外力诱导培养兔成骨细胞表达c-fos的实验研究
作者:冯 雪 林 珠 段银钟 张西正
单位:冯雪 林珠 段银钟 第四军医大学口腔医学院;张西正 西安矿业学院
关键词:压力;成骨细胞;原癌基因
实用口腔医学杂志990212 〔摘要〕 目的: 探讨兔成骨细胞在机械力作用下将机械力信号转变为生物学效应的作用机理;方法:利用FOS免疫组化技术观察在受到外力后培养的兔成骨细胞对立即早期基因c-fos的蛋白产物(FOS)的表达情况;结果:几乎所有的成骨细胞核均染成黄褐色,为FOS免疫组化反应阳性;结论:c-fos在兔成骨细胞的机械力信号向生物学效应转换的过程中可能发挥重要作用。
The expression of c-fos in cultured rabbit osteoblasts induced by extra-force
, http://www.100md.com
Feng Xue,Lin Zhu,Duan Yinzhong,et al.
Stomatological Hospital, Fourth Military Medical University, Xi'an 710032
〔Abstract〕 Objective:To investigate the role of c-fos gene in the transduction of mechanical signal to biological effect in cultured rabbit osteoblasts. Method:The expression of c-fos in cultured rabbit osteoblasts induced by extra-force was tested by FOS protein immunocytochemical reaction.Results:Nearly all the nuclei of osteoblasts were stained dark yellow-brown which showed FOS positive immunocytochemical reaction.Conclusion:The results suggeste that c-fos may play an important role in the transition process of mechanical signal to biological effect in rabbit osteoblasts.
, 百拇医药
Key words Pressure; Osteoblast;Proto-oncogenes
机械力作用于骨组织后,使其发生一系列的生物学效应。关于机械信号如何转变为生物学效应的研究较多,但其机理仍不十分清楚,尤其是兔成骨细胞在此过程中的胞内信号改变情况尚未见文献报道。本文利用FOS免疫组化技术观察了在受到外力后培养的兔成骨细胞对立即早期基因c-fos的蛋白产物(FOS)的表达情况,从胞内信号转导的角度来阐明成骨细胞机械信号向生物信号转换的作用机理。
1 材料与方法
1.1 材料
DMEM培养液(Gibco,USA),FBS(浙江金华清湖犊牛利用研究所),胰蛋白酶(上海浦东生化试剂厂),CO2细胞培养箱(美国Forma Scientific公司),YJ-875型超净工作台(苏州净化设备厂),倒置显微镜及照相系统(Olympus),Ⅰ型胶原酶( Sigma)。
, 百拇医药
1.2 方法
1.2.1兔成骨细胞培养
1月龄新西兰幼兔(第四军医大学实验动物中心),无菌条件下取指甲大小的一块顶骨,刮去内外侧骨膜,剪成约1 mm×1 mm大小的碎块,培养液洗两次,加入1 g/LⅠ型胶原酶5 ml,置于37 ℃、CO2的体积分数为5%的孵箱内,消化8 h后,轻轻吹打,待骨块自然沉降后,取上清,1000 r/min离心3 min收集细胞,再用培养液洗涤两次,移入25 ml培养瓶,放入含CO2的体积分数为5%、饱和湿度的细胞培养箱中,用含FBS体积分数为10%的DMEM培养液进行培养。培养的细胞在倒置显微镜下进行观察、照相,细胞每3~4 d换液一次,细胞长满培养瓶底部80%~90%时,用2.5 g/L胰酶消化进行传代。
1.2.2 兔成骨细胞的鉴定
取第5代成骨细胞爬片,钙-钴法进行ALP染色;ABC法行骨钙素免疫组化染色(羊抗骨钙素抗体,北京东方生物技术公司)。
, 百拇医药
1.2.3 细胞加力
生长良好的第5代成骨细胞,接种在小的盖玻片上,在培养瓶中继续培养,细胞长满盖玻片70%~80%时,用橡胶塞塞紧瓶口,向瓶内注入无菌空气,使瓶内压力约35 g/cm2 ,对照组不加力。
1.2.4 FOS免疫组化染色
继续培养3 h后取出盖玻片,0.01 mol/L PBS(pH7.4)洗2次,在体积分数为乙醇中固定。用常规ABC法进行FOS染色。将玻片放于在体积分数为Trion X-100,30 min;0.01 mol/L PBS冲洗3次,每次10 min;然后将玻片入羊抗FOS血清(北京中山生物技术中心1∶100 0),4 ℃,48 h;再入生物素化兔抗羊IgG(Sigma公司 1∶500),4 ℃,12 h;再放入ABC复合物(Sigma公司 1∶500),4 ℃,12 h。以上各步骤间均用0.01 mol/L PBS冲洗3次,每次10 min。然后用DAB-H2O2法呈色15 min,Olympus BH2显微镜下观察、照相。
, 百拇医药
2 结 果
2.1 成骨细胞培养
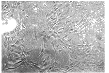
组织块消化8 h,倒置显微镜下观察消化液内已有较多小圆形的细胞,组织块大部分崩解 。原代细胞培养24 h后,开始贴壁并伸展,细胞形状主要为多边形,5 d左右长满瓶底,此时细胞外观为铺路石状,胞浆丰富,胞核椭圆形或圆形,有2~3个核仁(图1)。
图1 倒置显微镜下观察培养的兔成骨细胞×20
2.2成骨细胞的鉴定
钙-钴法染色,约93%的细胞ALP阳性,胞浆被染成棕黑色;骨钙素免疫组化染色,约97%的细胞为阳性,胞浆被染成棕黄色。表明所培养的细胞主要为成骨细胞。
, 百拇医药
2.3 FOS免疫组化染色
培养成骨细胞加力后3 h,FOS免疫组化染色阳性,镜下观细胞核被染成棕黄色,细胞浆不着色(图2);对照组胞浆和胞核均不着色。
图2 FOS免疫组化染色结果显示细胞核
被染成棕黄色、细胞浆不着色×20
3 讨 论
早在80年代,许多学者就对细胞生物力学产生了兴趣,力图阐明机械信号是如何传导至细胞核内使之发生基因改变的,尤其是成骨细胞的机械-生物学效应一直是研究的热点。例如,Sandy 等〔1〕给予鼠成骨细胞机械力后,细胞c-AMP及IP水平增高;Somjen等〔2〕的研究发现外力诱导骨改建是通过PGE2介导的;Carvalho等〔3〕观察了机械力作用下成骨肉瘤细胞整合素的表达情况,认为机械力通过作用于细胞跨膜蛋白,进而使细胞骨架发生改变,将细胞外机械信号传递至胞内;Clover等〔4〕的研究也认为整合素参与了机械力向生物信号转换的过程。Komuro等〔5〕曾观察了机械力作用后心肌细胞立即早期基因的表达情况,认为早期的信号改变是通过它们介导的。然而有关成骨细胞在受机械力作用后,胞内第三信使表达的报道很少。因而,本研究力图通过此途径了解成骨细胞核内立即早期基因的改变情况。
, http://www.100md.com
原癌基因c-fos属于立即早期基因,即当外界信号引起细胞核内某些基因激活时,可以在数十分钟内作出反应,其表达的核磷蛋白(FOS)被认为是在外界刺激与转录偶联的信息传导过程中起着核内第三信使的作用〔6〕,可以通过免疫组化方法检测出来。c-fos作为一种快速反应基因,不是通过直接与DNA链结合来刺激基因的表达,而是通过与原癌基因c-jun的核磷蛋白形成异源二聚体,与目的基因内的AP-1调节位点结合,进一步激活目的核基因的表达而最终对该刺激作出反应。因此本实验通过FOS表达来观察成骨细胞在受到外力作用后核内基因的进一步改变。
本文利用向培养的兔成骨细胞施加大气压力后,通过免疫组化技术观察FOS蛋白的表达情况,发现几乎所有的成骨细胞均为FOS免疫组化阳性反应。说明用显示蛋白的手段也能够反应细胞核内基因的变化情况,可以推测机械信号作用于细胞膜后,通过细胞骨架的传导作用,使信号进一步传至核内,核内立即早期基因表达,从而引起最终的生物学信号改变。给培养的细胞加力的手段很多,如用空气压缩机使培养板底部的弹性膜伸长、直接用机械装置作用于培养板底部的弹性膜以及用离心机时细胞产生旋转作用等〔7〕。本文所采用的是一种十分简单有效的方法,当培养瓶内空气压力增大后,所有细胞受力应当是均匀一致的。因而当变化真实存在时,所有细胞的反应是一致的,当然选择生活状态良好的细胞是十分重要的。
, http://www.100md.com
正畸用外力使牙齿移动时,力作用于牙齿后牙周膜受力,牙周膜内的成骨细胞、牙周膜成纤维细胞等接受到机械信号。关于这种信号转换过程有许多理论,如:骨压电效应学说、骨转化学说等,但这些理论均未解决细胞核内信号发生变化的问题,因而利用体外实验研究培养的细胞在受到机械力后,机械信号向生物学信号转变的过程是一种很好的研究手段。
本课题为国家自然科学基金资助项目 编号 39800033
参考文献
1Sandy JR, Meghji S, Farndale RW, et al. Dual elevation of cyclic AMP and inositol phosphates in response to mechanical deformation of murine osteoblasts. Biochem Biophys Acta, 1989,1010:265
, 百拇医药
2 Somjen D, Binderman I, Berger E, et al. Bone remodeling induced by physical stress is prostaglandin E2 mediated. Biochem Biophys Acta, 1980,59:722
3 Carvalho BS, Scott JE, Yen E. The effects of mechanical stimulation on the distribulation of β1 integrin and expression of β1 integrin mRNA in TE-85 human osteosarcoma cells. Archs Oral Biol, 1995,40(3):257
4 Clover J, Doodds RA, Gowen M.Integrin subunit expression by human osteoblasts and osteoclasts in situ and in culture.J Cell Sci, 1992,103:267
, http://www.100md.com
5 Komuro I, Kaida Y, Mathews MB, et al. Stretching cardiac myocytes stimulates protooncogene expression. J Biol Chem, 1990,265:3595
6 王晓民,纪如荣,韩济生. 原癌基因与痛觉调制 .生理科学进展, 1991,22(4):293
7 Bane AJ, Gilbert J, Taylor D, et al. A new vaccum-operated stress-providing instrument that applies static or variable duration cyclic tension or compression to cells in vitro. J Cell Sci, 1985,75:35
(收稿:1997-12-18修回:1998-08-28), 百拇医药
单位:冯雪 林珠 段银钟 第四军医大学口腔医学院;张西正 西安矿业学院
关键词:压力;成骨细胞;原癌基因
实用口腔医学杂志990212 〔摘要〕 目的: 探讨兔成骨细胞在机械力作用下将机械力信号转变为生物学效应的作用机理;方法:利用FOS免疫组化技术观察在受到外力后培养的兔成骨细胞对立即早期基因c-fos的蛋白产物(FOS)的表达情况;结果:几乎所有的成骨细胞核均染成黄褐色,为FOS免疫组化反应阳性;结论:c-fos在兔成骨细胞的机械力信号向生物学效应转换的过程中可能发挥重要作用。
The expression of c-fos in cultured rabbit osteoblasts induced by extra-force
, http://www.100md.com
Feng Xue,Lin Zhu,Duan Yinzhong,et al.
Stomatological Hospital, Fourth Military Medical University, Xi'an 710032
〔Abstract〕 Objective:To investigate the role of c-fos gene in the transduction of mechanical signal to biological effect in cultured rabbit osteoblasts. Method:The expression of c-fos in cultured rabbit osteoblasts induced by extra-force was tested by FOS protein immunocytochemical reaction.Results:Nearly all the nuclei of osteoblasts were stained dark yellow-brown which showed FOS positive immunocytochemical reaction.Conclusion:The results suggeste that c-fos may play an important role in the transition process of mechanical signal to biological effect in rabbit osteoblasts.
, 百拇医药
Key words Pressure; Osteoblast;Proto-oncogenes
机械力作用于骨组织后,使其发生一系列的生物学效应。关于机械信号如何转变为生物学效应的研究较多,但其机理仍不十分清楚,尤其是兔成骨细胞在此过程中的胞内信号改变情况尚未见文献报道。本文利用FOS免疫组化技术观察了在受到外力后培养的兔成骨细胞对立即早期基因c-fos的蛋白产物(FOS)的表达情况,从胞内信号转导的角度来阐明成骨细胞机械信号向生物信号转换的作用机理。
1 材料与方法
1.1 材料
DMEM培养液(Gibco,USA),FBS(浙江金华清湖犊牛利用研究所),胰蛋白酶(上海浦东生化试剂厂),CO2细胞培养箱(美国Forma Scientific公司),YJ-875型超净工作台(苏州净化设备厂),倒置显微镜及照相系统(Olympus),Ⅰ型胶原酶( Sigma)。
, 百拇医药
1.2 方法
1.2.1兔成骨细胞培养
1月龄新西兰幼兔(第四军医大学实验动物中心),无菌条件下取指甲大小的一块顶骨,刮去内外侧骨膜,剪成约1 mm×1 mm大小的碎块,培养液洗两次,加入1 g/LⅠ型胶原酶5 ml,置于37 ℃、CO2的体积分数为5%的孵箱内,消化8 h后,轻轻吹打,待骨块自然沉降后,取上清,1000 r/min离心3 min收集细胞,再用培养液洗涤两次,移入25 ml培养瓶,放入含CO2的体积分数为5%、饱和湿度的细胞培养箱中,用含FBS体积分数为10%的DMEM培养液进行培养。培养的细胞在倒置显微镜下进行观察、照相,细胞每3~4 d换液一次,细胞长满培养瓶底部80%~90%时,用2.5 g/L胰酶消化进行传代。
1.2.2 兔成骨细胞的鉴定
取第5代成骨细胞爬片,钙-钴法进行ALP染色;ABC法行骨钙素免疫组化染色(羊抗骨钙素抗体,北京东方生物技术公司)。
, 百拇医药
1.2.3 细胞加力
生长良好的第5代成骨细胞,接种在小的盖玻片上,在培养瓶中继续培养,细胞长满盖玻片70%~80%时,用橡胶塞塞紧瓶口,向瓶内注入无菌空气,使瓶内压力约35 g/cm2 ,对照组不加力。
1.2.4 FOS免疫组化染色
继续培养3 h后取出盖玻片,0.01 mol/L PBS(pH7.4)洗2次,在体积分数为乙醇中固定。用常规ABC法进行FOS染色。将玻片放于在体积分数为Trion X-100,30 min;0.01 mol/L PBS冲洗3次,每次10 min;然后将玻片入羊抗FOS血清(北京中山生物技术中心1∶100 0),4 ℃,48 h;再入生物素化兔抗羊IgG(Sigma公司 1∶500),4 ℃,12 h;再放入ABC复合物(Sigma公司 1∶500),4 ℃,12 h。以上各步骤间均用0.01 mol/L PBS冲洗3次,每次10 min。然后用DAB-H2O2法呈色15 min,Olympus BH2显微镜下观察、照相。
, 百拇医药
2 结 果
2.1 成骨细胞培养
组织块消化8 h,倒置显微镜下观察消化液内已有较多小圆形的细胞,组织块大部分崩解 。原代细胞培养24 h后,开始贴壁并伸展,细胞形状主要为多边形,5 d左右长满瓶底,此时细胞外观为铺路石状,胞浆丰富,胞核椭圆形或圆形,有2~3个核仁(图1)。
图1 倒置显微镜下观察培养的兔成骨细胞×20
2.2成骨细胞的鉴定
钙-钴法染色,约93%的细胞ALP阳性,胞浆被染成棕黑色;骨钙素免疫组化染色,约97%的细胞为阳性,胞浆被染成棕黄色。表明所培养的细胞主要为成骨细胞。
, 百拇医药
2.3 FOS免疫组化染色
培养成骨细胞加力后3 h,FOS免疫组化染色阳性,镜下观细胞核被染成棕黄色,细胞浆不着色(图2);对照组胞浆和胞核均不着色。
图2 FOS免疫组化染色结果显示细胞核
被染成棕黄色、细胞浆不着色×20
3 讨 论
早在80年代,许多学者就对细胞生物力学产生了兴趣,力图阐明机械信号是如何传导至细胞核内使之发生基因改变的,尤其是成骨细胞的机械-生物学效应一直是研究的热点。例如,Sandy 等〔1〕给予鼠成骨细胞机械力后,细胞c-AMP及IP水平增高;Somjen等〔2〕的研究发现外力诱导骨改建是通过PGE2介导的;Carvalho等〔3〕观察了机械力作用下成骨肉瘤细胞整合素的表达情况,认为机械力通过作用于细胞跨膜蛋白,进而使细胞骨架发生改变,将细胞外机械信号传递至胞内;Clover等〔4〕的研究也认为整合素参与了机械力向生物信号转换的过程。Komuro等〔5〕曾观察了机械力作用后心肌细胞立即早期基因的表达情况,认为早期的信号改变是通过它们介导的。然而有关成骨细胞在受机械力作用后,胞内第三信使表达的报道很少。因而,本研究力图通过此途径了解成骨细胞核内立即早期基因的改变情况。
, http://www.100md.com
原癌基因c-fos属于立即早期基因,即当外界信号引起细胞核内某些基因激活时,可以在数十分钟内作出反应,其表达的核磷蛋白(FOS)被认为是在外界刺激与转录偶联的信息传导过程中起着核内第三信使的作用〔6〕,可以通过免疫组化方法检测出来。c-fos作为一种快速反应基因,不是通过直接与DNA链结合来刺激基因的表达,而是通过与原癌基因c-jun的核磷蛋白形成异源二聚体,与目的基因内的AP-1调节位点结合,进一步激活目的核基因的表达而最终对该刺激作出反应。因此本实验通过FOS表达来观察成骨细胞在受到外力作用后核内基因的进一步改变。
本文利用向培养的兔成骨细胞施加大气压力后,通过免疫组化技术观察FOS蛋白的表达情况,发现几乎所有的成骨细胞均为FOS免疫组化阳性反应。说明用显示蛋白的手段也能够反应细胞核内基因的变化情况,可以推测机械信号作用于细胞膜后,通过细胞骨架的传导作用,使信号进一步传至核内,核内立即早期基因表达,从而引起最终的生物学信号改变。给培养的细胞加力的手段很多,如用空气压缩机使培养板底部的弹性膜伸长、直接用机械装置作用于培养板底部的弹性膜以及用离心机时细胞产生旋转作用等〔7〕。本文所采用的是一种十分简单有效的方法,当培养瓶内空气压力增大后,所有细胞受力应当是均匀一致的。因而当变化真实存在时,所有细胞的反应是一致的,当然选择生活状态良好的细胞是十分重要的。
, http://www.100md.com
正畸用外力使牙齿移动时,力作用于牙齿后牙周膜受力,牙周膜内的成骨细胞、牙周膜成纤维细胞等接受到机械信号。关于这种信号转换过程有许多理论,如:骨压电效应学说、骨转化学说等,但这些理论均未解决细胞核内信号发生变化的问题,因而利用体外实验研究培养的细胞在受到机械力后,机械信号向生物学信号转变的过程是一种很好的研究手段。
本课题为国家自然科学基金资助项目 编号 39800033
参考文献
1Sandy JR, Meghji S, Farndale RW, et al. Dual elevation of cyclic AMP and inositol phosphates in response to mechanical deformation of murine osteoblasts. Biochem Biophys Acta, 1989,1010:265
, 百拇医药
2 Somjen D, Binderman I, Berger E, et al. Bone remodeling induced by physical stress is prostaglandin E2 mediated. Biochem Biophys Acta, 1980,59:722
3 Carvalho BS, Scott JE, Yen E. The effects of mechanical stimulation on the distribulation of β1 integrin and expression of β1 integrin mRNA in TE-85 human osteosarcoma cells. Archs Oral Biol, 1995,40(3):257
4 Clover J, Doodds RA, Gowen M.Integrin subunit expression by human osteoblasts and osteoclasts in situ and in culture.J Cell Sci, 1992,103:267
, http://www.100md.com
5 Komuro I, Kaida Y, Mathews MB, et al. Stretching cardiac myocytes stimulates protooncogene expression. J Biol Chem, 1990,265:3595
6 王晓民,纪如荣,韩济生. 原癌基因与痛觉调制 .生理科学进展, 1991,22(4):293
7 Bane AJ, Gilbert J, Taylor D, et al. A new vaccum-operated stress-providing instrument that applies static or variable duration cyclic tension or compression to cells in vitro. J Cell Sci, 1985,75:35
(收稿:1997-12-18修回:1998-08-28), 百拇医药