浅析肱骨髁上骨折好发于儿童的生物力学原因
作者:郑 翔 陈 奇
单位:郑 翔(扬州大学工学院,扬州 225009);陈 奇(扬州市中医院,扬州 225002)
关键词:生物力学;肱骨踝上骨折;前倾角
生物医学工程学杂志990311 摘要 根据儿童到成人骨发育过程中其肱骨下端前倾角的变化,从生物力学角度,在理论上分析了同样俯卧跌仆上肢撑地,儿童易产生肱骨髁上骨折,而成人则易发生肱骨中上部骨折的原因。
On the Biomechanical Reasons Why Children Are Liable to Have
Fracture in Supracondyle of Humerus
Zheng Xiang1 Chen Qi2
, 百拇医药
1 (Institute of Technology, Yangzhou University, Yangzhou 225009)
2 (Yangzhou Hosptial of Traditional Chinese Medicine, Yangzhou 225002)
Abstract With the viewpoint of biomechanics in theory, this paper analyses why children are liable to have fracture in supracondyle of humerus as a result of falling to the ground with the upper limbs propping up the body while adults usually have fracture in the middle or upper part of humerus under the same condition. The focus of discussion is the change of front-inclination in the lower end of humerus in the process of bone maturity from childhood to adulthood.
, 百拇医药
Key words Biomechanics Supracondyle fracture of humerus Front-inclination
1 前 言
在俯卧跌仆、上肢撑地为主要受伤姿态的一类肱骨骨折中,儿童多发生伸直型肱骨髁上骨折。对这一现象产生的原因,文献仅从肱骨髁上抗拉(压)强度比骨干低,肱骨髁上部位尺侧应力较集中来解释[1,2]。但是,同样情况,为什么成人肱骨骨折部位却很少发生在肱骨髁上,而一般位于肱骨中上部呢?
我们根据儿童到成人骨形态生长、发育过程中的变化,从生物力学角度进行了分析、论证,提出儿童俯卧跌仆上肢撑地易产生肱骨髁上骨折的原因,并非单纯骨强度问题,更重要的是与肱骨下端前倾角有关。这不仅在理论上澄清了既往的一些模糊概念和不准确结论,对肱骨髁上骨折、肱骨中上段骨折的临床诊断、治疗提供了生物力学角度上的有益思考,而且可能对未来有关诊疗器械设计的力学构思产生影响。
, 百拇医药
2 儿童与成人肱骨下端骨形态的区别
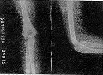
儿童到成人的整个骨发育过程中,无论从外观形态还是X线影像上观察,肱骨下端的变化都是很明显的。从肱骨下端各二次骨化中心依次出现到骨骺行将闭合、骨形态成熟接近成人,一般要到14~17岁才能完成。在儿童期,无论X线影像还是骨标本实际测量(笔者曾进行过骨标本实际测量),其骺软骨以上的骨干部基本没有前倾角,少量的下端外形前倾角是骺软骨二次骨化中心偏前形成的干骺角所致。前倾角是骨发育过程中逐步形成和完善的。以7岁儿童为例,我们实测干骺角为6°~8°,而成人则在30°~50°[3](见图1)。4、9岁及成人肱骨下端X线片前倾角变化(见图2~4)。
(a)Child humerus diagram (b)Adult humerus diagram
, 百拇医药 图1 肱骨示意图
Fig 1 Humerus diagram
图3 9岁儿童肱骨下端X线片
Fig 3 X-ray film of a 9-year-old child's humerus
图2 4岁儿童肱骨下端X线片
Fig 2 X-ray film of a 4-year-old child's humerus
, 百拇医药
图4 成人肱骨下端X线片
Fig 4 X-ray film of an adult's humerus
3 前腑跌扑,上肢撑地力学模型简图
肱骨为AB,前臂为BC。肱骨与前臂可看作铰接,A点由于前俯卧跌扑,上肢撑地以护躯干颜面;为维持支撑状态,肱骨上段连于躯干的胸大肌、背阔肌等诸肌收缩,以对抗地面的冲击力作用,其瞬间可近似地看成固定端。当人体受到某种暴力向前跌扑时,地面对手撑的冲击力为F,为了能简便地分析问题,这里忽略了摩擦力的影响。设α≤20°(伸直型),(见图5)。
图5 前俯跌扑上肢撑地力学模型图
Fig 5 Mechanics model diagram of falling to the ground with the upper limbs propping up one's body
, http://www.100md.com
4 前臂BC的受力分析
当人体受某种暴力向前跌扑时,为维持伸肘支撑,以肱三头肌为主的伸肘肌群收缩,支承上身重量,该力作用于尺骨鹰嘴D点,以FD表示(见图6),其方向可以近似认为平行于肱骨AB。前臂与肱骨关节接触,可视为铰接,作用力为RBX、RBY。设b为前臂长度,即CB距离;a为肘关节到尺骨鹰嘴的距离,即BD距离,且
=10。以前臂BC为研究对象:
∑MB=0
Fasin2α=FC b sinα
因此
, 百拇医药
由∑FY=0
得:RBY=FD+FC cosα=FC(5/cos2α+1)cosα
由∑FX=0
得:RBY=FC sinα
图6 前臂受力图
Fig 6 Forearm weighted diagram
5 肱骨AB的受力分析
, 百拇医药
当人体受暴力前俯跌扑上肢撑地,肱骨上部的力学分析较为复杂,但我们以取下部为研究对象,肱骨AB在B处受到来自前臂的反作用力R′B。由于小儿肱骨下端无明显前倾角,所以其肱骨直接受到R′Bx和R′By共同作用的组合力(见图7),且B′点(肱骨踝上)的压应力为:
由文献[1]可知,肱骨髁上抗压强度最低,是儿童此类骨折的好发部位,临床表现也是如此 。因此小儿肱骨髁上易发生骨折,不仅仅是该处骨质抗压强度低,而且因该处的骨形状的特点所致,使得该处的组合压应力较大。
图7 小儿肱骨受力图
, http://www.100md.com
Fig 7 Child humerus weighted diagram
成人由于前倾角γ的存在(见图1),使得肱骨踝上受到的力不同于儿童(见图8),取BB0段为研究对象,则B0(肱骨踝上)的受力为剪力QB0、轴力NB0、弯矩MB0,且
由∑FN=0
得NB0=RBycos(γ-θ)+RBxsin(γ-θ)
图8 成人肱骨受力图
, 百拇医药
Fig 8 Adult humerus weighted diagram
由于成人肱骨AB相对较长,成人因前倾角存在产生的θ角实际上是很小的。不妨假设,γ=45°,θ≈0,则NB0=0.7(RBy+RBx),而α值较小,所以sinα也相应较小,则RBx=Fcsinα也很小。故NB0仅为0.7RBy。再看MB0,受到RBy和RBx不同方向的力矩作用,可抵消部分弯矩。再看E点,由于前倾角γ位于端部,随着x值的增大,γ角对轴力的影响逐渐减小。有:
NE=RBycosθ+RBxsinθ
, http://www.100md.com
其中:当θ→0时,NE=RBy。而随着x值增大,由RBx引起的弯矩也增大,E点的压弯组合应力随之增大。而成人肱骨骨干中部模截面面积相对较小,所以成人在此种暴力作用下,往往骨折多发生在肱骨的中上部。
参考文献
1 刘贤炳,王胜利.肱骨髁上部位应力场分布的有限元分析.中国中医骨伤科,1993;1(3)∶9
2 张献祥,张文光,余希杰等.小儿肱骨髁上部力学性能的实验研究.中国中医骨伤科,1996;9(1)∶1
3 岑泽波,吴诚德主编.中医伤科学.上海:上海科学技术出版社,1994∶92
(收稿:1998-03-04 修:1998-10-05), 百拇医药
单位:郑 翔(扬州大学工学院,扬州 225009);陈 奇(扬州市中医院,扬州 225002)
关键词:生物力学;肱骨踝上骨折;前倾角
生物医学工程学杂志990311 摘要 根据儿童到成人骨发育过程中其肱骨下端前倾角的变化,从生物力学角度,在理论上分析了同样俯卧跌仆上肢撑地,儿童易产生肱骨髁上骨折,而成人则易发生肱骨中上部骨折的原因。
On the Biomechanical Reasons Why Children Are Liable to Have
Fracture in Supracondyle of Humerus
Zheng Xiang1 Chen Qi2
, 百拇医药
1 (Institute of Technology, Yangzhou University, Yangzhou 225009)
2 (Yangzhou Hosptial of Traditional Chinese Medicine, Yangzhou 225002)
Abstract With the viewpoint of biomechanics in theory, this paper analyses why children are liable to have fracture in supracondyle of humerus as a result of falling to the ground with the upper limbs propping up the body while adults usually have fracture in the middle or upper part of humerus under the same condition. The focus of discussion is the change of front-inclination in the lower end of humerus in the process of bone maturity from childhood to adulthood.
, 百拇医药
Key words Biomechanics Supracondyle fracture of humerus Front-inclination
1 前 言
在俯卧跌仆、上肢撑地为主要受伤姿态的一类肱骨骨折中,儿童多发生伸直型肱骨髁上骨折。对这一现象产生的原因,文献仅从肱骨髁上抗拉(压)强度比骨干低,肱骨髁上部位尺侧应力较集中来解释[1,2]。但是,同样情况,为什么成人肱骨骨折部位却很少发生在肱骨髁上,而一般位于肱骨中上部呢?
我们根据儿童到成人骨形态生长、发育过程中的变化,从生物力学角度进行了分析、论证,提出儿童俯卧跌仆上肢撑地易产生肱骨髁上骨折的原因,并非单纯骨强度问题,更重要的是与肱骨下端前倾角有关。这不仅在理论上澄清了既往的一些模糊概念和不准确结论,对肱骨髁上骨折、肱骨中上段骨折的临床诊断、治疗提供了生物力学角度上的有益思考,而且可能对未来有关诊疗器械设计的力学构思产生影响。
, 百拇医药
2 儿童与成人肱骨下端骨形态的区别
儿童到成人的整个骨发育过程中,无论从外观形态还是X线影像上观察,肱骨下端的变化都是很明显的。从肱骨下端各二次骨化中心依次出现到骨骺行将闭合、骨形态成熟接近成人,一般要到14~17岁才能完成。在儿童期,无论X线影像还是骨标本实际测量(笔者曾进行过骨标本实际测量),其骺软骨以上的骨干部基本没有前倾角,少量的下端外形前倾角是骺软骨二次骨化中心偏前形成的干骺角所致。前倾角是骨发育过程中逐步形成和完善的。以7岁儿童为例,我们实测干骺角为6°~8°,而成人则在30°~50°[3](见图1)。4、9岁及成人肱骨下端X线片前倾角变化(见图2~4)。
(a)Child humerus diagram (b)Adult humerus diagram
, 百拇医药 图1 肱骨示意图
Fig 1 Humerus diagram
图3 9岁儿童肱骨下端X线片
Fig 3 X-ray film of a 9-year-old child's humerus
图2 4岁儿童肱骨下端X线片
Fig 2 X-ray film of a 4-year-old child's humerus
, 百拇医药
图4 成人肱骨下端X线片
Fig 4 X-ray film of an adult's humerus
3 前腑跌扑,上肢撑地力学模型简图
肱骨为AB,前臂为BC。肱骨与前臂可看作铰接,A点由于前俯卧跌扑,上肢撑地以护躯干颜面;为维持支撑状态,肱骨上段连于躯干的胸大肌、背阔肌等诸肌收缩,以对抗地面的冲击力作用,其瞬间可近似地看成固定端。当人体受到某种暴力向前跌扑时,地面对手撑的冲击力为F,为了能简便地分析问题,这里忽略了摩擦力的影响。设α≤20°(伸直型),(见图5)。
图5 前俯跌扑上肢撑地力学模型图
Fig 5 Mechanics model diagram of falling to the ground with the upper limbs propping up one's body
, http://www.100md.com
4 前臂BC的受力分析
当人体受某种暴力向前跌扑时,为维持伸肘支撑,以肱三头肌为主的伸肘肌群收缩,支承上身重量,该力作用于尺骨鹰嘴D点,以FD表示(见图6),其方向可以近似认为平行于肱骨AB。前臂与肱骨关节接触,可视为铰接,作用力为RBX、RBY。设b为前臂长度,即CB距离;a为肘关节到尺骨鹰嘴的距离,即BD距离,且
∑MB=0
Fasin2α=FC b sinα
因此
, 百拇医药
由∑FY=0
得:RBY=FD+FC cosα=FC(5/cos2α+1)cosα
由∑FX=0
得:RBY=FC sinα
图6 前臂受力图
Fig 6 Forearm weighted diagram
5 肱骨AB的受力分析
, 百拇医药
当人体受暴力前俯跌扑上肢撑地,肱骨上部的力学分析较为复杂,但我们以取下部为研究对象,肱骨AB在B处受到来自前臂的反作用力R′B。由于小儿肱骨下端无明显前倾角,所以其肱骨直接受到R′Bx和R′By共同作用的组合力(见图7),且B′点(肱骨踝上)的压应力为:
由文献[1]可知,肱骨髁上抗压强度最低,是儿童此类骨折的好发部位,临床表现也是如此 。因此小儿肱骨髁上易发生骨折,不仅仅是该处骨质抗压强度低,而且因该处的骨形状的特点所致,使得该处的组合压应力较大。
图7 小儿肱骨受力图
, http://www.100md.com
Fig 7 Child humerus weighted diagram
成人由于前倾角γ的存在(见图1),使得肱骨踝上受到的力不同于儿童(见图8),取BB0段为研究对象,则B0(肱骨踝上)的受力为剪力QB0、轴力NB0、弯矩MB0,且
由∑FN=0
得NB0=RBycos(γ-θ)+RBxsin(γ-θ)
图8 成人肱骨受力图
, 百拇医药
Fig 8 Adult humerus weighted diagram
由于成人肱骨AB相对较长,成人因前倾角存在产生的θ角实际上是很小的。不妨假设,γ=45°,θ≈0,则NB0=0.7(RBy+RBx),而α值较小,所以sinα也相应较小,则RBx=Fcsinα也很小。故NB0仅为0.7RBy。再看MB0,受到RBy和RBx不同方向的力矩作用,可抵消部分弯矩。再看E点,由于前倾角γ位于端部,随着x值的增大,γ角对轴力的影响逐渐减小。有:
NE=RBycosθ+RBxsinθ
, http://www.100md.com
其中:当θ→0时,NE=RBy。而随着x值增大,由RBx引起的弯矩也增大,E点的压弯组合应力随之增大。而成人肱骨骨干中部模截面面积相对较小,所以成人在此种暴力作用下,往往骨折多发生在肱骨的中上部。
参考文献
1 刘贤炳,王胜利.肱骨髁上部位应力场分布的有限元分析.中国中医骨伤科,1993;1(3)∶9
2 张献祥,张文光,余希杰等.小儿肱骨髁上部力学性能的实验研究.中国中医骨伤科,1996;9(1)∶1
3 岑泽波,吴诚德主编.中医伤科学.上海:上海科学技术出版社,1994∶92
(收稿:1998-03-04 修:1998-10-05), 百拇医药