慢性支气管炎大鼠肿瘤坏死因子α、巨噬细胞炎症蛋白-2及髓过氧化物酶的研究
作者:马楠 崔德健 黎君友 陆连荣
单位:100037北京,解放军第304医院呼吸科
关键词:支气管炎;肿瘤坏死因子;过氧化物酶;巨噬细胞炎症蛋白-2
中华内科杂志990806 【摘 要】 目的 探索慢性支气管炎气道炎症的特点。方法 雄性SD大鼠气管内注入浓度为1g/L的脂多糖200μl制成大鼠慢性支气管炎模型,随机分为健康对照组、模型组、生理盐水组及氟美松组,每组7只。应用ELISA法测定血浆、支气管肺泡灌洗液(BALF)及肺组织中肿瘤坏死因子(TNF)α、巨噬细胞炎症蛋白-2(MIP-2)含量,生化法检测血和肺组织中髓过氧化物酶(MPO)水平,并进行BALF中细胞计数和分类。结果 模型组、生理盐水组及氟美松组BALF和肺组织中TNFα和MIP-2的含量显著高于健康对照组(P<0.05);肺组织中MPO的含量,模型组[(15.002+1.857)U/g]和生理盐水组[(11.888+0.926)U/g]显著高于健康对照组[(7.812+1.043)U/g](P<0.05),而氟美松组[(6.141+0.364)U/g]则显著低于模型组(P<0.05);模型组肺组织中MPO与TNFα和MIP-2含量之间呈正相关(r=0.788,r=0.963;P<0.05,P<0.001)。结论 气道内中性粒细胞聚集是慢性支气管炎的重要特点,TNFα和MIP-2参与了中性粒细胞的激活和趋化过程,中性粒细胞产生大量的MPO可造成气道损伤。
, 百拇医药
A study on tumor necrosis factor α, macrophage inflammatory protein-2 and
myeloperoxidase in blood, broncho-alveolar fluid and lung tissues
of rat chronic bronchitis model
MA Nan, CUI Dejian, LI Jun-you, et al.
Division of Respiratory Medicine, The 304th Hospital of Chinese PLA, Beijing 100037
【Abstract】 Objective To study the nature and mechanisms of airway inflammation in chronic bronchitis and observe the effects of inhaled glucocorticoids on inflammatory indices. Methods Rat chronic bronchitis model was established by intratracheal instillation of small dose of lipopolysaccharide (LPS, 1 g/L). Experiments were performed in 28 male Sprague-Dawley rats, which comprised four groups in random, i.e. chronic bronchitis model group, normal saline treated group, dexamethasone treated group and healthy control group. The levels of myeloperoxidase (MPO) of blood and lung tissues, and tumor necrosis factor(TNF)α and macrophage inflammatory protein-2 (MIP-2) of plasma, broncho-alveolar fluid(BALF) and lung tissues were determined by biochemical and ELISA methods. Total and differential white blood cell counts of BALFwere carried out. Results (1) The levels of TNFα and MIP-2 in BALF and lung tissues, and MPO in lung tissues of chronic bronchitis model group were significantly increased than those of control group (P<0.05). (2)More significant increase in total white blood cell count and neutrophils in BALF was found in rat chronic bronchitis group than in control group (P<0.001). (3) Significant positive correlations were observed between the level of MPO and MIP-2 of lung tissues, the level of MPO and TNFα of lung tissue and the total cell counts and the level of MIP-2 of BALF and lung tissue. (4) More significant decrease in total cell counts and neutrophils of BALF and levels of MPO in lung tissue was found in dexamethasone-treated group as compared to those of chronic bronchitis group. Conclusion Recruitment and activation of neutrophils seem to be the characteristics of chronic bronchitis. TNFα and MIP-2 may be involved in the process of chemotaxis and activation in airway inflammation in chronic bronchitis. Inhaled steroids might have some effects on chronic bronchitis by limiting the airway inflammation.
, 百拇医药
【Key words】 Bronchitis Tumor necrosis factor Peroxidase Macrophage inflammatory protein-2
慢性支气管炎时,气道炎症与黏液分泌增多、反复感染等临床表现密切相关。适度的炎症是机体重要的防御反应,但过度的炎症反应可造成组织损伤[1,2]。慢性支气管炎时,支气管肺泡灌洗液(BALF)中显著增高的中性粒细胞在吞噬病原菌的同时,也释放多种酶类和细胞因子等,引起支气管上皮剥脱、纤毛功能受抑、黏液潴留和细菌繁殖。因此,研究慢性支气管炎气道炎症的特点及发生机制,将有助于深化对本病的认识及探索新的治疗途径。为此,我们测定了大鼠慢性支气管炎模型血浆、BALF和肺组织中肿瘤坏死因子(TNF)α、巨噬细胞炎症蛋白-2(MIP-2)及髓过氧化物酶(MPO)水平,并观察糖皮质激素对上述指标的影响。
材料与方法
, 百拇医药
一、动物模型制作与分组
雄性SD大鼠(军事医学科学院实验动物中心)28只,体重190~250g,鼠龄12周。随机分为:(1)模型组:7只,腹腔注射1%戊巴比妥纳50mg/kg麻醉,静脉套管针套管快速插入气管,注入浓度为1g/L的脂多糖(LPS,Sigma公司)200μl,饲养3周[3]。(2)健康对照组:7只,不做任何干预,为空白对照,饲养3周。(3)生理盐水组:7只,按模型组方法制备动物模型,从第22天起每天上午9∶00给予超声雾化吸入生理盐水,每天20分钟,共7天。(4)氟美松组:7只,按模型组方法制备动物模型,自第22天起每天下午14∶00给予超声雾化吸入氟美松0.2g/L,每天20分钟,共7天。
二、方法
1.BALF细胞计数及分类:模型组和健康对照组大鼠于第22天、生理盐水组和氟美松组大鼠于第28天腹腔注射1%戊巴比妥纳50mg/kg麻醉,剪开颈部皮肤,在环甲软骨处剪一“V”形小口,将静脉套管针套管插入左主支气管;用10mlHank液分2次灌洗,总回收率为50%~80%。BALF离心后上清液-70℃保存,作TNFα和MIP-2测定用。细胞用Hank洗涤后加液至1ml,作白细胞计数,余液甩片,瑞特染色,行细胞分类计数。
, 百拇医药
2.血浆、BALF及肺组织匀浆液中TNFα和MIP-2的测定:(1)标本采取和处理:各组动物左肺灌洗后,剖腹取下腔静脉血1ml,加入含0.1ml肝素溶液(250U/ml)的试管中,取100μl加0.5%十六烷基三甲基溴化胺(HTAB,北京化学试剂公司)1ml,-70℃保存用于测定MPO。其余抗凝血用低速离心机离心,2000r/min,15分钟,取血浆-70℃保存,用于TNFα及MIP-2测定。打开胸腔取右下和心叶肺组织各100mg,分别加PBS1ml(pH7.4),冰浴下电动匀浆机匀浆30秒,超速离心机离心15分钟,4℃,10000g/min,取上清液-70℃保存,用于TNFα和MIP-2测定。取右上叶肺组织约200mg,加20mmol磷酸钾缓冲液(pH7.4)2ml,匀浆及超速离心后弃上清,加等体积HTAB2ml,-70℃保存,用于MPO测定。(2)测定方法:血浆及BALF用超速离心机离心15分钟,4℃,10000g/min,取两者上清液及肺组织匀浆液用ELISA法测定TNFα(Endogen公司试剂盒)及MIP-2(Biosurce公司试剂盒)含量。用考马斯亮兰蛋白测定法测肺组织匀浆液蛋白浓度,以校正肺组织TNFα及MIP-2测定值。
, 百拇医药
3.全血和肺组织中MPO测定:采用解放军第304医院中心研究室改进的生化法检测。将样品融化后超声破碎,60℃水浴孵化2小时,4℃,35000g/min离心10分钟,取上清0.1ml,加50mmol/L磷酸钾缓冲液(pH6.0)2.9ml(含0.167%邻联大茴香胺及0.0005%H2O2),于460nm处测30s和90s的吸光度(A)值。MPO(U/g)=ΔA×13.5。
四、统计学方法
采用SAS统计软件包进行统计学分析,包括方差分析SNK检验、直线相关与回归分析。
结果
一、各组动物血浆、BALF及肺组织中TNFα的含量
各组动物血浆中TNFα的含量差异无显著性(P>0.05);模型组、生理盐水组及氟美松组BALF及肺组织中TNFα的含量显著高于健康对照组(P<0.05),三组间差异无显著性(P>0.05)。见表1。
, http://www.100md.com
表1 各组动物血浆、支气管肺泡灌洗液和肺组织中肿瘤坏死因子α的含量 组 别
鼠数
(只)
肿瘤坏死因子α(
±s)
血浆
(ng/L)
支气管肺泡
灌洗液(ng/L)
肺组织
(pg/mg蛋白)
健康对照组
, 百拇医药
7
0
14.05± 4.28
175.49±13.71
模型组
7
1.28±0.19
35.61± 6.53*
271.43±22.48*
生理盐水组
7
0
, 百拇医药
35.62± 7.16*
235.10±28.17*
氟美松组
7
4.03±2.73
68.03±21.20*
217.15±22.43*
注:与健康对照组比较,*P<0.05 二、各组动物血浆、BALF及肺组织中MIP-2的含量
各组动物血浆中MIP-2的含量差异无显著性;模型组及生理盐水组BALF中MIP-2的含量显著高于健康对照组,氟美松组则与健康对照组差异无显著性,但显著低于模型组;模型组、生理盐水组及氟美松组肺组织中MIP-2的含量均显著高于健康对照组,三组之间差异无显著性。见表2。
, http://www.100md.com
表2 各组动物血浆、支气管肺泡灌洗液及肺组织匀浆液中巨噬细胞炎症蛋白-2的含量 组 别
鼠数
(只)
巨噬细胞炎症蛋白-2(
±s)
血浆
(ng/L)
支气管肺泡
灌洗液(ng/L)
肺组织
(pg/mg蛋白)
, 百拇医药 健康对照组
7
3.95± 0.74
95.16± 6.11
192.48±10.84
模型组
7
1.80± 0.78
233.30±41.75*
238.65±22.99*
生理盐水组
7
, 百拇医药
1.54± 0.79
187.35±15.69*
239.83±16.44*
氟美松组
7
24.86±10.68
102.32±13.26△
300.37±38.93*
注:与健康对照组比较,*P<0.05;与模型组比较,△P<0.05 三、各组动物全血及肺组织中MPO的含量
, 百拇医药
各组动物全血中MPO的含量差异无显著性(P>0.05);模型组和生理盐水组肺组织中MPO的含量显著高于健康对照组(P<0.05),氟美松组则与健康对照组差异无显著性(P>0.05),但显著低于模型组及生理盐水组(P<0.05)。见表3。模型组肺组织中MPO与TNFα和MIP-2含量之间呈正相关(r=0.788,P<0.05;r=0.963,P<0.001)。
表3 各组动物全血和肺组织中MPO的含量(
±s) 组 别
鼠数
(只)
全血中MPO
(×103U/L)
, http://www.100md.com 肺组织中MPO
(U/g)
健康对照组
7
11.831±0.378
7.812±1.043
模型组
7
11.876±0.432
15.002±1.857*
生理盐水组
7
, 百拇医药
12.007±0.718
11.888±0.926*
氟美松组
7
13.004±1.054
6.141±0.364△
注:MPO:髓过氧化物酶 与健康对照组比较,*P<0.05;与模型组比较,△P<0.05 四、BALF中白细胞计数及分类
见表4。与健康对照组相比,模型组和生理盐水组BALF中白细胞总数及中性粒细胞数显著增高,肺泡巨噬细胞数相对下降(P<0.001);氟美松组BALF中白细胞总数及中性粒细胞数显著低于模型组及生理盐水组,肺泡巨噬细胞数基本正常(P<0.001)。BALF中白细胞计数与BALF及肺组织中MIP-2含量之间呈正相关(r=0.916,P<0.05;r=0.969,P<0.05)。
, http://www.100md.com
表4 各组支气管肺泡灌洗液中白细胞计数及分类(
±s) 组 别
鼠数
(只)
白细胞计数
(×108/L)
细胞分类(×10-2)
肺泡巨
噬细胞
中性
粒细胞
, 百拇医药 淋巴
细胞
单核
细胞
健康对照组
7
1.42±
0.20
61.04±
4.04
6.10±
0.86
15.53±
, http://www.100md.com
2.91
15.35±
1.70
模型组
7
8.07±
1.90*
38.71±
3.65*
39.50±
6.36*
6.87±
, 百拇医药
2.11
4.74±
2.24
生理盐水组
7
9.14±
1.34*
47.55±
6.87*
37.37±
5.78*
4.11±
, 百拇医药
1.41
10.64±
2.15
氟美松组
7
3.07±
0.36△
67.23±
1.85△
4.88±
1.62△
6.37±
, 百拇医药
1.14
22.00±
2.63
注:与健康对照组比较,*P<0.001;与模型组、生理盐水组比较,△P<0.001
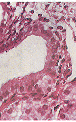
五、吸入糖皮质激素对慢性支气管炎大鼠病理组织学改变的影响
吸入氟美松7天后,病理显示,气道腔内黏液及炎细胞数目显著减少,气道壁淋巴细胞、单核细胞浸润及黏膜下腺体增生则无明显改变。见图1,2。


, http://www.100md.com
图1 模型组大鼠气管纵切面,见气管黏膜下大量浆细胞和淋巴细胞浸润,腺体增生,腺体导管开口内大量中性粒细胞为主的炎细胞浸润


图2 氟美松组大鼠气管纵切面,腺体导管开口内浸润的炎细胞及黏液显著减少 均为HE×200
讨论
慢性支气管炎时气道中性粒细胞数显著增高,中性粒细胞通过释放蛋白水解酶、氧自由基、一氧化氮及其他细胞因子等造成支气管肺组织损伤,导致黏液潴留、细菌繁殖和感染的反复发生。因此,阻止中性粒细胞在气道腔的过度聚集,减轻炎症反应是治疗慢性支气管炎的关键。
, http://www.100md.com
炎前因子TNFα主要由巨噬细胞和淋巴细胞产生,是激活中性粒细胞、介导过度炎症反应的关键性介质。巨噬细胞等释放的氧自由基、白细胞介素(IL)-1和IL-8等炎症因子,加强了细胞毒作用[4]。本实验结果显示,模型组BALF及肺组织中TNFα水平较健康对照组显著增高(生理盐水组亦然),与肺组织中MPO水平呈正相关,表明TNFα可激活中性粒细胞,使之释放MPO及其他蛋白酶等,造成支气管、肺受损的连锁反应。与Keatings等[5]报道的慢性阻塞性肺疾病(COPD)患者痰中TNFα水平显著增高是一致的。
中性粒细胞趋化因子MIP-2是肺泡巨噬细胞和气道上皮细胞分泌的蛋白质产物,属C-X-C趋化因子家族的成员之一。与其他细胞因子不同,MIP-2有特异的靶细胞——中性粒细胞,对其起重要的激活和趋化作用,而对其他细胞作用较小[6]。我们首次在国内检测这一重要的中性粒细胞趋化和活化因子,结果显示,模型组BALF及肺组织匀浆液中MIP-2水平显著高于健康对照组(生理盐水组亦然),且与BALF中白细胞计数及肺组织中MPO含量呈正相关。这一结果与1995年Farone等[7]报道的有关大鼠慢性支气管炎模型气管组织MIP-2表达升高的结果相符。表明慢性支气管炎时气道内中性粒细胞的聚集是与MIP-2的特异性趋化和活化作用密切相关。我们的结果也支持1994年Riise等[8]提出的假说:慢性支气管炎时气道炎症存在中性粒细胞特异的趋化和活化过程。
, 百拇医药
MPO是中性粒细胞嗜天青颗粒所释放的过氧化物酶类,为一种血红素蛋白,催化过氧化氢与氯起化学反应,产生次氯酸,具有很强的抗微生物活性,过量生成也可造成气道组织损伤。1982年Bradley等[9]研究表明,MPO水平与中性粒细胞数之间存在极显著的相关性,可作为中性粒细胞的活性标志。本实验结果显示,模型组及生理盐水组肺组织中MPO水平显著高于健康对照组,表明慢性支气管炎时大量的中性粒细胞在肺内聚集活化,在气道炎症反应中起重要作用。而血浆中MPO和TNFα水平三组间差异无显著性,即外周血白细胞在感染时可无明显变化,提示对本病的研究重点应放在靶器官——支气管、肺本身,而不是外周血。
雾化吸入糖皮质激素治疗支气管哮喘已为大家所公认,但对慢性支气管炎的治疗作用尚存在争议。本实验结果显示:氟美松组BALF中白细胞总数、中性粒细胞数和MIP-2,以及肺组织中MPO含量较模型组及生理盐水组显著降低。表明糖皮质激素可在一定程度上减轻气道炎症,其作用机制可能是抑制中性粒细胞的趋化和激活,减少致炎物质的释放。这为临床进一步验证吸入糖皮质激素治疗慢性支气管炎提供了依据。然而氟美松组BALF及肺组织中TNFα和MIP-2含量与模型组无明显差异,这一结果与Keatings等[10]关于COPD病人吸入糖皮质激素不能降低痰中TNFα和MIP-2含量的报道相似,提示糖皮质激素尚不能完全阻断慢性支气管炎以中性粒细胞为主的气道炎症。
, http://www.100md.com
目前已有学者研究非糖皮质激素类抗炎剂在慢性支气管炎中的疗效。Malik和Lo[11]实验显示:黏附分子单克隆抗体可抑制白细胞在血管内皮的黏附和游出,有可能限制炎症反应的进程。Yasui等[12]报道,人工合成的弹性蛋白酶抑制剂ONO-5046可显著降低大鼠肺组织炎症模型中BALF中性粒细胞数及弹性蛋白酶活性,并已在临床试验中取得一定效果。O′Leary等[13]的研究表明:IL-8单克隆抗体可抑制慢性支气管炎病人痰中IL-8趋化作用的75%~98%。这些研究结果虽与临床应用尚有较大距离,但有助于加深对慢性支气管炎本质的认识,拓宽思路,为开辟新的治疗途径创造条件。
参考文献
1 Stockley RA. Role of inflammation in respiratory tract infections. Am J Med, 1995, 99:8S-13S.
, 百拇医药
2 Ollerenshaw SL, Woolcock AJ. Characteristics of the inflammation in biopsies from large airways of subjects with asthma and subjects with chronic airflow limitation. Am Rev Respir Dis,1992,145(4 Pt 1):922-927.
3 马楠,崔德健,梁延杰,等.气管内注入脂多糖法建立大鼠慢性支气管炎模型.中华结核和呼吸杂志,1999,22:371-372.
4 Hasday JD, McCrea KA,Meltzer SS,et al. Dysregulation of airway cytokine expression in chronic obstructive pulmonary disease and asthma. Am J Respir Crit Care Med,1994,150(5 Pt 2):S54-S58.
, 百拇医药
5 Keatings VM, Collins PD, Scott DM, et al. Differences in interleukin-8 and tumor necrosis factor-alpha in induced sputum from patients with chronic obstructive pulmonary disease or asthma. Am J Respir Crit Care Med, 1996, 153:530-534.
6 Xu WB, Haddad EB, Tsukagoshi H, et al. Induction of macrophage inflammatory protein 2 gene expression by interleukin 1 beta in rat lung. Thorax, 1995, 50:1136-1140.
7 Farone A, Huang S, Paulauskis J, et al. Airway neutrophilia and chemokine mRNA expression in sulfur dioxide-induced bronchitis. Am J Respir Cell Mol Biol,1995,12:345-530.
, http://www.100md.com
8 Riise GC, Larsson S,Lofdahl CG,et al. Circulating cell adhesion molecules in bronchial lavage and serum in COPD patients with chronic bronchitis. Eur Respir J,1994,7:1673-1677.
9 Bradley PP, Priebat DA, Christensen RD, et al. Measurement of cutaneous inflammation : estimation of neutrophil content with an enzyme marker.J Invest Dermatol,1982,78:206-209.
10 Keatings VM, Jatakanon A, Worsdell YM, et al. Effects of inhaled and oral glucocorticoids on inflammatory indices in asthma and COPD. Am J Respir Crit Care Med,1997,155:542-548.
, 百拇医药
11 Malik AB, Lo SK. Vascular endothelial adhesion molecules and tissue inflammation. Pharmacol Rev,1996,48:213-226.
12 Yasui S, Nagai A, Aoshiba K, et al. A specific neutrophil elastase inhibitor(ONO-5046.Na) attenuates LPS-induced acute lung inflammation in the hamster. Eur Respir J,1995,8:1293-1299.
13 O′Leary EC, Marder P, Zuckerman SH. Glucocorticoid effects in an endotoxin-induced rat pulmonary inflammation model: differential effects on neutrophil influx, integrin expression ,and inflammatory mediators. Am J Respir Cell Mol Biol,1996,15:97-106.
(收稿:1999-01-04 修回:1999-05-17), 百拇医药
单位:100037北京,解放军第304医院呼吸科
关键词:支气管炎;肿瘤坏死因子;过氧化物酶;巨噬细胞炎症蛋白-2
中华内科杂志990806 【摘 要】 目的 探索慢性支气管炎气道炎症的特点。方法 雄性SD大鼠气管内注入浓度为1g/L的脂多糖200μl制成大鼠慢性支气管炎模型,随机分为健康对照组、模型组、生理盐水组及氟美松组,每组7只。应用ELISA法测定血浆、支气管肺泡灌洗液(BALF)及肺组织中肿瘤坏死因子(TNF)α、巨噬细胞炎症蛋白-2(MIP-2)含量,生化法检测血和肺组织中髓过氧化物酶(MPO)水平,并进行BALF中细胞计数和分类。结果 模型组、生理盐水组及氟美松组BALF和肺组织中TNFα和MIP-2的含量显著高于健康对照组(P<0.05);肺组织中MPO的含量,模型组[(15.002+1.857)U/g]和生理盐水组[(11.888+0.926)U/g]显著高于健康对照组[(7.812+1.043)U/g](P<0.05),而氟美松组[(6.141+0.364)U/g]则显著低于模型组(P<0.05);模型组肺组织中MPO与TNFα和MIP-2含量之间呈正相关(r=0.788,r=0.963;P<0.05,P<0.001)。结论 气道内中性粒细胞聚集是慢性支气管炎的重要特点,TNFα和MIP-2参与了中性粒细胞的激活和趋化过程,中性粒细胞产生大量的MPO可造成气道损伤。
, 百拇医药
A study on tumor necrosis factor α, macrophage inflammatory protein-2 and
myeloperoxidase in blood, broncho-alveolar fluid and lung tissues
of rat chronic bronchitis model
MA Nan, CUI Dejian, LI Jun-you, et al.
Division of Respiratory Medicine, The 304th Hospital of Chinese PLA, Beijing 100037
【Abstract】 Objective To study the nature and mechanisms of airway inflammation in chronic bronchitis and observe the effects of inhaled glucocorticoids on inflammatory indices. Methods Rat chronic bronchitis model was established by intratracheal instillation of small dose of lipopolysaccharide (LPS, 1 g/L). Experiments were performed in 28 male Sprague-Dawley rats, which comprised four groups in random, i.e. chronic bronchitis model group, normal saline treated group, dexamethasone treated group and healthy control group. The levels of myeloperoxidase (MPO) of blood and lung tissues, and tumor necrosis factor(TNF)α and macrophage inflammatory protein-2 (MIP-2) of plasma, broncho-alveolar fluid(BALF) and lung tissues were determined by biochemical and ELISA methods. Total and differential white blood cell counts of BALFwere carried out. Results (1) The levels of TNFα and MIP-2 in BALF and lung tissues, and MPO in lung tissues of chronic bronchitis model group were significantly increased than those of control group (P<0.05). (2)More significant increase in total white blood cell count and neutrophils in BALF was found in rat chronic bronchitis group than in control group (P<0.001). (3) Significant positive correlations were observed between the level of MPO and MIP-2 of lung tissues, the level of MPO and TNFα of lung tissue and the total cell counts and the level of MIP-2 of BALF and lung tissue. (4) More significant decrease in total cell counts and neutrophils of BALF and levels of MPO in lung tissue was found in dexamethasone-treated group as compared to those of chronic bronchitis group. Conclusion Recruitment and activation of neutrophils seem to be the characteristics of chronic bronchitis. TNFα and MIP-2 may be involved in the process of chemotaxis and activation in airway inflammation in chronic bronchitis. Inhaled steroids might have some effects on chronic bronchitis by limiting the airway inflammation.
, 百拇医药
【Key words】 Bronchitis Tumor necrosis factor Peroxidase Macrophage inflammatory protein-2
慢性支气管炎时,气道炎症与黏液分泌增多、反复感染等临床表现密切相关。适度的炎症是机体重要的防御反应,但过度的炎症反应可造成组织损伤[1,2]。慢性支气管炎时,支气管肺泡灌洗液(BALF)中显著增高的中性粒细胞在吞噬病原菌的同时,也释放多种酶类和细胞因子等,引起支气管上皮剥脱、纤毛功能受抑、黏液潴留和细菌繁殖。因此,研究慢性支气管炎气道炎症的特点及发生机制,将有助于深化对本病的认识及探索新的治疗途径。为此,我们测定了大鼠慢性支气管炎模型血浆、BALF和肺组织中肿瘤坏死因子(TNF)α、巨噬细胞炎症蛋白-2(MIP-2)及髓过氧化物酶(MPO)水平,并观察糖皮质激素对上述指标的影响。
材料与方法
, 百拇医药
一、动物模型制作与分组
雄性SD大鼠(军事医学科学院实验动物中心)28只,体重190~250g,鼠龄12周。随机分为:(1)模型组:7只,腹腔注射1%戊巴比妥纳50mg/kg麻醉,静脉套管针套管快速插入气管,注入浓度为1g/L的脂多糖(LPS,Sigma公司)200μl,饲养3周[3]。(2)健康对照组:7只,不做任何干预,为空白对照,饲养3周。(3)生理盐水组:7只,按模型组方法制备动物模型,从第22天起每天上午9∶00给予超声雾化吸入生理盐水,每天20分钟,共7天。(4)氟美松组:7只,按模型组方法制备动物模型,自第22天起每天下午14∶00给予超声雾化吸入氟美松0.2g/L,每天20分钟,共7天。
二、方法
1.BALF细胞计数及分类:模型组和健康对照组大鼠于第22天、生理盐水组和氟美松组大鼠于第28天腹腔注射1%戊巴比妥纳50mg/kg麻醉,剪开颈部皮肤,在环甲软骨处剪一“V”形小口,将静脉套管针套管插入左主支气管;用10mlHank液分2次灌洗,总回收率为50%~80%。BALF离心后上清液-70℃保存,作TNFα和MIP-2测定用。细胞用Hank洗涤后加液至1ml,作白细胞计数,余液甩片,瑞特染色,行细胞分类计数。
, 百拇医药
2.血浆、BALF及肺组织匀浆液中TNFα和MIP-2的测定:(1)标本采取和处理:各组动物左肺灌洗后,剖腹取下腔静脉血1ml,加入含0.1ml肝素溶液(250U/ml)的试管中,取100μl加0.5%十六烷基三甲基溴化胺(HTAB,北京化学试剂公司)1ml,-70℃保存用于测定MPO。其余抗凝血用低速离心机离心,2000r/min,15分钟,取血浆-70℃保存,用于TNFα及MIP-2测定。打开胸腔取右下和心叶肺组织各100mg,分别加PBS1ml(pH7.4),冰浴下电动匀浆机匀浆30秒,超速离心机离心15分钟,4℃,10000g/min,取上清液-70℃保存,用于TNFα和MIP-2测定。取右上叶肺组织约200mg,加20mmol磷酸钾缓冲液(pH7.4)2ml,匀浆及超速离心后弃上清,加等体积HTAB2ml,-70℃保存,用于MPO测定。(2)测定方法:血浆及BALF用超速离心机离心15分钟,4℃,10000g/min,取两者上清液及肺组织匀浆液用ELISA法测定TNFα(Endogen公司试剂盒)及MIP-2(Biosurce公司试剂盒)含量。用考马斯亮兰蛋白测定法测肺组织匀浆液蛋白浓度,以校正肺组织TNFα及MIP-2测定值。
, 百拇医药
3.全血和肺组织中MPO测定:采用解放军第304医院中心研究室改进的生化法检测。将样品融化后超声破碎,60℃水浴孵化2小时,4℃,35000g/min离心10分钟,取上清0.1ml,加50mmol/L磷酸钾缓冲液(pH6.0)2.9ml(含0.167%邻联大茴香胺及0.0005%H2O2),于460nm处测30s和90s的吸光度(A)值。MPO(U/g)=ΔA×13.5。
四、统计学方法
采用SAS统计软件包进行统计学分析,包括方差分析SNK检验、直线相关与回归分析。
结果
一、各组动物血浆、BALF及肺组织中TNFα的含量
各组动物血浆中TNFα的含量差异无显著性(P>0.05);模型组、生理盐水组及氟美松组BALF及肺组织中TNFα的含量显著高于健康对照组(P<0.05),三组间差异无显著性(P>0.05)。见表1。
, http://www.100md.com
表1 各组动物血浆、支气管肺泡灌洗液和肺组织中肿瘤坏死因子α的含量 组 别
鼠数
(只)
肿瘤坏死因子α(
血浆
(ng/L)
支气管肺泡
灌洗液(ng/L)
肺组织
(pg/mg蛋白)
健康对照组
, 百拇医药
7
0
14.05± 4.28
175.49±13.71
模型组
7
1.28±0.19
35.61± 6.53*
271.43±22.48*
生理盐水组
7
0
, 百拇医药
35.62± 7.16*
235.10±28.17*
氟美松组
7
4.03±2.73
68.03±21.20*
217.15±22.43*
注:与健康对照组比较,*P<0.05 二、各组动物血浆、BALF及肺组织中MIP-2的含量
各组动物血浆中MIP-2的含量差异无显著性;模型组及生理盐水组BALF中MIP-2的含量显著高于健康对照组,氟美松组则与健康对照组差异无显著性,但显著低于模型组;模型组、生理盐水组及氟美松组肺组织中MIP-2的含量均显著高于健康对照组,三组之间差异无显著性。见表2。
, http://www.100md.com
表2 各组动物血浆、支气管肺泡灌洗液及肺组织匀浆液中巨噬细胞炎症蛋白-2的含量 组 别
鼠数
(只)
巨噬细胞炎症蛋白-2(
血浆
(ng/L)
支气管肺泡
灌洗液(ng/L)
肺组织
(pg/mg蛋白)
, 百拇医药 健康对照组
7
3.95± 0.74
95.16± 6.11
192.48±10.84
模型组
7
1.80± 0.78
233.30±41.75*
238.65±22.99*
生理盐水组
7
, 百拇医药
1.54± 0.79
187.35±15.69*
239.83±16.44*
氟美松组
7
24.86±10.68
102.32±13.26△
300.37±38.93*
注:与健康对照组比较,*P<0.05;与模型组比较,△P<0.05 三、各组动物全血及肺组织中MPO的含量
, 百拇医药
各组动物全血中MPO的含量差异无显著性(P>0.05);模型组和生理盐水组肺组织中MPO的含量显著高于健康对照组(P<0.05),氟美松组则与健康对照组差异无显著性(P>0.05),但显著低于模型组及生理盐水组(P<0.05)。见表3。模型组肺组织中MPO与TNFα和MIP-2含量之间呈正相关(r=0.788,P<0.05;r=0.963,P<0.001)。
表3 各组动物全血和肺组织中MPO的含量(
鼠数
(只)
全血中MPO
(×103U/L)
, http://www.100md.com 肺组织中MPO
(U/g)
健康对照组
7
11.831±0.378
7.812±1.043
模型组
7
11.876±0.432
15.002±1.857*
生理盐水组
7
, 百拇医药
12.007±0.718
11.888±0.926*
氟美松组
7
13.004±1.054
6.141±0.364△
注:MPO:髓过氧化物酶 与健康对照组比较,*P<0.05;与模型组比较,△P<0.05 四、BALF中白细胞计数及分类
见表4。与健康对照组相比,模型组和生理盐水组BALF中白细胞总数及中性粒细胞数显著增高,肺泡巨噬细胞数相对下降(P<0.001);氟美松组BALF中白细胞总数及中性粒细胞数显著低于模型组及生理盐水组,肺泡巨噬细胞数基本正常(P<0.001)。BALF中白细胞计数与BALF及肺组织中MIP-2含量之间呈正相关(r=0.916,P<0.05;r=0.969,P<0.05)。
, http://www.100md.com
表4 各组支气管肺泡灌洗液中白细胞计数及分类(
鼠数
(只)
白细胞计数
(×108/L)
细胞分类(×10-2)
肺泡巨
噬细胞
中性
粒细胞
, 百拇医药 淋巴
细胞
单核
细胞
健康对照组
7
1.42±
0.20
61.04±
4.04
6.10±
0.86
15.53±
, http://www.100md.com
2.91
15.35±
1.70
模型组
7
8.07±
1.90*
38.71±
3.65*
39.50±
6.36*
6.87±
, 百拇医药
2.11
4.74±
2.24
生理盐水组
7
9.14±
1.34*
47.55±
6.87*
37.37±
5.78*
4.11±
, 百拇医药
1.41
10.64±
2.15
氟美松组
7
3.07±
0.36△
67.23±
1.85△
4.88±
1.62△
6.37±
, 百拇医药
1.14
22.00±
2.63
注:与健康对照组比较,*P<0.001;与模型组、生理盐水组比较,△P<0.001
五、吸入糖皮质激素对慢性支气管炎大鼠病理组织学改变的影响
吸入氟美松7天后,病理显示,气道腔内黏液及炎细胞数目显著减少,气道壁淋巴细胞、单核细胞浸润及黏膜下腺体增生则无明显改变。见图1,2。
, http://www.100md.com
图1 模型组大鼠气管纵切面,见气管黏膜下大量浆细胞和淋巴细胞浸润,腺体增生,腺体导管开口内大量中性粒细胞为主的炎细胞浸润
图2 氟美松组大鼠气管纵切面,腺体导管开口内浸润的炎细胞及黏液显著减少 均为HE×200
讨论
慢性支气管炎时气道中性粒细胞数显著增高,中性粒细胞通过释放蛋白水解酶、氧自由基、一氧化氮及其他细胞因子等造成支气管肺组织损伤,导致黏液潴留、细菌繁殖和感染的反复发生。因此,阻止中性粒细胞在气道腔的过度聚集,减轻炎症反应是治疗慢性支气管炎的关键。
, http://www.100md.com
炎前因子TNFα主要由巨噬细胞和淋巴细胞产生,是激活中性粒细胞、介导过度炎症反应的关键性介质。巨噬细胞等释放的氧自由基、白细胞介素(IL)-1和IL-8等炎症因子,加强了细胞毒作用[4]。本实验结果显示,模型组BALF及肺组织中TNFα水平较健康对照组显著增高(生理盐水组亦然),与肺组织中MPO水平呈正相关,表明TNFα可激活中性粒细胞,使之释放MPO及其他蛋白酶等,造成支气管、肺受损的连锁反应。与Keatings等[5]报道的慢性阻塞性肺疾病(COPD)患者痰中TNFα水平显著增高是一致的。
中性粒细胞趋化因子MIP-2是肺泡巨噬细胞和气道上皮细胞分泌的蛋白质产物,属C-X-C趋化因子家族的成员之一。与其他细胞因子不同,MIP-2有特异的靶细胞——中性粒细胞,对其起重要的激活和趋化作用,而对其他细胞作用较小[6]。我们首次在国内检测这一重要的中性粒细胞趋化和活化因子,结果显示,模型组BALF及肺组织匀浆液中MIP-2水平显著高于健康对照组(生理盐水组亦然),且与BALF中白细胞计数及肺组织中MPO含量呈正相关。这一结果与1995年Farone等[7]报道的有关大鼠慢性支气管炎模型气管组织MIP-2表达升高的结果相符。表明慢性支气管炎时气道内中性粒细胞的聚集是与MIP-2的特异性趋化和活化作用密切相关。我们的结果也支持1994年Riise等[8]提出的假说:慢性支气管炎时气道炎症存在中性粒细胞特异的趋化和活化过程。
, 百拇医药
MPO是中性粒细胞嗜天青颗粒所释放的过氧化物酶类,为一种血红素蛋白,催化过氧化氢与氯起化学反应,产生次氯酸,具有很强的抗微生物活性,过量生成也可造成气道组织损伤。1982年Bradley等[9]研究表明,MPO水平与中性粒细胞数之间存在极显著的相关性,可作为中性粒细胞的活性标志。本实验结果显示,模型组及生理盐水组肺组织中MPO水平显著高于健康对照组,表明慢性支气管炎时大量的中性粒细胞在肺内聚集活化,在气道炎症反应中起重要作用。而血浆中MPO和TNFα水平三组间差异无显著性,即外周血白细胞在感染时可无明显变化,提示对本病的研究重点应放在靶器官——支气管、肺本身,而不是外周血。
雾化吸入糖皮质激素治疗支气管哮喘已为大家所公认,但对慢性支气管炎的治疗作用尚存在争议。本实验结果显示:氟美松组BALF中白细胞总数、中性粒细胞数和MIP-2,以及肺组织中MPO含量较模型组及生理盐水组显著降低。表明糖皮质激素可在一定程度上减轻气道炎症,其作用机制可能是抑制中性粒细胞的趋化和激活,减少致炎物质的释放。这为临床进一步验证吸入糖皮质激素治疗慢性支气管炎提供了依据。然而氟美松组BALF及肺组织中TNFα和MIP-2含量与模型组无明显差异,这一结果与Keatings等[10]关于COPD病人吸入糖皮质激素不能降低痰中TNFα和MIP-2含量的报道相似,提示糖皮质激素尚不能完全阻断慢性支气管炎以中性粒细胞为主的气道炎症。
, http://www.100md.com
目前已有学者研究非糖皮质激素类抗炎剂在慢性支气管炎中的疗效。Malik和Lo[11]实验显示:黏附分子单克隆抗体可抑制白细胞在血管内皮的黏附和游出,有可能限制炎症反应的进程。Yasui等[12]报道,人工合成的弹性蛋白酶抑制剂ONO-5046可显著降低大鼠肺组织炎症模型中BALF中性粒细胞数及弹性蛋白酶活性,并已在临床试验中取得一定效果。O′Leary等[13]的研究表明:IL-8单克隆抗体可抑制慢性支气管炎病人痰中IL-8趋化作用的75%~98%。这些研究结果虽与临床应用尚有较大距离,但有助于加深对慢性支气管炎本质的认识,拓宽思路,为开辟新的治疗途径创造条件。
参考文献
1 Stockley RA. Role of inflammation in respiratory tract infections. Am J Med, 1995, 99:8S-13S.
, 百拇医药
2 Ollerenshaw SL, Woolcock AJ. Characteristics of the inflammation in biopsies from large airways of subjects with asthma and subjects with chronic airflow limitation. Am Rev Respir Dis,1992,145(4 Pt 1):922-927.
3 马楠,崔德健,梁延杰,等.气管内注入脂多糖法建立大鼠慢性支气管炎模型.中华结核和呼吸杂志,1999,22:371-372.
4 Hasday JD, McCrea KA,Meltzer SS,et al. Dysregulation of airway cytokine expression in chronic obstructive pulmonary disease and asthma. Am J Respir Crit Care Med,1994,150(5 Pt 2):S54-S58.
, 百拇医药
5 Keatings VM, Collins PD, Scott DM, et al. Differences in interleukin-8 and tumor necrosis factor-alpha in induced sputum from patients with chronic obstructive pulmonary disease or asthma. Am J Respir Crit Care Med, 1996, 153:530-534.
6 Xu WB, Haddad EB, Tsukagoshi H, et al. Induction of macrophage inflammatory protein 2 gene expression by interleukin 1 beta in rat lung. Thorax, 1995, 50:1136-1140.
7 Farone A, Huang S, Paulauskis J, et al. Airway neutrophilia and chemokine mRNA expression in sulfur dioxide-induced bronchitis. Am J Respir Cell Mol Biol,1995,12:345-530.
, http://www.100md.com
8 Riise GC, Larsson S,Lofdahl CG,et al. Circulating cell adhesion molecules in bronchial lavage and serum in COPD patients with chronic bronchitis. Eur Respir J,1994,7:1673-1677.
9 Bradley PP, Priebat DA, Christensen RD, et al. Measurement of cutaneous inflammation : estimation of neutrophil content with an enzyme marker.J Invest Dermatol,1982,78:206-209.
10 Keatings VM, Jatakanon A, Worsdell YM, et al. Effects of inhaled and oral glucocorticoids on inflammatory indices in asthma and COPD. Am J Respir Crit Care Med,1997,155:542-548.
, 百拇医药
11 Malik AB, Lo SK. Vascular endothelial adhesion molecules and tissue inflammation. Pharmacol Rev,1996,48:213-226.
12 Yasui S, Nagai A, Aoshiba K, et al. A specific neutrophil elastase inhibitor(ONO-5046.Na) attenuates LPS-induced acute lung inflammation in the hamster. Eur Respir J,1995,8:1293-1299.
13 O′Leary EC, Marder P, Zuckerman SH. Glucocorticoid effects in an endotoxin-induced rat pulmonary inflammation model: differential effects on neutrophil influx, integrin expression ,and inflammatory mediators. Am J Respir Cell Mol Biol,1996,15:97-106.
(收稿:1999-01-04 修回:1999-05-17), 百拇医药