纵隔卵黄囊瘤二例
作者:褚海青 李惠萍 何国钧 丁嘉安
单位:上海市肺科医院呼吸科 200433
关键词:
中华内科杂志000829 例1 患者男,50岁。因体检发现左上纵隔块状影10 d于1993年11月10日入院。患者无特殊不适主诉。体检:一般情况好,心律齐,两肺呼吸音清。白细胞9.4×109/L,中性0.74,淋巴0.26,血红蛋白110 g/L;多次浓缩痰找抗酸杆菌及痰脱落细胞检查均阴性。肝肾功能、电解质均正常。心电图正常。肺功能示通气功能正常。胸部X线示左第一前肋间内侧带有一密度增高影,约4.5 cm×3.5 cm,边界清(图1);侧位片示左上后纵隔有一密度增高影。胸部CT示左上后纵隔椎体旁可见一4 cm×5 cm大小类圆形肿块,边缘光滑,有包膜。纤维支气管镜未见明显异常。于1993年11月25日行开胸手术,术中见肿瘤位于左侧后上纵隔,肿瘤约5 cm×5 cm×4 cm大小,质中等,表面血供较丰富,遂行肿瘤摘除术。术后病理证实为左上后纵隔恶性卵黄囊瘤。术后化疗4次,随访近6年,病人至今健在。
, http://www.100md.com
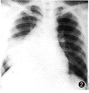
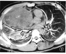
例2 患者男,22岁。因胸闷气促,右胸痛,咳嗽2月于1999年7月2日入院。入院体检:一般情况差,抬入病房,呼吸急促,神志清,唇无紫绀,颈静脉无怒张,心率115次/min,律齐,右侧呼吸运动较左侧降低,右肺语颤较左侧减弱,叩诊呈浊音,呼吸音明显减轻,左肺呼吸音粗,未闻及音。腹部未见异常,双下肢无水肿。血白细胞8.4×109/L,中性0.66,淋巴0.34,血红蛋白92 g/L,肝肾功能、电解质均正常。多次浓缩痰找抗酸杆菌及痰脱落细胞检查均阴性。心电图示窦性心动过速。动脉血气分析在正常范围。B超示右胸腔中等量积液。腹、脑CT均未见异常。胸部X线示右侧第一前肋以下至横膈有大片致密影,右侧肋膈角、横膈面消失,左侧未见病灶(图2)。胸部CT示右前纵隔见巨大类椭圆形软组织影,约13 cm×12 cm×16 cm,边缘毛糙分叶,僵硬感,其内密度不均,CT值为6.5 Hu~30.3 Hu,不规则增强,无钙化灶。右前胸壁肋间隙扩大,心影及大血管向左后推移,右上叶前段、中叶支气管受压,变窄,右侧胸腔见中等量积液,局部包裹伴结节,右下肺压缩,不张,左肺无病灶(图3)。于1999年7月9日行开胸手术。术中见肿瘤上达锁骨水平,下至横膈,上下径30 cm,左右径约5 cm,前后径25 cm,侵犯右侧心包范围达8 cm×8 cm。肿瘤呈分叶状,暗褐色,有弹性,并有局部液化,侵犯右下叶及中叶,故行右全肺加肿瘤切除术。病理标本见右全肺胸膜广泛粘连,肿块与下叶紧密相连,肿块约16 cm×9 cm×8 cm,红褐色,右全肺受压,萎缩。病理证实为右前纵隔恶性卵黄囊瘤,心包受侵。术后恢复良好,于7月29日出院。
讨论 纵隔卵黄囊瘤是纵隔生殖细胞肿瘤,是一种较为少见的疾病,好发于上纵隔和前纵隔 。本病的临床表现以呼吸困难、胸痛、咳嗽等症状为主,临床症状取决于肿瘤的部位与大小 。术前诊断困难,主要靠手术后病理证实。治疗主要为手术切除。本病恶性程度高,切除完全并配合化疗者预后良好。


(收稿日期:1999-10-21), 百拇医药
单位:上海市肺科医院呼吸科 200433
关键词:
中华内科杂志000829 例1 患者男,50岁。因体检发现左上纵隔块状影10 d于1993年11月10日入院。患者无特殊不适主诉。体检:一般情况好,心律齐,两肺呼吸音清。白细胞9.4×109/L,中性0.74,淋巴0.26,血红蛋白110 g/L;多次浓缩痰找抗酸杆菌及痰脱落细胞检查均阴性。肝肾功能、电解质均正常。心电图正常。肺功能示通气功能正常。胸部X线示左第一前肋间内侧带有一密度增高影,约4.5 cm×3.5 cm,边界清(图1);侧位片示左上后纵隔有一密度增高影。胸部CT示左上后纵隔椎体旁可见一4 cm×5 cm大小类圆形肿块,边缘光滑,有包膜。纤维支气管镜未见明显异常。于1993年11月25日行开胸手术,术中见肿瘤位于左侧后上纵隔,肿瘤约5 cm×5 cm×4 cm大小,质中等,表面血供较丰富,遂行肿瘤摘除术。术后病理证实为左上后纵隔恶性卵黄囊瘤。术后化疗4次,随访近6年,病人至今健在。
, http://www.100md.com
例2 患者男,22岁。因胸闷气促,右胸痛,咳嗽2月于1999年7月2日入院。入院体检:一般情况差,抬入病房,呼吸急促,神志清,唇无紫绀,颈静脉无怒张,心率115次/min,律齐,右侧呼吸运动较左侧降低,右肺语颤较左侧减弱,叩诊呈浊音,呼吸音明显减轻,左肺呼吸音粗,未闻及音。腹部未见异常,双下肢无水肿。血白细胞8.4×109/L,中性0.66,淋巴0.34,血红蛋白92 g/L,肝肾功能、电解质均正常。多次浓缩痰找抗酸杆菌及痰脱落细胞检查均阴性。心电图示窦性心动过速。动脉血气分析在正常范围。B超示右胸腔中等量积液。腹、脑CT均未见异常。胸部X线示右侧第一前肋以下至横膈有大片致密影,右侧肋膈角、横膈面消失,左侧未见病灶(图2)。胸部CT示右前纵隔见巨大类椭圆形软组织影,约13 cm×12 cm×16 cm,边缘毛糙分叶,僵硬感,其内密度不均,CT值为6.5 Hu~30.3 Hu,不规则增强,无钙化灶。右前胸壁肋间隙扩大,心影及大血管向左后推移,右上叶前段、中叶支气管受压,变窄,右侧胸腔见中等量积液,局部包裹伴结节,右下肺压缩,不张,左肺无病灶(图3)。于1999年7月9日行开胸手术。术中见肿瘤上达锁骨水平,下至横膈,上下径30 cm,左右径约5 cm,前后径25 cm,侵犯右侧心包范围达8 cm×8 cm。肿瘤呈分叶状,暗褐色,有弹性,并有局部液化,侵犯右下叶及中叶,故行右全肺加肿瘤切除术。病理标本见右全肺胸膜广泛粘连,肿块与下叶紧密相连,肿块约16 cm×9 cm×8 cm,红褐色,右全肺受压,萎缩。病理证实为右前纵隔恶性卵黄囊瘤,心包受侵。术后恢复良好,于7月29日出院。
讨论 纵隔卵黄囊瘤是纵隔生殖细胞肿瘤,是一种较为少见的疾病,好发于上纵隔和前纵隔 。本病的临床表现以呼吸困难、胸痛、咳嗽等症状为主,临床症状取决于肿瘤的部位与大小 。术前诊断困难,主要靠手术后病理证实。治疗主要为手术切除。本病恶性程度高,切除完全并配合化疗者预后良好。
(收稿日期:1999-10-21), 百拇医药