裸小鼠原位移植筛选高转移性人骨肉瘤细胞系及其生物学特性分析
作者:潘朝晖 范清宇 殷剑宁 蒋维中 张殿中
单位:潘朝晖(第四军医大学唐都医院全军骨肿瘤研究所,陕西西安710038);范清宇(第四军医大学唐都医院全军骨肿瘤研究所,陕西西安710038);殷剑宁(第四军医大学唐都医院全军骨肿瘤研究所,陕西西安710038);蒋维中(第四军医大学唐都医院全军骨肿瘤研究所,陕西西安710038);张殿中(第四军医大学唐都医院全军骨肿瘤研究所,陕西西安710038)
关键词:骨肉瘤;转移;裸小鼠
细胞与分子免疫学杂志000324
摘要:目的在裸小鼠体内筛选人骨肉瘤高肺转移性细胞亚群,为实验研究提供模型。方法利用原位移植方法,将人骨肉瘤细胞系SOSP9607皮下移植瘤接种于裸鼠胫骨骨髓腔。筛选到第2代时,有1例发生肺转移;以皮下扩增转移灶,再次原位移植,第3代肺转移率达83%(5/6)。用组织块法培养收集,比较其与母系在形态结构、细胞核型,vimentin,actin,NSE抗原表达及体积倍增时间等方面的差别。结果同母系相比较,该转移细胞保持了人骨肉瘤细胞的组织学特征,生物学特性也有较大差别。结论该细胞亚群是一株新建立的人骨肉瘤细胞高转移性亚系。
, 百拇医药
中图号:R681.2 文献标识码:A 文章编号:1007-8738(2000)03-0252-03
Screening of human osteosarcoma cell line with spontaneous highly pulmonary metastasis in nude mice by orthotopic transplantation and studies on its biological characteristics
PAN Zhao-hui FAN Qing-yu YIN Jian-ning JIANG Wei-zhong ZHANG Dian-zhong
(Institute of Orthopaedic Oncology of PLA, Tangdu Hospital, Fourth Military Medical University, Xi'an 710038, Shaanxi Province, China)
, 百拇医药
Abstract: Aim To screen human osteosarcoma cell line with spontaneous highly pulmonary metastases in nude mice by an orthotopic transplantation and to provide a model for experimental study. Methods Osteosarcoma cell line SOSP 9607 were inoculated in tibial marrow cavity of nude mice by subcutaneous injection of 107 cells (∧ 90% viable). Orthotopic transplantated, a cell line representive of passage three with highly pulmonary metastases was obtained, characterized by light and electronic microscropy,karyotype, expressions of vimentin,actin and NSE, doubling time in vitro. Results After the third sequential or thotopic transplantation, a highly metastatic clone was obtained. Relatively to parental cells, it remained histological characteristics of human osteosarcoma cells, but possessed more chromosome abnormalities. Conclusion A human osteosarcoma cell subpopulation with spontaneous highly pulmonary metastasis is established in nude mice.
, 百拇医药
Keywords: osteosarcoma; metastasis; nude mice ▲
骨肉瘤是一种危害性大、转移率高的恶性肿瘤,虽然外科手术已经显著改善了保肢患者的生存质量,但目前尚无很好的治疗措施来控制和消除其转移。实验研究中迫切需要建立一种具有转移特性的细胞模型。过去由于移植方法不当,成功的例子不多。我们利用原位移植具有高成活率、高自发转移率的特点〔1〕,将非转移性人骨肉瘤细胞系SOSP9607原位接种,成功地筛选出1株具有高肺转移特性的细胞亚群SOSP-M1,并对其生物学特性进行了初步研究。
1 材料和方法
1.1材料Balb/c,nu/nu裸小鼠(购自中国生物药品鉴定所),鼠龄4~8wk,体重15~20g,雌雄兼用。在本室裸鼠间SPF环境中饲养。人骨肉瘤细胞系SOSP9607,由本所杨彤涛医生建立,培养于含100mL/L小牛血清的RPMI1640培养基中。抗波形蛋白(vimentin)和抗肌动蛋白(actin)的单克隆抗体(mAb),为Sigma公司商品化免疫试剂。抗神经元特异性烯醇化酶(NSE)的mAb,为DAKO公司商品化免疫试剂。APAKit购自北京中山生物技术有限公司。
, 百拇医药
1.2方法
1.2.1自发性高肺转移细胞的筛选复苏第120代细胞,传代培养5d后,用胰酶与EDTA混合液消化,以1×1011细胞/L·裸鼠,无菌条件下注射于其臀部皮下,此即为原代移植瘤(S0)。挑选对数生长期的S0中毛细血管丰富的瘤体,去除坏死组织,剪成0.5mm×0.5mm大小备用。受体动物以0.2~0.3mL/只腹腔注射25g/L的硫贲妥钠麻醉。于手术显微镜下(1.0×物镜,10×目镜)暴露胫骨结节,掀起0.5mm×0.5mm大小的骨皮质瓣植入一块瘤组织。骨瓣复位,用6~0号无创缝线缝合筋膜及皮肤。整个过程在无菌净化室内操作。8wk后,脱臼处死,于解剖显微镜下未发现肺转移灶。取胫骨瘤体(S1)再次原位移植,8wk后肉眼发现可见的肺转移结节,皮下扩增转移灶(S2)继续接种,于相同时间处死并检查转移情况。通过组织块法收集转移灶细胞(S3),用于相关生物学特性的检测。
1.2.2形态学检查每只裸鼠均行详细解剖,对肉眼未发现转移灶的肺脏进行连续切片。短期培养的细胞生长于盖玻片上,用950mL/L乙醇固定后,进行HE染色观察。收集培养的细胞,用30mL/L戊二醛固定、树脂包埋、超薄切片并染色,以日立JEM1200电子显微镜观察。
, http://www.100md.com
1.2.3染色体分析S3细胞短期培养传代第3天后,按文献〔2〕所述方法制片,油镜下随机挑选100个分散良好且完整的中期分裂象计数其染色体。消化、Giemsa染色,显微镜观察并拍照。带型分析采用ISCN(1985)命名。
1.2.4免疫细胞化学染色细胞爬片2d,依次用纯丙酮室温固定30min,3mL/LH2O2/甲醇处理30min、水洗,滴加50mL/L小牛血清封闭10min。倾去血清,分别滴加工作浓度为1∶100的一抗,37℃孵育1h。PBS振洗,加山羊抗小鼠/兔IgG(1∶100),37℃,30min。PBS振洗,加APA兔抗山羊IgG,37℃,20min。PBS振洗、DBA显色。以苏木精复染后,脱水、透明,封片,观察。实验中设阳性对照和以PBS代替一抗的阴性对照。
1.2.5体积倍增时间的测定取生长状态良好的细胞,调整细胞浓度为1×105/L,接种3块12孔培养板。每天计数活细胞,并绘制生长曲线,计算出体积倍增时间。
, 百拇医药
2 结果
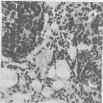
2.1各代裸鼠移植的成功率及转移情况术后2~3wk左右,可见肿瘤膨胀性生长,各代移植瘤的成功率均为100%。病理检查可见胫骨内肿瘤具有骨肉瘤的特征:核深染、核分裂及瘤巨细胞多见,胞浆嗜酸性,细胞周围可见骨样骨质(图1)。1~3代移植瘤肺转移的情况分别为0/6,1/6和5/6。发生转移的肺表面可见灰白色半透明结节,部分微小转移灶通过连续切片才可发现,镜下见肺转移灶呈结节状或散在分布(图2)。
2.2形态结构光镜下肿瘤细胞的形态结构相似,呈类上皮样细胞形态,以多边形、三角形细胞为主,多核巨细胞多见;电镜下高转移亚群细胞呈幼稚型,分化更低,核形态不规则,细胞器丰富,微丝微管系统发达,呈束状分布。
图1裸鼠胫骨骨髓腔内生长的肿瘤
, 百拇医药
(HE,×40)
Fig 1 Growth of osteosarcoma in tibial marrow cavity
图2结节状分布的肺转移灶
(HE,×100)
Fig 2 Nodular distribution of pulmonary metastasis foci
2.3染色体分析高转移亚群肿瘤细胞的染色体畸变从亚三倍体到超三倍体,数目变化在58~72条之间,众数为65~68;母系数目变化在52~69条之间,众数为64~66。镜下所见微核(间期核)、染色体单体断裂、双着丝粒染色体及环状染色体畸变低于5%。核型分析表明,两者之间能够确立的正常染色体和畸变染色体基本一致。第8,10,14,18和21号染色体多为2条,有非常类似的一系列标记染色体。其结构复杂,故具体来源未能完全确立(图3)。
, 百拇医药
2.4免疫细胞化学染色肿瘤细胞vimentin和actin抗原相应表达产物位于胞浆及胞膜上(图4)。在高倍镜下随机计数500个细胞,统计其阳性细胞数,未见两者之间有明显变化。NSE抗原表达呈阴性。
图3转移瘤细胞S3的核型分析
Fig 3 Karyotypic analysis of chromosomes in metastatic osteosarcoma cells S3(× 1000)
图4Vimentin阳性物质的分布
Fig 4 Distribution of Vinmentin positive substances(APA× 400)
, http://www.100md.com
2.5倍增时间两种细胞体积的倍增时间分别为(28.3±3.1)h和(27.1±2.8)h,(P∧0.05)。
3 讨论
最新研究表明,人肿瘤细胞恶性表型的充分表达,不但需要具备合适的移植环境,而且还依赖于肿瘤细胞之间、肿瘤细胞与间质,以及宿主之间的相互作用,因此,组织块原位移植是目前公认的建立人肿瘤作用模型较为理想的方法〔1〕。肿瘤细胞在裸鼠体内筛选过程中,由于外界环境的压力及其自身遗传的不稳定性,一些肿瘤细胞可能出现基因结构和(或)蛋白产物表达的异常,出现新的异质群体,并可逐渐增殖占据优势〔3〕。本文结果可见,用肺转移灶在裸鼠体内原位移植、连续筛选,不仅可进一步提高肿瘤的自发转移率,筛选出具有高转移特性的细胞亚群,而且转移细胞保持了人骨肉瘤的组织学特征;vimentin和actin抗原表达呈阳性,而NSE抗原表达呈阴性〔4〕。
, http://www.100md.com
同母系相比较,高转移性亚群细胞体积的倍增时间缩短,肺转移率显著提高。超微结构检查发现,其细胞连接发育较差,微丝、微管结构丰富,可能有助于其越过基底膜而转移。遗传学研究表明,SOSPM1与其母系之间存在一定的差异。高转移性亚群的染色体数目分布较分散,较母系多2~3条。这种差异主要由于肿瘤细胞在裸鼠体内经多次筛选后,其遗传学特性可能发生改变所致,而这一细胞遗传学特性可能与其高转移特性密切相关。在染色体结构变化方面,两种细胞在G显带水平均有一系列复杂的标记染色体,但未能发现两者之间的差别。染色体结构的变化及分子细胞遗传学的改变有待进一步研究。这两种遗传背景相同而转移潜能不同的细胞,为研究人骨肉瘤转移的机制,特别是筛选肿瘤转移相关基因,提供了非常适当的模型。■
基金项目:国家自然科学基金资助,No.39330200
作者简介:潘朝晖,男,28岁,硕士生西安市霸桥区新寺路1号 ,Tel.(029)3577733 2000 by J Cell Mol Immunol Press www.immunology. net/jcmi; Email. immuedit@fmmu.edu.cn
, 百拇医药
参考文献:
〔1〕 Furukawa T, Fu X, Kubob T, et al. Nude mouse metastatic models of human stomach cancer construct using orthotopic implantation of histological intact tissue〔J〕 . Cancer Res,1993;53:1204.
〔2〕 宋 福 津 , 马 绍 武 , 杨 新 宇 , 等 .人 骨 肉 瘤 U 20S的 染 色 体 分 析 〔J〕 .中 华 医 学 遗 传 学 杂 志 , 1995; 12(2): 116- 117.
〔3〕 Nicolsm GL. Tumor cell instabliity, diversification and progression to the metastatic phenotype: from oncogene to oncofetal expression〔J〕 . Cancer Res, 1987;47:1473- 1487.
〔4〕 中 山 医 科 大 学 病 理 学 教 研 室 、 同 济 医 科 大 学 病 理 学 教 研 室 编 著 . 《 外 科 病 理 学 》 〔M〕 .第 2版 .武 汉 : 湖 北 科 学 技 术 出 版 社 , 1999: 903- 904.
收稿日期:1999-09-23
修回日期:1999-12-21, 百拇医药
单位:潘朝晖(第四军医大学唐都医院全军骨肿瘤研究所,陕西西安710038);范清宇(第四军医大学唐都医院全军骨肿瘤研究所,陕西西安710038);殷剑宁(第四军医大学唐都医院全军骨肿瘤研究所,陕西西安710038);蒋维中(第四军医大学唐都医院全军骨肿瘤研究所,陕西西安710038);张殿中(第四军医大学唐都医院全军骨肿瘤研究所,陕西西安710038)
关键词:骨肉瘤;转移;裸小鼠
细胞与分子免疫学杂志000324
摘要:目的在裸小鼠体内筛选人骨肉瘤高肺转移性细胞亚群,为实验研究提供模型。方法利用原位移植方法,将人骨肉瘤细胞系SOSP9607皮下移植瘤接种于裸鼠胫骨骨髓腔。筛选到第2代时,有1例发生肺转移;以皮下扩增转移灶,再次原位移植,第3代肺转移率达83%(5/6)。用组织块法培养收集,比较其与母系在形态结构、细胞核型,vimentin,actin,NSE抗原表达及体积倍增时间等方面的差别。结果同母系相比较,该转移细胞保持了人骨肉瘤细胞的组织学特征,生物学特性也有较大差别。结论该细胞亚群是一株新建立的人骨肉瘤细胞高转移性亚系。
, 百拇医药
中图号:R681.2 文献标识码:A 文章编号:1007-8738(2000)03-0252-03
Screening of human osteosarcoma cell line with spontaneous highly pulmonary metastasis in nude mice by orthotopic transplantation and studies on its biological characteristics
PAN Zhao-hui FAN Qing-yu YIN Jian-ning JIANG Wei-zhong ZHANG Dian-zhong
(Institute of Orthopaedic Oncology of PLA, Tangdu Hospital, Fourth Military Medical University, Xi'an 710038, Shaanxi Province, China)
, 百拇医药
Abstract: Aim To screen human osteosarcoma cell line with spontaneous highly pulmonary metastases in nude mice by an orthotopic transplantation and to provide a model for experimental study. Methods Osteosarcoma cell line SOSP 9607 were inoculated in tibial marrow cavity of nude mice by subcutaneous injection of 107 cells (∧ 90% viable). Orthotopic transplantated, a cell line representive of passage three with highly pulmonary metastases was obtained, characterized by light and electronic microscropy,karyotype, expressions of vimentin,actin and NSE, doubling time in vitro. Results After the third sequential or thotopic transplantation, a highly metastatic clone was obtained. Relatively to parental cells, it remained histological characteristics of human osteosarcoma cells, but possessed more chromosome abnormalities. Conclusion A human osteosarcoma cell subpopulation with spontaneous highly pulmonary metastasis is established in nude mice.
, 百拇医药
Keywords: osteosarcoma; metastasis; nude mice ▲
骨肉瘤是一种危害性大、转移率高的恶性肿瘤,虽然外科手术已经显著改善了保肢患者的生存质量,但目前尚无很好的治疗措施来控制和消除其转移。实验研究中迫切需要建立一种具有转移特性的细胞模型。过去由于移植方法不当,成功的例子不多。我们利用原位移植具有高成活率、高自发转移率的特点〔1〕,将非转移性人骨肉瘤细胞系SOSP9607原位接种,成功地筛选出1株具有高肺转移特性的细胞亚群SOSP-M1,并对其生物学特性进行了初步研究。
1 材料和方法
1.1材料Balb/c,nu/nu裸小鼠(购自中国生物药品鉴定所),鼠龄4~8wk,体重15~20g,雌雄兼用。在本室裸鼠间SPF环境中饲养。人骨肉瘤细胞系SOSP9607,由本所杨彤涛医生建立,培养于含100mL/L小牛血清的RPMI1640培养基中。抗波形蛋白(vimentin)和抗肌动蛋白(actin)的单克隆抗体(mAb),为Sigma公司商品化免疫试剂。抗神经元特异性烯醇化酶(NSE)的mAb,为DAKO公司商品化免疫试剂。APAKit购自北京中山生物技术有限公司。
, 百拇医药
1.2方法
1.2.1自发性高肺转移细胞的筛选复苏第120代细胞,传代培养5d后,用胰酶与EDTA混合液消化,以1×1011细胞/L·裸鼠,无菌条件下注射于其臀部皮下,此即为原代移植瘤(S0)。挑选对数生长期的S0中毛细血管丰富的瘤体,去除坏死组织,剪成0.5mm×0.5mm大小备用。受体动物以0.2~0.3mL/只腹腔注射25g/L的硫贲妥钠麻醉。于手术显微镜下(1.0×物镜,10×目镜)暴露胫骨结节,掀起0.5mm×0.5mm大小的骨皮质瓣植入一块瘤组织。骨瓣复位,用6~0号无创缝线缝合筋膜及皮肤。整个过程在无菌净化室内操作。8wk后,脱臼处死,于解剖显微镜下未发现肺转移灶。取胫骨瘤体(S1)再次原位移植,8wk后肉眼发现可见的肺转移结节,皮下扩增转移灶(S2)继续接种,于相同时间处死并检查转移情况。通过组织块法收集转移灶细胞(S3),用于相关生物学特性的检测。
1.2.2形态学检查每只裸鼠均行详细解剖,对肉眼未发现转移灶的肺脏进行连续切片。短期培养的细胞生长于盖玻片上,用950mL/L乙醇固定后,进行HE染色观察。收集培养的细胞,用30mL/L戊二醛固定、树脂包埋、超薄切片并染色,以日立JEM1200电子显微镜观察。
, http://www.100md.com
1.2.3染色体分析S3细胞短期培养传代第3天后,按文献〔2〕所述方法制片,油镜下随机挑选100个分散良好且完整的中期分裂象计数其染色体。消化、Giemsa染色,显微镜观察并拍照。带型分析采用ISCN(1985)命名。
1.2.4免疫细胞化学染色细胞爬片2d,依次用纯丙酮室温固定30min,3mL/LH2O2/甲醇处理30min、水洗,滴加50mL/L小牛血清封闭10min。倾去血清,分别滴加工作浓度为1∶100的一抗,37℃孵育1h。PBS振洗,加山羊抗小鼠/兔IgG(1∶100),37℃,30min。PBS振洗,加APA兔抗山羊IgG,37℃,20min。PBS振洗、DBA显色。以苏木精复染后,脱水、透明,封片,观察。实验中设阳性对照和以PBS代替一抗的阴性对照。
1.2.5体积倍增时间的测定取生长状态良好的细胞,调整细胞浓度为1×105/L,接种3块12孔培养板。每天计数活细胞,并绘制生长曲线,计算出体积倍增时间。
, 百拇医药
2 结果
2.1各代裸鼠移植的成功率及转移情况术后2~3wk左右,可见肿瘤膨胀性生长,各代移植瘤的成功率均为100%。病理检查可见胫骨内肿瘤具有骨肉瘤的特征:核深染、核分裂及瘤巨细胞多见,胞浆嗜酸性,细胞周围可见骨样骨质(图1)。1~3代移植瘤肺转移的情况分别为0/6,1/6和5/6。发生转移的肺表面可见灰白色半透明结节,部分微小转移灶通过连续切片才可发现,镜下见肺转移灶呈结节状或散在分布(图2)。
2.2形态结构光镜下肿瘤细胞的形态结构相似,呈类上皮样细胞形态,以多边形、三角形细胞为主,多核巨细胞多见;电镜下高转移亚群细胞呈幼稚型,分化更低,核形态不规则,细胞器丰富,微丝微管系统发达,呈束状分布。
图1裸鼠胫骨骨髓腔内生长的肿瘤
, 百拇医药
(HE,×40)
Fig 1 Growth of osteosarcoma in tibial marrow cavity
图2结节状分布的肺转移灶
(HE,×100)
Fig 2 Nodular distribution of pulmonary metastasis foci
2.3染色体分析高转移亚群肿瘤细胞的染色体畸变从亚三倍体到超三倍体,数目变化在58~72条之间,众数为65~68;母系数目变化在52~69条之间,众数为64~66。镜下所见微核(间期核)、染色体单体断裂、双着丝粒染色体及环状染色体畸变低于5%。核型分析表明,两者之间能够确立的正常染色体和畸变染色体基本一致。第8,10,14,18和21号染色体多为2条,有非常类似的一系列标记染色体。其结构复杂,故具体来源未能完全确立(图3)。
, 百拇医药
2.4免疫细胞化学染色肿瘤细胞vimentin和actin抗原相应表达产物位于胞浆及胞膜上(图4)。在高倍镜下随机计数500个细胞,统计其阳性细胞数,未见两者之间有明显变化。NSE抗原表达呈阴性。
图3转移瘤细胞S3的核型分析
Fig 3 Karyotypic analysis of chromosomes in metastatic osteosarcoma cells S3(× 1000)
图4Vimentin阳性物质的分布
Fig 4 Distribution of Vinmentin positive substances(APA× 400)
, http://www.100md.com
2.5倍增时间两种细胞体积的倍增时间分别为(28.3±3.1)h和(27.1±2.8)h,(P∧0.05)。
3 讨论
最新研究表明,人肿瘤细胞恶性表型的充分表达,不但需要具备合适的移植环境,而且还依赖于肿瘤细胞之间、肿瘤细胞与间质,以及宿主之间的相互作用,因此,组织块原位移植是目前公认的建立人肿瘤作用模型较为理想的方法〔1〕。肿瘤细胞在裸鼠体内筛选过程中,由于外界环境的压力及其自身遗传的不稳定性,一些肿瘤细胞可能出现基因结构和(或)蛋白产物表达的异常,出现新的异质群体,并可逐渐增殖占据优势〔3〕。本文结果可见,用肺转移灶在裸鼠体内原位移植、连续筛选,不仅可进一步提高肿瘤的自发转移率,筛选出具有高转移特性的细胞亚群,而且转移细胞保持了人骨肉瘤的组织学特征;vimentin和actin抗原表达呈阳性,而NSE抗原表达呈阴性〔4〕。
, http://www.100md.com
同母系相比较,高转移性亚群细胞体积的倍增时间缩短,肺转移率显著提高。超微结构检查发现,其细胞连接发育较差,微丝、微管结构丰富,可能有助于其越过基底膜而转移。遗传学研究表明,SOSPM1与其母系之间存在一定的差异。高转移性亚群的染色体数目分布较分散,较母系多2~3条。这种差异主要由于肿瘤细胞在裸鼠体内经多次筛选后,其遗传学特性可能发生改变所致,而这一细胞遗传学特性可能与其高转移特性密切相关。在染色体结构变化方面,两种细胞在G显带水平均有一系列复杂的标记染色体,但未能发现两者之间的差别。染色体结构的变化及分子细胞遗传学的改变有待进一步研究。这两种遗传背景相同而转移潜能不同的细胞,为研究人骨肉瘤转移的机制,特别是筛选肿瘤转移相关基因,提供了非常适当的模型。■
基金项目:国家自然科学基金资助,No.39330200
作者简介:潘朝晖,男,28岁,硕士生西安市霸桥区新寺路1号 ,Tel.(029)3577733 2000 by J Cell Mol Immunol Press www.immunology. net/jcmi; Email. immuedit@fmmu.edu.cn
, 百拇医药
参考文献:
〔1〕 Furukawa T, Fu X, Kubob T, et al. Nude mouse metastatic models of human stomach cancer construct using orthotopic implantation of histological intact tissue〔J〕 . Cancer Res,1993;53:1204.
〔2〕 宋 福 津 , 马 绍 武 , 杨 新 宇 , 等 .人 骨 肉 瘤 U 20S的 染 色 体 分 析 〔J〕 .中 华 医 学 遗 传 学 杂 志 , 1995; 12(2): 116- 117.
〔3〕 Nicolsm GL. Tumor cell instabliity, diversification and progression to the metastatic phenotype: from oncogene to oncofetal expression〔J〕 . Cancer Res, 1987;47:1473- 1487.
〔4〕 中 山 医 科 大 学 病 理 学 教 研 室 、 同 济 医 科 大 学 病 理 学 教 研 室 编 著 . 《 外 科 病 理 学 》 〔M〕 .第 2版 .武 汉 : 湖 北 科 学 技 术 出 版 社 , 1999: 903- 904.
收稿日期:1999-09-23
修回日期:1999-12-21, 百拇医药