第232例——间断四肢抽搐伴意识丧失
作者:戚晓昆 冯大刚 王嘉玲 王湘庆 钱海蓉
单位:100037 北京,海军总医院神经内科
关键词:
中华内科杂志/980233 患者男,30岁,农民。因间断发作四肢抽搐伴意识丧失半年,于1996年10月23日入院。患者半年前无诱因出现四肢抽搐,头向右转,上肢屈曲,下肢伸直,意识丧失,发作持续约3分钟,以后又有类似发作3次。8月下旬家人发现患者言语不连贯,记忆力减退,反应迟钝。8月30日在外院做CT发现脑内多个圆形低密度阴影,无占位效应,无强化。近1周自觉右侧头部持续隐痛,并于乘车时非喷射性呕吐一次。既往史:14个月前因弯腰低头时憋气,自觉午后低热,检查发现左胸腔积液,穿刺为血性,诊断为“结核性胸膜炎”,予抗痨治疗后病情有好转,共治疗7个月。1年来体重下降约20公斤。入院查体:体温36℃,脉搏80次/分,呼吸20次/分,血压17.5/9.5 kPa(1 kPa=7.5 mmHg),身高1.75米,体重60公斤。左侧胸廓略塌陷,左上肢外展略受限。神经系统:神清,言语欠清,仅可说单词或单字。智能减退,近记忆力减退,如“有几个孩子”回答错误,计算力差,如“2+3=2”;不能分辨左右及手指。颅神经:视力正常,眼底视乳头边界清,无水肿,双眼轻度右侧凝视麻痹。双咽反射减弱,吞咽略困难,进水有时呛咳,伸舌不全。四肢肌力、肌张力正常,两侧深浅感觉对称存在,双侧腹壁反射减弱,腱反射左侧(+++),右侧(++),左侧Babinski征(+)。颈无抵抗,Kernig征(-)。化验:血尿粪常规,血沉,肝、肾功能,电解质均正常。纯蛋白衍生物(PPD)、血及脑脊液囊虫补体结合试验均(-)。腹部B超无异常。胸片示“左下肺感染,不除外合并左下肺不张及左胸腔积液”。胸部CT平扫示“左胸廓塌陷,左胸腔积液,气管分叉下降主动脉前可见1.3 cm的结节影”。两次腰穿脑脊液压力300→260 mmH2O,RBC 20/mm3,WBC4→0/mm3,蛋白187→146 mg/L,糖4.5→3.7 mmol/L,氯化物117.7→130.4 mmol/L,病理细胞学未见细胞成分。头CT平扫“双侧大脑半球内可见约10个大小不一的囊性病变,多靠近脑表面,最大者位于左额颞部,直径约4 cm,靠近脑表面,外囊壁不光滑,有壁结节,左脑室受压略变形,脑中线略右移,三、四脑室不大;增强后原低密度病变无强化,故脑内多发囊性病变考虑为脑寄生虫感染,脑囊虫可能性大”。患者入院后病情平稳,偶有头痛,无发热及抽搐。于1996年11月19日行立体定向活检术(左额叶吸出近20 ml粘液),术后患者自觉明显好转,记忆力及简单计算力有所恢复。12月5日行支气管镜下活检。12月16日头颅磁共振成像(MRI)平扫见双侧大、小脑半球、底节及脑干满布大小不等的长T1、T2信号,病灶呈囊性、实性及囊实性混合状态,病灶周围水肿不显,左额叶内一较大病变内可见短T1、长T2信号(定向后出血),左侧脑室轻度受压,中线略右移。患者当日出院。
, http://www.100md.com
临床讨论
陈彤医师(301医院神经内科) 病例特点:青年男性,亚急性起病,缓慢进展;临床上反复癫痫发作6个月,智能及记忆力减退2个月,右侧头部持续性隐痛1周。既往有胸闷、血性胸腔积液史。定位:反复发作性四肢抽搐伴意识丧失,考虑为癫痫大发作,合并智能及记忆力减退,提示大脑皮层弥漫性损害。左右失定向,手指失认、失算,定位于左侧角回、缘上回。双眼轻度右侧凝视麻痹,两侧咽反射减弱、饮水呛咳、伸舌不全,定位于脑干病变、不除外真性球麻痹。两侧腹壁反射减弱,腱反射左侧高于右侧,左侧Babinski征阳性,提示以右侧为主的双侧锥体束损害。上述颅内病变均由头部CT、MRI证实。定性诊断:根据病变多发、弥散、囊实性混合存在的特点,考虑:(1)转移瘤:根据病人既往有血性胸腔积液,患病以来体重明显下降,胸部CT可见降主动脉前结节影,不除外肺部恶性肿瘤脑转移的可能。不支持点:影像学病变多,无增强,灶周水肿不明显;(2)需注意除外结核,不支持点:①PPD(-);②脑脊液白细胞不高;③结核囊性病变可能性小;(3)脑囊虫不除外。既往影像学见多发性、囊实性混合病变。不支持点:①补体结合实验阴性;②腰穿脑脊液蛋白不高;血嗜酸细胞正常;③无法解释肺部病变。
, 百拇医药
黄觉斌医师(协和医院神经内科) 定位诊断:根据神经科症状、体征并结合头颅CT、MRI,病变累及双侧大脑半球、小脑半球、底节及脑干。定性诊断:(1)颅内转移瘤,特点为多发,好发于皮质交界的地方,因供血不足可有坏死,占位效应可不明显。本例如果为颅内转移瘤,则原发灶首先考虑为胸部恶性肿瘤,以肺癌可能性大,也不除外有胸膜恶性间皮瘤转移的可能。此外还要考虑到另一种少见的可能,即颅内和胸部病灶均为第三部位的原发恶性肿瘤转移的可能。不太支持的地方是本例颅内病灶多发而无明确水肿和增强效应,不太多见。(2)颅内原发肿瘤:如多发性胶质瘤和弥漫性淋巴瘤的可能,二者早期可无症状,瘤组织可有坏死、出血、囊性变,可无增强效应;不支持点是胸部症状无法解释。(3)还需与结核性脑炎、颅内霉菌、寄生虫或其他感染相鉴别。
沈为忠 韩莹莹医师(北京军区总医院神经内科) 根据患者的临床表现及影像学特点,首先考虑脑囊虫病与结核病并存。患者为河北农民,起病以癫痫症状为首发,颅压增高,CT见脑内多个圆形低密度影,病灶无强化,应首先考虑脑囊虫病可能。有午后低热,血性胸水,曾诊断结核性胸膜炎,胸片及胸部CT示左下肺感染阴影及气管分叉下降主动脉前有结节影,经抗痨治疗病情曾好转,均支持结核性胸膜炎。但脑胶质瘤、胸水及肺内结节影难以用此病来解释。
, http://www.100md.com
病理报告及讨论
王嘉玲医师(海军总医院病理科) 左额顶立体定向穿刺送检灰红色不整形透明粘液样物,约0.4 cm×0.4 cm×0.2 cm大小。镜下:大部分瘤细胞排列呈不规则的上皮团块,其内可见圆形、卵圆形囊样腔隙,呈筛孔状,腔隙内含粘液样物质。部分瘤细胞呈实性条索或腺管状排列。瘤细胞小,形态较一致,有轻度异型性;核圆形、卵圆形、深染、分裂像可见(图1)。
脑活检HE
400个大小不等长
信号
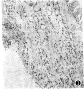
左下肺支气管镜活检送灰红色不整形组织约0.1 cm3大小。镜下:支气管粘膜内见癌细胞呈筛孔状或小腺管状排列,细胞大小较一致,核圆形、卵圆形、深染,有轻度异型性(图2)。
, 百拇医药
左下肺支气管镜活检HE
400
病理诊断:(1)转移性腺样囊性癌(左颞顶);(2)腺样囊性癌(左下肺支气管)。
冯大刚医师(海军总医院神经内科) 腺样囊性癌(adenoid cystic carcinoma, ACC)又名圆柱癌(cylindroma),是一种好发于涎腺而少见于上呼吸道的恶性肿瘤。其病理特点:大体表现呈圆形或结节状,质较硬而脆,包膜完整或无包膜。剖面上灰白或微黄,有时可见微小囊腔。镜下瘤细胞小,似基底细胞,椭圆或立方形,胞浆少而淡染。核深染,大小较一致,核分裂现象少见。瘤细胞排列成片或小管状,可表现大小不等囊样或腺样腔隙,呈筛孔状,周边有立方状或扁平状细胞围绕,内含嗜伊红颗粒状分泌物。电镜表明是假囊,为细胞外结构,其衬里是高度折叠的基底膜,囊样间隙与间质结缔组织直接连续,使细胞巢相互分离,形成许多小片块或条索。Perzin等将ACC分为实质型、筛孔型和腺管型,并指出实质型预后最差,腺管状型较好。但亦有认为本病预后和病理分型关系不大。
, http://www.100md.com
ACC临床表现为局部肿块及疼痛,局部侵袭性强,边界难定,远隔转移多见于肺、骨、肝、脑。颅内转移率为4%~22%,以局部直接浸润及沿神经扩展为主要途径,视交叉及半月神经节部位多见,血源性颅内转移较为少见。ACC易复发,占72%~84%,平均复发间期为3~3.3年,远隔转移多见,为42%~72%,多见于肺36%~55%;骨、肝、脑转移者预后差。ACC发展缓慢,生存期较长,即使复发,甚至肺转移,仍可带瘤生存多年。手术彻底切除是根治的惟一办法,但ACC边界不清,彻底切除较为困难,而且有报告不完全切除可增加远隔转移的机率,约为2倍,放疗目前认为是有益的。
戚晓昆医师(海军总院神经内科) 本例是少见的支气管腺性囊样癌合并血源性脑转移,其临床及影像学有以下特点:(1)患者为青年男性,亚急性起病,病情进展缓慢,病程近半年;既往史中有血性胸水史;(2)神经症状首发为癫痫,以后为智能及记忆力的减退;(3)入院前1周有轻度头痛症状,有一定恶液质表现,体重下降20公斤;(4)头颅CT、MRI所示病灶之多,大小不等,灶周无水肿,亦无强化(图3);
, http://www.100md.com
头MRI
相双侧大、小脑半球及底节多
左侧顶骨可见轻度骨质破坏。尽管呈囊性改变,但病灶均较大,亦无明显的头节,不像一般的脑囊虫病的影像,为此考虑病变为脑寄生虫病,脑囊虫病可能性大。按寄生虫检查无收获,只得进行脑活检。病理科报告为腺样囊性癌,查涎腺未见病变,故考虑为肺部的腺样囊性癌,取肺部组织才确诊。
回顾整个病历,我以为有以下几个特点值得学习:(1)患者脑内病灶如此之多,而临床症状相对较轻,一方面表明病变的恶性程度较低,另一方面说明病灶不是原发于脑组织,由于此种转移瘤的生长有囊壁,所以肿瘤本身对脑组织只有一个挤压占位所引起的症状,而不是瘤细胞对周围组织的破坏所产生的症状。(2)腺样囊性癌好发于涎腺,以局部直接浸润或沿神经扩散为多见,而本例起源于上呼吸道,又是经血行转移,从影像看肿瘤细胞通过颈动脉及椎动脉两个系统累及幕上及幕下脑组织,病变主要位于皮质及灰白质交界区,另外,有一局部的颅骨病损可能示瘤细胞来源于颈外动脉。肺癌脑转移居颅内转移癌的首位,国外报道为18%~57%,国内为16%~65%。脑转移癌多分布于大脑中动脉供血区的额颞顶区,病灶位于皮层及灰白质交界处,病灶周围水肿明显。(3)几乎所有的医院都提到,有如此之多病灶,而灶周无水肿,亦无强化,这对于转移灶来讲实在难以理解。我们分析这也正是该肿瘤的特点之所在,说明其恶性程度低,瘤细胞血运不丰富,且有大量粘稠胶冻样的分泌物,CT上表现为低信号,MRI上表现为长T1、T2信号,而不会有增强效应。因此,以后我们在临床工作中如若遇到类似的情况时,不要一概考虑寄生虫感染,要想到是否有腺样囊性癌的可能。(4)治疗上假如是单发或少数几个病灶,可以考虑立体定向吸取囊液,一般吸取囊液后临床症状可以得到改善。然后可以向囊腔内注射放射性物质杀死肿瘤细胞,但向本例这样有如此之多的转移灶,治疗起来就困难多了。可以采取对大囊抽液,对小灶进行全脑放射相结合的方法。(5)颅内囊性肿瘤分为两大类:一种是肿瘤中有囊性变,一般为单个多见;另一种是含有壁肿瘤的囊肿,可以多发。本例即属于后者。
总之,通过文献检索,仅发现个别报道ACC(分别由肺、乳腺、腮腺)血行颅脑转移,而且仅为单发转移灶,灶周有水肿及占位效应,这与本例不同,故此,本例有一定特殊性,值得讨论。
(收稿:1997-10-15), http://www.100md.com
单位:100037 北京,海军总医院神经内科
关键词:
中华内科杂志/980233 患者男,30岁,农民。因间断发作四肢抽搐伴意识丧失半年,于1996年10月23日入院。患者半年前无诱因出现四肢抽搐,头向右转,上肢屈曲,下肢伸直,意识丧失,发作持续约3分钟,以后又有类似发作3次。8月下旬家人发现患者言语不连贯,记忆力减退,反应迟钝。8月30日在外院做CT发现脑内多个圆形低密度阴影,无占位效应,无强化。近1周自觉右侧头部持续隐痛,并于乘车时非喷射性呕吐一次。既往史:14个月前因弯腰低头时憋气,自觉午后低热,检查发现左胸腔积液,穿刺为血性,诊断为“结核性胸膜炎”,予抗痨治疗后病情有好转,共治疗7个月。1年来体重下降约20公斤。入院查体:体温36℃,脉搏80次/分,呼吸20次/分,血压17.5/9.5 kPa(1 kPa=7.5 mmHg),身高1.75米,体重60公斤。左侧胸廓略塌陷,左上肢外展略受限。神经系统:神清,言语欠清,仅可说单词或单字。智能减退,近记忆力减退,如“有几个孩子”回答错误,计算力差,如“2+3=2”;不能分辨左右及手指。颅神经:视力正常,眼底视乳头边界清,无水肿,双眼轻度右侧凝视麻痹。双咽反射减弱,吞咽略困难,进水有时呛咳,伸舌不全。四肢肌力、肌张力正常,两侧深浅感觉对称存在,双侧腹壁反射减弱,腱反射左侧(+++),右侧(++),左侧Babinski征(+)。颈无抵抗,Kernig征(-)。化验:血尿粪常规,血沉,肝、肾功能,电解质均正常。纯蛋白衍生物(PPD)、血及脑脊液囊虫补体结合试验均(-)。腹部B超无异常。胸片示“左下肺感染,不除外合并左下肺不张及左胸腔积液”。胸部CT平扫示“左胸廓塌陷,左胸腔积液,气管分叉下降主动脉前可见1.3 cm的结节影”。两次腰穿脑脊液压力300→260 mmH2O,RBC 20/mm3,WBC4→0/mm3,蛋白187→146 mg/L,糖4.5→3.7 mmol/L,氯化物117.7→130.4 mmol/L,病理细胞学未见细胞成分。头CT平扫“双侧大脑半球内可见约10个大小不一的囊性病变,多靠近脑表面,最大者位于左额颞部,直径约4 cm,靠近脑表面,外囊壁不光滑,有壁结节,左脑室受压略变形,脑中线略右移,三、四脑室不大;增强后原低密度病变无强化,故脑内多发囊性病变考虑为脑寄生虫感染,脑囊虫可能性大”。患者入院后病情平稳,偶有头痛,无发热及抽搐。于1996年11月19日行立体定向活检术(左额叶吸出近20 ml粘液),术后患者自觉明显好转,记忆力及简单计算力有所恢复。12月5日行支气管镜下活检。12月16日头颅磁共振成像(MRI)平扫见双侧大、小脑半球、底节及脑干满布大小不等的长T1、T2信号,病灶呈囊性、实性及囊实性混合状态,病灶周围水肿不显,左额叶内一较大病变内可见短T1、长T2信号(定向后出血),左侧脑室轻度受压,中线略右移。患者当日出院。
, http://www.100md.com
临床讨论
陈彤医师(301医院神经内科) 病例特点:青年男性,亚急性起病,缓慢进展;临床上反复癫痫发作6个月,智能及记忆力减退2个月,右侧头部持续性隐痛1周。既往有胸闷、血性胸腔积液史。定位:反复发作性四肢抽搐伴意识丧失,考虑为癫痫大发作,合并智能及记忆力减退,提示大脑皮层弥漫性损害。左右失定向,手指失认、失算,定位于左侧角回、缘上回。双眼轻度右侧凝视麻痹,两侧咽反射减弱、饮水呛咳、伸舌不全,定位于脑干病变、不除外真性球麻痹。两侧腹壁反射减弱,腱反射左侧高于右侧,左侧Babinski征阳性,提示以右侧为主的双侧锥体束损害。上述颅内病变均由头部CT、MRI证实。定性诊断:根据病变多发、弥散、囊实性混合存在的特点,考虑:(1)转移瘤:根据病人既往有血性胸腔积液,患病以来体重明显下降,胸部CT可见降主动脉前结节影,不除外肺部恶性肿瘤脑转移的可能。不支持点:影像学病变多,无增强,灶周水肿不明显;(2)需注意除外结核,不支持点:①PPD(-);②脑脊液白细胞不高;③结核囊性病变可能性小;(3)脑囊虫不除外。既往影像学见多发性、囊实性混合病变。不支持点:①补体结合实验阴性;②腰穿脑脊液蛋白不高;血嗜酸细胞正常;③无法解释肺部病变。
, 百拇医药
黄觉斌医师(协和医院神经内科) 定位诊断:根据神经科症状、体征并结合头颅CT、MRI,病变累及双侧大脑半球、小脑半球、底节及脑干。定性诊断:(1)颅内转移瘤,特点为多发,好发于皮质交界的地方,因供血不足可有坏死,占位效应可不明显。本例如果为颅内转移瘤,则原发灶首先考虑为胸部恶性肿瘤,以肺癌可能性大,也不除外有胸膜恶性间皮瘤转移的可能。此外还要考虑到另一种少见的可能,即颅内和胸部病灶均为第三部位的原发恶性肿瘤转移的可能。不太支持的地方是本例颅内病灶多发而无明确水肿和增强效应,不太多见。(2)颅内原发肿瘤:如多发性胶质瘤和弥漫性淋巴瘤的可能,二者早期可无症状,瘤组织可有坏死、出血、囊性变,可无增强效应;不支持点是胸部症状无法解释。(3)还需与结核性脑炎、颅内霉菌、寄生虫或其他感染相鉴别。
沈为忠 韩莹莹医师(北京军区总医院神经内科) 根据患者的临床表现及影像学特点,首先考虑脑囊虫病与结核病并存。患者为河北农民,起病以癫痫症状为首发,颅压增高,CT见脑内多个圆形低密度影,病灶无强化,应首先考虑脑囊虫病可能。有午后低热,血性胸水,曾诊断结核性胸膜炎,胸片及胸部CT示左下肺感染阴影及气管分叉下降主动脉前有结节影,经抗痨治疗病情曾好转,均支持结核性胸膜炎。但脑胶质瘤、胸水及肺内结节影难以用此病来解释。
, http://www.100md.com
病理报告及讨论
王嘉玲医师(海军总医院病理科) 左额顶立体定向穿刺送检灰红色不整形透明粘液样物,约0.4 cm×0.4 cm×0.2 cm大小。镜下:大部分瘤细胞排列呈不规则的上皮团块,其内可见圆形、卵圆形囊样腔隙,呈筛孔状,腔隙内含粘液样物质。部分瘤细胞呈实性条索或腺管状排列。瘤细胞小,形态较一致,有轻度异型性;核圆形、卵圆形、深染、分裂像可见(图1)。
脑活检HE
左下肺支气管镜活检送灰红色不整形组织约0.1 cm3大小。镜下:支气管粘膜内见癌细胞呈筛孔状或小腺管状排列,细胞大小较一致,核圆形、卵圆形、深染,有轻度异型性(图2)。
, 百拇医药
左下肺支气管镜活检HE
病理诊断:(1)转移性腺样囊性癌(左颞顶);(2)腺样囊性癌(左下肺支气管)。
冯大刚医师(海军总医院神经内科) 腺样囊性癌(adenoid cystic carcinoma, ACC)又名圆柱癌(cylindroma),是一种好发于涎腺而少见于上呼吸道的恶性肿瘤。其病理特点:大体表现呈圆形或结节状,质较硬而脆,包膜完整或无包膜。剖面上灰白或微黄,有时可见微小囊腔。镜下瘤细胞小,似基底细胞,椭圆或立方形,胞浆少而淡染。核深染,大小较一致,核分裂现象少见。瘤细胞排列成片或小管状,可表现大小不等囊样或腺样腔隙,呈筛孔状,周边有立方状或扁平状细胞围绕,内含嗜伊红颗粒状分泌物。电镜表明是假囊,为细胞外结构,其衬里是高度折叠的基底膜,囊样间隙与间质结缔组织直接连续,使细胞巢相互分离,形成许多小片块或条索。Perzin等将ACC分为实质型、筛孔型和腺管型,并指出实质型预后最差,腺管状型较好。但亦有认为本病预后和病理分型关系不大。
, http://www.100md.com
ACC临床表现为局部肿块及疼痛,局部侵袭性强,边界难定,远隔转移多见于肺、骨、肝、脑。颅内转移率为4%~22%,以局部直接浸润及沿神经扩展为主要途径,视交叉及半月神经节部位多见,血源性颅内转移较为少见。ACC易复发,占72%~84%,平均复发间期为3~3.3年,远隔转移多见,为42%~72%,多见于肺36%~55%;骨、肝、脑转移者预后差。ACC发展缓慢,生存期较长,即使复发,甚至肺转移,仍可带瘤生存多年。手术彻底切除是根治的惟一办法,但ACC边界不清,彻底切除较为困难,而且有报告不完全切除可增加远隔转移的机率,约为2倍,放疗目前认为是有益的。
戚晓昆医师(海军总院神经内科) 本例是少见的支气管腺性囊样癌合并血源性脑转移,其临床及影像学有以下特点:(1)患者为青年男性,亚急性起病,病情进展缓慢,病程近半年;既往史中有血性胸水史;(2)神经症状首发为癫痫,以后为智能及记忆力的减退;(3)入院前1周有轻度头痛症状,有一定恶液质表现,体重下降20公斤;(4)头颅CT、MRI所示病灶之多,大小不等,灶周无水肿,亦无强化(图3);
, http://www.100md.com
头MRI
左侧顶骨可见轻度骨质破坏。尽管呈囊性改变,但病灶均较大,亦无明显的头节,不像一般的脑囊虫病的影像,为此考虑病变为脑寄生虫病,脑囊虫病可能性大。按寄生虫检查无收获,只得进行脑活检。病理科报告为腺样囊性癌,查涎腺未见病变,故考虑为肺部的腺样囊性癌,取肺部组织才确诊。
回顾整个病历,我以为有以下几个特点值得学习:(1)患者脑内病灶如此之多,而临床症状相对较轻,一方面表明病变的恶性程度较低,另一方面说明病灶不是原发于脑组织,由于此种转移瘤的生长有囊壁,所以肿瘤本身对脑组织只有一个挤压占位所引起的症状,而不是瘤细胞对周围组织的破坏所产生的症状。(2)腺样囊性癌好发于涎腺,以局部直接浸润或沿神经扩散为多见,而本例起源于上呼吸道,又是经血行转移,从影像看肿瘤细胞通过颈动脉及椎动脉两个系统累及幕上及幕下脑组织,病变主要位于皮质及灰白质交界区,另外,有一局部的颅骨病损可能示瘤细胞来源于颈外动脉。肺癌脑转移居颅内转移癌的首位,国外报道为18%~57%,国内为16%~65%。脑转移癌多分布于大脑中动脉供血区的额颞顶区,病灶位于皮层及灰白质交界处,病灶周围水肿明显。(3)几乎所有的医院都提到,有如此之多病灶,而灶周无水肿,亦无强化,这对于转移灶来讲实在难以理解。我们分析这也正是该肿瘤的特点之所在,说明其恶性程度低,瘤细胞血运不丰富,且有大量粘稠胶冻样的分泌物,CT上表现为低信号,MRI上表现为长T1、T2信号,而不会有增强效应。因此,以后我们在临床工作中如若遇到类似的情况时,不要一概考虑寄生虫感染,要想到是否有腺样囊性癌的可能。(4)治疗上假如是单发或少数几个病灶,可以考虑立体定向吸取囊液,一般吸取囊液后临床症状可以得到改善。然后可以向囊腔内注射放射性物质杀死肿瘤细胞,但向本例这样有如此之多的转移灶,治疗起来就困难多了。可以采取对大囊抽液,对小灶进行全脑放射相结合的方法。(5)颅内囊性肿瘤分为两大类:一种是肿瘤中有囊性变,一般为单个多见;另一种是含有壁肿瘤的囊肿,可以多发。本例即属于后者。
总之,通过文献检索,仅发现个别报道ACC(分别由肺、乳腺、腮腺)血行颅脑转移,而且仅为单发转移灶,灶周有水肿及占位效应,这与本例不同,故此,本例有一定特殊性,值得讨论。
(收稿:1997-10-15), http://www.100md.com