细胞凋亡及其相关基因Bcl-2和Bax在大鼠正畸牙槽骨改建中的作用
作者:张云飞 段银钟 金 岩 余 擎 赵书芳
单位:西安第四军医大学口腔医学院 710032
关键词:细胞凋亡;牙槽突;较少牙移动;基因表达
实用口腔医学杂志990204 〔摘要〕 目的:观察大鼠正畸牙齿移动中牙槽骨的细胞凋亡现象以及凋亡相关基因Bcl-2和Bax的表达,初步探讨细胞凋亡在牙槽骨改建中的作用。方法:选用25只健康雄性SD大鼠,用单簧圈别针簧矫治器推上颌切牙侧向移动,于加力后1、3、5、7 d系列观察牙槽骨中细胞凋亡及其相关基因Bcl-2和Bax的表达,以正常组为对照,用免疫组织化学方法和TUNEL法进行检测。结果:正常牙槽骨组织中存在凋亡细胞,主要见于骨细胞,呈散在性分布,数量较少。牙齿移动时,压力侧牙槽骨改建活跃,凋亡细胞有增多趋势,而张力侧牙槽骨凋亡细胞呈减少趋势。在成骨细胞、破骨细胞、透明性变区未检测到凋亡细胞。Bcl-2和 Bax在正常牙槽骨细胞均有表达,在压力侧Bax的表达强于Bcl-2,在成骨细胞和破骨细胞Bcl-2的表达强于Bax。结论:细胞凋亡及其相关基因Bcl-2和 Bax参与了正畸牙齿移动过程中牙槽骨的改建过程。
, http://www.100md.com
Apoptosis and the expression of Bcl-2 and Bax during
orthodontic alveolar bone remodeling in rat
Zhang Yunfei,Duan Yinzhong,Jin Yan,et al.
Department of Orthodontics,Stomatological Hospital,Fourth Military Medical University,Xi'an 710032
〔Abstract〕 Objective:To investigate the role of apoptosis and its related gene Bcl-2 and Bax in rat alveolar bone remodeling during orthodontic tooth movement.Methods:Orthodontic tooth movement of upper incisors was performed in twenty-five male SD rats.The histological changes,apoptosis and the expression of Bcl-2 and Bax were observed in the surrounding alveolar bone 1,3,5 and 7 days after orthodontic tooth movement with HE staining,immunohistochemical technic and TUNEL methods .Results:Apoptotic osteocytes were observed in normal rat alveolar bone.During tooth movement,the number of apoptotic cells were increasing in pressed zone and were decreasing in tensed zone.Apoptosis was not detected in osteoblasts,osteoclasts and hyalinization in this study.The immunoreactivities of Bcl-2 and Bax were weak positive in normal alveolar bone.The intensity of immunoreactivities of Bax was stronger than that of Bcl-2 in pressed zone.And the immunoreactivities of Bcl-2 was stronger than that of Bax in osteoblasts and osteoclasts.Conclusion:Apoptosis and its related gene Bcl-2 and Bax participate in alveolar bone remodeling during orthodontic tooth movement.
, 百拇医药
Key words Apopotiosis;Alveolar process;Minor tooth movement;Genes expression
细胞凋亡(Apoptosis)是基因调控下的细胞主动的有序的死亡过程,又称程序性细胞死亡 (programmed cell death,PCD), 它在个体发育和维持机体内环境稳定方面具有重要的生物学意义 〔2〕。有研究发现,细胞凋亡与人体许多部位的骨改建有密切关系〔2〕,但对细胞凋亡在正畸牙槽骨改建中的作用所知甚少。本研究初步探讨了正畸牙齿移动中牙槽骨改建与细胞凋亡的关系,以加深对正畸牙齿移动机理的认识。
1 材料与方法
1.1 动物及分组
选用25只健康雄性SD大鼠(本校实验动物中心提供),体重(200±20) g,随机分为5组:正常对照组、牙齿移动1 d组、3 d组、5 d组、7 d组,每组5只。
, http://www.100md.com
1.2 大鼠正畸牙齿移动实验模型的建立
本实验采用大鼠上颌切牙为实验牙。大鼠经846液(0.20 ml/kg,长春动物研究所)肌注麻醉后仰卧固定,细金钢砂钻(登士伯公司)在上颌切牙牙颈部制备贯穿洞,采用0.4 mm直径的牙用不锈钢丝(陕西钢铁研究所医疗器材厂,第四军医大学口腔医学院)弯制单簧圈别针簧矫治器推切牙向两侧移动,小圈的直径为1.5 mm。用测力计(德国)测定其开大程度与力值间的关系,调节别针簧的开大程度,使作用于切牙的力值为0.19 N(20 g力),将其双臂插入两切牙上所制备洞内,末端回弯以防止脱位。实验组大鼠分别于1、3、5、7 d麻醉下放血处死,40 g/L多聚甲醛固定液心内灌注,取材后放入40 g/L多聚甲醛固定液中再固定24 h,甲酸-甲酸钠溶液(Krinstensen脱钙液)脱钙1周,系列乙醇脱水,二甲苯置换至石蜡包埋。常规石蜡切片,厚度4 μm,行HE染色、免疫组化和TUNEL法检测。
1.3 免疫组化染色步骤
, 百拇医药
按照美国ZYMED公司SP免疫组化试剂盒的步骤操作:切片经二甲苯脱蜡后梯度酒精水化,用微波法进行抗原修复(0.01 mol/L柠檬酸钠缓冲液,pH6.0,微波炉加热至92~98 ℃之间并持续15 min),自然冷却后PBS洗3次,体积分数为3%H2O2消除内源性过氧化物酶的活性(37 ℃10 min),用体积分数为10%正常山羊血清封闭(37 ℃20 min)后分别滴加1∶50的Bcl-2和Bax兔抗大鼠一抗工作液(北京中山生物技术有限公司),4 ℃过夜后复温1 h,PBS洗5 min×3次,然后滴加1∶100的生物素标记二抗(北京中山生物技术有限公司)(37 ℃30 min),PBS洗5 min×3次,然后滴加1∶100的辣根酶标记链霉卵白素(北京中山生物技术有限公司)(37℃30 min),PBS洗5 min×3次,DAB显色剂(北京中山生物技术有限公司)显色20 min后终止反应,苏木精复染,脱水,透明,封片。阴性对照:用PBS代替一抗工作液。
1.4 TUNEL(Terminal dUTP-X Nick End Labeling)法标记凋亡细胞
, http://www.100md.com
按照德国Boehringer Mannhelm公司细胞凋亡试剂盒的步骤操作:切片脱蜡至水,滴加蛋白酶K(37 ℃30 min),PBS洗3次,加TUNEL反应液(37 ℃60 min),PBS洗3次,滴加标有碱性磷酸酶的抗荧光素抗体(37 ℃30 min),PBS洗3次,用NBT/BCIP显色20 min后PBS再洗3次,脱水,透明,封片。阳性对照:标记反应前用200 μg/L DNA酶(Sigma公司)处理切片。阴性对照:用标记液代替TUNEL反应液。
2 结 果
HE染色:光镜下可见压力侧牙周膜腔变窄,牙槽骨边缘出现骨吸收陷窝,内有多核破骨细胞,5 d和7 d组可见明显的透明性变区。张力侧牙周膜腔增宽,牙槽骨边缘可见链状排列的成骨细胞和指状新骨形成。5 d和7 d组可见切牙中缝扩大,中缝内细胞成分增多,新骨形成。
TUNEL法检测:蓝紫色细胞核为凋亡阳性细胞,不显色的细胞核为阴性细胞(图1)。正常牙槽骨组织中的凋亡细胞主要见于改建活跃的部位,如牙槽嵴顶、磨牙的根分叉和根尖区的骨细胞,在骨基质中呈散在性分布,没有规律性,数量较少,平均每个高倍镜视野(400×)可见2~3个典型的凋亡阳性细胞,约占细胞总数的5%(图2)。牙齿移动1 d组、3 d组和5 d组,压力侧牙槽骨内凋亡阳性细胞略有增多,平均每个高倍镜视野(400×)可见4~5个凋亡阳性细胞,但不排除假阳性的变性和坏死细胞。5 d组和7 d组压力侧的凋亡阳性细胞数量无明显差异。5 d组和7 d组压力侧出现透明性变区,在TUNEL法检测中,这些部位呈均匀的深蓝色,为非特异性着色,本实验在透明性变区及其周围未检测到凋亡细胞。在张力侧牙槽骨内,1 d组和3 d组可检测到凋亡细胞,数量与正常组相似,5 d组和7 d组凋亡细胞呈减少趋势,在多数高倍镜视野里已检测不到典型的凋亡细胞。本实验未检测到压力侧调亡破骨细胞和张力侧凋亡成骨细胞。经DNA酶处理的阳性对照切片中所有细胞核均为阳性,阴性对照切片中细胞核均未显色。
, http://www.100md.com
图1 牙槽骨中的凋亡细胞(箭头)TUNEL法×330
图2 牙槽骨的凋亡细胞(箭头)TUNEL法×132
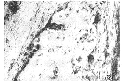
免疫组化染色显示:Bcl-2和Bax阳性表达为棕黄色着色,主要定位于细胞浆,在部分细胞膜上也有表达。在正常牙槽骨的骨细胞,Bcl-2 和Bax均呈弱阳性表达。牙齿移动时,Bax在压力侧骨细胞的免疫反应强度要大于Bcl-2,两者在张力侧的表达与正常组相似。牙齿移动5 d组和7 d组,Bcl-2在压力侧的破骨细胞(图3)和张力侧的成骨细胞呈阳性表达(图4),而Bax为弱阳性表达。
图3 压力侧破骨细胞Bcl-2免疫反应阳性(箭头)SP法×132
, 百拇医药
图4 张力侧成骨细胞Bcl-2免疫反应阳性(箭头)SP法×132
3 讨 论
在生物体内存在两种不同的细胞死亡方式,一种是细胞坏死(necrosis),另一种是细胞凋亡(apoptosis),两者有着本质区别〔3〕。细胞凋亡是细胞的正常死亡过程,和细胞的生长、分化、增殖一样,都是生命活动的正常组成部分,它有着特殊的生物学意义,例如保持细胞繁殖和细胞死亡之间的平衡,及时清除无用和有害的细胞,维持机体内环境稳定等 〔1〕 。 Noble等〔2〕采用多种方法检测正常成人、婴儿及病变骨中原位骨细胞凋亡的研究发现,细胞凋亡与骨改建有密切关系。本实验采用TUNEL法在正常牙槽骨和改建的牙槽骨中都检测到了凋亡细胞,而且实验组与正常组相比,凋亡细胞存在一定的变化趋势,说明细胞凋亡参与了牙槽骨的改建过程。牙槽骨是经常进行改建的组织,始终伴随着细胞的新老更替,而且正畸牙齿移动时牙槽骨需进行更加活跃的改建,细胞存在大量的增殖和死亡,有新生必有凋亡。本研究发现在牙槽骨改建中存在细胞凋亡现象,这符合牙槽骨的生物学特性,但究竟细胞凋亡在牙槽骨改建中起什么作用,还有待于进一步研究。
, http://www.100md.com
以往的研究重点是压力侧细胞的变性和坏死,而未提及细胞凋亡。有学者研究发现:缺血性坏死区周围有典型的凋亡细胞,细胞凋亡和细胞坏死均参与了组织的损伤修复过程〔7〕。在正畸牙齿移动过程中,正畸力使压力侧细胞发生缺血性坏死,形成透明性变区。本研究在透明性变区及其周围未检测到典型的凋亡细胞,但在压力侧牙槽骨内有凋亡细胞,至少可以说明,细胞凋亡与细胞坏死一样是牙槽骨改建中的细胞死亡形式之一,提示细胞凋亡也是正畸牙齿移动中的组织学现象之一。体外研究发现,在某些生长因子或细胞因子的作用下,培养的成骨细胞和破骨细胞会发生凋亡〔5,6〕。本实验的动物标本未能检测到凋亡的成骨细胞或破骨细胞,可能与该模型的细胞处于旺盛的生长期有关。
本研究结果显示:凋亡相关基因Bcl-2和Bax在牙槽骨细胞、破骨细胞、成骨细胞均有表达,说明它们参与了牙槽骨的改建过程。以往的研究证实Bcl-2能抑制细胞发生凋亡和延长细胞的存活时间,而Bax能促进细胞凋亡,两者在同一细胞的表达强弱可能是该细胞走向凋亡或是保持存活的调控因素之一〔8〕。本实验中Bcl-2和Bax的表达情况与细胞凋亡的检测结果有一定的相关性,在有增殖活性的成骨细胞和存活时间较长的破骨细胞,Bcl-2的表达强于Bax,在这些细胞未发现凋亡。在压力侧Bax的表达强于Bcl-2,凋亡细胞有增多趋势,也从另一个角度反映出Bcl-2和Bax与牙槽骨组织的细胞凋亡调控有关。
, 百拇医药
TUNEL法又称原位末端标记技术,该法可以在常规固定的细胞或脱矿的组织切片上进行原位标记,以显示被检组织有无DNA碎片存在。在排除细胞坏死的前提下,可显示细胞凋亡的组织分布及记数,是一种快速、方便且灵敏度和特异性较高的检测方法。本实验使用此方法在牙槽骨组织标记凋亡细胞获得肯定的结果,但由于任何切片反映的都是一个局部,而且细胞凋亡是非同步发生的,在数分钟内完成,并在几小时内被吞噬〔9〕,因此本实验尚无法全面观察牙槽骨内凋亡细胞的数量,只能作为一种定性分析的结果。另外,本实验不能排除压力侧变性或坏死细胞的假阳性结果,还需结合DNA电泳、电镜等其它研究细胞凋亡的方法进一步分析。正畸牙齿移动和牙槽骨改建是许多因素综合作用的结果。根据细胞凋亡的生物学功能,作者推测:凋亡机理对限制压力侧组织的持续性损伤和维持牙槽骨改建过程中细胞数目的稳定性可能有一定作用,Bcl-2和Bax参与了牙槽骨改建过程中细胞凋亡的调控,但细胞凋亡的调控因素和影响因素很多,要想系统了解它们在牙槽骨改建中的作用和关系,有待于进一步研究和探讨。
, http://www.100md.com 参考文献
1 Jacobson MD, Weil M, Raff MC. Programmed cell death in animal development. Cell, 1991,65:1097
2 Noble BS, Stevens H, Loveridge N,et al. Identification of apoptotic changes in osteocytes in normal and pathological human bone, Bone 1997,20(3):273
4 Columbano A. Cell death:Current difficuties in discriminating apoptosis from necrosis in the context of pathological processes in vivo. J Cell Biochem, 1995,92:9363
, 百拇医药
5 Jilka RL, Weinstein RS, Bellido T,et al.Osteoblast programmed cell death (apoptosis):Modulation by growth factors and cytokines. J Bone Miner Res, 1998,13(5):793
6 Hughes DE, Dai A, Tiffee JC, et al.Estrogen promots apoptosis of murine osteoclasts mediated by TGF-β. Nature Med, 1996,2:1132
7 Saraste A, Pulkki K, Kallajoki M, et al. Apoptosis in human acute myocardial infarction. Circulation, 1997,95:320
8 ltvai Z, Milliman C, Korsmeyer SJ. Bcl-2 heterodimerizes in vivo with a conserved homolog. Bax, that accelerates programmed cell death. Cell, 1993,74:609
9 Bursch W, Kleine L, Tenniswood M. The biochemistry of cell death by apoptosis.Biochem Cell Biol, 1990,88:1073
(收稿:1998-12-25修回1999-01-20), 百拇医药
单位:西安第四军医大学口腔医学院 710032
关键词:细胞凋亡;牙槽突;较少牙移动;基因表达
实用口腔医学杂志990204 〔摘要〕 目的:观察大鼠正畸牙齿移动中牙槽骨的细胞凋亡现象以及凋亡相关基因Bcl-2和Bax的表达,初步探讨细胞凋亡在牙槽骨改建中的作用。方法:选用25只健康雄性SD大鼠,用单簧圈别针簧矫治器推上颌切牙侧向移动,于加力后1、3、5、7 d系列观察牙槽骨中细胞凋亡及其相关基因Bcl-2和Bax的表达,以正常组为对照,用免疫组织化学方法和TUNEL法进行检测。结果:正常牙槽骨组织中存在凋亡细胞,主要见于骨细胞,呈散在性分布,数量较少。牙齿移动时,压力侧牙槽骨改建活跃,凋亡细胞有增多趋势,而张力侧牙槽骨凋亡细胞呈减少趋势。在成骨细胞、破骨细胞、透明性变区未检测到凋亡细胞。Bcl-2和 Bax在正常牙槽骨细胞均有表达,在压力侧Bax的表达强于Bcl-2,在成骨细胞和破骨细胞Bcl-2的表达强于Bax。结论:细胞凋亡及其相关基因Bcl-2和 Bax参与了正畸牙齿移动过程中牙槽骨的改建过程。
, http://www.100md.com
Apoptosis and the expression of Bcl-2 and Bax during
orthodontic alveolar bone remodeling in rat
Zhang Yunfei,Duan Yinzhong,Jin Yan,et al.
Department of Orthodontics,Stomatological Hospital,Fourth Military Medical University,Xi'an 710032
〔Abstract〕 Objective:To investigate the role of apoptosis and its related gene Bcl-2 and Bax in rat alveolar bone remodeling during orthodontic tooth movement.Methods:Orthodontic tooth movement of upper incisors was performed in twenty-five male SD rats.The histological changes,apoptosis and the expression of Bcl-2 and Bax were observed in the surrounding alveolar bone 1,3,5 and 7 days after orthodontic tooth movement with HE staining,immunohistochemical technic and TUNEL methods .Results:Apoptotic osteocytes were observed in normal rat alveolar bone.During tooth movement,the number of apoptotic cells were increasing in pressed zone and were decreasing in tensed zone.Apoptosis was not detected in osteoblasts,osteoclasts and hyalinization in this study.The immunoreactivities of Bcl-2 and Bax were weak positive in normal alveolar bone.The intensity of immunoreactivities of Bax was stronger than that of Bcl-2 in pressed zone.And the immunoreactivities of Bcl-2 was stronger than that of Bax in osteoblasts and osteoclasts.Conclusion:Apoptosis and its related gene Bcl-2 and Bax participate in alveolar bone remodeling during orthodontic tooth movement.
, 百拇医药
Key words Apopotiosis;Alveolar process;Minor tooth movement;Genes expression
细胞凋亡(Apoptosis)是基因调控下的细胞主动的有序的死亡过程,又称程序性细胞死亡 (programmed cell death,PCD), 它在个体发育和维持机体内环境稳定方面具有重要的生物学意义 〔2〕。有研究发现,细胞凋亡与人体许多部位的骨改建有密切关系〔2〕,但对细胞凋亡在正畸牙槽骨改建中的作用所知甚少。本研究初步探讨了正畸牙齿移动中牙槽骨改建与细胞凋亡的关系,以加深对正畸牙齿移动机理的认识。
1 材料与方法
1.1 动物及分组
选用25只健康雄性SD大鼠(本校实验动物中心提供),体重(200±20) g,随机分为5组:正常对照组、牙齿移动1 d组、3 d组、5 d组、7 d组,每组5只。
, http://www.100md.com
1.2 大鼠正畸牙齿移动实验模型的建立
本实验采用大鼠上颌切牙为实验牙。大鼠经846液(0.20 ml/kg,长春动物研究所)肌注麻醉后仰卧固定,细金钢砂钻(登士伯公司)在上颌切牙牙颈部制备贯穿洞,采用0.4 mm直径的牙用不锈钢丝(陕西钢铁研究所医疗器材厂,第四军医大学口腔医学院)弯制单簧圈别针簧矫治器推切牙向两侧移动,小圈的直径为1.5 mm。用测力计(德国)测定其开大程度与力值间的关系,调节别针簧的开大程度,使作用于切牙的力值为0.19 N(20 g力),将其双臂插入两切牙上所制备洞内,末端回弯以防止脱位。实验组大鼠分别于1、3、5、7 d麻醉下放血处死,40 g/L多聚甲醛固定液心内灌注,取材后放入40 g/L多聚甲醛固定液中再固定24 h,甲酸-甲酸钠溶液(Krinstensen脱钙液)脱钙1周,系列乙醇脱水,二甲苯置换至石蜡包埋。常规石蜡切片,厚度4 μm,行HE染色、免疫组化和TUNEL法检测。
1.3 免疫组化染色步骤
, 百拇医药
按照美国ZYMED公司SP免疫组化试剂盒的步骤操作:切片经二甲苯脱蜡后梯度酒精水化,用微波法进行抗原修复(0.01 mol/L柠檬酸钠缓冲液,pH6.0,微波炉加热至92~98 ℃之间并持续15 min),自然冷却后PBS洗3次,体积分数为3%H2O2消除内源性过氧化物酶的活性(37 ℃10 min),用体积分数为10%正常山羊血清封闭(37 ℃20 min)后分别滴加1∶50的Bcl-2和Bax兔抗大鼠一抗工作液(北京中山生物技术有限公司),4 ℃过夜后复温1 h,PBS洗5 min×3次,然后滴加1∶100的生物素标记二抗(北京中山生物技术有限公司)(37 ℃30 min),PBS洗5 min×3次,然后滴加1∶100的辣根酶标记链霉卵白素(北京中山生物技术有限公司)(37℃30 min),PBS洗5 min×3次,DAB显色剂(北京中山生物技术有限公司)显色20 min后终止反应,苏木精复染,脱水,透明,封片。阴性对照:用PBS代替一抗工作液。
1.4 TUNEL(Terminal dUTP-X Nick End Labeling)法标记凋亡细胞
, http://www.100md.com
按照德国Boehringer Mannhelm公司细胞凋亡试剂盒的步骤操作:切片脱蜡至水,滴加蛋白酶K(37 ℃30 min),PBS洗3次,加TUNEL反应液(37 ℃60 min),PBS洗3次,滴加标有碱性磷酸酶的抗荧光素抗体(37 ℃30 min),PBS洗3次,用NBT/BCIP显色20 min后PBS再洗3次,脱水,透明,封片。阳性对照:标记反应前用200 μg/L DNA酶(Sigma公司)处理切片。阴性对照:用标记液代替TUNEL反应液。
2 结 果
HE染色:光镜下可见压力侧牙周膜腔变窄,牙槽骨边缘出现骨吸收陷窝,内有多核破骨细胞,5 d和7 d组可见明显的透明性变区。张力侧牙周膜腔增宽,牙槽骨边缘可见链状排列的成骨细胞和指状新骨形成。5 d和7 d组可见切牙中缝扩大,中缝内细胞成分增多,新骨形成。
TUNEL法检测:蓝紫色细胞核为凋亡阳性细胞,不显色的细胞核为阴性细胞(图1)。正常牙槽骨组织中的凋亡细胞主要见于改建活跃的部位,如牙槽嵴顶、磨牙的根分叉和根尖区的骨细胞,在骨基质中呈散在性分布,没有规律性,数量较少,平均每个高倍镜视野(400×)可见2~3个典型的凋亡阳性细胞,约占细胞总数的5%(图2)。牙齿移动1 d组、3 d组和5 d组,压力侧牙槽骨内凋亡阳性细胞略有增多,平均每个高倍镜视野(400×)可见4~5个凋亡阳性细胞,但不排除假阳性的变性和坏死细胞。5 d组和7 d组压力侧的凋亡阳性细胞数量无明显差异。5 d组和7 d组压力侧出现透明性变区,在TUNEL法检测中,这些部位呈均匀的深蓝色,为非特异性着色,本实验在透明性变区及其周围未检测到凋亡细胞。在张力侧牙槽骨内,1 d组和3 d组可检测到凋亡细胞,数量与正常组相似,5 d组和7 d组凋亡细胞呈减少趋势,在多数高倍镜视野里已检测不到典型的凋亡细胞。本实验未检测到压力侧调亡破骨细胞和张力侧凋亡成骨细胞。经DNA酶处理的阳性对照切片中所有细胞核均为阳性,阴性对照切片中细胞核均未显色。
, http://www.100md.com
图1 牙槽骨中的凋亡细胞(箭头)TUNEL法×330
图2 牙槽骨的凋亡细胞(箭头)TUNEL法×132
免疫组化染色显示:Bcl-2和Bax阳性表达为棕黄色着色,主要定位于细胞浆,在部分细胞膜上也有表达。在正常牙槽骨的骨细胞,Bcl-2 和Bax均呈弱阳性表达。牙齿移动时,Bax在压力侧骨细胞的免疫反应强度要大于Bcl-2,两者在张力侧的表达与正常组相似。牙齿移动5 d组和7 d组,Bcl-2在压力侧的破骨细胞(图3)和张力侧的成骨细胞呈阳性表达(图4),而Bax为弱阳性表达。
图3 压力侧破骨细胞Bcl-2免疫反应阳性(箭头)SP法×132
, 百拇医药
图4 张力侧成骨细胞Bcl-2免疫反应阳性(箭头)SP法×132
3 讨 论
在生物体内存在两种不同的细胞死亡方式,一种是细胞坏死(necrosis),另一种是细胞凋亡(apoptosis),两者有着本质区别〔3〕。细胞凋亡是细胞的正常死亡过程,和细胞的生长、分化、增殖一样,都是生命活动的正常组成部分,它有着特殊的生物学意义,例如保持细胞繁殖和细胞死亡之间的平衡,及时清除无用和有害的细胞,维持机体内环境稳定等 〔1〕 。 Noble等〔2〕采用多种方法检测正常成人、婴儿及病变骨中原位骨细胞凋亡的研究发现,细胞凋亡与骨改建有密切关系。本实验采用TUNEL法在正常牙槽骨和改建的牙槽骨中都检测到了凋亡细胞,而且实验组与正常组相比,凋亡细胞存在一定的变化趋势,说明细胞凋亡参与了牙槽骨的改建过程。牙槽骨是经常进行改建的组织,始终伴随着细胞的新老更替,而且正畸牙齿移动时牙槽骨需进行更加活跃的改建,细胞存在大量的增殖和死亡,有新生必有凋亡。本研究发现在牙槽骨改建中存在细胞凋亡现象,这符合牙槽骨的生物学特性,但究竟细胞凋亡在牙槽骨改建中起什么作用,还有待于进一步研究。
, http://www.100md.com
以往的研究重点是压力侧细胞的变性和坏死,而未提及细胞凋亡。有学者研究发现:缺血性坏死区周围有典型的凋亡细胞,细胞凋亡和细胞坏死均参与了组织的损伤修复过程〔7〕。在正畸牙齿移动过程中,正畸力使压力侧细胞发生缺血性坏死,形成透明性变区。本研究在透明性变区及其周围未检测到典型的凋亡细胞,但在压力侧牙槽骨内有凋亡细胞,至少可以说明,细胞凋亡与细胞坏死一样是牙槽骨改建中的细胞死亡形式之一,提示细胞凋亡也是正畸牙齿移动中的组织学现象之一。体外研究发现,在某些生长因子或细胞因子的作用下,培养的成骨细胞和破骨细胞会发生凋亡〔5,6〕。本实验的动物标本未能检测到凋亡的成骨细胞或破骨细胞,可能与该模型的细胞处于旺盛的生长期有关。
本研究结果显示:凋亡相关基因Bcl-2和Bax在牙槽骨细胞、破骨细胞、成骨细胞均有表达,说明它们参与了牙槽骨的改建过程。以往的研究证实Bcl-2能抑制细胞发生凋亡和延长细胞的存活时间,而Bax能促进细胞凋亡,两者在同一细胞的表达强弱可能是该细胞走向凋亡或是保持存活的调控因素之一〔8〕。本实验中Bcl-2和Bax的表达情况与细胞凋亡的检测结果有一定的相关性,在有增殖活性的成骨细胞和存活时间较长的破骨细胞,Bcl-2的表达强于Bax,在这些细胞未发现凋亡。在压力侧Bax的表达强于Bcl-2,凋亡细胞有增多趋势,也从另一个角度反映出Bcl-2和Bax与牙槽骨组织的细胞凋亡调控有关。
, 百拇医药
TUNEL法又称原位末端标记技术,该法可以在常规固定的细胞或脱矿的组织切片上进行原位标记,以显示被检组织有无DNA碎片存在。在排除细胞坏死的前提下,可显示细胞凋亡的组织分布及记数,是一种快速、方便且灵敏度和特异性较高的检测方法。本实验使用此方法在牙槽骨组织标记凋亡细胞获得肯定的结果,但由于任何切片反映的都是一个局部,而且细胞凋亡是非同步发生的,在数分钟内完成,并在几小时内被吞噬〔9〕,因此本实验尚无法全面观察牙槽骨内凋亡细胞的数量,只能作为一种定性分析的结果。另外,本实验不能排除压力侧变性或坏死细胞的假阳性结果,还需结合DNA电泳、电镜等其它研究细胞凋亡的方法进一步分析。正畸牙齿移动和牙槽骨改建是许多因素综合作用的结果。根据细胞凋亡的生物学功能,作者推测:凋亡机理对限制压力侧组织的持续性损伤和维持牙槽骨改建过程中细胞数目的稳定性可能有一定作用,Bcl-2和Bax参与了牙槽骨改建过程中细胞凋亡的调控,但细胞凋亡的调控因素和影响因素很多,要想系统了解它们在牙槽骨改建中的作用和关系,有待于进一步研究和探讨。
, http://www.100md.com 参考文献
1 Jacobson MD, Weil M, Raff MC. Programmed cell death in animal development. Cell, 1991,65:1097
2 Noble BS, Stevens H, Loveridge N,et al. Identification of apoptotic changes in osteocytes in normal and pathological human bone, Bone 1997,20(3):273
4 Columbano A. Cell death:Current difficuties in discriminating apoptosis from necrosis in the context of pathological processes in vivo. J Cell Biochem, 1995,92:9363
, 百拇医药
5 Jilka RL, Weinstein RS, Bellido T,et al.Osteoblast programmed cell death (apoptosis):Modulation by growth factors and cytokines. J Bone Miner Res, 1998,13(5):793
6 Hughes DE, Dai A, Tiffee JC, et al.Estrogen promots apoptosis of murine osteoclasts mediated by TGF-β. Nature Med, 1996,2:1132
7 Saraste A, Pulkki K, Kallajoki M, et al. Apoptosis in human acute myocardial infarction. Circulation, 1997,95:320
8 ltvai Z, Milliman C, Korsmeyer SJ. Bcl-2 heterodimerizes in vivo with a conserved homolog. Bax, that accelerates programmed cell death. Cell, 1993,74:609
9 Bursch W, Kleine L, Tenniswood M. The biochemistry of cell death by apoptosis.Biochem Cell Biol, 1990,88:1073
(收稿:1998-12-25修回1999-01-20), 百拇医药