寻常型银屑病患者皮损TNF受体和ICAM-1及淋巴细胞功能相关抗原的表达
作者:张士发 林俊萍 王雅坤 梁再赋 陈洪铎 顾绍裘
单位:110015 沈阳,沈阳军区总医院皮肤科(张士发);中国医科大学第一临床学院皮肤科(林俊萍 王雅坤 梁再赋 陈洪铎 顾绍裘)
关键词:银屑病;受体;肿瘤坏死因子;胞间粘附分子;抗原;淋巴细胞功能相关
中华皮肤科杂志980206.htm 【摘要】 目的 探讨肿瘤坏死因子(TNF)α在寻常型银屑病的作用机理。方法 采用免疫组织化学方法对寻常型银屑病皮损55 000(p55)和75 000(p75)TNF受体、细胞间粘附分子(ICAM)-1、白细胞功能相关抗原(LFA)-1的表达进行了检测。结果 正常人皮肤不表达p55、p75、ICAM-1和LFA-1,基底细胞散在表达p55和p75。寻常型银屑病皮损表皮表达p55、p75和ICAM-1;真皮内浸润单一核细胞表达p55、p75和LFA-1;表皮角朊细胞(EKC)p55表达强度与其ICAM-1表达强度呈显著正相关(r′s=0.704,P<0.05),而p75则与ICAM-1不相关(r′s=0.589,P>0.05);表皮角朊细胞ICAM-1表达强度与真皮内浸润单一核细胞数量呈显著正相关(r′s=0.724,P<0.05)。结论 TNFα可通过p55介导而诱导表皮角朊细胞表达ICAM-1,后者则诱导真皮内单一核细胞浸润,从而促进了银屑病的发生和发展。
, 百拇医药
Expressions of TNF Receptors, ICAM-1 and LFA-1 in Lesional Skin of Psoriasis Vulgaris Zhang Shifa, Lin Junping, Wang Yakun, et al. Department of Dermatology, General Hospital of Shenyang Military Region, Shenyang 110015
【Abstract】 Objective To study the mechanism of tumor necrosis factor(TNF) α in psoriasis vulgaris. Methods The expressions of 55-kD(p55) and 75-kD(p75) TNF receptors, intercellular adhesion molecule(ICAM)-1, lymphocyte function associated antigen(LFA)-1 in the lesional skin of psoriasis vulgaris were detected by immunohistochemical method. Results Normal skin did not express p55, p75, ICAM-1 and LFA-1, the epidermis of the lesional skin expressed p55, p75 and ICAM-1, the infiltrating mononuclear cells (MNCs) in the dermis expressed p55, p75 and LFA-1 in psoriasis vulgaris. The intensities of staining of the p55 and ICAM-1 on epidermal keratinocytes(EKC) were significantly correlated (r's=0.704, P<0.05), but p75 and ICAM-1 were not correlated (r's=0.589, P>0.05). The staining intensity of ICAM-1 on EKC and the number of infiltrating MNCs in the dermis was significantly correlated (r's=0.724, P<0.05) in psoriasis vulgaris. Conclusion TNFα may induce the expression of ICAM-1 on KC through the mediation of p55 and ICAM-1 induces the infiltration of MNCs in the dermis, which promotes the development and progression of psoriasis vulgaris.
, 百拇医药
【Key words】 Psoriasis Receptors, tumor necrosis factor Intercellular adhesion molecule-1
Antigen, lymphocyte function associated
银屑病皮损中存在肿瘤坏死因子(TNF)α表达[1]。为了探讨其作用机理,我们对10例寻常型银屑病皮损连续切片,对TNF受体、细胞间粘附分子(ICAM)-1和白细胞功能相关抗原(LFA)-1的表达进行了研究。
资料和方法
1.病例:10例进行期银屑病患者,男7例,女3例;年龄18~42岁;病程2~7年;皮损范围15%~65%。另取正常对照皮肤5份。
2.取材及标本处理:切取典型皮损,OCT包埋,液氮速冻,-80℃冰箱中保存。所有病例均经临床及常规病理证实。正常对照皮肤处理同前。
, 百拇医药
3.试剂:SPTM试剂盒及小鼠抗人ICAM-1、LFA-1单抗由Zymed公司生产,单抗工作浓度为1∶50。小鼠抗人55 000(p55)及75 000(p75)TNF受体抗体由Brockhaus(瑞士)惠赠,工作浓度为1∶100。
4.实验步骤:恒冷切片机连续切取6μm厚组织片,丙酮固定。余步骤详见SPTM试剂盒说明书。阴性对照:以PBS代替一抗,余步骤同前。
5.观察指标:①免疫组化染色:DAB显色,光镜下观察,细胞染成深黄色为(+),浅棕黄色为(),深棕黄色为();②真皮内单一核细胞计数:每高倍视野(×400)下单一核细胞数,每例计数5个视野,取其均值。
6.统计方法:相关性检验采用等级相关分析。
结 果
, 百拇医药
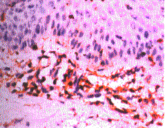
1.TNF受体表达(细胞膜及胞浆着色):正常人表皮基底细胞散在表达p55(+~+++)和p75(+~++)。10例银屑病皮损均表达p55(图1),其中角化不全角质层(包括Munro微脓疡)阳性9例(+~+++),棘层阳性8例(+~+++),真皮内单一核细胞(MNCs)阳性6例(+~++);10例银屑病皮损均表达p75,其中角化不全角质层(包括Munro微脓疡)阳性7例(+~+++),颗粒层阳性1例(++),棘层阳性8例(+~++),真皮内MNCs阳性4例(+~++)。阴性对照均阴性。
2.ICAM-1及LFA-1表达(细胞膜及胞浆着色):9例银屑病皮损真皮乳头上方及上皮突下方表皮角朊细胞(EKC)表达ICAM-1(+~+++),其对应之处真皮内MNCs浸润最明显,且亦表达ICAM-1(+~+++);6例真皮内MNCs及表皮内MNCs表达LFA-1(+~+++)
, http://www.100md.com 图1 寻常型银屑病皮损p55表达(×400)
图2 寻常型银屑病皮损真皮内浸润单一核细胞表达LFA-1(×400)
(图2)。正常人皮肤及阴性对照均阴性。
3.银屑病皮损真皮内MNCs计数:平均237.6±50.4个/高倍视野。
4.统计学分析:等级相关分析表明,银屑病皮损表皮角朊细胞ICAM-1表达强度与真皮内MNCs数呈显著正相关(r′s=0.724,P<0.05),角朊细胞p55和ICAM-1表达强度亦呈显著正相关(r′s=0.704,P<0.05),p75与ICAM-1不相关(r′s=0.589,P>0.05)。
, 百拇医药
讨 论
Kristensen等[1]发现,正常人及银屑病未受累之“正常”皮肤角朊细胞和真皮上方的树枝状细胞表达p55,银屑病皮损处表皮全层、包括角化不全的角质层及真皮血管周围浸润细胞均表达p55,认为TNFα可通过与p55结合而作用于角朊细胞等;正常人及银屑病未受累之“正常”皮肤真皮内树枝状细胞等表达p75,银屑病皮损真皮内浸润炎性细胞表达p75。但两种TNF受体介导何种效应尚不清楚。本研究表明,正常人基底细胞表达p55和p75。与Kristensen报道相同。p55和p75均可表达于银屑病表皮全层及真皮内浸润MNCs,提示在银屑病中两种受体介导了TNFα的某些生物学效应。
既往研究表明,正常人皮肤ICAM-1和LFA-1均阴性,银屑病表皮角朊细胞表达ICAM-1,角朊细胞及真皮内炎性细胞表达LFA-1[2],与本文结果一致。已知ICAM-1和LFA-1互为配基,相互作用,可介导一系列炎症反应[3]。我们发现,银屑病角朊细胞ICAM-1表达强度与真皮内浸润炎性细胞数量呈显著正相关,表明ICAM-1对真皮内MNCs向表皮内浸润起重要作用[4]。
, 百拇医药
体外实验表明,p55介导的信号可以调节培养的角朊细胞表达ICAM-1[5]。本研究发现,银屑病角朊细胞p55表达强度与其ICAM-1表达强度呈显著正相关,而p75则与ICAM-1不相关。因此我们认为,在银屑病中TNFα可通过与p55结合,诱导角朊细胞表达ICAM-1而促进LFA-1+ MNCs向表皮内浸润,从而产生一系列炎症反应。而MNCs表达ICAM-1的意义及p75介导何种效应有待进一步探讨。
参 考 文 献
1 Kristensen M, Chu Q, Eedy DJ, et al. Localization of tumor necrosis factor-alpha (TNF-alpha) and its receptors in normal and psoriatic skin: epidermal cells express the 55kD but not the 75kD TNF receptor. Clin Exp Immunol, 1993,94∶354-362.
, 百拇医药
2 Boehncke WH, Kellner I, Konter U, et al. Differential expression of adhesion molecules on infiltrating cells in inflammatory dermatoses. J Am Acad Dermatol, 1992,26∶907-913.
3 Lisby S, Ralfkiaer E, Rothlein R, et al. Intercellular adhesion molecule-1 (ICAM-1) expression correlated to inflammation. Br J Dermatol, 1989,120∶479-484.
4 Barker JNWN, Groves RW, Allen MH, et al. Preferential adherence of T lymphocytes and neutrophils to psoriatic epidermis. Br J Dermatol, 1992,127∶205-211.
5 Trefzer U, Brockhaus M, Loetscher H, et al. 55kD tumor necrosis factor receptors is expressed by human keratinocytes and plays a pivotal role in regulation of human keratinocyte ICAM-1 expression. J Invest Dermatol, 1991,97∶911-916.
(收稿:1997-06-07 修回:1997-10-24), http://www.100md.com
单位:110015 沈阳,沈阳军区总医院皮肤科(张士发);中国医科大学第一临床学院皮肤科(林俊萍 王雅坤 梁再赋 陈洪铎 顾绍裘)
关键词:银屑病;受体;肿瘤坏死因子;胞间粘附分子;抗原;淋巴细胞功能相关
中华皮肤科杂志980206.htm 【摘要】 目的 探讨肿瘤坏死因子(TNF)α在寻常型银屑病的作用机理。方法 采用免疫组织化学方法对寻常型银屑病皮损55 000(p55)和75 000(p75)TNF受体、细胞间粘附分子(ICAM)-1、白细胞功能相关抗原(LFA)-1的表达进行了检测。结果 正常人皮肤不表达p55、p75、ICAM-1和LFA-1,基底细胞散在表达p55和p75。寻常型银屑病皮损表皮表达p55、p75和ICAM-1;真皮内浸润单一核细胞表达p55、p75和LFA-1;表皮角朊细胞(EKC)p55表达强度与其ICAM-1表达强度呈显著正相关(r′s=0.704,P<0.05),而p75则与ICAM-1不相关(r′s=0.589,P>0.05);表皮角朊细胞ICAM-1表达强度与真皮内浸润单一核细胞数量呈显著正相关(r′s=0.724,P<0.05)。结论 TNFα可通过p55介导而诱导表皮角朊细胞表达ICAM-1,后者则诱导真皮内单一核细胞浸润,从而促进了银屑病的发生和发展。
, 百拇医药
Expressions of TNF Receptors, ICAM-1 and LFA-1 in Lesional Skin of Psoriasis Vulgaris Zhang Shifa, Lin Junping, Wang Yakun, et al. Department of Dermatology, General Hospital of Shenyang Military Region, Shenyang 110015
【Abstract】 Objective To study the mechanism of tumor necrosis factor(TNF) α in psoriasis vulgaris. Methods The expressions of 55-kD(p55) and 75-kD(p75) TNF receptors, intercellular adhesion molecule(ICAM)-1, lymphocyte function associated antigen(LFA)-1 in the lesional skin of psoriasis vulgaris were detected by immunohistochemical method. Results Normal skin did not express p55, p75, ICAM-1 and LFA-1, the epidermis of the lesional skin expressed p55, p75 and ICAM-1, the infiltrating mononuclear cells (MNCs) in the dermis expressed p55, p75 and LFA-1 in psoriasis vulgaris. The intensities of staining of the p55 and ICAM-1 on epidermal keratinocytes(EKC) were significantly correlated (r's=0.704, P<0.05), but p75 and ICAM-1 were not correlated (r's=0.589, P>0.05). The staining intensity of ICAM-1 on EKC and the number of infiltrating MNCs in the dermis was significantly correlated (r's=0.724, P<0.05) in psoriasis vulgaris. Conclusion TNFα may induce the expression of ICAM-1 on KC through the mediation of p55 and ICAM-1 induces the infiltration of MNCs in the dermis, which promotes the development and progression of psoriasis vulgaris.
, 百拇医药
【Key words】 Psoriasis Receptors, tumor necrosis factor Intercellular adhesion molecule-1
Antigen, lymphocyte function associated
银屑病皮损中存在肿瘤坏死因子(TNF)α表达[1]。为了探讨其作用机理,我们对10例寻常型银屑病皮损连续切片,对TNF受体、细胞间粘附分子(ICAM)-1和白细胞功能相关抗原(LFA)-1的表达进行了研究。
资料和方法
1.病例:10例进行期银屑病患者,男7例,女3例;年龄18~42岁;病程2~7年;皮损范围15%~65%。另取正常对照皮肤5份。
2.取材及标本处理:切取典型皮损,OCT包埋,液氮速冻,-80℃冰箱中保存。所有病例均经临床及常规病理证实。正常对照皮肤处理同前。
, 百拇医药
3.试剂:SPTM试剂盒及小鼠抗人ICAM-1、LFA-1单抗由Zymed公司生产,单抗工作浓度为1∶50。小鼠抗人55 000(p55)及75 000(p75)TNF受体抗体由Brockhaus(瑞士)惠赠,工作浓度为1∶100。
4.实验步骤:恒冷切片机连续切取6μm厚组织片,丙酮固定。余步骤详见SPTM试剂盒说明书。阴性对照:以PBS代替一抗,余步骤同前。
5.观察指标:①免疫组化染色:DAB显色,光镜下观察,细胞染成深黄色为(+),浅棕黄色为(),深棕黄色为();②真皮内单一核细胞计数:每高倍视野(×400)下单一核细胞数,每例计数5个视野,取其均值。
6.统计方法:相关性检验采用等级相关分析。
结 果
, 百拇医药
1.TNF受体表达(细胞膜及胞浆着色):正常人表皮基底细胞散在表达p55(+~+++)和p75(+~++)。10例银屑病皮损均表达p55(图1),其中角化不全角质层(包括Munro微脓疡)阳性9例(+~+++),棘层阳性8例(+~+++),真皮内单一核细胞(MNCs)阳性6例(+~++);10例银屑病皮损均表达p75,其中角化不全角质层(包括Munro微脓疡)阳性7例(+~+++),颗粒层阳性1例(++),棘层阳性8例(+~++),真皮内MNCs阳性4例(+~++)。阴性对照均阴性。
2.ICAM-1及LFA-1表达(细胞膜及胞浆着色):9例银屑病皮损真皮乳头上方及上皮突下方表皮角朊细胞(EKC)表达ICAM-1(+~+++),其对应之处真皮内MNCs浸润最明显,且亦表达ICAM-1(+~+++);6例真皮内MNCs及表皮内MNCs表达LFA-1(+~+++)
, http://www.100md.com 图1 寻常型银屑病皮损p55表达(×400)
图2 寻常型银屑病皮损真皮内浸润单一核细胞表达LFA-1(×400)
(图2)。正常人皮肤及阴性对照均阴性。
3.银屑病皮损真皮内MNCs计数:平均237.6±50.4个/高倍视野。
4.统计学分析:等级相关分析表明,银屑病皮损表皮角朊细胞ICAM-1表达强度与真皮内MNCs数呈显著正相关(r′s=0.724,P<0.05),角朊细胞p55和ICAM-1表达强度亦呈显著正相关(r′s=0.704,P<0.05),p75与ICAM-1不相关(r′s=0.589,P>0.05)。
, 百拇医药
讨 论
Kristensen等[1]发现,正常人及银屑病未受累之“正常”皮肤角朊细胞和真皮上方的树枝状细胞表达p55,银屑病皮损处表皮全层、包括角化不全的角质层及真皮血管周围浸润细胞均表达p55,认为TNFα可通过与p55结合而作用于角朊细胞等;正常人及银屑病未受累之“正常”皮肤真皮内树枝状细胞等表达p75,银屑病皮损真皮内浸润炎性细胞表达p75。但两种TNF受体介导何种效应尚不清楚。本研究表明,正常人基底细胞表达p55和p75。与Kristensen报道相同。p55和p75均可表达于银屑病表皮全层及真皮内浸润MNCs,提示在银屑病中两种受体介导了TNFα的某些生物学效应。
既往研究表明,正常人皮肤ICAM-1和LFA-1均阴性,银屑病表皮角朊细胞表达ICAM-1,角朊细胞及真皮内炎性细胞表达LFA-1[2],与本文结果一致。已知ICAM-1和LFA-1互为配基,相互作用,可介导一系列炎症反应[3]。我们发现,银屑病角朊细胞ICAM-1表达强度与真皮内浸润炎性细胞数量呈显著正相关,表明ICAM-1对真皮内MNCs向表皮内浸润起重要作用[4]。
, 百拇医药
体外实验表明,p55介导的信号可以调节培养的角朊细胞表达ICAM-1[5]。本研究发现,银屑病角朊细胞p55表达强度与其ICAM-1表达强度呈显著正相关,而p75则与ICAM-1不相关。因此我们认为,在银屑病中TNFα可通过与p55结合,诱导角朊细胞表达ICAM-1而促进LFA-1+ MNCs向表皮内浸润,从而产生一系列炎症反应。而MNCs表达ICAM-1的意义及p75介导何种效应有待进一步探讨。
参 考 文 献
1 Kristensen M, Chu Q, Eedy DJ, et al. Localization of tumor necrosis factor-alpha (TNF-alpha) and its receptors in normal and psoriatic skin: epidermal cells express the 55kD but not the 75kD TNF receptor. Clin Exp Immunol, 1993,94∶354-362.
, 百拇医药
2 Boehncke WH, Kellner I, Konter U, et al. Differential expression of adhesion molecules on infiltrating cells in inflammatory dermatoses. J Am Acad Dermatol, 1992,26∶907-913.
3 Lisby S, Ralfkiaer E, Rothlein R, et al. Intercellular adhesion molecule-1 (ICAM-1) expression correlated to inflammation. Br J Dermatol, 1989,120∶479-484.
4 Barker JNWN, Groves RW, Allen MH, et al. Preferential adherence of T lymphocytes and neutrophils to psoriatic epidermis. Br J Dermatol, 1992,127∶205-211.
5 Trefzer U, Brockhaus M, Loetscher H, et al. 55kD tumor necrosis factor receptors is expressed by human keratinocytes and plays a pivotal role in regulation of human keratinocyte ICAM-1 expression. J Invest Dermatol, 1991,97∶911-916.
(收稿:1997-06-07 修回:1997-10-24), http://www.100md.com