胞界不清,核呈咖啡豆样有深浅不一的核沟,核膜清晰,核染色质细,核仁不易见,形似咖啡豆(coffee bean)(图2),核分裂象少见,本组3例。(3)混合细胞型:由咖啡豆样细胞和大圆形细胞组成,约各占1/2,形态同(2)和(4)描述,本组有5例。(4)大圆形细胞核:细胞大,核大圆形,核膜清晰,核染色质淡而细,核仁明显,常呈嗜酸性,有1~2个小核仁(图3),核分裂象易见,胞浆丰富淡染或空淡,亦有少数咖啡豆样细胞,伴有巨核或多核巨细胞,共有2例。
, 百拇医药
图1 LCs浸润在副皮质区呈肾形和卵圆形核,胞浆较丰富,淡伊红色。HE×100
图2 LCM的LCs核呈咖啡豆样。HE×200
图3 LCs细胞大,细胞核大而圆,核圆形,核仁小,有散在咖啡豆样核及嗜酸性粒细胞。HE×400
2.3 免疫组化 14例均作石蜡切片免疫组化,O10和S-100均呈阳性(图4),CD68有4例呈弱阳性,LCs在LCA、UCHL1、L26、M-1、CD21、BerH2、HMB45和keratin均呈阴性。淋巴细胞LCA、UCHL1、L26呈阳性,淋巴结转移性泡状细胞癌keratin阳性,散在组织细胞S-100呈阳性,淋巴结转移性恶黑HMB45、S-100呈阳性。
, 百拇医药
图4 LCsO10呈阳性,ABC×400
3 讨论
3.1 LCs 早在1868年就由Langerhans首次描述并注意到LCs的存在,因当时条件限制,误认为是神经受体细胞,直到1961年Birbeck等学者首次描述LCs存在颗粒,不是神经细胞而是组织细胞。LCs是有Birbeck颗粒的组织细胞,该细胞起源不十分清楚,因此称组织细胞增生症X(histiocytosis-Χ),分为嗜酸性肉芽肿(eosinophilic granulomatosis), 勒-雪病(Letterer-Siwe disease)和罕-薛-柯病(Hand-Schüller-Christian disease)沿用至今。近年来LCs倍受关注,Liebeman等〔1〕深入研究称Langerhans cell granulomatosis (LCG), Emile等〔2〕称Langerhans cell histiocytosis (LCH),1997年WHO新分类〔3〕称Langerhans细胞组织细胞增生症和Langerhans细胞肉瘤。由于LCs属单核巨噬细胞系统。骨髓中单核母细胞和前单核细胞产生非增殖性的单核细胞进入血液循环,最终分布到人体组织内。LCs属于树枝状细胞系统。Liebeman等〔1〕认为LCs主要分布在鳞状上皮层、表皮基底层、皮肤附件周围、口腔、舌粘膜、子宫内膜等处,甚至畸胎瘤内鳞状上皮内及鳞状上皮化生的病灶内可见到LCs。在病理性因子刺激下淋巴结、肺、甲状腺等处也可出现LCs反应性增生或迁移,甚至发生肿瘤性增生〔1,4〕,目前认为单核巨噬组织细胞系统肿瘤也与HD、NHD、AL、NAL一样分为LCH和NLCH两大类,有利于临床认识LCH,对治疗和预后不同的NLCH有所区别。根据本组资料,LCH应分为反应性、交界性和恶性,更有利于治疗和判断预后。
, 百拇医药
3.2 LCH病因和发病机制 Liebeman等〔1〕认为与病毒或细菌感染有关,抗原的刺激促使LCs增生及嗜酸性粒细胞的聚积,因此在LCH中都有不等量的嗜酸性粒细胞浸润是本病特征之一,常有不引人注意的诱发因素刺激,如香水、煤烟、烟熏,动物分泌物、玻璃纤维、外伤以及未经治疗的内分泌失调,如糖尿病等。本组14例中8例有皮肤瘙痒或皮疹,由于过去未注意到诱发因素,病史中未能详细记载,有待于临床医师重视寻找病因,以采取有效治疗措施。
近年研究发现LCH部分呈克隆性增生,部分呈非克隆性增生〔5〕,因此良恶性有争议。有人认为LCH病人有几种调节因子失控,导致LCH的LCs异常增殖原因之一,其中肿瘤坏死因子(tumor necrosis factor-α, TNF-α)是LCs增殖和基因突变的关键性调节因子,而TNF-α的启动子异常是TNF-α的量与质改变的关键点。
3.3 LCH临床表现 根据Liebeman和Emile的报道〔1,2〕绝大多数原发骨髓,并以儿童、青少年为最常见,平均年龄17.6岁,中位年龄11岁,男女之比为1.85∶1。本组14例淋巴结LCH,仅有2例为儿童,12例为成人,平均年龄34.35岁,比骨原发者大15~20岁。男女之比为1.8∶1,与文献报道较接近。骨原发强调X线证实骨的局灶性或是多灶性,并认为局灶性多数为良性,而多灶性有可能为恶性,多灶性常伴皮肤病变。本组14例首发淋巴结,仅有1例半年后发现骨多灶性病变。多数为2处以上的淋巴结肿大,8例伴皮肤病变,3例有肺部病变。临床易误诊为其他疾病。14例中11例存活,最长96个月,仅2例死亡,预后比NLCH要好。由于临床表现,辅助检查以及病理诊断尚未受到应有的重视,有待于积累更多资料,总结LCH临床病理特征,对LCH和NLCH作出科学判断。
, 百拇医药
3.4 淋巴结形态特征〔6〕 (1)LCs主要侵犯淋巴结副皮质区,向滤泡间区和髓质浸润;(2)咖啡豆样细胞是LCH最重要的诊断依据,随着恶性程度的增加,大圆形细胞增多。(3)病灶内有不等量的嗜酸性粒细胞浸润,是LCH特征之一。根据本组14例LCs分化程度不同组合,可分为反应性、交界性、恶性:(1)反应性LCH(即肾形和卵圆形细胞型),淋巴结副皮质区大片分化好的LCs增生,没有细胞学上恶性证据,并有较多的嗜酸性粒细胞浸润,经O10、S-100标记LCs呈阳性。(2)交界性LCH(即咖啡豆样型),咖啡豆样细胞显著增生,淋巴结副皮质区破坏,滤泡间区和髓质区浸润,亦可见醒目的残留滤泡,LCs、O10和S-100呈强阳性,亦有散在嗜酸粒性细胞浸润,其中1例第二次活检淋巴结,咖啡豆细胞之间出现大圆形细胞并有灶性坏死,病变呈进展性。(3)低度恶性LCH(即混合细胞型),淋巴结破坏,咖啡豆样细胞和大圆形细胞约各占一半。伴有坏死、纤维化,其中1例有较多的嗜中性粒细胞浸润,病程呈进展性。LCs、O10、S-100呈强阳性。大量嗜中性粒细胞出现,是否促进病程进展有待于研究。(4)高度恶性LCH(即大圆细胞型,WHO分类称肉瘤型),以大圆细胞型为主,淋巴结结构破坏明显,大圆细胞呈巢状或片状分布,仍可见少数咖啡豆样细胞,O10和S-100呈强阳性。少数嗜酸性粒细胞浸润及反应性吞噬组织细胞,部分区域坏死、纤维化。
, 百拇医药
3.5 免疫组化特征 本组14例LCH的O10、S-100均为阳性,O10是CD1a石蜡切片可标记的抗体,Emile等报道〔2,7〕34例使用O10和S-100蛋白均为阳性,与本文报道一致,S-100与组织细胞尚有交叉,同时使用O10和S-100诊断LCH是有意义的,使用keratin作对照LCs呈阴性,泡状核细胞癌呈阳性,M-1(CD15)、LCs呈阴性,而巨噬组织细胞呈阳性,LCs和巨噬组织细胞CD68均可阳性,但LCs仅有部分病例呈CD68弱阳性。LCs、CD21和HMB45均呈阴性,使用以上抗体可区别转移性癌、恶黑、恶组和滤泡内树枝状细胞肿瘤等。
3.6 LCH超微结构 此项具有重要的诊断价值,Liebemen等报道〔1,7〕238例中29例作了电镜观察,胞浆有深的裂沟,1个或多个胞浆呈锯齿状,核呈多个深凹陷状核。核仁不明显,胞浆内可见数量不等的Birbeck颗粒,长度不等僵硬的小管状结构,平均直径34 μm,有的呈拉链中心齿条样,或网球拍样,并认为Birbeck颗粒是细胞膜向胞浆内折叠形成。常在Golgi器附近,并见散在或灶性聚集的RER、线粒体及少量溶酶体,证明LCs有Birbeck颗粒的特殊组织细胞,本组为回顾性资料,未能作电镜观察。
, 百拇医药
根据以上特征,淋巴结LCH诊断要点有:(1)首先了解临床病史,是怠惰性还是进展性,是局灶性还是多灶性器官受累。(2)X线及CT证实在淋巴结肿大6个月内未见骨病变。(3)病理证实为LCs,再进一步明确反应性、交界性和恶性。(4)免疫组化O10和S-100证实为LCs。(5)有条件可作电镜观察证实LCs内有Birbeck颗粒存在。要有前4点方可作出诊断。
3.7 LCH鉴别诊断 本病极易与其他疾病混淆,要注意与以下疾病鉴别:(1)反应性LCH与MF转移至淋巴结者,病变也在副皮质区常伴有LCs迁移增生,但MF细胞为脑回状扭核T细胞浸润在LCs之间,T细胞显示单克隆性,皮肤可见MF细胞浸润。而反应性LCH的LCs,细胞分化良好,T小淋巴细胞呈多克隆性。(2)交界性LCH咖啡豆样细胞需与嗜酸性细胞增多的T细胞淋巴瘤、恶组区别,前者以咖啡豆样细胞为主;而T细胞淋巴瘤,T细胞核呈脑回状扭曲,常伴有血管增生,显示T细胞单克隆性。恶组细胞较大,核大圆形或肾形,染色质粗常集于“肾门”处,染色质呈网状,胞浆内可出现吞噬现象,巨噬组织细胞单抗呈强阳性有助于区别。(3)低恶LCH(即混合型)有大圆细胞及纤维增生似肉芽样,易误诊为HD,但没有典型R-S细胞,背景大多为肿瘤性LCs。免疫组化LCs、BerH2呈阴性,而O10、S-100呈强阳性。(4)高恶LCH大圆细胞需与淋巴结转移癌、恶黑区别。泡状核细胞癌,癌巢在窦内漫延,癌细胞核呈泡状,keratin呈阳性,缺乏咖啡豆样细胞和嗜酸性粒细胞。恶黑细胞胞浆灰淡,有时见色素颗粒,核多样性,HMB45呈阳性可作鉴别。(5)LCH伴大片坏死及多核巨细胞时易诊断为结核。结核为凝固性坏死,有类上皮细胞增生及郎罕(Langhans)巨细胞,没有细胞学上恶性证据。
, 百拇医药
3.8 LCH治疗 根据文献报道,局灶性骨LCH多采用手术刮除或局部放疗,多灶性骨LCH以化疗+放疗为主。而淋巴结LCH治疗有待于积累经验。
根据病理形态本组LCH有反应性4例,占28.6%;交界性3例,占21.4%;恶性7例,占50%(低恶5例占71.4%,高恶2例占28.6%)。因此,区分良恶性十分重要。如何选择最佳治疗方案是临床医师急待解决的问题,同时也应注意寻找致病因子和诱因,也是治疗中不可忽视的方面。
作者简介:徐天蓉,女,64岁,主任医师
参考文献
1,Lieberman PH, Jones CR, Steinman RM et al. Langerhans cell (eosinophilic) granulomatosis: A clinicopathologic study encompassing 50 years. Am J Surg Pathol, 1996;20(5):519~552
, 百拇医药
2,Emile JF, Wechsler J, Brousse N et al. Langerhans cell histiocytosis-Definitive diagnosis with the use of monoclonal antibody O10 on rontinely paraffin-embedded samples. Am J Surg Pathol, 1995;19(6):636~641
3,Favara BE, Feller AC, Pauli M et al. Contemporary classification of histiocytic disorders. The WHO committee on histocytic/reticulum cell proliferations. Reclassification working group of the histiocyte society. Med Pediatr Oncol, 1997;29(3):157~166
, 百拇医药
4,Saffali M, Mccutcheon JM, Wright DH. Langerhans cell histocytosis of lymph nodes: draining a papillary carcinoma of the thyroid. Histopathology, 1997;30(6):599~603
5,Wu SH, McClain KL. DNA polymorphisms and mutations of the tumor necrosis factor-α(TNF-α) promoter in Langerhans cell histiocytosis (LCH). J Interferon and Cytokin Res, 1997;17:613~615
6,Favara BE, Steele A. Langerhans cell histiocytosis of lymphnodes: a morphologic assessment of 43 biopsies. Pediatr Pathol Lab Med, 1997;17(5):769~787
7,Furukawa, Suzuki H. Langerhans Cell histiocytosis (histiocytosis X) with morphologic expression of desmosomes and microvillous structures. J Dermatol, 1996;24(6):379~389
(图片见插页第3页)
收稿日期:1998-08-25, 百拇医药
参见:首页 > 医疗版 > 疾病专题 > 呼吸内科 > 弥漫性间质性肺病 > 组织细胞增多症X