压低犬牙牙周膜不同部位微血管早期变化的实验研究
作者:史建陆 程祥荣 贺红 彭友俭 华先明
单位:史建陆(厦门市口腔医院正畸科 361003);程祥荣 贺红 彭友俭 华先明(湖北医科大学口腔医学院正畸科)
关键词:正畸学;较小牙移动;牙周韧带;微循环系统
实用口腔医学杂志000509
〔摘要〕 目的:探讨牙周膜(PDL)不同部位微血管对压低力的反应。方法:采用复合墨汁灌注和血管铸型技术,利用图像分析仪对切片进行分析和扫描电镜对血管铸型进行观察。结果:0.98 N力压低狗上颌第二前磨牙2 h后,牙周膜微血管发生了明显改变,表现为PDL颈部、中部、根尖部微血管管径及体密度明显减小,而微血管数仅见PDL中部减少。一部分微血管被压扁或扭转成麻花样,且PDL中部表现较明显。结论:在压低移动过程中,通过牙周膜微血管的改变,可建立适于牙周膜生存的微环境,避免牙周膜负荷过大,产生组织损伤。
, 百拇医药
中图分类号:R783.5 文献标识码:A 文章编号:1001-3733(2000)05-0360-03
Changes of periodontal ligament's microvascular induced by force on tooth in dog
Shi Jianlu Cheng Xiangrong He Hong
(Department of Orthodontics,Stomatological Hospital,Xiamen 361003)
〔Abstract〕Objecaive:To investigate the effects of force on tooth on microvascular in periodontal ligament (PDL).Methods:0.98 N of force was put on the maxillary second premolar and kept for 2 h in dogs.The teeth were extracted and sections were made.Ink perfusion,vascular cast technique,image analysis and scanning electron microsoope (SEM) were used to study the changes of the microvascular in PDL.Results:The PDL's microvascular pattern was changed after the maxillary second premolar had been intruded for 2 hours with 0.98 N of force,part of the microvasculature was compressed or twisted;the vascular diameter and volume density diminished (P<0.01) in the cervical,middle and apical areas of PDL.But the vascular number diminished (P<0.01) only in the middle PDL and no significant injury was found.Conclusion:force on tooth may result in microvascular changes in PDL that should be considered in orthodontic treatment planning.
, 百拇医药
Key words Orthodontics;Minor tooth movement;Periodontal ligament; Microcirculation system
口腔正畸治疗过程中,被矫治牙的压低移动是临床常见的牙移动形式,也是影响正畸疗效的关键步骤之一〔1〕。研究表明:牙周膜(PDL)微血管对于维持牙齿及牙周组织的生理功能作用重大〔2〕。甚至有学者认为牙周组织对正畸力的反应是以PDL内血管状态为标志的〔3〕。牙周膜微循环指血液在微血管里的循环,而微循环的改变直接通过微血管的变化体现出来〔4〕。本研究通过对犬上第二前磨牙进行压低,观察0.98 N(100 g)力压低2 h后PDL微血管的改变,为探讨PDL微血管在正畸中的作用提供理论依据。
1 材料和方法
1.1 实验设计〔5,6,7〕
, http://www.100md.com
选择健康成年雄性杂种狗7只,要求尽可能年龄和体重、口腔环境及牙列形态相近,体重12~15 kg。任选一侧上第四前磨牙作支抗牙,利用带圈压低曲压低第二前磨牙,对侧同名牙作对照,观察2 h。采用复合墨灌和血管铸型技术,利用图像分析仪对切片进行分析和扫描电镜对血管铸型进行观察。
1.2 实验方法
1.2.1 麻醉实验动物,每只实验动物任选一侧上颌第四前磨牙上粘方形颊面管,同侧第二前磨牙粘方托槽,利用方丝弯制弹簧曲(调整好方形弓丝的施力方向)产生0.98 N(100 g)轴向力压低上第二前磨牙。手术暴露双侧颈外动脉(A)及静脉(V)。在压低2 h后,颈外V放血,颈外A插管,用37 ℃肝素生理盐水冲洗,待V流出清亮液体后,再注入体积分数为1%戊二醛或40 g/L多聚甲醛固定液1 000 ml进行血管内固定。
1.2.2 用其中6只动物灌注预备的墨汁,当颈外V流出墨汁时,结扎颈外V并继续灌注,直至口腔粘膜、眼结膜呈现均匀灰黑色时灌注完毕,结扎颈外A。血管灌注后将全头置低温冰箱中冷冻24 h,切取上下颌骨经固定、修块、脱钙、脱水、透明、浸蜡、包埋、切片、HE染色、封片、显微观察照像。
, http://www.100md.com
1.2.3 用其中1只动物进行铸型剂灌注,先用甲基丙烯酸甲酯(MMA)灌注直至颈外V流出单体时再灌注加有体积分数为1%二甲基苯胺的预聚液,操作同上,结扎颈外V、A,观察铸型剂聚合变硬。将灌注铸型剂的上下颌骨置于液氮中冷冻,将冷冻的颌骨修块,沿根向纵切并浸入200 g/L的次氯酸钠液中腐蚀,直至牙齿脱落,冲洗干燥,扫描电镜(SEM)及体视显微镜观察照像。
1.2.4 选择将要作图像分析处理的每组10张组织切片,在光学显微镜下观察,通过电视扫描系统将图像输入到计算机屏幕上,每张切片随机选择牙颈部、中部、根尖部牙周膜各一个视野进行处理并计算出不同组间的血管个数、管径、体密度的平均数,最后进行统计学分析(配对设计的t检验)。
2 结 果
2.1 牙周膜微血管铸型及厚组织切片观察
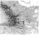
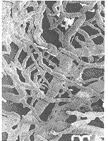
见图1~4。
, http://www.100md.com
图1 PDL微血管与牙槽骨及牙龈微血管广泛交通,颈1/3较中1/3微血管丰富(×4)
图2 牙根尖PDL微血管呈静脉帽样、鱼网样(×4.H)
图3 PDL血管网之骨侧较粗微血管及牙侧较细微血管(×100)
图4 压低2 h后,部分微血管扭曲、变形(×200)
2.1.1 牙周膜的血管网在牙颈部直接延续为牙龈的毛细血管网,而在牙根部可以直接通过Volkman牙槽骨管伸入到牙槽骨;在牙根中部牙周膜内可见双层血管网结构,靠近牙根侧的血管由靠近骨侧的较粗血管分枝出来,相互交织包绕牙根;而牙颈部和根尖部牙周膜内血管呈树枝状或网状向各个方向走行,未见明显分层现象;根尖部血管管径较粗,呈鱼网状,丰富的血管网形成静脉帽盖住根尖;牙周膜内毛细血管间存在多种形式的吻合枝如:T、X、Y、H、回型、发夹型等,还发现PDL微血管通过根尖孔及侧枝根管与牙髓内血管之间存在丰富的交通枝。
, 百拇医药
2.1.2 0.94 N力压低狗上颌第二前磨牙2 h后,牙周膜微血管发生了明显改变。微血管管径及体密度明显减小,一部分微血管被压扁或扭转成麻花样,但未见微血管的破裂、阻塞等器质性损伤。
2.2 压低2 h后,PDL颈部、中部、尖部微血管的管径和体密度均较对照组明显减少(P<0.01),且PDL中部的微血管变化最显著;微血管个数仅见PDL中部明显减少(见表1)。
表1 压低2 h各部位微血管的变化 (
±s) 部位
组别
血管数(个)
管径(μm)
体密度(%)
, 百拇医药
根颈1/3
实验组
对照组
12.1±2.4
12.9±3.2
12.5±1.8
14.8±3.2①
19.5±1.8
26.2±2.4①
根中1/3
实验组
对照组
, http://www.100md.com
10.5±2.1
12.8±3.2①
9.2±2.2
12.8±2.2①
15.6±2.1
22.1±1.7①
根尖1/3
实验组
对照组
15.8±2.4
16.0±3.6
, http://www.100md.com
13.2±1.8
17.9±2.8①
25.2±2.2
28.8±3.3
①与对照组相比P<0.01
3 讨 论
3.1 正常牙周膜微血管形态、分布
3.1.1 Selliseth 〔8〕 和高桥和人〔5〕等研究认为:PDL内存在双重血管网结构,靠牙槽骨壁侧为较粗的血管(主要从齿槽骨进入PDL),靠近牙根侧的血管主要是毛细血管,它们由骨侧血管分出,相互交织包绕牙根。本实验观察到的结果并非完全一致。本实验发现牙根中部的血管网有分层现象,而牙颈部和根尖部的血管网则未呈现出明显的分层现象。从牙周膜血管与牙龈及牙槽骨血管的广泛交通可推断出:牙周膜的微血管并不是一个独立的微血管体系,而是与周围的牙龈、牙槽骨微血管构成密切联系的整体:牙周微血管。这与付坤〔9〕和Selliseth〔8〕的观点一致。
, http://www.100md.com
3.1.2 Parange 等〔10〕报道:牙颈部、中部、根尖部的PDL血管网中以中部较少,这与本研究的结果一致。而不同部位PDL中微血管体积占PDL体积的百分比报道不一。分析认为这可能与各自的实验对象、牙移动方式及实验时间等有关。
3.2 PDL不同部位微血管受压低力后的变化
本研究利用0.98 N力压低2 h后,微血管体积密度明显减少,管径也明显减小,微血管个数仅见PDL中部明显减少,但没有发现微血管形态的破环性改变及血细胞的渗出。而Clark 〔11〕 利用1.0 N力压低30 min,观察其根尖血管床的变化。他发现压低力引起了微血管的体积增加,管径明显增大。本研究认为:牙齿受力后,最初的反应是液体的移动〔12〕。由于牙周膜不同部位血管网分别与牙槽骨、牙龈血管网广泛交通,0.98 N压低力引起了牙周膜局部间隙液压不同程度的增高,微血管内的血液被迫离开PDL血管,直到达到液压平衡〔13〕。由于PDL的特殊的解剖生理特点,当PDL受压时,PDL颈部,中部,根尖部的微血管对力的反应亦各有特点。
, 百拇医药
(感谢武汉同济医科大学夏胜海同志在本文图像分析和统计处理工作中给予的帮助!)
参考文献
1,Graber MT,Vanarsdall Jr,RL 著,徐芸(译).口腔正畸学——现代原理与技术.天津:天津科技翻译出版公司,1996.94~191
2,Murrel EF, Yen EH,Johnson RB,et al.Vascular changes in the PDL after removal of orthodontic force. Am J Orthod, 1996,110:280
3,Forster TD.A text book of orthodontics.London:Blockwall Scientific Publication,1975.181
, 百拇医药
4,史建陆综述,程祥荣,沈真祥审校.正畸牙移动牙周膜微血管变化研究.国外医学口腔医学分册,1999,26(1):27
5,高桥和人.齿根膜之探讨.齿界展望,1987,70(4):849
6,Mostafa YA,Iskander KG,EI-Mangoury NH.Iatrogenic pulpal reactions to orthodontic extrusion.Am J Orthod, 1991,99:30
7,李东,陈华,徐如生.用血管铸型技术观察正畸加力前后牙周组织中微血管形态的变化.中华口腔医学杂志,1993,28(3):174
8,Selliseth NJ, Selvig KA.The vasculature of the periodontal ligament:A scanning electron microscopic study using corrosion casts in the rat.J Periodontol, 1994,65:1079
, 百拇医药
9,付坤,邓燕.狗牙周膜血管构筑及其对拉伸力初始反应的实验研究:〔学位论文〕.沈阳:中国医科大学,1997.5
10,Parlange LM,Sim MR. A TEM stereological analysis of blood vessels and nerves in marmoset periodontal ligament following endodontics and magnetic incisor extrusion.Eur J Orthod, 1993,15:33
11,Clark AB, Sim MR,Leppard PI.An analysis of the effect of tooth intrusion on the bed and fenestrae in the opical periodontal ligament of the rat molar. Am J Orthod, 1991,99:21
12,段银钟,林珠主编.口腔正畸生物学.西安:世界图书出版社,1994.48~85
13,段银钟,陈华.用灌注法观察猫牙受力后牙周膜血流的变化,口腔医学纵横,1989,5(2):70
(收稿:1999-12-23), 百拇医药
单位:史建陆(厦门市口腔医院正畸科 361003);程祥荣 贺红 彭友俭 华先明(湖北医科大学口腔医学院正畸科)
关键词:正畸学;较小牙移动;牙周韧带;微循环系统
实用口腔医学杂志000509
〔摘要〕 目的:探讨牙周膜(PDL)不同部位微血管对压低力的反应。方法:采用复合墨汁灌注和血管铸型技术,利用图像分析仪对切片进行分析和扫描电镜对血管铸型进行观察。结果:0.98 N力压低狗上颌第二前磨牙2 h后,牙周膜微血管发生了明显改变,表现为PDL颈部、中部、根尖部微血管管径及体密度明显减小,而微血管数仅见PDL中部减少。一部分微血管被压扁或扭转成麻花样,且PDL中部表现较明显。结论:在压低移动过程中,通过牙周膜微血管的改变,可建立适于牙周膜生存的微环境,避免牙周膜负荷过大,产生组织损伤。
, 百拇医药
中图分类号:R783.5 文献标识码:A 文章编号:1001-3733(2000)05-0360-03
Changes of periodontal ligament's microvascular induced by force on tooth in dog
Shi Jianlu Cheng Xiangrong He Hong
(Department of Orthodontics,Stomatological Hospital,Xiamen 361003)
〔Abstract〕Objecaive:To investigate the effects of force on tooth on microvascular in periodontal ligament (PDL).Methods:0.98 N of force was put on the maxillary second premolar and kept for 2 h in dogs.The teeth were extracted and sections were made.Ink perfusion,vascular cast technique,image analysis and scanning electron microsoope (SEM) were used to study the changes of the microvascular in PDL.Results:The PDL's microvascular pattern was changed after the maxillary second premolar had been intruded for 2 hours with 0.98 N of force,part of the microvasculature was compressed or twisted;the vascular diameter and volume density diminished (P<0.01) in the cervical,middle and apical areas of PDL.But the vascular number diminished (P<0.01) only in the middle PDL and no significant injury was found.Conclusion:force on tooth may result in microvascular changes in PDL that should be considered in orthodontic treatment planning.
, 百拇医药
Key words Orthodontics;Minor tooth movement;Periodontal ligament; Microcirculation system
口腔正畸治疗过程中,被矫治牙的压低移动是临床常见的牙移动形式,也是影响正畸疗效的关键步骤之一〔1〕。研究表明:牙周膜(PDL)微血管对于维持牙齿及牙周组织的生理功能作用重大〔2〕。甚至有学者认为牙周组织对正畸力的反应是以PDL内血管状态为标志的〔3〕。牙周膜微循环指血液在微血管里的循环,而微循环的改变直接通过微血管的变化体现出来〔4〕。本研究通过对犬上第二前磨牙进行压低,观察0.98 N(100 g)力压低2 h后PDL微血管的改变,为探讨PDL微血管在正畸中的作用提供理论依据。
1 材料和方法
1.1 实验设计〔5,6,7〕
, http://www.100md.com
选择健康成年雄性杂种狗7只,要求尽可能年龄和体重、口腔环境及牙列形态相近,体重12~15 kg。任选一侧上第四前磨牙作支抗牙,利用带圈压低曲压低第二前磨牙,对侧同名牙作对照,观察2 h。采用复合墨灌和血管铸型技术,利用图像分析仪对切片进行分析和扫描电镜对血管铸型进行观察。
1.2 实验方法
1.2.1 麻醉实验动物,每只实验动物任选一侧上颌第四前磨牙上粘方形颊面管,同侧第二前磨牙粘方托槽,利用方丝弯制弹簧曲(调整好方形弓丝的施力方向)产生0.98 N(100 g)轴向力压低上第二前磨牙。手术暴露双侧颈外动脉(A)及静脉(V)。在压低2 h后,颈外V放血,颈外A插管,用37 ℃肝素生理盐水冲洗,待V流出清亮液体后,再注入体积分数为1%戊二醛或40 g/L多聚甲醛固定液1 000 ml进行血管内固定。
1.2.2 用其中6只动物灌注预备的墨汁,当颈外V流出墨汁时,结扎颈外V并继续灌注,直至口腔粘膜、眼结膜呈现均匀灰黑色时灌注完毕,结扎颈外A。血管灌注后将全头置低温冰箱中冷冻24 h,切取上下颌骨经固定、修块、脱钙、脱水、透明、浸蜡、包埋、切片、HE染色、封片、显微观察照像。
, http://www.100md.com
1.2.3 用其中1只动物进行铸型剂灌注,先用甲基丙烯酸甲酯(MMA)灌注直至颈外V流出单体时再灌注加有体积分数为1%二甲基苯胺的预聚液,操作同上,结扎颈外V、A,观察铸型剂聚合变硬。将灌注铸型剂的上下颌骨置于液氮中冷冻,将冷冻的颌骨修块,沿根向纵切并浸入200 g/L的次氯酸钠液中腐蚀,直至牙齿脱落,冲洗干燥,扫描电镜(SEM)及体视显微镜观察照像。
1.2.4 选择将要作图像分析处理的每组10张组织切片,在光学显微镜下观察,通过电视扫描系统将图像输入到计算机屏幕上,每张切片随机选择牙颈部、中部、根尖部牙周膜各一个视野进行处理并计算出不同组间的血管个数、管径、体密度的平均数,最后进行统计学分析(配对设计的t检验)。
2 结 果
2.1 牙周膜微血管铸型及厚组织切片观察
见图1~4。
, http://www.100md.com
图1 PDL微血管与牙槽骨及牙龈微血管广泛交通,颈1/3较中1/3微血管丰富(×4)
图2 牙根尖PDL微血管呈静脉帽样、鱼网样(×4.H)
图3 PDL血管网之骨侧较粗微血管及牙侧较细微血管(×100)
图4 压低2 h后,部分微血管扭曲、变形(×200)
2.1.1 牙周膜的血管网在牙颈部直接延续为牙龈的毛细血管网,而在牙根部可以直接通过Volkman牙槽骨管伸入到牙槽骨;在牙根中部牙周膜内可见双层血管网结构,靠近牙根侧的血管由靠近骨侧的较粗血管分枝出来,相互交织包绕牙根;而牙颈部和根尖部牙周膜内血管呈树枝状或网状向各个方向走行,未见明显分层现象;根尖部血管管径较粗,呈鱼网状,丰富的血管网形成静脉帽盖住根尖;牙周膜内毛细血管间存在多种形式的吻合枝如:T、X、Y、H、回型、发夹型等,还发现PDL微血管通过根尖孔及侧枝根管与牙髓内血管之间存在丰富的交通枝。
, 百拇医药
2.1.2 0.94 N力压低狗上颌第二前磨牙2 h后,牙周膜微血管发生了明显改变。微血管管径及体密度明显减小,一部分微血管被压扁或扭转成麻花样,但未见微血管的破裂、阻塞等器质性损伤。
2.2 压低2 h后,PDL颈部、中部、尖部微血管的管径和体密度均较对照组明显减少(P<0.01),且PDL中部的微血管变化最显著;微血管个数仅见PDL中部明显减少(见表1)。
表1 压低2 h各部位微血管的变化 (
组别
血管数(个)
管径(μm)
体密度(%)
, 百拇医药
根颈1/3
实验组
对照组
12.1±2.4
12.9±3.2
12.5±1.8
14.8±3.2①
19.5±1.8
26.2±2.4①
根中1/3
实验组
对照组
, http://www.100md.com
10.5±2.1
12.8±3.2①
9.2±2.2
12.8±2.2①
15.6±2.1
22.1±1.7①
根尖1/3
实验组
对照组
15.8±2.4
16.0±3.6
, http://www.100md.com
13.2±1.8
17.9±2.8①
25.2±2.2
28.8±3.3
①与对照组相比P<0.01
3 讨 论
3.1 正常牙周膜微血管形态、分布
3.1.1 Selliseth 〔8〕 和高桥和人〔5〕等研究认为:PDL内存在双重血管网结构,靠牙槽骨壁侧为较粗的血管(主要从齿槽骨进入PDL),靠近牙根侧的血管主要是毛细血管,它们由骨侧血管分出,相互交织包绕牙根。本实验观察到的结果并非完全一致。本实验发现牙根中部的血管网有分层现象,而牙颈部和根尖部的血管网则未呈现出明显的分层现象。从牙周膜血管与牙龈及牙槽骨血管的广泛交通可推断出:牙周膜的微血管并不是一个独立的微血管体系,而是与周围的牙龈、牙槽骨微血管构成密切联系的整体:牙周微血管。这与付坤〔9〕和Selliseth〔8〕的观点一致。
, http://www.100md.com
3.1.2 Parange 等〔10〕报道:牙颈部、中部、根尖部的PDL血管网中以中部较少,这与本研究的结果一致。而不同部位PDL中微血管体积占PDL体积的百分比报道不一。分析认为这可能与各自的实验对象、牙移动方式及实验时间等有关。
3.2 PDL不同部位微血管受压低力后的变化
本研究利用0.98 N力压低2 h后,微血管体积密度明显减少,管径也明显减小,微血管个数仅见PDL中部明显减少,但没有发现微血管形态的破环性改变及血细胞的渗出。而Clark 〔11〕 利用1.0 N力压低30 min,观察其根尖血管床的变化。他发现压低力引起了微血管的体积增加,管径明显增大。本研究认为:牙齿受力后,最初的反应是液体的移动〔12〕。由于牙周膜不同部位血管网分别与牙槽骨、牙龈血管网广泛交通,0.98 N压低力引起了牙周膜局部间隙液压不同程度的增高,微血管内的血液被迫离开PDL血管,直到达到液压平衡〔13〕。由于PDL的特殊的解剖生理特点,当PDL受压时,PDL颈部,中部,根尖部的微血管对力的反应亦各有特点。
, 百拇医药
(感谢武汉同济医科大学夏胜海同志在本文图像分析和统计处理工作中给予的帮助!)
参考文献
1,Graber MT,Vanarsdall Jr,RL 著,徐芸(译).口腔正畸学——现代原理与技术.天津:天津科技翻译出版公司,1996.94~191
2,Murrel EF, Yen EH,Johnson RB,et al.Vascular changes in the PDL after removal of orthodontic force. Am J Orthod, 1996,110:280
3,Forster TD.A text book of orthodontics.London:Blockwall Scientific Publication,1975.181
, 百拇医药
4,史建陆综述,程祥荣,沈真祥审校.正畸牙移动牙周膜微血管变化研究.国外医学口腔医学分册,1999,26(1):27
5,高桥和人.齿根膜之探讨.齿界展望,1987,70(4):849
6,Mostafa YA,Iskander KG,EI-Mangoury NH.Iatrogenic pulpal reactions to orthodontic extrusion.Am J Orthod, 1991,99:30
7,李东,陈华,徐如生.用血管铸型技术观察正畸加力前后牙周组织中微血管形态的变化.中华口腔医学杂志,1993,28(3):174
8,Selliseth NJ, Selvig KA.The vasculature of the periodontal ligament:A scanning electron microscopic study using corrosion casts in the rat.J Periodontol, 1994,65:1079
, 百拇医药
9,付坤,邓燕.狗牙周膜血管构筑及其对拉伸力初始反应的实验研究:〔学位论文〕.沈阳:中国医科大学,1997.5
10,Parlange LM,Sim MR. A TEM stereological analysis of blood vessels and nerves in marmoset periodontal ligament following endodontics and magnetic incisor extrusion.Eur J Orthod, 1993,15:33
11,Clark AB, Sim MR,Leppard PI.An analysis of the effect of tooth intrusion on the bed and fenestrae in the opical periodontal ligament of the rat molar. Am J Orthod, 1991,99:21
12,段银钟,林珠主编.口腔正畸生物学.西安:世界图书出版社,1994.48~85
13,段银钟,陈华.用灌注法观察猫牙受力后牙周膜血流的变化,口腔医学纵横,1989,5(2):70
(收稿:1999-12-23), 百拇医药