L-精氨酸对梗阻性黄疸大鼠肾的保护作用
作者:刘国平 朱闻溪 张兴亚 何三光 刘永锋
单位:(中国医科大学第一临床学院普外一科,辽宁沈阳 110001)
关键词:L-精氨酸;一氧化氮;热休克蛋白70;梗阻性黄疸
肠外与肠内营养000401 摘要: 目的:探讨L-精氨酸对于梗阻性黄疸大鼠肾的影响及相应的机制。 方法:采用双重结扎大鼠胆总管造成梗阻性黄疸模型,14天后,不同组大鼠分别给予L-精氨酸(L-Arg)[500 mg/(kg.d)]或L-精氨酸甲酯(L-NAME)[10 mg/(kg.d)],21天后,测定肾组织匀浆中一氧化氮(NO)、超氧化物歧化酶(SOD)、丙二醛(MDA)的含量以及肾功能改变,采用Western杂交技术比较不同组大鼠肾热休克蛋白70(HSP70)的表达情况,并观察肾形态学改变。 结果:胆道梗阻后21天,肾组织中NO及MDA含量均增高,而SOD水平下降,肾功能受损,给予L-Arg组大鼠肾组织中NO含量较单纯梗阻性黄疸组增加显著(P<0.01),而SOD活性增高(P<0.01),MDA水平降低(P<0.05),肾功能改善,而且HSP70表达明显增强。肾组织结构损伤减轻。相反,给予L-NAME组大鼠肾组织NO含量与单纯梗阻性黄疸组相比,明显降低(P<0.05);SOD活性无明显增高,MDA水平亦无明显降低,肾功能未见改善,反而有损害加重趋势,HSP70表达无明显增加,肾组织损伤未见减轻。 结论:L-Arg对梗阻性黄疸大鼠肾可起保护作用,这可能是通过L-Arg增加NO的通路实现的。
, 百拇医药
中图分类号: R657.43 文献标识码: A
文章编号:1007-810X(2000)04-0187-05
The protective effect of L-arginine on kidneys of rats with obstructive jaundice
LIU Gou-ping,ZHU Wen-xi,ZHANG Xing-ya,HE San-guang,LIU Yong-feng
(Department of Surgery,The First Clinical College,China Medical University,Shenyang,110001,Liaoning,China)
Abstract: Objectives:To study the effect of L-arginine(L-Arg) on kidneys of rats with obstructive jaundice. Methods:The rats rendered jaundiced by ligating the common bile duct.14 days later,we administrated L-Arg or L-NG-nitroarginine methyl(L-NAME)to different groups respectively for 7 days.On the day 21 after bile duct ligation,the amount of nitric oxide(NO),malondrialdehyde(MDA),and superoxide dismutase(SOD) were determined in the kidney,and the changes of the renal function were assessed.We also observed the morphological changes of kidneys,and compared the expression of heat shock protein 70(Hsp70) of the kidney in every group by western blotting. Results:In the group with obstructive jaundice,the amount of NO and MDA increased,SOD decreased,and the renal function was damaged on the day 21 after bile duct ligation,when compared with the sham-operation group.In the group receiving L-Arg,the amount of NO and SOD increased significantly(P<0.01),MDA decreased(P<0.05),the expression of Hsp70 in the kidney was more obvious and the damage in the nephric tissue was alleviated.The amount of NO decreased significanlty(P<0.05) in the group receiving L-NAME. Conclusions:L-Arg may protect against the renal impairment in rats with obstructive jaundice through L-Arg-NO pathway.
, 百拇医药
Key words:L-arginine; Nitric Oxide; Heat shock protein70; Obstructive jaundice
0 引言
梗阻性黄疸(以下简称梗黄)是外科常见的一种临床表现,它可引起肾损害,如何减轻这种损害是临床工作中面临的一项重要课题。已有研究表明,在梗黄时,给予L-精氨酸(L-Arg),可改善机体状态[1]。近年来,随着一氧化氮(NO)研究的深入,作为NO的前体,L-Arg的作用也成为研究的热点。从L-Arg增加NO通路角度出发,全面认识L-Arg在梗黄时对机体的影响,就成为必要。我们通过给予L-Arg及NO合酶抑制剂L-精氨酸甲酯(L-NAME),观察其对梗黄大鼠肾功能及肾组织形态学的影响,同时测定肾组织匀浆中NO、超氧化物歧化酶(SOD)、丙二醛(MDA)的含量,并利用Western杂交技术,观察并比较热休克蛋白70(HSP70)的表达情况,旨在探讨L-Arg增加NO通路对梗黄大鼠肾损害的影响及机制。
, 百拇医药
1 材料和方法
1.1 实验动物分组及处理 实验动物采用雄性S-D大鼠(由中国医科大学动物中心提供),体重200~230 g,随机分为5组,每组10只。
1.1.1 正常对照组(1组) 不做处理。
1.1.2 假手术组(2组) 10%水合氮醛(0.3 ml/100 g)腹腔内注射,待麻醉成功后,取上腹正中切口入腹腔,显露第一肝门,钝性游离出胆总管,不结扎,分两层缝合腹壁。
1.1.3 梗黄组(3组) 手术步骤基本上与假手术组相同,但胆总管予以双重结扎,造成肝外胆道完全梗阻。
1.1.4 实验组(4组) 动物模型同3组,术后14天开始给予L-Arg[500 mg/(kg*d)],灌胃。
, http://www.100md.com
1.1.5 抑制组(5组) 动物模型同3组,术后14天开始给予L-NAME[10 mg/(kg*d)],腹腔注射。
所有动物均自由饲养,于术后第21天处死。于处死前一天留取24小时尿液。处死前所有动物给予水合氯醛(0.3 ml/100 g),腹腔内注射,待麻醉成功后,心脏取血2 ml。之后迅速切取肾,一部分肾组织置于-70℃中保存待测,一部分肾组织放入10%福马林液中固定。
1.2 仪器材料 ①外科手术器械,②岛津-CL-7150全自动生化分析仪,③深冻冰箱,低温高速离心机(Rc5c),④DYY-Ⅲ5型电泳仪,转印槽,⑤小鼠抗大鼠HSP70多克隆抗体(武汉博士德公司),碱性磷酸酶标记的马抗小鼠IgG(北京中山生物技术有限公司),⑥L-Arg(上海康达氨基酸厂),L-NAME(Sigma公司)。
1.3 检测指标及方法
, 百拇医药 1.3.1 血清总胆红素和直接胆红素(T-BIL,D-BIL)、血尿素氮(BUN)、血肌酐(SCr)、尿N-乙酰葡糖胺酶(NAG)、尿Cr均由全自动生化分析仪测定。并计算尿的NAG与Cr比值(NAG/Cr)以及肌酐清除率(Ccr)。
1.3.2 肾组织匀浆中MDA按硫代巴比妥酸分光光度比色法测定,SOD按羟胺法测定,NO按镉还原比色法测定,NO以NO-x量表示。
1.3.3 肾组织HSP70的测定(Western Blot),具体步骤:①处理样品:取冷 冻标本,匀浆,低温高速离心机(Rc5c)4℃下,离心(16 000 g/min) 2 h后,取上清液;②蛋白定量:采用酚试剂法;③电泳:采用SDS-聚丙烯酰胺凝胶平板电泳,分离胶浓度为7.5%,在电压250 V,电流100 mA作用下,电泳2~3 h;④转印:将SDS-聚丙烯酰胺凝胶的中下1/3(HSP70所在)与尼龙转印膜相贴,做夹心抗体,置入转印仪,转印(100 V,100 mA)1 h;⑤抗体封闭:转印膜在小鼠抗大鼠HSP70多克隆抗体作用下孵育过夜,然后转入碱性磷酸酶标记的马抗小鼠抗体中室温下孵育2 h;⑥染色:碱性磷酸酶染色液染色15~30 min,滤纸阴干转印膜,保存。
, 百拇医药
1.4 肾组织形态学观察 取福马林固定的标本,酒精脱水,石蜡包埋切片,HE染色后,光镜下观察组织形态学变化。
1.5 数据处理 结果以
±s表示,统计学差异性检验采用方差分析——q检验,所有数据均由SPSS10.0软件处理。
2 结果
2.1 术后21天各组大鼠血清胆红素水平 见表1。表1 大鼠血清胆红素水平变化(μmol/L)
Table 1 The changes of serum bilirubin in rats
1组
2组
, 百拇医药
3组
4组
5组
D-BIL
2.8±1.2
2.5±0.9
101.7±17.6**
98.4±18.3**
103.2±19.2**
T-BIL
4.2±1.8
, 百拇医药 4.7±1.3
130.2±25.8**
125.6±20.5**
129.1±23.6**
与1组相比,**P<0.01
2.2 各组大鼠肾功能测定结果 可见各组间SCr、BUN之间无显著差异,但3、4、5组NAG/Cr,Ccr与2组相比均有统计学差异,4组NAG/Cr低于3组(P<0.05),而Ccr则高于3组(P<0.05)。5组与3组相比,NAG/Cr及Ccr均无统计学差异(表2)。
表2 各组大鼠肾功能变化
Table 2 The changes of renal function
, 百拇医药
1组
2组
3组
4组
5组
SCr(μmol/L)
53.8±10.6
50.2±9.8
51.8±8.9
52.7±7.2
53.9±5.7
BUN(mmol/L)
, 百拇医药
6.6±0.9
6.0±1.1
6.8±1.3
5.9±1.2
6.3±0.9
NAG/Cr
1.6±0.7△△
1.8±0.5
5.1±0.4**
3.2±0.6*△
5.8±0.9**
, http://www.100md.com
Ccr(ml/min)
0.62±0.18△△
0.59±0.22
0.25±0.16**
0.46±0.08*△
0.21±0.20**
与2组相比*P<0.05,**P<0.01;与3组相比△P<0.05,△△P<0.01
2.3 各组大鼠肾组织NO-x,MDA和SOD含量 见表3。
表3 大鼠肾组织中NO-x,MDA和SOD含量
, http://www.100md.com
Table 3 The content of NO-x,MDA and SOD in the rat kidney
1组
2组
3组
4组
5组
NO-x
(nmol/100 mg)
303.59±22.31△△
310.48±18.51
, 百拇医药
405.67±16.39**
534.15±20.93**△△
345.86±19.37△
MDA
(nmol/100mg蛋白)
29.7±2.3△△
28.4±3.1
78.3±4.2**
58.9±2.7**△
80.3±3.5**
, 百拇医药
SOD
(nu/mg蛋白)
56.4±2.1△△
54.2±1.9
21.2±2.6**
37.2±2.3**△△
20.5±1.7**
与2组相比**P<0.01;与3组相比△P<0.05;△△P<0.01
2.4 肾组织中热休克蛋白70的表达 在1组与2组中,可见HSP70微弱表达,3组、5组中HSP70表达略增强,而4组中HSP70大量表达(见图1)。
, 百拇医药
图1 各组动物肾组织中HSP70表达
Figure 1 The expression of Hsy70 in the rat kidney
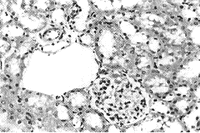
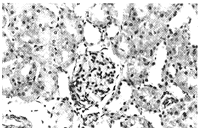
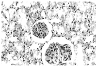
2.5 肾组织光镜下形态学改变 与1组、2组相比,3组、5组近曲小管上皮细胞普遍呈浊肿及水泡变性,可见肾小管坏死,皮质区尤为明显,胞质内胆色素颗粒沉积明显增多,管腔内可见脱落的坏死细胞;集合管内蛋白管型增多,并见细胞管型,部分肾小球凝集,肾小囊间隙增大,间质内有大量淋巴细胞浸润,而4组改变则较3、5组为轻(见图2、3、4、5、6)。
图2 1组大鼠肾组织HE染色病理照片(×10)
Figure 2 The kidney of the rat from group 1 HE×10
, 百拇医药
图3 2组大鼠肾组织HE染色病理照片(×40)
Figure 3 The kidney of the rat from group 2 HE×40
图4 3组大鼠肾组织HE染色病理照片(×40)
Figure 4 The kidney of the rat from group 3 HE×40
图5 4组大鼠肾组织HE染色病理照片(×40)
Figure 5 The kidney of the rat from group 4 HE×40
, 百拇医药
图6 5组大鼠肾组织HE染色病理照片(×40)
Figure 6 The kidney of the rat from group 5 HE×40
3 讨论
梗黄可引起肾损害,这已被许多研究所证实[2],其机制可能为:①内毒素血症对肾产生毒性作用;②梗黄时,氧自由基参与了肾损伤;③高胆红素血症,凝血障碍等因素。如何减轻肾损害,从而减少术后肾功能不全发生的可能性,是梗黄围手术期值得深入研究的课题。NO生成的前体物质L-Arg作为一种特殊的半必需氨基酸,愈来愈引起人们的关注,特别是在梗黄状态下,它具有更加特殊的作用,如提高免疫力,增加食欲,减少体重丧失等[1]。但其生成的NO在病理生理条件下作用比较复杂。有研究表明,NO可以拮抗氧自由基,减轻脂质过氧化损伤,改善内毒素造成的机体损害,是一种细胞保护因子[3];亦有相反的观点[4]。为更全面认识L-Arg在梗黄时对机体的影响,有必要深入研究L-Arg-NO通路对梗黄大鼠肾损害的影响及机制。
, http://www.100md.com
O'Neil等发现大鼠胆总管结扎术后4天,内生肌酐清除率(Ccr)下降46%[5],本研究结果与之相似。我们同时发现梗黄大鼠在给予L-Arg后,肾的肌酐清除率及NAG/Cr较单纯梗黄组有所改善,其中NAG/Cr是监测肾小管损伤的敏感指标,说明L-Arg可以部分地减轻梗黄大鼠肾功能的损害。而SCr,BUN在各组之间无统计学差异,说明这两个指标并不能灵敏地反映梗黄大鼠早期的肾损害。在给予L-NAME后,肾的功能并未得到改善,相反有加重的趋势,由此可见,L-Arg改善梗黄大鼠的肾功能可能是通过NO来实现的。
本研究发现,梗黄状态下,大鼠肾中SOD水平下降,而MDA含量增高,这说明氧自由基参与了梗黄大鼠的肾损害,这与既往的研究一致[6]。同时我们发现NO水平在梗黄大鼠肾中亦增高,补给L-Arg后,NO含量进一步增加,而MDA水平下降,SOD水平增加;而给予L-NAME后,MDA、SOD水平并未相应改善,反而有加重趋势,这说明,NO具有抗氧自由基损伤的作用,其可能机制:①NO作为内皮舒张因子,可扩张血管平滑肌;另外有研究显示,梗黄大鼠血浆和尿中所含的强烈缩血管物质ET-1均明显增高,进一步测定证实肾内ET-1生成增加的部位主要在髓质和乳头,受体拮抗剂可明显改善梗黄大鼠肾小球滤过率(GFR)和尿液浓缩功能[7],由此,我们可以推测给予L-Arg后,NO产生增加,可拮抗ET-1的作用;而给予L-NAME,抑制NO生成,则可能进一步加重肾缺血状态。此外,NO还可抑制血小板粘附及聚集,这些均可改善肾的缺血状态,从而提高其抗氧化能力,减轻氧自由基损伤。②NO具有抗氧化作用,可与其他自由基作用,从而减轻脂质过氧化损伤,对细胞起保护作用[8]。
, http://www.100md.com
然而,亦有研究表明[8],NO与氧自由基可产生协同作用,形成ONOO-,产生细胞毒性,由此可见,NO具有双重性作用。本实验梗黄大鼠肾中,MDA升高的同时,虽然伴有NO水平的增加,我们认为,NO的相对水平却可能不足,其细胞毒性作用占优势,从而表现为肾损害,而补充L-Arg后NO生成进一步增加,NO的细胞保护作用占优势,肾损害减轻;而抑制NO生成,肾脂质过氧化损伤加重。因此,外源性L-Arg通过L-Arg-NO通路,具有减轻梗黄大鼠肾脂质过氧化损伤的作用,这与国内的一些研究结果相似。
近年来,有研究证实,NO可诱导HSP70的表达,从而产生细胞保护作用,其机制可能是NO作用于HSF-1后,使HSP70表达增加[9]。HSP70可以提高细胞的应激能力,抵御各种损害因素的影响,起到保护细胞的作用,是HSP中最丰富的一种,HSP70是一族作用相似的蛋白质(相对分子质量70 000)的总称,平时,在非应激细胞中有少量同构体表达,作为一种分子伴侣,主要作用是协助蛋白肽链折叠及在胞膜间转运,细胞在受到亚致死性刺激后,进入“主动抵御应激状态”,普通合成反应停止,而大量合成HSP70等细胞应激蛋白,HSP70具有广泛的非特异性保护作用,Li教授称之为“交叉耐受”或“交叉保护作用”,即HSP的保护作用与诱导类型无关,对缺血、缺氧、低温及毒素等多种应激均具有明确的保护作用,HSP合成需要足量ATP供应,低血糖、饥饿、寒冷等都可导致HSP合成减慢或失败。
, 百拇医药
本实验发现梗黄大鼠肾HSP70表达虽较正常对照组及假手术组稍有增加,但不明显,这可能是由于梗黄大鼠肾处于缺血状态,其ATP生成不足所致,这有待进一步证明。而给予L-Arg后,HSP70表达明显增强,说明L-Arg可诱导梗黄大鼠肾HSP70的生成;给予L-NAME后,HSP70的表达则不明显,从而说明L-Arg诱导HSP70是通过L-Arg增加NO的通路实现的,L-Arg减轻梗黄大鼠肾损害,其可能机制之一是通过NO诱导HSP70的表达,国内外尚无此研究报导。
总之,从本研究我们可以看到L-Arg能通过L-Arg增加NO的通路,诱导HSP70表达,减轻脂质过氧化损伤,改善肾功能,因此可以说,L-Arg对于梗黄大鼠肾可能具有保护作用,其在临床中的应用有待进一步研究。
刘国平(1972-)男,辽宁沈阳人,医学博士生,从事普外专业。
参考文献:
, http://www.100md.com
[1] Kennedy JA,Kirk SJ,Mccrory DC,et al.Modulation of immune function and weight loss by L-arginine in obstructive jaundice in the rat[J].Br J Surg,1994,81:1199-1201.
[2] 高国平.梗阻性黄疸与肾机能障碍[J].国外医学外科学分册,1996,23(3):143.
[3] Hutcheson IR,Whittle BJR,Boughton-smith NK.Role of nitric oxide in maintaining vascular integrity in endotoxin-induced acute intestinal damage in the rat[J].Br J Pharmacol,1990,101:815-820.
, 百拇医药
[4] Radi R,Beckman JS,Bush KM,et al.Peroxynitrite-induced membrane lipid peroxidation:The cytotoxic potential of superoxide and nitric oxide[J].Arch Biochem Biophys,1991,288:481-487.
[5] ONeil PA,Wait RB,Kahng KU.Role of renal sympathetic nerve activity in renal failure associated with obstructive jaundice in the rat[J].Am J Surg,1991,161(6):662-667.
[6] 郑国灿,李成日.梗阻性黄疸时氧自由基损害作用的探讨[J].吉林医学,1996,17(5):266-268.
, 百拇医药
[7] 张丰深.肾内血管活性物质与梗阻性黄疸肾损害[J].国外医学外科学分册,1999,26(1):21.
[8] Wink DA,Hanbauer I,Krishna MC,et al.Nitric oxide protects against cellular damage and cytotoxicity from reactive oxygen species[J].Proc Natl Acad Sci USA,1993,90:9813-9817.
[9] Byrne CR,Hanson PJ.Induction of heat shock protein 72 by a nitric oxide donor in guinea-pig gastric mucosal cells[J].Eur J Pharmacol,1998,353:117-122.
2000-05-25, 百拇医药
单位:(中国医科大学第一临床学院普外一科,辽宁沈阳 110001)
关键词:L-精氨酸;一氧化氮;热休克蛋白70;梗阻性黄疸
肠外与肠内营养000401 摘要: 目的:探讨L-精氨酸对于梗阻性黄疸大鼠肾的影响及相应的机制。 方法:采用双重结扎大鼠胆总管造成梗阻性黄疸模型,14天后,不同组大鼠分别给予L-精氨酸(L-Arg)[500 mg/(kg.d)]或L-精氨酸甲酯(L-NAME)[10 mg/(kg.d)],21天后,测定肾组织匀浆中一氧化氮(NO)、超氧化物歧化酶(SOD)、丙二醛(MDA)的含量以及肾功能改变,采用Western杂交技术比较不同组大鼠肾热休克蛋白70(HSP70)的表达情况,并观察肾形态学改变。 结果:胆道梗阻后21天,肾组织中NO及MDA含量均增高,而SOD水平下降,肾功能受损,给予L-Arg组大鼠肾组织中NO含量较单纯梗阻性黄疸组增加显著(P<0.01),而SOD活性增高(P<0.01),MDA水平降低(P<0.05),肾功能改善,而且HSP70表达明显增强。肾组织结构损伤减轻。相反,给予L-NAME组大鼠肾组织NO含量与单纯梗阻性黄疸组相比,明显降低(P<0.05);SOD活性无明显增高,MDA水平亦无明显降低,肾功能未见改善,反而有损害加重趋势,HSP70表达无明显增加,肾组织损伤未见减轻。 结论:L-Arg对梗阻性黄疸大鼠肾可起保护作用,这可能是通过L-Arg增加NO的通路实现的。
, 百拇医药
中图分类号: R657.43 文献标识码: A
文章编号:1007-810X(2000)04-0187-05
The protective effect of L-arginine on kidneys of rats with obstructive jaundice
LIU Gou-ping,ZHU Wen-xi,ZHANG Xing-ya,HE San-guang,LIU Yong-feng
(Department of Surgery,The First Clinical College,China Medical University,Shenyang,110001,Liaoning,China)
Abstract: Objectives:To study the effect of L-arginine(L-Arg) on kidneys of rats with obstructive jaundice. Methods:The rats rendered jaundiced by ligating the common bile duct.14 days later,we administrated L-Arg or L-NG-nitroarginine methyl(L-NAME)to different groups respectively for 7 days.On the day 21 after bile duct ligation,the amount of nitric oxide(NO),malondrialdehyde(MDA),and superoxide dismutase(SOD) were determined in the kidney,and the changes of the renal function were assessed.We also observed the morphological changes of kidneys,and compared the expression of heat shock protein 70(Hsp70) of the kidney in every group by western blotting. Results:In the group with obstructive jaundice,the amount of NO and MDA increased,SOD decreased,and the renal function was damaged on the day 21 after bile duct ligation,when compared with the sham-operation group.In the group receiving L-Arg,the amount of NO and SOD increased significantly(P<0.01),MDA decreased(P<0.05),the expression of Hsp70 in the kidney was more obvious and the damage in the nephric tissue was alleviated.The amount of NO decreased significanlty(P<0.05) in the group receiving L-NAME. Conclusions:L-Arg may protect against the renal impairment in rats with obstructive jaundice through L-Arg-NO pathway.
, 百拇医药
Key words:L-arginine; Nitric Oxide; Heat shock protein70; Obstructive jaundice
0 引言
梗阻性黄疸(以下简称梗黄)是外科常见的一种临床表现,它可引起肾损害,如何减轻这种损害是临床工作中面临的一项重要课题。已有研究表明,在梗黄时,给予L-精氨酸(L-Arg),可改善机体状态[1]。近年来,随着一氧化氮(NO)研究的深入,作为NO的前体,L-Arg的作用也成为研究的热点。从L-Arg增加NO通路角度出发,全面认识L-Arg在梗黄时对机体的影响,就成为必要。我们通过给予L-Arg及NO合酶抑制剂L-精氨酸甲酯(L-NAME),观察其对梗黄大鼠肾功能及肾组织形态学的影响,同时测定肾组织匀浆中NO、超氧化物歧化酶(SOD)、丙二醛(MDA)的含量,并利用Western杂交技术,观察并比较热休克蛋白70(HSP70)的表达情况,旨在探讨L-Arg增加NO通路对梗黄大鼠肾损害的影响及机制。
, 百拇医药
1 材料和方法
1.1 实验动物分组及处理 实验动物采用雄性S-D大鼠(由中国医科大学动物中心提供),体重200~230 g,随机分为5组,每组10只。
1.1.1 正常对照组(1组) 不做处理。
1.1.2 假手术组(2组) 10%水合氮醛(0.3 ml/100 g)腹腔内注射,待麻醉成功后,取上腹正中切口入腹腔,显露第一肝门,钝性游离出胆总管,不结扎,分两层缝合腹壁。
1.1.3 梗黄组(3组) 手术步骤基本上与假手术组相同,但胆总管予以双重结扎,造成肝外胆道完全梗阻。
1.1.4 实验组(4组) 动物模型同3组,术后14天开始给予L-Arg[500 mg/(kg*d)],灌胃。
, http://www.100md.com
1.1.5 抑制组(5组) 动物模型同3组,术后14天开始给予L-NAME[10 mg/(kg*d)],腹腔注射。
所有动物均自由饲养,于术后第21天处死。于处死前一天留取24小时尿液。处死前所有动物给予水合氯醛(0.3 ml/100 g),腹腔内注射,待麻醉成功后,心脏取血2 ml。之后迅速切取肾,一部分肾组织置于-70℃中保存待测,一部分肾组织放入10%福马林液中固定。
1.2 仪器材料 ①外科手术器械,②岛津-CL-7150全自动生化分析仪,③深冻冰箱,低温高速离心机(Rc5c),④DYY-Ⅲ5型电泳仪,转印槽,⑤小鼠抗大鼠HSP70多克隆抗体(武汉博士德公司),碱性磷酸酶标记的马抗小鼠IgG(北京中山生物技术有限公司),⑥L-Arg(上海康达氨基酸厂),L-NAME(Sigma公司)。
1.3 检测指标及方法
, 百拇医药 1.3.1 血清总胆红素和直接胆红素(T-BIL,D-BIL)、血尿素氮(BUN)、血肌酐(SCr)、尿N-乙酰葡糖胺酶(NAG)、尿Cr均由全自动生化分析仪测定。并计算尿的NAG与Cr比值(NAG/Cr)以及肌酐清除率(Ccr)。
1.3.2 肾组织匀浆中MDA按硫代巴比妥酸分光光度比色法测定,SOD按羟胺法测定,NO按镉还原比色法测定,NO以NO-x量表示。
1.3.3 肾组织HSP70的测定(Western Blot),具体步骤:①处理样品:取冷 冻标本,匀浆,低温高速离心机(Rc5c)4℃下,离心(16 000 g/min) 2 h后,取上清液;②蛋白定量:采用酚试剂法;③电泳:采用SDS-聚丙烯酰胺凝胶平板电泳,分离胶浓度为7.5%,在电压250 V,电流100 mA作用下,电泳2~3 h;④转印:将SDS-聚丙烯酰胺凝胶的中下1/3(HSP70所在)与尼龙转印膜相贴,做夹心抗体,置入转印仪,转印(100 V,100 mA)1 h;⑤抗体封闭:转印膜在小鼠抗大鼠HSP70多克隆抗体作用下孵育过夜,然后转入碱性磷酸酶标记的马抗小鼠抗体中室温下孵育2 h;⑥染色:碱性磷酸酶染色液染色15~30 min,滤纸阴干转印膜,保存。
, 百拇医药
1.4 肾组织形态学观察 取福马林固定的标本,酒精脱水,石蜡包埋切片,HE染色后,光镜下观察组织形态学变化。
1.5 数据处理 结果以
2 结果
2.1 术后21天各组大鼠血清胆红素水平 见表1。表1 大鼠血清胆红素水平变化(μmol/L)
Table 1 The changes of serum bilirubin in rats
1组
2组
, 百拇医药
3组
4组
5组
D-BIL
2.8±1.2
2.5±0.9
101.7±17.6**
98.4±18.3**
103.2±19.2**
T-BIL
4.2±1.8
, 百拇医药 4.7±1.3
130.2±25.8**
125.6±20.5**
129.1±23.6**
与1组相比,**P<0.01
2.2 各组大鼠肾功能测定结果 可见各组间SCr、BUN之间无显著差异,但3、4、5组NAG/Cr,Ccr与2组相比均有统计学差异,4组NAG/Cr低于3组(P<0.05),而Ccr则高于3组(P<0.05)。5组与3组相比,NAG/Cr及Ccr均无统计学差异(表2)。
表2 各组大鼠肾功能变化
Table 2 The changes of renal function
, 百拇医药
1组
2组
3组
4组
5组
SCr(μmol/L)
53.8±10.6
50.2±9.8
51.8±8.9
52.7±7.2
53.9±5.7
BUN(mmol/L)
, 百拇医药
6.6±0.9
6.0±1.1
6.8±1.3
5.9±1.2
6.3±0.9
NAG/Cr
1.6±0.7△△
1.8±0.5
5.1±0.4**
3.2±0.6*△
5.8±0.9**
, http://www.100md.com
Ccr(ml/min)
0.62±0.18△△
0.59±0.22
0.25±0.16**
0.46±0.08*△
0.21±0.20**
与2组相比*P<0.05,**P<0.01;与3组相比△P<0.05,△△P<0.01
2.3 各组大鼠肾组织NO-x,MDA和SOD含量 见表3。
表3 大鼠肾组织中NO-x,MDA和SOD含量
, http://www.100md.com
Table 3 The content of NO-x,MDA and SOD in the rat kidney
1组
2组
3组
4组
5组
NO-x
(nmol/100 mg)
303.59±22.31△△
310.48±18.51
, 百拇医药
405.67±16.39**
534.15±20.93**△△
345.86±19.37△
MDA
(nmol/100mg蛋白)
29.7±2.3△△
28.4±3.1
78.3±4.2**
58.9±2.7**△
80.3±3.5**
, 百拇医药
SOD
(nu/mg蛋白)
56.4±2.1△△
54.2±1.9
21.2±2.6**
37.2±2.3**△△
20.5±1.7**
与2组相比**P<0.01;与3组相比△P<0.05;△△P<0.01
2.4 肾组织中热休克蛋白70的表达 在1组与2组中,可见HSP70微弱表达,3组、5组中HSP70表达略增强,而4组中HSP70大量表达(见图1)。
, 百拇医药
图1 各组动物肾组织中HSP70表达
Figure 1 The expression of Hsy70 in the rat kidney
2.5 肾组织光镜下形态学改变 与1组、2组相比,3组、5组近曲小管上皮细胞普遍呈浊肿及水泡变性,可见肾小管坏死,皮质区尤为明显,胞质内胆色素颗粒沉积明显增多,管腔内可见脱落的坏死细胞;集合管内蛋白管型增多,并见细胞管型,部分肾小球凝集,肾小囊间隙增大,间质内有大量淋巴细胞浸润,而4组改变则较3、5组为轻(见图2、3、4、5、6)。
图2 1组大鼠肾组织HE染色病理照片(×10)
Figure 2 The kidney of the rat from group 1 HE×10
, 百拇医药
图3 2组大鼠肾组织HE染色病理照片(×40)
Figure 3 The kidney of the rat from group 2 HE×40
图4 3组大鼠肾组织HE染色病理照片(×40)
Figure 4 The kidney of the rat from group 3 HE×40
图5 4组大鼠肾组织HE染色病理照片(×40)
Figure 5 The kidney of the rat from group 4 HE×40
, 百拇医药
图6 5组大鼠肾组织HE染色病理照片(×40)
Figure 6 The kidney of the rat from group 5 HE×40
3 讨论
梗黄可引起肾损害,这已被许多研究所证实[2],其机制可能为:①内毒素血症对肾产生毒性作用;②梗黄时,氧自由基参与了肾损伤;③高胆红素血症,凝血障碍等因素。如何减轻肾损害,从而减少术后肾功能不全发生的可能性,是梗黄围手术期值得深入研究的课题。NO生成的前体物质L-Arg作为一种特殊的半必需氨基酸,愈来愈引起人们的关注,特别是在梗黄状态下,它具有更加特殊的作用,如提高免疫力,增加食欲,减少体重丧失等[1]。但其生成的NO在病理生理条件下作用比较复杂。有研究表明,NO可以拮抗氧自由基,减轻脂质过氧化损伤,改善内毒素造成的机体损害,是一种细胞保护因子[3];亦有相反的观点[4]。为更全面认识L-Arg在梗黄时对机体的影响,有必要深入研究L-Arg-NO通路对梗黄大鼠肾损害的影响及机制。
, http://www.100md.com
O'Neil等发现大鼠胆总管结扎术后4天,内生肌酐清除率(Ccr)下降46%[5],本研究结果与之相似。我们同时发现梗黄大鼠在给予L-Arg后,肾的肌酐清除率及NAG/Cr较单纯梗黄组有所改善,其中NAG/Cr是监测肾小管损伤的敏感指标,说明L-Arg可以部分地减轻梗黄大鼠肾功能的损害。而SCr,BUN在各组之间无统计学差异,说明这两个指标并不能灵敏地反映梗黄大鼠早期的肾损害。在给予L-NAME后,肾的功能并未得到改善,相反有加重的趋势,由此可见,L-Arg改善梗黄大鼠的肾功能可能是通过NO来实现的。
本研究发现,梗黄状态下,大鼠肾中SOD水平下降,而MDA含量增高,这说明氧自由基参与了梗黄大鼠的肾损害,这与既往的研究一致[6]。同时我们发现NO水平在梗黄大鼠肾中亦增高,补给L-Arg后,NO含量进一步增加,而MDA水平下降,SOD水平增加;而给予L-NAME后,MDA、SOD水平并未相应改善,反而有加重趋势,这说明,NO具有抗氧自由基损伤的作用,其可能机制:①NO作为内皮舒张因子,可扩张血管平滑肌;另外有研究显示,梗黄大鼠血浆和尿中所含的强烈缩血管物质ET-1均明显增高,进一步测定证实肾内ET-1生成增加的部位主要在髓质和乳头,受体拮抗剂可明显改善梗黄大鼠肾小球滤过率(GFR)和尿液浓缩功能[7],由此,我们可以推测给予L-Arg后,NO产生增加,可拮抗ET-1的作用;而给予L-NAME,抑制NO生成,则可能进一步加重肾缺血状态。此外,NO还可抑制血小板粘附及聚集,这些均可改善肾的缺血状态,从而提高其抗氧化能力,减轻氧自由基损伤。②NO具有抗氧化作用,可与其他自由基作用,从而减轻脂质过氧化损伤,对细胞起保护作用[8]。
, http://www.100md.com
然而,亦有研究表明[8],NO与氧自由基可产生协同作用,形成ONOO-,产生细胞毒性,由此可见,NO具有双重性作用。本实验梗黄大鼠肾中,MDA升高的同时,虽然伴有NO水平的增加,我们认为,NO的相对水平却可能不足,其细胞毒性作用占优势,从而表现为肾损害,而补充L-Arg后NO生成进一步增加,NO的细胞保护作用占优势,肾损害减轻;而抑制NO生成,肾脂质过氧化损伤加重。因此,外源性L-Arg通过L-Arg-NO通路,具有减轻梗黄大鼠肾脂质过氧化损伤的作用,这与国内的一些研究结果相似。
近年来,有研究证实,NO可诱导HSP70的表达,从而产生细胞保护作用,其机制可能是NO作用于HSF-1后,使HSP70表达增加[9]。HSP70可以提高细胞的应激能力,抵御各种损害因素的影响,起到保护细胞的作用,是HSP中最丰富的一种,HSP70是一族作用相似的蛋白质(相对分子质量70 000)的总称,平时,在非应激细胞中有少量同构体表达,作为一种分子伴侣,主要作用是协助蛋白肽链折叠及在胞膜间转运,细胞在受到亚致死性刺激后,进入“主动抵御应激状态”,普通合成反应停止,而大量合成HSP70等细胞应激蛋白,HSP70具有广泛的非特异性保护作用,Li教授称之为“交叉耐受”或“交叉保护作用”,即HSP的保护作用与诱导类型无关,对缺血、缺氧、低温及毒素等多种应激均具有明确的保护作用,HSP合成需要足量ATP供应,低血糖、饥饿、寒冷等都可导致HSP合成减慢或失败。
, 百拇医药
本实验发现梗黄大鼠肾HSP70表达虽较正常对照组及假手术组稍有增加,但不明显,这可能是由于梗黄大鼠肾处于缺血状态,其ATP生成不足所致,这有待进一步证明。而给予L-Arg后,HSP70表达明显增强,说明L-Arg可诱导梗黄大鼠肾HSP70的生成;给予L-NAME后,HSP70的表达则不明显,从而说明L-Arg诱导HSP70是通过L-Arg增加NO的通路实现的,L-Arg减轻梗黄大鼠肾损害,其可能机制之一是通过NO诱导HSP70的表达,国内外尚无此研究报导。
总之,从本研究我们可以看到L-Arg能通过L-Arg增加NO的通路,诱导HSP70表达,减轻脂质过氧化损伤,改善肾功能,因此可以说,L-Arg对于梗黄大鼠肾可能具有保护作用,其在临床中的应用有待进一步研究。
刘国平(1972-)男,辽宁沈阳人,医学博士生,从事普外专业。
参考文献:
, http://www.100md.com
[1] Kennedy JA,Kirk SJ,Mccrory DC,et al.Modulation of immune function and weight loss by L-arginine in obstructive jaundice in the rat[J].Br J Surg,1994,81:1199-1201.
[2] 高国平.梗阻性黄疸与肾机能障碍[J].国外医学外科学分册,1996,23(3):143.
[3] Hutcheson IR,Whittle BJR,Boughton-smith NK.Role of nitric oxide in maintaining vascular integrity in endotoxin-induced acute intestinal damage in the rat[J].Br J Pharmacol,1990,101:815-820.
, 百拇医药
[4] Radi R,Beckman JS,Bush KM,et al.Peroxynitrite-induced membrane lipid peroxidation:The cytotoxic potential of superoxide and nitric oxide[J].Arch Biochem Biophys,1991,288:481-487.
[5] ONeil PA,Wait RB,Kahng KU.Role of renal sympathetic nerve activity in renal failure associated with obstructive jaundice in the rat[J].Am J Surg,1991,161(6):662-667.
[6] 郑国灿,李成日.梗阻性黄疸时氧自由基损害作用的探讨[J].吉林医学,1996,17(5):266-268.
, 百拇医药
[7] 张丰深.肾内血管活性物质与梗阻性黄疸肾损害[J].国外医学外科学分册,1999,26(1):21.
[8] Wink DA,Hanbauer I,Krishna MC,et al.Nitric oxide protects against cellular damage and cytotoxicity from reactive oxygen species[J].Proc Natl Acad Sci USA,1993,90:9813-9817.
[9] Byrne CR,Hanson PJ.Induction of heat shock protein 72 by a nitric oxide donor in guinea-pig gastric mucosal cells[J].Eur J Pharmacol,1998,353:117-122.
2000-05-25, 百拇医药