可吸收羟基磷灰石/聚DL-乳酸复合骨折内固定材料的生物相容性研究
作者:郭晓东 郑启新 杜靖远 曾 晖 全大萍 闫玉华 李世普 李香亮
单位:(郭晓东 郑启新 杜靖远 曾 晖)同济医科大学 附属协和医院骨科,武汉 430022;(全大萍 闫玉华 李世普 李香亮)武汉工业大学 生物材料中心,武汉 430070
关键词:可吸收材料;羟基磷灰石;聚DL-乳酸;生物相容性
生物医学工程学杂志990203 摘要 可吸收骨折内固定材料要求具有良好的生物相容性。对自行研制的可吸收羟基磷灰石/聚DL-乳酸(HA/PDLLA)复合骨折内固定材料进行了一系列生物相容性实验,包括Ames实验、微核实验、急性和亚急性毒性实验、溶血实验、凝血试验和肌肉、骨内长期植入实验。结果表明,HA/PDLLA材料无毒,无致突变性,不引起溶血和凝血。结论:HA/PDLLA复合材料具有很好的生物相容性。
Biocompatibility of Self-designed Absorbable
, 百拇医药
Hydroxyapatite/poly(DL-lactide) Composites
Guo Xiaodong Zheng Qixin Du Jingyuan Zen Hui
Quan Dapin Yan Yuhua Li Shipu Li Xiangliang
Department of Orthopaedics, Union Hospital of Tongji Medical University, Wuhan 430022
Biomedical Material Centre, Wuhan University of Technology, Wuhan 430070
Abstract The biocompatibility of self-designed hydroxyapatite/poly (DL-lactide) rods was evaluated both in vitro and in vivo including Ames test, micronucleus test, acute and subacute systemic toxicity test, hemolysis test, hemopexis test and long-term muscle and bone implant test. The results indicate that the material has no toxicity, no stimulation and mutation, and it does not cause hemolysis and hemopexis. Consequently, the biocompatibility of the composite was good.
, 百拇医药
Key words Bioabsorbable material Hydroxyapatite Poly(DL-lactide) Biocompatibility
可吸收骨折内固定材料可避免二次手术取出而受到人们广泛重视,国外研制的自增强聚羟乙酸(self-reinforced polyglycolide,SR-PG-
A)、自增强聚L-乳酸(self-reinforced polylev-
olctide,SR-PLLA)及非增强聚L-乳酸(PLL-
A)已开始在临床使用[1,2],但PGA降解较快,并发症多,PLLA降解太慢,可在体内长期存留,它们价格昂贵,在普通X线下不能显影,只能依靠CT、MRI检测植入情况[3]。国内只有DL-乳酸供应,聚DL-乳酸(PDLLA)强度较差,不能很好地满足松质骨骨折的内固定,为了发展国产可吸收内固定材料,我们用羟基磷灰石(hydroxyapatite,HA)与PDLLA复合,研制出HA/PDLLA复合内固定材料,大大提高了材料强度,用于实验性松质骨骨折取得满意效果。现参照国际标准化组织、美国试验和材料协会,以及我国对生物材料评价方面的有关办法和规定[4~6],对其生物相容性进行评价。
, 百拇医药
1 材料与方法
1.1 材料制备
以国产DL-乳酸为原料,制备PDLLA,用溶液法制备HA超微粉,10 wt%HA与PDLLA均匀混合后加工成2 mm×2 mm×12 mm的条形试件和直径4.5 mm长30~40 mm的棒材,分装后环氧乙烷消毒备用,另取4 g HA/PDLLA材料置于20 ml生理盐水中50 ℃浸提72 h,制备材料浸提液,24 h内进行试验。
1.2 生物相容性试验
1.2.1 Ames致突变试验 将材料浸提液用无菌蒸馏水按原液、1/2、1/4、1/8、1/16原液的系列稀释成待测液;用鼠伤寒沙门氏菌组氨酸营养缺陷型TA98、TA100为指示菌株;已知致突变物敌克松(Dexon)、二氨基芴(2-AF)为阳性对照,无菌蒸馏水为阴性对照;采用平皿掺入法在加S9和不加S9条件下进行,经37 ℃培养48 h后观察结果,测试结果以致突变比值(MR=诱变菌落数Rt/自发回变菌落数Rc)表示。
, 百拇医药
1.2.2 微核试验 选用NIH雄性小鼠30只,体重20~24 g,随机分成3组:(1)材料浸提液组(50 ml/kg);(2)生理盐水阴性对照组(50 ml/kg);(3)环磷酰胺阳性对照组(80 mg/kg)。在处死动物前30 h和6 h各经腹腔给药一次,处死后制备骨髓涂片,瑞氏染色,每只动物计数1000个多染红细胞,计算微核出现率并作统计学处理(t检验)。
1.2.3 急性毒性试验 取健康NIH小鼠20只,体重20~24 g,雌雄各半,随机分成2组,实验组按50 ml/kg剂量经腹腔注射材料浸提液,对照组注射等量生理盐水。连续观察2周,注意动物一般情况及不良反应。
1.2.4 亚急性毒性试验 取健康NIH小鼠20只,体重20~24 g,测体重和血常规后随机分为2组,实验组按10 ml/kg剂量经腹腔注射材料浸提液,每周5次,对照组注射等量生理盐水。3个月后复查体重及血常规,并取心、肺、肝、脾、肾标本作常规组织学观察。
, 百拇医药
1.2.5 溶血试验 取新鲜兔血用生理盐水释成2%兔血悬液,将材料浸提液、生理盐水(阴性对照)和双蒸水(阳性对照)各2 ml、颗粒样品2 g分别加入2%兔血悬液2 ml(颗粒样品组另补加生理盐水2 ml),每组各5份。37 ℃水浴1 h,肉眼观察有无溶血,随即离心,取上清液1 ml,加入0.1% Na2CO3溶液4 ml,在722型分光光度计于540 nm处测宊各样本光密度,计算溶血率。溶血率=(样品吸光度-阴性对照吸光度)/阳性对照吸光度-阴性对照吸光度)×100%。
1.2.6 凝血试验 取颗粒样品50、100、200 mg分别加入正常混合血浆中,用自动血液凝固仪于1 h内测定凝血酶原时间(PT)、部分凝血活酶时间(APTT)、凝血酶凝固时间(TT)和纤维蛋白原,观察材料对凝血功能的影响。
1.2.7 肌肉、骨内长期植入试验 取健康家兔31只,体重2.0~2.5 kg,无菌条件下在距股骨髁关节面8~10 mm松质骨处作经髁横形截骨,复位后在髁间凹中心钻孔,插入一枚HA/PDLLA棒材固定,另取2 mm×2 mm×12 mm HA/PDLLA试件植入双侧骶棘肌内,术后动物自由活动,不用外固定。进行以下观察:(1)于3、6、12、24、36周各处死5只动物,作X线摄片后取股骨远端、材料周围肌肉组织、胸腺和脾脏作常规组织学观察;(2)于3、6、12周各处死2只动物,取出材料,在SX-40型扫描电镜(SEM)下观察材料表面情况。
, 百拇医药
2 结 果
2.1 Ames致突变试验
实验组的MR值均小于2,Dexon及2-AF两阳性对照组的MR值均大于2,提示试验结果为阴性。
2.2 微核试验
材料浸提液组微核出现率为3.61‰,与生理盐水阴性对照(3.20‰)无显著差异(P>0.05),与环磷酰胺阳性对照组(12.7‰)有显著性差异(P<0.01)。实验组低于5‰的药典阳性标准,无致突变反应。
2.3 急性毒性试验
两周内动物一般情况良好,活动、食欲正常,呼吸平稳,无惊厥、瘫痪和死亡现象,按WHO化学物质急性毒性试验标准,经腹腔注射LD50>15 g/kg。
, 百拇医药
2.4 亚急性毒性试验
3个月内动物饮食正常,体重明显增加(P<0.05),血常规与给药前无显著差异(P>0.05)。心、肺、肝、脾、肾标本组织学观察未见组织和细胞的变性及坏死。
2.5 溶血试验
实验组和生理盐水阴性对照组均无溶血现象,双蒸水阳性对照组全部溶血。除阳性对照组外,其余3组溶血率均低于1%,符合规定不大于5%的标准。
2.6 凝血试验
加入不同剂量颗粒样品后,血浆中4项指标均正常,说明材料对凝血功能无影响。
2.7 肌肉、骨内长期植入试验
所有动物伤口I期愈合,无感染和窦道形成。肌肉内植入实验组织学观察3周时未见炎性细胞聚集及肌肉坏死,12周材料开始降解,36周时材料植入区部分被网状结缔组织和少许纤维肉芽组织修复,有少许中性粒细胞和巨噬细胞浸润,未见多核巨细胞。骨内长期植入实验X线摄片见6周时骨折愈合,无畸形(图1)。材料在12周前可清晰显影。组织学观察3周时骨折端有明显骨痂生成,材料在髁部与骨组织直接接触,在髓腔中材料周围有明显新骨生成,无中性粒细胞、淋巴细胞聚集,偶见巨噬细胞(图2)。6周时骨折均愈合,炎性细胞减少。36周时材料在进一步降解和被新骨和纤维组织修复中,可见活跃的成骨细胞和少许中性粒细胞、巨噬细胞和多核巨细胞(图3)。各组动物胸腺和脾脏组织学检查未见异常反应,淋巴胞增殖中心无增殖反应。SEM观察见材料植入前表面仅少许HA分布,植入后材料表面早期即有HA结晶沉积,6周时最多,分布均匀(图4),12周时HA有所减少。
, 百拇医药
图1 术后6周骨折愈合,材料可清晰显影
Fig 1 All osteotomies united within six weeks, the implant could be seen clearly under conventional X-rays
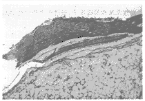
图2 术后3周髓腔中材料周围明显新骨生成,新骨表面覆盖活跃的成骨细胞。HE ×40
上方空白区为材料,于制样中被有机溶剂溶解
Fig 2 Three weeks post-operation, considerable new bone formation and active osteoblasts were present surrounding the implant at the intramedullary canal of the femur. HE ×40
, 百拇医药
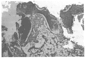
图3 术后36周,材料部分降解和被新骨、纤维组织修复。HE ×40
Fig 3 The implant was partially degraded and replaced by new bone and connective tissue.HE ×40
图4 术后6周时材料表面有许多均匀分布的HA颗粒。SEM×1,000
Fig 4 Six weeks post-operation, there were generous HA particles on the surface of the implant.SEM×1,000
3 讨 论
可吸收骨折内固定材料要求具有适度的降解速度,良好的生物相容性和尽可能少的并发症。目前国外研制的可吸收内固定材料主要是PGA及PLA的两种异构体聚DL-乳酸(PDLLA)和聚L-乳酸(PLLA),PGA具有亲水性,降解速度较快,强度维持时间较短,并发症(如迟发性无菌性异物反应,窦道形成和材料植入区骨质溶解等)较多,而PLA具有疏水性,极少发生这些并发症,故目前研究的重点主要集中在PLA上[3]。但PDLLA降解也较快(24周~18月),初始强度和强度维持时间不足,也有一定的并发症,不能很好地用于松质骨骨折的内固定。PLLA又降解太慢(32周~4年),可在体内长期存留[7]。HA与PDLLA复合后,HA可从三维方向均匀增强材料强度[8,9],也使材料在普通X线下可以显影,克服了SR-PGA、SR-PLLA等只能从单一方向增强材料强度和只能依靠CT、MRI检测植入情况的缺点,也适当减慢了PDLLA的降解速度,使复合材料具有更好的生物相容性。
, http://www.100md.com
本实验中,肌肉和骨长期植入试验动物伤口I期愈合,无感染和窦道形成,组织学观察见骨折正常愈合,无抑制现象,36周内组织反应温和,未见大量炎性细胞、巨噬细胞和多核巨细胞集聚。结合其他生物相容性试验,证明本材料无毒性、无刺激性和致突变性,不会引起溶血或凝血,生物相容性好。
HA与PDLLA复合后生物相容性好与以下两因素有关:(1)复合材料的降解速度减慢。由于HA在酸性介质中溶解度增加,形成微碱性环境[10],可与酸性降解产物发生反应,降低了材料内部酸性降解产物的自催化效应及其产生速度,也对材料周围pH值下降有一定缓冲作用,同时,本实验中SEM观察到复合材料表面及表层壳状结构中有许多均匀分布的HA颗粒,类似一种物理屏障,可减慢水分子等降解介质的进入和降解产物的释放速度[11],我们在前期体外降解试验中证实HA/PDLLA复合材料的生物降解率、吸水率、失重率均明显低于单纯PDLLA材料。Verheyen[11]也证实HA/PLLA材料的乳酸释放速度和pH值下降低于单纯PLLA材料;(2)HA与PDLLA复合后使内固定材料可能具有一定的骨结合能力,这是SR-PGA、SR-PLLA及PLLA材料所不具备的[8,9,12]。本实验SEM观察到材料表面早期即有HA结晶沉积,6周时最多,分布均匀,以后随着材料的逐步降解而减少。组织学见材料在髁部与骨组织直接接触,无纤维组织分隔。说明加入HA后,HA溶解释放的Ca2+离子和PO3+4离子可能沉积在局部与钙化骨基质形成骨性结合。Verheyen[8]认为这种骨结合能力可提高材料的生物相容性,也可使应力在材料——骨界面均匀分布。
, 百拇医药
因此,HA与PDLLA复合后,不仅提高了材料的初始强度,使材料在普通X线下可以显影,也减慢了降解速度,提高了强度维持时间和生物相容性,为临床应用提供了依据。
参考文献
1 Rokkanen P, Bostman O, Vainionpaa S et al. Absorbable devices in the fixation of fractures. J Trauma, 1996;40∶S123
2 Yamamuro T, Matsusue Y, Uchida A et al. Bioabsorbable osteosynthetic implants of ultra high strength poly-L-lactide. Int Orthop,1994;18∶332
3 Bostman O. Current concepts review:absorbable implants for the fixation of fractures. J Bone Joint Surg, 1991;73A∶148
, 百拇医药
4 ISO/TR 9966(1989)
5 ASTM F1748-82.Annual Book of ASTM STANDARDS.Medical Devices, 1983;13∶282
6 徐原恩.卫生毒理学基础.北京:北京医科大学.中国协和医科大学联合出版社,1991∶65-66
7 Majola A, Vainionpaa S, Vihtonen K et al. Absorption, biocompatibility,and fixation properties of polylactic acid in bone tissue:an experiment study in rats. Clin Orthop,1991;268∶260
8 Verheyen C, Wijn J, Blitterswijk C et al. Hydroxylapatite/poly(L-lactide) composites:an animal study on push-out strengths and interface histology. J Biomed Mater Res, 1993;27∶433
, 百拇医药
9 Verheyen C, Wijn J, Blitterswijk C et al. Evaluation of hydroxylapatite/poly (L-lactide) composites:mechanical behavior. J Biomed Mater Res,1992;26∶1277
10 Higashi S, Yamamuro T, Nakamura T et al. Polymer-hydroxyapatite composites for biodegradable bone fillers. Biomaterials,1986;7∶813
11 Verheyen C, Klein C, Blieckhogervorst J et al.Evaluation of hydroxylapatite/poly(L-lactide)composites:physico-chemical properties. J Mater Sci:Mater Med,1993;4∶58
12 Shikinami Y, Hata K, Okuno M. Ultra-high-strength resorbable implants made from bioactive ceramic particles/polylactide composites. Bioceramics,1996;9∶391
收稿:1998-01-25 修回:1998-07-09, http://www.100md.com
单位:(郭晓东 郑启新 杜靖远 曾 晖)同济医科大学 附属协和医院骨科,武汉 430022;(全大萍 闫玉华 李世普 李香亮)武汉工业大学 生物材料中心,武汉 430070
关键词:可吸收材料;羟基磷灰石;聚DL-乳酸;生物相容性
生物医学工程学杂志990203 摘要 可吸收骨折内固定材料要求具有良好的生物相容性。对自行研制的可吸收羟基磷灰石/聚DL-乳酸(HA/PDLLA)复合骨折内固定材料进行了一系列生物相容性实验,包括Ames实验、微核实验、急性和亚急性毒性实验、溶血实验、凝血试验和肌肉、骨内长期植入实验。结果表明,HA/PDLLA材料无毒,无致突变性,不引起溶血和凝血。结论:HA/PDLLA复合材料具有很好的生物相容性。
Biocompatibility of Self-designed Absorbable
, 百拇医药
Hydroxyapatite/poly(DL-lactide) Composites
Guo Xiaodong Zheng Qixin Du Jingyuan Zen Hui
Quan Dapin Yan Yuhua Li Shipu Li Xiangliang
Department of Orthopaedics, Union Hospital of Tongji Medical University, Wuhan 430022
Biomedical Material Centre, Wuhan University of Technology, Wuhan 430070
Abstract The biocompatibility of self-designed hydroxyapatite/poly (DL-lactide) rods was evaluated both in vitro and in vivo including Ames test, micronucleus test, acute and subacute systemic toxicity test, hemolysis test, hemopexis test and long-term muscle and bone implant test. The results indicate that the material has no toxicity, no stimulation and mutation, and it does not cause hemolysis and hemopexis. Consequently, the biocompatibility of the composite was good.
, 百拇医药
Key words Bioabsorbable material Hydroxyapatite Poly(DL-lactide) Biocompatibility
可吸收骨折内固定材料可避免二次手术取出而受到人们广泛重视,国外研制的自增强聚羟乙酸(self-reinforced polyglycolide,SR-PG-
A)、自增强聚L-乳酸(self-reinforced polylev-
olctide,SR-PLLA)及非增强聚L-乳酸(PLL-
A)已开始在临床使用[1,2],但PGA降解较快,并发症多,PLLA降解太慢,可在体内长期存留,它们价格昂贵,在普通X线下不能显影,只能依靠CT、MRI检测植入情况[3]。国内只有DL-乳酸供应,聚DL-乳酸(PDLLA)强度较差,不能很好地满足松质骨骨折的内固定,为了发展国产可吸收内固定材料,我们用羟基磷灰石(hydroxyapatite,HA)与PDLLA复合,研制出HA/PDLLA复合内固定材料,大大提高了材料强度,用于实验性松质骨骨折取得满意效果。现参照国际标准化组织、美国试验和材料协会,以及我国对生物材料评价方面的有关办法和规定[4~6],对其生物相容性进行评价。
, 百拇医药
1 材料与方法
1.1 材料制备
以国产DL-乳酸为原料,制备PDLLA,用溶液法制备HA超微粉,10 wt%HA与PDLLA均匀混合后加工成2 mm×2 mm×12 mm的条形试件和直径4.5 mm长30~40 mm的棒材,分装后环氧乙烷消毒备用,另取4 g HA/PDLLA材料置于20 ml生理盐水中50 ℃浸提72 h,制备材料浸提液,24 h内进行试验。
1.2 生物相容性试验
1.2.1 Ames致突变试验 将材料浸提液用无菌蒸馏水按原液、1/2、1/4、1/8、1/16原液的系列稀释成待测液;用鼠伤寒沙门氏菌组氨酸营养缺陷型TA98、TA100为指示菌株;已知致突变物敌克松(Dexon)、二氨基芴(2-AF)为阳性对照,无菌蒸馏水为阴性对照;采用平皿掺入法在加S9和不加S9条件下进行,经37 ℃培养48 h后观察结果,测试结果以致突变比值(MR=诱变菌落数Rt/自发回变菌落数Rc)表示。
, 百拇医药
1.2.2 微核试验 选用NIH雄性小鼠30只,体重20~24 g,随机分成3组:(1)材料浸提液组(50 ml/kg);(2)生理盐水阴性对照组(50 ml/kg);(3)环磷酰胺阳性对照组(80 mg/kg)。在处死动物前30 h和6 h各经腹腔给药一次,处死后制备骨髓涂片,瑞氏染色,每只动物计数1000个多染红细胞,计算微核出现率并作统计学处理(t检验)。
1.2.3 急性毒性试验 取健康NIH小鼠20只,体重20~24 g,雌雄各半,随机分成2组,实验组按50 ml/kg剂量经腹腔注射材料浸提液,对照组注射等量生理盐水。连续观察2周,注意动物一般情况及不良反应。
1.2.4 亚急性毒性试验 取健康NIH小鼠20只,体重20~24 g,测体重和血常规后随机分为2组,实验组按10 ml/kg剂量经腹腔注射材料浸提液,每周5次,对照组注射等量生理盐水。3个月后复查体重及血常规,并取心、肺、肝、脾、肾标本作常规组织学观察。
, 百拇医药
1.2.5 溶血试验 取新鲜兔血用生理盐水释成2%兔血悬液,将材料浸提液、生理盐水(阴性对照)和双蒸水(阳性对照)各2 ml、颗粒样品2 g分别加入2%兔血悬液2 ml(颗粒样品组另补加生理盐水2 ml),每组各5份。37 ℃水浴1 h,肉眼观察有无溶血,随即离心,取上清液1 ml,加入0.1% Na2CO3溶液4 ml,在722型分光光度计于540 nm处测宊各样本光密度,计算溶血率。溶血率=(样品吸光度-阴性对照吸光度)/阳性对照吸光度-阴性对照吸光度)×100%。
1.2.6 凝血试验 取颗粒样品50、100、200 mg分别加入正常混合血浆中,用自动血液凝固仪于1 h内测定凝血酶原时间(PT)、部分凝血活酶时间(APTT)、凝血酶凝固时间(TT)和纤维蛋白原,观察材料对凝血功能的影响。
1.2.7 肌肉、骨内长期植入试验 取健康家兔31只,体重2.0~2.5 kg,无菌条件下在距股骨髁关节面8~10 mm松质骨处作经髁横形截骨,复位后在髁间凹中心钻孔,插入一枚HA/PDLLA棒材固定,另取2 mm×2 mm×12 mm HA/PDLLA试件植入双侧骶棘肌内,术后动物自由活动,不用外固定。进行以下观察:(1)于3、6、12、24、36周各处死5只动物,作X线摄片后取股骨远端、材料周围肌肉组织、胸腺和脾脏作常规组织学观察;(2)于3、6、12周各处死2只动物,取出材料,在SX-40型扫描电镜(SEM)下观察材料表面情况。
, 百拇医药
2 结 果
2.1 Ames致突变试验
实验组的MR值均小于2,Dexon及2-AF两阳性对照组的MR值均大于2,提示试验结果为阴性。
2.2 微核试验
材料浸提液组微核出现率为3.61‰,与生理盐水阴性对照(3.20‰)无显著差异(P>0.05),与环磷酰胺阳性对照组(12.7‰)有显著性差异(P<0.01)。实验组低于5‰的药典阳性标准,无致突变反应。
2.3 急性毒性试验
两周内动物一般情况良好,活动、食欲正常,呼吸平稳,无惊厥、瘫痪和死亡现象,按WHO化学物质急性毒性试验标准,经腹腔注射LD50>15 g/kg。
, 百拇医药
2.4 亚急性毒性试验
3个月内动物饮食正常,体重明显增加(P<0.05),血常规与给药前无显著差异(P>0.05)。心、肺、肝、脾、肾标本组织学观察未见组织和细胞的变性及坏死。
2.5 溶血试验
实验组和生理盐水阴性对照组均无溶血现象,双蒸水阳性对照组全部溶血。除阳性对照组外,其余3组溶血率均低于1%,符合规定不大于5%的标准。
2.6 凝血试验
加入不同剂量颗粒样品后,血浆中4项指标均正常,说明材料对凝血功能无影响。
2.7 肌肉、骨内长期植入试验
所有动物伤口I期愈合,无感染和窦道形成。肌肉内植入实验组织学观察3周时未见炎性细胞聚集及肌肉坏死,12周材料开始降解,36周时材料植入区部分被网状结缔组织和少许纤维肉芽组织修复,有少许中性粒细胞和巨噬细胞浸润,未见多核巨细胞。骨内长期植入实验X线摄片见6周时骨折愈合,无畸形(图1)。材料在12周前可清晰显影。组织学观察3周时骨折端有明显骨痂生成,材料在髁部与骨组织直接接触,在髓腔中材料周围有明显新骨生成,无中性粒细胞、淋巴细胞聚集,偶见巨噬细胞(图2)。6周时骨折均愈合,炎性细胞减少。36周时材料在进一步降解和被新骨和纤维组织修复中,可见活跃的成骨细胞和少许中性粒细胞、巨噬细胞和多核巨细胞(图3)。各组动物胸腺和脾脏组织学检查未见异常反应,淋巴胞增殖中心无增殖反应。SEM观察见材料植入前表面仅少许HA分布,植入后材料表面早期即有HA结晶沉积,6周时最多,分布均匀(图4),12周时HA有所减少。
, 百拇医药
图1 术后6周骨折愈合,材料可清晰显影
Fig 1 All osteotomies united within six weeks, the implant could be seen clearly under conventional X-rays
图2 术后3周髓腔中材料周围明显新骨生成,新骨表面覆盖活跃的成骨细胞。HE ×40
上方空白区为材料,于制样中被有机溶剂溶解
Fig 2 Three weeks post-operation, considerable new bone formation and active osteoblasts were present surrounding the implant at the intramedullary canal of the femur. HE ×40
, 百拇医药
图3 术后36周,材料部分降解和被新骨、纤维组织修复。HE ×40
Fig 3 The implant was partially degraded and replaced by new bone and connective tissue.HE ×40
图4 术后6周时材料表面有许多均匀分布的HA颗粒。SEM×1,000
Fig 4 Six weeks post-operation, there were generous HA particles on the surface of the implant.SEM×1,000
3 讨 论
可吸收骨折内固定材料要求具有适度的降解速度,良好的生物相容性和尽可能少的并发症。目前国外研制的可吸收内固定材料主要是PGA及PLA的两种异构体聚DL-乳酸(PDLLA)和聚L-乳酸(PLLA),PGA具有亲水性,降解速度较快,强度维持时间较短,并发症(如迟发性无菌性异物反应,窦道形成和材料植入区骨质溶解等)较多,而PLA具有疏水性,极少发生这些并发症,故目前研究的重点主要集中在PLA上[3]。但PDLLA降解也较快(24周~18月),初始强度和强度维持时间不足,也有一定的并发症,不能很好地用于松质骨骨折的内固定。PLLA又降解太慢(32周~4年),可在体内长期存留[7]。HA与PDLLA复合后,HA可从三维方向均匀增强材料强度[8,9],也使材料在普通X线下可以显影,克服了SR-PGA、SR-PLLA等只能从单一方向增强材料强度和只能依靠CT、MRI检测植入情况的缺点,也适当减慢了PDLLA的降解速度,使复合材料具有更好的生物相容性。
, http://www.100md.com
本实验中,肌肉和骨长期植入试验动物伤口I期愈合,无感染和窦道形成,组织学观察见骨折正常愈合,无抑制现象,36周内组织反应温和,未见大量炎性细胞、巨噬细胞和多核巨细胞集聚。结合其他生物相容性试验,证明本材料无毒性、无刺激性和致突变性,不会引起溶血或凝血,生物相容性好。
HA与PDLLA复合后生物相容性好与以下两因素有关:(1)复合材料的降解速度减慢。由于HA在酸性介质中溶解度增加,形成微碱性环境[10],可与酸性降解产物发生反应,降低了材料内部酸性降解产物的自催化效应及其产生速度,也对材料周围pH值下降有一定缓冲作用,同时,本实验中SEM观察到复合材料表面及表层壳状结构中有许多均匀分布的HA颗粒,类似一种物理屏障,可减慢水分子等降解介质的进入和降解产物的释放速度[11],我们在前期体外降解试验中证实HA/PDLLA复合材料的生物降解率、吸水率、失重率均明显低于单纯PDLLA材料。Verheyen[11]也证实HA/PLLA材料的乳酸释放速度和pH值下降低于单纯PLLA材料;(2)HA与PDLLA复合后使内固定材料可能具有一定的骨结合能力,这是SR-PGA、SR-PLLA及PLLA材料所不具备的[8,9,12]。本实验SEM观察到材料表面早期即有HA结晶沉积,6周时最多,分布均匀,以后随着材料的逐步降解而减少。组织学见材料在髁部与骨组织直接接触,无纤维组织分隔。说明加入HA后,HA溶解释放的Ca2+离子和PO3+4离子可能沉积在局部与钙化骨基质形成骨性结合。Verheyen[8]认为这种骨结合能力可提高材料的生物相容性,也可使应力在材料——骨界面均匀分布。
, 百拇医药
因此,HA与PDLLA复合后,不仅提高了材料的初始强度,使材料在普通X线下可以显影,也减慢了降解速度,提高了强度维持时间和生物相容性,为临床应用提供了依据。
参考文献
1 Rokkanen P, Bostman O, Vainionpaa S et al. Absorbable devices in the fixation of fractures. J Trauma, 1996;40∶S123
2 Yamamuro T, Matsusue Y, Uchida A et al. Bioabsorbable osteosynthetic implants of ultra high strength poly-L-lactide. Int Orthop,1994;18∶332
3 Bostman O. Current concepts review:absorbable implants for the fixation of fractures. J Bone Joint Surg, 1991;73A∶148
, 百拇医药
4 ISO/TR 9966(1989)
5 ASTM F1748-82.Annual Book of ASTM STANDARDS.Medical Devices, 1983;13∶282
6 徐原恩.卫生毒理学基础.北京:北京医科大学.中国协和医科大学联合出版社,1991∶65-66
7 Majola A, Vainionpaa S, Vihtonen K et al. Absorption, biocompatibility,and fixation properties of polylactic acid in bone tissue:an experiment study in rats. Clin Orthop,1991;268∶260
8 Verheyen C, Wijn J, Blitterswijk C et al. Hydroxylapatite/poly(L-lactide) composites:an animal study on push-out strengths and interface histology. J Biomed Mater Res, 1993;27∶433
, 百拇医药
9 Verheyen C, Wijn J, Blitterswijk C et al. Evaluation of hydroxylapatite/poly (L-lactide) composites:mechanical behavior. J Biomed Mater Res,1992;26∶1277
10 Higashi S, Yamamuro T, Nakamura T et al. Polymer-hydroxyapatite composites for biodegradable bone fillers. Biomaterials,1986;7∶813
11 Verheyen C, Klein C, Blieckhogervorst J et al.Evaluation of hydroxylapatite/poly(L-lactide)composites:physico-chemical properties. J Mater Sci:Mater Med,1993;4∶58
12 Shikinami Y, Hata K, Okuno M. Ultra-high-strength resorbable implants made from bioactive ceramic particles/polylactide composites. Bioceramics,1996;9∶391
收稿:1998-01-25 修回:1998-07-09, http://www.100md.com