稳定表达骨形成蛋白II型突变受体的NIH3T3细胞的建立及鉴定
作者:刘源 金岩 李媛 赵宇
单位:第四军医大学口腔病理教研室 710032
关键词:成纤维细胞;骨形成蛋白;受体;转染
实用口腔医学杂志000403〔摘要〕目的:建立稳定表达BMPs II型突变受体的NIH3T3细胞株。方法:用FuGENE6 Transfection Reagent Kit真核转染试剂盒将携带BMPs II型突变受体的cDNA的真核表达载体转染NIH3T3细胞。结果:得到抗G-418的阳性细胞克隆转染细胞,neo基因原位杂交阳性。结论:成功建立了稳定表达BMPs II型突变受体的NIH3T3细胞株。
中图分类号:R780.2 文献标识码:A
文章编号:1001-3733(2000)04-0261-03
, 百拇医药
Gene transfection of a truncated type II receptor of BMP-2 into the NIH3T3 fibroblasts
Liu Yuan,Jin Yan,Li Yuan,et al.
(Department of Oral Pathology,Stomatological College,Fourth Military Medical University Xi'an,710032)
〔Abstract〕Objective:To establish a NIH3T3 cell line which express a truncated BMP-2 type II receptor.Methods:The cDNA of BMP-2 type II receptor was transfected into NIH3T3 cells by using FuGENE6 Transfection Reagent Kit.Results:Cell clones with G-418 resistance and positive signals of mRNA of neo gene were obtained.Conclusion:The cDNA for BMP-2 type II receptor is successfully transfected into NIH3T3 cells.
, http://www.100md.com
Key words Fibroblast;Bone morphogenetic protein;Receptor;Transfection
骨形成蛋白(BMPs)不仅在骨,软骨及与骨骼有关的结缔组织的形成上有重要作用 ,而且在胚胎发育、器官形成及细胞分化中起着十分重要的调控作用〔1,2〕。与其它TGF-β超家族成员一样,BMPs在细胞表面与BMP的I、II型受体相互作用,I型受体可以和过量的配体结合,而II型受体与配体的结合则是特异性的〔2〕。为研究BMPs信号转导在组织发育和细胞分化中的作用,我们以BMPs II型突变受体的基因为目的基因,以小鼠成纤维细胞为载体细胞,建立了稳定表达BMPs II型突变受体的细胞,从而为进一步从信号转导水平探讨BMP对细胞分化及组织器官发育的调控奠定了基础。
1 材料和方法
1.1 材料
, http://www.100md.com
pC-4质粒为含有BMPs II型突变受体cDNA(cDNA由日本Kawasaki医学院分子生物所的Nohno教授提供)的真核表达载体(由本实验室构建);FuGENE6 transfection reagent kit 为Boehringer Mannheim公司产品;G-418为Gibco公司产品; NIH3T3细胞由西京医院刘松波博士提供;neo基因探针由本实验室岳文博士提供。
1.2 NIH3T3细胞的培养
NIH3T3细胞,用含体积分数为10%胎牛血清的DMEM培养液,在37 ℃、体积分数为5%CO2、饱和湿度下培养,3 d换液1次,传代3到4次使细胞达到良好的生长状态。
1.3 BMPs II型突变受体基因的转染
①转染前一天传代到6孔培养板(3×105,2 ml培养液),在转染时细胞密度达到50%~ 80%(面积百分比);②取消毒的EP管1支,加入无血清培养液100 μl,再加入Fugene6 Transfection 试剂5 μl;③室温孵育5 min;④加入克隆有转染基因的质粒DNA 1.5 μg到另1支EP管中,体积为5 μl;⑤将②EP管中孵育好的试剂加入到④EP管中,轻弹使其混匀,室温孵育15 min;⑥将①培养板的培养液吸弃,然后将⑤中孵育好的试剂滴加入到培养孔内,轻轻转动使其均匀分布;⑦在CO2孵箱中继续培养48 h;⑧将细胞传代至培养瓶中,加入G-418 300 mg/L 进行筛选,3 d换液1次;设未转染细胞对照;⑨2周后转染细胞出现克隆性生长,用胰酶消化法转移细胞克隆,扩大培养,用Cytospin甩片机制备细胞甩片,固定于40 g/L多聚甲醛(含体积分数的1‰ DEPC)16 h,-20 ℃保存备用。
, 百拇医药
1.4 转染后鉴定
1.4.1 neo基因探针的制备 用Hind Ⅲ和ClaⅠ双酶切质粒pDOR(neo),回收1.9 kb的片段,得到neo基因,用随机引物法标记探针。
1.4.2 原位杂交 转染细胞甩片经体积分数0.3% Triton-100、0.2mol/L HCL及蛋白酶K处理,40 g/L多聚甲醛(含体积分数为1‰ DEPC)后固定,逐级酒精脱水干燥,滴加热变性的含neo基因探针的杂交液,42 ℃过夜;2×SSC、1×SSC、0.5×SSC漂洗,正常羊血清封闭,滴加标记碱性磷酸酶的抗地高辛抗体37 ℃,2 h;BufferⅠ、BufferⅢ漂洗,NBT/BCIP暗处显色。
1.4.3 设未转染细胞对照。
2 结 果
2.1 细胞克隆
, http://www.100md.com
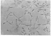
转染细胞经G-418筛选,2周后得到抗G-418的阳性细胞克隆,而未转染细胞在含G-418的培养液中逐渐全部死亡,初步证明BMPs II型突变受体基因的转染成功(见图1)。
图1 转染细胞阳性克隆(倒置显微镜×100)
2.2 neo基因原位杂交
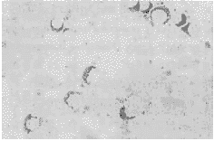
在转染细胞的胞浆中有蓝色颗粒样阳性杂交信号(图2),进一步证明BMPs II型突变受体基因的转染NIH3T3细胞成功,并有BMPs II型突变受体mRNA的表达;未转染细胞未见阳性信号(图3)。
图2 转染细胞(原位杂交×200)
, 百拇医药
图3 未转染细胞(苏木精衬染×200)
3 讨论
核酸转染技术已经成为研究基因调控及功能的重要方法。广泛应用的转染核酸技术方法包括磷酸钙共沉淀法、电穿孔法及病毒载体法〔3〕,这些方法在对细胞的转染过程中被证明有效。近年来,阳离子脂质体介导的基因转染方法应用极其广泛,与其它方法比较,重复性好,能使大多真核细胞得到高表达。FuGENE6 transfection 试剂是核酸转染技术家族的新成员,这是一种非脂质体转染技术,与以前的方法比较,对细胞的转染效率极高而毒性极小,对细胞基本没有损伤。对实验条件不象其它方法那样严格,在有血清及无血清时,都能获得极高的转染效率。
骨形成蛋白(BMPs)是一个至少包括20个成员的家族,其成员在结构上相似,但其功能在不同时期、不同阶段有着极大的差异。骨形成蛋白(BMPs)不仅在骨、软骨及与骨骼有关的结缔组织的形成上有重要作用 ,而且在胚胎发育,器官形成及细胞分化中起着十分重要的调控作用〔1,2〕。在脊椎动物中胚层的发育诱导过程中,BMPs是重要的背-腹化发育促进因子,几乎胚胎发育的关键步骤都受到了BMPs的调控〔4〕。
, 百拇医药
与其它TGF-β超家族成员一样,BMPs家族的成员都通过结合细胞表面的两种丝氨酸/苏氨酸激酶受体(即BMP I型、II型受体)发挥作用,I型、II型受体与配体结合形成异聚体,从而将BMPs信号传递给下游作用物。为研究BMPs信号转导在组织发育和细胞分化中的作用,我们以BMPs II型突变受体的cDNA为目的基因,以小鼠成纤维细胞为载体细胞,利用FuGENE6 transfection agent转染技术构建了稳定表达BMPs II型突变受体的细胞株。该细胞株可用于研究BMPs 信号对间充质细胞分化的调控,对于研究和阐明BMPs信号转导在组织发育和细胞分化中的作用具有重要意义。
参考文献
1,Wozney JM,Rosen V.Bone morphogenetic protein and morphogenetic gene family in bone formation and repair.Clin Orthop,1998,346:26
, 百拇医药
2,Coucouvanis E,Martin GR.BMP signaling plays a role in visceral endoderm differentiation and cavitation in the early mouse embryo.Development,1999,126(3):535
3,萨姆布鲁克 J,弗里奇 EF,曼尼阿蒂斯 T.分子克隆实验指南.第2版.北京:科学技术出版社,1995.46
4,Hogan BLM.Bone morphogenetic proteins:Multifunctional regulators of vertebrate development.Genes Dev,1996,10:1580
收稿:1999-12-10
修回:2000-01-18, http://www.100md.com
单位:第四军医大学口腔病理教研室 710032
关键词:成纤维细胞;骨形成蛋白;受体;转染
实用口腔医学杂志000403〔摘要〕目的:建立稳定表达BMPs II型突变受体的NIH3T3细胞株。方法:用FuGENE6 Transfection Reagent Kit真核转染试剂盒将携带BMPs II型突变受体的cDNA的真核表达载体转染NIH3T3细胞。结果:得到抗G-418的阳性细胞克隆转染细胞,neo基因原位杂交阳性。结论:成功建立了稳定表达BMPs II型突变受体的NIH3T3细胞株。
中图分类号:R780.2 文献标识码:A
文章编号:1001-3733(2000)04-0261-03
, 百拇医药
Gene transfection of a truncated type II receptor of BMP-2 into the NIH3T3 fibroblasts
Liu Yuan,Jin Yan,Li Yuan,et al.
(Department of Oral Pathology,Stomatological College,Fourth Military Medical University Xi'an,710032)
〔Abstract〕Objective:To establish a NIH3T3 cell line which express a truncated BMP-2 type II receptor.Methods:The cDNA of BMP-2 type II receptor was transfected into NIH3T3 cells by using FuGENE6 Transfection Reagent Kit.Results:Cell clones with G-418 resistance and positive signals of mRNA of neo gene were obtained.Conclusion:The cDNA for BMP-2 type II receptor is successfully transfected into NIH3T3 cells.
, http://www.100md.com
Key words Fibroblast;Bone morphogenetic protein;Receptor;Transfection
骨形成蛋白(BMPs)不仅在骨,软骨及与骨骼有关的结缔组织的形成上有重要作用 ,而且在胚胎发育、器官形成及细胞分化中起着十分重要的调控作用〔1,2〕。与其它TGF-β超家族成员一样,BMPs在细胞表面与BMP的I、II型受体相互作用,I型受体可以和过量的配体结合,而II型受体与配体的结合则是特异性的〔2〕。为研究BMPs信号转导在组织发育和细胞分化中的作用,我们以BMPs II型突变受体的基因为目的基因,以小鼠成纤维细胞为载体细胞,建立了稳定表达BMPs II型突变受体的细胞,从而为进一步从信号转导水平探讨BMP对细胞分化及组织器官发育的调控奠定了基础。
1 材料和方法
1.1 材料
, http://www.100md.com
pC-4质粒为含有BMPs II型突变受体cDNA(cDNA由日本Kawasaki医学院分子生物所的Nohno教授提供)的真核表达载体(由本实验室构建);FuGENE6 transfection reagent kit 为Boehringer Mannheim公司产品;G-418为Gibco公司产品; NIH3T3细胞由西京医院刘松波博士提供;neo基因探针由本实验室岳文博士提供。
1.2 NIH3T3细胞的培养
NIH3T3细胞,用含体积分数为10%胎牛血清的DMEM培养液,在37 ℃、体积分数为5%CO2、饱和湿度下培养,3 d换液1次,传代3到4次使细胞达到良好的生长状态。
1.3 BMPs II型突变受体基因的转染
①转染前一天传代到6孔培养板(3×105,2 ml培养液),在转染时细胞密度达到50%~ 80%(面积百分比);②取消毒的EP管1支,加入无血清培养液100 μl,再加入Fugene6 Transfection 试剂5 μl;③室温孵育5 min;④加入克隆有转染基因的质粒DNA 1.5 μg到另1支EP管中,体积为5 μl;⑤将②EP管中孵育好的试剂加入到④EP管中,轻弹使其混匀,室温孵育15 min;⑥将①培养板的培养液吸弃,然后将⑤中孵育好的试剂滴加入到培养孔内,轻轻转动使其均匀分布;⑦在CO2孵箱中继续培养48 h;⑧将细胞传代至培养瓶中,加入G-418 300 mg/L 进行筛选,3 d换液1次;设未转染细胞对照;⑨2周后转染细胞出现克隆性生长,用胰酶消化法转移细胞克隆,扩大培养,用Cytospin甩片机制备细胞甩片,固定于40 g/L多聚甲醛(含体积分数的1‰ DEPC)16 h,-20 ℃保存备用。
, 百拇医药
1.4 转染后鉴定
1.4.1 neo基因探针的制备 用Hind Ⅲ和ClaⅠ双酶切质粒pDOR(neo),回收1.9 kb的片段,得到neo基因,用随机引物法标记探针。
1.4.2 原位杂交 转染细胞甩片经体积分数0.3% Triton-100、0.2mol/L HCL及蛋白酶K处理,40 g/L多聚甲醛(含体积分数为1‰ DEPC)后固定,逐级酒精脱水干燥,滴加热变性的含neo基因探针的杂交液,42 ℃过夜;2×SSC、1×SSC、0.5×SSC漂洗,正常羊血清封闭,滴加标记碱性磷酸酶的抗地高辛抗体37 ℃,2 h;BufferⅠ、BufferⅢ漂洗,NBT/BCIP暗处显色。
1.4.3 设未转染细胞对照。
2 结 果
2.1 细胞克隆
, http://www.100md.com
转染细胞经G-418筛选,2周后得到抗G-418的阳性细胞克隆,而未转染细胞在含G-418的培养液中逐渐全部死亡,初步证明BMPs II型突变受体基因的转染成功(见图1)。
图1 转染细胞阳性克隆(倒置显微镜×100)
2.2 neo基因原位杂交
在转染细胞的胞浆中有蓝色颗粒样阳性杂交信号(图2),进一步证明BMPs II型突变受体基因的转染NIH3T3细胞成功,并有BMPs II型突变受体mRNA的表达;未转染细胞未见阳性信号(图3)。
图2 转染细胞(原位杂交×200)
, 百拇医药
图3 未转染细胞(苏木精衬染×200)
3 讨论
核酸转染技术已经成为研究基因调控及功能的重要方法。广泛应用的转染核酸技术方法包括磷酸钙共沉淀法、电穿孔法及病毒载体法〔3〕,这些方法在对细胞的转染过程中被证明有效。近年来,阳离子脂质体介导的基因转染方法应用极其广泛,与其它方法比较,重复性好,能使大多真核细胞得到高表达。FuGENE6 transfection 试剂是核酸转染技术家族的新成员,这是一种非脂质体转染技术,与以前的方法比较,对细胞的转染效率极高而毒性极小,对细胞基本没有损伤。对实验条件不象其它方法那样严格,在有血清及无血清时,都能获得极高的转染效率。
骨形成蛋白(BMPs)是一个至少包括20个成员的家族,其成员在结构上相似,但其功能在不同时期、不同阶段有着极大的差异。骨形成蛋白(BMPs)不仅在骨、软骨及与骨骼有关的结缔组织的形成上有重要作用 ,而且在胚胎发育,器官形成及细胞分化中起着十分重要的调控作用〔1,2〕。在脊椎动物中胚层的发育诱导过程中,BMPs是重要的背-腹化发育促进因子,几乎胚胎发育的关键步骤都受到了BMPs的调控〔4〕。
, 百拇医药
与其它TGF-β超家族成员一样,BMPs家族的成员都通过结合细胞表面的两种丝氨酸/苏氨酸激酶受体(即BMP I型、II型受体)发挥作用,I型、II型受体与配体结合形成异聚体,从而将BMPs信号传递给下游作用物。为研究BMPs信号转导在组织发育和细胞分化中的作用,我们以BMPs II型突变受体的cDNA为目的基因,以小鼠成纤维细胞为载体细胞,利用FuGENE6 transfection agent转染技术构建了稳定表达BMPs II型突变受体的细胞株。该细胞株可用于研究BMPs 信号对间充质细胞分化的调控,对于研究和阐明BMPs信号转导在组织发育和细胞分化中的作用具有重要意义。
参考文献
1,Wozney JM,Rosen V.Bone morphogenetic protein and morphogenetic gene family in bone formation and repair.Clin Orthop,1998,346:26
, 百拇医药
2,Coucouvanis E,Martin GR.BMP signaling plays a role in visceral endoderm differentiation and cavitation in the early mouse embryo.Development,1999,126(3):535
3,萨姆布鲁克 J,弗里奇 EF,曼尼阿蒂斯 T.分子克隆实验指南.第2版.北京:科学技术出版社,1995.46
4,Hogan BLM.Bone morphogenetic proteins:Multifunctional regulators of vertebrate development.Genes Dev,1996,10:1580
收稿:1999-12-10
修回:2000-01-18, http://www.100md.com