高转移性人成骨肉瘤细胞系在裸小鼠体内的筛选和维持*
作者:龙华 范清宇 殷剑宁 杨彤涛 邱秀春 蒋维中
单位:龙华 范清宇 殷剑宁 杨彤涛 邱秀春 蒋维中(第四军医大学唐都医院骨肿瘤实验室,西安710038)
关键词:转移;成骨肉瘤;细胞系
细胞与分子免疫学杂志990111
摘要 目的:筛选人成骨肉瘤高转移细胞并探讨维持其高转移性状的方法。方法:采用低转移性成骨肉瘤细胞系在裸小鼠腹腔内连续传代和体外培养肺转移灶筛选高转移亚系,通过体内、外交替传代维持其高转移性状,并用流式细胞仪、染色体分析等方法,研究该高转移亚系的细胞周期、形态、增殖等生物学特性。结果:筛选所得腹水型高转移亚系自发性肺转移率达100%。在细胞形态、增殖速度、染色体数目等方面与母系有较大差别,经体内、外交替传代高转移性状得以维持,且出现较高比例的脑、骨、肌肉转移。结论:腹腔连续传代培养转移灶和体内、外交替传代是筛选和维持高转移细胞的可靠方法。
, 百拇医药
中国图书资料分类号 R782
Selection and maintenance of a highly metastatic subpopulation from a human osteosarcoma cell line in nude mice
Long Hua, Fan Qingyu, Yin Jianning, Yang Tongtao, Qiu Xiuchun, Jiang Weizhong (Laboratory of Orthopedic Oncology , TangDu Hospital , the Fourth Military Medical University , Xi’an 710038 )
Keywords metastasis osteosarcoma cell line
Abstract Aim: To select a highly metastatic subpopulation from a human osteosarcoma cell line and to establish a method for keeping its highly metastatic character. Methods: A low metastatic cell line SOSP-9607 was chosen as material. Artificial lung metastasis in nude mice and cell culture techniques were used to select the highly metastatic subpopulation, and its highly metastatic character was maintained by secondary culture in vivo and in vitro. Cell growth analysis, chromosome staining and flowcytometry were employed to characterize the subpopulation. Results: The spontaneous lung metastasis rate of SOSP-M in nude mice was 100% . Compared with SOSP-9607, SOSP-M showed different properties in shape, growing rate, chromosome and so on. Through secondary culture in vivo and in vitro, we maintained its metastatic character, and observed a high rate of metastasis in brain, bone and muscle.Conclusion: Artificial lung metastasis, cell culture and secondary culture in vivo and in vitro are reliable methods to select and maintain highly metastatic subpopulation.
, 百拇医药
成骨肉瘤是运动系常见的恶性肿瘤,侵袭和转移力强。临床上50%~80%的病例在截肢术后辅以系统的化学疗法仍死于弥漫性肺转移,目前尚无很好的治疗措施来控制和清除转移。长期以来,由于缺乏稳定的高转移性细胞系和动物模型,对成骨肉瘤转移机理及特点的研究造成很大困难。我们采用低转移性成骨肉瘤细胞系SOSP-9607作为实验材料,在裸小鼠腹腔内连续传代和体外培养肺转移灶,筛选出高转移亚系SOSP-M。并根据肿瘤异质性及肿瘤演进学说,通过体内、外交替传代,较好地维持了高转移性状,为研究成骨肉瘤的转移机理奠定了基础。
1 材料和方法
1.1 细胞系 低转移细胞系SOSP-9607(由本室杨彤涛硕士提供)常规培养于含10%胎牛血清的RPMI-1640培养液中。
1.2 动物 Balb/c裸鼠,购自中国药品生物制品鉴定所动物繁殖场,鼠龄3周-4周,体重15g~
, http://www.100md.com
20g,雌性,在无病原体条件下饲养。
1.3 高转移亚系的筛选 取SOSP-9607第120代对数生长期的细胞,消化、洗涤后,制备成4.5×106个/ml细胞悬液,每只裸鼠腹腔注射1ml。3周后,取腹水离心沉淀,用无血清RPMI-1640培养液洗涤后,再次按上述细胞数量腹腔接种。待裸鼠出现全身消瘦、呼吸急促时(约4周~8周),处死,取肺,于解剖显微镜下(4×)可见肺表面有数个白色结节。取材进行原代细胞培养,经两次传代后(为第3代),按上述方法再次进行人工肺转移。共进行3次后,肺表面可见白色结节密布,取转移结节培养获得高转移亚系SOSP-M。
1.4 染色体分析 对SOSP-M进行细胞染色体显示,吉姆萨染色,每种细胞随机取50个细胞进行染色体计数〔1〕。
1.5 流式细胞仪测定细胞增殖指数(PI) 收集对数生长期的细胞用胰酶消化后,75%冷乙醇固定,将细胞数调整至每毫升1×105个。经溴化乙锭染色后,在流式细胞仪上测定细胞周期。
, http://www.100md.com
1.6 MTT法测定细胞生长曲线 调整细胞浓度,按1×103个细胞/孔接种于96孔板中,每孔200μl培养基,置37℃培养。每天用MTT比色法测定3孔中细胞的A值(为490nm),并绘制细胞生长曲线〔2〕。
1.7 高转移亚系的维持 取SOSP-M细胞制备成3×106个/ml的细胞悬液,从尾静脉注入0.2ml(6×105个细胞),造成实验性肺转移。取转移瘤灶,体外培养至对数生长期,注入裸鼠股部皮下(5×106个细胞/只),造成自发性肺转移。按上述方法体内、外交替传代培养。
1.8 裸鼠肺表面转移结节形成率的测定 取SOSP-9607,SOSP-M及经体内、外交替培养传代4次的SOSP-M3种细胞,消化、洗涤后,自尾静脉给每只裸鼠注入3×106个细胞(0.2ml),每组5只。注射4周后,拉颈处死,取出肺于解剖显微镜(4×)下,计数结节数,并切片进行HE染色。
, http://www.100md.com
2 结果
2.1 裸鼠体内SOSP-M亚系的筛选 将SOSP-9607细胞系在裸鼠腹腔内种植,连续传代后,出现全身消瘦、呼吸困难和衰竭(即取材标准)的时间平均为34d。解剖可见腹腔脏器广泛种植性转移,有血性腹水,肺部可见细小的白色转移结节。将肺转移灶进行体外培养。贴壁生长的多角性细胞逐渐被半悬浮生长的圆形细胞所取代。当半悬浮生长的细胞占绝对优势时,其肺转移率达到100%(5/5),此亚系即命名为SOSP-M。
2.2 染色体分析 SOSP-M亚系的染色体形态仍为人类染色体形态,多为50余条,形态似SOSP-9607细胞系。
2.3 细胞周期及增殖指数的测定 由流式细胞仪测得的细胞周期及增殖指数见表1。
表1 两个细胞系的细胞周期及增殖指数
Tab 1 Distribution of the cell cycle and proliferation index of the two cell lines Cell line
, 百拇医药
G1(% )
G2(%)
S(%)
PI
SOSP-9607
60.0
23.0
17.0
0.40
SOSP-M
35.4
16.1
48.5
, 百拇医药
0.64
2.4 细胞生长曲线的测定 MTT法测得两种细胞的生长曲线见图1。
图1 SOSP-9607(◆)和SOSP-M(■)两种细胞系的生长曲线
Fig 1 Growth curves of SOSP-9607 (◆) and SOSP-M (■)
2.5 高转移性状的维持 SOSP-M细胞经尾静脉注射后,实验性肺转移率为100%(5/5)。体内、体外交替传代4次后,仍为100%(5/5),但肺表面转移结节的形成率更高,结节小而密集。传代后的细胞与SOSP-M一样,均伴有脾、脑、骨、肌肉的转移。在皮下种植转移实验中,SOSP-M主要转移至肺,而传代后转移至其它部位如脑(2/5)、肌肉(4/5)及骨(2/5)的比例明显增高。裸鼠肺表面转移结节的形成率见表2。
, http://www.100md.com
表2裸鼠肺表面转移结节的形成率
Tab 2 Pulmonary metastatic nodules appearance rate of the cells Cell line
Appearance rate
Nodular number
SOSP-9607
0/5
0
SOSP-M
5/5
112± 47
, http://www.100md.com
Post-passage SOSP-M
5/5
178± 29
2.6 肺、骨、肌肉转移灶的组织学特征 所获结果见图2所示。


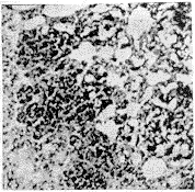
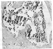
图2 SOSP-M亚系所致裸鼠转移结节的组织学形态(HE染色×20)
Fig 2 Tissue morphological feature of metastatic nodules caused by SOSP-M in nude mice (HE staining × 20) a:lung; b:bone; c:muscle
, http://www.100md.com
3 讨论
肿瘤异质性学说指出,同一实体肿瘤内存在着侵袭性和转移性不完全相同的多种细胞亚群。若体内,外的环境给予肿瘤细胞一定的压力选择,便可使其中某种或某些种亚群逐渐占优势〔3,4〕。实验正是以此为基础,采用腹腔连续传代和肺转移瘤体外培养,其目的是使肿瘤在体内转移过程中,经受多种不同组织内环境的“压力”,逐渐增殖并占据优势,从而便可导致肿瘤在全身各组织的转移〔5〕。1996年,我室自1例成骨肉瘤患者手术中取材,成功地建立了SOSP-9607细胞系,将其皮下种植后成瘤率达100%,但不能发生远处转移。后经腹腔连续传代和转移瘤体外培养筛选得到了SOSP-M亚系,其保持了人类的染色体核型,但各项生物学特性与母系有较大差别,如生长迅速、S期细胞比例高、肺转移率大大提高等,表明SOSP-M是一株具有高转移能力的细胞系。
恶性肿瘤细胞的特点之一,是其遗传的不稳定性〔3〕。肿瘤细胞在传代过程中,其转移能力可能增强,亦可能消退。我们尝试通过体内、外交替传代,反复将体内转移瘤细胞在体外分离传代,始终维持着筛选过程。虽操作步骤较多,但按此步骤多次传代后的细胞,具有更高的肿瘤结节形成率,且出现较高比例的肺外转移。
, 百拇医药
本文所用动物模型具有实验周期短、转移率高及尾静脉一次注射即能形成实验性转移的特点。至于该高转移亚群系统的生物学特征及如何维持其高转移性状的方法,正在进行更深入地研究。
*国家自然科学基金资助项目,NO.39330200
作者简介:龙华,男,26岁,硕士生
西安市灞桥区新寺路1号,Tel.(029)3513140-77433
参考文献
[1]司徒镇强,吴军正主编.细胞培养.西安:世界图书出版公司,1996:173196
[2]郝新保,张利朝,殷缨,等.MTT比色法测定细胞生长曲线.第四军医大学学报,1997;18(4):390-391
, 百拇医药
[3]Heppner GH.Tumor heterogenecity. Cancer Res, 1984;44: 2259-2265
[4]Fidler IJ ,Hart IR .Biological diversity in metastatic neoplasms ,origins and implications. Science, 1982; 217: 998 1003
[5]Nowell PC . Mechanisms of tumor progression.Cancer Res,1986;46:2203-2207
(收稿 1998-09-07 修回 1998-10-22), 百拇医药
单位:龙华 范清宇 殷剑宁 杨彤涛 邱秀春 蒋维中(第四军医大学唐都医院骨肿瘤实验室,西安710038)
关键词:转移;成骨肉瘤;细胞系
细胞与分子免疫学杂志990111
摘要 目的:筛选人成骨肉瘤高转移细胞并探讨维持其高转移性状的方法。方法:采用低转移性成骨肉瘤细胞系在裸小鼠腹腔内连续传代和体外培养肺转移灶筛选高转移亚系,通过体内、外交替传代维持其高转移性状,并用流式细胞仪、染色体分析等方法,研究该高转移亚系的细胞周期、形态、增殖等生物学特性。结果:筛选所得腹水型高转移亚系自发性肺转移率达100%。在细胞形态、增殖速度、染色体数目等方面与母系有较大差别,经体内、外交替传代高转移性状得以维持,且出现较高比例的脑、骨、肌肉转移。结论:腹腔连续传代培养转移灶和体内、外交替传代是筛选和维持高转移细胞的可靠方法。
, 百拇医药
中国图书资料分类号 R782
Selection and maintenance of a highly metastatic subpopulation from a human osteosarcoma cell line in nude mice
Long Hua, Fan Qingyu, Yin Jianning, Yang Tongtao, Qiu Xiuchun, Jiang Weizhong (Laboratory of Orthopedic Oncology , TangDu Hospital , the Fourth Military Medical University , Xi’an 710038 )
Keywords metastasis osteosarcoma cell line
Abstract Aim: To select a highly metastatic subpopulation from a human osteosarcoma cell line and to establish a method for keeping its highly metastatic character. Methods: A low metastatic cell line SOSP-9607 was chosen as material. Artificial lung metastasis in nude mice and cell culture techniques were used to select the highly metastatic subpopulation, and its highly metastatic character was maintained by secondary culture in vivo and in vitro. Cell growth analysis, chromosome staining and flowcytometry were employed to characterize the subpopulation. Results: The spontaneous lung metastasis rate of SOSP-M in nude mice was 100% . Compared with SOSP-9607, SOSP-M showed different properties in shape, growing rate, chromosome and so on. Through secondary culture in vivo and in vitro, we maintained its metastatic character, and observed a high rate of metastasis in brain, bone and muscle.Conclusion: Artificial lung metastasis, cell culture and secondary culture in vivo and in vitro are reliable methods to select and maintain highly metastatic subpopulation.
, 百拇医药
成骨肉瘤是运动系常见的恶性肿瘤,侵袭和转移力强。临床上50%~80%的病例在截肢术后辅以系统的化学疗法仍死于弥漫性肺转移,目前尚无很好的治疗措施来控制和清除转移。长期以来,由于缺乏稳定的高转移性细胞系和动物模型,对成骨肉瘤转移机理及特点的研究造成很大困难。我们采用低转移性成骨肉瘤细胞系SOSP-9607作为实验材料,在裸小鼠腹腔内连续传代和体外培养肺转移灶,筛选出高转移亚系SOSP-M。并根据肿瘤异质性及肿瘤演进学说,通过体内、外交替传代,较好地维持了高转移性状,为研究成骨肉瘤的转移机理奠定了基础。
1 材料和方法
1.1 细胞系 低转移细胞系SOSP-9607(由本室杨彤涛硕士提供)常规培养于含10%胎牛血清的RPMI-1640培养液中。
1.2 动物 Balb/c裸鼠,购自中国药品生物制品鉴定所动物繁殖场,鼠龄3周-4周,体重15g~
, http://www.100md.com
20g,雌性,在无病原体条件下饲养。
1.3 高转移亚系的筛选 取SOSP-9607第120代对数生长期的细胞,消化、洗涤后,制备成4.5×106个/ml细胞悬液,每只裸鼠腹腔注射1ml。3周后,取腹水离心沉淀,用无血清RPMI-1640培养液洗涤后,再次按上述细胞数量腹腔接种。待裸鼠出现全身消瘦、呼吸急促时(约4周~8周),处死,取肺,于解剖显微镜下(4×)可见肺表面有数个白色结节。取材进行原代细胞培养,经两次传代后(为第3代),按上述方法再次进行人工肺转移。共进行3次后,肺表面可见白色结节密布,取转移结节培养获得高转移亚系SOSP-M。
1.4 染色体分析 对SOSP-M进行细胞染色体显示,吉姆萨染色,每种细胞随机取50个细胞进行染色体计数〔1〕。
1.5 流式细胞仪测定细胞增殖指数(PI) 收集对数生长期的细胞用胰酶消化后,75%冷乙醇固定,将细胞数调整至每毫升1×105个。经溴化乙锭染色后,在流式细胞仪上测定细胞周期。
, http://www.100md.com
1.6 MTT法测定细胞生长曲线 调整细胞浓度,按1×103个细胞/孔接种于96孔板中,每孔200μl培养基,置37℃培养。每天用MTT比色法测定3孔中细胞的A值(为490nm),并绘制细胞生长曲线〔2〕。
1.7 高转移亚系的维持 取SOSP-M细胞制备成3×106个/ml的细胞悬液,从尾静脉注入0.2ml(6×105个细胞),造成实验性肺转移。取转移瘤灶,体外培养至对数生长期,注入裸鼠股部皮下(5×106个细胞/只),造成自发性肺转移。按上述方法体内、外交替传代培养。
1.8 裸鼠肺表面转移结节形成率的测定 取SOSP-9607,SOSP-M及经体内、外交替培养传代4次的SOSP-M3种细胞,消化、洗涤后,自尾静脉给每只裸鼠注入3×106个细胞(0.2ml),每组5只。注射4周后,拉颈处死,取出肺于解剖显微镜(4×)下,计数结节数,并切片进行HE染色。
, http://www.100md.com
2 结果
2.1 裸鼠体内SOSP-M亚系的筛选 将SOSP-9607细胞系在裸鼠腹腔内种植,连续传代后,出现全身消瘦、呼吸困难和衰竭(即取材标准)的时间平均为34d。解剖可见腹腔脏器广泛种植性转移,有血性腹水,肺部可见细小的白色转移结节。将肺转移灶进行体外培养。贴壁生长的多角性细胞逐渐被半悬浮生长的圆形细胞所取代。当半悬浮生长的细胞占绝对优势时,其肺转移率达到100%(5/5),此亚系即命名为SOSP-M。
2.2 染色体分析 SOSP-M亚系的染色体形态仍为人类染色体形态,多为50余条,形态似SOSP-9607细胞系。
2.3 细胞周期及增殖指数的测定 由流式细胞仪测得的细胞周期及增殖指数见表1。
表1 两个细胞系的细胞周期及增殖指数
Tab 1 Distribution of the cell cycle and proliferation index of the two cell lines Cell line
, 百拇医药
G1(% )
G2(%)
S(%)
PI
SOSP-9607
60.0
23.0
17.0
0.40
SOSP-M
35.4
16.1
48.5
, 百拇医药
0.64
2.4 细胞生长曲线的测定 MTT法测得两种细胞的生长曲线见图1。
图1 SOSP-9607(◆)和SOSP-M(■)两种细胞系的生长曲线
Fig 1 Growth curves of SOSP-9607 (◆) and SOSP-M (■)
2.5 高转移性状的维持 SOSP-M细胞经尾静脉注射后,实验性肺转移率为100%(5/5)。体内、体外交替传代4次后,仍为100%(5/5),但肺表面转移结节的形成率更高,结节小而密集。传代后的细胞与SOSP-M一样,均伴有脾、脑、骨、肌肉的转移。在皮下种植转移实验中,SOSP-M主要转移至肺,而传代后转移至其它部位如脑(2/5)、肌肉(4/5)及骨(2/5)的比例明显增高。裸鼠肺表面转移结节的形成率见表2。
, http://www.100md.com
表2裸鼠肺表面转移结节的形成率
Tab 2 Pulmonary metastatic nodules appearance rate of the cells Cell line
Appearance rate
Nodular number
SOSP-9607
0/5
0
SOSP-M
5/5
112± 47
, http://www.100md.com
Post-passage SOSP-M
5/5
178± 29
2.6 肺、骨、肌肉转移灶的组织学特征 所获结果见图2所示。
图2 SOSP-M亚系所致裸鼠转移结节的组织学形态(HE染色×20)
Fig 2 Tissue morphological feature of metastatic nodules caused by SOSP-M in nude mice (HE staining × 20) a:lung; b:bone; c:muscle
, http://www.100md.com
3 讨论
肿瘤异质性学说指出,同一实体肿瘤内存在着侵袭性和转移性不完全相同的多种细胞亚群。若体内,外的环境给予肿瘤细胞一定的压力选择,便可使其中某种或某些种亚群逐渐占优势〔3,4〕。实验正是以此为基础,采用腹腔连续传代和肺转移瘤体外培养,其目的是使肿瘤在体内转移过程中,经受多种不同组织内环境的“压力”,逐渐增殖并占据优势,从而便可导致肿瘤在全身各组织的转移〔5〕。1996年,我室自1例成骨肉瘤患者手术中取材,成功地建立了SOSP-9607细胞系,将其皮下种植后成瘤率达100%,但不能发生远处转移。后经腹腔连续传代和转移瘤体外培养筛选得到了SOSP-M亚系,其保持了人类的染色体核型,但各项生物学特性与母系有较大差别,如生长迅速、S期细胞比例高、肺转移率大大提高等,表明SOSP-M是一株具有高转移能力的细胞系。
恶性肿瘤细胞的特点之一,是其遗传的不稳定性〔3〕。肿瘤细胞在传代过程中,其转移能力可能增强,亦可能消退。我们尝试通过体内、外交替传代,反复将体内转移瘤细胞在体外分离传代,始终维持着筛选过程。虽操作步骤较多,但按此步骤多次传代后的细胞,具有更高的肿瘤结节形成率,且出现较高比例的肺外转移。
, 百拇医药
本文所用动物模型具有实验周期短、转移率高及尾静脉一次注射即能形成实验性转移的特点。至于该高转移亚群系统的生物学特征及如何维持其高转移性状的方法,正在进行更深入地研究。
*国家自然科学基金资助项目,NO.39330200
作者简介:龙华,男,26岁,硕士生
西安市灞桥区新寺路1号,Tel.(029)3513140-77433
参考文献
[1]司徒镇强,吴军正主编.细胞培养.西安:世界图书出版公司,1996:173196
[2]郝新保,张利朝,殷缨,等.MTT比色法测定细胞生长曲线.第四军医大学学报,1997;18(4):390-391
, 百拇医药
[3]Heppner GH.Tumor heterogenecity. Cancer Res, 1984;44: 2259-2265
[4]Fidler IJ ,Hart IR .Biological diversity in metastatic neoplasms ,origins and implications. Science, 1982; 217: 998 1003
[5]Nowell PC . Mechanisms of tumor progression.Cancer Res,1986;46:2203-2207
(收稿 1998-09-07 修回 1998-10-22), 百拇医药